Online ISSN: 2187-2988 Print ISSN: 0911-1794
特定非営利活動法人日本小児循環器学会 Japanese Society of Pediatric Cardiology and Cardiac Surgery
Pediatric Cardiology and Cardiac Surgery 32(1): 56-61 (2016)
doi:10.9794/jspccs.32.56

症例報告症例報告

乳児期に診断し長期経過観察しているUhl病の一例A Long-term Follow-up Case of Uhl’s Anomaly that was Diagnosed in Infancy

1埼玉県立小児医療センター循環器科Division of Cardiology, Saitama Children’s Medical Center ◇ Saitama, Japan

2東京慈恵会医科大学小児科学講座Department of Pediatrics, The Jikei University School of Medicine ◇ Tokyo, Japan

受付日:2015年9月24日Received: September 24, 2015
受理日:2015年12月10日Accepted: December 10, 2015
発行日:2016年1月1日Published: January 1, 2016
HTMLPDFEPUB3

Uhl病は右室心筋の部分的あるいは完全な欠如によって,羊皮紙様の菲薄化を伴う著明に拡張した右室を特徴とする原因不明の疾患である.Uhl病の多くは乳幼児期に発症し,そのほとんどは成人期に達することはないとされている.今回,乳児期にUhl病と診断し,無症状で18年間長期経過観察している一例を報告する.2ヶ月時の心臓超音波検査でUhl病と診断し,6歳時に施行した心血管造影検査にて著明に拡大した右室を認めた.12歳時に施行したMRIでは右室自由壁は菲薄化し,右室拡大は増悪していた.15歳時のMRIでは右室拡大はさらに増悪し,経時的に右室は拡大傾向を示していたが,右心不全症状を呈することなく(NYHA I),良好な経過を示している.Uhl病の自然歴を把握するうえで重要な一例と思われる.

Uhl’s anomaly is a rare cardiac disease of unknown etiology characterized by a markedly distended right ventricle because of partial or complete absence of right ventricular myocardium, which consequently develops a parchment-like appearance. Patients usually present with symptoms in infancy and rarely survive to adulthood. We report the case of an 18-year-old patient with Uhl’s anomaly who was diagnosed in infancy and survived to adulthood without symptoms of heart failure. Angiocardiography at the age of 6-years showed a dilated right ventricle. Magnetic resonance imaging (MRI) at the age of 12-years showed an extremely dilated thin-walled right ventricle with almost complete absence of right ventricular myocardium. At the age of 15-years, his MRI images showed further dilatation of the right ventricle. Follow-up examinations revealed to manifestation of right heart failure, despite persistent right ventricular dilatation and impaired function. This case may be useful for understanding the natural history of Uhl’s anomaly.

Key words: Uhl’s anomaly; natural history; magnetic resonance imaging

はじめに

Uhl病は1952年にUhlにより報告された孤立性の右室心筋の部分的あるいは完全な欠如により,羊皮紙様(Parchment-like)の菲薄化を伴う著明に拡張した右室を特徴とする原因不明の稀な疾患である1).新生児から成人に至る様々な年齢層での報告があるものの,その多くは乳幼児期に発症し,乳児期に診断された症例が成人期に達することはなく,Uhl病は予後不良とされている2).一方,近年,乳児期に右心バイパス術(1+1/2心室修復術(One and a half ventricle repair)やTCPC(total cavo-pulmonary connection))を施行し,良好な経過を得ている報告もある3).今回,乳児期にUhl病の診断に至り,外科的治療介入なく長期経過観察を行っている極めて稀なUhl病の18歳男児例を報告する.新生児あるいは乳児期にUhl病と診断され,無症状で長期生存を得ている報告は過去に1例のみであり4),本邦では初めての報告となる.

症例

症例

18歳 男性

家族歴

特記事項なし

現症

身長159 cm(−2.0 SD),体重51.7 kg(−1.1 SD),血圧110/70 mmHg,チアノーゼなし,下腿浮腫なし,心音微弱,心雑音なし,頸静脈怒張なし,右季肋部に肝を触知せず.

