Online ISSN: 2187-2988 Print ISSN: 0911-1794
特定非営利活動法人日本小児循環器学会 Japanese Society of Pediatric Cardiology and Cardiac Surgery
Pediatric Cardiology and Cardiac Surgery 32(5): 439-444 (2016)
doi:10.9794/jspccs.32.439

症例報告Case Report

循環破綻を来すほど巨大な心臓横紋筋腫に対し,救命のためeverolimusを使用した1例Regression of Massive Cardiac Rhabdomyoma Causing Circulatory Collapse with Everolimus Therapy

1岡山大学病院小児循環器科Okayama University Hospital, Pediatric Cardiology ◇ Okayama, Japan

2岡山大学病院小児科Okayama University Hospital, Pediatrics ◇ Okayama, Japan

受付日:2016年5月14日Received: May 14, 2016
受理日:2016年8月27日Accepted: August 27, 2016
発行日:2016年9月1日Published: September 1, 2016
HTMLPDFEPUB3

巨大な心臓横紋筋腫合併結節性硬化症(tuberous sclerosis: TS)患児に対し,救命のためeverolimusを使用し,腫瘍の縮小と血行動態の改善を得た症例を経験した.胎児診断症例.横紋筋腫,上衣下結節,多発性網膜過誤腫を認めTSと診断.横紋筋腫は巨大であり,右室内に充満していた.出生直後は無治療で経過をみることができ,動脈管自然閉鎖に伴う循環動態の変化も明らかではなかった.しかし心不全が徐々に進行し,日齢11より挿管人工呼吸管理を含む集中治療を開始した.腫瘍による圧排がその原因と考えられた.手術による摘除も困難な状況下で,救命のために適応外ではあるが日齢19よりeverolimus投与を開始した.投与開始後20日程度で腫瘍断面積は1/2以下に縮小した.縮小に伴い心不全も徐々に改善し,日齢42には抜管が可能であった.日齢93に退院した.横紋筋腫に対するeverolimus使用の報告は稀ではあるが,本症例では有効と考えられた.

We report the case of a newborn who showed rapid regression of cardiac rhabdomyomas associated with tuberous sclerosis (TS) following everolimus therapy. The newborn was diagnosed with TS based on fetal echocardiography and fetal magnetic resonance imaging that showed multiple cardiac rhabdomyomas, a subependymal nodule, and multiple retinal hamartomas. One of the cardiac rhabdomyomas was very large, but there was no evidence of severe inflow or outflow tract obstruction, valvular dysfunction, or arrhythmia. His condition was stable for 10 days after birth. However, the newborn suffered circulatory collapse on the 11th day of life. He required intensive care, including mechanical ventilation and infusions of milrinone. Everolimus therapy was started on the 19th day of life as a rescue treatment. Echocardiography showed rapid regression of cardiac rhabdomyomas and improvement of cardiac function within a few weeks. This case demonstrated the efficacy of everolimus therapy for TS-related cardiac rhabdomyomas.

Key words: everolimus; tuberous sclerosis; rhabdomyoma

はじめに

結節性硬化症(tuberous sclerosis: TS)は全身性の過誤腫を特徴とする常染色体優性遺伝性疾患である.原因遺伝子は腫瘍抑制遺伝子であるTSC1, TSC2遺伝子であり,これらの変異により,細胞増殖や血管新生に関わる調節因子であるmTOR(mammalian target of rapamycin)が異常活性化されることで,過誤腫の形成や付随する症状を引き起こす1)

経口mTOR阻害薬であるeverolimusは,細胞内でmTORに対して選択的に働き,腫瘍細胞の増殖を抑制し,血管新生を阻害する.その結果TSに伴う様々な腫瘍病変の縮小が期待できる.「結節性硬化症に伴う上衣下巨細胞性星細胞腫(subependymal giant cell astrocytoma: SEGA)」,「結節性硬化症に伴う腎血管筋脂肪腫(renal angiomyolipoma:腎AML)」に対して効能・効果が承認されているが,心臓横紋筋腫に対する使用は適応外である.

