Online ISSN: 2187-2988 Print ISSN: 0911-1794
特定非営利活動法人日本小児循環器学会 Japanese Society of Pediatric Cardiology and Cardiac Surgery
Pediatric Cardiology and Cardiac Surgery 32(4): 314-318 (2016)
doi:10.9794/jspccs.32.314

症例報告Case Report

右房内に発生した炎症性筋線維芽細胞腫の乳児例Inflammatory Myofibroblastic Tumor of the Right Atrium in an Infant

1横浜市立大学附属病院小児循環器科Department of Pediatric Cardiology, Yokohama City University School of Medicine ◇ Kanagawa, Japan

2横浜市立大学附属病院心臓血管外科Cardiovascular Surgery, Yokohama City University School of Medicine ◇ Kanagawa, Japan

受付日:2016年3月3日Received: March 3, 2016
受理日:2016年5月12日Accepted: May 12, 2016
発行日:2016年7月1日Published: July 1, 2016
HTMLPDFEPUB3

心臓原発の炎症性筋線維芽細胞腫(inflammatory myofibroblastic tumor: IMT)は極めてまれであり,臨床像もよく分かっていない.我々は嘔吐を主訴に受診した3か月の女児で,心エコー検査で右房内を占拠する巨大腫瘤と多量の心嚢液貯留が確認され,病理診断の結果より炎症性筋線維芽細胞腫と確定診断した症例を経験したので報告する.心タンポナーデへの進行が危惧されたため,緊急で腫瘍摘出術を施行した.本症例では血清IL-6値の上昇も認め,粘液腫と類似の臨床像を呈していた.IMTは悪性化の可能性も指摘されているため,右房内腫瘤の鑑別としてIMTも考慮する必要があり,その診断には病理所見が重要である.

Cardiac inflammatory myofibroblastic tumors are very rare, and the clinical features are not well understood. We present the case of a 3-month-old girl with a confirmed pathological diagnosis of cardiac inflammatory myofibroblastic tumor. She was initially brought to hospital due to vomiting. She exhibited elevated serum IL-6 levels and other clinical symptoms suggestive of myxoma. Echocardiogram confirmed the presence of a large tumor of the right atrium and abundant pericardial effusion. We were concerned about the possibility of cardiac tamponade and considered the case to be urgent; we therefore recommended surgical removal of the tumor. This patient is also at risk for malignant transformation or recurrence of the cardiac inflammatory myofibroblastic tumor and needs a long-term follow-up.

Key words: inflammatory myofibroblastic tumor; IL-6; pericardial effusion

緒言

小児の原発性心臓腫瘍の発生頻度は0.0017~0.28%と言われている1).その大半が良性腫瘍であり,横紋筋腫が最も多く(40~60%),それに次いで奇形腫(15~19%),線維腫(12~16%),粘液腫(2~4%),血管腫(5%)が大多数を占める1).しかし,近年,心臓にも発生するIMTの臨床的,病理学的,分子学的特徴が注目されている.IMTは1939年に初めて報告された2).典型的には肺に発生するが,現在ではほぼ全身の臓器で原発する腫瘍であることが判明している.しかし,心臓原発のIMTは稀であり,1975年にGonzalez-Crussiらによって初めて報告されており3),1歳以下での報告は我々が調べた限りでは15例のみであった3–6)

IMTは,組織学的には筋線維芽細胞の特徴を示す紡錘型細胞で,免疫組織化学的には,α-smooth muscle actin; α-SMAとvimetinが陽性で,部分的にdesminが陽性を示す7).粘液腫とは異なり通常はCD34が陰性である.

IgG4陽性の形質細胞の浸潤が特徴的であるとの報告もある8).また,IMTの発生因子として,ALK(anaplastic lymphoma kinase)遺伝子異常の報告があり,ALKがIMTの50%に発現しており,特に若年者では陽性率が高いと言われていて,特異的マーカーとして期待されている9)

症例

症例

3か月女児.