1)胸部単純X線(Fig. 1

CTR(cardio thoracic ratio)0.65,肺うっ血なし

2)心電図(Fig. 1

123/分(整),平均QRS電気軸65度,CRBBB, II/aVR/V1~V4 P波増高,II/III/aVF/V5/V6陰性T波

Pediatric Cardiology and Cardiac Surgery 32(1): 56-61 (2016)

Fig. 1 Twelve-lead electrocardiogram showing right atrial hypertrophy (A: 2 months old, B: 18 years old), and chest X-ray showing enlargement of the cardiac silhouette with a prominent right ventricle contour (C: 2 months old, D: 18 years old)

経過

在胎41週,2,820 g,経腟分娩で出生.生後2ヶ月時に心音の減弱と心拡大(CTR 0.60)を指摘され,精査加療目的で紹介入院となった.入院時,体重5,660 g(+0.2 SD)と体重増加は良好であったが,奔馬調律を聴取し,胸部単純X線では著明な心拡大(CTR 0.65)を認めた.心電図にて右房負荷によるP波増高,V1~V6誘導で陰性T波,右側胸部誘導でQRS波低電位を認め(Fig. 1),Holter心電図では単源性心室期外収縮(282回/日)を認めた.心臓超音波検査では,左室は心室中隔を除いて壁運動は良好(LVEF 73%)であったが,右室は著明に拡大し,心室中隔は奇異性運動を呈し,菲薄化した右室壁運動は著しく低下していた(Fig. 2).三尖弁の付着異常などの形態異常はなく,三尖弁閉鎖不全も軽度で肺動脈弁は拡張期に開放していたことから,Uhl病と診断した.右心不全症状を認めなかったが,利尿剤と右室内血栓予防目的でのaspirinの内服を開始し,外来経過観察とした.

Pediatric Cardiology and Cardiac Surgery 32(1): 56-61 (2016)

Fig. 2 Four-chamber view at the age of 2-months showing a dilated right ventricle with tricuspid valve leaflets arising appropriately from the annulus (A), thin-walled right ventricle (arrow) and mild tricuspid regurgitation (B). Four-chamber view at the age of 17-years showing his dilated right ventricle and right atrium with severe tricuspid regurgitation (C, D). Short-axis view at the age of 17-years showing diastolic opening of the pulmonary valve (arrow) (E), and, left ventricle dysfunction with interventricular septum paradoxical motion [short-axis view: F (diastolic phase), G (systolic phase); long-axis view: H]

その後,心拡大の増悪傾向(6ヶ月時CTR 0.67,11ヶ月時CTR 0.69,1歳9ヶ月時CTR 0.73)と右室拡大に伴う三尖弁閉鎖不全の増悪を認めたが,右心不全症状は認めなかった.3歳時には単源性心室期外収縮の発生頻度が増加(1,438回/日)し,mexiletineの内服を開始した.内服開始後,心室期外収縮の発生頻度は減少した(317回/日).右室の拡大傾向は続き,さらに三尖弁閉鎖不全は悪化し,BNP 200 pg/mL前後の高値が持続し,左室機能軽度低下(LVEF 59%)を認めるようになったことから(Fig. 3),4歳時よりenalaprilの内服加療を開始した.

Pediatric Cardiology and Cardiac Surgery 32(1): 56-61 (2016)

Fig. 3 Changes in atrial natriuretic peptide (ANP), brain natriuretic peptide (BNP), cardiothoracic ratio (CTR), and left ventricular ejection fraction (LVEF)

6歳時に施行した心臓カテーテル・心血管造影検査では,右房でのa波増高(16 mmHg),著明な右室拡大(右室拡張末期容積(RVEDV)188 mL(272 mL/m2)),右室機能低下(RVEF 17%)を認めた.

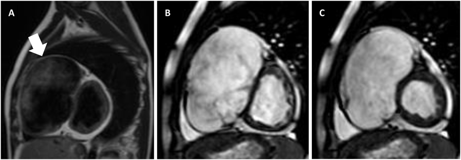
12歳1ヶ月時に施行したMRI(Fig. 4)で左室心筋の菲薄化はなく,左室機能低下を認め(LVEF 44%,Cardiac Output(CO)3.7 L/min),右室自由壁の均一な菲薄化(右室壁厚2 mm),右房拡大と右室拡大(RVEDV 375 mL(377 mL/m2)),右室機能低下(RVEF 13%)を認めた.T1強調画像で催不整脈源性右室心筋症(ARVC: arrhythmogenic right ventricular cardiomyopathy)を示唆する右室心筋の脂肪変性を認めず,MRI上もUhl病として合致する所見であった.15歳1ヶ月時に施行したMRIでは,心室中隔の菲薄化と右室拡大の増悪(RVEDV 538 mL(386 mL/m2))を認めた.両心室機能の悪化はなかった(LVEF 40%, CO 3.8 L/min, RVEF 10%).

