Online ISSN: 2187-2988 Print ISSN: 0911-1794
特定非営利活動法人日本小児循環器学会 Japanese Society of Pediatric Cardiology and Cardiac Surgery
Pediatric Cardiology and Cardiac Surgery 31(1-2): 4-8 (2015)
doi:10.9794/jspccs.31.4

教育セミナー教育セミナー

「胎児診断と治療」娩出時期は? 胎児治療は?Diagnosis and Therapy for Fetus in Utero

独立行政法人国立循環器病研究センター周産期・婦人科部Department of Perinatology and Gynecology, National Cerebral and Cardiovascular Center ◇ 〒565-8565 大阪府吹田市藤白台5-7-15-7-1 Fujishirodai, Suita-shi, Osaka 565-8565, Japan

発行日:2015年3月1日Published: March 1, 2015
HTMLPDFEPUB3

胎児診断には超音波検査が大きな役割を果たすが,検査の目的は行う時期によって異なる.胎児心臓超音波検査は形態の評価として“スクリーニング”と“診断”との2段階に分けて行われる.胎児超音波検査は単に病名を診断することにとどまらず,胎内での血行動態の評価から分娩後の血行動態の予測,心機能の評価,さらに心外病変の有無など多岐にわたる.その所見で胎内での状態を評価し,出生後の状態を予測する.いくつかの報告では,このような出生前の診断は必ずしも予後の向上につながっていない.今後さらに精度の高い“スクリーニング”と“診断”を実現し,予後の向上を図る必要がある.胎児治療においては,適応のみならず,治療開始および終了の決定なども厳格に行われなくてはならない.

Fetal echocardiography as a screening tool as well as a diagnostic modality has been proven to be safe and accurate for the diagnosis of fetal heart disease. The structure and function of the heart can be assessed by echocardiography. Prenatal echocardiography has the potential for improving postnatal survival in infants with congenital heart defects. However, it remains unclear whether it also improves postoperative outcomes. Prenatal diagnosis possibly identifies patients with more severe phenotypes, resulting in a poor prognosis in this group. Fetal therapy, the treatment of the fetus, is now practical. The current fetal therapeutic strategies range from maternal transplacental medication to the fetus to invasive open-uterine fetal surgery. In fetal therapy, fetal critical disorders must be weighed against the risks to the mother and potential for a successful treatment after birth.

Key words: congenital heart disease; fetal echocardiography; fetal therapy

はじめに

胎児診断の主力は,非侵襲的で放射線を用いない超音波検査が主となる.多くの施設では妊婦健診の度に産婦人科医が超音波検査で胎児を観察する.機器の発達により解像度は向上し,また,新しいモダリティは胎児の画像の描出を簡易にし,汎用性を高めた.では一体,産婦人科医は何を考えながら胎児超音波検査を行っているのであろうか.それなりの目的を持って行われているはずである.本稿では,産婦人科医が妊娠管理に行う胎児超音波検査の意義から解説し,胎児診断,胎児治療にまで論を及ばせることとする.

1. 妊娠管理における胎児超音波検査の位置付け

1.1 初期に行われるルーチン検査

胎児超音波検査の目的は,行う時期によって異なる.First trimesterでは,まず妊娠部位の確認が行われる.すなわち子宮内に胎嚢(Gestational sac: GS)が認められるかどうかの確認である.妊娠反応が認められているにもかかわらず,子宮内にGSが出現してこない場合,異所性妊娠を疑う.異所性妊娠の多くは卵管妊娠で,破裂に至る場合は腹腔内出血をきたし,生命に危機が及ぶ場合もある.

子宮内にGSが確認された場合,その数に注目し,単胎妊娠か多胎妊娠かの診断を行う.多胎である場合にはFirst trimesterの間に膜性診断が行われる.双胎では膜性により胎児損失率が異なる.一絨毛膜二羊膜双体であれば,双体間胎児輸血症候群の発症を念頭に置いた管理が求められる.

次に胎児心拍を確認する.胎児心拍(Fetal heart beat: FHB)がGS内で確認されれば流産の可能性が大幅に減じる.さらに胎児の発育を確認し,頭臀長(Crown-rump length: CRL)から分娩予定日を推定する.不妊治療が行われている場合などを除き,正確に排卵日を特定することはできない.そのため,一般に妊娠週数は最終月経開始日から算出される.この算出方法は月経周期が28日であることを想定しており,月経周期の個人差は考慮されない.そこで超音波検査による計測値を用いて予定日の確認・修正がなされる.産婦人科診療ガイドライン1)ではCRLが14 mmから41 mmの間に正確に測定し,最終月経から計算された予定日と7日以上の差がある場合にはCRLからの予定日を採用するとしている(レベルB).この時期のCRLは個人差が少なく,正確に計測することによって胎児の実際の週令を反映する.妊娠週数が過ぎると個人差の幅が広くなり,正確な妊娠週数を算出することができなくなる.そのため,超音波検査による予定日の確認,修正はこの時期に行われる必要がある.

