Online ISSN: 2187-2988 Print ISSN: 0911-1794
特定非営利活動法人日本小児循環器学会 Japanese Society of Pediatric Cardiology and Cardiac Surgery
Pediatric Cardiology and Cardiac Surgery 33(4): 318-325 (2017)
doi:10.9794/jspccs.33.318

症例報告Case Report

孤立性片側肺静脈閉鎖症の3例Three Cases of Isolated Unilateral Pulmonary Venous Atresia

1独立行政法人地域医療連携推進機構 九州病院小児科Department of Pediatrics, Japan Community Health Care Organization Kyushu Hospital ◇ Fukuoka, Japan

2独立行政法人地域医療連携推進機構 九州病院心臓血管外科Department of Cardiovascular Surgery, Japan Community Health Care Organization Kyushu Hospital ◇ Fukuoka, Japan

受付日:2016年12月14日Received: December 14, 2016
受理日:2017年6月19日Accepted: June 19, 2017
発行日:2017年7月1日Published: July 1, 2017
HTMLPDFEPUB3

孤立性片側肺静脈閉塞は非常に稀な先天性心疾患で,反復する喀血や肺炎などから診断に至る症例が多い.自然予後も様々であるため治療介入の是非や時期に苦慮する症例も存在する.今回自験3例を報告し,診断及び治療の留意点を検討する.

症例1は4歳女児で,1歳6か月より喀血と肺炎を繰り返し,造影CTで右肺静脈欠損と,肺血流シンチグラフィーで右肺血流減少を認め右肺静脈閉鎖が疑われた.右肺動脈楔入造影により閉鎖肺静脈腔を同定し,Sutureless法による肺静脈再建を行った.

症例2は4歳女児で,喀血で入院し,肺血流シンチグラフィーで左肺血流減少を認め,左肺動脈楔入造影により左肺静脈閉鎖と診断した.肺静脈近位端と左房との距離が離れていたので肺静脈再建適応外であった.

症例3は36歳女性で,生後4か月より肺炎と喀血を繰り返していた.肺血流シンチグラフィーで右肺動脈血流低下があり肺動脈楔入造影で右肺静脈閉鎖と診断した.年齢から肺静脈再建は断念し,右肺切除は本人も希望しなかった.

幼少期より反復する喀血や肺炎を呈する場合は,非常に稀な疾患であるが本症を鑑別にあげ,肺血流シンチグラフィーで片側肺の著しい血流低下があれば積極的に肺動脈楔入造影で確定診断を進めることが肝要である.幼児期までに診断し,かつ閉鎖肺静脈腔が解剖学的に修復可能であれば肺静脈再建は治療選択肢の一つとなり,右側肺静脈閉鎖においてはSutureless法は術後肺静脈狭窄を予防する有効な手術方法であると考えられる.

Isolated unilateral pulmonary venous atresia (PVA) is an extremely rare anomaly that typically presents with hemoptysis and pneumonia; however, the most appropriate management strategy remains controversial due to the high variability in clinical course between cases. Herein, we present three cases and discuss the diagnostic and therapeutic considerations.

Case 1: A 4-year-old girl presented with a history of recurrent hemoptysis and pneumonia since 18 months of age. Lung perfusion scintigraphy demonstrated decrease in the right pulmonary blood flow. Pulmonary arterial wedge angiography (PAWA) identified a right PVA. The patient underwent pulmonary vein reconstruction using a sutureless technique.

Case 2: A 4-year-old girl was referred due to hemoptysis. Lung perfusion scintigraphy demonstrated a decrease in left pulmonary blood flow, and the diagnosis was confirmed by PAWA. We abandoned the repair in this case due the presence of a long gap between the left pulmonary vein and left atrium.

Case 3: A 36-year-old female presented with a history of recurrent hemoptysis and pneumonia from infancy. PVA was suspected according to the results of lung perfusion scintigraphy, and the diagnosis was confirmed by PAWA. We abandoned the repair in this case as the development of pulmonary arterial obstructive disease was expected.

