Online ISSN: 2187-2988 Print ISSN: 0911-1794
特定非営利活動法人日本小児循環器学会 Japanese Society of Pediatric Cardiology and Cardiac Surgery
Pediatric Cardiology and Cardiac Surgery 33(2): 140-156 (2017)
doi:10.9794/jspccs.33.140

ReviewReview

房室弁の心エコーによる解剖学的評価Anatomical Assessment of the Atrioventricular Valve Using Echocardiography

静岡県立こども病院循環器科Shizuoka Children’s Hospital, Cardiac Department ◇ Shizuoka, Japan

発行日:2017年3月1日Published: March 1, 2017
HTMLPDFEPUB3

房室弁機能は先天性心疾患,特に単心室循環においてその予後に大きな影響を与える.単心室循環において房室弁閉鎖不全による心房圧の上昇は体静脈圧と肺静脈圧両方の上昇につながり,体循環と肺循環両方の鬱血を引き起こす.房室弁には僧帽弁,三尖弁,そして共通房室弁が存在するが,それぞれの形態は大きく異なり,特にheterotaxy症候群における共通房室弁はまさに多様であり,患者ごとに異なった形態を有する.そして,その機能維持には弁組織だけでなく,弁下構造,心室機能そして心房機能が深く関与する.弁構造はその複雑さゆえに完全な術前評価が未だに困難であるが,術中の経食道心エコーや三次元エコーを含めて心エコーに勝る画像検査は未だ存在しない.また,単心室のなかでも左心低形成症候群における三尖弁やheterotaxy症候群における共通房室弁はその解剖学的複雑さのために特に形成の難易度が高い房室弁であり,これらの房室弁に対する形成の方法論を確立することができればその予後改善に大きな貢献となる.本総説では心エコー,三次元エコーや経食道心エコーを用いた房室弁の解剖学的評価方法について概説する.

The function of the atrioventricular valve (AVV) has a great impact on the outcome of patients with congenital heart disease, especially those with single ventricular physiology. AVV regurgitation induces an elevation in atrial pressure, leading to an increase of both systemic and pulmonary venous pressure, and results in systemic and pulmonary congestion. There are three types of AVV: 1) mitral valve; 2) tricuspid valve; and 3) common AVV, all of which are morphologically very different. The AVV morphologies in patients with heterotaxy syndrome are extremely diversified, and thus are different from patient to patient. The function of the AVV is regulated not only by the valvar apparatus, but also by the subvalvar anatomy, ventricular, and atrial function. Although the precise preoperative anatomical assessment of the AVV still remains elusive, there are no other imaging modalities superior to echocardiography, including intraoperative transesophageal echocardiography or three-dimensional echocardiography. The tricuspid valve in patients with hypoplastic left heart syndrome or the common AVV with heterotaxy syndrome, are the most difficult AVVs to repair in single ventricles due to its complex anatomy. Thus, establishing the methodology for how to repair the AVV in this patient group would be a great contribution to prognostic improvement. Here an overview is presented on the usage of two-dimensional, three-dimensional, and transesophageal echocardiography to assess the anatomy of the AVV in pediatric patients.

Key words: atrioventricular valve; mitral valve; tricuspid valve; common atrioventricular valve; congenital heart disease

はじめに

房室弁は心房と心室の境界である房室間溝(atrioventricular groove)の心内腔側に存在し,拡張期においては心房から心室への血液流入のゲートとして,また,収縮期においては心室から心房への血液逆流を防ぐ機能を果たす.その発生には上皮-間葉形質転換(epithelial to mesenchymal transformation: EMT)により心内膜内皮細胞から間葉組織に形質転換して生じた心内膜床が大きく関わっている.心臓管(cardiac tube)のルーピング終了時点で心臓中央に大きな共通孔として存在する房室管(atrioventricular canal)に心内膜床が心房・心室の隔壁を形成するのと同時に房室弁が形成される.EMTやその後の房室弁形成リモデリングにはBMP(bone morphogenetic protein)をはじめ,TGF-β(transforming growth factor),カルシニューリンなど多くのシグナル伝達因子が関与していることが解明されてきている1).例えば,21-トリソミーにおいては21番染色体長腕上のDown syndrome critical regionにコードされているDSCR1(down syndrome critical region 1)やDYRK1(dual-specificity tyrosine phosphorylation-regulated kinase)がトリソミー化により過剰発現することにより,カルシニューリンや細胞内蛋白であるNFATc(nuclear factor of activated T cell)の活性化が阻害され,心内膜床組織の形成異常が生じ,房室中隔欠損が引き起こされると考えられている2).房室弁の形成には心内膜床だけでなく,心内膜床の下部に存在する心室筋の形態変化も深く関与する.心室筋壁は心内膜床との連続性を保った状態で次第に虫食い状に至る所に浸食(undermining)を受け,心内膜層に近い心筋壁は土柱(どちゅう)のような形状を呈することにより腱索と乳頭筋が形成される.発生初期において弁組織と乳頭筋は筋性連続を呈するが,発生の進行とともに筋性連続が線維性組織に置換されて腱索となり,土柱の基部は乳頭筋として残存する1).胎生期から生後数日までの房室弁は間葉細胞の増殖により弁が伸張していくが,生後4日前後を過ぎると弁先端と乳頭筋とを連結している領域の細胞増殖が停止する.この時期は心筋細胞の増殖が停止し,以降の心臓の成長が心筋細胞の肥大(hypertrophy)によって行われるように転換する時期と一致する.その後は弁に含まれる細胞数が減少し,細胞外マトリックスによって置き換えられながら弁組織の再構成が進んでいく3).出生後約1週間で弁の細胞外基質の再構成が終了し,生後2~3週で弁尖のcoaptation-zoneにおける結節性肥厚が完成する3).成熟した房室弁は4層で構成されており,心房側からatrialis, spongiosa, fibrosaそしてventricularisに分類される.Fibrosaは主に膠原線維で構成されており腱索の膠原線維と連続性を持つ.この層は弁の骨格としての役割を果たし,弁にかかる荷重を主に支える.一方,spongiosaはプロテオグリカン,グリコサミノグリカンそして弾性線維で構成されており,特に弁尖に厚い層を形成する.プロテオグリカンとグリコサミノグリカンは親水性の性質を持つことから,多くの水分子と結合することにより膨張し,特に弁尖における弁閉鎖の際のクッションの役割を果たす4).房室弁はこのように複雑な行程を経て形成されるが,僧帽弁と三尖弁では構造が大きく異なり,また共通房室弁,特にheterotaxy症候群に合併する共通房室弁は形態が更に大きく異なる.本総説では,房室弁の解剖学的心エコー評価について概説を行う.

