Online ISSN: 2187-2988 Print ISSN: 0911-1794
特定非営利活動法人日本小児循環器学会 Japanese Society of Pediatric Cardiology and Cardiac Surgery
Pediatric Cardiology and Cardiac Surgery 32(2): 70-77 (2016)
doi:10.9794/jspccs.32.70

ReviewReview

組織ドプラ法と僧帽弁輪および三尖弁輪収縮期移動距離Tissue Doppler Imaging and Mitral or Tricuspid Annular Plane Systolic Excursion in Healthy Children

徳島県立中央病院小児科Department of Pediatrics, Tokushima Prefectural Central Hospital ◇ Tokushima, Japan

発行日:2016年3月1日Published: March 1, 2016
HTMLPDFEPUB3

組織ドプラ法(TDI)は,ドプラ法により心筋運動速度を測定する心エコー検査である.成人では,4腔断面における僧帽弁輪または三尖弁輪運動のスペクトル表示から,長軸方向の収縮および拡張能を種々の疾患で評価することが推奨されている.一方,小児では先天性心疾患や術後症例で左室または右室機能に関して報告がなされている.しかしながら,年齢により正常値が異なることから実際の臨床の場で広く利用されているとは言いがたい.この総説ではTDIの各種指標の小児正常値を呈示すると共に,小児科領域でのTDI分析の有用性と問題点につき言及したい.一方,僧帽弁輪または三尖弁輪収縮期移動距離はM-modeで両心室の長軸機能を評価する簡便な方法である.本総説ではこの指標の小児正常値と臨床応用に関しても呈示する.これらの指標は通常の超音波診断装置で解析可能であり,小児循環器領域での心機能解析に際して利用されるよう願っている.

Tissue Doppler imaging (TDI) is an echocardiographic technique that uses Doppler principles to measure the velocity of myocardial motion. In adults, TDI is recommended to assess systolic and diastolic longitudinal ventricular function by obtaining spectral traces from the mitral and tricuspid ring in the 4-chamber view. There are many studies of left or right ventricular function assessed by TDI in various heart diseases during the pediatric period. However, age-related changes of normal values of TDI parameters make it difficult to interpret data in an individual child in actual clinical practice. This review provides normal values for various TDI parameters and discusses the clinical usefulness and limitations of TDI in the pediatric age group. Mitral or tricuspid annular plane systolic excursion is another method to assess longitudinal function of both ventricles by M-mode. This review also shows normal values and clinical implications of this simple method. Because of their ready availability using conventional echocardiographic equipment, these methods should become a part of the routine assessment of cardiac function in children.

Key words: tissue Doppler; MAPSE; TAPSE

はじめに

血流を観察する超音波ドプラ法では,血球の動きによるドプラ偏位を検出し速度を測定する.一方,心筋からの後方散乱は血球よりも信号強度が強く低速である.従来の血流観察ではクラッター信号として除去されてきた「心筋からの散乱」を取り出し分析するのが組織パルスドプラ法(tissue Doppler imaging: TDI)である.本法は1990年前半から普及し,主に心室長軸機能の分析に利用されている.本原稿ではTDIの分析に際して知っておくべき事項を,小児での応用も交えて紹介したい.

上述のようにTDIは主に長軸方向の心筋運動を解析する検査法であるが,弁輪部の長軸方向の運動をM-modeで測定する簡便な検査法が最近注目されている.すなわち三尖弁輪収縮期移動距離(tricuspid annular plane systolic excursion: TAPSE)および僧帽弁輪収縮期移動距離(mitral annular plane systolic excursion: MAPSE)である.本総説では,これらの指標についても概説したい.

僧帽弁輪組織パルスドプラ法

TDIにて任意の心筋部位にサンプルボリュームを設定すれば,その部位の組織ドプラ波形をスペクトル表示することができる.ここでは心尖部四腔断面から僧帽弁輪(外側)での心筋運動速度波形の解析について説明する.