If lung perfusion scintigraphy demonstrates a remarkable reduction in unilateral pulmonary blood flow, PVA should be suspected and PAWA should be performed to confirm the diagnosis. Pulmonary vein reconstruction represents a treatment option in cases where the diagnosis is made in early childhood and anatomical repair is feasible. For right PVA, the sutureless technique is considered to be effective in preventing postoperative pulmonary venous stenosis.

Key words: unilateral pulmonary venous atresia; sutureless technique; hemoptysis; recurrent pneumonia; pulmonary arterial wedge angiography

はじめに

孤立性片側性肺静脈閉鎖症は他の心内奇形を伴わず一側の肺静脈閉鎖を生じる非常に稀な先天性心疾患である.通常,患側肺には体動脈からの豊富な側副血管が発達し,患側肺動脈血流は逆行性に健側肺動脈へ流れる特有な血行動態となる.臨床症状は,幼少期から反復する肺炎や喀血,運動耐容能低下が特徴的であるが胸部単純X腺や心エコー検査の所見は非特異的であり,肺動脈楔入造影により閉鎖肺静脈を確認して診断を確定するまでに長期間を要する例も存在する.

Pourmoghadamらは無治療のままでは予後不良であるため積極的な患側肺切除あるいは肺静脈再建の外科的治療を推奨している1).前者は侵襲性や術後胸郭変形などの問題,後者は術後肺静脈狭窄などのリスクがある一方,無治療での長期生存例の報告も散見されるため,その治療適応・時期の決定は容易ではない2–4).今回,Sutureless法により有効な肺静脈再建を行うことができた右肺静脈閉鎖症の4歳女児例を,他自験2例と共に報告する.

症例

症例1

4歳女児.1歳6か月より喀血と肺炎を繰り返し,3歳時に肺ヘモジデローシスと診断され経口ステロイド投与を受けたが症状は持続した.4歳時に肺炎の精査のため行った胸部造影CT検査で右肺静脈欠損が疑われ当院へ紹介となった.初診時身体所見は,心拍数90回/分,経皮的酸素飽和度(SpO2)99%,呼吸数20回/分,II音肺動脈成分亢進はなく,呼吸音減弱や肺雑音は聴取しなかった.胸部単純X線では心胸比50%,右肺容量低下と右肺うっ血像を認めた.心エコー検査では心内奇形は認めず左右肺動脈も描出され,右肺静脈還流ははっきりとしなかったが診断確定には至らなかった.胸部造影CTでは右肺動脈は同定されたものの,右肺静脈は同定できず(Fig. 1),99 mTc-MAA肺血流シンチグラフィーでは血流比は右肺:左肺=1 : 99と著しい右肺動脈血流低下の所見を認めたため,右肺静脈閉鎖を疑い,診断確定のため心臓カテーテル検査を施行した.左肺動脈圧=18/9(平均13)mmHg,左肺動脈楔入圧=平均5 mmHgに対して,右肺動脈圧=22/8(平均14)mmHg,右肺動脈楔入圧=平均20 mmHgと右肺動脈楔入圧の上昇を認めた.右肺に体動脈から発達した側副血管により右肺動脈血流は逆行性に左肺動脈に流入しており,混合静脈血酸素飽和度75%,右肺動脈酸素飽和度76%に対して,左肺動脈酸素飽和度98%と左肺動脈酸素飽和度上昇を認めた(Table 1).閉鎖した右肺静脈腔を同定するために,右肺動脈楔入造影を行った.6 Frの先端孔ウェッジプレッシャーカテーテル(ガデリウスメディカル,東京)内に0.018インチガイドワイヤー(Thruway,ボストンサイエンティフック,マサチューセッツ)を挿入して,右肺動脈末梢へカテーテルを進めた.先端バルーンにより右肺動脈を閉鎖した状態で先端孔より手圧で強制的に造影(肺動脈楔入造影)を行ったところ,径9.7 mmの右肺静脈腔が造影された(Fig. 2).造影された右肺静脈の左房端は筋性拍動をしており心筋組織の迷入が疑われた.肺血管の不可逆的器質的変化を危惧したものの,年齢から右肺静脈修復による病状改善の可能性も期待され外科的修復術の方針とした.

