Online ISSN: 2187-2988 Print ISSN: 0911-1794
特定非営利活動法人日本小児循環器学会 Japanese Society of Pediatric Cardiology and Cardiac Surgery
Pediatric Cardiology and Cardiac Surgery 33(1): 50-57 (2017)
doi:10.9794/jspccs.33.50

症例報告Case Report

緑膿菌市中肺炎に敗血症性ショックを合併しVA ECMOで救命したFontan術後の1例Successful Treatment of Pseudomonas aeruginosa Community-acquired Pneumonia and Septic Shock using Venoarterial Extracorporeal Membrane Oxygenation after the Fontan Procedure

山形大学医学部小児科学講座Department of Pediatrics, Yamagata University Faculty of Medicine ◇ Yamagata, Japan

受付日:2016年5月23日Received: May 23, 2016
受理日:2016年11月30日Accepted: November 30, 2016
発行日:2017年1月1日Published: January 1, 2017
HTMLPDFEPUB3

症例は33歳女性.肺動脈閉鎖症,両大血管右室起始症で12歳時にFontan手術を受けた.経過良好でクリニック看護師として就労していた.入院2日前から易疲労感があり,呼吸困難感が増悪したため,入院当日の夜間に山形大学医学部附属病院へ救急搬送された.来院時の意識は概ね清明で,著明な湿性咳嗽を認めた.大葉性肺炎の診断でICUに入室し,循環維持目的にドブタミン,カルペリチドで治療を開始した.数時間でショックになったため容量負荷,ノルアドレナリンで治療を行ったが,不整脈から意識障害をきたし,気管挿管を要した.昇圧剤,容量負荷,ステロイド静注,一酸化窒素吸入に反応しない低血圧が遷延し循環不全に陥ったため,入院3日目にVA ECMOを導入した.ECMO導入後に入院時血液培養,喀痰培養の結果が判明し,緑膿菌市中肺炎,敗血症と診断した.心機能障害は徐々に改善し,敗血症性心筋症と診断した.入院14日目にECMOを離脱し,入院54日目に退院した.退院前頭部CTでは,低酸素や虚血の影響を示唆する所見を認めなかった.本報告は,緑膿菌市中肺炎,敗血症性ショックをきたしたFontan術後症例を救命し得た,初めての報告である.

The patient was a 33-year-old female who had undergone the Fontan procedure at 12 years for pulmonary atresia with a double-outlet right ventricle. She was working as a nurse at a medical office. She noticed general fatigue and dyspnea 2 days prior to admission. Although she took cefcapene pivoxil, she developed dyspnea and was admitted to Yamagata university hospital after a visit to the emergency unit at night. She was alert, and had a severe, productive cough. She was subsequently diagnosed with lobar pneumonia that required intensive care. She progressed to septic shock a few hours after admission. Although treatment for septic shock was initiated, her condition deteriorated because of arrhythmia, and she required mechanical ventilation. Three days after admission, venoarterial extracorporeal membrane oxygenation (VA ECMO) was initiated for circulatory failure, which had been refractory to the escalation of inotropic support, fluid resuscitation, corticosteroids and inhaled nitric oxide. Both blood and sputum cultures revealed the presence of Pseudomonas aeruginosa, and she was diagnosed with P. aeruginosa community-acquired pneumonia and sepsis. With intensive treatment, her cardiac function gradually stabilized, and she was diagnosed with septic cardiomyopathy. She was decannulated from ECMO on day 14 after admission, and was discharged on day 54. Brain CT before discharge revealed no findings of hypoxia or hypoperfusion. This is the first report of the successful treatment of P. aeruginosa community-acquired pneumonia and septic shock using VA ECMO after previous Fontan procedure.

