Online ISSN: 2187-2988 Print ISSN: 0911-1794
特定非営利活動法人日本小児循環器学会 Japanese Society of Pediatric Cardiology and Cardiac Surgery
Pediatric Cardiology and Cardiac Surgery 32(4): 291-306 (2016)
doi:10.9794/jspccs.32.291

ReviewReview

心臓MRICardiac Magnetic Resonance Imaging

CVIC心臓画像クリニック飯田橋CVIC Cardiovascular Clinic Iidabashi

発行日:2016年7月1日Published: July 1, 2016
HTMLPDFEPUB3

近年,心臓MRIは技術的革新が急速に進み,撮影技術や装置の進歩に伴って,さまざまな臨床応用方法が編み出され,無限の広がりを見せている.そのうちのいくつかは,十分な実測値の裏付けを基に,すでに日常臨床に汎用されている.これらの進歩と経験の蓄積により,CMRは,局所壁運動や心室収縮能,先天性心疾患の血行動態,心筋梗塞の検出やviability確認,心外膜疾患や心臓腫瘍評価の標準的検査となった.小児循環器医がCMRを十二分に活用するためにまず把握しておく点は以下6点である.

1)被曝がなく低侵襲

2)心エコーと異なり見えない場所がない(Window制限がない)→正確な容積・心室機能評価が可能.

3)あらゆる血管の血流量が計測できる

4)非造影で3D形態把握が可能

5)心筋性状がわかる

6)欠点は,低機動性,磁性体,労力(熟練を要する).

ここではCMRの技術的側面・運用方法と小児患者に用いる際に考慮すべき要点について解説する.

Cardiac magnetic resonance imaging (CMR) has undergone rapid evolution over the last few years. Significant advances in pulse sequence design, scanner hardware, and coil technology have resulted in progressive expansion of the clinical applications of CMR. Some of these have already been applied in daily clinical use, based on in vitro and in vivo validation. CMR is now recognized as the reference standard for the assessment of regional and global systolic function, hemodynamics of congenital heart disease, detection of myocardial infarction and viability, and the evaluation of pericardial disease and cardiac masses. When using CMR, pediatric cardiologists must understand six key features:

1) The non-invasive modality without exposure to harmful ionizing radiation.

2) Precise volumetric and functional analysis without restrictions related to acoustic windows, scar tissue, and other postoperative changes.

3) Ability to measure flow volume for almost all blood vessels.

4) Ability to display cardiovascular anatomy in three-dimensional projections without contrast medium.

5) Ability to assess myocardial tissue characterization.

6) Disadvantages including lack of portability, implanted magnetic material, and time and labor consuming (with high skill requirements).

In this review we described the key technical and practical aspects of CMR and highlighted some important considerations for pediatric patients.

Key words: cardiology; pediatrics; hemodynamics; congenital heart disease; cardiovascular magnetic resonance

はじめに

心臓MRI(CMR: Cardiac Magnetic Resonance imaging)を勉強したい,という人は多い.昨今,小児循環器領域でも一般の循環器領域でもCMRが脚光をあび,様々な診断に有用と喧伝されている.「CMRはおもしろそうだ.自分も勉強して習熟してみたい」と思うのかもしれない.次々と新しい診断方法や臨床的な知見が時間とともに急速に積み上げられていく現代において,そのようなモチベーションも重要だろう.しかし,CMRを習熟するために,何のためにCMRを用いるのか,という「目的」が明確である必要がある.言い換えれば「患者の何を知るためにCMRを使うのか」ということである.もちろん,病態をより深く理解し,最適な治療を選択するためであるが,そのためには「CMRで何がわかり,何がわからないのか,検査で得られた値は正確なのか,どのように解釈すべきなのか」という点をよく理解しなければならない.

肺動脈弁の逆流率が60%と高値である,という計測結果が出た場合にも,果たしてそれが本当なのか? ということを必ず考えなければならない.右心室は大きいのか,左右の肺動脈でも同様の逆流率なのか,差し引きした肺血流量は左室からの心拍出と一致するのか,肝腫大はないのか,など,矛盾のないことを確認する必要がある.このように検査で得られた値を患者の生理に符合させ,真の状態を評価でき,かつ適切に対処できることこそ,臨床の実力と言っていい.本稿ではこのように,CMRを有用な検査機器として活用するために何を理解する必要があるのか,どのように解析・解釈を行うべきなのか,を中心に解説する.なお,「CMRの原理」および「基本的なCMRシーケンス」の項はやや難解なため,最初はとばしていただき,最後に読んでいただいてもよい.

CMRの原理

CMRは診断装置としての摘要を次々と拡大している.この装置を使いこなし,正確に画像を解釈するためには,最低限の原理を理解しておく必要がある.

CMRは磁場とラジオ波エネルギーを用いて人体の断層写真を描出する.これは核磁気共鳴現象,すなわち原子核が選択的に吸収したエネルギーをラジオ波として再放出する能力に基づく.放出されたエネルギーを捕捉し画像に変換する.生体組織中の水分や脂肪の中には水素原子が豊富なので,MRIは原則として水素原子を対象としている.

自然界では組織内の水素原子は非常に小さな棒磁石として振る舞い,その極性はランダムである.そのため組織としての正味の磁化率はゼロである.スキャナーの巨大な超伝導磁石によって作りだされる強力な磁場中に置かれると,原子核(スピン)は磁場の方向に整列し,生体組織はスキャナーの軸に沿って磁化する.原子核は与えられた磁場の強度と頻度に依存して歳差運動(独楽の回転軸が斜めになり円を描くように振れる現象)する1).臨床に用いられるスキャナーの磁場強度は0.15~7 T(tesla)で,実臨床においては1.5 T装置が汎用されている.これは地球表面における自然磁場のおよそ20,000倍である2)

ラジオ波送信コイルが特異な共鳴頻度で組織へパルスを照射すると,組織内の水素原子はこのエネルギーを吸収しランダムなベクトルから整列し高エネルギー状態となる.ラジオ波照射が停止すると,原子核は低エネルギー状態(ランダムなベクトル状態)に緩和していく過程で吸収したエネルギーを放出する.そのエネルギーが受信コイルで電磁波信号として検出・増幅され,それぞれの強度をグレイスケールで位置情報に対応させてプロットすることで組織の断面像が得られる1, 3)

水素原子は低エネルギー状態に緩和する際に二つのプロセスを経る.長軸方向の緩和(緩和時間T1)と横軸方向の緩和(T24))である.異なる組織でT1とT2の相対比は異なる.ラジオ波パルスのタイミングや傾斜磁場の強度を変えたり,造影剤と磁化プリパレーションパルス(inversion recovery, saturation recovery, fat-suppression, blood-nulling sequencesなど)を用いたりすることで,T1, T2変化に差が生じ,調べたい組織性状を詳細に評価できるようになる5)

このラジオ波(90度パルス)を照射する間隔をTR(Repetition Time)といい,直前の電磁波照射から信号を取り出すまでの時間をTE(Echo Time)という.撮影シーケンスによりTRもTEもあらかじめ決まっており,改めて設定する必要はないことが多いが,心拍数の高い小児においては,RR間隔とこれらの時間の調整が必要になることがある.