Pediatric Cardiology and Cardiac Surgery 32(1): 56-61 (2016)

Fig. 4 Sagittal T1-weighted spin-echo sequence at the age of 12-years showing the almost total absence of right ventricular myocardium and decreased trabeculation (arrow) without fibrofatty replacement (A). Cine magnetic resonance imaging at the age of 15-years showing no right ventricular wall motion and a thinned right ventricular myocardium in comparison to the normal left ventricular myocardium in short-axis view (B: diastolic phase, C: systolic phase)

15歳3ヶ月時のHolter心電図で多源性心房頻拍(MAT: multifocal atrial tachycardia)と診断し,mexiletineに替えてflecainideの内服を開始した.内服開始後,頻拍発作は認めていない.15歳9ヶ月時に心臓カテーテル検査とMRI(Fig. 4)を施行し,右房a波増悪はなく(15 mmHg),両心室機能低下の悪化もなかったが(LVEF 39%, CO 4.1 L/min, RVEF 12%),右室拡大の軽度増悪を認めた(RVEDV 575 mL(394 mL/m2)).

乳児期から18年間の長期経過観察において一貫して右心不全症状を認めていない(NYHA I).Uhl病の確立された標準的な外科的治療戦略もなく,その治療成績も一定していないことから,外科的治療介入せずに経過観察する方針としてきたが,左室機能の低下もあり,心臓移植も念頭においての経過観察の方針としている.現在は内服加療で外来経過観察中である.

考案

Uhl病は1952年にUhlが8ヶ月女児の剖検例を報告したのが最初である1).Uhlは右室心筋欠如が右室心筋全体におよび,菲薄化以外には心疾患を認めず,他の要因により二次的に右室が拡張したものを除く疾患をUhl病として定義した1).しかし,Uhlの報告以降,部分的な右室心筋欠如の症例が報告され,さらには心筋欠如以外にも卵円孔開存,心房中隔欠損,動脈管開存,肺動脈弁狭窄,肺動脈閉鎖,三尖弁閉鎖等の合併心奇形を有する症例も報告されるようになり,その概念はより広義に解釈されるようになった5).自験例はUhlが当初に定義した古典的なUhl病といえる.

従来のUhl病の診断では心臓超音波検査,心臓カテーテル検査,心血管造影が有用とされている.心臓超音波検査では三尖弁付着異常はなく,右心系の著明な拡大,右室自由壁の菲薄化,右室収縮能低下,肺動脈弁拡張期解放等が特異的な所見とされる.三尖弁の付着部位異常がないことから,Ebstein奇形と鑑別し得る.また,拡張した右室によって心室中隔は圧排され,中隔は奇異性運動を呈する.肺動脈弁拡張期開放は右室機能が低下し,代償的に右房が肺動脈への血液駆出を担うことにより出現する.自験例は前述のいずれの所見も呈していた.Reneらは,1歳男児例の心臓カテーテル検査所見と剖検所見との対比から,Uhl病における血行動態および心臓血管造影所見の特異点を指摘し,カテーテル検査所見からUhl病の診断が可能であるとしている6).Reneらによると著明なa波の増高を伴う右房圧の上昇,肺動脈・右室圧曲線でa波に相当する振れの出現,拡張期における肺動脈への血液駆出,Dip and plateau型右室圧曲線等が特異的所見であり,造影所見では右房・右室の著明な拡大,右室自由壁の菲薄化,右室収縮能低下による造影剤の停滞等がUhl病の特異的所見であるとしている.

しかし,これらの検査は右室心筋欠如や右室自由壁の菲薄化をとらえるには不十分であり,Uhl病の診断には病理診断が有用とされている.過去の多くの報告では,病理所見において羊皮紙様に菲薄化した右室を確認し,組織学的に心筋細胞の欠如と線維化,心内膜の肥厚を確認することでUhl病と診断されている1, 2, 6, 7).右室縫縮術等の治療介入時や剖検時に病理診断に至っている報告が多いが,当症例の如く治療介入を行っていない生存例ではカテーテルによる右室心筋生検を要することになる.しかし,菲薄化した心筋への生検は心筋穿孔の可能性が高く,自験例では心筋生検を実施していない.