ここまでに述べた超音波検査はルーチンに行われる検査であり,この先の妊娠・分娩管理に必要な基本的情報を得るものである(Table 1).

Table 1 Check points in the first trimester
・Location of Gestational sac
・Detection of fetal heart beat
・Numbers of fetus, GS
・Size of fetus (CRL)
・Major anomaly (ex. Anencephaly)

1.2 First trimester screening

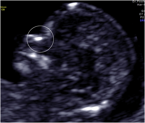
近年,胎児の染色体異常スクリーニングとしての系統だった超音波検査が普及してきた.Nuchal translucency(NT)(Fig. 1),鼻骨形成(NB)(Fig. 2),静脈管血流(DV),三尖弁血流(TR)などのいくつかのパラメーターを評価し,胎児の染色体異常をスクリーニングする方法である.特にNTは一見,計測しやすいと思われるため,その意義が十分に認識されることなく普及してしまった.確かにNTは21 trisomyのスクリーニング精度が比較的高い.母体年齢だけでのdetection rateが約30%であるところにNTの情報を加味するとdetection rateは約80%に上昇する.しかし,NTを正確に評価するためにはTable 2に示すような要件を満たさなくてはならない.また,NTにはいまだに多くの誤解があり,適切なカウンセリングがなされていない場合も少なくない.例えば,NTはどの胎児にも認められる生理的な所見である.特定の期間におけるその厚みが意味を持つにもかかわらず,NTが見えたことがあたかも異常な部位が見えたかのように説明されてしまう場合が後を絶たない.The Fetal Medicine Foundation(FMF)はNTを含めた全てのパラメーターに正確な測定が求めており,一定の要件を満たす計測以外,スクリーニングツールとして用いることはできない.

Pediatric Cardiology and Cardiac Surgery 31(1-2): 4-8 (2015)

Fig. 1 Nuchal translucency

Nuchal translucency (NT) is the sonographic appearance of a collection of fluid under the skin behind the fetal neck.

Pediatric Cardiology and Cardiac Surgery 31(1-2): 4-8 (2015)

Fig. 2 Nasal bone

High echoic line on the nose of the fetus in sagittal section (circle).

Table 2 Protocol for NT measurement
・The gestational period must be 11 to 13 weeks and six days.
・The fetal crown-rump length should be between 45 and 84 mm.
・The magnification of the image should be such that the fetal head and thorax occupy the whole screen.
・A mid-sagittal view of the face should be obtained.
・The fetus should be in a neutral position, with the head in line with the spine.
・Care must be taken to distinguish between fetal skin and amnion.
・The widest part of translucency must always be measured.
・Measurements should be taken with the inner border of the horizontal line of the callipers placed ON the line.
・In magnifying the image (pre or post freeze zoom), it is important to turn the gain down.
・During the scan more than one measurement must be taken and the maximum one that meets all the above criteria should be recorded in the database.
Fetal Medicine Foundation.

1.3 妊娠中期,後期における超音波検査

妊娠中期では大きく(1)発育の評価(2)形態の評価(3)well-beingの評価のために超音波検査は行われる.これらは相互に関連している.胎児の酸素と栄養はともに母体から供給される.その経路は母体血から絨毛間腔,胎盤絨毛,そして臍帯静脈を通じて胎児にもたらされる.この経路の中で最もクリティカルな部分は胎盤である.胎児発育が遅延している場合,いくつかの原因が考えられるが,有力な病態の一つが胎盤機能の低下である.胎盤機能が低下することにより母体から胎児への栄養の供給が滞り,結果として胎児発育が遅延する.この胎盤を通じた母児のインタラクションは,母体から胎児への酸素供給も担っている.すなわち,胎児発育が遅延していれば,酸素供給も十分でない可能性があると考えなくてはならない.子宮内胎児発育遅延(Fetal growth restriction: FGR)におけるwell-beingの低下はこのように同源であることが少なくなく,発育を評価することは同時にwell-beingの評価につながることになる.

FGRは胎盤機能低下のみではなく,胎児側の疾患によるものも認められる.胎盤機能は良好であるにもかかわらず,供給される栄養を胎児側が発育という形で表現できない場合である.このような胎児では先天的な異常を抱えていることが多く,形態的な異常を持つことを念頭に置いた検査が行われる.