Key words: Fontan; ECMO; septic shock; Pseudomonas aeruginosa; community-acquired pneumonia

はじめに

免疫不全や慢性呼吸器疾患がない患者において,緑膿菌が市中肺炎の起因菌になることは稀である.しかし,緑膿菌市中肺炎を発症した場合,呼吸不全が急速に悪化し,その致死率は高いとされている1).Fontan術後は肺の血管床,肺血管抵抗が,循環の維持に大きな影響を与える.Fontan術後患者が肺炎に罹患した場合は,有効肺血管床の低下,肺血管抵抗の上昇,体静脈圧の上昇が起こり,その結果として,低酸素血症,体血流量の低下が引き起こされる可能性が高い.Fontan術後患者が健常者でも致死率の高い緑膿菌市中肺炎1)を発症した場合,呼吸状態の急激な悪化から,前述したような循環の悪化が引き起こされ,さらに血液凝固異常も影響し,管理に難渋することが予想される.我々が検索しえた範囲では,これまでに緑膿菌市中肺炎を発症したFontan術後患者の報告はなく,救命し得たという症例報告もない.

今回我々は,緑膿菌市中肺炎を発症し,敗血症性ショックに至ったFontan術後症例に対して,venoarterial extracorporeal membrane oxygenation(VA ECMO)を用いた集学的治療を行い救命し得た.これまでに報告のない貴重な症例であり,報告する.

症例

症例

33歳,女性

主訴

呼吸困難

基礎疾患

肺動脈閉鎖症,両大血管右室起始症,遠位型心室中隔欠損症,不完全型房室中隔欠損症,右側大動脈弓

既往歴

左original BTシャント術(日齢16),Fontan手術(lateral tunnel法)(12歳)

出産(妊娠35週4日,胎児子宮内発育遅延のため選択的帝王切開)(29歳)

発症前全身状態,生活歴

クリニック看護師として通常の看護業務をこなし,New York Heart Association心機能分類I度相当.勤務先のクリニックの小児循環器医により不定期にフォローされており,血栓予防のためのアスピリンのほか,軽度から中等度の右側房室弁逆流に対してエナラプリルマレイン酸塩5 mg/日を内服していた.普段のSpO2は室内気で90%前半で,有症状の不整脈は認めなかった.喫煙歴はなく,複数回の公衆浴場利用歴(最終1週間前)があった.

現病歴

入院2日前から易疲労感を自覚した.入院前日体温測定は行わなかったが,倦怠感を認めたため,解熱鎮痛剤と抗生剤(塩酸セフカペンピボキシル)を内服し,就労した.入院当日も就労したが,胸痛,呼吸困難を認めるようになり,夜間に救急車で山形大学医学部附属病院救急外来に搬送された.胸部X線で左上葉の大葉性肺炎を認め,フォンタン術後という基礎疾患に加えて血液検査で腎機能障害,凝固障害も認めたため,状態の悪化,集中治療が必要になる可能性を考慮して,ICUに入室した.

入院時身体所見

身長162 cm,体重59 kg,Japan Coma Scale I-1,体温38.8°C,心拍数128 bpm,血圧99/44 mmHg,呼吸数36/min,SpO2 90%(室内気).湿性咳嗽が著明で,左肺呼吸音は減弱し,左肺野優位に湿性ラ音を聴取した.心雑音や肝腫大,下肢浮腫は認めず,四肢末梢に冷感を認めた.

入院時検査所見

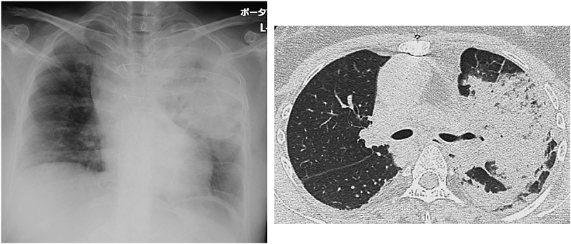
胸部X線,胸部単純CT(Fig. 1)では,左上葉の大葉性肺炎を認めた.肺の基礎疾患を疑う気管支拡張や嚢胞は認めず,胸水貯留は認めなかった.心電図(Fig. 2)は洞調律でST-T変化を認めなかった.心エコー図では,右側房室弁逆流を中等度認めるが入院前と著変なく,心収縮も保たれ壁運動異常は認めなかった.