先天性僧帽弁異常

1. 正常僧帽弁複合体構造

Fig. 1に新生児の正常僧帽弁複合体を示す.僧帽弁複合体は二葉の弁(前尖と後尖),僧帽弁輪,腱索そして乳頭筋を含む心内構造物の一群を指す.しかし,正常な房室弁機能維持のためにはこれら複合体要素の機能に加えて,心房と心室の機能も重要となる.僧帽弁前尖は左室の流入路と流出路を隔てるカーテンのように存在し,僧帽弁輪の約1/3を占める.前尖は大動脈弁と線維生連続を有しており,線維性連続の左右両端に存在する結節を線維三角(fibrous trigone)と称する.右線維性三角は膜様部中隔とともに中心線維体を構成しており,中心線維体や左右房室弁輪は心臓線維性骨格の主要な構成成分となる.後尖は僧帽弁輪の2/3の範囲を占め,scallopと呼ばれる3葉の弁で通常構成される.これらscallopは左前方から順にP1(anterolateral section),P2(middle section)そしてP3(posteromedial section)と呼ばれる.各scallop間の切れ込みをindentationと呼ぶが,交連と異なりこの切れ込みは通常弁輪まで到達しない.これら後尖の各sectionに相対する前尖の各部位を順にA1, A2そしてA3と呼ぶ.前尖の弁葉面積は後尖より若干大きく,前尖と後尖を合わせた弁葉面積は弁輪面積の約2倍となる.弁葉面積に余裕があることで前尖後尖接合部(zone of apposition)での十分なcoaptation heightを保つことができる5).弁下の重要な構造物として腱索と乳頭筋が存在する.腱索の分類には弁葉への挿入箇所による分類と腱索の形態による分類の二種類が存在するが,臨床的には挿入箇所での分類を用いるのが一般的であり,これは次の3種類に分類される.1次腱索(1st order chordae/marginal chordae)は弁の辺縁へ付着し弁尖のprolapseを防ぐ役割を果たす.2次腱索(2nd-order chordae/rough-zone chordae)は辺縁から少し離れた弁のrough-zoneに挿入し,弁にかかる荷重を主に支える役割を持ち,valvular-ventricular interactionにも関与する.2次腱索のなかで最も太い2本の腱索を支柱腱索(strut chordae)と呼び,乳頭筋の頂部から起始する.支柱腱索には収縮期に1次腱索の約3倍もの荷重がかかる6).3次腱索(3rd-order chordae/basal chordae)は後尖のみに認められ,心室壁や肉柱から直接起始した腱索が弁葉基部(basal zone)へ挿入する.弁の接合面であるzone of appositionの弁輪側の辺縁を交連(commissure)と呼ぶが,乳頭筋は各交連の下に位置する.前乳頭筋は前交連(anterior commissure: A-com)の下に位置し,1本の肉柱で構成されることが多いが,後乳頭筋は後交連(posterior commissure: P-com)の下に位置し複数の肉柱により構成されることが多い.

Pediatric Cardiology and Cardiac Surgery 33(2): 140-156 (2017)

Fig. 1 Normal mitral valve

(A) Normal mitral valve of a neonate. (B) Three-dimensional echocardiography of a normal mitral valve (atrial view). A-com: anterior commissure; ALPM: anterolateral papillary muscle; AO: aorta; CFB: central fibrous body; LT: left trigone; P-com: posterior commissure; RT: right trigone.

2. 経食道心エコー(trans-esophageal echocardiography: TEE)による僧帽弁評価

小児では経胸壁エコーにて良好な画像が得られやすいこと,またTEEが全身麻酔を必要とすることなどから,成人に比してTEEが行われる機会は少ない.しかし,弁形成術の際には術前の最終評価をTEEで行うことが望ましく,経胸壁心エコーとは異なった角度から観察することにより新たな所見を発見することや,既に得られていた弁機能異常のメカニズムについて更に深い観察が可能となることがある.そして,できれば外科医と一緒に所見の最終確認を行うべきである.現在,使用されている成人用matrix TEEプローブは体重25 kg以上であれば小児でも使用できることが多いが,先端サイズが横幅約15 mm/厚さ12 mm程度(シャフト軸径は9~10 mm)と大きいことから,口腔内容積が小さい場合や咽頭の解剖に懸念がある場合,または食道内へ挿入した際に呼吸器の気道内圧が上昇する場合などには,無理せず小児用のTEEプローブ(先端サイズ幅約10 mm/厚さ8 mm・シャフト軸径6.7 mm)を使用する.小児用のomni-plane TEEプローブは体重5 kg以上であれば使用可能なことが多い.なお,先に記したTEEプローブのサイズは代表的なメーカーのomni-planeのサイズであり,メーカーによってはomni-plane TEEプローブの更に小さいものや,bi-planeもしくはsingle-planeの更に細いTEEプローブを提供しており,これらは5 kg以下の乳児にも使用可能である.しかし,3 kg以下になるとやはり換気や血行動態への影響の懸念が強くなることから,その適応を慎重に判断する必要がある.また,胃・食道術後(食道閉鎖術後など),食道狭窄,食道静脈瘤・潰瘍・腫瘍・憩室,傍食道型食道裂孔ヘルニア(滑脱型食道裂孔ヘルニアは必ずしも禁忌とはされていないが,高度のヘルニアで通過障害を来している場合はやはり禁忌と考えられる)の場合には経食道心エコー検査は禁忌である.また,頸椎の可動性低下を認める場合や頸部への放射線治療後も禁忌であることから,検査前に慎重な既往歴の確認が必要である7).更に,著明な左房拡大や肺静脈狭窄などを合併しており,経食道プローブを挿入することで血行動態に悪影響を及ぼすことが予想される場合も適応を慎重に判断する必要がある.僧帽弁評価に使用する断面は中部食道(mid-esophageal: ME)と経胃断面(trans-esophageal: TG)が多い(Fig. 2).ME四腔断面(0度)(Fig. 3)は各心腔が確認でき,弁逆流や狭窄の程度を観察するのに適している.心臓の胸腔内での位置関係にもよるが,少し後屈させて心室が長軸方向に長く描出されるように調整する.ただし,後屈を強くしすぎると食道壁との接触が不良になり画質が低下する.また,この角度で得られる画像はFig. 3に示す通り,僧帽弁を少し斜め切りすることになることから,前尖のA2を観察していても後尖はP1に相当する可能性があり,診断する際には注意が必要である.プローブの出し入れにより,前交連から後交連までの連続した観察を行う.Fig. 3にPAIVS(pulmonary atresia with intact septum)に類洞交通を合併した3歳児例のカラードプラ画像を示す.BTシャント手術の際に下壁および後乳頭筋の心筋梗塞を合併し,以降よりA3のprolapseによる中等度の僧帽弁閉鎖不全を呈している.ME四腔断面での後交連断面にて,後方へ向かう逆流jetを認める.Fig. 4ではME僧帽弁交連断面(約45~60度),ME長軸断面(約120~140度),そして経胃左室基部短軸断面(TG-basal SAX)にて逆流部位を観察している画像を示す.A3のprolapseによる後方逆流jetに加えて,左室下壁基部と後乳頭筋頂部のエコー輝度亢進を認める.