このように,発育の評価,形態の評価,well-beingの評価はお互いに関連していると言える.そして,この形態の評価の一つが胎児心臓超音波検査となる.

2. 胎児心臓超音波検査

胎児心臓超音波検査はスクリーニングと診断との2段階に分けられる.False negativeを可能な限り排除し,その上でfalse positiveを過剰にしないことが求められる.スクリーニングで陽性とされた場合,診断施設へ紹介され,診断が行われる.ここで行われる超音波検査は単に病名を診断することにとどまらず,胎内での血行動態の評価から分娩後の血行動態の予測,心機能(心不全兆候)の評価,さらに心外病変の有無など多岐にわたる.これらはいくつかの管理要点に反映される情報をもたらす.まず,娩出のタイミングである.診断が確定すれば娩出後の治療戦略が立てられる.早期の外科的介入が考えられる場合,手術の難易度を鑑み,可能な限り妊娠を継続させて胎児を発育・成熟させる必要がある.一方で心不全兆候である胎児腔水症,胎児水腫などの所見が見られる場合には,児を娩出させて胎内環境からの離脱を図る必要がある.また,発育・成熟を図りたいが胎内死亡のリスクがある,または娩出を遅らせることによって出生後の治療に悪影響を及ぼす場合もある.このように,病態によっては妊娠を継続させるか児を娩出させるかの間でジレンマに陥る場合があり,症例ごとの慎重な検討が必要となる.

次に分娩の方法である.最近3年間で経験した出生直後の外科的介入,またはcatheter interventionを想定した計画的帝王切開を行った5症例をTable 3に示す.当院では,このような症例を除いて基本的に分娩様式は経腟分娩としている.もちろん産科的適応で帝王切開による分娩となる症例もある(Table 3).Table 4に示すように経腟分娩と帝王切開とで予後に差がなかったという当院での検討を根拠としているが,当院では24時間,小児循環器医が待機している環境であることも加味しておかなくてはならない(Table 4).

Table 3 Five cases delivered by planned cesarean section
DiagnosisIntervention
TGA type1, restrictive FOBAS
Coronary artery fistula (LAD-RV)ECMO, fistula closure
HLHS, hypoarch, restrictive FOBAS
Ebstein’s desiease, TR, PR, circular shuntStarnes ope
Critical ASBAS, catheter intervention
Table 4 Elective cesarean section vs. vaginal delivery in fetus with CHD
Elective cesarean sectionVaginal deliveryP value
Gestational age (weeks)37.6±1.238.6±1.60.0029
Birth weight (g)2779±4472774±5180.96
Apgar score 5 minutes <703 (2.7%)0.67
UA pH7.29±0.067.31±0.060.17

このように分娩の時期,分娩の方法を考える,言い換えると胎内での状態を評価し,出生後の状態を予測する,この点において胎児心臓超音波検査は有用である.しかし,いくつかの困難な点が残されている.その一つが胎内での心機能評価の困難さである.現在,Cardiovascular profile score(CVPS)2)Fig. 3)などの胎児心機能評価の指標が提唱されており,新生児予後との関連が報告されている.しかし,必ずしも十分とは言えない.根本的な部分で認識しておかなくてはならないのは,胎児循環と新生児循環が全く別のものであるということである.よく言われるように,胎児循環は並列回路であり新生児循環は直列回路である.胎内で成立する循環は必ずしも新生児循環として成立するとは限らない.後述する総肺静脈還流異常症や完全大血管転位などはその典型例と言える.また,胎内循環では心機能への負荷は軽度でも新生児循環では急激に重度となる場合もある.胎児循環から肺循環への劇的な変化に対応し得る心臓および大血管の構造および機能を備えているのかを出生前に評価しなくてはならない.今後さらに胎内での有用な指標の研究を進めていかなくてはならない.