Pediatric Cardiology and Cardiac Surgery 33(1): 50-57 (2017)

Fig. 1 Chest X-ray and chest CT on admission

Pediatric Cardiology and Cardiac Surgery 33(1): 50-57 (2017)

Fig. 2 Twelve-lead ECG on admission

血液検査(Table 1)では,CRPが29.82 mg/dLと高値であった.クレアチニン2.27 mg/dL,カリウム2.9 mmol/Lと腎機能障害,電解質異常を認めた.BNPは478.6 pg/mLと腎機能障害を考慮しても高値を示した.血小板数は4.6万/µLと減少し,PT-INR 1.81,FDP 22.3 µg/mLと急性期DIC診断基準を満たした.IgG 896 mg/dL,HIV抗体は陰性で,明らかな免疫不全を示唆するデータは認めなかった.細菌学的検査では,鼻腔,喀痰,動静脈血培養から緑膿菌が同定された.

Table 1 Laboratory data on admission
WBC5.22×103/µL
Neut.85.5%
Lymph.10.0%
Mono.3.0%
Baso.1.5%
Hb12.7 g/dL
Ht38.0%
PLT46×103/µL
PT-INR1.81
APTT31.0 sec
Fibrinogen485.0 mg/dL
FDP22.3 µg/mL
D-dimer8.01 µg/mL
ATIII46%
TP5.9 g/dL
Alb2.9 g/dL
T.Bil1.7 mg/dL
D.Bil0.7 mg/dL
I.Bil1.0 mg/dL
AST28 U/L
ALT39 U/L
LDH196 U/L
ChE140 U/L
γGTP53 U/L
CK85 U/L
BUN33 mg/dL
Cre2.27 mg/dL
Na134 mmol/L
K2.9 mmol/L
Cl101 mmol/L
Ca8.6 mg/dL
CRP29.82 mg/dL
Glu97 mg/dL
CK-MB1.0 ng/mL (0.0–3.7)
Troponin I<10 pg/mL (0–26)
BNP478.6 pg/mL
IgG896 mg/dL
IgA124 mg/dL
IgM70 mg/dL
BGA (artery: O2 10 L/min FM)
pH7.409
pCO226.5 mmHg
pO299.0 mmHg
HCO316.4 mmol/L
BE−6.7 mmol/L
Lac4.57 mmol/L

入院後経過(Figs. 4, 5)