左室心筋は心外膜側と心内膜側の斜走筋,中間層の輪状筋の3層構造を呈する.左室短軸断面での左室内径短縮率は主に輪状筋の機能を評価している.一方,多くの心筋病変では心内膜下に病変が出現し,その後,心外膜側に及ぶ.この考えに従うと,心内膜側の長軸機能解析は「左室機能障害の早期発見」に有用である1)

弁輪部は,収縮期に心尖部へ移動し(s′波),拡張期には拡張早期と心房収縮期に2峰性に心基部側へ移動する(e′波およびa′波).a′波とs′波の間には2相性の小さな波形を認め,等容性収縮期(isovolumic contraction time: ICT)に相当する.また,s′波とe′波の間にも2相性の波形を認め,等容性拡張期(isovolumic relaxation time: IRT)にあたる(Fig. 1).

Pediatric Cardiology and Cardiac Surgery 32(2): 70-77 (2016)

Fig. 1 Tissue Doppler imaging (TDI) recorded from the apical 4-chamber view

Left: A sample volume is targeted on any part of myocardium. Here, the sample volume is placed on the mitral valve annulus (its lateral or septal junctions) or on the tricuspid valve annulus. Right: Recording from the lateral junction of the mitral annulus. The Doppler spectrum shows systolic waves (s1’ and s2’), an early diastolic wave (e′), and a late diastolic wave (a′). ECG=electrocardiogram; ICT=isovolumic contraction time; IRT=isovolumic relaxation time; LA=left atrium; LV=left ventricle; RA=right atrium; RV=right ventricle; TDI=tissue Doppler imaging.

TDIによる心機能分析には以下のような多くの利点がある.i)e′波は前負荷の影響を比較的受けにくい,ii)断層画面が不鮮明な症例でも良好な分析ができる,iii)時間分解能が3~4 msecと極めて良い,iv)左室内径短縮率では得られない長軸方向の心機能を評価できる,v)通常の心エコー装置で解析可能である.一方,欠点としては,i)角度依存性である,ii)心臓全体の動き(translation)や周辺組織の収縮の影響を受ける(tethering),iii)局所壁運動異常がある場合には心室全体の心機能を反映しない,などが挙げられる.

ここで,解析に適した記録を得るためのコツについて触れたい.まず弁輪の運動方向とドプラカーソルはできるだけ平行に設定する.また,良好なドプラ波形を検出できるように,サンプルボリューム幅はやや広めとする(著者は学童で5~6 mmにしている).ドプラゲインは可及的に下げスペクトル包絡線(envelop)が認識できる記録が望ましい.ゲインを上げすぎるとノイズを拾い運動速度を過大評価するばかりでなく,時相解析が困難になるからである.最後に,低速の運動速度を記録するためドプラフィルターは可及的に低く設定する(Fig. 2).

Pediatric Cardiology and Cardiac Surgery 32(2): 70-77 (2016)

Fig. 2 Inadequate and adequate recordings of tissue Doppler imaging

The sample volume is placed on the lateral mitral valve annulus. A: Inadequate recording. Because of excess Doppler gain, the maximal velocity boundary of the spectral envelope is unclear. The vertical lineal Doppler artifacts lead to overestimation of each velocity. B: Adequate recording. After adjustment of the Doppler gain, the spectral envelope in the Doppler recording is clearly recognized. ICT and IRT can be easily measured. s′=systolic wall motion velocity; e′=early diastolic wall motion velocity; ICT=isovolumic contraction time; IRT=isovolumic relaxation time.

僧帽弁輪収縮期運動速度s′

TDIの分析では発育(年齢)を考慮する必要がある(Fig. 3).「s′が年齢と共に増加する」点は,三尖弁輪収縮期運動速度s′でも同様であるが,右室心筋は左室心筋より長軸方向の運動が主体であり,いずれの年齢でも右室s′>左室s′である点は興味深い2, 3)

Pediatric Cardiology and Cardiac Surgery 32(2): 70-77 (2016)

Fig. 3 The relationship between the systolic wall motion velocity (s′) and age

The sample volume is placed on the lateral mitral valve annulus. Means and 95% prediction bands are shown. r=0.73.

左室s′波はしばしば2峰性となる(Fig. 1).その成因は不明であるが,Marciniakらは,三尖弁輪から心尖方向へ向かう大きな右室s′波が僧帽弁輪からの左室s′波とぶつかることで左室s′波にdipを形成すると指摘した4).一方,Okiらはs1′波が左室心内膜側の斜走筋(長軸方向の運動に関与)を,s2′波は中層の輪状筋(円周方向の運動に関与)の運動を反映しているとし,長軸機能に関与するs1′波の解析が重要であると報告した5)

虚血や線維化で局所的に収縮能が低下した心筋では,拡張早期に心筋が短縮する場合がある(Fig. 4).すなわち,周辺の正常心筋が収縮する際には異常心筋は引き延ばされる.その後,正常部位の収縮が終る拡張早期に,延ばされたバネが戻るような受動的な動きとして短縮する.この拡張早期の心筋短縮はpost-systolic shortening(PSS)と言われており,有効な収縮ではない6).このような心筋では収縮期運動速度s′自体は低下している点に注意すべきである.

