Online ISSN: 2187-2988 Print ISSN: 0911-1794
特定非営利活動法人日本小児循環器学会 Japanese Society of Pediatric Cardiology and Cardiac Surgery
Pediatric Cardiology and Cardiac Surgery 32(5): 379-386 (2016)
doi:10.9794/jspccs.32.379

ReviewReview

胎児心機能の評価Evaluation of Fetal Cardiac Function

東京女子医科大学病院循環器小児科Devision of Pediatric Cardiology, Heart Center, Tokyo Women’s Medical University ◇ Tokyo, Japan

発行日:2016年9月1日Published: September 1, 2016
HTMLPDFEPUB3

胎児の心機能評価は,出生後と異なり超音波による評価が唯一の方法である.心臓そのものの収縮能,拡張能は一般的に成人領域で心機能評価に用いられる方法が,胎児に応用されている.一方胎児特有の評価方法もある.多くは心機能の直接的な評価でなく,脳や胎盤などの循環障害の程度を評価し,胎児死亡などのリスクを判断する目的に,古くから産科領域で用いられてきたものである.両者をうまく使うことで,様々な病態を解釈し最適な娩出時期や予後予測が可能になることが望まれる.

The purpose of this article is to review the current modalities available to assess fetal cardiac function. It covers the methods generally used in ex-utero life, and the unique methods used during in-utero life, such as Doppler of the umbilical artery or vein. Because of a lack of physical findings and other modalities available to evaluate fetal cardiac function, echocardiogram has great importance, and this review can help with the better fetal management and prenatal counseling.

Key words: fetal cardiac function; fetal echocardiogram; fetal distress

はじめに

診察による身体所見,レントゲン心電図といった検査を欠く胎児の心機能評価は,超音波検査が唯一の評価方法と言っても過言でない.出生後に超音波で行われる心機能評価を胎児に応用したものに加え,出生後に行われる諸検査の代用として超音波での評価を行う.また,胎盤循環と言う特殊な状況下にあるため,静脈管や胎盤血流評価を通して循環の評価を行う.今回は,以下の3つの方法に分類しその詳細を説明する.I. 出生後に行われる諸検査の代用としての評価,II. 出生後に行われる心エコーと同じ心機能の評価,そしてIII. 静脈管,胎盤血流など胎児循環特有の評価である.

I. 出生後に行われる諸検査の代用としての評価

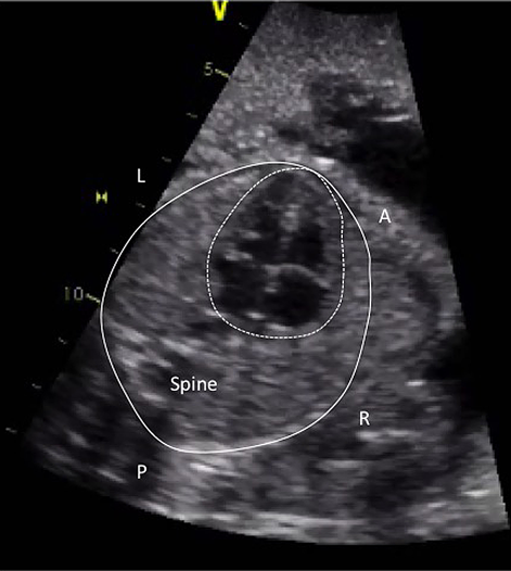
心胸郭面積比

いわゆるレントゲンの心胸郭比に相当する,グローバルな心機能の指標である.計測には総心横径(total cardiac dimension: TCD)と心胸郭面積比(cardiothoracic area ratio: CTAR)がある.TCDは四腔断面において,三尖弁付着部の心外膜から僧房弁付着部の心外膜までを測定したもので,22週以降では数週mmが正常値とされている.CTARは四腔断面で心膜外側をトレースした心臓の面積を脊柱や肋骨を含み,皮膚や筋肉を含まない胸郭の面積で除して求められる (Fig. 1).簡便のため両方を楕円で近似したellipse法が多く用いられる.正常は0.20~0.35.

Pediatric Cardiology and Cardiac Surgery 32(5): 379-386 (2016)

Fig. 1 Measurement of the cardiothoracic area ratio

A four-chamber view of the fetal heart. The thoracic area is indicated by a solid line, and the cardiac area was by a dotted line. (A: anterior, L: left, R: right, P: posterior)

biophysical profile score (BPS)

活動性,胎児の元気さを評価する方法で,言うなれば出生後のNYHAに相当する.主には産科領域で用いられる.胎児心拍モニターと超音波の検査での胎児の動き,羊水量などから児の全身状態を評価し,産科的にfetal distressを評価する.