Pediatric Cardiology and Cardiac Surgery 33(2): 140-156 (2017)

Fig. 2 The basic plane of a transesophageal echocardiography of the mitral valve

(A) Mid-esophageal view. (B) Transgastric view. A-com: anterior commissure; AO: aorta; 4CHV: fore-chamber view; LAX: long-axis view; ME: mid-esophageal; 2CHV: two-chamber view; P-com: posterior commissure.

Pediatric Cardiology and Cardiac Surgery 33(2): 140-156 (2017)

Fig. 3 Mid-esophageal view of a transesophageal echocardiography

(A) Mid-esophageal four-chamber view at the anterior commissural level. (B) Mid-esophageal four-chamber view at middle of the mitral valve. (C) Mid-esophageal four-chamber view at the posterior commissural level. Note significant mitral valve regurgitation at the posterior commissure. A-com: anterior commissure; AO: aorta; MR: mitral regurgitation; P-com: posterior commissure.

Pediatric Cardiology and Cardiac Surgery 33(2): 140-156 (2017)

Fig. 4 Mid-esophageal and transgastric view of the mitral valve

(A) Mid-esophageal mitral commissural view. (B) Mid-esophageal long-axis view at the posterior commissure. (C) Transgastric basal short axis view. Note the significant prolapse of A3 with significant mitral valve regurgitation. The echogenicity of the basal-inferior endocardium and the posteromedial papillary muscle are increased. A-com: anterior commissure; AO: aorta; MR: mitral regurgitation; P-com: posterior commissure.

3. 先天性僧帽弁異常

先天性僧帽弁異常は,①弁葉の異常;②交連の異常;③腱索の異常;④乳頭筋の異常;⑤僧帽弁上狭窄輪;⑥①~⑤の様々な組み合わせに分類される.Table 1に代表的な僧帽弁疾患の分類を示した8)

以下に代表的な先天性僧帽弁異常について概説する.

Table 1 Classifications of mitral valve disease
1) Congenital mitral valve anatomical anomalies
A) Anomalies of the leaflet
Cleft mitral valve, Double orifice mitral valve, Excessive (accessory) mitral valve tissue, Ebstein’s anomaly, Hypoplasia/dysplasia/atresia of leaflet, Unguarded mitral orifice
B) Anomalies of the commissure
Commissural fusion
C) Anomalies of the chordae tendineae
Short chordae, Chordal elongation, Chordal rupture
D) Anomalies of the papillary muscle
Parachute mitral valve, Mitral arcade, Obstruction by abnormal papillary muscle
E) Supramitral ring
Supramitral ring/membrane (intramitral variant/supramitral variant)
F) Combination of the above anomalies
2) Acquired mitral valve diseases
A) Infection
Endocarditis, Idiopathic infantile chordal rupture, Rheumatic heart disease
B) Secondary to pre-existing diseases
Kawasaki disease, SLE (Libman-Sacks endocarditis), Marfan syndrome, Loeys-Dietz syndrome, Ehlers-Danlos syndrome, Familial mitral valve prolapse, Hurler syndrome (MPS-1), Hunter syndrome (MPS-2), Sanfilippo syndrome (MPS-3b), Pseudoxanthoma elasticum, Carcinoid heart disease, Hyperthyroidism
C) Degenerative etiologies
Fibroelastic deficiency, Barlow’s disease,
D) Functional etiologies
Myocardial ischemia/infarction, ASD, DCM, HOCM
E) Iatrogenic etiologies
Medication (Cabergoline/Pergolide/Bromocriptine/Fenfluramine/Dexfenfluramine/etc.)
ASD: atrial septal defect; DCM: dilated cardiomyopathy; HOCM: hypertrophied obstructive cardiomyopathy; MPS: mucopolysaccharidosis.
(1) 弁尖異常
A) 弧立性僧帽弁裂隙(isolated mitral valve cleft): 僧帽弁前尖孤立性裂隙(Fig. 5A&B)

僧帽弁前尖の孤立性裂隙において,cleftは左室流出路方向に向かうことが多い.これに対して房室中隔欠損に伴う左側房室弁のcleftは心室中隔中央へ向かうことが多い9).ただしこれらの特徴は特異的なものではなく,両者の鑑別は房室中隔欠損の有無で行われる.ただし,膜様部中隔欠損の流入路伸展を伴う症例では房室中隔が不明瞭な場合があり,このような場合には房室中隔欠損の特徴である一次孔欠損や左室のinlet–outlet disproportionの有無,そして左室乳頭筋位置などが鑑別点となる.正常僧帽弁前尖にはcleftは存在しないことから,前尖にcleftが存在すれば即ち異常であるが,後尖は正常構造においてもscallop間に窪み(indentation)が存在することから,形態のみでcleftとindentationを鑑別することは困難である.ただしFig. 5C&Dのようにindentationが弁輪に達し,同部位からの逆流を伴う場合は病的と考えられ,cleftと呼ぶのが適切と考えられる10)

Pediatric Cardiology and Cardiac Surgery 33(2): 140-156 (2017)

Fig. 5 Isolated mitral valve cleft

(A) Transesophageal three-dimensional echocardiographic image of the isolated mitral valve cleft in the anterior leaflet during systole (atrial view/en face view). (B) Transesophageal three-dimensional echocardiographic image of the isolated mitral valve cleft in the anterior leaflet during diastole (atrial view/en face view). (C) Short axis image of transthoracic three-dimensional echocardiography during diastole. Note the cleft in the posterior leaflet leaching the annulus. (D) Short axis image of the posterior mitral valve cleft. Note the mild regurgitation between P1 and P2 with a mild regurgitation jet. Arrow a indicates cleft in the posterior leaflet. AO: aorta.