基本的なCMRシーケンス

傾斜磁場・ラジオ波パルスの印加(照射)タイミングおよびその波形・強度と被検体からのプロトン放出エネルギー収集制御を含めた一連の信号収集系列のことをシーケンスとよぶ.このシーケンスを用いて目的別に撮影方法をアレンジしたものを撮影プロトコールと称する.

シーケンスではそれぞれの印加・収集パターンに応じた,シーケンス特異的な組織画像を得ることができる6).これらシーケンスの基本原理は成人と小児で大きく変わるものではなく,小児でも成人同様のシーケンスを用いることができるが,小さい体格(より高い空間分解能が必要)と速い心拍数(より高い時間分解能が必要)に対し調整が必要である.先天性心疾患(CHD)では解剖が複雑であるため,症例ごとの問題点に応じた撮影が一般的である7)

①Spin echoは代表的なシーケンスの一つである.このシーケンスは心周期のある一点における画像を撮影するためのものである.血液は低信号に,周囲の組織は灰色に描出される8).解剖学的情報や組織性状(心筋炎,心外膜炎,心筋症,血管炎,心臓腫瘍)を描出することができる9).撮影時間が長いのが欠点だが,短時間化したシーケンスもある.ただし短時間での撮影は空間分解能および時間分解能とのトレードオフである.

②Gradient echo cineは撮影プロトコールの一つで,心周期を通した動きをshort movieとして作成する.心周期を複数のsegment(frames)に分割し,2D imageのシリーズを作り出し,連続して表示することで動画とする.血液は高信号で表示され,その動画は血流,弁機能,心室容積,心筋重量,EFや壁運動などのdynamic functionの評価にきわめて有用である.

このGradient echo cineはstandard spoiled gradient echo pulse sequenceというシーケンスにより撮影されてきたが,最近ではsteady state free precession sequence(SSFP)というシーケンスがより多く用いられるようになり,撮影時間の短縮,血液と心筋のコントラストの増大が得られるようになった10).このシーケンスは3Dイメージングにも用いられ,高い空間分解能から詳細な心内外構造・血管走行を非造影で描出できるようになった11–13).ただし,SSFPは磁場の不均一性に伴うartifactを生じやすく10),実臨床においては両シーケンスを基盤とする撮影方法が適用されている.Spoiled gradient echoシーケンスは依然として遅延ガドリニウム造影(LGE),造影3D MRA(MR angiography),Perfusion(いずれも撮影プロトコール,後述)や,Phase Contrast法(下記)に広く用いられている.

③後述するFlow measurementに用いられる重要な撮影シーケンスがPhase contrast法である.これにも様々な呼称がある(Phase encoded velocity mapping, phase shift法など).先に挙げたGradient echo cineシーケンスにおいてflow-encoding gradient pulseを用いることで撮影される.この撮影原理の鍵となるのは“位相(phase)”であり“phase encoded velocity mapping”を意味する.励起後の組織(の水素原子)から放出される信号は,例えば正弦波のように周波数と振幅(信号強度)をもち,位相(時間により規定される信号強度)が存在する.正から負と負から正の双極性ラジオ波が連続して照射されると,最初の照射では静止組織・動いている組織ともに位相が蓄積されるが,続いて逆向き電磁波照射により,静止組織では蓄積した位相がすべて失われ信号が0となる.一方,動いている組織では,水素原子のspin vectorは磁場内の異なる場所に移動しているため,完全には逆戻りせず,位相が蓄積される.つまり,静止組織では位相が0となるが,動いている組織では位相が加算される.この加算された位相(信号強度)を次式で変換することでそのpixelごとに通過する血流量が算出される. phase=g×v×T×Ag g: 磁気回転率,v: 速度,T: gradient pulse照射時間,Ag: gradient pulse面積

VENC(velocity encoding)は検出する速度に対するラジオ波パルスの強度を調整するために用いられ,撮影前に設定する必要がある.平易に言えば設定とは撮影時の血流速度の上限を決めるだけである.この手法は血液のみならず心筋組織等にも適用可能である14)

このようにMRIの世界は原理もさることながら様々な用語の呼称も独特で,小児循環器の臨床家が網羅的にこれらを把握し理解するのは至難の業である.最低限の撮影原理を知り,その原理を用いて得られた画像のもつ臨床情報を正確に解釈して,実臨床に活用できることが最も重要である.

実際に撮影機器のコンソールをみれば,多くの機種では撮影プロトコール別(cine, flow, MRA, perfusion, LGEなど)にすでに標準的な設定が組み込まれている.成人の場合は,ほとんどそのまま適用でき,検者が調整しなければならないのは撮影位置の決定と体格およびRR間隔に対する調整がほとんどである.

小児循環器医が撮影に携わるのはこの位置決めにおいて関心領域を的確に描出するための解剖学的情報の検者への提供だろう.あとは鎮静・モニタリング・微調整である(後述).

撮影プロトコール

国際的なCMR学会15)では推奨する標準的な検査プロトコールを定めているので参照されたい.ここでは循環器診療に携わる者が理解しておくべき撮影プロトコールをわかりやすく8つにまとめ,一つずつ解説する.

①Cine MR

最も基本的な撮影プロトコールで,前項のGradient echo cineのことを省略してcine, cine MRなどと称する.近年は撮影シーケンスにはSSFPを用いていることが多い.任意断面の動画が得られ,心筋心腔境界がきわめて明瞭に描出される.ただし厚みがあり,細かい血管,例えば冠動脈の起始などは不正確になる場合がある(実際はつながっていないところが接続して見えてしまう).機種によるがスライス厚は3 mm程度から設定可能である.薄くするとSN比が落ち,画質が落ちる.成人での心室容積定量では8 mmスライス厚を用いることが多い.5 mmでも10 mmでも可能で,体格に応じて調整する必要がある.CMRによる容積測定はエコーと比較してより正確とされ16–18),小児においても心房・心室容積標準値は広く公開されており19–22),再現性も高い23).壁運動評価にも有用で,虚血や脚ブロックに伴う局所壁運動異常を明瞭に描出できる.

【心室機能解析の実際】

CMRでは心室全体が乳頭筋を含めて明瞭に描出されることで,ありのままの左右心室の姿(容積・拍出量・心筋重量・壁運動)が数値として表現される.撮影方法は一貫しており,検者によって評価断面がずれる心エコーと比較して再現性という点でも有利である.心室容積計測(解析)は一般にSimpson法(ディスク法)で行われる.左右心室ともに撮影できる短軸像(SA: Short-Axis)から求めるのが一般的で,各時相の心内外膜面をトレースすることで算出される(Fig. 1左).Mooijら23)は,60小児例のCMRから,右室拡張末期容積・心筋重量の検者内および検者間変動係数は6.4%および11.3%と低く,左室の3.6%から10.5%と変わらないと報告した.Grothuesら24)は,同係数を6.2%と8.7%と報告している.Clarkeら25)は,CHD50例でSA planeとaxial planeを比較し,右室収縮末期容積以外,両者に有意差なしと結論した.Blalockら26)は,ファロー四徴症(TOF)30例の右室容積・心筋重量・EF等が,同一症例の時期の異なる検査間でも高率に一致することを示し,経時的変化をとらえることができると主張した.