Pediatric Cardiology and Cardiac Surgery 33(4): 318-325 (2017)

Fig. 1 Contrast-enhanced computed tomography (CT) in case 1

CT demonstrated a hypoplastic right lung. The right pulmonary artery is depicted (black arrow) while the right pulmonary vein is not visualized (white arrow).

Table 1 Data obtained by cardiac catheterization in the three cases
SiteCase 1 (pre-operation)Case 1 (1 year after operation)Case 2Case 3
Pressure (mmHg)SO2 (%)Pressure (mmHg)SO2 (%)Pressure (mmHg)SO2 (%)Pressure (mmHg)SO2 (%)
RPA22/8(14)9717/8(10)7930/19(24)7134/11(22)98
LPA18/9(13)7618/6(12)7331/21(25)9734/11(22)75
MPA20/9(13)7618/7(12)7428/16(22)6933/16(23)76
SVC75747169
RPAW206916
LPAW55216
AO96/45(66)9896/48(68)98101/70(85)98105/65(78)98
RPA; right pulmonary artery, LPA; lefty pulmonary artery, MPA; main pulmonary artery, SVC; superior vena cava, RPAW; right pulmonary arterial wedge, LPAW; left pulmonary arterial wedge, AO; aorta.
Pediatric Cardiology and Cardiac Surgery 33(4): 318-325 (2017)

Fig. 2 Right pulmonary arterial wedge angiography in case 1

The blind right pulmonary vein was in close proximity to the wall of the left atrium. Furthermore, the end of pulmonary vein (arrow) was beating quite as if there was muscle tissue.

胸骨正中切開で上大静脈・下大静脈からの脱血と上行大動脈への送血により人工心肺を確立,右胸膜を開放して右心膜が折り返せるようにし,右肺静脈を同定した.右肺静脈左房端を大きく切除して開放し,先に自己心膜パッチを肺静脈周囲に半周ほど逢着した.左房を大きく開放し自己心膜パッチの残りの半周を左房外側に逢着した(Fig. 3).手術は無輸血で行い,人工心肺時間166分であった.切除した右肺静脈左房端の病理組織診断をFig. 4に示す.肺静脈の内膜及び中膜の線維性肥厚に加え,Desmin染色陽性の筋線維芽細胞の迷入が認められた.術後肺出血や肺炎等の合併症は認めず,右肺動脈血流改善を目的にボセンタン37.5 mg/日と抗血栓治療としてワーファリンとアスピリンの内服を開始し,術後19日目で退院した.術後1年で行った心臓カテーテル検査では,右肺動脈圧=17/8(平均10)mmHg,右肺動脈楔入圧=6 mmHgであり,右肺動脈造影では順行性肺動脈血流が認められた(Table 1).肺血管床自体は成長不良があったものの右肺静脈から左房への良好な還流を確認でき(Fig. 5),体動脈からの側副路も消失していた.99 mTc-MAA肺血流シンチグラフィーでは血流比は右肺:左肺=15:85と左右差は認めるものの十分な右肺循環は獲得でき,ボセンタン,ワーファリン,アスピリンは中止した.術後3年経過したが喀血や肺炎の再発なく経過している.

Pediatric Cardiology and Cardiac Surgery 33(4): 318-325 (2017)

Fig. 3 Operative schema of sutureless repair of right pulmonary venous atresia

a) An incision was made in the LA and end of the RPV. b) The pericardium overlying both entrances was used to create an enlarged communication between the open RPV and LA. LA; left atrium, RPV; right pulmonary vein.

