Online ISSN: 2187-2988 Print ISSN: 0911-1794
特定非営利活動法人日本小児循環器学会 Japanese Society of Pediatric Cardiology and Cardiac Surgery
Pediatric Cardiology and Cardiac Surgery 31(3): 95-101 (2015)
doi:10.9794/jspccs.31.95

ReviewReview

チアノーゼについてCyanosis

千葉県循環器病センター小児科Department of Pediatrics, Chiba Cardiovasular Center ◇ 〒290-0512 千葉県千葉県市原市鶴舞575575 Tsurumai, Ichihara-shi, Chiba 290-0512, Japan

発行日:2015年5月1日Published: May 1, 2015
HTMLPDFEPUB3

チアノーゼとは皮膚・粘膜の青紫色変化で,中枢性ないし末梢性チアノーゼでは毛細血管内血液の還元ヘモグロビン濃度が5 g/dl以上になると出現し,血液性チアノーゼでは異常ヘモグロビン血症が原因となる.チアノーゼの出現に際しては,様々な要素に影響されるため,必ずしも低酸素血症と同義ではない.チアノーゼが長期間持続するチアノーゼ性心疾患やアイゼンメンゲル症候群では,種々の全身合併症が発生するため,適切な管理が必要となる.

Cyanosis is a blue or purple discoloration of the skin or mucous membranes, which occurs when the level of deoxyhemoglobin in capillary blood is higher than 5 g/dL or when there is a high level of abnormal hemoglobin, such as methemoglobin. As the presence of cyanosis is dependent on various factors, it does not always indicate hypoxia. The recognition and appropriate management of multisystem disorders caused by long-standing cyanosis are needed in patients with cyanotic congenital heart disease or Eisenmenger’s syndrome.

Key words: hemoglobin; R-L shunt; hypoxemia; hyperviscosity syndrome; congenital heart disease

はじめに

チアノーゼとは皮膚・粘膜の青紫色変化で,毛細血管内血液の還元ヘモグロビン濃度が5 g/dl以上になると出現する.稀にメトヘモグロビン血症など異常ヘモグロビン血症が原因となることもある.また一酸化炭素中毒や,高度の貧血では低酸素血症があってもチアノーゼはみられず,低酸素血症に特異的な症状ではない.

チアノーゼは口唇,口腔粘膜,鼻尖,耳朶,指先,爪床でみられやすい.これらの場所は,メラニン色素が少なく,薄い表皮,毛細血管が豊富であるなどの理由により,毛細血管血液の色をよく反映するためである.

1. 病態生理

健常人では動脈血酸素飽和度は100%,静脈血酸素飽和度は70%,毛細血管内血液酸素飽和度はその間の85%で,ヘモグロビン濃度が15 g/dlとすると,毛細血管内血液の還元ヘモグロビン濃度は2.25 g/dlである.

還元ヘモグロビン濃度が5 g/dl以上になるのは,毛細血管血酸素飽和度は67%以下になった時となる.動脈血酸素飽和度が低下して生じる中枢性チアノーゼの場合には,動脈血酸素飽和度が82%より低下した場合に毛細血管血酸素飽和度が67%を下回りチアノーゼが生じる.動脈血酸素飽和度の低下がない末梢性チアノーゼの場合には,毛細血管内の血流が著しく低下し,毛細血管内での酸素放出量が多くなるために酸素飽和度が低下して生じるため,静脈血の酸素飽和度も低下して33%以下となる(表1).