一方で,計測(解析)方法が適切でなければ,当然その値は不正確となる.誤差を生む最大の要因は,心基部(心房心室境界)および乳頭筋のトレース法にある.左右心室とくに右室では心基部の正確な同定には経験が必要である.基部を明瞭に判別するために,Axial planeでの撮影から容積計量する方法も推奨される(Fig. 1右).また,乳頭筋を一切無視する(内腔に含める)と左室については容積が6.5%増大するとされる27).特に心肥大の強い右室ではその影響が大きく,誤差が増大するため,pixel-intensityから乳頭筋を自動的に判別し内腔から除外できるソフトの使用が勧められている28)Fig. 2は自験例の心室容積をCMRとAngiogramで比較した図である.良好な相関が得られており,今まで用いてきた心カテによる心室容積と同様の臨床感覚で,より正確なCMRによる心室容積を用いることができる.

Pediatric Cardiology and Cardiac Surgery 32(4): 291-306 (2016)

Fig. 1 Sample images of endocardial contours

Pediatric Cardiology and Cardiac Surgery 32(4): 291-306 (2016)

Fig. 2 Comparison between cardiac magnetic resonance and ventriculogram in end-diastole ventricular volume

CMR: cardiac magnetic resonance; LV: left ventricle; RV: right ventricle.

②Flow measurement

撮影シーケンスとしてPC法を用いたプロトコールである.いくつかの撮影プロトコールがあるが,最も汎用されているのは,through planeと呼ばれる方法で,対象血管を血流方向と垂直な断面で切断するような撮影方法である(Fig. 3).任意断面の信号強度を反映した動画(Magnitude画像:Fig. 3右上)と血流速度を反映した位相差画像の動画(Fig. 3右下)がセットで得られる.ソフトウェアを用いて個々の血管を断面上で囲うことで(ROI: Region of interestの設定),この断面を通過する血流量が計算・定量される(Fig. 429–31)

Pediatric Cardiology and Cardiac Surgery 32(4): 291-306 (2016)

Fig. 3 Flow measurement

PC-MRI: phase contrast-magnetic resonance imaging.

Pediatric Cardiology and Cardiac Surgery 32(4): 291-306 (2016)

Fig. 4 Analysis of flow volume

AR: aortic regurgitation.

この方法で大小の動脈や肺静脈の血流量計測できる.また心拍出量や心内・心外シャントの定量,狭窄病変圧較差の測定・弁逆流率定量も可能である32–35).一方,in-planeという撮影方法もある.これは対象血管を血流速度と平行な断面で切断する方法で,狭窄部位の同定などに用いられる14).呼吸によるmotion artifactsや流量変化は平均化されて相殺されるため,規則的な呼吸であれば通常問題とならない.

一般にCHDごとにリアルタイムで撮影場所が細かく指示・設定されることが多いが,日本ではマンパワーが欧米に比べ小さく,鎮静・撮影と事細かに状況に対応できる医師の確保が困難であるため,当院では,経験を積んだ技師であればある程度断面設定がスムーズにいき,よほど複雑な心奇形でない場合は,最低限撮影しておけば後で血行動態の組み立てが可能であろうと思われる基本6断面もしくは10断面で撮影している(Fig. 5).基本6断面とは大動脈(AAo),主肺動脈(MPA),上大静脈(SVC),下大静脈(IVC)(+下行大動脈(DAo)),左右肺動脈(LPA, RPA)で,10断面の場合はこれに僧帽弁(MV),三尖弁(TV)および左右肺静脈(RPV, LPV)が加わる.

Pediatric Cardiology and Cardiac Surgery 32(4): 291-306 (2016)

Fig. 5 Routine flow measurement planes

Qs: systemic blood flow volume; Qp: pulmonary blood flow volume.

このプロトコールでは断面さえ正確に設定できれば,撮影および血流量の測定は比較的容易で値は正確である30, 36).しかし得られた値の解釈には,実臨床の経験が必要である.一般に得られた血流量は異なる部位で同じはずの血流量が一致しているかどうかで検証できる.例えば肺動脈と左右肺動脈血流の和である.また,健常人ではAAo=MPAとなるはずであり,臨床に応用する前に自施設の装置が正しく計測できるか検証しておくことが望ましい.PC法では静脈系の血流も計測可能である.通常正確に撮影されれば大静脈は二相性の血流パターンを示し,それらの総和(SVC+IVC)はシャントのない症例ではAAo血流に一致する(Fig. 5).Fontan術後症例では上行大動脈と大静脈の総和が一致しないことから体肺短絡血流が相応に存在することが判明した37)また,Volume dataとの整合性を検証することでより正確な計測が可能で,房室弁逆流の定量も可能となる.例えば心室中隔欠損も僧帽弁逆流もない場合,大動脈血流は左室拍出量と一致しているはずで,Flow measurementで求めた1心拍の大動脈血流と,Cineからvolumetryで求めたStroke volume(EDV-ESV)は一致するはずである.逆に相応の僧帽弁逆流がある場合,大動脈血流を肺動脈血流や上大静脈+下大静脈と比較して正しいことを確認しておけば,Volumetryから求めたStroke volumeと大動脈血流の差が,僧帽弁逆流の量となる.CMRの定量評価によるMR重症度は心エコーより正確であったとされ,手術適応を厳格に定める必要性が指摘されている38).このようにFlow measurementとVolumetryを組み合わせて検証することで正確な心機能血行動態評価が完結する.

③非造影MRA

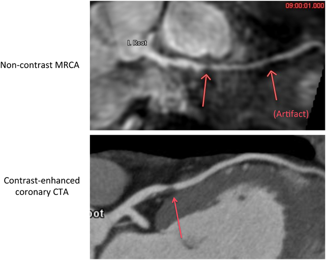
MRAはMR angiographyの略で,その名の通りMRIで血管を描出する撮影プロトコールである.成人循環器領域で最も患者の多い冠動脈疾患の診断を最大の目的として技術的革新が進んだ.MRIは組織間コントラストが非常に優れており,冠動脈MRA(MRCA)では造影剤を使用しなくても血液を白く光らせ,冠動脈を明瞭に描出することが可能である.MRCAの撮影技術は,2003年に開発された比較的新しいMRI撮影技術である,世界的に見ても安定して実施できる医療機関はまだ限られている.心臓CTよりも低侵襲(ほぼ無侵襲)であり,原理的特徴から冠動脈石灰化による影響を受けずに血液を高信号に描出し冠動脈内腔を描出可能である.MRCAは心臓CT検査のような呼吸停止が不要で,普通に呼吸した状態(free breath)で,横隔膜同期および心電図同期を併用して撮影する(Fig. 6).そのため,呼吸停止の困難な方や耳の不自由な方にとっても比較的容易にできるのが特徴である.Fig. 7はこのプロトコールで撮影した成人冠動脈(左前下行枝)である.segment 7に明瞭な信号低下が認められ,有意狭窄が疑われた.同一症例の造影CTAが下図である.空間分解能にまさる冠動脈造影CTではより明瞭に非石灰化プラークの形状まで描出され,同部位に有意狭窄が存在することが確認された.このように本プロトコールでは非造影にて,診断に使えるレベルの冠動脈形態が描出可能である.非造影MRAによる冠動脈狭窄の陽性的中率はおよそ70%,陰性的中率は96%と低侵襲でスクリーニングに長じた結果が示されている39)

Pediatric Cardiology and Cardiac Surgery 32(4): 291-306 (2016)

Fig. 6 Navigator-gated free breathing MRCA

MRCA: magnetic resonance coronary angiogram.

