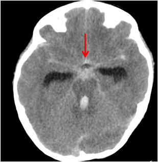
肺動静脈瘻を契機に発見され,脳脊髄動静脈瘻の破裂により死亡した遺伝性出血性末梢血管拡張症の小児2例Hereditary Hemorrhagic Telangiectasia Patients Detected by Pulmonary Arteriovenous Malformations: Two Pediatric Death Cases from Rupture of Cerebral and Spinal Arteriovenous Malformations
兵庫県立こども病院循環器科Department of Cardiology, Kobe Children’s Hospital ◇ Hyogo, Japan