II. 出生後に行われる心エコーと同じ心機能の評価

収縮率

右心室と左心室両方の収縮率を用いて各心室の収縮能を評価する.四腔断面において中隔に対しにほぼ垂直,長軸方向房室弁直下の位置になるようにかつカーソルの位置を設定する.この時Mモードの記録には僧房弁,三尖弁動きも同時に記録されるため収縮期,拡張期を決めやすい(Fig. 2).Mモードの記録から心室内腔の拡張末期径と収縮末期径の差を拡張末期径で除することで算出される.正常値は週数によらず一定で0.28~0.401).また胎児の位置から前述のような評価が困難な場合には,心室内腔をトレースしmodified Simpson法で収縮率を求める方法もある2).いずれの方法も,胎児という特殊性による測定誤差を考慮して判断する必要がある.

Pediatric Cardiology and Cardiac Surgery 32(5): 379-386 (2016)

Fig. 2 Measurement of the shortening fraction

A: A four-chamber view of the fetal heart. The cursor was set perpendicular to the ventricular septum. B: M-mode of Figure2-A. Without an electrocardiogram, measurement is done at the widest dimension as diastolic one (thick arrows), and the shortest dimension as systole (arrows). (A: anterior, LV: left ventricle, RV: right ventricle)

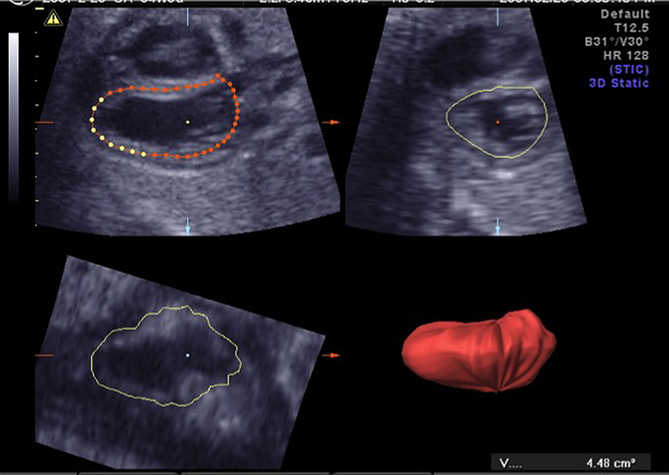
近年は3次元での解析も行われている.胎児心臓用に開発された4D超音波のspatiotemporal image correlation (STIC)法は,まず心臓全体をスキャンし画像を取り込み,心臓の周期的な変化から胎児の心拍数を検出する.読み取った心周期に合わせて3次元画像を合成し,3次元超音波画像を連続的に動かすことにより4次元超音波画像が得られる.その4次元画像を,解析ソフト(高精度体積計測機能:VOCAL)を用いて,設定した回転軸に沿って360度回転させながら,心内膜面のトレースをそれぞれの回転させた画面で行うことで,3次元での心室容積や収縮率,拍出量などの評価が可能である3)Fig. 3).

Pediatric Cardiology and Cardiac Surgery 32(5): 379-386 (2016)

Fig. 3 Measurement of LV volume with 3D images acquired using STIC

The upper left image is a four-chamber view with easily identifiable morphological markers, and the LV surface was traced using this image. The upper right and lower left images are the orthogonal images. Therefore, the upper right image is the short-axis view of LV, and the lower right image is two the chamber view of LV. The three-dimensional models created by the Virtual Organ Computer-aided AnaLysis (VOCAL) tool after tracing LV surface images is shown at the lower left panel with its entire traced volume. (LV: left ventricle, STIC: spatiotemporal image correlation)

心室流入血流ドップラー波形

心室流入波形は胎児期もE波(拡張早期の心室拡張に伴う受動的流入波)と,A波(心房収縮に伴う拡張後期の流入波形で‘atrial kick’として知られる)の二峰性であるが,流速はE<Aである.週数とともにA波流速は不変であるが,E波の流速が増加していくことによりE/A ratioは出生直前には新生児の正常の値に近づいていく.これは心室の拡張性が改善してくためE波が増高すると考えられている4).E/A ratioの変化は双胎間輸血症候群(TTTS),胎児水腫,子宮内発育不全などで認められるとされているが,拡張能のどのような変化により流入波形が変化するかは明らでない.また1峰性の流入波形は重症な低心拍出状態と考えられ,左心低形成に陥る大動脈弁狭窄症,予後不良のIUGRの所見とされている.出生後と同様に心室の拡張能の障害から,拡張早期に流入し心房収縮での流入がほとんどなくなったいわゆる偽正常化から拘束型に進行した流入障害を観察しているものと考えられるが,ゴールデンスタンダードとなりうるカテーテル,MRIはもとより心電図のない胎児では,心機能との明らかな関係性は不明である5, 6)

