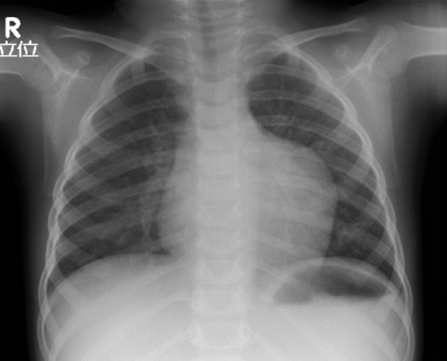
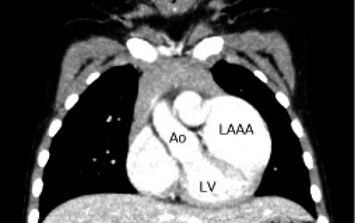
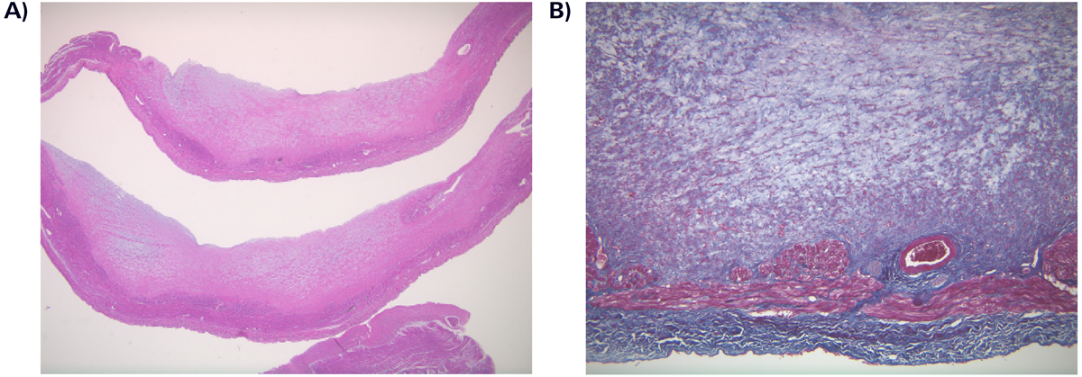
無症候性左心耳瘤の病理組織学的検討Histopathological Findings of Asymptomatic Left Atrial Appendage Aneurysm
1 島根大学医学部小児科学教室Department of Pediatrics, Faculty of Medicine, Shimane University ◇ 〒693-8501 島根県出雲市塩冶町89番地1Enya-cho 89-1, Izumo-shi, Shimane 693-8501, Japan
2 島根大学医学部心臓血管外科学教室Department of Cardiovascular Surgery, Faculty of Medicine, Shimane University ◇ 〒693-8501 島根県出雲市塩冶町89番地1Enya-cho 89-1, Izumo-shi, Shimane 693-8501, Japan