現病歴

在胎38週1日,体重2,420 g,正常分娩で出生.生後3か月頃より体重増加不良,哺乳不良,1日2~3回の嘔吐が出現.近医を受診した際に炎症反応高値と大量の心嚢液貯留を認めたため当院へ転院となった.

入院時現症

身長56 cm(−1.8 SD),体重4,352 g(−2.5 SD),体温35.7°C,脈拍140/分,血圧79/40 mmHg,呼吸数40/分,SpO2 95% (room air)と発育不良を認めた.

活気力低下しており顔面蒼白な状態であった.呼吸音は正常で,心音に雑音はなかったが,微弱であった.肝臓は肋骨下に2 cm触知し,末梢冷感を認めた.

入院時検査所見

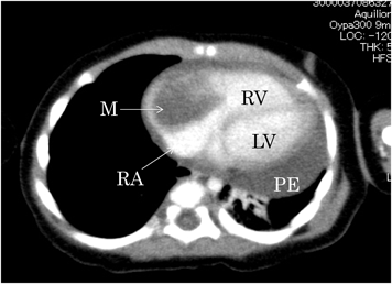
胸部エックス線撮影では心胸郭比67%と著明な心拡大を認めた.12誘導心電図は同調律,不完全右脚ブロックとIII誘導で異常Q波認めた.心エコー検査の傍胸骨短軸像と長軸像(Fig. 1)では,全周性に約15 mm心嚢水があり,左室拡張末期経(LVDd)=17.4 mm(z=-0.9)左室収縮率(LVFS)29%であった.四腔断面像では右房内に26×33 mmの内部不均一の腫瘤を認めた.腫瘤は右房壁に広範囲に接していて可動性はなく,右房内側の腫瘤表面は平滑であった.造影CTでは右房内に径27 mmの低吸収値の腫瘤を認めた(Fig. 2).血液検査では白血球数33,100/µL,CRP 10.3 mg/dL,血清アミロイドA 224 mg/mLと炎症反応の上昇を認め,IL-6 107.9 pg/mL,BNP 210.4 pg/mLと高値であった(Table 1).

Pediatric Cardiology and Cardiac Surgery 32(4): 314-318 (2016)

Fig. 1 Transthoracic echocardiogram

(A) Short axis view showing pericardial effusion (white arrow). Left ventricular end-diastolic diameter (LVDd)=17.4 mm (z=−0.9). Left ventricular fractional shortening (LVFS)=29%. (B) Four-chamber view showing a mass of the internal heterogeneity of 26×33 mm in RA (white arrow).

Pediatric Cardiology and Cardiac Surgery 32(4): 314-318 (2016)

Fig. 2 Computed tomography showing a low-density space-occupying lesion in the right atrium of the heart and pericardiac effusion

(M=mass; RA=right atrium; RV=right ventricle; LV=left ventricle; PE=pericardiac effusion).

Table 1 Laboratory data on admission
WBC31,300 µLAST33 U/LPT-INR1.28
Neu56%ALT22 U/LAPTT34.1 sec
Lym33%LDH213 U/LFib507 mg/dL
RBC348 104/µLγ-GTP127 U/LFDP-E分画**168 ng/mL
Hb9.3 g/dLCK29 U/LD-dimer***0.58 µg/mL
Ht27.9%CK-MB6 U/L
MCV80.1 flBUN4 mg/dL尿β2-MG169 ng/mL
MCH26.6 pgCre0.1 mg/dL
MCHC33.2%CRP10.34 mg/dL
Plt100.2 104/µLSAA224 mg/dL
Ferritin477 ng/mL
β2-MG1.67 µg/mL
ESR (1 hr)70 mm
IL-6*107.9 pg/mL
sIL-2R566 U/mL
* IL-6; normal: <4.0 pg/mL; ** FDP-E分画;normal: <60 ng/mL; *** D-dimer; normal: <0.7 µg/mL. ESR (1 hr); erythrocyte sedimentation rate, IL-6; Interleukin-6, sIL-2R; soluble interleukin-2 receptor.

