Online ISSN: 2187-2988 Print ISSN: 0911-1794
特定非営利活動法人日本小児循環器学会 Japanese Society of Pediatric Cardiology and Cardiac Surgery
Pediatric Cardiology and Cardiac Surgery 33(3): 249-255 (2017)
doi:10.9794/jspccs.33.249

症例報告Case Report

成人期に一期的Fontan型手術を行った心尖下大静脈同側の1例Primary Fontan Procedure in an Adult Patient with Apicocaval Juxtaposition

1福島県立医科大学医学部心臓血管外科Department of Cardiovascular Surgery, Fukushima Medical University ◇ Fukushima, Japan

2福島県立医科大学医学部小児科Department of Pediatrics, Fukushima Medical University ◇ Fukushima, Japan

受付日:2017年2月6日Received: February 6, 2017
受理日:2017年4月24日Accepted: April 24, 2017
発行日:2017年5月1日Published: May 1, 2017
HTMLPDFEPUB3

Fontan型手術の適応は拡大し,条件も低年齢化したが,成人期に拡大可能か不明である.手術未施行の成人例は長期低酸素と容量負荷から低心機能と心拡大を伴うため,心尖下大静脈同側例へのTotal cavo-pulmonary connection(TCPC)手術では,導管ルートに配慮が必要となる.心尖下大静脈同側の成人例に一期的Fontan型手術を施行した.症例は,48歳男性で,小児期に右室性単心室と診断されたがFontan型手術に至らなかった.息切れと動悸から就労困難となった.診断は両大血管右室起始,右室性単心室,肺動脈弁と弁上部狭窄を認めた.精査し手術適応と判断した.手術は,肺動脈形成およびTCPC手術を行った.圧迫回避目的に導管は心尖同側心房内を通した.術後経過は良好で,術後32日目に退院し,退院後3ヶ月で職場に復帰した.成人期単心室症例に再評価を行い,一期的TCPCを施行した.成人期TCPCは有用な術式であるが,適応には慎重な判断を要する.心尖下大静脈同側で心拡大を伴う成人例に心房内ルートは有用であった.

The Fontan procedure is predominantly performed in children with a functionally univentricular heart. It remains unclear as to whether the Fontan procedure can be applied for adult patients. Furthermore, the optimal conduit route remains unknown for adults with apicocaval juxtaposition. Adult Fontan candidates are likely to have dilated ventricles with poor cardiac function caused by long-term hypoxia and ventricular volume overload. Consequently, an ideal course from the inferior vena cava to the pulmonary artery should be created with caution to avoid the formation of kink or collapse of the conduit. A 48-year-old man with a double outlet right ventricle, single right ventricle, along with valvular and supravalvular pulmonary stenosis, presented with exertional dyspnea and palpitation. The patient showed situs inversus with the cardiac apex and inferior vena cava on the left side. Preoperative catheterization data showed low pulmonary vascular resistance and pulmonary artery pressure because of valvular, supravalvular, and bilateral pulmonary artery stenosis. Primary fenestrated total cavopulmonary connection (TCPC), concomitant with pulmonary artery plasty, was performed. The conduit was constructed via an intra-atrial route to avoid being compressed posteriorly by the dilated ventricle. The postoperative course was uneventful, and the patient was discharged 32 days after surgery. His exercise tolerance improved gradually thereafter. He returned to his previous job 3 months after surgery. Our case demonstrates that adult Fontan candidates whose preoperative conditions satisfy appropriate criteria are capable of undergoing primary TCPC. However, surgical indications for adult TCPC should be carefully determined. In our present case, the intra-atrial conduit route was useful for an adult patient with apicocaval juxtaposition.

Key words: Fontan procedure; adult congenital heart disease; total cavopulmonary connection; apicocaval juxtaposition; intraatrial conduit

はじめに

Fontan型手術1)は術式の変遷と段階的治療により,手術成績は向上し,当初Fontanの適応基準として知られた4歳以上の制限2)は徐々に拡大され,現在は2歳前後に行われるようになった.一方で,成人期のFontan型手術の適応については,年齢の上限は不明瞭であり,明確な基準や確立した治療戦略も存在しない.また,心尖下大静脈同側症例に対する心外導管型Fontan手術(Extra-cardiac total cavopulmonary connection: TCPC)においては小児例を中心に心外導管の至適ルートについて議論があるが3, 4),長年の容量負荷と低酸素により心拡大と心機能低下を有する成人例においてはルート選択に注意が必要となる5).今回,心尖下大静脈同側の成人例に一期的Fontan型手術を施行したので報告する.