Pediatric Cardiology and Cardiac Surgery 32(2): 70-77 (2016)

Fig. 4 Post-systolic shortening

A: TDI recording on the lateral mitral valve annulus from the 4-chamber view in a normal subject. B: In ischemic or fibrotic myocardium, s′ is reduced and followed by a deformation after systole, the so-called post-systolic shortening (PSS: shown by arrow). PSS is explained in part by passive recoil, which releases energy stored in the scar tissue during systolic intraventricular unloading. TDI=tissue Doppler imaging; syst=systolic period; s′=systolic wall motion velocity; e′=early diastolic wall motion velocity.

僧帽弁輪拡張早期運動速度e′

e′も,年齢(体格)に伴い増加する(Fig. 5).乳児期早期の急速な増高は左室拡張能の成熟を示唆している.なお,右室のe′は年齢による変化が少ない7)Fig. 6).

Pediatric Cardiology and Cardiac Surgery 32(2): 70-77 (2016)

Fig. 5 The relationship between the early diastolic wall motion velocity (e′) and age

The sample volume is placed on the lateral mitral valve annulus. Means and 95% prediction bands are shown. r=0.83.

Pediatric Cardiology and Cardiac Surgery 32(2): 70-77 (2016)

Fig. 6 Comparison between early diastolic wall motion velocity of the tricuspid valve annulus and that of the mitral valve annulus in relation to age

Left panel: Early diastolic wall motion velocity (e′) of the tricuspid valve annulus shows a marginal increase according to age. r=0.13. Right panel: Early diastolic wall motion velocity (e′) of the mitral valve annulus significantly increases according to age. r=0.70. Means and 95% prediction bands are shown. Arranged from reference 7 .

e′は前負荷の影響を比較的受けにくく,一般に左室拡張能の低下に伴い減高を続ける.一方,僧帽弁口拡張早期血流速度Eは弛緩障害では減高するが,左室コンプライアンスが極度に低下すると増高し急峻となる.そのため,E/e′が左室充満圧の評価に利用されている.小児では,出生直後の新生児ではE/e′が高値となる.出生直後は動脈管のため僧帽弁拡張早期血流速度Eが増高するが,前負荷の影響を受けにくいe′の増高が少ないためである.その後,左室拡張能の成熟に伴いe′が増高するため,E/e′は低下する8)Fig. 7).

Pediatric Cardiology and Cardiac Surgery 32(2): 70-77 (2016)

Fig. 7 The relationship between E/e′ ratio and age

The sample volume is placed on the lateral mitral valve annulus. The E/e′ ratio is significantly increased during the neonatal period. Thereafter, this index slowly decreases with aging. E=mitral flow velocity during early diastole; e′=early diastolic wall motion velocity of the mitral valve annulus. Means and 95% prediction bands are shown. r=−0.62.

E/e′は左室充満圧を推定するうえで有用とされてきたが,以下の状態では注意が必要である.i)高心拍出状態では,左室充満圧が上昇していても,e′のみならずEも上昇するためE/e′は増加しない9).ii)極度の心機能低下例では高い左房圧が弁輪を押し下げることで高いe′を形成しE/e′は高値とならない10)

e′波の解析では僧帽弁血流E波との時相関係にも注目するとよい.正常では,e′波(左室伸展)の開始時相はE波の開始時相とほぼ同時か若干先行する.しかし,高度の拡張機能低下例では,E波の出現後,大きく遅延してe′波が出現する11)Fig. 8).

Pediatric Cardiology and Cardiac Surgery 32(2): 70-77 (2016)

Fig. 8 Temporal relationship between the onset of mitral flow and mitral annulus velocity during early diastole

Left: In a normal subject, the onset of the e′ wave (red line) is at the time same as or a little earlier than that of the E wave (blue line). Right: In a subject with significantly increased left ventricular filling pressure, the delay of the onset of the e′ wave is recognized, compared with the onset of the E wave. The dotted line shows the second heart sound. E=mitral flow velocity during early diastole; e′=early diastolic wall motion velocity of the mitral valve annulus; ECG=electrocardiogram; IRT=isovolumic relaxation time; PCG=phonocardiogram; TDI=tissue Doppler imaging.