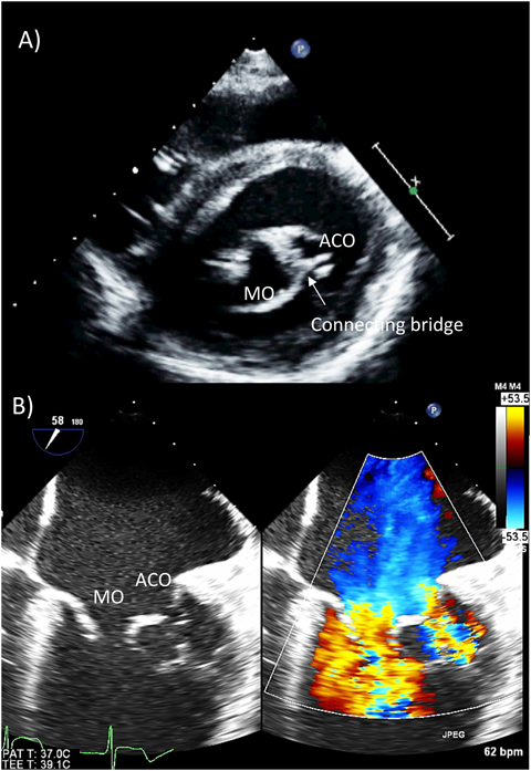
B) 重複僧帽弁口(double-orifice mitral valve: DOMV)(Fig. 6)

僧帽弁口が弁の過剰組織により複数の開口部に分離されるものを指し,通常それぞれの弁下に独立した弁下組織が形成される(Fig. 6B11).独立した弁下組織があることで,二次的な弁の穿孔と鑑別される12).大部分の症例において他の先天性心疾患に合併して存在し,房室中隔欠損に合併するものが約半数を占め,他には大動脈弁二尖弁や大動脈縮窄等に合併することが多い.約半数で閉鎖不全を呈するが,約1/3は正常の弁機能を有し,重度の狭窄を呈するものは約1割程度である.

Pediatric Cardiology and Cardiac Surgery 33(2): 140-156 (2017)

Fig. 6 Double orifice mitral valve

(A) Transthoracic short axis view of a double orifice of the mitral valve. There are two distinct orifices of the mitral valve. (B) Transesophageal echocardiography with color Doppler. Note the separate inflows in the mitral valve and the two distinct pairs of chordae supporting each orifice. ACO: accessory orifice; LVOT: left ventricular outflow tract; MO: main orifice.

(2) 交連異常

交連癒合(commissural fusion):弁交連の形成が不良で弁の開放制限を伴う.種々の程度で腱索や乳頭筋の異常を合併し,弁下組織の合併病変が高度になれば重度の僧帽弁狭窄を呈する.

(3) 腱索異常
A) 短小腱索(short chordae)

腱索は短いだけでなく,腱索同士が癒合して太くなり可動性が低下していることが多い.弁の可動制限を来すことで狭窄の原因となる.また,腱索の発生が途中で停止した場合には,腱索が欠損し弁尖が乳頭筋に直接付着する(muscularized chordae).

B) 過長腱索(chordal elongation)

腱索の延長により付着している弁尖が収縮期に左房側に逸脱(prolapse)し逆流の原因となる.

(4) 乳頭筋異常
A) パラシュート僧帽弁(parachute mitral valve)

古典的パラシュート僧帽弁は左室内に単一乳頭筋(多くは後乳頭筋)しか存在せず,この乳頭筋に前後僧帽弁尖からの腱索が全て収束し,同時に合併する短小腱索や交連癒合により僧帽弁狭窄所見を呈する病態を指す.ただし,左室内に二つの乳頭筋が存在する場合でも,一方の乳頭筋に偏って腱索が収束し,合併する短小腱索や交連癒合により僧帽弁狭窄を呈する場合をパラシュート様僧帽弁(parachute-like asymmetric mitral valve)と呼び,本疾患の範疇に含める場合がある.

B) 異常僧帽弁架橋(mitral arcade/hammock mitral valve)(Fig. 7)
Pediatric Cardiology and Cardiac Surgery 33(2): 140-156 (2017)

Fig. 7 Mitral arcade

(A) Short axis image of the mitral arcade. (B) Apical two-chamber view of the mitral arcade. Arrows indicate the myocardial bridge between the two papillary muscles. Note the resemblance of the morphology between the mitral valve anatomy and the arcade.

両乳頭筋間が筋線維性の索状構造により架橋している形態を持つことが診断の要となる.この形態がarcadeに似ていることからこの呼び名がある.Hammock mitral valveと同一疾患であるが,現在ではmitral arcadeで呼称が統一されている.腱索が非常に短くしかも癒合・肥厚していることがあり,時には腱索を介さずに弁尖が直接架橋筋束に付着する.乳頭筋も低形成かつ多頭性のことが多く,乳頭筋の低形成が著明な場合には左室壁へ腱索が直接付着する.この場合には弁の可動性が極端に制限され,重度の僧帽弁狭窄と閉鎖不全の両方を合併する13)

(5) 僧帽弁上狭窄輪(supramitral ring(supra-annular mitral ring/supra-valvular mitral stenosis)(Fig. 8)
Pediatric Cardiology and Cardiac Surgery 33(2): 140-156 (2017)

Fig. 8 Supramitral ring

(A) and (B) Transesophageal echocardiography of the supramitral ring (intramitral variant). Arrows indicate membranous structures adhering to the atrial side of the mitral leaflet, which restrict the opening of the leaflets. Note the accelerated flow at the supramitral ring. (C) Apical four-chamber image of the supramitral ring (supramitral variant). (D) Long-axis image of the supramitral ring (supramitral variant). Arrowheads indicate the supramitral ring, which is located below the orifice of the left atrial appendage. AO: aorta; LA: left atrium; LV: left ventricle; PMPM: posteromedial papillary muscle.

僧帽弁の左房側に発生した膜状の結合織が僧帽弁上で弁口を取り囲むように狭窄輪を形成する.この狭窄輪は僧帽弁の左房面に付着した膜様構造物として弁尖の解放を制限する場合(intramitral variant)(Fig. 7A&B)と,僧帽弁とは離れて弁上に輪状構造として存在する場合(supramitral variant)(Fig. 7C&D)が存在する.狭窄輪は左房内で左心耳や卵円窩よりも僧帽弁側に位置し,このことが三心房心(cor-triatriatum sinister)との鑑別点となる.本病変が単独で存在することは稀で,多くは合併心奇形を有する.特に,大動脈縮窄に加えて複数の左室内狭窄病変(僧帽上狭窄輪,パラシュート僧帽弁,大動脈弁下狭窄)を合併したものをShone complex(syndrome)と呼ぶ.