今回我々は,右室内に充満し,循環破綻を来すほど巨大な心臓横紋筋腫合併TS患児に対し,適応外ではあるが救命のためeverolimusを使用し,腫瘍の縮小と血行動態の改善を得た症例を経験したので,若干の文献的考察を交えて報告する.

症例

患者

日齢0男児.

病歴

在胎24週時に胎児エコーで心臓腫瘍を指摘.在胎33週時に胎児MRIを施行し側脳室周囲に上衣下結節を認めたため,TSが疑われた.心臓腫瘍は右室内に2個,右房内に2個の計4個を認めたが,そのうち右室内の1個は在胎35週の時点で37×31 mmと非常に巨大であり,右室内に充満し増大傾向を認めた.胎児期を通じて大動脈弓と動脈管弓の血流はいずれも順方向性であった.卵円孔の血流は当初右左短絡のみであったが,在胎36週時には左右短絡優位に変化しており,右室内腫瘍により圧排された左室容積の低下に伴う変化と考えた.出生後,肺血流増加により左室への前負荷が増大すれば改善される可能性が高いと思われたが確証がなく,出生後の循環破綻も危惧し,分娩方法として胎児適応による帝王切開を選択した.体血流確保のため必要であればPGE1投与による動脈管開存維持も考慮していた.また出生後に著しい循環不全に陥った場合に備え心臓血管外科と協力し補助循環導入可能な準備も整えた.なお,有意な流出路障害や不整脈は認めなかった.

在胎37週4日,帝王切開で出生.Apgar scoreは1分値8点,5分値8点であり,仮死は認めなかった.

理学所見

身長51.0 cm,体重2,930 g,体温36.8度,心拍120/分で整,呼吸数30~40/分,経皮的動脈血酸素飽和度(SpO2)98%.胸部 呼吸音清,心雑音は明らかでなかった.腹部 平坦かつ軟,腫瘤を触知せず.体表に明らかな奇形を認めず.

検査所見

血液検査では明らかな異常所見を認めなかった.動脈血ガス分析で,出生直後は混合性アシドーシスを認めたものの,時間経過とともに改善した.心エコー検査では,胎児診断通り右室内に2個(36×30 mm, 11×8 mm),右房内に2個(11×15 mm, 8×3 mm)の心臓腫瘍を認めた.有意な流出路障害は認めなかった.冠動脈の分岐パターンは正常だった.卵円孔は左右短絡,左室は右室内腫瘍に圧排され,左室拡張末期径(LVEDD)11.5 mm(対正常値比78%)とやや小さめであったが,左室駆出率(EF)51%,動脈管血流は左右短絡優位であった.なお,後日施行した頭部MRIで径5 mmの上衣下結節を認めたが,SEGAは認めなかった.また,眼科医による診察で多発性網膜過誤腫を認めたが,その他結節性硬化症の明らかな合併症は,腎AMLを含め認めなかった.

臨床経過(Fig. 1

Pediatric Cardiology and Cardiac Surgery 32(5): 439-444 (2016)

Fig. 1 Clinical course

The patient required intensive care due to severe heart failure on 11th day of his life. Following initiation of everolimus therapy on 19th day, the heart failure gradually improved. Finally, he could be discharged from our hospital on 93rd day.