ICU入室後,肺炎とそれに伴う潜在的心不全に対して,酸素投与,循環作動薬持続静注(ドブタミン,カルペリチド)を開始した.抗菌薬は,一般的市中肺炎の起因菌を想定し,スルバクタム/アンピシリンを選択した.入院数時間後に体温が40度まで上昇し,接合部頻拍が疑われるnarrow QRS tachycardiaを生じたが,プロカインアミド静注で頓挫した.入院2日目未明には,末梢血管の拡張と共に収縮期血圧が60 mmHg台に低下したため,カルペリチドは中止し,容量負荷,ノルアドレナリン持続静注を開始した.敗血症性ショックと診断し,抗菌薬は,緑膿菌やマイコプラズマも想定して,メロペネム及びアジスロマイシンに変更し,ガンマグロブリンの静注も併用した.一度血圧は上昇し安定したように思われたが,低カルシウム血症に対するカルシウム補充をきっかけに再度接合部頻拍と考えられる180 bpm程度のnarrow QRS tachycardiaが再燃した(Fig. 3).プロカインアミド静注を行ったところ210 bpm台のwide QRS tachycardiaに移行(Fig. 3)したため,電気的除細動を行った.除細動後,再度180 bpm程度のnarrow QRS tachycardiaになり,アミオダロンの持続静注を開始したが,頻拍持続から意識障害が出現し,不穏状態となった.そこで鎮静を行い,気管挿管,人工呼吸管理を開始した.挿管管理後は接合部調律のまま心拍数は120 bpm程度にコントロール可能になったが,挿管時の鎮静と陽圧換気の影響から,右上肢の動脈ラインで収縮期血圧が40 mmHg以下となった.昇圧剤,容量負荷,ステロイド静注,一酸化窒素吸入に不応の低血圧が遷延し,重炭酸の持続静注を行っても酸塩基平衡が保てない状態となり,乳酸値も7.31 mmol/Lまで上昇した(Table 2).そのため,入院3日目未明に,右鼠径動静脈アプローチで,VA ECMOによる循環補助を開始した.ECMO導入の判断の際は,Fontan術後患者でかつ重篤な肺炎からの敗血症,DICを合併した状態であり,治療関連の重篤な合併症,重度の後遺障害を残す可能性をご家族に十分説明した上で,ご家族の意向もうけ,ECMO導入を行った.1.5 L/分の低流量でECMOを導入し,当初は自己の心拍出を認めていた.しかし,経過中自己の心拍出が途絶し,中心静脈圧も上昇した.脱血に問題はなかったが,順行血流を維持できる1.0 L/分までECMO流量を落としたところ,中心静脈圧も低下し,肺循環を維持できた.末梢循環に関しては,採血での酸塩基平衡や乳酸値,尿量などを指標に評価し,低流量でも末梢循環が維持できると判断した.ECMO導入後の心エコー図では,左室短縮率は10%未満に低下していた(Video 1).CPKは入院6日目に最高36,652 U/L(CK-MB 261.0 ng/mL)まで上昇したが,AST, ALTはそれぞれ最高723 U/L, 297 U/Lまでの上昇にとどまった.不整脈や心尖部を中心とした全周性の心収縮低下,心収縮が入院6日目から自然軽快傾向に転じた経過なども考慮して,一過性の敗血症性心筋症と診断した.ECMO導入後に入院時の血液,喀痰培養から緑膿菌が同定されたため,入院3日目から抗菌薬はメロペネム及びシプロフロキサシンに変更した.入院7日目に,大腿動脈送血で上肢SpO2は80%台から70%台に低下し,胸部X線上,一過性に呼吸窮迫症候群の所見を呈した.同時期から心機能が改善傾向に転じていたため,ECMO流量を増量しても自己心拍出が維持でき,ECMO流量増量,rest lungの呼吸器条件への変更で対応が可能であった.心収縮は徐々に改善し,入院11日目には接合部調律から自然に洞調律へ復帰し,血圧も安定した.以降の経過は良好で,入院14日目にECMOを離脱し,入院22日目に人工呼吸器を離脱し,入院54日目に在宅酸素療法を導入して,退院した.退院前胸部X線では,肺炎は改善し,心エコー図では,心収縮も入院前同等に回復していた(Video 2).頭部CTでは,低酸素性虚血性脳症や治療に関連した血栓塞栓症による脳神経障害は認めなかった.治療関連の合併症としては,右鼠径部カテーテル留置のため,同一体位保持による神経圧迫があり,右腓骨神経麻痺をきたした.腓骨神経麻痺による症状は,リハビリの継続で退院時には杖歩行が可能となり,その後外来観察中に独歩可能となった.退院後5か月で在宅酸素療法を中止し,退院6か月後に心臓カテーテル検査を行った.中心静脈圧6 mmHg,平均肺動脈圧6 mmHg,肺血管抵抗0.9 U·m2,心係数3.5 L/min/m2,上行大動脈酸素飽和度98%,肺動静脈瘻なし,体静脈肺静脈短絡は軽度のみと良好な結果であった.その後,職場復帰している.