4. 後天性僧帽弁異常

ここまでに記した先天性の僧帽弁疾患以外に,後天性に僧帽弁異常を合併する疾患として以下のものが挙げられる(Table 1).

1) 感染症等に関連した僧帽弁病変

感染性心内膜炎,乳児特発性僧帽弁腱索断裂,リウマチ熱

2) 基礎疾患に関連した僧帽弁病変

結合組織疾患(Marfan症候群,Loeys-Dietz症候群,Ehlers-Danlos症候群);川崎病;膠原病:全身性エリテマトーデス(Libman-Sacks endocarditis)

3) 代謝異常

ムコ多糖症(Hurler症候群,Hunter症候群,Sanfilippo症候群),弾性線維性仮性黄色腫(pseudoxanthoma elasticum);内分泌異常:カルチノイド症候群,甲状腺機能亢進症など14)

特に,乳児特発性僧帽弁腱索断裂は近年報告された乳児期特有の重要な疾患である.白石らは本邦の95例についてその臨床像をまとめて報告している.本疾患は生来健康な乳児が数日の感冒様症状に引き続いて突然の僧帽弁腱索断裂により重度の僧帽弁閉鎖不全を発症し,急性肺水腫を伴った循環不全を呈する疾患である.原因は不明であるが,1歳以下の乳児,特に4~6ヶ月の乳児に好発し,死亡率や神経学的後遺症の発生率がそれぞれ8.5%と11%と高率であることから迅速な診断と外科手術を含む早期の治療介入が求められる疾患である15)

先天性三尖弁異常

1. 正常三尖弁

Fig. 9に新生児の正常三尖弁と経食道3次元エコーでの正常三尖弁を示す.三尖弁は文字通り3弁構造をとるのが通常であるが,正常においても個体間での差異が僧帽弁と比較して大きく,2弁形態や4弁形態をとることもある.三尖弁前尖(anterior leaflet/superior leaflet)は3弁のなかで最も弁葉面積が大きく,前上方に位置し,右室流出路の入り口への暖簾のように存在する.三尖弁中隔尖(septal leaflet/medial leaflet)は前尖に次いで大きい弁葉面積を持つ.中隔尖の腱索は心室中隔から直接起始することから,心室中隔に張り付いた状態で存在し可動性に乏しい.正常の僧帽弁では腱索が心室中隔に挿入することはないことから,中隔尖のこの特異的な形態が三尖弁を特徴づけるものであり,僧帽弁との解剖学的な鑑別点となる.後尖(posterior leaflet/inferior leaflet)は最も弁葉面積が小さく,下壁側に位置する.三尖弁の弁輪には明確な線維性の索状構造が存在しないことが多く,弁の線維性組織はそのまま心内膜下の線維性組織に連続する.特に中隔尖の前方は弁のヒンジ部が房室接合部の高さから心尖方向に偏位したうえで膜様部中隔にそのまま連続することから,弁輪に相当する組織が存在しない.前尖と中隔尖の交連(antero–septal commissure: AS-com)は膜様部中隔の最も頭側に位置し,この交連を支える腱索は通常medial papillary muscle complex(Lancisi’s muscle)(MPM)から起始する.MPMは通常trabecula septomarginalis(TSM)の前腕と後腕の分岐部に位置するが,乳頭筋が複数のこともあれば,乳頭筋構造が全く存在せず,腱索がTSMもしくは室上稜から直接起始する場合もある.前尖と後尖の交連(antero–posterior commissure: AP-com)は右室の鋭縁部に位置し,この交連下に前乳頭筋(anterior papillary muscle: APM)が存在する.この乳頭筋は右室内で最大の乳頭筋であり,基部に調節帯(moderator band)を持つ.後尖と中隔尖の交連(postero–septal commissure: PS-com)は右室下壁と中隔の移行部に存在し,その下部に後乳頭筋(posterior papillary muscle: PPM)が存在する.この乳頭筋は下壁中隔側に存在し,小さい乳頭筋であることが多いがサイズは個体差が大きい16)

2. 三尖弁の経食道心エコー評価断面

三尖弁は食道の右斜め前方に位置しており,TEEプローブからの距離が遠くなり,エコービームも三尖弁に対して斜めに当たることから,僧帽弁と比較して詳細な観察がやや困難となる.Fig. 10に正常三尖弁のTEE画像断面を示す.①まずME四腔断面にて下壁から頭側のAS-comまで連続的に観察を行う.僧帽弁と同様にこの断面は三尖弁の逆流と狭窄を評価するのに適しているが,前尖と後尖の移行部は不明瞭なことが多く,この断面だけの評価では不十分である.②ME30–50°はAS-comの観察に適する.右室流出路が確認できる高さまで引き上げると,AS-comとMPMの観察ができる.③ME60–90°(ME RV inflow–outflow)では前尖と後尖を分離して観察することが容易となり,更に角度を90~100°まで増すことで,AP-comの矢状断面④を得ることができる.

Pediatric Cardiology and Cardiac Surgery 33(2): 140-156 (2017)

Fig. 9 Normal tricuspid valve

(A) Normal tricuspid valve of a neonate. (B) Three-dimensional echocardiography of the normal tricuspid valve (atrial view). AL: anterior leaflet; APM: anterior papillary muscle; AS-com: antero-superior commissure; AP-com: antero-posterior commissure; MPM: medial papillary muscle; PAV: pulmonary valve; PL: posterior leaflet; PPM: posterior papillary muscle; PS-com: postero-septal commissure; SL: septa leaflet.

Pediatric Cardiology and Cardiac Surgery 33(2): 140-156 (2017)

Fig. 10 The basic plane of a transesophageal echocardiography of the tricuspid valve

AL: anterior leaflet; APM: anterior papillary muscle; AS-com: antero-superior commissure; AP-com: antero-posterior commissure; ME: mid-esophageal; MPM: medial papillary muscle; PL: posterior leaflet; PS-com: postero-septal commissure; RV: right ventricle; RVOT: right ventricular outflow tract; SL: septa leaflet.