症例

症例

47歳の男性 身長168 cm 体重58 kg

現病歴

両大血管右室起始症,右室性単心室,肺動脈狭窄症と診断され,15歳時に左体肺動脈短絡手術を受けた.当時はFontan手術の手術適応はないと判断された.成人後は,近医を通院し内服加療を受けていた.1年前から労作時の息切れと,発作性上室性頻脈の出現を認めるようになった.階段昇降が困難となり,就労も不可能となり当院へ紹介となった.

入院時現症

胸骨左縁第III~IV肋間にLevine 3/6の収縮期駆出性雑音を聴取した.両手指および足趾に,ばち状変化を認め,指尖部の経皮的動脈血酸素飽和度(SpO2)は82%であった.両下肢の浮腫を認めた.階段昇降が困難で歩行時の息切れも強く,NYHA分類は3度であった.

血液検査所見

Hctは63.2%と多血症を認め,AST値は47 IU/L,ALT値は45 IU/Lと軽度の肝機能障害を認めた.BUN 16 mg/dL, Crea 0.90 mg/dL, eGFR 72 mL/min/1.73 m2と腎機能は正常であった.総ビリルビン値は4.0 mg/dLと高く,BNP値は547.7 pg/mL(基準値18.4 pg/mL未満)と高値を示した.

胸部X線写真

心胸郭比(Cadiothoracic ratio: CTR)71%の心拡大と,肺うっ血所見を認めた(Fig. 1A).

Pediatric Cardiology and Cardiac Surgery 33(3): 249-255 (2017)

Fig. 1 Preoperative chest X-ray and electrocardiogram

(A) Preoperative chest X-ray. (B) Preoperative electrocardiogram.

心電図検査

心拍数は95/分の洞調律で,右室肥大所見を認めた.QRS幅は210 msecと広く,右軸変異を認めた(Fig. 1B).前医での24時間心電図上は20~30秒程度持続し自然復帰する心拍数140~160 bpmの発作性上室性頻脈を認めた.

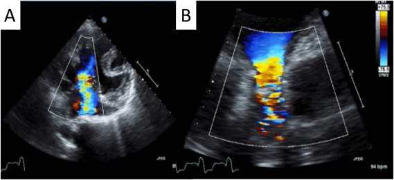
心臓超音波検査

心房逆位で,上下大静脈は左側心房に還流し,心尖下大静脈同側であった.心室正位,左心室は低形成で右心室は高度拡大を認めた.大動脈左前方,肺動脈右後方の転位あり,両大血管右室起始の形態で,心室中隔欠損孔の大きさは径39 mmであった.肺動脈弁と弁上部,および左右肺動脈分岐部に狭窄を認めた.房室弁は共通房室弁であり,弁輪径は54 mmと拡大し,中等度逆流を認めた(Fig. 2).心房中隔は一次孔欠損を認め,径は21 mmで圧較差なく,両心房の拡大を認めた.

Pediatric Cardiology and Cardiac Surgery 33(3): 249-255 (2017)

Fig. 2 Preoperative transthoracic echocardiogram

(A) Color Doppler showing moderate common atrioventricular valve regurgitation. (B) Evidence of valvular and supravalvular pulmonary stenosis.

造影CT検査

心房心室ともに拡大所見を認めた.上下大静脈は心尖同側の左側心房に還流,肝静脈はすべて下大静脈に還流し,両側肺静脈は右側心房に還流していた.下大静脈の拡大所見を認めた(Fig. 3).以前施行された左体肺動脈短絡手術に用いられた人工血管は閉塞していた.3D-CTでは,肺動脈は蛇行屈曲を認め,左右肺動脈分岐部にも狭窄を認めた(Fig. 4).