心拍出量

大動脈弁輪径(d),大動脈弁直上のドップラー波形をトレースしvelocity time integral (VTI),心拍数(HR)を計測する.左室拍出量=HR×TVI×d2/4で算出される.同様に肺動脈弁に同様の計測を行うことで,右室拍出量が算出される.胎児の並列循環では,左室心不全を右室が代償する.そのため,combined cardiac outputとして評価されることが多く,正常では425 mL/kg/minで,週数による影響を受けない指標である.加えて左右心拍出量のバランスを測定することで,一方の低形成や機能不全を推測することが可能である.正常では右室拍出量は左室の1.4~1.5倍と報告され,右室優位である7)

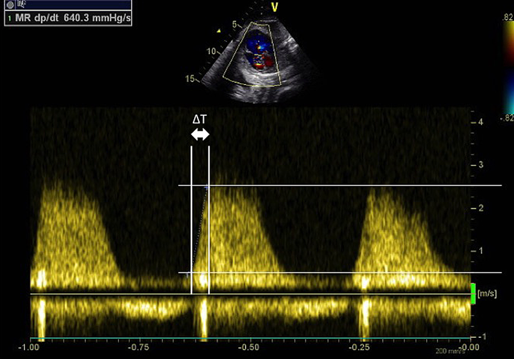
dP/dT

全収縮期にわたる三尖弁逆流が認められる場合には,連続波ドップラーによる逆流波形三尖弁逆流速度の立ち上がりの傾きから心機能を評価する(Fig. 4).心収縮能が保たれていれば収縮期早期に急峻に心内圧が上昇するのに対し,機能低下がある場合には圧の立ち上がりが鈍化する.三尖弁逆流血流速度が0.5 m/secから2.5 m/secまで上昇するのにかかる時間(ΔT)を計測する.三尖弁逆流速度が0.5 m/secから2.5 m/secまで逆流速度が上昇すると,簡易ベルヌーイの式を用いると推定右心室圧は24 mmHg上昇したと考えられ,24 mmHg/ΔTで圧の上昇率を評価する.800 mmHg/sec以下は低値である.400 mmHg/sec以下は重症な収縮能低下と考えられている8)

Pediatric Cardiology and Cardiac Surgery 32(5): 379-386 (2016)

Fig. 4 Tricuspid regurgitation Doppler waveform of fetal Ebstein disease with hydrops

The time interval between the points at which the velocity was 0.5 m/s and 2.5 m/s (ΔT) was measured, and according to the Bernoulli’s equation, this pressure increase was 24 mmHg. Thus, dP/dt is calculated as 24/ΔT (mmHg/sec).

三尖弁輪収縮期移動距離,僧帽弁輪収縮期移動距離

三尖弁輪収縮期移動距離(tricuspid annular plane systolic excursion: TAPSE)は,三尖弁輪右室自由壁側の長軸方向の移動距離をMモード法で計測するものであり,超音波ビームの方向が三尖弁輪の運動方向とできるだけ一致するように注意する必要がある.通常,成人や小児の計測では心尖部四腔断面において,カーソルを右室自由壁の三尖弁輪部に置く.このためまた,カーソルは心尖部から三尖弁輪の対角線に置かれることとなり,心尖部方向の弁輪移動距離を測定することとなる.胎児での計測は,4腔断面において心尖部が6時あるいは12時方向に描出し,心室中隔に平行になるようにカーソルを置き計測するとされている(Fig. 5).つまり心尖部方向への移動距離でなく,弁輪に垂直方向の移動距離を測定することとなる.正常値は21週で3.6 mm,39週で8.6 mmと週数に正の相関を示す9).同様の方法で心機能評価が困難な胎児においては僧帽弁輪収縮期移動距離(mitral annular plane systolic excursion: MAPSE)を評価することで左室機能が評価されているが,TAPSEに比較し報告は少ない.測定方法も成人と同様に心尖部から弁輪の対角線にカーソルを置き測定している報告もあり,TAPSE, MAPSEともに標準的な心機能評価方法にはなっていない10)