Tei index

ICTは左室最大陽性dP/dtと相関し,収縮能の低下で延長する.またIRTは左室最大陰性dP/dtと相関し,拡張能低下で延長する.駆出時間(ejection time: ET)は1回心拍出量が低下すると短縮する.Tei indexは(ICT+IRT)/ETで算出され,心拍数に依存せず収縮能と拡張能を統合した総合的な心指標であり,心機能障害例では高値となる(Fig. 9).

Pediatric Cardiology and Cardiac Surgery 32(2): 70-77 (2016)

Fig. 9 Schema for measurement of the Tei index

The Tei index is calculated as (a–b)/b, where a is the interval between cessation of the a′ wave and onset of the subsequent e′ wave, and b is the interval of the s′ wave. ET=ejection time; ICT=isovolumic contraction time; IRT=isovolumic relaxation time; a′=late diastolic wall motion velocity; e′=early diastolic wall motion velocity; s′=systolic wall motion velocity.

Tei indexはM-modeやパルスドプラ法(僧帽弁血流と左室流出路血流を用いる)でも測定可能であるが,TDIを用いる方法が最も簡便である.ただし,前2者に比してTDIでの正常値が高値となることを知っておくべきである12)

正常小児では新生児早期はしばしば0.6以上となるが,幼児期以降は年齢によらず平均値0.39程度であり0.6以上を示す例は稀である(Fig. 10).

Pediatric Cardiology and Cardiac Surgery 32(2): 70-77 (2016)

Fig. 10 The relationship between the Tei index and age

The sample volume is placed on the lateral mitral valve annulus. The Tei index is significantly increased during the early neonatal period. Thereafter, the change in this index according to age is minimal. Means and 95% prediction bands are shown. r=−0.49.

右室機能と組織ドプラ

右室機能の特徴として以下の4点が挙げられる.i)左室と異なり複雑な形態をしており,血流は「ふいご」状に自由壁と中隔で押し出される,ii)心筋走行は左室のような輪状筋を有さず,内層と外層の2層構造で長軸方向が主体である,iii)心筋コンプライアンスが大で,前負荷に強く拡張障害を生じにくい.一方,後負荷には弱い,iv)外層筋は左室とつながり,心室間相互作用を認める.特にii)は重要であり,TDIによる三尖弁輪収縮期運動速度(s′)が右室機能評価として分析される理由である.成人ではTDIを用いた右室心機能評価が広く認められており,右室s′<10 cm/sec, Tei index>0.55, E/e′>6は「右心機能の異常」と判定される13).また,iv)の観点から,右室機能低下の合併が左心不全患者の予後を規定するとの指摘がある.Damyらは成人の左心不全患者で右室s′<9.5 cm/secは他の右室機能指標に比し予後を予測しえたと報告した14).小児の検討では,術後に右室圧負荷や容量負荷が残存すると経年的に右室s′が低下する15)

房室弁輪収縮期移動距離

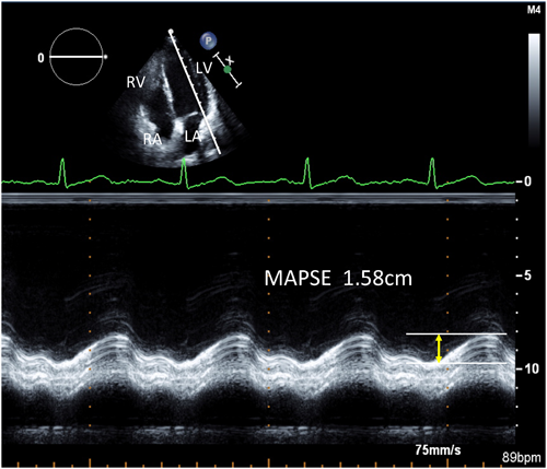
僧帽弁輪収縮期移動距離(MAPSE)

ここまでTDIを用いた長軸機能に関して概説してきたが,M-modeを用いても長軸機能の評価は可能である.すなわち,心尖部四腔断面で外側僧帽弁輪にカーソルを設定し,その移動距離を測定する(Figs. 11, 12).この指標はs′波を時間積分したことになり,最も簡単な左室長軸機能指標と言える.測定に際しては,弁輪運動方向がM-modeのビーム方向に平行となるよう工夫する.