Pediatric Cardiology and Cardiac Surgery 33(3): 249-255 (2017)

Fig. 3 Preoperative computed tomography (CT)

(A) Preoperative CT angiogram showing the superior vena cava located on the left side. (B) All pulmonary veins returned to the right side of the atrium. (C) Large atrium and dilated right ventricle. (D) Cardiac apex and inferior vena cava were located on the left side.

Pediatric Cardiology and Cardiac Surgery 33(3): 249-255 (2017)

Fig. 4 Preoperative 3-dimensional computed tomography

(A) Preoperative cardiac overview. (B) Pulmonary artery stenosis was revealed after the removal of the ascending aorta.

心臓カテーテル検査

右室圧は100/EDP 5 mmHg,肺動脈弁,弁上部および左右肺動脈分岐部狭窄により主肺動脈圧は25/5(14)mmHg,左肺動脈圧は20/9(14)mmHgと肺高血圧は認めず,肺血管抵抗は1.9 unit·m2であった.Qp/Qsは1.7であった.PA index 720 mm2/m2と左右肺動脈は著明な拡大を認めた.末梢肺動脈圧は保たれ,左室拡張末期容積は23.4% of normal,右室拡張末期容積は211.4% of normalと左室低形成と右心室の著明な拡大を認めた.造影上の右室駆出率は44.8%と低下を認めた.3度の共通房室弁逆流を認めたが,平均心房圧は5 mmHgと低く保たれていた.気管支動脈から肺動脈への側副血行路を認めたが軽度でありコイル塞栓術は施行しなかった.

以上の結果からFontan手術の適応と判断したが,手術リスクを考慮し,入院下に心不全管理を行い,外来でβ遮断薬,アンギオテンシン変換酵素阻害薬の投薬による治療を行った.一時的にBNP値は55.2 pg/mLまで低下し,症状も寛解したが,半年後に再び症状が悪化しBNP値も437.6 pg/mLに再上昇した.内科的治療の限界と判断し,再度心不全管理を行ったのちに手術を予定した.

手術所見

手術は胸骨正中切開で行った.上行大動脈送血,上下大静脈脱血,右側心房からベントを挿入し人工心肺を確立した.主肺動脈は離断し,心臓側は縫合閉鎖した.左右肺動脈分岐部の狭窄部を切除し,左右肺動脈を大動脈後方で径18 mmのリング付きPTFEグラフトを用いて再建した.左側上大静脈を離断し,人工血管左側吻合部の末梢側にGlenn吻合を作成した.完全体外循環とし,大動脈遮断,順行性に心筋保護液を注入し心停止とした.共通房室弁は,水試験では中央部から僅かな逆流を認めるのみで弁形態や性状に異常はなく,術後の容量負荷軽減による効果を期待し,手術操作は加えなかった.左右肺静脈は右側心房に開口しており,心房内導管による肺静脈狭窄や閉塞の危険がないことを確認した.径18 mm PTFEグラフトを心房内から左側下大静脈開口部に連続縫合し,頭側は左上大静脈離断部から心外に誘導し,左肺動脈下面に端側吻合を行った.心房内の人工血管に5 mmの開窓術を行った(Fig. 5).一酸化窒素吸入下に人工心肺から離脱を行い,動脈圧は88/58 mmHg,平均肺動脈圧は15 mmHg,心房圧は7 mmHg, SpO2は93%であった.手術時間は429分,人工心肺時間は246分,大動脈遮断時間は146分であった.

Pediatric Cardiology and Cardiac Surgery 33(3): 249-255 (2017)

Fig. 5 Schematic representation showing operative findings

Asterisk indicates an 18 mm graft used to reconstruct the pulmonary artery whereas the double asterisk indicates an 18 mm intraatrial conduit with fenestration. CAVV: common atrioventricular valve, PV: pulmonary vein.