3. 先天性三尖弁異常(Table 2)

Table 2 Classifications of tricuspid valve disease
1) Congenital tricuspid valve anatomical anomalies
A) Anomalies of the leaflet
Ebstein’s anomaly, tricuspid valve dysplasia, tricuspid valve hypoplasia/atresia
Double orifice tricuspid valve, unguarded tricuspid valve orifice
B) Anomalies of the chordae
Straddling, Prolapse
C) Increased right ventricular volume
ASD, Anomalous pulmonary venous return, Pulmonary valve regurgitation
D) Increased right ventricular pressure
Pulmonary hypertension, Pulmonary stenosis, Two-chambered RV
E) Right ventricular disease
ARVC, Uhl’s disease, Endocardial fibroelastosis
2) Acquired tricuspid valve diseases
A) Infection
Endocarditis, Rheumatic heart disease
B) Secondary to pre-existing disease
Carcinoid heart disease, Trauma
C) Functional etiologies
Myocardial ischemia/infarction, Left sided valvular heart disease⇒TV annular dilation
D) Iatrogenic etiologies
Pacemaker leads, Radiation, Biopsy, Medication(cabergoline/pergolide/bromocriptine/etc.)
ASD: atrial septal defect; ARVC: arrhythmogenic right ventricular cardiomyopathy; RV: right ventricle; TV: tricuspid valve.

先天性三尖弁異常に合併する弁の機能異常はそのほとんどが,閉鎖不全である.逆に言えばPAIVS等の右室低形成症例を除いて,三尖弁狭窄のみの機能異常を呈する先天性三尖弁異常はまず存在しない17).三尖弁閉鎖不全を呈する先天性三尖弁異常の代表的疾患がEbstein病と三尖弁異形成であり,これらは血行動態的にはほぼ同じであるが,解剖学的には明確に以下のように区別される.

(1) Ebstein病(Ebstein’s anomaly)(Fig. 11)
Pediatric Cardiology and Cardiac Surgery 33(2): 140-156 (2017)

Fig. 11 Ebstein’s anomaly

(A) Apical four-chamber view of an Ebstein’s anomaly. (B) Multiplanar reconstruction of three-dimensional echocardiography. Note the significantly enlarged atriarized right ventricle. The arrow indicates the plastering of the septal leaflet and posterior leaflet. Arrowheads indicate the linear distal attachment of the anterior leaflet. AL: anterior leaflet; PL: posterior leaflet; SL: septa leaflet.

三尖弁前尖は胎生35日頃に形成され,中隔尖と後尖は遅れて胎生3ヶ月頃に形成される1).中隔尖と後尖の発生の際にunderminingの障害によって弁尖から始まった弁の形成が弁輪まで到達しないことでこの病態が発生する.本疾患においては,発生時期の早い前尖の弁輪とAS-com部は正常な弁輪位置に形成され,PS-com部は心尖方向へ最も変位した位置となる.この形態はあたかも機能的弁輪(ヒンジ部)の前尖部分は房室接合部の位置に固定された状態で,弁輪の残りの部分が心尖方向へずれ落ちたような形態となることから,“rotational displacement of the hinge point”と呼ばれる.弁尖の張り付いた(plastering)部位の右室心筋は菲薄化(Uhl化)し,右房化右室と呼ばれる.前尖の形態も正常ではなく,弁葉面積は大きくsail様と称されることが多いが,最重症のEbstein病では前尖面積は必ずしも大きくなく,同時にAPMの低形成や短腱索を伴い,可動性が非常に制限されていることがある.腱索の低形成が極度のものは,前尖の弁腹や先端が右室壁に張り付いて可動性が消失した状態となりlinear or hyphenated distal attachmentと呼ばれる18, 19)

(2) 三尖弁異形成(tricuspid valve dysplasia)(Fig. 12)
Pediatric Cardiology and Cardiac Surgery 33(2): 140-156 (2017)

Fig. 12 Congenital tricuspid valve dysplasia

(A) Apical four-chamber view of tricuspid valve dysplasia. Note the significantly enlarged right ventricle and atrium. The arrowhead indicates the accessory tissue of the tricuspid valve. (B) There is a huge coaptation gap in the center of the tricuspid valve, where a massive regurgitation jet originates.

三尖弁の構成要素である弁葉,腱索,乳頭筋のいずれかの構造異常により三尖弁閉鎖不全を来している病態を指す20).弁葉の異常としては,弁尖肥厚や部分的な弁組織の欠失が起こりうるが,短腱索によるtethering等の弁下組織の異常も同時に合併することが多い.機能的弁輪(ヒンジ部)の位置異常がないことでEbstein病とは鑑別される.

(3) 重複三尖弁口(double-orifice tricuspid valve: DOTV)

文献上は22例の報告があるのみであるが,実際には看過されている症例が多くいると推定される.逆流を呈する症例が65%,狭窄と逆流を呈する症例が25%,そして正常な弁機能を維持している症例が12.5%と報告されている21)

4. その他の三尖弁異常(Table 2)

右室の容量負荷や圧負荷を伴う病態においては種々の程度で三尖弁閉鎖不全が生じうる.また成人領域において左心系弁疾患,特に僧帽弁疾患に対する外科手術介入後に生じてくる三尖弁閉鎖不全が生命予後の重要な規定因子であることが近年報告されてきている22).三尖弁閉鎖不全は中等度以上であっても長期にわたって無症状のことが多いが,老年期での心不全発症や,肝鬱血や肝線維症,または蛋白漏出性胃腸症など三尖弁閉鎖不全に合併しうる難治性内臓疾患を考慮すると,どの時期に介入することが適切か小児科領域でも再考する必要がある23, 24)

共通房室弁

1. 房室中隔欠損症(atrioventricular sepal defect: AVSD)に合併した共通房室弁(Fig. 13)

Pediatric Cardiology and Cardiac Surgery 33(2): 140-156 (2017)

Fig. 13 Complete atrioventricular septal defect

(A) Three-dimensional echocardiographic image of the common atrioventricular valve (Rastelli type C) (atrial view). (B) A specimen of the common atrioventricular valve (Rastelli type C) (By courtesy of Dr. Jeffrey F Smallhorn). AL: anterior leaflet; AOV: aortic valve; IBL: inferior bridging leaflet; LL: lateral leaflet; RLL: right lateral leaflet; SBL: superior bridging leaflet.

房室中隔欠損症は“房室中隔の欠損と房室弁異常を合併する解剖学的異常”と定義される.そして,この定義で挙げられる房室弁異常の特徴の一つは,共通房室弁輪である.正常の解剖と異なり一つの房室弁輪を介して両側の心房-心室が接合しており,また,共通房室弁輪が楕円形であることで大動脈弁の前方偏位(unwedged position)が起こり,左室がinlet–outlet disproportionの形態を呈する.もう一つの特徴は特異的な弁葉形態である25).通常5弁葉形態を示し,それぞれ以下のように定義される.