手術所見および術後経過

多量の心嚢液貯留があり,心タンポナーデへの進行が危惧されたため,緊急で腫瘍摘出術を施行した.

心膜切開により淡黄色透明で漿液性の心嚢水が確認された.右房内腫瘍の範囲は洞結節付近から三尖弁輪まで及び,右冠動脈とも接していた.洞結節と腫瘍の辺縁の間で右房壁を切開し,洞結節,三尖弁輪,右室心筋と腫瘍の間を剥離し,腫瘍を摘出した.腫瘍は全切除できたと判断した(Fig. 3).

Pediatric Cardiology and Cardiac Surgery 32(4): 314-318 (2016)

Fig. 3 Intraoperative view of the cardiac mass with a white, glistening surface

術後一時的に洞機能不全による徐脈を認め,ペーシング管理を要したが,術後2日には洞調律が確認され,術後6日にペーシングを中止.術後14日に退院した.

退院時の血液検査ではCRP 10.3→0.07 mg/dL,IL-6 107→15.4 pg/mL,BNP 210→52 pg/mLと入院時と比較して改善していた.

摘出した腫瘍は径35×30 mm,性状は弾性硬で,心内膜側表面は平滑であった(Fig. 4).滑面は白色で,やや硬いゼラチン状であり内部に一部出血を認めた.

Pediatric Cardiology and Cardiac Surgery 32(4): 314-318 (2016)

Fig. 4 The cut section of the excised tumor mass

病理所見では,myxoidな基質を産生するspindle cellの増殖が見られ,foamy histiocyteや好中球浸潤が腫瘍境界に広範囲で見られた(Fig. 5).内腔側に発育した腫瘍の大部分ではmyxoidな像を示し,腫瘍細胞は疎で,多型は見られるが核異型や異常分裂像は明らかではなかった.断端は陰性であった.また,心嚢水には腫瘍細胞は確認されなかった.

Pediatric Cardiology and Cardiac Surgery 32(4): 314-318 (2016)

Fig. 5 (A) Histopathology showing spindle tumor cells that have pink cytoplasm in a myxoid stroma. (B) Infiltration of inflammatory cells in the tumor (hematoxylin and eosin 400× magnification).

病理結果は外来経過観察中に判明し,良悪性中間型の腫瘍に分類されるIMTと確定診断した.その後も外来で経過観察を継続しているが,2年以上経過した現在も心エコー検査で腫瘍の再発は認めていない.

考察

IMTの確定診断は病理所見による.病理所見は主として紡錘型細胞の増殖から成り,組織球やリンパ球や形質細胞を主体とする炎症細胞の増加が著明な腫瘍である.本例では,鑑別にmyxomaもあがるが,myxoidに見える部分はfibrous tumorの膨化変性した像と考えられ,免疫染色結果ではα-smooth muscle actin陽性,ALK1陰性,CD34陰性であり,総合してinflammatory myofibroblastic tumorが最も考えられた.IMTはIL-6を過剰産生し,血清IL-6値の上昇を認めることがあるが,他のサイトカイン(IL-1b, IL-2, IL-4, IL-8, IL-10, IL-12, IFN-γ, TNF-α)は正常である7–9).また,腫瘍を摘出することにより,血清IL-6値は速やかに正常化するとされている.本症例でも術前の血清IL-6値は高かったが,術後は速やかに低下した.血清IL-6値の上昇を伴い,心嚢液貯留が認められる心臓腫瘍として代表的なものには粘液腫があり,本症例でも臨床像からは当初は粘液腫を疑っていたが,病理結果よりIMTと確定診断とした.本症例では腫瘍が心外膜まで浸潤し,心嚢内に直接IL-6が分泌され,その炎症促進作用により心膜炎を引き起こし,多量の心嚢液が産生されたのではないかと推測される.一般的には粘液腫では心嚢液貯留が多く認められるが,IMTで心嚢液貯留を呈した報告は稀である.また,好発部位として,粘液腫は左房に多いがIMTは右心系に多い点も異なる.