出生時から動脈管血流が左右短絡優位であり,左室からの順行性血流で体循環は維持できていたため,PGE1投与は行わず,腫瘍の自然退縮を期待して注意深く経過観察することとした.日齢1の心エコー検査ではLVEDD 13.4 mm(対正常値比89%),EF 70%と肺血流増加による前負荷増大の影響と考えられる改善を認めた(Fig. 3A).また,肺血管抵抗低下に伴い日齢3に動脈管血流は左右短絡のみとなった.日齢5に動脈管の自然閉鎖を確認したが,明らかな循環動態の変化は認めなかった.フォローアップ目的で日齢10に,鎮静下に心臓MRIを施行した.しかし,日齢11に60/分以上の多呼吸と四肢冷感を認め,血液ガス分析で混合性アシドーシスを認めた.心エコー検査では壁運動の高度低下を認め,EF 15%であった.このときの血液検査で炎症反応の上昇は認めず各種培養検査も陰性,また心電図検査でも虚血性変化を認めなかった.腫瘍の圧迫自体が原因の重症心不全と考えられた.完全鎮静,挿管人工呼吸管理開始,また0.2 µg/kg/minでミルリノンの投与を開始した.治療開始後はEF 20%程度に上昇を認めたが効果は限定的であった.腫瘍自体への治療介入として,everolimusの投与を開始することとした.適応外使用となるため治験審査委員会の未承認薬申請審査を迅速に通し,両親への説明を行い,文書による同意を得た.また,everolimusの費用に関しては診療科負担とした.日齢19より,文献2)を参考にして1 mg/m2/day 分1で投与を開始した.目標トラフ値を5~15 ng/mLと設定,4回内服後,5回目内服直前のトラフ値を測定し用量を調節した.当初はトラフ値の十分な上昇が得られずこまめな増量を要したが,2.5 mg/m2/dayとしたところで目標トラフ値を超えるようになり,最終的には開始量である1 mg/m2/dayを維持量として退院時まで投与した.当初,腫瘍の最大径は36 mm,四腔断面像で計測した腫瘍断面積は1,000 mm2を超えていたが,Fig. 2に示すようにeverolimus開始後腫瘍サイズは縮小傾向となり,日齢35には496 mm2と半分以下にまで縮小した.腫瘍の縮小に伴い心機能も徐々に改善し,日齢42には抜管が可能であった.抜管後ミルリノンを0.1 µg/kg/minに減量するとともにピモベンダンを0.05 mg/kg/dayで内服開始,またカルベジロールの内服も0.02 mg/kg/dayと少量から開始した.カルベジロールは1週間ごとにおよそ倍量に増量し,日齢55からは0.1 mg/kg/dayとし,維持量とした.日齢60でミルリノンの投与を終了,日齢68よりピモベンダンを0.1 mg/kg/dayに増量した.その間腫瘍の再増大はなく,心機能も改善傾向であり,体重増加も得られるようになったことから,日齢93に退院とした.なお,退院時心エコー検査では,EF 54%にまで改善していた(Fig. 3B).

Pediatric Cardiology and Cardiac Surgery 32(5): 439-444 (2016)

Fig. 2 Changes of Cross-sectional area of the tumor

We started everolimus with the dosage of 1 mg/m2/day at first, but required to increase the drug up to 2.5 mg/m2/day to keep the target trough level. According to the elevation of trough level of everolimus, the tumor was getting small.

Pediatric Cardiology and Cardiac Surgery 32(5): 439-444 (2016)

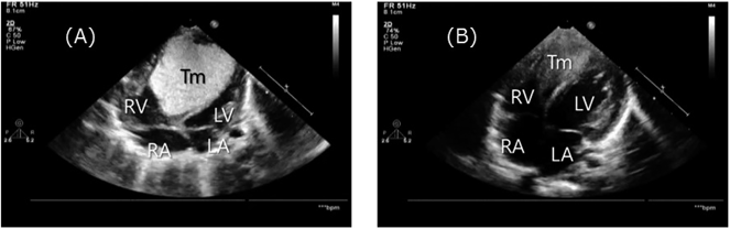
Fig. 3 Echocardiographic appearance

(A) At birth. The largest cardiac rhabdomyoma occupied most of the RV, size 36×30 mm. (B) Day90. The tumor significantly regressed. LA=left atrium; LV=left ventricle; RA=right atrium; RV=right ventricle; Tm=tumor.

考察

TSは中枢神経系,皮膚,腎,肺,そして心臓など全身の過誤腫性病変を特徴とする疾患であり,その頻度は約6,000~10,000出生に1例とされる1).責任遺伝子としてTSC1, TSC2遺伝子が同定されている.常染色体優性遺伝の形式をとるが,患者の約2/3は突然変異による孤発例とされる2).診断基準は大症状と小症状とからなり3)Table 1),大症状2つ,もしくは大症状1つと小症状2つで確実と診断される3).本患児においては心臓横紋筋腫のほか,上衣下結節,多発性網膜過誤腫を認め,大症状3つを有することからTSと診断した.両親に結節性硬化症の家族歴はなく,孤発性に発症したものと思われた.