1) superior bridging leaflet(SBL)/anterior bridging leaflet

弁輪の頭側に位置し,弁と腱索が中隔を跨いで両心室に挿入することからbridging leafletと呼ばれる(ただしこの特徴はRastelli type Aを除く)

2) inferior bridging leaflet(IBL)/posterior bridging leaflet

弁輪の下壁側に位置し,SBLと同様に中隔を跨いで両心室に弁と腱索が挿入する

3) lateral leaflet(LL)/left mural leaflet

左室の側壁に位置し前乳頭筋–後乳頭筋間に存在する

4) (right)anterior leaflet(AL)/antero–superior leaflet

右室の右頭側に位置し,その大きさはSBLのサイズにより変化する

5) right lateral leaflet(RLL)/right mural leaflet

右心室側のlateral leafletに相当する.完全型房室中隔欠損症(complete AVSD)では共通房室弁の開口は弁中央に大きく単独で存在するが,SBLとIBL間の連結弁組織(connecting tongue)により弁の開口が左右2カ所に分割される場合を,中間型房室中隔欠損症(intermediate-AVSD)と分類する.中間型房室中隔欠損症では弁下に大きな流入部心室中隔欠損を伴っているが,弁下短絡が非常に狭小化したものを移行型房室中隔欠損症(transitional-AVSD),また弁下短絡が存在せずに,一次孔心房中隔欠損のみの短絡の場合を不完全型房室中隔欠損症(partial AVSD)と分類する.移行型と不完全型房室中隔欠損症では弁の開口が分離しているだけでなく独立した左右の弁輪が形成されていることを定義として唱えている場合があるが,先に記したように正常の三尖弁においても膜様部中隔部分においては明確な三尖弁輪が存在しないことから,この定義には無理があると考えられる.臨床的には分類よりも短絡部位と弁形態を正確に把握しておくことが重要と考えられる.完全型房室中隔欠損症は更にSBLの形態に応じてRastelli分類で分類されるが,本総説では割愛する.なお,房室中隔欠損症では乳頭筋の位置も正常と異なり,前乳頭筋が前壁側へ僅かに移動し,後乳頭筋は前乳頭筋方向へ大きく近づく.この結果,両乳頭筋の空間的位置関係は上下関係となり,乳頭筋間距離も正常よりも短くなる9)

(1) 左室単一乳頭筋(single papillary muscle of left ventricle)(Fig. 14)
Pediatric Cardiology and Cardiac Surgery 33(2): 140-156 (2017)

Fig. 14 Complete atrioventricular septal defect with single left papillary muscle

(A) An apical four-chamber view showing the complete atrioventricular septal defect. (B) A subcostal short axis view of the common atrioventricular valve during diastole There is no lateral leaflet. (C) A subcostal short axis view of the common atrioventricular vale during systole. There is only one papillary muscle in the left ventricle. AL: anterior leaflet; IBL: inferior bridging leaflet; RLL: right lateral leaflet; SBL: superior bridging leaflet; SPM: single papillary muscle.

房室中隔欠損症においては乳頭筋間距離が正常よりも短くなるが,この距離がLLのサイズを反映することになり,LLのサイズとこの弁の両端の交連形成の出来具合が二心室治療の際の手術方針を決める重要な要素となる.乳頭筋間距離が小さくLLのサイズが小さいものは術後の狭窄の懸念からSBL-IBL間のapposition部の完全閉鎖が困難となる.乳頭筋間距離が小さくなった極型が単一乳頭筋であり,この場合においてLLは極度の低形成ないしは消失する.

(2) 重複房室弁口(double-orifice atrioventricular valve: DOAVV)

Mayo clinicからの報告では開心術を施行した房室中隔欠損の6.7%にDOAVVを認めている.このなかでpartial AVSDへの合併が最も多く64%,次いでcomplete AVSD: 36%, intermediate AVSD: 2%であった.Accessory orificeの開口部位はIBLが最も多く90%を占め,SBLは10%,しかしLLへの開口は認められていない12)

2. Heterotaxy症候群に合併した共通房室弁(Fig. 15)

Pediatric Cardiology and Cardiac Surgery 33(2): 140-156 (2017)

Fig. 15 Shizuoka Children’s Hospital classification of the atrioventricular valve in patients with heterotaxy syndrome

AO: aorta; IVS: interventricular septum; L: left ventricle; R: right ventricle. Reprinted with permission from reference 17).

本症候群では単心房と両心室もしくは単心室が共通房室弁を介して結合する.本症候群の房室弁は通常の房室中隔欠損症における共通房室弁に準じて議論されることが多いが,実際には心室を含む弁下構造を含めて形態は大きく異なり,多様かつ未熟性が強く,まさに患者ごとに異なった弁形態を有する.しかしながら,本症候群に合併する共通房室弁形態の解剖学的研究はまだ少ない26).我々は共通房室弁と心室との連結様式で以下の3群に分けた分類(Shizuoka Children’s Hospital classification/SCH-classification)を提唱している17)

1) Balanced connection(type A)

共通房室弁が両心室へ均等に開口する(頻度46%).

2) Unbalanced connection(type B)

共通房室弁が主に一方の心室へ開口する(四腔断面での共通房室弁輪径(もしくは弁輪面積)の2/3以上が片側の心室へ開口)(頻度19%).

3) Single connection(type C)

共通房室弁が一方の心室のみへ開口する(頻度35%).この場合は房室弁の開口していない側の心室は低形成となる17)

これらの心室との連結関係の他に,心室中隔のscoopingが強く,乳頭筋の低形成や短腱索,または弁尖の異形成などを合併しやすいことも特徴に挙げられる.低い心室中隔頂部や低形成の乳頭筋からの短腱索のために弁は強いtetheringを受け,中隔上や弁の中央部分で深いtenting形態となることが多い.tentingの強い症例は房室弁閉鎖不全を合併することが多く,またこのような症例は心拡大に伴って逆流の程度が容易に悪化しやすい.また,本症候群ではType-Aのような両心室がバランス良く存在する場合でも,各心室容積が小さいことや,弁輪の全体径が小さいことから単心室治療が選択されることがほとんどであり,1986年から2015年の間に静岡県立こども病院を受診した右側心房相同(無脾症候群)症例161例のうち二心室治療に至った症例は僅かに2例(1%)である(unpublished data).特に乳児期早期の単心室循環における房室弁閉鎖不全は急速な心機能の悪化を招くことから,これまでの報告でも予後危険因子に必ず含まれる27).今後この疾患群に対する弁形成を含めた治療法の改善が望まれる.