表1 チアノーゼ出現時の血液中酸素飽和度(ヘモグロビン濃度15 g/dlの場合)
動脈血酸素飽和度毛細血管内血液酸素飽和度静脈血酸素飽和度
中枢性チアノーゼ82%以下67%以下52%以下
末梢性チアノーゼ100%67%以下33%以下

チアノーゼ出現に最も強く影響するのは総ヘモグロビン濃度で,貧血ではチアノーゼが出現しにくく,赤血球増多症では出現しやすくなる(図1).貧血の場合,ヘモグロビン濃度が10 g/dlであるとすると,毛細血管内血液酸素飽和度が50%以下,中枢性の場合には動脈酸素飽和度は65%以下にならないとチアノーゼは出現しない.逆に赤血球増多症の場合には,ヘモグロビン濃度が20 g/dlとすると,毛細血管内血液酸素飽和度は75%以下,中枢性の場合,動脈血酸素飽和度が90%でチアノーゼが生じてしまう.赤血球増多症では血液の過粘稠度症候群による末梢循環不全により,末梢性のチアノーゼの要素も加わり,さらにチアノーゼが出現しやすい.

Pediatric Cardiology and Cardiac Surgery 31(3): 95-101 (2015)

図1 ヘモグロビン濃度とチアノーゼ出現時の毛細血管血酸素飽和度

次にチアノーゼ出現に関与する因子として,ヘモグロビンの酸素解離曲線の変化がある.2.3-DPG(diphosphoglycerate)の増加,高炭酸ガス血症などによるアシドーシス,体温上昇により,酸素解離曲線は右方偏位し酸素解離しやすくなることで,組織の酸素需要の増加に適応している.赤血球内の2.3-DPGは,チアノーゼ性心疾患,慢性呼吸不全,高地環境など慢性の低酸素状態では増加している.逆に,2.3-DPGの減少,低炭酸ガス血症などによるアルカローシス,低体温や,胎児ヘモグロビンの増加では,左方偏位することで,酸素分圧が低い状況でもヘモグロビンの酸素飽和度は高くなることが可能となる(図2).

Pediatric Cardiology and Cardiac Surgery 31(3): 95-101 (2015)

図2 酸素解離曲線

2. チアノーゼの分類と原因(表2

チアノーゼは中枢性と末梢性,ヘモグロビンの異常による血液性に大別される.

表2 チアノーゼの分類と原因
分類原因原因となる疾患
中枢性チアノーゼ1)呼吸機能障害①肺胞低換気中枢性低換気泣き入りひきつけ,髄膜炎,脳圧亢進,神経筋疾患
末梢性低換気呼吸窮迫症候群,胎便吸引症候群,新生児一過性多呼吸,新生児遷延性肺高血圧,横隔膜へルニア肺水腫,重症喘息,重症肺炎,クループ,気道異物,間質性肺炎,cystic fibrosis
②換気血流比不均等
③拡散障害
2)右左シャント①先天性心疾患チアノーゼ性心疾患(Fallot四徴,完全大血管転位,両大血管右室起始,総肺静脈環流異常,三尖弁閉鎖,肺動脈閉鎖,総動脈幹,左心低形成,単心室等),アイゼンメンゲル症候群
②先天性肺血管異常肺動静脈瘻
3)肺胞内酸素分圧低下高地環境
末梢性チアノーゼ1)末梢循環不全低心拍出症候群,寒冷曝露,低血糖,レイノー現象,赤血球増多症
2)動脈閉塞性疾患動脈性塞栓症,血栓性動脈炎,閉塞性動脈硬化症
3)静脈閉塞性疾患静脈瘤,血栓性静脈炎
血液性チアノーゼ(ヘモグロビンの異常)先天性メトヘモグロビン血症,二次性メトヘモグロビン血症(フェナセチン,硝酸剤,一酸化窒素吸入),乳児メトヘモグロビン血症,ヘムグロビンM血症,スルホヘモグロビン血症

1)中枢性チアノーゼ

動脈血の酸素飽和度が低下して,全身に出現する.原因は呼吸機能障害と右左シャント,高地環境などの肺胞内酸素分圧低下の3つに大別される.