Pediatric Cardiology and Cardiac Surgery 33(1): 50-57 (2017)

Fig. 3 ECG before intubation

JET: junctional ectopic tachycardia

Pediatric Cardiology and Cardiac Surgery 33(1): 50-57 (2017)

Fig. 4 Clinical course during the acute phase

DOB: dobutamine, hANP: carperitide, DOA: dopamine, NAD: noradrenaline, NTG: nitroglycerin, HDC: hydrocortisone, PSL: prednisolone, AMD: amiodarone, PEEP: positive end-expiratory pressure, NO: nitric oxide, PCPS: percutaneous cardiopulmonary support, JET: junctional ectopic tachycardia, JR: junctional rhythm, PAC: premature atrial contraction, SR: sinus rhythm, DC: cardioversion, SBP: systolic blood pressure, DBP: diastolic blood pressure, CVP: central venous pressure

Pediatric Cardiology and Cardiac Surgery 33(1): 50-57 (2017)

Fig. 5 Clinical course

(A) Antibiotic therapy. (B) Management of respiration, and circulation. (C) Management of DIC and anticoagulation. ABPC/SBT: sulbactam/ampicillin, MEPM: meropenem, CPFX: ciprofloxacin, CAZ: ceftazidime, MINO: minocycline, AZM: azithromycin, VCM: vancomycin, DAP: daptomycin, IVIG: intravenous immunoglobulin, EM: erythromycin, NAD: noradrenaline, DOA: dopamine, DOB: dobutamine, hANP: carperitide, NTG: nitroglycerin, AMD: amiodarone, HDC: hydrocortisone, PSL: prednisolone, NO: nitric oxide, PCPS: percutaneous cardiopulmonary support, SBP: systolic blood pressure, DBP: diastolic blood pressure, DIC: disseminated intravascular coagulation, rTM: thrombomodulin alpha, HAPT: haptoglobin, Alb: albumin, FFP: fresh frozen plasma, PC: platelet concentrate, RCC: red cell concentrate, DD: D-dimer

Table 2 Laboratory data 3 days after admission
WBC4.88×103/µL
Neut.87.3%
Lymph.8.0%
Mono.3.9%
Baso.0.8%
Hb11.1 g/dL
Ht32.2%
PLT19×103/µL
PT-INR1.40
APTT60.2 sec
Fibrinogen546.0 mg/dL
FDP47.6 µg/mL
D-dimer22.36 µg/mL
TP5.1 g/dL
Alb2.3 g/dL
T.Bil2.0 mg/dL
AST97 U/L
ALT40 U/L
LDH526 U/L
γGTP32 U/L
CK2810 U/L
BUN52 mg/dL
Cre2.43 mg/dL
Na141 mmol/L
K3.0 mmol/L
Cl100 mmol/L
Ca6.8 mg/dL
CRP32.58 mg/dL
CK-MB24.5 ng/mL (0.0–3.7)
Troponin I30 pg/mL (0–26)
BGA (artery: FiO2 1.0)
pH7.209
pCO241.7 mmHg
pO271.2 mmHg
HCO316.3 mmol/L
BE−11.1 mmol/L
Lac7.31 mmol/L

考察

Fontan手術はFontanらにより1971年に初めて施行された右心バイパス手術である2).近年Fontan手術は,手術方法や周術期管理の進歩もあり,単心室循環の機能的修復術として確立している.Fontan術後患者は心不全,不整脈,血栓症,蛋白漏出性胃腸症,肝障害など遠隔期に多くの問題を抱えるほか,肺循環を担う心室がないため,肺炎罹患時などは肺循環障害をきたしやすく,静脈還流の悪化から体循環への影響も大きくなる.Fontan術後患者の死亡原因は,心不全,不整脈などによる心臓突然死が多いとされている3)が,今後Fontan術後患者の増加,心不全管理の進歩によって,本症例のような重症肺炎症例も増加してくる可能性がある.

