Online ISSN: 2187-2988 Print ISSN: 0911-1794
特定非営利活動法人日本小児循環器学会 Japanese Society of Pediatric Cardiology and Cardiac Surgery
Pediatric Cardiology and Cardiac Surgery 32(2): 171-178 (2016)
doi:10.9794/jspccs.32.171

症例報告Case Report

小児期に発症し重篤な左心不全症状を呈した不整脈原性右室心筋症の一例A Pediatric Case of Arrhythmogenic Right Ventricular Cardiomyopathy

1東京女子医科大学病院循環器小児科Tokyo Women’s Medical University Hospital, Department of Pediatric Cardiology ◇ Tokyo, Japan

2東京女子医科大学病院循環器小児科第二病理Tokyo Women’s Medical University Hospital, Department of Pathology ◇ Tokyo, Japan

3東京女子医科大学病院Tokyo Women’s Medical University Hospital ◇ Tokyo, Japan

4群馬県立小児医療センター循環器科Gunma Children’s Medical Center, Department of Cardiology ◇ Gunma, Japan

受付日:2015年9月28日Received: September 28, 2015
受理日:2015年12月17日Accepted: December 17, 2015
発行日:2016年3月1日Published: March 1, 2016
HTMLPDFEPUB3

不整脈原性右室心筋症(ARVC)は若年での発症は稀とされている遺伝性心筋症である.今回我々はARVCを発症し重症心不全のため心臓移植を要した小児例を経験したので報告する.学校心臓病検診で心室性期外収縮を指摘された9歳男児.精査の結果,不整脈原性右室心筋症と診断された.心臓MRIでは右心室の拡大,収縮能低下に加え,左心室でも拡大と収縮能低下が顕著であった.心不全症状の進行によりカテコラミン離脱困難であったため同種心臓移植の適応と判断され,初診から約18か月の経過で心移植に至った.Desmoglein 2(DSG2; c.1481 A>C: p.Asp494Ala)とtransmembrane 43(TMEM43; c.601G>A: p.Asp201Asn)の2つの不整脈原性右室心筋症の原因遺伝子に変異を認めたことから,これらの変異の重複が早期発症,重症化の原因となった可能性があると考えられた.

Arrhythmogenic right ventricular cardiomyopathy (ARVC) is a rare cause of heart failure in the young. We report a pediatric case of ARVC with severe heart failure. The patient was a 9-year-old boy who was noted to have paroxysmal ventricular contractions at his regular school electrocardiogram check-up. Cardiac magnetic resonance imaging showed severe biventricular enlargement and dysfunction. He underwent orthotopic heart transplantation at 10 years of age. Genetic testing revealed two mutations related to ARVC. He had a nonsynonymous single-nucleotide polymorphism in desmoglein 2 (DSG2; c.1481 A>C: p.Asp494Ala) and transmembrane 43 (TMEM43; c.601G>A: p.Asp201Asn). Coexistence of these mutations may lead to severe ARVC in the young patient.

Key words: arrhythmogenic right ventricular cardiomyopathy; heart failure; cardiac transplantation

はじめに

不整脈原性右室心筋症(arrhythmogenic right ventricular cardiomyopathy/disease; ARVC)は30~40歳代で発症する稀な遺伝性心筋症である.小児期のARVCに関するまとまった報告はなく学童期までの発症は稀と推定されている1–3).一方で,Pilmerらは小児期突然死の剖検による検討を行い,116例の突然死のうち14例がARVCであったと報告している4).この結果は小児期発症のARVCは動悸,失神,胸痛などの典型的な臨床像5)を欠き,診断に至る前に心室頻拍(Ventricular tachycardia; VT)や心室細動(Ventricular fibrillation; VF)により突然死として発症する頻度が高い可能性を示唆する.

今回我々は9歳で学校心電図検診の際に心室性期外収縮を指摘され,精査の結果ARVCと診断された症例を経験した.重篤な左心不全症状を呈し心臓移植に至り,2つの遺伝子変異が確認された稀な症例であったため報告する.