呼吸機能障害では,低換気,換気血流比不均等,拡散障害により肺動脈血の十分な酸素化が障害されて出現する.原因となる疾患を表2に示すが,左心不全に起因する肺水腫も含まれる.新生児期にみられる重度の呼吸機能障害では,新生児遷延性肺高血圧となり,開存している卵円孔や動脈管で右左シャントが生じるため,より重度のチアノーゼが出現する.呼吸機能障害が原因の場合には,右左シャントが原因の場合と異なり,酸素投与により改善する.

右左シャント性の疾患では,酸素化されない静脈血が動脈血に流入して動脈血の酸素飽和度を低下させるため,酸素投与では改善しない.様々なチアノーゼ性先天性心疾患と,肺動静脈瘻において認める.肺血流量が少ないほどチアノーゼが強いことが多いが,動静脈血の混合が十分でない完全大血管転位や,肺うっ血が主な病態となる総肺静脈環流異常では,肺血流量とチアノーゼの程度は一致しない.上半身と下半身のチアノーゼの程度が異なる場合には,解離性チアノーゼと呼ばれる.動脈管開存による右左シャントが原因で,大動脈縮窄症やアイゼンメンゲル症候群では肺動脈血が動脈管経由で下行大動脈に流れるため下半身でチアノーゼが強い.逆に完全大血管転位では酸素飽和度の高い肺循環血液が動脈管から下行大動脈に流れ,体静脈血は大動脈へと流れるため,上半身でチアノーゼが強くなる.

2)末梢性チアノーゼ

動脈血酸素飽和度の低下はなく,毛細血管内血流速度の低下から,組織への酸素移行の増大により出現する.心拍出量が低下し末梢循環血液量が低下する低心拍出症候群,末梢血管の攣縮によるもの,血液粘稠度の増加する赤血球増多症などで毛細管内血流速度が低下する.新生児にみられる低血糖の一症状としてもみられることがある.一般に指尖や鼻尖などの末端部に限局し粘膜には認めないことが多い.動脈閉塞性疾患,静脈閉塞性疾患などでは局所的な末梢循環不全としてチアノーゼが生じる.

3)血液性チアノーゼ

ヘモグロビンの異常によるもので,中毒性ないし薬剤性のメトヘモグロビン血症の場合が多く,先天性のものは稀である.酸素親和性の低いメトヘモグロビンは正常では2%未満である.15%までは無症状であるが,それ以上となるとチアノーゼ,頭痛.倦怠感,めまい,意識消失が出現し,50%以上になると重篤となる.フェナセチンや硝酸薬,一酸化窒素吸入により出現することがある.乳児メトヘモグロビン血症はブルーベビーとも呼ばれ,中毒性のメトヘモグロビン血症である.窒素肥料により汚染された井戸水の飲食により摂取された硝酸塩は,胃内のPHが高い乳児においては腸内細菌により亜硝酸塩へと代謝されやすく,メトヘモグロビンを還元するチトクロームb5還元酵素活性が低いこともあって,メトヘモグロビン血症を起こしやすい.

3. チアノーゼによる全身合併症(表3

最終的な心内修復術ないしフォンタン型手術に達しないチアノーゼ性先天性心疾患や,肺高血圧の進行したアイゼンメンゲル症候群では,長期間にわたってチアノーゼが持続する.チアノーゼに起因する全身合併症は,罹病率を上昇させるだけでなく,死亡にも直結するものがあるため,合併症の管理が重要となる.低酸素血症と赤血球増多による,組織の障害や変化が様々な合併症の原因となる.