Pediatric Cardiology and Cardiac Surgery 33(4): 318-325 (2017)

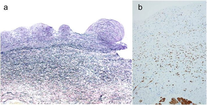
Fig. 4 Microscopic sections of the right pulmonary vein in case 1

a) The end of the right pulmonary vein demonstrated medial hypertrophy with intimal fibrosis without the presence of inflammatory reaction (Elastica van Gieson stain, ×100). b) Myofibroblasts were found to be present (Desmin stain ×40).

Pediatric Cardiology and Cardiac Surgery 33(4): 318-325 (2017)

Fig. 5 Right pulmonary artery angiography demonstrated smooth right pulmonary venous flow at 1 year postoperatively in case 1

症例2

14歳女性.在胎38週,出生体重2,580 gで出生後特異顔貌で染色体異常[46XY add(15)(p11)]と診断した.4歳までの間に原因不明の肺炎を繰り返し,頻回に入院加療され,4歳時に喀血し入院となった.SpO2 99%,呼吸数20回/分であったが,左呼吸音減弱と左肺野の泡沫状ラ音を聴取した.胸部単純X線では左肺容量低下と左下肺野でのスリガラス陰影を認めた.心エコー検査では左右肺動脈は確認でき心内奇形の指摘はなかった.99 mTc-MAA肺血流シンチグラフィーで肺血流左右比が右:左=99 : 1と左肺血流の著しい低下を認めたため,左肺静脈閉鎖症を疑い,心臓カテーテル検査を施行した.右肺動脈=30/19(平均24)mmHg,右肺動脈楔入平均圧=9 mmHgに対して,左肺動脈圧=31/21(平均25)mmHg,左肺動脈楔入平均圧=21 mmHgと軽度肺高血圧と左肺動脈楔入圧上昇を認めた(Table 1).混合静脈血及び右肺動脈酸素飽和度は71%に対して,左肺動脈酸素飽和度は97%であり,大動脈造影では左肺動脈へ豊富な体肺側副血管の発達が見られ,左肺動脈造影では左肺動脈血流は逆行性に右肺動脈へ流入していた.診断確定のため症例1と同様の方法により左肺動脈楔入造影を行い,閉鎖した左肺静脈を同定して孤立性左肺静脈閉鎖症と診断した(Fig. 6).左肺静脈近位端と左房との間が離れていたため,左肺静脈再建は困難であった.左肺切除は高侵襲のため,家族と話し合いの末行わず,保存的経過観察とした.8歳頃までは1年に数回程度の喀血を繰り返したものの,以降は喀血の頻度は減少した.現在14歳となり,発達障がいのため特別支援学校への通学を行っているが,予定外の入院はなくなった.

Pediatric Cardiology and Cardiac Surgery 33(4): 318-325 (2017)

Fig. 6 Pulmonary arterial angiography in case 2

a) Left pulmonary artery flow was reversed in the right pulmonary artery. b) Left pulmonary arterial wedge angiography demonstrated the presence of a blind left pulmonary venous confluence (arrow).