術後経過

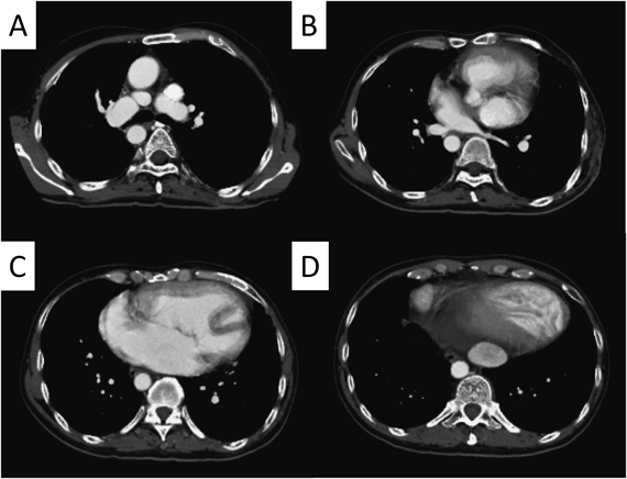
術翌日に一酸化窒素吸入終了の上,人工呼吸器から離脱した.抜管後の動脈圧は110/56 mmHg,平均肺動脈圧は10 mmHg,酸素投与下にSpO2は96%であった.経口摂取開始し,抗凝固療法を開始した.術後3日目にICU退室した.術後15日目に胸腔ドレーン抜去.術後32日目に退院した.胸部X線上,CTRは術前71%から術後は61%に改善した.退院前の造影CTではグラフト圧迫などの所見は認めなかった(Fig. 6).

Pediatric Cardiology and Cardiac Surgery 33(3): 249-255 (2017)

Fig. 6 Postoperative computed tomography (CT)

(A) Postoperative CT images. (B) The diameter of the inferior vena cava had decreased. (C) Coronal image showing a central pulmonary artery graft and the intraatrial conduit.

退院時のSpO2は93%であった.採血上,AST値は26 IU/L,AST値は22 IU/L,TBは1.1 mg/dLと正常化した.術後3ヶ月で職場に復帰し,術後3ヶ月でBNP値は正常化した.術後1年が経過したが,心臓超音波検査上は,房室弁逆流はほとんど認めていない(Fig. 7).術後2年の経過で発作性上室性頻脈の再発は認めていない.

Pediatric Cardiology and Cardiac Surgery 33(3): 249-255 (2017)

Fig. 7 Postoperative transthoracic echocardiography

(A) The intraatrial conduit was observed. (B) Fenestration flow and the disappearance of common atrioventricular valve regurgitation were evident.

考察

Fontan型手術の適応条件とされたChoussat-Fontan基準2)の逸脱例にも,積極的にFontan型手術が施行されるに従い,適応は拡大し機能的単心室を有する複雑心奇形の予後は改善した.当初4歳以上とされたFontan型手術の適応条件は,低年齢化にともなう負の要因も少ないことから2歳前後まで低下したが,一方で成人例に拡大可能であるかは不明である.小児期の機能的単心室に対する治療戦略と異なり,成人Fontan型手術の治療指針はない.過去の報告では,Burkhartら6)は,小児手術基準と同様に適応判断し,132例の成人例にFontan型手術を行った.この中で,平均肺動脈圧が15 mmHgより高いこと,年齢30歳以上などを手術リスクに上げている.Fujiiら7)はリスクの積み重ねが遠隔予後に影響すると考え,過去の報告をもとに13個のリスク因子を上げ,そのうち6個以上を有する場合で遠隔予後が不良であると報告し,合併症が起こる前の手術を推奨している.Podzolkovら8)は小児の手術基準をもとに2つ以上の逸脱が術後の成績に影響すると報告している.いずれも小児期治療の経験を軸に,成人症例にも小児適応基準をもとに適応を判断している.成人期の機能的単心室は,長期の低酸素状態による心筋障害に加えて,心室容量負荷や中心静脈圧上昇から,不整脈や房室弁逆流,心機能低下などの問題が現れる.経年的に基準逸脱が増えることから,複数の報告で年齢は共通したリスクとされ6, 7, 9),成人期の手術判断は慎重に行われるべきと考える.過去の報告では手術施行時の年齢は多くが20歳代であり,40歳以上の症例が占める割合は少数である6–12).本症例はFontan型手術未施行例のまま40代後半まで到達した稀な症例であった.