表3 チアノーゼによる全身合併症
1. 血液学的異常赤血球増多
過粘稠度症候群
2. 末梢血管異常血管拡張
血管新生
3. 出血傾向凝固能低下
血小板減少
4. ビリルビン代謝異常胆石
胆嚢炎
5. 尿酸代謝異常高尿酸血症
痛風
6. 肺血管障害肺出血
肺血栓
肺動静脈瘻
7. 脳血管障害脳梗塞
8. 腎臓合併症蛋白尿
ネフローゼ症候群
腎不全
9. 四肢・長管骨の異常ばち状指
肥厚性骨関節症
10. 感染性心内膜炎

1)血液学的異常

慢性的な低酸素血症により,エリスロポイエチンの増加を介して,赤血球が増加する.血液粘稠度の上昇による過粘稠度症候群では,頭痛,めまい,失神,精神症状,複視,視野欠損,指尖・口唇の感覚異常,耳鳴,疲労・倦怠感,筋肉痛,筋力低下などの症状を呈する1).ヘマトクリット値65%以上で症状を呈することが多い.出血や瀉血による鉄欠乏では,赤血球は小球性かつ球状となり,変形能の低下から血液粘稠度のさらなる上昇をきたすため,ヘマトクリット値65%未満でも症状が出現しやすくなる.鉄欠乏や脱水を補正しても有症候性でヘマトクリットが65%以上の場合には瀉血を検討する2)

2)末梢血管異常

血液粘稠度増加によるshear stressにより,血管内皮細胞から産生された一酸化窒素やプロスタグランディンを介して血管の拡張・蛇行が出現する.また慢性的な低酸素により末梢血管,毛細血管が新生あるいは増生する(図3).

Pediatric Cardiology and Cardiac Surgery 31(3): 95-101 (2015)

図3 後縦隔でみられる動脈の増生

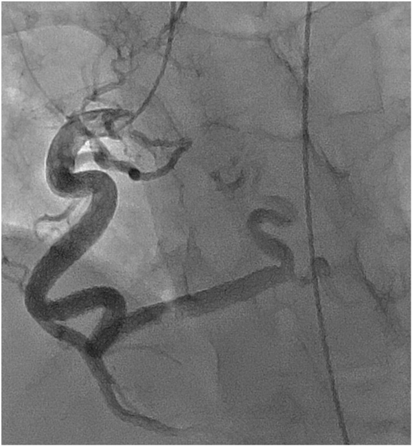
冠動脈でも同様に血管の拡張・蛇行,新生血管の増生がみられるが,冠血流予備能は低下する(図4, 5).

Pediatric Cardiology and Cardiac Surgery 31(3): 95-101 (2015)

図4 左冠動脈の拡張と新生血管がみられる

Pediatric Cardiology and Cardiac Surgery 31(3): 95-101 (2015)

図5 右冠動脈の拡張と蛇行がみられる

3)出血傾向

von Willebrand因子をはじめとする凝固因子の低下,血小板の減少や機能異常により,出血傾向を示す.前述のような末梢血管の増生もあるため,鼻出血,歯肉出血,月経過多などがよくみられる.再手術時に大量の出血をきたすこともあり,注意を要する.

4)ビリルビン代謝異常

寿命となった赤血球は脾臓内で破壊,ヘモグロビンはヘムとグロビンに分解される.鉄以外のヘム蛋白が脂溶性の間接ビリルビンとなり,アルブミンと結合して肝臓に運搬される.間接ビリルビンは肝臓でグルクロン酸抱合され,水溶性の直接ビリルビンとなって胆汁として排泄される.赤血球増多によりビリルビン代謝は亢進するが,肝臓での処理が追いつかなくなると,グルクロン酸抱合されない脂溶性の間接ビリルビンが胆汁に排泄される.間接ビリルビンはカルシウムと結合して,ビリルビンカルシウム結石の原因となる3).さらに重篤な感染症である胆嚢炎の合併も少なくなく注意が必要である.

5)尿酸代謝異常

尿細管における尿酸再吸収増加と,増加した赤血球破壊による尿酸産生により,血中尿酸値が上昇する4).痛風発作の合併は多くないが,有症候性の場合には,一般的な痛風の治療に準ずる.