症例3

36歳女性.生後4か月から原因不明の肺炎と喀血を繰り返し,肺サルコイドーシスなどを疑われたが,診断確定には至らなかった.36歳のときに胸部単純X線で右肺低形成であることからSchimitar症候群を疑われ当科紹介となった.SpO2 95%,呼吸数16回/分,II音肺動脈成分亢進はなく,呼吸音の減弱や肺雑音は聴取しなかった.胸部X線では右肺容量低下とスリガラス陰影を認めた.心エコー検査では心内奇形は指摘できなかった.99 mTc-MAA肺血流シンチグラフィーで肺血流左右比が右:左=8 : 92と右肺血流の著しい低下を認め,右肺静脈閉鎖を疑い診断確定のために心臓カテーテル検査を施行した.左肺動脈圧=34/11(平均18)mmHg,左肺動脈楔入平均圧=6 mmHgに対して,右肺動脈圧=34/11(平均19)mmHg,右肺動脈楔入平均圧=16 mmHgと軽度肺高血圧と右肺動脈楔入圧上昇を認めた(Table 1).混合静脈血酸素飽和度70%に対して,右肺動脈酸素飽和度は98%,左肺動脈酸素飽和度は75%と上昇しており,大動脈造影では右肺動脈への豊富な体肺側副血管の発達が見られ,右肺動脈は逆行性に左肺動脈へ流入していた.症例1, 2と同様の方法で右肺動脈楔入造影を行い孤立性右肺静脈閉鎖症と診断した.年齢から右肺静脈修復による右肺血流の回復は期待できず,右肺切除を検討したが,高侵襲のため同意が得られず,保存的経過観察とした.診断後10年が経過し,日常的に喀血を繰り返しているが予定外入院はなくなっている.

考察

孤立性片側肺静脈閉鎖症は,他の心内奇形なく片側肺静脈閉鎖を生じる非常に稀な先天異常で,これまでに32例が報告されている1–21).心内奇形合併例を含めると無治療では死亡率50%と高率とされる1)一方,孤立性片側肺静脈閉鎖症では長期生存例の報告も認める3).自験3例と既報32例を含めた計35例の臨床像の要約をTable 2に示す.男16例,女19例であり男女差はなく,また左肺静脈閉鎖15例,右肺静脈閉鎖18例であり左右差もなかった.予後に関しては,35例中死亡6例(17%)で,死亡年齢は4か月~7歳であった.外科治療は13例(37%)で施行され,病側肺切除9例,病側肺静脈再建術4例であった.

Table 2 Clinical characteristics of patients with isolated unilateral pulmonary venous atresia in previous reports
ReferencesAge at diagnosisSexSideSurgeryOutcome (patient’s age)
Pourmoghadam et al.1)Case 19 yearsFRightNoneAlive (15)
Case 212 yearsMRightNoneAlive (30)
Case 313 yearsMRightPneumonectomyAlive (14)
DeMastes-Crabtree et al.11)12 yearsFRightVeno-plastyAlive (12)
Beerman et al.16)10 yearsFLeftNoneAlive (11)
Binet et al.18)4 yearsFRightVeno-plastyAlive
Cabrera et al.5)Case 14 monthsMLeftNoneDeath
Case 25 monthsMLeftNoneDeath
Case 34 yearsMLeftNoneAlive (10)
Cullen et al.6)Case 11 yearMLeftNoneDeath (1)
Case 27 yearsMRightNoneAlive (10)
Toyoda et al.7)3 yearsFLeftVeno-plastyAlive
Kingston et al.8)1 yearMLeftPneumonectomyAlive (3)
Laboux et al.9)7 yearsFRightNoneDeath
Dixit et al.10)Case 17 yearsFRightNoneAlive
Case 23 yearsFRightNoneAlive
Harrison et al.2)27 yearsFLeftPneumonectomyAlive
Nasrallah et al.12)1 yearMRightPneumonectomyAlive
Muñoz et al.13)Case 13 yearsMUnknownNoneAlive
Case 226 yearsFUnknownNoneAlive
Shrivastava et al.14)3 yearsMLeftPneumonectomyDeath (7)
Swischuk et al.15)Case 12 yearsMLeftPneumonectomyAlive (4)
Case 22 yearsFRightNoneAlive
Case 32 yearsMLeftNoneAlive
Heyneman et al.3)Case 125 yearsFLeftPneumonectomyAlive
Case 227 yearsFLeftPneumonectomyAlive (31)
Case 343 yearsFRightNoneAlive
Tissot et al.17)8 monthsMLeftNoneAlive (4)
Savaş et al.4)20 yearsFRightNoneAlive
Reid et al.19)4 yearsFRightPneumonectomyAlive (16)
Argueta et al.20)12 yearsMRightNoneAlive
Shone et al.21)5 monthsMRightNoneDeath (0.7)
Current studyCase 14 yearsFRightVeno-plastyAlive (8)
Case 24 yearsFLeftNoneAlive (14)
Case 336 yearsFRightNoneAlive (46)