症例

生来健康であった9歳男児.学校心臓病検診で心電図異常を指摘された.学校検診の心電図では6歳時には異常を認めなかったが,9歳3か月での検査ではI誘導でQSパターン,心室性期外収縮(PVC)を認めた(Fig. 1).成長発達で異常を認めず,突然死や心筋症等の家族歴はなかった.学校心臓病検診受診の際には動悸,胸痛,易疲労感などの自覚症状は認められなかったが,9歳5か月頃には倦怠感と動悸を自覚するようになっていた.他院を受診時には心胸郭比67%と心拡大を認め,BNP1474 pg/mLと高値であった.心不全治療および不整脈治療として利尿薬,PDEIII阻害薬,β遮断薬,アミオダロンを開始されたうえで,PVCに対するカテーテル焼灼術目的に当院に転院となった.

Pediatric Cardiology and Cardiac Surgery 32(2): 171-178 (2016)

Fig. 1 Electrocardiogram at annual school check up

A: 6 years old, B: 9 years old. A; Electrocardiogram showed normal pattern. B; QS pattern in lead I, and premature ventricular contraction were noted.

身体所見

身長142.0 cm(+1.0 SD),体重32 kg(−0.1 SD).顔色不良で,眼瞼結膜は貧血様.胸部聴診では異常を認めず,肝臓は1 cm程度触知した.浮腫は認めなかった.

検査所見

12誘導心電図ではQRS軸が不定軸で低電位,V1–3誘導においてはイプシロン波を認めた(Fig. 2a, b).血液検査ではBNP 895.1 pg/mLと高値を認めたが,その他の血液生化学所見には異常を認めなかった.Holter心電図では右室起源の多源性心室期外収縮と13連発のnon-sustained VTを認めた.遅延電位ではfQRS 173 ms(>114 ms),RMS40 3.0 µV(<20 µV),LAS 88.5 ms(>38 ms)と異常を認めた.胸部単純X線では心拡大を認めた(CTR 67%)(Fig. 2c)心エコーでは両心室の著明な拡大,左室収縮能の著明な低下(LVFS 0.04)と軽度の僧帽弁逆流を認めた(Fig. 2.d).心肺運動負荷試験では最大酸素摂取量15.4 mL/kg/min(予測値の38%),無酸素性作業閾値10.3 mL/kg/min(予測値の26%)と機能低下を認めた.マルチスライスCTでは右室壁の脂肪変性を認めた(Fig. 2e).心臓MRIでは両心室で内腔の拡大と駆出率の低下(右室駆出率23%,右室拡張末期容積237 mL,左室駆出率17%,左室拡張末期容積179 mL)を認めた(Fig. 2f).

Pediatric Cardiology and Cardiac Surgery 32(2): 171-178 (2016)

Fig. 2 ECG and diagnostic imaging at admission

a: Twelve leads ECG showed sinus rhythm, north-west axis and PVC. b: Epsilon wave was found in V2 (arrow). c: Chest X-ray showed moderate cardiomegaly without lung congestion. d: Biventricular dilatation was noted with echocardiogram (apical four chamber view). e: multi-detector CT showed fatty change in the right ventricle (arrow head). f: Cardiac MRI revealed significant biventricular dilatation and reduced contraction. Fibro-fatty replacement was not prominent on this MRI image.

心臓カテーテルで電気生理学的焼灼及び心筋生検を予定したが,右室流出路でのカテーテル操作で心室頻拍が頻発し血行動態が悪化したため血行動態的評価のみで検査を終了した(Table 1).以上の結果より,改訂版Task Force Criteria6)よりARVCと診断した.