Table  1 Diagnosis of TS
Major featuresMinor features
Hypomelanotic macules (≥3)“Confetti” skin lesions
Angiofibromas (≥3)Dental enamel pits (>3)
Ungual fibromas (≥2)Intraoral fibromas (≥2)
Shagreen patchRetinal achromic patch
Multiple retinal hamartomasMultiple renal cysts
Cortical dysplasiasNonrenal hamartomas
Subependymal nodules (SEN)
Subependymal giant cell astrocytoma (SEGA)
Cardiac rhabdomyoma
Lymphangioleiomyomatosis (LAM)
Angiomyolipomas (≥2, AML)
•definite diagnosis: 2 major features or 1 major feature with ≥2 minor features.
•possible diagnosis: Either 1 major feature or ≥2 minor features

心臓横紋筋腫は,胎児期から乳児期を好発年齢とするTSの症状の1つであり,その発現頻度は50~60%と言われている4).約50%が自然退縮するといわれている4)が,流出路・流入路狭窄を有する例,高度弁逆流を有する例,致死的不整脈を有する例では,突然死のリスクの観点から外科的切除が考慮される5).しかし,横紋筋腫を有する42名の患児に対し手術を行い,術後3名が死亡したとの報告もあり6),手術で全例が救命できるわけではない.

本症例では日齢11に心臓横紋筋腫自体が原因と考えられる重症心不全を認めたが,この経過と同様に,出生直後ではなく,生後ある程度の期間を経て循環破綻を来す症例の報告がある.例えば文献8)に報告される症例では,日齢8に循環破綻を来し,集中治療を要した.出生直後は内因性カテコラミンの分泌で何とか適応できていたものの,限界を迎えるのがこの時期であるとも考えられるが,推測の域を出ない.本症例においては,日齢10にMRI施行のため鎮静薬を使用しており,これによる交感神経系の抑制も一因となっている可能性はある.

横紋筋腫を原因とする心不全に対するeverolimus以外の治療としては,挿管人工呼吸,カテコラミン・ミルリノンをはじめとするホスホジエステラーゼ-III阻害薬・利尿薬・ベータ遮断薬などの薬物的治療,体外補助循環導入といった選択肢が考えられる.心臓横紋筋腫の場合,心不全症状を来さないものから重篤なものまで症状の差が個々によって大きいため,一概にどの心不全治療が適しているかを述べるのは難しい.自験例では完全鎮静での人工呼吸管理下にミルリノンを投与することでいったん循環動態の改善をみたが,人工呼吸器からの離脱を考慮するにあたり,一度循環破綻を来しているため腫瘍の縮小化が必須と考えeverolimus投与を決断した.重篤な心不全症状がありながらもeverolimusが使用できない状況では,上述の心不全管理を長期間行いながら自然退縮を期待して待機するか,巨大な腫瘍に対し心室切開をして部分切除を行うことを選択することが挙げられるが,前者は管理中に再度循環破綻を来した場合の対応が可能かどうか,後者はその適応と有効性,および合併症が問題になると思われる.

Everolimusは経口mTOR阻害薬であり,TSC1, TSC2遺伝子の変異により異常活性化されたmTORを選択的に抑制することで,TSに伴う様々な腫瘍病変の縮小が期待できる.国内では,TSに合併するSEGAや腎AMLに適応があるほか,心・腎移植後の拒絶反応抑制として,また根治切除不能腎細胞癌・乳癌,膵神経内分泌腫瘍に対する抗癌剤としての適応もある.海外でも同様の適応症で使用されるが,近年海外を中心として,TSに伴う心臓横紋筋腫に対する使用の報告がみられるようになった.2011年Tiberioらの報告7)を皮切りに,SEGAや腎AMLに合併する横紋筋腫に対して,また本症例のように,現時点で適応外ではあるが横紋筋腫単独に対しての使用が少数ながら報告されている2, 5, 7–14)Table 2).