Pediatric Cardiology and Cardiac Surgery 32(4): 291-306 (2016)

Fig. 7 Non-contrast MRCA and contrast-enhanced coronary CTA

MRCA: magnetic resonance coronary angiography; CTA: computed tomography angiography.

先天性心疾患領域では冠動脈狭窄評価が主目的となることは多くなく,大血管や心内構造の把握に本プロコールが用いられる.対象が冠動脈以外の場合はMRCAでなく,Whole heart MRA(WHMRA)と称することが多い.前述のごとく呼吸同期するため,鎮静の必要な小児でもfree breathの状態で撮影可能であり,肺動脈や大動脈・大静脈の形態評価には大きな威力を発揮する.Fig. 8はTCPC術後,若年成人症例のVR(Volume rendering)像だが,人工血管,肺動脈,肺静脈,DKS吻合や大動脈弓まで明瞭に描出されている.また,形態のみでなく人工血管の壁在血栓や腫瘍の評価も可能である(Fig. 9).体格の小さい新生児や乳児では空間分解能の限界から冠動脈の形態評価は困難で,起始および走行がかろうじて評価できるレベルである.また肺静脈や動脈管,modified BT shuntなど流速が大きく,全時相でとどまらずに流れている部分はflow voidによるartifactsが大きくなり低信号となる.肺静脈も描出可能であるが,肺静脈はどの時相でもある程度の流速があるためflow voidによるartifactsが大きくなり非造影での描出は困難なことが多い.その場合は造影剤を用いたcontrast 3D MRAで撮影する場合もある(後述).

Pediatric Cardiology and Cardiac Surgery 32(4): 291-306 (2016)

Fig. 8 VR image of arch repair case with DKS anastomosis

VR: volume rendering; DKS: Damus–Kaye–Stansel.

Pediatric Cardiology and Cardiac Surgery 32(4): 291-306 (2016)

Fig. 9 Thrombus in the extra-cardiac conduit

WHMRA: whole heart magnetic resonance angiography; VR: volume rendering.

④T2WBB(T2 Weighed Black Blood)

この撮影プロトコールは前述のSpin echoシーケンスを用いて撮影される.血液の信号をゼロ(黒)とする撮影法である.T2強調像での心筋内高信号域は心筋浮腫を反映すると考えられており,急性虚血や炎症性変化に伴う所見とされる.Fig. 10は心筋炎同一症例のT2強調画像と遅延造影像の比較である.心筋炎では心筋中層から外膜側が侵されることが多く40),本症例では前壁から側壁の心外膜側にT2高信号を認める.LGE陽性部分にも一致しており,炎症および浮腫を反映していることが裏付けられる.

Pediatric Cardiology and Cardiac Surgery 32(4): 291-306 (2016)

Fig. 10 T2-weighted black blood

⑤T1WBB(T1 Weighed Black Blood)

これは心筋脂肪変性を検出するプロトコールである.ARVC(Arrhythmogenic right ventricular cardiomyopathy:不整脈原性右室心筋症)の心筋脂肪変性や腫瘍の性状評価を目的として撮影する.2010発表のARVC revised Task Force Criteria41)では,診断基準の一つとしてのCMRが採用されたが,従来の脂肪変性検出は疑陽性が多く,右室壁運動異常および容積・収縮能のみ該当となった.しかし,このプロトコールによる右室および左室心筋の脂肪変性検出はARVCの診断や生検部位の参照としても有用で,簡便にも撮影できるので利用価値は高い(Fig. 11).

Pediatric Cardiology and Cardiac Surgery 32(4): 291-306 (2016)

Fig. 11 T1-weighted black blood

MR: magnetic resonance.

⑥Perfusion

SSFPシーケンスと造影剤を使用して心筋虚血評価を行うプロトコールである.通常はアデノシンによる薬物負荷での撮影(Stress)と安静時の撮影(Rest)を比較して,虚血の有無を判定する.虚血部位はStress下でdefectとして描出される(Fig. 12).視覚的定性評価,3Dワークステーションを用いた定量的診断両方の評価が可能である.心筋シンチと同等かそれ以上の精度でかつ,コストは約1/3で虚血の判定が可能とされる42).最近のメタアナリシスでは陰性的中率が98%であったとされる43).胸痛や冠動脈奇形・冠動脈移植術後評価などに用いられる.CHDや川崎病での報告もあり44–47),シンチグラフィと比較して被曝がなく,空間分解能が高い点で有利とされる48–51)

⑦造影3D MRA

ガドリニウム造影剤を静脈投与しながらSpoiled gradient echo pulseシーケンスを用いて撮影する.造影剤を用いると血液と周囲組織のコントラストが増大し,非造影では低信号となりがちであった流れの止まらない部位(modified BT shuntや肺静脈など)も明瞭に描出される(Fig. 1352–57).ただ,空間分解能はそれほど高くないので小児の冠動脈等の描出は難しい.空間分解能を上げると撮影に時間がかかり,目的とする部位に造影剤の濃淡を生じてしまう.

Pediatric Cardiology and Cardiac Surgery 32(4): 291-306 (2016)

Fig. 12 Short axis first pass perfusion magnetic resonance image

Pediatric Cardiology and Cardiac Surgery 32(4): 291-306 (2016)

Fig. 13 Contrast enhanced three-dimensional magnetic resonance angiography

A: Three-dimensional (3D) contrast-enhanced MRA of post subclavian flap operation. Red arrow: restenosis of aortic arch; orange arrow: aneurysm by recoarctation jet. B: 3D contrast-enhanced MRA of a patient with chronic thromboembolic pulmonary hypertension. Showing stenosis of the upper branch of right pulmonary artery. MRA: magnetic resonance angiography.

⑧遅延造影(late gadolinium enhancement: LGE)

遅延造影はSpoiled gradient echoシーケンスを用いて,ガドリニウム造影剤投与後5~15分の間に心筋内への造影剤のプーリングを画像化するプロトコールである.正常な心筋ではガドリニウムは血管内から急速に細胞外スペースに流出するため,5分経過するとほとんどT1緩和時間は短縮していない(黒く写る).しかし急性梗塞や炎症で細胞が破壊されると細胞外スペースが増加し(浮腫),かつ細胞内へのガドリニウムの停滞が生じ5~15分程度の間T1緩和時間が短縮する(白く写る).したがって正常心筋組織と急性梗塞巣や炎症部位でコントラストが生じ,病変が白く描出される.また,線維化組織では心筋細胞がcollagenに置換しており,同部位にガドリニウムが停滞するため,同様に正常心筋とのコントラストを生じる58).病理的な心筋線維化とLGE所見にはきわめて強い相関のあることが確認されている59, 60).虚血性心疾患,心筋症や心筋炎など疾患ごとに特異なLGE patternを呈し(Fig. 14),疾患の鑑別にきわめて有用である61).また,DCM62),HCM63, 64),弁膜症65)では予後不良因子であることが判明している.