Table 1 Cardiac catheterization data
Pressure (mmHg)O2 saturation (%)
SystolicDiastolic / EDPMean
Right Atrium1359
Right Ventricle36EDP17
Pulmonary Artery34182559
PA Wedge13
Left Ventricle77EDP15
Cardiac Output2.4(L/min)
Cardiac Index2.3(L/min/m2)

治療

心不全治療として利尿薬,β遮断薬,ACE阻害薬,アミオダロンの内服を他院で開始されていた.当院転院後,カテーテル後の心不全に対してミルリノン,ドブタミンによる治療を開始した.CRT-D(cardiac resynchronization therapy-defibrillator)も考慮したが,narrow QRSでありCRTの有効性が期待されないことと,カテーテル時に血行動態が悪化したこと,アミオダロンでPVCのコントロールがついたことから積極的適応はないと判断した.その後β遮断薬の増量のうえでもBNPは900~1,300 pg/mL程度で推移しており,カテコラミンの減量を試みるも困難な状況が続いたため心臓移植の適応と考えた.10歳0か月で院内の適応検討を経て,日本循環器学会心臓移植委員会で適応の判定を受けた.10歳9か月で渡航し1か月の待機で心臓移植を受けた.

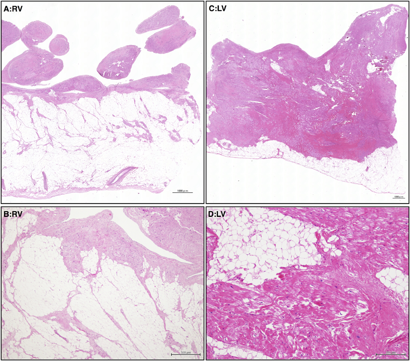
摘出心において,肉眼的に両心室は著明に拡大し,右室壁は脂肪織に置換され高度の菲薄化を認めた.組織学的には,右室における線維脂肪変性を認め,島状に散在する残存心筋には肥大が認められた.左室では心筋細胞の肥大と斑状の線維化が目立ち,軽度に脂肪織を認めた(Fig. 3).炎症細胞浸潤は認められなかった.

Pediatric Cardiology and Cardiac Surgery 32(2): 171-178 (2016)

Fig. 3 Histology of the explanted heart

A: Right ventricle (scale bar, 1,000 µm). Marked fatty replacement was seen. B: Right ventricle (scale bar, 500 µm). Diffuse fibro-fatty replacement was seen. C: Left ventricle (scale bar, 1,000 µm). A small amount of interstitial fat was seen in the left ventricle. D: Left ventricle (scale bar, 200 µm) Myocytes are hypertrophied and disorganized.

遺伝的背景の検討

ARVC関連遺伝子変異の検索としてplakophilin 2(PKP2), desmoglein2(DSG2), desmoplakin(DSP), desmocollin 2(DSC2), transmembrane 43(TMEM43)において既報の変異を有するエクソンに関してダイレクトシークエンス法により変異の有無を検討した.患児ではDSG2TMEM43の点突然変異をヘテロ接合で認めた(DSG2(c.1481 A>C),TMEM43(c.601G>A))(Table 2).

Table 2 Detailed descriptions of the genetic mutations detected in the patient
GeneProteindbSNPFrequency †SIFTPolyPhen-2PANTHER
subPSECPdeleterious
DSG-2 c.1481 A>Cp.Asp494Alars19329842 80.04%damagin gprobably damaging−2.230.317
TMEM43 c.601G>Ap.Asp201As nrs13818227 60.06%toleratedbenign−1.010.12
dbSNP; data base of single nucleotide polymorphism on the National center for Biotechnology Information. †: Frequency in 1000 Genome phase 1 population. [Web resorce; NCBI dbSNP, SIFT, PolyPhen-2, Panther]

左室病変が顕著であったため拡張型心筋症(dilated cardiomyopathy; DCM)に関連した遺伝子(cardiac Troponin T(TNNT2), beta-Myosin Heavy chain(MYH7), cardiac Myosin-Binding Protein C(MYBPC3), cardiac Troponin I(TNNI3), alpha-Tropomyosin(TPM1), cardiac alpha-Actin(ACTC), Myosin light chain 2(MYL2), Myosin light chain 3(MYL3), alpha-Tropomyosin(TPM1))に関しても検討を行ったがいずれの遺伝子においても病因となる変異は認められなかった.