Table 2 List of the case of everolimus therapy for cardiac rhabdomyoma
CaseSexAgeDiagnosis of TSSEGAAMLTumor numberLargest tumor diameterSevere heart failureSevere obstructionArrhythmiaDrug dosageDuration of administrationOutcome
1Ref. 8)M10 days++1?+0.5 mggoingalive
2Ref. 9)M14 days+++812 mm??alive
3Ref. 10)F10 days+3?+0.25 mg×2 (2 day/week)4 weeksalive
4Ref. 2)?2 days+?37 mm+1.5–2 mg/m219 daysalive
5Ref. 11)F20 days+616 mm+0.65 mg/m234 daysalive
6Ref. 12)F4 days+??527 mm+0.65 mg/m281 daysalive
7Ref. 13)F21 days+1?+3 mg/m2goingalive
8Ref. 5, 14)M0 day+825 mm+0.25 mg×4 (2 day/week)2.5 monthsalive
9Ref. 7)M7 years++1??goingalive
10M19 days+436 mm+1 mg/m23.5 monthsalive

TSにおけるeverolimusの有用性を示した研究15)で血中トラフ値5~15 ng/mLが目標とされたことから,現在では治療域としてこの範囲が用いられている.初期投与量については報告によって異なるが,今回は文献2)を参考に決定した.文献では,1.5~2 mg/m2/dayで開始したところ,代謝能の未熟性からトラフ値108 ng/mLと異常高値となったため,1 mg/m2/dayでの投与開始が推奨されていた.我々も1 mg/m2/dayで投与を開始したが,思ったほどの血中濃度上昇が得られず,結局は最大で2.5 mg/m2/dayまでの増量を要した.この原因として,文献の症例では腫瘍は巨大であったものの循環は成り立っていたのに対し,自験例では重症心不全を呈しており,消化管血流の低下から吸収不全が生じていた可能性が考えられた.Everolimus血中濃度は外注項目であり結果判明まで約5日と時間がかかることもあり,早期に有効血中濃度を達成するために初期投与量を症例ごとに検討する必要があると思われた.

今回,everolimusとして,アフィニトール錠5 mg®(ノバルティスファーマ)を使用した.1錠あたり13,547.8円と非常に高価であり,またトラフ値を参考に頻回の薬用量増減も懸念されたため,0.05 mgを1包として100包調剤し,包数で用量を増減するという工夫を行った.

Everolimusの副作用として,高脂血症,高血糖,血球減少,肝機能異常,免疫抑制に起因する感染が挙げられる.本症例では,血液検査による定期的なモニタリングを行い明らかな合併症なく治療を行うことができた.

中止時期については報告によって異なる.心臓横紋筋腫の縮小と血行動態の改善を認めたところで投与を終了するものが多いが,Table 2におけるCase1ではSEGAの合併を認めることから,横紋筋腫の縮小を得,治療開始契機となった重症心不全が改善した後も投与を継続している.Case9はそもそもSEGAの治療として開始されたものであった.本症例については,SEGAや腎AMLの合併を認めなかったことから保険適応がなく,非常に高価な薬のため必要最小限の使用が現実的と考え,基本的には血行動態の改善を認めた時点,つまり腫瘍はある程度残存するものの,哺乳不良なく体重増加が良好になった時点での中止を検討した.また高価な薬剤であり,前述の調剤方法も考慮し,調剤したものをすべて内服した時点で終了とした.

薬剤中止にあたり考慮すべきは腫瘍の再増大の懸念である.Case7においては,生後3週間でeverolimusの投与を開始,腫瘍縮小と右室流出路狭窄の改善を得たため投与開始後3か月でいったん投与を中止したが,中止後2週間で腫瘍の再増大を認めたため,同量で再開を要した.再開後は速やかに腫瘍の縮小を認めたが,1歳まではeverolimus投与を継続する方針となった.mTOR阻害薬投与中止後,SEGAの再増大については報告があり16),心臓横紋筋腫に関してもそのリスクがあると考えられるため,中止後の経過についても注意深く観察する必要がある.また,心臓横紋筋腫は自然退縮することがよく知られているため,今回の腫瘍縮小に関してもすべてがeverolimusの効果とは断定できない可能性もあり,今後の症例の蓄積が重要である.

結語

巨大な心臓横紋筋腫合併TS患児に対し,救命のためeverolimusを使用し,腫瘍の縮小と血行動態の改善を得た症例を経験した.手術に替わる横紋筋腫の治療法の一つとして有効である可能性が示唆された.本症例のように血中薬物動態には不透明なところがあり,新生児期,かつ心不全を呈している患児に使用することも多いと考えられ,有効性の検討も含めて更なる症例の蓄積が待たれる.