孤立性片側肺静脈閉鎖症は先天的な肺静脈発生異常で,肺内リンパ管や気管支静脈が肺循環の流出路としての役割を果たすと考えられ,組織学的に肺内リンパ管拡張や気管支静脈の怒張が認められる1).また鎖骨下動脈,肋間動脈,気管支動脈などから豊富な体肺側副路が発達し,それらの破綻による肺胞内出血から喀血や肺炎を発症すると考えられる.臨床症状は記載のあるもの(24例)で喀血15例,下気道感染症19例,運動耐容能低下6例と多くは幼少期から特徴的な症状を呈していた.それにもかかわらず診断時年齢は生後4か月から43歳と幅広く,発症から診断までに長期間を要した例も少なくなく,本症における確定診断の難しさが示唆される3).胸部単純X線で片側肺の容量低下及びうっ血像を伴う間質性網状陰影を示すが非特異的であり,定型的な心エコー検査での診断は困難なことが多い.自験3例とも発症から診断まで長期間かかっていたが,肺血流シンチでの片肺の血流低下は本症を疑う契機となり,肺動脈楔入造影による診断確定へと進んだ.両側肺動脈が心エコー検査や胸部造影CT検査で描出されているにもかかわらず,肺血流シンチグラフィーでの片側肺血流が著しく低下しているときは本症を疑い積極的に肺動脈楔入造影を行って閉鎖肺静脈を確認し早期診断に努めるべきである20).早期診断が重要である一方で,これまでの報告によると,1歳以下で診断された7例中4例(57%)が死亡していたのに対して5, 6, 21),1歳以上で診断された28例においては死亡2例(7%)であり2, 14),早期に診断に至る例の予後は不良である可能性があった.死亡例はいずれも乳児期より喀血や肺炎を認めており,またその死因は下気道感染によるものであり,乳児期より重篤な喀血や肺炎症状を認め早期診断される例は重症で予後不良と認識することが重要と考えられた.また,通常一側肺循環が障害されても肺動脈圧は上昇しないが22),体肺側副血管の発達による高左右短絡や,健側の肺血管閉塞性病変合併した場合,肺高血圧症となりうる23).肺高血圧合併も予後不良因子と考えられる.

これまでの報告のうち外科治療を施行した13例において,病側肺切除9例では死亡1例(11%)で,病側肺静脈再建術4例では死亡0例であった.無治療22例における死亡は5例(23%)であり,無治療例に比して外科治療例の死亡率は低かった.肺動脈楔入造影で閉鎖した肺静脈形態を確認することは外科治療を検討する際に重要で,閉鎖肺静脈腔が左房に近接していれば,肺静脈再建を検討してもよいと考える.しかし年長児や成人例では,病側肺静脈の中膜肥厚や内膜線維化,血管内腔の狭小化などの不可逆的肺血管病変が進行しているため肺静脈再建の効果が得られない場合もある1, 15).肺静脈再建により病側肺血流の回復が期待できる年齢は不明だが,これまでの肺静脈再建施行例の報告からすると7, 11, 18),少なくとも幼児期までは肺静脈再建の効果が期待できると考えられる.また,直接的な肺静脈への吻合操作は術後肺静脈狭窄再発の危険があるため,その予防に私たちはSutureless法が有効であることを呈示した.Sutureless法は肺静脈壁組織への直接的侵襲や,肺静脈の屈曲変形を来さずに修復できるという利点がある24, 25).ただし今回のように右側肺静脈閉鎖症の場合に適応となり,左側肺静脈閉鎖症の場合にはPacificoらが報告する肺静脈と左心耳を吻合する方法で良好な結果を得た報告もある7, 26).閉鎖肺静脈腔が左房に近接していない場合や年長者で肺血管の不可逆的変化が進み肺静脈再建による肺血流の回復が期待されない例では病側肺全摘出が考慮されるが,手術侵襲の大きさや上に述べたように無治療長期生存例も存在することから適応は難しい.個々の症例に応じて肺高血圧症合併の有無,側副血管の発達の程度とそれに関連した喀血症状の程度,運動耐容能など日常生活への支障の程度,年齢などを多角的に判断して手術適応を判断することが肝要である.