家族の遺伝子検査も施行したところ,家族内でも患児と同じ遺伝子変異を認めた(Fig. 4).しかし,家族内でDSG2TMEM43両方の変異を有するのは患児のみであった.また,家族の心電図,胸部X線,心エコー,遅延電位の評価を行ったところ,患児の父のみ心電図で心室性期外収縮を認め,遅延電位でも異常を認めた.Holter心電図では2カ所の起原を持つ心室性期外収縮を認めた.心臓MRIでは右心室のEFが軽度低下していた(RVEF41%).心臓カテーテル検査では冠動脈に異常を認めず,LVEF48%,RVEF39%であった.LVはseg4領域で収縮の低下を認め,RVはdiffuse hypokinesisであった.心筋生検では脂肪線維変性はみられなかったが心筋肥大,核の腫大・変性,間質の線維化を認めた.以上から患児の父はARVC borderlineと診断し,以後外来経過観察を行っている.

Pediatric Cardiology and Cardiac Surgery 32(2): 171-178 (2016)

Fig. 4 Descriptions of genetic testing and clinical characteristics of the family members

Age at genetic testing, symptoms and the results of clinical/genetic examination are shown in this figure. The mutation in DSG2 was detected in proband, his sister and his father. TMEM43 mutation was detected in proband and his mother. All family members were asymptomatic. Father had PVC in ECG and positive result in late potential and diagnosed as borderline ARVC. n/a: not available

考察

小児期発症のARVCは稀な病態であると考えられるが,本症例は学校心臓病検診を契機に9歳時に診断に至り,早期の治療介入が可能であった.本症例の特徴としては若年発症のARVCであることと,重篤な左心不全症状を発症早期から呈したことが挙げられる.

ARVCの原因としてデスモゾーム関連タンパク質(PKP2, DSG2, DSP, DSC2, junctional plakogrobin; JUP)や非デスモゾーム関連タンパク質(desmin; DES, TMEM43, titin; TTN, Lamin A; LMNA, phospholanban; PLN, ryanodine receptor2; RYR2, transforming growth factor beta1; TGFB1)の変異が報告されており,各遺伝子変異が発症年齢に与える影響に関しては種々の報告がある1, 3, 7).しかし,これらの報告の中でも20歳代での発症が論じられているにとどまる.

また,ARVCにおける左心系への病理学的変化の進展は発症からの経過年数に応じその程度・頻度が増加するとされており,若年者においては左心室での病理学的異常所見は少なく8),遺伝子としてはDSG2, DSC, PLN, TMEM43の異常がARVCにおける左心系への進行に寄与しているとされている9, 10).本症例ではDSG2TMEM43に変異を認めたが,いずれもNational Center of Biotechnology Informations(NCBI)のデータベースにはsingle nucleotide polymorphism(SNP)として登録されているものであった(Table 2).しかし,Table 2に示すようにいずれのSNPも健常者における頻度は非常に低いものであり,ARVCは遺伝的心筋症でありながら発症年齢が高いことから健康成人を対象としたサンプル群から作成されたSNPデータベースには未発症例が混在している可能性はある.したがってSNPであっても病因変異である可能性は否定できない.

DSG2(c.1481 A>C)に関してはpolyphenやSIFT,PANTHERによる予測ではタンパク質機能異常をきたす可能性が高い変異であった.日本人のARVCに関する検討では本家系にみられたDSG2(c.1481 A>C)と同様の変異が報告されている1)ことから,DSG2(c.1481 A>C)に関してはARVC発症に寄与している可能性が高い.

ARVCによる若年突然死症例でのDSG2変異の症例報告はある11)が,本症例でみられた変異部位(c.1481 A>C)に関してはこれまでの報告では若年発症への寄与は示されていない.また,本家系において患児の父と姉が同様のDSG2の変異を有しているにもかかわらず発症に至っていないことからはDSG2(c.1481 A>C)自体が早期発症に関わっているかどうかの判断は困難である.他の保因者が未発症であることから,この変異が発症に至るかは浸透率やその他の遺伝的・環境的な関与があるものと推察される.この点に関して,本症例ではTMEM43にもアミノ酸変化を伴う変異を認めたことが発症に寄与した可能性を考慮する必要がある.