Pediatric Cardiology and Cardiac Surgery 32(5): 379-386 (2016)

Fig. 5 Measurement of the tricuspid annular plane systolic excursion

A: A four-chamber view of the fetal heart. The cursor was placed parallel to the ventricular septum. B: M-mode record of the TV annulus and the measured distance of the TV annulus excursion toward the RV apex. (A: anterior, LV: left ventricle, RA: right atrium, RV: right ventricle, TAPSE: tricuspid annular plane systolic excursion, TV: tricuspid valve)

Cardiac Performance Index (Tei Index)

心機能のグローバルな指標である.その簡便性から広く使われている.四腔断面から頭側にプローベを振り上げていくと,左室流出路が描出される(Five Chamber View).Four Chamber ViewからFive Chamber Viewに移行し,かつ僧帽弁構造が描出されるところで僧房弁直下大動脈側にカーソルを設定すると(Fig. 6A),左室流入血流と左室流出血流のドップラーが同時に記録できる(Fig. 6B).左室流入血流の終了時から,次の左室流入血流の開始時までを計測(T),左室流出路血流の駆出時間(ET)を計測し,TとETの差をETで除して求める.TとETの差はドップラー波形から明らかなように,心室に血流の出入りのないいわゆる等容性拡張や等容性収縮時間である.心機能の低下に伴いETが短縮する,または心臓の収縮や拡張が緩慢になり,心室内に血流の出入りのないいわゆる等容性拡張や等容性収縮時間が長くなるため心機能の低下とともに上昇する.弁の動きのドップラーが同時に記録されることが多く,大動脈弁ドップラーからはETが,僧帽弁ドップラーからはTの測定が容易である.右室は解剖学的に同時記録が難しく,心拍数の変わらないところで流入血流と流出血流の別々に記録し,3心拍の平均値から算出する.正常値は左心室0.36±0.06,右心室0.35±0.05で,週数による変化はないとされている11)

Pediatric Cardiology and Cardiac Surgery 32(5): 379-386 (2016)

Fig. 6 Measurement of the cardiac performance index

A: In the five-chamber view of the fetal heart that is obtained by sweeping the transducer from the level of the four-chamber view towards the fetal head, AV is observed; the cursor is placed just above MV and below AV. B: ET is the interval between the AV opening and closing (white arrows) or the onset and end of the aortic flow. T consists of ICT, ET, and IRT and is measured as the interval between the MV closure and opening, or the end and onset of the MV flow. (AV: aortic valve, ET: ejection time, ICT: isovolumetric contraction time, IRT: isovolumetric relaxation time, LV: left ventricle, MV: mitral valve)

ストレイン,ストレインレート

局所心筋組織の機能を評価する方法として,ストレイン(Strain),ストレインレート(SR)がある.Strainとは局所心筋の長さの変化と考えることができ,心筋局所の収縮能を反映したものといえる.Strainを微分したものがSRであり,心筋の長さ変化の速度であり心筋の拡張速度は拡張能の指標となる.測定には,組織ドップラー法と,2D組織トラッキング法があり,組織ドップラーではドップラーを用いて局所心筋の移動速度からSRを算出し,その積分値からStrainを求める方法であるのに対し,2D組織トラッキング法ではBモード画面から心筋組織を超音波各社の独自のアルゴリズムで心筋組織のBモードエコーにおける画面のピクセルのパターンを認識し,認識した心筋組織の移動距離から組織の短縮率(Strain)を算出する(Fig. 712).2D組織トラッキング法は角度依存性がないため,描出画像に限界のある胎児心エコーにおいて優れているとされているが,対象が小さく,心拍数も早いためにトラッキングの制度には問題がある場合が多く,Strain及びSRの解析には細心の注意を払う必要がある.いずれの方法も,frame reteの問題や心電図を欠くことなどの問題から,正常胎児での正常値の報告がある程度であり,まだ標準的な指標とはなりえず,臨床的に用いられることは少ない.