利益相反

本論文について,開示すべき利益相反(COI)はない.

付記

この論文の電子版にて動画を配信している.

引用文献References

1) 山下 薫,泉 有紀,北代祐三,ほか:結節性硬化症に伴う胎児心臓腫瘍の3症例.日本周産期・新生児医学会雑誌2015; 51: 370–375

2) Wagner R, Riede FT, Seki H, et al: Oral everolimus for treatment of a giant left ventricular rhabdomyoma in a neonate-rapid tumor regression documented by real time 3d echocardiography. Echocardiography 2015; 32: 1876–1879

3) Northrup H, Krueger DA, International Tuberous Sclerosis Complex Consensus Group: Tuberous sclerosis complex diagnostic criteria update: Recommendations of the 2012 International Tuberous Sclerosis Complex Consensus Conference. Pediatr Neurol 2013; 49: 243–254

4) 金田眞理,吉田雄一,久保田由美子,ほか:結節性硬化症の診断基準および治療ガイドライン.日皮会誌2008; 118: 1667–1676

5) Demir HA, Ekici F, Yazal Erdem A, et al: Everolimus: A challenging drug in the treatment of multifocal inoperable cardiac rhabdomyoma. Pediatrics 2012; 130: e243–e247

6) Bielefeld KJ, Moller JH: Cardiac tumors in infants and children: Study of 120 operated patients. Pediatr Cardiol 2013; 34: 125–128

7) Tiberio D, Franz DN, Phillips JR: Regression of a cardiac rhabdomyoma in a patient receiving everolimus. Pediatrics 2011; 127: e1335–e1337

8) Hoshal SG, Samuel BP, Schneider JR, et al: Regression of massive cardiac rhabdomyoma on everolimus therapy. Pediatr Int 2016; 58: 397–339

9) Choudhry S, Nguyen HH, Anwar S: Rapid resolution of cardiac rhabdomyomas following everolimus therapy. BMJ Case Rep 2015; 9: 2015

10) Öztunç F, Atik SU, Güneş AO: Everolimus treatment of a newborn with rhabdomyoma causing severe arrhythmia. Cardiol Young 2015; 25: 1411–1414

11) Goyer I, Dahdah N, Major P: Use of mTOR inhibitor everolimus in three neonates for treatment of tumors associated with tuberous sclerosis complex. Pediatr Neurol 2015; 52: 450–453

12) Mohamed I, Ethier G, Goyer I, et al: Oral everolimus treatment in a preterm infant with multifocal inoperable cardiac rhabdomyoma associated with tuberous sclerosis complex and a structural heart defect. BMJ Case Rep 2014; 26: 2014

13) Mlczoch E, Hanslik A, Luckner D, et al: Prenatal diagnosis of giant cardiac rhabdomyoma in tuberous sclerosis complex: A new therapeutic option with everolimus. Ultrasound Obstet Gynecol 2015; 45: 618–621

14) Kocabaş A, Ekici F, Cetin Iİ, et al: Cardiac rhabdomyomas associated with tuberous sclerosis complex in 11 children: Presentation to outcome. Pediatr Hematol Oncol 2013; 30: 71–79

15) Bissler JJ, Kingswood JC, Radzikowska E, et al: Everolimus for angiomyolipoma associated with tuberous sclerosis complex or sporadic lymphangioleiomyomatosis(EXIST-2): A multisentre, randomized, double-blind, placebo-controlled trial. Lancet 2013; 381: 817–824

16) Krueger DA, Care MM, Holland K, et al: Everolimus for subependymal giant-cell astrocytomas in tuberous sclerosis. N Engl J Med 2010; 363: 1801–1811

17) Framarino-dei-Malatesta M, Derme M, Manzia TM, et al: Impact of mTOR-I on fertility and pregnancy: State of the art review of the literature. Expert Rev Clin Immunol 2013; 9: 781–789

This page was created on 2016-09-07T16:20:08.253+09:00
This page was last modified on 2016-09-28T20:18:07.140+09:00


このサイトは(株)国際文献社によって運用されています。