Pediatric Cardiology and Cardiac Surgery 31(1-2): 4-8 (2015)

Fig. 3 Cardiovascular score2)

3. 胎内診断と新生児予後

では,スクリーニングから診断という過程で,児の心疾患を胎内で発見することは実際に児の予後改善に役立っているのであろうか.治療介入が必要な症例では,ほとんどが出生後に心雑音やチアノーゼで診断することができる.出生後の治療に対して胎児診断はなんらかのアドバンテージを持つのであろうか.Wrightら3)は2006年から2011年の先天性心疾患に対する単施設後方視的検討で539例の胎内診断例と1103例の新生児診断例を比較検討した.その結果,1年後の死亡率は,胎児診断11%に対して新生児診断5.5%と,胎内診断症例で有意に多く認められた.また,交絡因子を調整したhazard ratioは1.5(p=0.3)であった.さらに,ICU入室期間,入院期間でも不利であったことを報告している.この結果に対して,より重症な症例が胎内で見つかりやすいことが原因ではないかと考察している.では,胎内診断される心疾患は本当により重症例が多いのであろうか.McBrienら4)は272例(胎内診断73例)の検討で,胎内診断例では単心室症例が有意に多かったとしている.また胎内診断例の89%はfour chamber viewでの異常で見つけられており,流出路の異常で診断されたものは11%にとどまったとしている.さらに,胎内診断例では染色体異常が多く含まれていたことも指摘している.

例えば,総肺静脈還流異常は単独では見つかりにくい疾患である.しかし,肺静脈狭窄/閉塞を伴う症例では早期のinterventionが必要であり,見つけておきたい疾患である.見つけやすい疾患,見つけておきたい疾患,見つけなくてはならない疾患,産婦人科医が見つけやすい疾患,超音波技師が見つけやすい疾患,小児科医が見つけやすい疾患,それぞれに微妙なずれがある可能性がある.このような情報を整理して検討することは,今後胎児心臓超音波検査の教育体制の構築,洗練に寄与すると考える.

4. 胎児治療と娩出時期

現在,本邦で胎児治療の適応となっている疾患をTable 5に示す.胎児治療の目的は対象疾患,治療方法により異なるが,どの場合にも当てはまるのが未熟な時期での娩出を回避するということである.産婦人科医が児の娩出時期を考える時,胎内環境と胎外環境を比較し,どちらが児にとって有利であるかが基準となる.例えば胎児頻脈性不整脈の場合では,在胎期間は長いほうが成熟という点では有利である.しかし,その間に心不全になってしまえば,むしろ予後を悪化させる.つまり,胎児が曝されている胎内での危機を軽減し,在胎期間の延長を図ることが最大の目的となる.経胎盤的に薬剤を投与し,胎内で不整脈のコントロールがなされ,心不全兆候が見られない場合,児の成熟が見込める週数までが治療期間となり,その段階で速やかに娩出されることとなる.では,それ以上の延長は許容されないのであろうか.

Table 5 Subjects of fetal therapy
Meningomyelocele
Lower urinary tract obstruction
Congenital cystic adenomatoid malformation
Fetal anemia
TRAP sequence
Twin to twin transfusion syndrome
Chylothorax
Fetal arrhythmia
Congenital diaphragmatic herniation

胎内治療では幾許かの母体への侵襲を伴う.例えば,双体間輸血症候群(Twin to twin transfusion syndrome: TTTS)に対する胎児鏡下胎盤吻合血管レーザー凝固術(fetoscopic laser photocoagulation for communicating vessels: FLP)では母体に対する侵襲は大きいが一時的である.一方,胎児不整脈に対する経胎盤的な薬剤投与では,その侵襲は比較的軽いが治療期間中継続する.このように胎児治療における母体への侵襲は治療内容によって大きく異なる.さて,もう一度,胎児頻脈性不整脈について考えてみる.薬剤投与の標的は胎児であるが,投与経路に母体が含まれる.母体に不整脈が出現していないのであれば,母体血中で上昇する薬剤濃度は母体の健康に寄与しない.副作用の危険性のみが増加する.このことは治療終了,すなわち娩出のタイミングの決定に関与する重要な因子となるのである(一方で,母体と胎児を一体と考え,不整脈がコントロールされ,母体の副作用が出現していない限りにおいて自然陣痛発来を待機することは許容されるという考え方もある).このように,胎児治療においては適応,要約を厳密に判断することはもちろんであるが,いつ開始し,いつ終了するのか判断することも極めて重要なのである.

おわりに

胎児診断,胎児治療についての考えを述べた.本稿では触れなかったが最近リリースされたいくつかの新しい超音波技術は,超音波検査で見られる2D画面を頭の中で3Dに再構築する作業に役立つと考える.スクリーニング,診断においてのみならず,教育面においても貢献するものと思われる.他にも遠隔診断,新しい胎児治療(critical ASなどに対する)など,研究,開発すべき事項は多々ある.児の予後改善により寄与するものとなるよう,進めていかなくてはならない.

本稿は小児循環器学会第11回教育セミナーの内容を中心に執筆した.

This page was created on 2015-03-11T10:53:02.329+09:00
This page was last modified on 2015-03-23T20:39:21.725+09:00


このサイトは(株)国際文献社によって運用されています。