Pediatric Cardiology and Cardiac Surgery 32(2): 70-77 (2016)

Fig. 11 Measurement of MAPSE using the M-mode echocardiography

In the apical 4-chamber view, MAPSE is measured as the longitudinal mitral annular motion from the apex using M-mode echocardiography. It is measured as the distance between the peak and the bottom of the M-mode tracing curve. LA=left atrium; LV=left ventricle; RA=right atrium; RV=right ventricle; MAPSE=mitral annular plane systolic excursion.

Pediatric Cardiology and Cardiac Surgery 32(2): 70-77 (2016)

Fig. 12 The relationship between MAPSE and age

MAPSE is significantly increased with aging. MAPSE=mitral annular plane systolic excursion. Means and 95% prediction bands are shown. r=0.89.

DillerらはFallot四徴症術後413例の検討から,MAPSEが術後突然死や致死的不整脈出現の予測に有用であることを示した16)

Fig. 13は,学校心電図異常で紹介された左室緻密化障害(15歳男児)の1例である.左室内径短縮率は29%で,軽度低下を認めた.左室長軸方向のTDIではs′とe′共に軽度低下していた.MAPSEは著明に低下しており,心筋障害が強く示唆された.

Pediatric Cardiology and Cardiac Surgery 32(2): 70-77 (2016)

Fig. 13 MAPSE in a patient with left ventricular noncompaction

A 15-year-old boy was referred to our hospital because of ECG abnormality found during heart screening for schoolchildren. A: ECG shows ST–T change in the left precordial leads. B: Shortening fraction of the left ventricle is marginally decreased to 29%. C: Tissue Doppler imaging recorded from the lateral mitral valve annulus shows decreased velocity of systolic (s′) and early diastolic waves (e′). D: MAPSE recorded by M-mode is significantly decreased to 9.7 mm, indicating a distinct abnormality of the longitudinal systolic function of the left ventricle. MAPSE=mitral annular plane systolic excursion; ECG=electrocardiogram.

三尖弁輪収縮期移動距離(TAPSE)

三尖弁輪の収縮期移動距離も心尖部四腔断面からM-mode法で測定可能である.上記のように右室形態は複雑であり,TAPSEは簡便で再現性のよい右室長軸機能指標として提唱されている.正常値はMAPSEと同様に体格(年齢)と共に増加する17)Fig. 14).Forfiaらは成人の肺動脈性肺高血圧患者で,TAPSE<1.8 cmが予後不良であると報告した18).MoceriらはEisenmenger症候群の心エコー指標を検討し,TAPSE<15 mm,右室の収縮時間/拡張時間>1.5,右房面積>25 cm2,(右房/左房面積比>1.5)の症例が予後不良であることを示した19).Fallot四徴症術後症例でもTAPSEが検討されており20),今後も多くの疾患で他の右心機能指標との対比がなされていくであろう.

Pediatric Cardiology and Cardiac Surgery 32(2): 70-77 (2016)

Fig. 14 The relationship between TAPSE and age

The solid line shows the mean value of TAPSE in relation to age. Sex-segregated curves are also shown. The dotted lines represent ±2 SD and ±3 SD, respectively. TAPSE=tricuspid annular plane systolic excursion. Revised with permission by Dr. Hashimoto (Ref. 17).

おわりに

TDIおよびMAPSEとTAPSEは,市販のどの心臓超音波装置を用いても計測できる簡便な「長軸方向の心機能指標」である.今後,種々の小児心疾患で臨床応用されていくことを期待する.

謝辞Acknowledgments

原稿を終えるにあたり,各種指標の正常曲線作成のためにご尽力いただいた徳島県立中央病院小児科の井上美紀先生,超音波検査室の技師の皆様に深謝いたします.