現在のわが国においては,Fontan型手術適応患者が見逃されることはないと思われるが,手術適応の拡大以前の症例では,成人期に到達したFontan型手術未施行例が少数ながら存在している.本症例も当時はFontan型手術の適応はないと判断された.成人後に外来通院先が変更となったこともあり,その後のFontan candidateからもドロップアウトした.15歳時に行われた体肺動脈短絡は閉塞していたが,肺動脈弁と弁上部および左右肺動脈分岐部に適度な肺動脈狭窄が存在したため高度チアノーゼは来さず,就業や結婚など通常の社会生活を送ることができ,かつ肺血管床は温存されていた.心不全症状による当院への紹介を機に,各種再検査を行うこととなった.本症例はFujiiら7)が示した13個のリスク因子のうち,30歳以上の年齢,体心室駆出率50%未満,中等度以上の房室弁逆流,不整脈,NYHAクラス分類3度以上の5つを有しておりハイリスク例といえるが,内科的治療に限界があり,Fontan型手術の適応と判断した.

Fontan型手術の適応患者に対する治療方法としては両方向性グレン手術(Bidirectional Glenn: BDG)を先行して行うStaged Fontan手術が一般的である.BDG手術による心室容量負荷軽減効果により,房室弁逆流や心室機能の改善が期待され,複合病変ではリスク分散効果など段階的戦略の意義は大きい13).本症例でもBDG術後に心不全が改善することも期待されるが,一方で成人期BDG術後の経過については不明な点が多い.総静脈血に占める上大静脈血流の割合は生後から2歳ころまで増加し,体型の変化に伴い,その後は漸減し6歳頃に成人と同等になると報告されている14, 15).このため成人期BDG術後に,期待した術後SpO2が得られない可能性も考慮しなければならない16).本症例は術前SpO2が80%前後と高めの値を確保しており,BDG術後の低酸素による日常生活動作(activities of daily living: ADL)の低下や心機能低下の不安があり,一期的Fontan型手術を行うことにした.Fontan型手術適応基準のボーダーライン症例ではFenestration(開窓術)は循環維持における安全弁として重要な役割を担う.成人期Fontan型手術においては開窓術が術後早期の成績改善に有用であると報告もあり17, 18),本症例でも径5 mmの開窓術を行った.長年の低酸素にともなう心機能への影響は成人期に特有の問題であり,小児期に比べてさらに開窓術の果たす役割は重要と考えられる.

また,本症例のような心尖下大静脈同側例にTCPC手術を行う場合,導管のルート選択には議論がある3, 4).小児例を中心に検討が行われた結果,心臓や椎体による導管の圧迫や屈曲によるエネルギー損失が問題とされた.心尖同側症例には心尖部と同側でより短い導管をおくことで良い層流が得られ,エネルギー損失が少ないとされている3).一方で,成人例では,低心機能と長年の容量負荷に伴う心拡大が強い症例が多く,導管が拡大した心臓により圧迫閉塞される危険性が指摘されている5).本症例では,大動脈遮断と心停止に伴う心機能への影響は懸念されるが,術前検査と術中評価により,心房内構造と肺静脈還流部位と房室弁との位置関係から心房内ルートが可能であると判断した.心房内導管による遠隔期の問題には血栓塞栓症や心房拡大が指摘されており19),今後の経過には注意が必要と考えている.

成人期のFontan型手術後はNYHA分類が改善するとされる報告が多い6, 7, 9, 11, 12).本症例も術後チアノーゼは改善し,容量負荷低減から房室弁逆流は改善した.不整脈は消失しNYHA分類も改善し,仕事に復帰できた.Fontan型手術の適応拡大がなされる以前の症例の中には種々の事情によりFontan candidateからドロップアウトしているケースがあり,これらの症例においては再評価を行いFontan型手術が可能な症例がある.小児の適応基準をもとに判断し,大きな逸脱がなければ,成人期であってもFontan型手術は有用な治療手段であると考える.しかし,これらの患者群は少数に限定されているため,手術施行においては症例ごとに慎重に判断し,十分な説明の上に行われるべきであると思われる.今後症例の蓄積により新たな指針が構築されることが期待される.また,成人期Fontan型手術後の遠隔期については不明な点が多く,今後も注意深い観察が必要と考えている.