結語

房室弁疾患は生涯にわたり人の健康を苛む.単心室循環における新生児期や乳児期早期の高度の房室弁閉鎖不全はmortalityに直結するが,長期間無症状で経過することの多い肺循環心室の房室弁閉鎖不全においても,人生の晩年期には関連した症状が顕在化してくる.心エコー検査が房室弁評価の最重要な画像モダリティであることについては今後も変わりがなく,3次元心エコーは弁形態評価に今後更にその重要性が増すと考えられる.また,3次元カラードプラ画像の改善は,エコーが苦手とする弁逆流の定量評価への突破口となる可能性も秘める.心エコーでの弁逆流の定量評価が進めば房室弁閉鎖不全に対する適切な介入時期についての新たなエビデンスの構築が可能になるかもしれない.

利益相反

本論文について申告すべき利益相反(COI)はない.

引用文献References

1) 白石 公,山岸敬幸:心内膜床の形成とその異常.東京,メジカルビュー社,2007

2) Arron JR, Winslow MM, Polleri A, et al: NFAT dysregulation by increased dosage of DSCR1 and DYRK1A on chromosome 21. Nature 2006; 441: 595–600

3) Kruithof BP, Krawitz SA, Gaussin V: Atrioventricular valve development during late embryonic and postnatal stages involves condensation and extracellular matrix remodeling. Dev Biol 2007; 302: 208–217

4) McCarthy KP, Ring L, Rana BS: Anatomy of the mitral valve: Understanding the mitral valve complex in mitral regurgitation. Eur J Echocardiogr 2010; 11: i3–i9

5) Ho SY: Anatomy of the mitral valve. Heart 2002; 88 Suppl 4: iv5–iv10

6) Nielsen SL, Nygaads H, Fontain AA, et al: Chordal force distribution determines systolic mitral leaflet configuration and severity of functional mitral regurgitation. J Am Coll Cardiol 1999; 33: 843–853

7) 吉田 清,赤坂隆史,伊藤 博,ほか:循環器超音波検査の適応と判読ガイドライン(2010年改訂版)(循環器病の診断と治療に関するガイドライン(2009年度合同研究班報告))2010: 47–49

8) Carpentier A, Branchini B, Cour JC, et al: Congenital malformations of the mitral valve in children. Pathology and surgical treatment. J Thorac Cardiovasc Surg 1976; 72: 854–866

9) Kohl T, Silverman NH: Comparison of cleft and papillary muscle position in cleft mitral valve ans atrioventricular septal defect. Am J Cardiol 1996; 77: 164–169

10) Nii M: What is this cleavage of mitral valve: Commissure, indentation, cleft, or cleft-like indentation? J Cardiol Cases 2016; 13: 40–41

11) Trowitzsch E, Bano-Rodriogo A, Burger BM, et al: Two-dimensional echocardiographic findings in double orifice mitral valve. J Am Coll Cardiol 1985; 6: 383–387

12) Sharma V, Burkhart HM, Schaff HV, et al: Double-orifice left atrioventricular valve in patients with atrioventricular septal defects: Surgical strategies and outcome. Ann Thorac Surg 2012; 93: 2017–2020

13) Matsushima AY, Park J, Szulc M, et al: Anomalous atrioventricular valve arcade. Am Heart J 1991; 121: 1824–1826

14) 池田和男,片山博視,松本康俊,ほか:失神発作を初発症状とし,冠動脈狭窄病変と大量消化管出血を合併した仮性弾性線維黄色腫(PXE)の一女児例.日小児循環器会誌1990; 5: 506–512

15) Shiraishi I, Nishimura K, Sakaguchi H, et al: Acute rupture of chordae tendineae of the mitral valve in infants: A nationwide survey in Japan exploring a new syndrome. Circulation 2014; 130: 1053–1061

16) Silver MD, Lam JHC, Ranganathan N, et al: Morphology of the human tricuspid valve. Circulation 1971; 43: 333–348

17) Nii M: Assesssment of atrioventricular valve anatomy and function in congenital heart disease using three-dimensional echocardiography. in Senzaki H (ed) Congenital Heart Disease Morphological and Functional Assessment. Japan, Springer, 2015, pp 21–42

18) Carpentier A, Chauvaud S, Mace L, et al: A new reconstructive operation for Ebstein’s anomaly fo the tricuspid valve. J Thorac Cardiovasc Surg 1988; 96: 92–101

19) Chauvaud S, Mihaileanu S, Gaer J, et al: Surgical treatment of Ebstein’s malformation: The Hospital Broussais’ experience. Cardiol Young 1996; 6: 4–11

20) Aaron BL, Mills M, Lower RR: Congenital tricuspid insufficiency: Definition and review. Chest 1976; 69: 637–641

21) Tutarel O, Westhoff BM: The double-orifice tricuspid valve: A review. J Heart Valve Dis 2007; 16: 508–510

22) Song H, Kim MJ, Chung CH, et al: Factors associated with development of late significant tricspid regurgitation after successful left-sided valve surgery. Heart 2009; 95: 931–936

23) Aggarwal S, Delius RE, Walters HL, et al: Recurrent protein-losing enteropathy and tricuspid valve insufficiency in a transplanted heart: A causal relationship? Congenit Heart Dis 2012; 7: E10–E13

24) Chen Y, Seto WK, Ho LM, et al: Relation of tricuspid regurgitation to liver stiffness measured by transient elastography in patients wiht left-sided adiac valve disease. Am J Cardiol 2016; 117: 640–646

25) Adachi I, Uemura H, MacCarthy KP, et al: Surgical anatomy of atrioventricular septal defect. Asian Cardiovasc Thorac Ann 2008; 16: 497–502

26) Uemura H, Anderson RH, Ho SY, et al: Left ventricular structure in atrioventricular septal defect associated with isomerism of atrioal appendages compared with similar features with usual atrial arrangement. J Thorac Cardiovasc Surg 1995; 110: 445–452

27) Takeuchi K, McGowan FX Jr, Bacha EA, et al: Analaysis of surgical outcome in complex double outlet right ventricle with heterotaxy syndrome or complete atrioventricular canal defect. Ann Thorac Surg 2006; 82: 146–152

This page was created on 2017-03-31T15:58:54.677+09:00
This page was last modified on 2017-04-13T10:47:59.191+09:00


このサイトは(株)国際文献社によって運用されています。