引用文献References

1) Sengputa PP, Narula J: Reclassifying heart failure: Predominantly subendocardial, subepicardial, and transmural. Heart Fail Clin 2008; 4: 379–382

2) Mori K, Nakagawa R, Nii M, et al: Pulsed tissue Doppler echocardiography assessment of the long axis function of the right and left ventricle during the early neonatal period. Heart 2004; 90: 175–180

3) Mori K, Hayabuchi Y, Kuroda Y, et al: Left ventricular wall motion velocities in healthy children measured by pulsed wave Doppler tissue echocardiography: Normal values and relation to age and heart rate. J Am Soc Echocardiogr 2000; 13: 1002–1011

4) Marciniak M, Bijnens B, Baltabaeva A, et al: Interventricular interaction as a possible mechanism for the presence of biphasic systolic velocity profile in normal left ventricular free walls. Heart 2008; 94: 1058–1064

5) Oki T, Tabata T, Mishiro Y, et al: Pulsed tissue Doppler imaging of left ventricular systolic and diastolic wall motion velocities to evaluate differences between long and short axes in healthy subjects. J Am Soc Echocardiogr 1999; 12: 308–313

6) Hyler S, Pischke SE, Halvorsen PS, et al: Continuous monitoring of regional function by a miniaturized ultrasound transducer allows early quantification of low-grade myocardial ischemia. J Am Soc Echocardiogr 2015; 48: 486–494

7) Eidem BW, McMahon CJ, Cohen RR, et al: Impact of cardiac growth on Doppler tissue imaging velocities: A study in healthy children. J Am Soc Echocardiogr 2004; 17: 212–221

8) 森 一博:左室拡張不全を来す疾患.小児心疾患.大木 崇,竹中 克編集:拡張期学.東京,文光堂,2010, pp 180–185

9) Masutani S, Little WC, Hasegawa H, et al: Restrictive left ventricular filling pattern does not result from increased left atrial pressure alone. Circulation 2008; 117: 1550–1554

10) Mullens W, Borowski AG, Curtin RJ, et al: Tissue Doppler imaging in the estimation of intracardiac filling pressure in decompensated patients with advance systolic heart failure. Circulation 2009; 119: 62–70

11) Onose Y, Oki T, Tabata T, et al: Assessment of the temporal relationship between left ventricular relaxation and filling during early diastole using pulsed Doppler echocardiography and tissue Doppler imaging. Jpn Circ J 1999; 63: 209–215

12) Cui W, Roberson DA: Left ventricular Tei index in children: Comparison of tissue Doppler imaging, pulsed wave Doppler, and M-mode echocardiography normal values. J Am Soc Echocardiogr 2006; 19: 1438–1445

13) Rudski LG, Lai WW, Afilalo J, et al: Guideline for the echocardiographic assessment of the right heart in adults: A report from the American Society of Echocardiography. J Am Soc Echocardiogr 2010; 23: 685–713

14) Damy T, Viallet C, Lairez O, et al: Comparison of four right ventricular systolic echocardiographic parameters to predict adverse outcomes in chronic heart failure. Eur J Heart Fail 2009; 11: 818–824

15) Koestenberger M, Nagel B, Ravekes W, et al: Tricuspid annular peak systolic velocity (s′) in children and young adults with pulmonary hypertension secondary to congenital heart diseases, and in those with repaired tetralogy of Fallot: Echocardiography and MRI data. J Am Soc Echocardiogr 2012; 25: 1041–1049

16) Diller GP, Kempny A, Liodakis E, et al: Left ventricular longitudinal function predicts life-threatening ventricular arrhythmia and death in adults with repaired tetralogy of Fallot. Circulation 2012; 125: 2440–2446

17) Hashimoto I, Watanabe K, Kaneda H: Z-values of tricuspid annular plane systolic excursion in Japanese children. Pediatr Int 2015; 57: 199–204

18) Forfia PR, Vachiery JL: Echocardiography in pulmonary arterial hypertension. Am J Cardiol 2012; 110 Suppl: 16S–24S

19) Moceri P, Dimopoulos K, Liodakis E, et al: Echocardiographic predictors of outcome in Eisenmenger syndrome. Circulation 2012; 126: 1461–1468

20) Mercer-Rosa L, Parnell A, Forfia PR, et al: Tricuspid annular plane systolic excursion in the assessment of right ventricular function in children and adolescents after repair of tetralogy of Fallot. J Am Soc Echocardiogr 2013; 26: 1322–1329

This page was created on 2016-03-04T10:20:55.271+09:00
This page was last modified on 2016-04-12T11:38:17.832+09:00


このサイトは(株)国際文献社によって運用されています。