Pediatric Cardiology and Cardiac Surgery 32(5): 379-386 (2016)

Fig. 7 Strain measurement using 2D speckle tissue tracking

A: After tracing the surface of the endocardium, the software automatically calculate strain. B: Strain is often demonstrated by a strain curve. With the four-chamber view, the longitudinal strain of the basal, mid, and apical segments of both free wall and septum are measured. Each segmental strain curve is shown in Figure7-B. All segments contract spontaneously. (LV: left ventricle, RV: right ventricle)

III. 静脈管,胎盤血流など胎児循環特有の評価

静脈血ドップラー

循環不全の指標として静脈血流ドップラー(臍帯静脈,静脈管)血流パターンが用いられる.いずれにおいても,心房収縮に伴って心臓に還流する血液の静脈側(心臓から遠位側)への逆行性血流を評価している(Fig. 8).心電図のP波にあたる心時相では,心室は拡張期の終わりつまり拡張末期に近づく.同時に心房は心電図のP波のタイミングで収縮し心房から心室に血液を送り込む.この時心室の拡張末期圧が上昇していると,心房から心室に押し込む血液が静脈側に逆行性に流れる.つまり逆行性血流の程度や有無を評価することで,中心静脈圧の上昇を反映することになり心不全の指標になりうる.ただし三尖弁閉鎖症や右室低形成などの卵円孔を全血流が通過する疾患群では,心不全の有無を反映せず,心不全の有無によらず逆行性血流が認められる.

Pediatric Cardiology and Cardiac Surgery 32(5): 379-386 (2016)

Fig. 8 Venous Doppler Waveform

The upper, middle, and lower panels are the Doppler waveforms of the inferior vena cava, ductus venosus, and umbilical vein, respectively. Normal Doppler waveform of each vein (left), and the abnormal waveform with an increased reversed flow during atrial contraction (white arrows) in a fetus with tricuspid atresia (right). (S: S wave at systole, D: D wade at diastole, A: A wave at atrial contraction)

心臓から遠位側にいくほど心房収縮の影響が出にくくなり,臍帯静脈,静脈管,下大静脈と近位に行くに従い正常でも逆行性の血流を認めるようになる.もっと遠位にある臍帯静脈は,正常は定常流である.静脈圧の上昇に伴い,波形に心房収縮に一致する心時相でnotchが認められpulsationを認めるようになる.静脈管は正常でP波に伴ったnotchを認め,notchが深くなり逆行性の血流が認められる場合を異常とする.下大静脈(下大静脈の右心房への流入部)は心房収縮期の逆流速度と心室収縮期の流入速度の比であるPreload index (PLI)を用いる13).0.5以上は異常と考える.

動脈血流ドプラー

臍帯動脈(UA)と中大脳動脈(MAC)の血流波形から胎盤循環と脳循環の血管抵抗を評価する指標である.最大血流速度と最低血流速度の差を最大流速で除したものがResistance Index(RI),平均流速で除したものがPulsatile Index(PI)であり,正常胎児では胎盤の血管抵抗は脳血管抵抗より常に低く,MCARI/UARI>1.08である.循環不全状態にある胎児や,胎盤機能不全による低酸素状態では,脳への優先的な再分配が起こりMCARI/UARI<1.08を呈する.つまり重要器官の脳への優先的な再分配の状態を評価することで,循環不全や低酸素状態の評価をする14, 15)

先天性の心疾患においては左心系の流出路障害のある疾患群では,MCARIが低値を示すことが報告され,神経学的な予後との関連などが示唆されている.つまり動脈ドップラーが低酸素や循環障害の指標とならない場合があり,注意を要する16, 17).また中等度以上の大動脈弁逆流や,血管腫などの動静脈短絡のある場合は拡張期血流の盗血現象が認められるようになるためResistance Index,やPulsatile Indexは血管抵抗を反映しなくなる.

Cardiovascular Profile Score

直接的及び間接的な心機能の指標,循環不全の指標5項目を合わせて,スコア性にしたものである.5項目は,静脈血ドップラーパターン,CTAR,右室左室の短縮率,臍帯動脈のドップラーパターンからなる.各項目それぞれ2点,5項目10点満点で採点し,各項目でTable 1のように減点する.様々な疾患で胎児予後との関係が報告され,娩出時期やその他の胎児治療介入の時期を決める所見となるとされている8)

Table 1 A cardiovascular profile score
Score210
HydropsNoneAscites or Pleural or Pericardial effusionSkin edema
Venous DopplerUmbilical veinNon pulsationNon pulsationPulsation
Ductus VenosusAtrial reversal−Atrial reversal+
CTAR<0.350.35–0.50>0.50, <0.20
Cardiac FunctionRV/LV SF>0.28<0.28
TR/MRHolosystolic−Holosystolic+dP/dT<400
TV/MV
Inflow Doppler
Biphasic fillingBiphasic fillingMonophasic filling
Arterial Doppler (Umbilical artery)AEDVREDV
AEDV: absent end diastolic velocity, CTAR: cardiothoracic area ratio, DV: ductus venosus, LV: left ventricle, MR: mitral valve regurgitation, MV: mitral valve, SF: ventricular shortening fraction, TR: tricuspid valve regurgitation, TV: tricuspid valve, REDV: reversed end diastolic velocity, RV: right ventricle.