6)肺血管障害

喀血・肺出血は,成人期には比較的多く認められ,本邦でも18歳以上(18~56歳)253例中41例(16%)と報告されている5).アイゼンメンゲル症候群に限ると18歳以上(18~69歳)77例中36例(47%)と高率になる6)

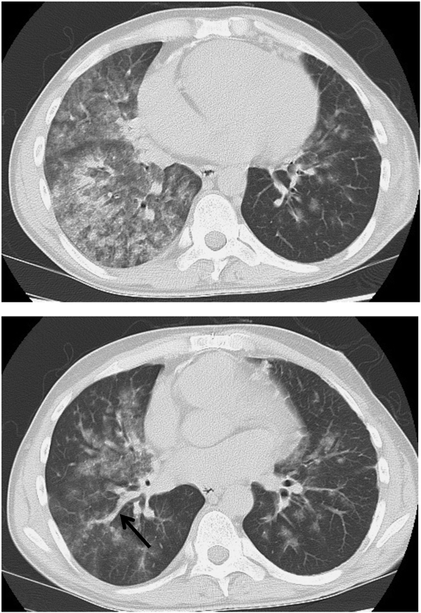
下気道感染を契機とすることが多く,時に致命的となる.肺動脈瘤破裂,肺塞栓,体肺側副血行路,肺内新生血管,肺動静脈瘻などの肺血管の異常と,出血傾向が原因である(図6).

Pediatric Cardiology and Cardiac Surgery 31(3): 95-101 (2015)

図6 左下肺野の広範な肺出血と,出欠の原因となった肺動静脈瘻により拡張した肺静脈を認める(矢印)

気管支鏡ではさらなる出血の危険を伴う.急性期治療では,止血剤,血液製剤,ビタミンKの他に,重症例では第Ⅷ因子誘導薬のデスモプレシンが有効な場合がある.肺出血をはじめとして致命的な出血性疾患の合併が多いため,チアノーゼ性心疾患に対して,血栓症予防のための抗血小板薬や抗凝固薬の使用は慎重に行う必要がある.

7)脳血管障害

脳血栓の発症率は多くはないが,頭部CTやMRI検査にて無症候性陳旧性脳梗塞を認めることは少なくない.

8)腎臓合併症

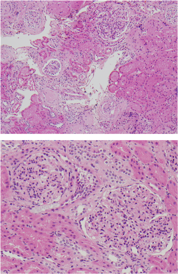
チアノーゼに起因する腎障害はチアノーゼ腎症(cyanotic nephropathy)といわれ,軽微な蛋白尿であることが多いが,時としてネフローゼ症候群や慢性腎不全をきたすこともある.糸球体静水圧上昇と基底膜の透過性亢進により蛋白尿が生ずる.

病理学的には糸球体の肥大,糸球体毛細管の増生と拡張,メサンギウム細胞増殖,メサンギウム基質の増加,メサンギウム融解,傍糸球体細胞の増殖,輸入細動脈の拡張,分節性硬化所見など,糸球体病変が主で,尿細管の異常は軽微である(図7).赤血球増多による血液粘稠度上昇に伴ううっ血と,前述の末梢血管の拡張と増生がその主因であるが,心疾患に伴ううっ血性心不全,糸球体にトラップされた骨髄巨核球とその産生物質であるPDGF(platelet derived growth factor)やTGF(transforming growth factor)の影響も示唆されている.またエリスロポイエチンによる血管新生もチアノーゼ腎症に関与する可能性も報告されている7–9)

Pediatric Cardiology and Cardiac Surgery 31(3): 95-101 (2015)

図7 チアノーゼ腎症の病理組織(HE浅色)

糸球体の腫大,メサンギウム細胞のびまん性増殖が認められる.