本症における肺静脈閉鎖は限局的な狭窄性変化や,隆起性病変,膜性閉鎖など多様な形態の報告があり,病理学的には肺静脈中膜肥厚や内膜の線維化,心筋細胞の迷入が見られ,後天性肺静脈閉鎖で見られるような炎症所見は見られない1, 15, 25).自験例でも閉鎖肺静脈の病理組織像は内膜及び中膜の線維性肥厚と筋原性組織の迷入が見られた.また興味深いことに,肺動脈楔入造影で強制造影された右肺静脈閉鎖端は心周期に合わせて収縮していた.このことは閉鎖した肺静脈側に心筋組織の一部が迷入していることを示唆していた.発生学的に,共通肺静脈腔が左房原基に吸収される過程で早期に途絶した場合は両側肺静脈閉鎖となるが肺静脈側への左房筋の迷入は見られないことから13, 16, 18),両側肺静脈閉鎖とは異なる発生機序であると考えられた.また肺静脈修復術に際して,肺静脈の形態に加えてこのような動的な特徴を踏まえて修復することも重要と考えられた.

結語

孤立性片側肺静脈閉鎖の3例を報告した.幼少期より反復する喀血や肺炎を呈する場合は,非常に稀な疾患であるが本症を鑑別にあげることが肝要である.肺血流シンチグラフィー検査での片側肺の著しい血流低下は本症を強く疑う所見で,積極的に肺動脈楔入造影で確定診断及び肺静脈の形態診断を進めるのが臨床上重要と考えられる.幼児期までに診断確定でき,かつ閉鎖肺静脈腔が解剖学的に修復可能であれば肺静脈再建は治療選択肢の一つとなる.そして右側肺静脈閉鎖においてはSutureless法は術後肺静脈狭窄を予防する有効な手術方法の一つと考えられる.

利益相反

本論文について開示すべき利益相反(COI)はない.

引用文献References

1) Pourmoghadam KK, Moore JW, Khan M, et al: Congenital unilateral pulmonary venous atresia: Definitive diagnosis and treatment. Pediatr Cardiol 2003; 24: 73–79

2) Harrison JK, Hearne SE, Baker WA, et al: Esophageal varices in association with unilateral pulmonary vein atresia. Cathet Cardiovasc Diagn 1996; 38: 387–392

3) Heyneman LE, Nolan RL, Harrison JK, et al: Congenital unilateral pulmonary vein atresia: Radiologic findings in three adult patients. AJR Am J Roentgenol 2001; 177: 681–685

4) Savaş BŞ, Varan B, Akçay Ş: Right pulmonary venous atresia: A case report and review of literature. Tuberk Toraks 2012; 60: 254–257

5) Cabrera A, Vazquez C, Lekuona I: Isolated atresia of the left pulmonary veins. Int J Cardiol 1985; 7: 298–302

6) Cullen S, Deasy PF, Tempany E, et al: Isolated pulmonary vein atresia. Br Heart J 1990; 63: 350–354

7) Toyoda Y, Kimura M, Nishino T, et al: A case of left pulmonary vein atresia with repeatd hemoptysis of unknown origin. Ped Cardiol Card Surg 2008; 25: 146–149