結論

胎児心機能の評価方法を解説した.いずれの検査方法にも精度の限界があり,各評価方法の利点,欠点を知った上で,それらを組み合わせ総合的に評価することが大切である.

利益相反

日本小児循環器学会の定める利益相反に関する開示事項はありません.

引用文献References

1) DeVore GR: Assessing fetal cardiac ventricular function. Semin Fetal Neonatal Med 2005; 10: 515–541

2) Wladimiroff JW, McGhie J: Ultrasonic assessment of cardiovascu-lar geometry and function in the human fetus. Br J Obstet Gynaecol 1981; 88: 870–875

3) Esh-Broder E, Ushakov FB, Imbar T, et al: Application of free-hand three-dimensional echocardiography in the evaluation of fetal cardiac ejection fraction: A preliminary study. Ultrasound Obstet Gynecol 2004; 23: 546–551

4) Reed KL, Sahn DJ, Scagnelli S, et al: Doppler echocardiographic studies of diastolic function in the human fetal heart: Changes during gestation. J Am Coll Cardiol 1986; 8: 391–395

5) Makikallio K, McElhinney DB, Levine JC, et al: Fetalaortic valve stenosis and the evolution of hypoplastic left heartsyndrome: Patient selection for fetal intervention. Circulation 2006; 113: 1401–1405

6) Makikallio K, Rasanen J, Makikallio T, et al: Human fetal cardiovascular profile score and neona-tal outcome in intrauterine growth restriction. Ultrasound Obstet Gynecol 2008; 31: 48–54

7) Mielke G, Benda N: Cardiac output and central distribution of blood flow in the human fetus. Circulation 2001; 103: 1662–1668

8) Huhta JC: Guidelines for the evaluation of heart failure in the fetus with or without hydrops. Pediatr Cardiol 2004; 25: 274–286

9) Messing B, Gilboa Y, Lipschuetz M, et al: Fetal tricuspid annular plane systolic excursion (f-TAPSE): Evaluation of fetal right heart systolic function with conventional M-mode ultrasound and spatiotemporal image correlation (STIC) M-mode. Ultrasound Obstet Gynecol 2013; 42: 182–188

10) Carvalho JS, O’Sullivan C, Shinebourne EA, et al: Right and left ventricular long-axis function in the fetus using angular M-mode. Ultrasound Obstet Gynecol 2001; 18: 619–622

11) Eidem BW, Edwards JM, Cetta F: Quantitative assessment of fetal ventricular function: establishing normal values of the myocardial performance index in the fetus. Echocardiography 2001; 18: 9–13

12) Younoszai AK, Saudek DE, Emery SP, et al: Evaluation of myocardial mechanics in the fetus by velocity vector imaging. J Am Soc Echocardiogr 2008; 21: 470–474

13) Kanzaki T, Chiba Y: Evaluation of the preload condition of the fetus by inferior vena caval blood flow pattern. Fetal Diagn Ther 1990; 5: 168–174

14) Rizzo G, Arduini D, Dubiel M, et al: Fetal cardiac function in intrauterine growth retardation. Am J Obstet Gynecol 1991; 165: 876–882

15) Dubiel M, Gudmundsson S, Gunnarsson G, et al: Middle cerebral artery velocimetry as a predictor of hypoxemia in fetuses with increased resistance to blood flow in the umbilical artery. Early Hum Dev 1997; 47: 177–184

16) Berg C, Gembruch O, Gembruch U, et al: Doppler indices of the middle cerebral artery in fetuses with cardiac defects theoretically associated with impaired cerebral oxygen delivery in utero: is there a brain-sparing effect? Ultrasound Obstet Gynecol 2009; 34: 666–672

17) Kaltman JR, Di H, Tian Z, et al: Impact of congenital heart disease on cerebrovascular blood flow dynamics in the fetus. Ultrasound Obstet Gynecol 2005; 25: 32–36

This page was created on 2016-09-05T15:19:18.896+09:00
This page was last modified on 2016-09-28T20:04:46.846+09:00


このサイトは(株)国際文献社によって運用されています。