IMTの最適な治療は全摘出である.しかし,心臓内の腫瘍では全摘出が困難な症例も存在し,その場合にはステロイド治療が有効であるとの報告もある4).また心臓移植を行った例もある7, 11).IMTは一般的には予後が良いが,肺原発のIMTでは再発率は5%,肺外のIMTでは25%の再発率があるとされる.再発は手術により全摘出ができなかった場合に多く,腫瘍自身が産生するIL-6が腫瘍の局所の増殖や遠隔転移を促進する血管因子の一つであるといわれている10).再発例は3例で,うち1例は再手術して生存し12),1例は心臓移植を施行7),あとの1例は再発を繰り返し死亡している13).本症例は腫瘍の全摘出が可能であったが,全摘出後の再発や,初発とは異なる部位に再発した例も報告されているので,今後も注意深い経過観察が必要である.

結語

まれな心臓腫瘍であるIMTの乳児手術例を報告した.IMTは他の心臓腫瘍との鑑別が重要であり,病理診断が必須である.また,再発の可能性があるため,長期的な経過観察が必要である.

謝辞Acknowledgments

病理診断に関して,国立成育医療センター・病理診断医・中澤温子先生に深謝致します.

利益相反

本論文について,開示すべき利益相反(COI)はない.

付記

本論文の要旨は第22回日本小児心筋疾患学会学術集会(2013年,大阪)で発表した.

この論文の電子版にて動画を配信している.

引用文献References

1) Uzun O, Wilson DG, Vujanic GM, et al: Cardiac tumours in children. Orphanet J Rare Dis 2007; 2: 11

2) Brunn H: Two interesting benign lung tumors of contradictory histopathology. J Thorac Surg 1939; 9: 119–131

3) Gonzalez-Crussi F, Vanderbilt BL, Miller JK: Unusual intracardiac tumor in a child: Inflammatory pseudotumor or “granulomatous” variant of myxoma? Cancer 1975; 36: 2214–2226

4) Obikane H, Ariizumi K, Yutani C, et al: Inflammatory pseudotumor (inflammatory myofibroblastic tumor) of the mitral valve of the heart. Pathol Int 2010; 60: 533–537

5) Doksoz O, Mese T, Diniz AG: Massive pericardial effusion caused by “inflammatory myofibroblastic tumour” in a 3-month-old child. Cardiol Young 2013; 23: 749–751

6) Elkiran O, Karakurt C, Erdil N, et al: An unexpected cause of respiratory distress and cyanosis: Cardiac inflammatory myofibroblastic tumor. Congenit Heart Dis 2013; 8: E174–E177

7) Coffin CM, Watterson J, Priest JR, et al: Extrapulmonary inflammatory myofibroblastic tumor (inflammatory pseudotumor): A clinicopathologic and immunohistochemical study of 84 cases. Am J Surg Pathol 1995; 19: 859–872

8) Kouzu H, Miki T, Mizuno M, et al: Inflammatory myofibroblastic tumor of the heart. Circ J 2014; 78: 1006–1008

9) Gleason BC, Hornick JL: Inflammatory myofibroblastic tumours: Where are we now? J Clin Pathol 2008; 61: 428–437

10) Kanda T, Takahashi T: Interleukin-6 and cardiovascular diseases. Jpn Heart J 2004; 45: 183–193

11) Burke A, Li L, Kling E, et al: Cardiac inflammatory myofibroblastic tumor: A “benign” neoplasm that may result in syncope, myocardial infarction, and sudden death. Am J Surg Pathol 2007; 31: 1115–1122

12) Hartyanszky IL, Kadar K, Hubay M: Rapid recurrence of an inflammatory myofibroblastic tumor in the right ventricular outflow tract. Cardiol Young 2000; 10: 271–274

13) Andersen ND, DiBernardo LR, Linardic CM, et al: Recurrent inflammatory myofibroblastic tumor of the heart. Circulation 2012; 125: 2379–2381

This page was created on 2016-06-24T09:49:19.655+09:00
This page was last modified on 2016-07-26T14:32:45.844+09:00


このサイトは(株)国際文献社によって運用されています。