Pediatric Cardiology and Cardiac Surgery 32(4): 291-306 (2016)

Fig. 14 Pattern of late gadolinium enhancement

DCM: dilated cardiomyopathy; HCM: hypertrophic cardiomyopathy; d-HCM: dilated phase hypertrophic cardiomyopathy.

小児においてもLGEは術後再建部位に認められることが多い66–69).この中でLGEの存在は不整脈や心室機能増悪と関連するとの報告があるが,関与しないという報告もある上70),少数例でもあり実臨床への応用にはまだまだ対象および観察期間の蓄積が必要と考えられる.

小児の撮影での注意点

モーションアーチファクトに関しては,正常発達の7歳以上の児であれば,通常はこちらの指示に従って安静を保持でき問題とならないことが多い.しかし,新生児や乳児,発達遅滞を有する症例では特別な配慮が必要となる.6か月未満の乳児であれば授乳後の自然睡眠でも可能とされる71).ただし,早めに覚醒するためスキャンに妥協が必要となる.薬物を用いた深鎮静も一つの手である72)が,低換気および誤嚥リスクを可能な限り回避する必要がある.日本小児科学会・日本小児麻酔学会・日本小児放射線学会の「MRI検査時の鎮静に関する共同宣言」73)に詳細な記載があるので参照にされたい.全身麻酔による検査は息止めも可能で,慣れたチームで行えばきわめて安全な方法74–76)であるが,麻酔科医・磁場中で使える高度な医療機器が必要となるため,多大なマンパワー・労力を必要とする.

安全性への配慮

心臓に限らずMRI検査の前には埋込型の医療機器の存在をスクリーニングしておく必要がある77).病歴が定かでなく埋込型医療機器の存在がはっきりしない場合はあらかじめ単純撮影を行っておくと役に立つ.

ガドリニウム造影剤も問題となる場合がある.血管外漏出,単純な膨疹からアナフィラキシーまで生じうるアレルギー反応に注意が必要で78–80),事前に造影剤使用についての説明と同意を書面で得るべきである.

また重篤な合併症として腎性全身性線維症(nephrogenic systemic fibrosis: NSF)が報告されている.進行性で治療法がなく,致命的な皮膚・皮下組織・関節・骨格筋・内臓の広汎な線維化を特徴とする疾患である.糸球体濾過量(GFR)が30 mL/min/1.73 m2未満の腎機能障害を有する場合に生じる.他のリスクファクターとしては腎移植後や肝疾患の併存,炎症前状態などが挙げられている81, 82).NSFはきわめてまれな疾患で,小児は成人よりさらに少ないとされている83).新生児や乳幼児では腎機能が未成熟であるにもかかわらずNSFの発症が少ないため,高用量のガドリニウム造影剤を使用する施設があるが,必要最小限にとどめるべきであろう.いずれにしても造影前に腎機能の確認は必須である.腎機能障害がある場合は施設によるが,有益性と危険性をよく考慮する必要がある.当院ではeGFR < 30 mL/min/1.73 m2は禁忌,40 mL/min/1.73 m2以上は原則可で,30–40 mL/min/1.73 m2は状況に応じて造影を行う場合もあるが原則は回避である.

さらに安全面で注意を要することとしては,新生児や乳児で特にそうだが,撮影音による聴覚損傷を避けるため耳の保護を考慮しなければならない84).当院では乳児には耳栓をした上でヘッドホンを装着している.また,体温の密な観察も重要である.乳幼児では検査の進行とともに低体温・高体温に傾く恐れがある85)

MRIの安全性をまとめたサイト86)も公開されているので参照にされたい

実際のCHDの撮影と解析

CHDの撮影において最も重要なプロトコールはCine, Flow, WHMRA(いずれも非造影)である.これらを組み合わせて形態診断,心機能血行動態評価を完結する.造影3DMRAやLGEを加えるとより詳細な評価が可能である.当院での撮影方法はFig. 15に示したとおりで,初めて評価する症例はおよそ1時間強で撮影する.可能な限り撮影と同時進行で画像を解析し,値に不一致がないか,生理に符合しない点がないか,追加撮影は必要ないか検証する.

Figs. 16~18に症例を提示する.未手術の修正大血管転位として当院にCMRを依頼された若年成人である.チアノーゼありSpO2は76%,胸骨右縁中部にRevine 4/VIの収縮期駆出性雑音を聴取した.

Pediatric Cardiology and Cardiac Surgery 32(4): 291-306 (2016)

Fig. 15 Cardiac magnetic resonance process of congenital heart disease

まずWHMRAおよびCine MRで全体像を把握する(Fig. 16).Fig. 16AはAxial planeを尾側から頭側に並べたものである.IVCが椎体右を走行し右側心房に還流(心房位正位),右房は右側の心室に接続し,そこから肺動脈が起始している.また左側の心室からは大動脈が起始している.SVCは1本で右房に還流していることが判る.心室は全体的な形態(Fig. 16C, D)や房室弁付着位置,中隔面(Fig. 16B)から右側が左室,左側が右室と判断でき,形態診断としては{S.L.L.} cTGA VSD PS, SVCは1本で無名静脈が存在することがわかる.肺静脈もすべて左側心房に還流しており,VSDは十分に大きい(Fig. 16C, D).Fig. 17A–Cは造影3D MRAであるが,形態情報がより明瞭に得られる.ASDはやや不明瞭ではっきりしないが少なくとも大きな欠損はなさそうである.

Pediatric Cardiology and Cardiac Surgery 32(4): 291-306 (2016)

Fig. 16 Case presentation: Cardiovascular morphologic assessment {S.L.L.} cTGA PS VSD

A: WHMRA serial axial planes. B: Short axis plane of cine MR. C: Four chamber slab-MIP image. D: Three-dimensional VR image of MRA. cTGA: corrected transposition of great arteries; PS: pulmonary stenosis; VSD: ventricular septum defect; WHMRA: whole heart magnetic resonance angiography.

ついでFlow measurementから得られた各血流量と短軸Cine MRから得られた心室容積を検証し,血行動態を考察する(Fig. 18).得られた血流量を模式図内に矢印とともに記載した.これらの値が正しいかを異なる部位の血流量を比較し検証する.まずMPA 1.5 L/min/m2とRPA 0.7 L/min/m2+LPA 0.7 L/min/m2=1.4 L/min/m2とほぼ一致しており,SVC 0.9 L/min/m2, IVC 1.0 L/min/m2で両者の和1.9 L/min/m2は僧帽弁流入量2.1 L/min/m2とほぼ一致している.また,両心室に流入する全血流量MV 2.1 L/min/m2+TV 2.4 L/min/m2=4.5 L/min/m2は両心室から拍出される全血流量AAo 3.1 L/min/m2+MPA 1.5 L/min/m2=4.6 L/min/m2ともほぼ一致しており,各部位の計測血流量が実際と大きく解離していることはないと確認できる.なお検査時間の短縮のため肺静脈の撮影は施行しなかった.AAoとSVC+IVCの差1.2 L/min/m2は体肺短絡側副血行による肺血流と考えることができ,Qp/Qsは約1.4と算出された.