発症年齢,頻度など,大規模集団を対象にした報告はみられないが,小児循環器学会の全国調査委員会報告によると,重症チアノーゼ性腎障害患者38例(ネフローゼ症候群,クレアチニン値1.5 mg/d以上の腎不全,腎生検施行のいずれか)の尿異常所見出現年齢は,平均12.8歳(1~24歳),1例を除いて6歳以上であった10).18歳以上(18~56)253例の報告では,でネフローゼ症候群ないしクレアチニン値1.5 mg/d以上の腎不全を認めたのは,それぞれ2%と17%であった5).21歳以上(21~49歳)83例の報告ではなんらかの尿所見異常を認めるのは,41%と高率であった11)

チアノーゼ腎症に対してのアンギオテンシン変換酵素阻害薬の有効性を示す症例が報告されている.

9)四肢・長管骨の異常

ばち状指は,幼児期以降に出現する.初期は爪と爪周囲の軟部組織が肥厚し,その後結合組織の増生,膠原線維沈着,血管拡張,炎症性細胞の浸潤が出現する.腎臓と同様に骨髄巨核球及びPDGFやVEGF(vascular endothelial growth factor)などの細胞増殖因子が関与している12)

肥厚性骨関節症では上下肢の長管骨遠位端より,骨膜・滑膜・周辺組織の浮腫と円形細胞の浸潤が起こる.レントゲンでは,骨膜の肥厚・不整所見を認める.無症状のものから,高度の圧痛・自発痛を伴うものまで様々である.

10)感染性心内膜炎

先天性心疾患にみられる感染性心内膜炎の55%は手術後に発症し,その75%はチアノーゼ性心疾患で,姑息術後のチアノーゼが残存する時期に発症している5,13)

4. チアノーゼ性心疾患患者の運動・生活

1)運動時の心肺機能

安静時より呼吸数が増加しているため,動脈血二酸化炭素分圧は低下している.

運動により体循環の末梢血管抵抗は低下し,右左シャントの増大から動脈血の酸素飽和度の低下と二酸化炭素濃度の上昇が起こる.さらに末梢低酸素血症により代謝性アシドーシスが出現する.これらを代償するため,正常人と比較して運動開始直後から急激な呼吸数の増加がみられる.一定の運動の場合には,正常人ではすぐに呼吸数も定常化するが,チアノーゼ性心疾患患者では,十分な代償ができないために,呼吸数も上昇し続ける.これは,酸素消費量が肺血流量と肺動静脈酸素飽和度較差に規定されるためで,肺血流量の少ないチアノーゼ性心疾患患者では,運動による酸素消費量の増加も緩やかで定常状態に達するまでに時間がかかるためである.

運動後の回復にも時間がかかるが,運動中止後のクレアチニンリン酸の再合成遅延による.

他に組織低酸素や骨格筋内乳酸値上昇も運動耐容能低下に寄与している.低酸素による呼吸困難が運動耐容能低下の主因であるため,厳密にはNYHA心機能分類は適応できない1)

2)飛行機旅行

長時間の飛行機旅行で問題となるのは,高地環境における低酸素,血栓塞栓症,感染症への曝露と精神的ストレスである.

気圧の低下により吸気酸素分圧の低下から,動脈血酸素飽和度の低下が出現するが,その程度は8%程度で,多呼吸により無意識に適応している.また赤血球増加と酸素解離曲線の右方偏位より組織への酸素供給も維持されている.

湿度の極めて低い機内では脱水傾向となりやすいこと,長時間の坐位から下肢の静脈血栓を起こしやすくなる.右左シャントの存在により,脳梗塞など重篤な全身動脈塞栓症となるため,十分な予防が必要となる2)

アイゼンメンゲル症候群でも,赤血球増加と酸素解離曲線右方偏位により,組織への酸素運搬能の低下はわずかであるため,同様に影響は少ない.しかしチアノーゼの伴わない肺高血圧患者においては,低酸素に対しての反応が不十分で,呼吸数の増加も十分でない上に,多呼吸によるアルカローシスから酸素解離曲線の左方偏位が起こり,組織への酸素運搬が低下する.さらに脱水の合併などから肺動脈クリーゼを誘発されやすいため,飛行機旅行は勧められない2)

3)妊娠・出産

肺高血圧を伴わない場合,妊娠による体血管抵抗低下により,右左シャントが増加してチアノーゼ増強するため,母体の全身状態は悪化するが,母体死亡は少ない.しかしチアノーゼによる胎児への影響は強く,胎児生存率は動脈血酸素飽和度が85%以下では12%,86~89%では45%である.