生検に代わって心筋欠如や菲薄化を評価する手段として,非侵襲的な画像診断が可能なMRIが注目されている4, 8, 9).MRIによって比較的簡易に右室心筋の欠如と右室壁の菲薄化をとらえることが可能であり,Uhl病の診断に極めて有効である.GreerらはMRIでのUhl病の特異的所見は,左室心筋に異常を認めず,右室心筋への脂肪浸潤や線維化はなく,右室自由壁心筋欠如と心尖部の肉柱低形成であると報告している4).自験例でもMRIにて右室自由壁の心筋欠如を認め,右室心筋壁厚2 mmと著明な菲薄化と右房と右室の著明な拡張を認めた.拡張する右室を経時的に評価することも可能であり,MRIはUhl病を評価・診断するにあたって非常に有用な検査であると思われる.また,Uhl病の類縁疾患とされるARVCとの鑑別点である右室心筋の脂肪浸潤や線維化をT1強調画像にて認めなかったことから,ARVCを除外診断するにもMRIは有効であった.MRI画像と病理組織所見との比較を論じている文献はなく,自験例もGreerらの報告と同様に生検を実施することなく,MRIにてUhl病の確定診断としている.

二神らは文献上のUhl病68例を集計し報告しているが,新生児期あるいは乳児期にUhl病と診断された症例は23例/68例(33.8%),生存例は4例/23例(17.4%)であったと報告し,報告時に成人期に達している症例はいない2).Greerらは新生児期にUhl病と診断し,17歳時まで外科的治療介入なく経過観察を行っている症例を報告している4).過去の報告において新生児期あるいは乳児期にUhl病と診断し,外科的治療介入なく,長期生存を得ている症例報告はGreerらの1例のみであり,当症例は2例目の報告となる.二神らの集計によれば,12例/68例(17.6%)が18歳以上(18~57歳)に診断されており,成人期に診断される症例も少なくないとしている2).成人期に診断された症例がいつの時点から右室の菲薄化を来しているかは不明であり,新生児期や乳児期から菲薄化をきたしている可能性も否定はできない.Juneらは乳児期に多呼吸を認め,13歳時にUhl病の診断に至り51歳で外科的治療介入(右室補助人工心臓)を行い死亡した症例を報告している7).新生児あるいは乳児期に診断された症例のほとんどは乳幼児期に死亡するとされているが,成人期に診断された症例の中には新生児期あるいは乳児期から右室の菲薄化と右室拡大を呈し,長期生存を得ている症例も含まれているかもしれない.Uhl病の予後は右室心筋形成不全の程度および心筋欠如の範囲によって異なるとされ,成人期に診断される症例では右室心筋の部分欠損が多く,小児期診断例と比較すると予後は良いとされる2).自験例では右室心筋は完全に欠損しており,乳児期に死亡している過去の症例報告と比較し,欠損範囲に差異はなく,長期経過観察が可能となっている要因は不明であった.

Uhl病に対してOne and a half ventricle repairやTCPC等の右心バイパス術が施行され,良好な術後経過が報告されている.Takizawaらは乳児期に診断されたUhl病5例を集計し,右心バイパス術を施行した4例の中期成績は良好であったと報告している3).しかし,Uhl病が稀な疾患であることから,その治療介入後の報告数も少なく,治療介入時期や治療戦略も一定していない.自験例では右心不全症状が乏しかったことから,経過観察の方針とした.9歳時にグレン手術/右室縫縮術を提示したが,セカンドオピニオンを希望して他院を受診した結果,家族は外科的治療を希望しなかった.その後,MATを認め,右室だけでなく左室機能低下も呈していることから(Fig. 2),心臓移植を含めた外科的治療介入を検討している.左室機能低下の要因として心筋欠如が左室に及んでいる可能性を考慮したが,MRI上は左室の心筋細胞欠如を認めなかったことから,継続的に拡張する右室によって左室が圧排され,左室機能が低下したと考えられた.Ebstein奇形では,左室容量は維持されつつ左室機能低下を来すことが知られており,拡張した右室による圧排によって左室形態が変形することがその要因と考えられている10).Uhl病でもEbstein奇形と類似した機序によって左室機能低下がもたらされると思われた.

近年,胎児診断されるUhl病の症例報告も散見されるようになっており,Uhl病の自然歴を含め,治療介入至適時期や治療戦略の確立について今後の胎児例を含めた症例の蓄積が期待される.

結語

今回,乳児期に心臓超音波検査でUhl病を疑い,心臓カテーテル検査と造影検査,特徴的なMRI検査所見によりUhl病と診断した一例を経験した.新生児期あるいは乳児期に診断された症例のほとんどは成人期に至ることはないとされているが,我々の自験例では右心不全症状なく(NYHA I),外科的治療介入せず,18年間の良好な経過を得ている.Uhl病の自然歴を検討するうえで示唆に富む重要な一例であると考えられた.

This page was created on 2016-01-05T14:11:08.219+09:00
This page was last modified on 2016-01-26T11:03:31.817+09:00


このサイトは(株)国際文献社によって運用されています。