一方,cine MRからのvolumetryではLV output=2.1 L/min/m2, RV output=2.5 L/min/m2と算出され,それぞれMV flow 2.1 L/min/m2, TV flow 2.4 L/min/m2とほぼ一致しておりvolumetryも真の値と解離していないことが示された.左右心室の拍出量は二心室修復した場合の体循環・肺循環を支えることできるレベルと推測された.なお,房室弁逆流はわずかであった.本症例は造影プロトコールを追加しており,最後に遅延造影を行ったが,基部中隔心筋中層に明らかなLGEを認めた(Fig 17D, E).房室不一致症例は経年的に房室伝導が障害されることがあり,関連性が興味深いところである.

本症例に採択しうる外科治療選択肢として,Conventional Rastelli, Double switch operation(Atrial switch + Rastelli)(DSO),One and a half repair(1+1/2),TCPCが挙げられ,もちろん保存的観察という方針もあり,判断の難しいところだが,少なくとも今回のCMR検査で形態情報に加えて左右心室のポテンシャルが正確に計測されたことで,心室機能がDSOや1+1/2手術を断念する理由にはならない一つの根拠になると考えられた.

Pediatric Cardiology and Cardiac Surgery 32(4): 291-306 (2016)

Fig. 17 Contrast-enhanced three-dimensional magnetic resonance angiography and late gadolinium enhancement

A: VSD. B: Pulmonary vein, normal return. C: Pulmonary stenosis. D,E: Late gadolinium enhancement.

Pediatric Cardiology and Cardiac Surgery 32(4): 291-306 (2016)

Fig. 18 Flow analysis and volume study

AAo: ascending aorta; MPA: main pulmonary artery; SVC: superior vena cava; IVC: inferior vena cava; EDV: end-diastolic volume; ESV: end-systolic volume.

結語

CMRは心臓評価に有用な機能を数多く備えており,これらを組み合わせることでCMR単独でも十分な病態評価が,無被曝低侵襲で可能である.他のmodalityと組み合わせることで,より正確かつ詳細な心機能血行動態評価が可能である.小児においては,鎮静や撮影方法の調整など労力がかかる点が難点であるが,十分有能なmodalityであり,被曝のない点は日本人が一般に認識している水準よりもきわめて大きなメリットである.今後の本邦におけるより一層の活用を期待したい.

謝辞Acknowledgments

ご多忙中,ご高閲をいただきました,福岡市立こども病院循環器科 石川司朗先生,CVIC心臓画像クリニック飯田橋 寺島正浩先生に深く御礼申し上げます.

利益相反

本論文について,開示すべき利益相反(COI)はない.

付記

この論文の電子版にて動画を配信している.

引用文献References

1) Plewes DB, Kucharczyk W: Physics of MRI: a primer. J Magn Reson Imaging 2012; 35: 1038–1054

2) Ridgway JP: Cardiovascular magnetic resonance physics for clinicians: Part I. J Cardiovasc Magn Reson 2010; 12: 71

3) Cardiovascular magnetic resonance. Clin Privil White Pap 2011; 214: 1–19

4) Weishaupt D, Kochli VD, Marincek B, et al: How does MRI Work?: An introduction to the physics and function of magnetic resonance imaging. 2nd ed. Germany: Springer, 2007: 1910

5) Biglands JD, Radjenovic A, Ridgway JP: Cardiovascular magnetic resonance physics for clinicians: Part II. J Cardiovasc Magn Reson 2012; 14: 66

6) Pennell DJ, Sechtem UP, Higgins CB, et al: Clinical indications for cardiovascular magnetic resonance (CMR): Consensus Panel report. Eur Heart J 2004; 25: 1940–1965

7) Valsangiacomo Buechel ER, Grosse-Wortmann L, Fratz S, et al: EACVI: Indications for cardiovascular magnetic resonance in children with congenital and acquired heart disease: an expert consensus paper of the Imaging Working Group of the AEPC and the Cardiovascular Magnetic Resonance Section of the EACVI. Eur Heart J Cardiovasc Imaging 2015; 16: 281–297

8) Fratz S, Chung T, Greil GF, et al: Guidelines and protocols for cardiovascular magnetic resonance in children and adults with congenital heart disease: SCMR expert consensus group on congenital heart disease. J Cardiovasc Magn Reson 2013; 15: 51

9) Finn JP, Nael K, Deshpande V, et al: Cardiac MR imaging: state of the technology. Radiology 2006; 241: 338–354

10) Simonetti OP, Cook S: Technical aspects of pediatric CMR. J Cardiovasc Magn Reson 2006; 8: 581–593

11) Razavi RS, Hill DL, Muthurangu V, et al: Threedimensional magnetic resonance imaging of congenital cardiac anomalies. Cardiol Young 2003; 13: 461–465

12) Sørensen TS, Korperich H, Greil GF, et al: Operator-independent isotropic three-dimensional magnetic resonance imaging for morphology in congenital heart disease: A validation study. Circulation 2004; 110: 163–169

13) Srichai MB, Kim S, Axel L, et al: Non-gadolinium-enhanced 3-dimensional magnetic resonance angiography for the evaluation of thoracic aortic disease: a preliminary experience. Tex Heart Inst J 2010; 37: 58–65

14) Fogel MA: Assessment of ventricular function and blood flow, in MA Fogel (ed): Principles and practice of cardiac magnetic resonance in congenital heart disease. UK, Wiley-blackwell, 2010, pp 51–74

15) The Society for Cardiac Magnetic Resonance (SCMR) http://www.scmr.org/

16) Pennell DJ, Sechtem UP, Higgins CB, et al: Working Group on Cardiovascular Magnetic Resonance of the European Society of Cardiology: Clinical indications for cardiovascular magnetic resonance (CMR): Consensus Panel report. Eur Heart J 2004; 25: 1940–1965

17) Grothues F, Smith GC, Moon JC, et al: Comparison of interstudy reproducibility of cardiovascular magnetic resonance with two-dimensional echocardiography in normal subjects and in patients with heart failure or left ventricular hypertrophy. Am J Cardiol 2002; 90: 29–34

18) Margossian R, Schwartz ML, Prakash A, et al: Pediatric Heart Network Investigators: Comparison of echocardiographic and cardiac magnetic resonance imaging measurements of functional single ventricular volumes, mass, and ejection fraction (from the Pediatric Heart Network Fontan Cross-Sectional Study). Am J Cardiol 2009; 104: 419–428

19) Buechel EV, Kaiser T, Jackson C, et al: Normal right- and left ventricular volumes and myocardial mass in children measured by steady state free precession cardiovascular magnetic resonance. J Cardiovasc Magn Reson 2009; 11: 19

20) Robbers-Visser D, Boersma E, Helbing WA: Normal biventricular function, volumes, and mass in children aged 8 to 17 years. J Magn Reson Imaging 2009; 29: 552–559

21) Sarikouch S, Peters B, Gutberlet M, et al: Sex-specific pediatric percentiles for ventricular size and mass as reference values for cardiac MRI: assessment by steady-state free-precession and phase-contrast MRI flow. Circ Cardiovasc Imaging 2010; 3: 65–76