アイゼンメンゲル症候群では,母体死亡率も高率であるため,妊娠の継続は勧められない14)

引用文献References

1) Perloff JK: Cyanotic congenital heart disease: a multisystem disorder, in Perloff JK, John S Child, Jamil Aboulhosn (eds): Congenital Heart Disease in Adults, 3rd edition, Saunders, 2009, pp 265–289

2) 丹羽公一郎,赤木禎治,市川 肇,ほか:循環器病の診断と治療に関するガイドライン.成人先天性心疾患診療ガイドライン(2011年改訂版).http://www.j-circ.or.jp/guideline/pdf/JCS2011_niwa_h.pdf

3) Shiina Y, Toyoda T, Kawasoe Y, et al: The prevalence and risk factors for cholelithiasis and asymptomatic gallstones in adults with congenital heart disease. Int J Cardiol 2011; 152: 171–176

4) Ross EA, Perloff JK, Danovitch GM, et al: Renal function and urate metabolism in late survivors with cyanotic congenital heart disease. Circulation 1986; 73: 396–400

5) Sakazaki H, Niwa K, Echigo S, et al: Predictive factors for long-term prognosis in adults with cyanotic congenital heart disease—Japanese multi-center study. Int J Cardiol 2007; 120: 72–78

6) Niwa K, Perloff JK, Kaplan S, et al: Eisenmenger syndrome in adults: ventricular septal defect, truncus arteriosus, univentricular heart. J Am Coll Cardiol 1999; 34: 223–232

7) Perloff JK, Latta H, Barsotti P: Pathogenesis of the glomerular abnormality in cyanotic congenital heart disease. Am J Cardiol 2000; 86: 1198–1204

8) Inatomi J, Matsuoka K, Fujimaru R, et al: Mechanisms of development and progression of cyanotic nephropathy. Pediatr Nephrol 2006; 10: 1440–1445

9) 生駒雅昭,小板橋靖:チアノーゼ型先天性心疾患に伴う腎疾患—チアノーゼ腎症(cyanotic glomerulopathy)—.日児腎誌2006; 19: 104–110

10) 長嶋正實,丹羽公一郎,赤木禎治,ほか:チアノーゼ型先天性心疾患にみられる腎疾患の頻度,成因解析と診断,治療法の策定.日小児循環器会誌2006; 22: 130–133

11) Flanagan MF, Hourihan M, Keane JF: Incidence of renal dysfunction in adults with cyanotic congenital heart disease. Am J Cardiol 1991; 68: 403–406

12) Atkinson S, Fox SB: Vascular endothelial growth factor (VEGF)-A and platelet-derived growth factor (PDGF) play a central role in the pathogenesis of digital clubbing. J Pathol 2004; 203: 721–728

13) Niwa K, Nakazawa M, Tateno S, et al: Infective endocarditis in congenital heart disease: Japanese national collaboration study. Heart 2005; 91: 795–800

14) 丹羽公一郎,青見茂之,赤木禎治,ほか:循環器病の診断と治療に関するガイドライン.心疾患患者の妊娠・出産の適応,管理に関するガイドライン(2010年改訂版).http://www.j-circ.or.jp/guideline/pdf/JCS2010niwa.h.pdf

This page was created on 2015-04-22T14:50:39.958+09:00
This page was last modified on 2015-05-22T17:43:11.536+09:00


このサイトは(株)国際文献社によって運用されています。