利益相反

本論文において,開示すべき利益相反(COI)はない.

引用文献References

1) Fontan F, Baudet E: Surgical repair of tricuspid atresia. Thorax 1971; 26: 240–248

2) Choussat A, Fontan F, Besse P, et al: Selection criteria for Fontan procedure, in Anderson RH, Shinebourne EA, (eds): Pediatric Cardiology. Edinburgh, Churchihill Livingstone, 1977, pp 559–566

3) Yoshida M, Menon PG, Chrysostomou C, et al: Total cavopulmonary connection in patients with apicocaval juxtaposition: Optimal conduit route using preoperative angiogram and flow simulation. Eur J Cardiothorac Surg 2013; 44: e46–e52

4) Sakurai T, Kado H, Nakano T, et al: The impact of extracardiac conduit-total cavopulmonary connection on apicocaval juxtaposition. Eur J Cardiothorac Surg 2010; 38: 439–444

5) Morizumi S, Kato H, Kanemoto S, et al: Appropriate route selection for extracardiac total cavopulmonary connection in apicocaval juxtaposition. Ann Thorac Surg 2012; 94: 179–184

6) Burkhart HM, Dearani JA, Mair DD, et al: The modified Fontan procedure: Early and late results in 132 adult patients. J Thorac Cardiovasc Surg 2003; 125: 1252–1259

7) Fujii Y, Sano S, Kotani Y, et al: Midterm to long-term outcome of total cavopulmonary connection in high-risk adult candidates. Ann Thorac Surg 2009; 87: 562–570, discussion, 570

8) Podzolkov VP, Zelenikin MM, Yurlov IA, et al: Immediate results of bidirectional cavopulmonary anastomosis and Fontan operations in adults. Interact Cardiovasc Thorac Surg 2011; 12: 141–146

9) Ly M, Roubertie F, Kasdi R, et al: The modified Fontan procedure with use of extracardiac conduit in adults: Analysis of 32 consecutive patients. Ann Thorac Surg 2014; 98: 2181–2186

10) Roubertie F, Peltan J, Henaine R, et al: Early to midterm results of total cavopulmonary connection in adult patients. Ann Thorac Surg 2013; 95: 941–947

11) Valente AM, Lewis M, Vaziri SM, et al: Outcomes of adolescents and adults undergoing primary Fontan procdure. Am J Cardiol 2013; 112: 1938–1942

12) Veldtman GR, Nishimoto A, Freeman M, et al: The Fontan procedure in adults. Heart 2001; 86: 330–335

13) 森田紀代造,黒澤博身:単心室(2)Fontan手術:Staged Approachの有用性.Cardiovascular Med-Surg 2001; 3: 68–75

14) Salim MA, DiSessa TG, Arheart KL, et al: Contribution of superior vena caval flow to total cardiac output in children: A Doppler echocardiographic study. Circulation 1995; 92: 1860–1865

15) Eyskens B, Mertens L, Kuzo R, et al: The ratio of flow in the superior and inferior caval veins after construction of a bidirectional cavopulmonary anastomosis in children. Cardiol Young 2003; 13: 123–130

16) Elizari A, Somerville J: Experience with the Glenn anastomosis in the adult with cyanotic congenital heart disease. Cardiol Young 1999; 9: 257–265

17) Fiore AC, Tan C, Armbrecht E, et al: Comparison of fenestrated and nonfenestrated patients undergoing extracardiac Fontan. Ann Thorac Surg 2014; 97: 924–931

18) Atz AM, Travision TG, McCrindle BW, et al: Late status of Fontan Patients with persistent surgical fenestration. J Am Coll Cardiol 2011; 57: 2437–2443

19) Iacona GM, Giamberti A, Abella RF, et al: Fontan operation for patients with complex anatomy: The intra-atrial conduit technique. World J Pediatr Congenit Heart Surg 2012; 3: 251–254

This page was created on 2017-05-09T11:42:40.216+09:00
This page was last modified on 2017-06-05T14:34:29.844+09:00


このサイトは(株)国際文献社によって運用されています。