緑膿菌市中肺炎の頻度は市中肺炎の0.1~2.0%とされ4),健常者に発症することは稀である.しかし,発症した場合,進行が早くしばしば致死的になることが知られている1).無脾症などの免疫不全素因のないFontan術後患者が,緑膿菌感染のハイリスクであるという報告はない.本症例における緑膿菌感染リスクは,クリニック勤務であること,公衆浴場を日頃から利用していたことが挙げられる5).近年,緑膿菌市中肺炎にvenovenous ECMOや血漿交換を用いた集学的治療を行って,救命しえたという症例報告がなされている6, 7).しかし,Fontan術後に緑膿菌市中肺炎をきたし,ECMOで救命し得た症例は報告がない.特に本症例は,敗血症性ショック,敗血症性心筋症を合併し,VA ECMOを導入した重症例であり,報告意義が高い.

本症例を救命し得たポイントは,早期の適切な抗菌療法への切り替えと,VA ECMOの導入である.抗菌療法は,敗血症性ショックになった時点で,抗菌薬開始から24時間経過していなかったが,抗緑膿菌活性をもつ薬剤に変更し,ガンマグロブリンの補充も開始した.また緑膿菌判明後には,緑膿菌の耐性獲得能力の高さを考慮し,抗緑膿菌活性のある薬剤を2剤に変更した(Fig. 5A).

ECMOの管理に関しては,出血や血栓のリスクは通常より高いと考え,凝固因子は正常に近づけるように積極的補充を行い,血小板も3万/µL以上を保つように補充した.抗凝固療法は,ECMO管理中,活性化全血凝固時間(ACT)200秒程度を目安にヘパリンの持続静注を行ったほか,トロンボモデュリンアルファを併用した.Dダイマーは遠隔期まで高値を示したため,深部静脈血栓等も疑ったが,エコーで明らかな血栓は認めず,ワルファリンカリウム内服のみで改善した(Fig. 5C).

ECMO流量は当初高流量を目指したが,順行血流を維持し心腔内血栓を予防するために,順行血流を維持できる最高流量である1.0 L/分の低流量に設定した.低流量でのECMO補助になったため,呼吸器条件はrest lungの設定にできず,高濃度酸素や一酸化窒素の吸入を併用しながら,高い陽圧呼吸管理をしなければならなかった.入院6日目に,胸部X線上,一過性に呼吸窮迫症候群の所見を呈したが,同時期から心機能が改善傾向に転じていたため,順行血流を維持しながらECMO流量増量,呼吸器条件の変更が可能となり,ECMOの補助は循環中心から呼吸中心にシフトできた(Fig. 4).大腿動脈送血時の順行血流維持の評価は,正常な循環の場合では,上下肢のSpO2の値や動脈圧モニターの脈圧で確認できるが,Fontan循環の場合は,自己心拍出の血液は肺静脈血に冠静脈血,体静脈肺静脈短絡の血流が混合されているため,上肢SpO2の変化の解釈に注意を要する.また今回下大静脈からの脱血を行ったが,ECMOの使用が長期化した場合には肺動静脈瘻の発生も考慮しなければならない.また開窓Fontanの場合には,脱血管の位置や左心系血栓に,より注意が必要になる.前述のごとく,Fontan術後患者のVA ECMO管理には特有の注意点がある.今回の症例は長期化せず,開窓もないFontan循環ではあったが,二心室循環患者と大差なくECMOを管理し得た.本症例のようなFontan術後重症肺炎,敗血症性ショック症例に対しても,VA ECMOを含めた集学的治療を積極的に行うべきである.

結語

致死率の高い緑膿菌市中肺炎を発症したFontan術後患者を救命した.Fontan術後患者が敗血症性ショックに陥った場合,病態に応じた早急な治療方針の切り替えが重要であり,補助循環を含めた集学的治療を適切に行うことで,脳に後遺症を残さず救命しうる.

利益相反

本論文について開示すべき利益相反(COI)はない.

付記

この論文の電子版にて動画を配信している.

This page was created on 2016-12-20T15:47:36.604+09:00
This page was last modified on 2017-02-06T09:47:31.263+09:00


このサイトは(株)国際文献社によって運用されています。