22) Lorenz CH: The range of normal values of cardiovascular structures in infants, children, and adolescents measured by magnetic resonance imaging. Pediatr Cardiol 2000; 21: 37–46

23) Mooij CF, de Wit CJ, Graham DA, et al: Reproducibility of MRI measurements of right ventricular size and function in patients with normal and dilated ventricles. J Magn Reson Imaging 2008; 28: 67–73

24) Grothues F, Moon JC, Bellenger NG, et al: Interstudy reproducibility of right ventricular volumes, function, and mass with cardiovascular magnetic resonance. Am Heart J 2004; 147: 218–223

25) Clarke CJ, Gurka MJ, Norton PT, et al: Assessmentof the accuracy and reproducibility of RV volume measurements by CMR in congenital heart disease. J Am Coll Cardiol Cardiovasc Imaging 2012; 5: 28–37

26) Blalock SE, Banka P, Geva T, et al: Interstudy variability in cardiac magnetic resonance imaging measurements of ventricular volume, mass, and ejection fraction in repaired tetralogy of Fallot: A prospective observational study. J Magn Reson Imaging 2013; 38: 829–835

27) Papavassiliu T, Kuhl HP, Schroder M, et al: Effect of endocardial trabeculae on left ventricular measurements and measurement reproducibility at cardiovascular MR imaging. Radiology 2005; 236: 57–64

28) Driessen MM, Baggen VJ, Freling HG, et al: Pressure overloaded right ventricles: A multicenter study on the importance of trabeculae in RV function measured by CMR. Int J Cardiovasc Imaging 2014; 30: 599–608

29) Powell AJ, Geva T: Blood flow measurement by magnetic resonance imaging in congenital heart disease. Pediatr Cardiol 2000; 21: 47–58

30) Powell AJ, Maier SE, Chung T, et al: Phase-velocity cine magnetic resonance imaging measurement of pulsatile blood flow in children and young adults: In vitro and in vivo validation. Pediatr Cardiol 2000; 21: 104–110

31) Chai P, Mohiaddin R: How we perform cardiovascular magnetic resonance flow assessment using phase-contrast velocity mapping. J Cardiovasc Magn Reson 2005; 7: 705–716

32) Hundley WG, Li HF, Hillis LD, et al: Quantitation of cardiac output with velocity-encoded, phase-difference magnetic resonance imaging. Am J Cardiol 1995; 75: 1250–1255

33) Hundley WG, Li HF, Lange RA, et al: Assessment of left-to-right intracardiac shunting by velocity-encoded, phase- difference magnetic resonance imaging: A comparison with oximetric and indicator dilution techniques. Circulation 1995; 91: 2955–2960

34) Kilner PJ, Gatehouse PD, Firmin DN: Flow measurement by magnetic resonance: A unique asset worth optimising. J Cardiovasc Magn Reson 2007; 9: 723–728

35) Myerson SG: Heart valve disease: investigation by cardiovascular magnetic resonance. J Cardiovasc Magn Reson 2012; 14: 7

36) Arheden H, Holmqvist C, Thilen U, et al: Left-to-right cardiac shunts: Comparison of measurements obtained with MR velocity mapping and with radionuclide angiography. Radiology 1999; 211: 453–458

37) Grosse-Wortmann L, Al-Otay A, Yoo SJ: Aortopulmonary collaterals after bidirectional cavopulmonary connection or Fontan completion: Quantification with MRI. Circ Cardiovasc Imaging 2009; 2: 219–225

38) Uretsky S, Gillam L, Lang R, et al: Discordance between echocardiography and MRI in the assessment of mitral regurgitation severity: A prospective multicenter trial. J Am Coll Cardiol 2015; 65: 1078–1088

39) Kato S, Kitagawa K, Ishida N, et al: Assessment of coronary artery disease using magnetic resonance coronary angiography: A national multicenter trial. J Am Coll Cardiol 2010; 56: 983–991

40) Cocker M, Friedrich MG: Cardiovascular magnetic resonance of myocarditis. Curr Cardiol Rep 2010; 12: 82–89

41) Marcus FI, McKenna WJ, Sherrill D, et al: Diagnosis of arrhythmogenic right ventricular cardiomyopathy/dysplasia: proposed modification of the Task Force Criteria. Eur Heart J 2010; 31: 806–814

42) Greenwood JP, Maredia N, Younger JF, et al: Cardiovascular magnetic resonance and single-photon emission computed tomography for diagnosis of coronary heart disease (CE-MARC): A prospective trial. Lancet 2012; 379: 453–460

43) Gargiulo P, Dellegrottaglie S, Bruzzese D, et al: The prognostic value of normal stress cardiac magnetic resonance in patients with known or suspected coronary artery disease: A meta-analysis. Circ Cardiovasc Imaging 2013; 6: 574–582

44) Ntsinjana HN, Hughes ML, Taylor AM: The role of cardiovascular magnetic resonance in pediatric congenital heart disease. J Cardiovasc Magn Reson 2011; 13: 51

45) Buechel ER, Balmer C, Bauersfeld U, et al: Feasibility of perfusion cardiovascular magnetic resonance in paediatric patients. J Cardiovasc Magn Reson 2009; 11: 51

46) Gerber BL, Raman SV, Nayak K, et al: Myocardial first-pass perfusion cardiovascular magnetic resonance: History, theory, and current state of the art. J Cardiovasc Magn Reson 2008; 10: 18

47) Prakash A, Powell AJ, Krishnamurthy R, et al: Magnetic resonance imaging evaluation of myocardial perfusion and viability in congenital and acquired pediatric heart disease. Am J Cardiol 2004; 93: 657–661

48) Bucciarelli-Ducci C, Daubeney PE, Kilner PJ, et al: Images in cardiovascular medicine: Perfusion cardiovascular magnetic resonance in a child with ischemic heart disease: potential advantages over nuclear medicine. Circulation 2010; 122: 311–315

49) Schwitter J, Nanz D, Kneifel S, et al: Assessment of myocardial perfusion in coronary artery disease by magnetic resonance: A comparison with positron emission tomography and coronary angiography. Circulation 2001; 103: 2230–2235

50) Schwitter J, Wacker CM, van Rossum AC, et al: MR-IMPACT: Comparison of perfusion-cardiac magnetic resonance with single-photon emission computed tomography for the detection of coronary artery disease in a multicentre, multivendor, randomized trial. Eur Heart J 2008; 29: 480–489

51) Schwitter J, Wacker CM, Wilke N, et al: MR-IMPACT investigators: Superior diagnostic performance of perfusion-cardiovascular magnetic resonance versus SPECT to detect coronary artery disease: The secondary endpoints of the multicenter multivendor MR-IMPACT II (Magnetic Resonance Imaging for Myocardial Perfusion Assessment in Coronary Artery Disease Trial). J Cardiovasc Magn Reson 2012; 14: 61

52) Masui T, Katayama M, Kobayashi S, et al: Gadolinium-enhanced MR angiography in the evaluation of congenital cardiovascular disease pre-and postoperative states in infants and children. J Magn Reson Imaging 2000; 12: 1034–1042

53) Prasad SK, Soukias N, Hornung T, et al: Role of magnetic resonance angiography in the diagnosis of major aortopulmonary collateral arteries and partial anomalous pulmonary venous drainage. Circulation 2004; 109: 207–214