ARVC5の原因とされるTMEM43の変異(c.1073C>T: p.S358L)では変異型TMEM43の存在により,デスモゾーム構成タンパク質や細胞骨格構成タンパク質の発現に影響を与え,若年発症や左心系への病勢の進展に寄与するという報告がある.本家系におけるTMEM43の変異は単独保因者である母が発症に至っていない点やpolyphen,SIFT,PANTHERの結果からは少なくとも単独の変異で発症に至るものではないと考えられる.そのため,TMEM43(c.601G>A)の変異がデスモゾーム構成タンパク質の変異に影響を与えるか否かに関しては今後の症例の蓄積やタンパク質機能の解析を要する.DSG2(c.1481 A>C),TMEM43(c.601G>A)いずれにおいても今後機能解析により病態形成への寄与の有無を検討していく必要がある.また,遺伝子変異が認められた家族の心電図や心エコーも定期的に評価が重要と考える.

病因遺伝子の研究においては「変異のある遺伝子」=「疾患責任遺伝子」と断定できず,変異遺伝子のタンパク質機能解析を必要とする.これまでの研究は細胞株や実験動物によって行われてきた.これらの問題点は種差により,必ずしもヒトにおける表現型を担保しないという点にあったが,ヒト人工多能性幹細胞(iPS細胞)12)は患者由来の細胞系を用いた解析を可能とした.既にARVCにおいても患者由来iPS細胞の報告がなされ病因解明を期待されている13–15)

ARVCの責任遺伝子の多くがデスモゾーム構成タンパク質であり,いかにして脂肪変性が起きるか,なぜ右室に病変が優位であるのかその全容は明らかでない.しかし,心臓発生とARVCの病因が密接に関与しているとする興味深い仮説がある.

右心室とくに右室流出路を形成する心筋は二次心臓形成領域(secondary heart field; SHF)に由来し,Wnt/βカテニンシグナルがSHFの形成・維持に重要な役割を担っている16, 17).脂肪分化を誘導する転写因子PPARγは通常βカテニンにより抑制されているが,βカテニンと分子構造の類似したjunctional plakogrobinは核内でPPARγのプロモーター領域に結合し,βカテニンと対照的にPPARγ発現を促進する.デスモゾームの異常によりjunctional plakogrobinがデスモゾームに局在できなくなり,核内に移行することがPPARγの発現促進,脂肪変性へつながる.この影響が色濃く出るのがSHFに由来する右室心筋であるとする仮説18)である.しかし,これまでの報告ではDSPの発現抑制でこの現象が確認された19)のみであり,他のデスモゾーム構成タンパク質や非デスモゾーム構成タンパク質の変異によっても同様の現象が再現されるかは不明である.そのため,今後の研究では細胞接着や細胞骨格の評価に加えWnt/βカテニンシグナルの評価も行っていくことがタンパク質機能の解析およびARVCの病因究明に有用であると考えられる.

結語

小児においてもARVCは重症心不全の鑑別疾患として考慮しうる疾患である.学校心臓病検診はその検出に有用であった.小児期発症のARVC遺伝的背景に関しては不明な点が多いが,本症例ではDSG2, TMEM43の2つの遺伝子変異が関与している可能性が考えられた.ARVCと診断した場合には家族も含め遺伝子検索を行い,変異がある場合には精査を行うことが重要である.

付記

この論文の電子版にて動画を配信している.

Web Resources

NCBI dbSNP(http://www.ncbi.nlm.nih.gov/SNP/)

SIFT(http://sift.jcvi.org/)

PolyPhen-2(http://genetics.bwh.harvard.edu/pph2/)

Panther(http://www.pantherdb.org)

引用文献References

1) Ohno S, Nagaoka I, Fukuyama M, et al: Age-dependent clinical and genetic characteristics in Japanese patients with arrhythmogenic right ventricular cardiomyopathy/dysplasia. Circ J 2013; 77: 1534–1542

2) Haan den AD, Tan BY, Zikusoka MN, et al: Comprehensive desmosome mutation analysis in north americans with arrhythmogenic right ventricular dysplasia/cardiomyopathy. Circ Cardiovasc Genet 2009; 2: 428–435