8) Kingston HM, Patel RG, Watson GH: Unilateral absence or extreme hypoplasia of pulmonary veins. Br Heart J 1983; 49: 148–153

9) Laboux L, Michaud JL, Cornet E: Unilateral atresia of the pulmonary veins. Clinical, hemodynamic and angiographic signs apropos of a case. Arch Mal Coeur Vaiss 1972; 65: 1155–1158

10) Dixit R, Kumar J, Chowdhury V, et al: Case report: Isolated unilateral pulmonary vein atresia diagnosed on 128-slice multidetector CT. Indian J Radiol Imaging 2011; 21: 253–256

11) DeMastes-Crabtree CS, Kim E, Morton RL: Unilateral pulmonary vein atresia: A rare case of hemoptysis. Respir Med Case Rep 2015; 15: 83–84

12) Nasrallah AT, Mullins CE, Singer D, et al: Unilateral pulmonary vein atresia. Am J Cardiol 1975; 36: 969–973

13) Artero Muñoz I, Serrano Puche F, Padín Marín MI, et al: Congenital unilateral pulmonary vein atresia: Imaging findings. Radiologia. 2008; 50: 82–85

14) Shrivastava S, Moller JH, Edwards JE: Congenital unilateral pulmonary venous atresia with pulmonary venoocclusive disease in contralateral lung: An unusual association. Pediatr Cardiol 1986; 7: 213–219

15) Swischuk LE, L’Heureux P: Unilateral pulmonary vein atresia. AJR Am J Roentgenol 1980; 135: 667–672

16) Beerman LB, Oh KS, Park SC, et al: Unilateral pulmonary vein atresia: Clinical and radiographic spectrum. Pediatr Cardiol 1983; 4: 105–112

17) Tissot C, Corbelli R, Aggoun Y, et al: Bronchoscopicdiagnosis of asymptomatic unilateral pulmonary vein atresia in an infant. Pediatr Cardiol 2008; 29: 976–979

18) Binet JP, Bouchard F, Langlois J, et al: Unilateral congenital stenosis of the pulmonary veins. J Thorac Cardiovasc Surg 1972; 63: 397–402

19) Reid JM, Jamieson MP, Cowan MD: Unilateral pulmonary vein stenosis. Br Heart J 1986; 55: 599–601

20) Argueta-Morales IR, Garg R, DeCampli WM: Diagnosis and management of congenital right pulmonary venous atresia. Cardiol Young 2009; 19: 648–651

21) Shone JD, Amplatz K, Anderson RC, et al: Congenital stenosis of individual pulmonary veins. Circulation 1962; 26: 574–581

22) Sabiston DC, Durham NC, Wagner HN: The pathophysiology of pulmonary embolism: Relationship to accurate diagnosis and choice of therapy. J Thorac Cardiovasc Surg 1965; 50: 339–356

23) Sade RM, Freed MD, Matthews EC, et al: Stenosis of individual pulmonary veins: Review of the literature and report of a surgical case. J Thorac Cardiovasc Surg 1974; 67: 953–962

24) Najm HK, Caldarone CA, Smallhorn J, et al: A sutureless technique for the relief of pulmonary vein stenosis with the use of in situ pericardium. J Thorac Cardiovasc Surg 1998; 115: 468–470

25) Lacour-Gayet F, Zoghbi J, Serraf AE, et al: Surgical management of progressive pulmonary venous obstruction after repair of total anomalous pulmonary venous connection. J Thorac Cardiovasc Surg 1999; 117: 679–687

26) Pacifico AD, Moller JH, Larson S, et al: Repair of congenital pulmonary venous stenosis with living autologous atrial tissue. J Thorac Cardiovasc Surg 1985; 89: 604–609

This page was created on 2017-07-13T15:46:32.879+09:00
This page was last modified on 2017-08-14T17:16:25.146+09:00


このサイトは(株)国際文献社によって運用されています。