54) Valsangiacomo Buchel ER, DiBernardo S, Bauersfeld U, et al: Contrast-enhanced magnetic resonance angiography of the great arteries in patients with congenital heart disease: An accurate tool for planning catheter-guided interventions. Int J Cardiovasc Imaging 2005; 21: 313–322

55) Oosterhof T, Mulder BJ: Magnetic resonance angiography for anatomical evaluation of the great arteries. Int J Cardiovasc Imaging 2005; 21: 323–324

56) Geva T, Greil GF, Marshall AC, et al: Gadolinium-enhanced 3-dimensional magnetic resonance angiography of pulmonary blood supply in patients with complex pulmonary stenosis or atresia: Comparison with X-ray angiography. Circulation 2002; 106: 473–478

57) Greil GF, Powell AJ, Gildein HP, et al: Gadolinium-enhanced three-dimensional magnetic resonance angiography of pulmonary and systemic venous anomalies. J Am Coll Cardiol 2002; 39: 335–341

58) Krombach GA, Baireuther R, Higgins CB, et al: Distribution of intramyocardially injected extracellular MR contrast medium: Effects of concentration and volume. Eur Radiol 2004; 14: 334–340

59) Amado LC, Gerber BL, Gupta SN, et al: Accurate and objective infarct sizing by contrastenhanced magnetic resonance imaging in a canine myocardial infarction model. J Am Coll Cardiol 2004; 44: 2383–2389

60) Kehr E, Sono M, Chugh SS, et al: Gadolinium-enhanced magnetic resonance imaging for detection and quantification of fibrosis in human myocardium in vitro. Int J Cardiovasc Imaging 2008; 24: 61–68

61) Mahrholdt H, Wagner A, Judd RM, et al: Delayed enhancement cardiovascular magnetic resonance assessment of non-ischaemic cardiomyopathies. Eur Heart J 2005; 26: 1461–1474

62) Gulati A, Jabbour A, Ismail TF, et al: Association of fibrosis with mortality and sudden cardiac death in patients with nonischemic dilated cardiomyopathy. JAMA 2013; 309: 896–908

63) Moon JC, McKenna WJ, McCrohon JA, et al: Toward clinical risk assessment in hypertrophic cardiomyopathy with gadolinium cardiovascular magnetic resonance. J Am Coll Cardiol 2003; 41: 1561–1567

64) Green JJ, Berger JS, Kramer CM, et al: Prognostic value of late gadolinium enhancement in clinical outcomes for hypertrophic cardiomyopathy. JACC Cardiovasc Imaging 2012; 5: 370–377

65) Dweck MR, Joshi S, Murigu T, et al: Midwall fibrosis is an independent predictor of mortality in patients with aortic stenosis. J Am Coll Cardiol 2011; 58: 1271–1279

66) Harris MA, Johnson TR, Weinberg PM, et al: Delayed- enhancement cardiovascular magnetic resonance identifies fibrous tissue in children after surgery for congenital heart disease. J Thorac Cardiovasc Surg 2007; 133: 676–681

67) Babu-Narayan SV, Goktekin O, Moon JC, et al: Late gadolinium enhancement cardiovascular magnetic resonance of the systemic right ventricle in adults with previous atrial redirection surgery for transposition of the great arteries. Circulation 2005; 111: 2091–2098

68) Babu-Narayan SV, Kilner PJ, Li W, et al: Ventricular fibrosis suggested by cardiovascular magnetic resonance in adults with repaired tetralogy of fallot and its relationship to adverse markers of clinical outcome. Circulation 2006; 113: 405–413

69) Rathod RH, Prakash A, Powell AJ, et al: Myocardial fibrosis identified by cardiac magnetic resonance late gadolinium enhancement is associated with adverse ventricular mechanics and ventricular tachycardia late after Fontan operation. J Am Coll Cardiol 2010; 55: 1721–1728

70) Fratz S, Hauser M, Bengel FM, et al: Myocardial scars determined by delayed-enhancement magnetic resonance imaging and positron emission tomography are not common in right ventricles with systemic function in long-term follow up. Heart 2006; 92: 1673–1677

71) Windram J, Grosse-Wortmann L, Shariat M, et al: Cardiovascular MRI without sedation or general anesthesia using a feed-and-sleep technique in neonates and infants. Pediatr Radiol 2012; 42: 183–187

72) Fogel MA, Weinberg PM, Parave E, et al: Deep sedation for cardiac magnetic resonance imaging: A comparison with cardiac anesthesia. J Pediatr 2008; 152: 534–539, 539.e1

73) 日本小児科学会・日本小児麻酔学会・日本小児放射線学会「MRI検査時の鎮静に関する共同宣言」,https://www.jpeds.or.jp/modules/guidelines/index.php?content_id=33

74) Odegard KC, DiNardo JA, Tsai-Goodman B, et al: Anaesthesia considerations for cardiac MRI in infants and small children. Paediatr Anaesth 2004; 14: 471–476

75) Stockton E, Hughes M, Broadhead M, et al: A prospective audit of safety issues associated with general anesthesia for pediatric cardiac magnetic resonance imaging. Paediatr Anaesth 2012; 22: 1087–1093

76) Sarikouch S, Schaeffler R, Korperich H, et al: Cardiovascular magnetic resonance imaging for intensive care infants: Safe and effective? Pediatr Cardiol 2009; 30: 146–152

77) Shellock FG, Spinazzi A: MRI safety update 2008: Part 2, screening patients for MRI. AJR Am J Roentgenol 2008; 191: 1140–1149

78) Runge VM: Safety of approved MR contrast media for intravenous injection. J Magn Reson Imaging 2000; 12: 205–213

79) Dillman JR, Ellis JH, Cohan RH, et al: Frequency and severity of acute allergic-like reactions to gadolinium-containing i.v. contrast media in children and adults. AJR Am J Roentgenol 2007; 189: 1533–1538

80) Prince MR, Zhang H, Zou Z, et al: Incidence of immediate gadolinium contrast media reactions. AJR Am J Roentgenol 2011; 196: W138–W143

81) Kaewlai R, Abujudeh H: Nephrogenic systemic fibrosis. AJR Am J Roentgenol 2012; 199: W17–W23

82) Sadowski EA, Bennett LK, Chan MR, et al: Nephrogenic systemic fibrosis: risk factors and incidence estimation. Radiology 2007; 243: 148–157

83) Mendichovszky IA, Marks SD, Simcock CM, et al: Gadolinium and nephrogenic systemic fibrosis: Time to tighten practice. Pediatr Radiol 2008; 38: 489–496

84) Radomskij P, Schmidt MA, Heron CW, et al: Effect of MRI noise on cochlear function. Lancet 2002; 359: 1485–1486

85) Kussman BD, Mulkern RV, Holzman RS: Iatrogenic hyperthermia during cardiac magnetic resonance imaging. Anesth Analg 2004; 99: 1053–1055, table of contents

86) MRI safety.com. http://www.mrisafety.com/Default.asp

This page was created on 2016-06-29T17:04:47.804+09:00
This page was last modified on 2016-07-26T13:40:50.969+09:00


このサイトは(株)国際文献社によって運用されています。