3) Fressart V, Duthoit G, Donal E, et al: Desmosomal gene analysis in arrhythmogenic right ventricular dysplasia/cardiomyopathy: spectrum of mutations and clinical impact in practice. Europace 2010; 12: 861–868

4) Pilmer CM, Kirsh JA, Hildebrandt D, et al: Sudden cardiac death in children and adolescents between 1 and 19 years of age. Heart Rhythm 2014; 11: 239–245

5) Romero J, Mejia-Lopez E, Manrique C, et al: Arrhythmogenic Right Ventricular Cardiomyopathy (ARVC/D): A Systematic Literature Review. Clin Med Insights Cardiol 2013; 7: 97–114

6) Marcus FI, McKenna WJ, Sherrill D, et al: Diagnosis of arrhythmogenic right ventricular cardiomyopathy/dysplasia: Proposed modification of the task force criteria. Circulation 2010; 121: 1533–1541

7) Bauce B, Nava A, Beffagna G, et al: Multiple mutations in desmosomal proteins encoding genes in arrhythmogenic right ventricular cardiomyopathy/dysplasia. Heart Rhythm 2010; 7: 22–29

8) Corrado D, Basso C, Thiene G, et al: Spectrum of clinicopathologic manifestations of arrhythmogenic right ventricular cardiomyopathy/dysplasia: A multicenter study. J Am Coll Cardiol 1997; 30: 1512–1520

9) Groeneweg JA, van der Zwaag PA, Jongbloed JDH, et al: Left-dominant arrhythmogenic cardiomyopathy in a large family: associated desmosomal or nondesmosomal genotype? Heart Rhythm 2013; 10: 548–559

10) Merner ND, Hodgkinson KA, Haywood AFM, et al: Arrhythmogenic right ventricular cardiomyopathy type 5 is a fully penetrant, lethal arrhythmic disorder caused by a missense mutation in the TMEM43 gene. Am J Hum Genet 2008; 82: 809–821

11) Sato T, Nishio H, Suzuki K: Sudden death during exercise in a juvenile with arrhythmogenic right ventricular cardiomyopathy and desmoglein-2 gene substitution: A case report. Leg Med (Tokyo) 2011; 13: 298–300

12) Takahashi K, Tanabe K, Ohnuki M, et al: Induction of pluripotent stem cells from adult human fibroblasts by defined factors. Cell 2007; 131: 861–872

13) Ma D, Wei H, Lu J, et al: Generation of patient-specific induced pluripotent stem cell-derived cardiomyocytes as a cellular model of arrhythmogenic right ventricular cardiomyopathy. Eur Heart J 2013; 34: 1122–1133

14) Kim C, Wong J, Wen J, et al: Studying arrhythmogenic right ventricular dysplasia with patient-specific iPSCs. Nature 2013; 494: 105–110

15) Caspi O, Huber I, Gepstein A, et al: Modeling of arrhythmogenic right ventricular cardiomyopathy with human induced pluripotent stem cells. Circ Cardiovasc Genet 2013; 6: 557–568

16) Cohen ED, Wang Z, Lepore JJ, et al: Wnt/beta-catenin signaling promotes expansion of Isl-1-positive cardiac progenitor cells through regulation of FGF signaling. J Clin Invest 2007; 117: 1794–1804

17) Dyer LA, Kirby ML: The role of secondary heart field in cardiac development. Dev Biol 2009; 336: 137–144

18) Lombardi R, Marian AJ: Molecular genetics and pathogenesis of arrhythmogenic right ventricular cardiomyopathy: A disease of cardiac stem cells. Pediatr Cardiol 2011; 32: 360–365

19) Garcia-Gras E, Lombardi R, Giocondo MJ, et al: Suppression of canonical Wnt/beta-catenin signaling by nuclear plakoglobin recapitulates phenotype of arrhythmogenic right ventricular cardiomyopathy. J Clin Invest 2006; 116: 2012–2021

This page was created on 2016-03-07T10:42:55.356+09:00
This page was last modified on 2016-04-12T11:34:42.164+09:00


このサイトは(株)国際文献社によって運用されています。