Online ISSN: 2187-2988 Print ISSN: 0911-1794
特定非営利活動法人日本小児循環器学会 Japanese Society of Pediatric Cardiology and Cardiac Surgery
Pediatric Cardiology and Cardiac Surgery 34(4): 215-221 (2018)
doi:10.9794/jspccs.34.215

症例報告Case Report

右室圧負荷は僧帽弁のtetheringを増悪させる内科的加療のみで軽快した重症僧帽弁狭窄兼閉鎖不全の1乳児例の考察Right Ventricle Pressure Overload Induces Tethering of the Mitral Valve: The Case Report of a Neonate with Congenital Mitral Valve Dysplasia

1徳島大学病院小児科Department of Pediatrics, Tokushima University Hospital ◇ Tokushima, Japan

2徳島県立中央病院小児科Department of Pediatrics, Tokushima Prefectural Central Hospital ◇ Tokushima, Japan

受付日:2018年6月13日Received: June 13, 2018
受理日:2018年11月5日Accepted: November 5, 2018
発行日:2018年12月20日Published: December 20, 2018
HTMLPDFEPUB3

先天性僧帽弁異形成症による僧帽弁狭窄兼閉鎖不全(MSR)は,通常外科的弁形成術が必要であり,術後の予後不良な疾患である.我々は内科的加療のみで軽快した乳児例を経験した.症例は日齢22の女児で,心雑音を契機に重度のMSRおよびoversystemicな肺高血圧(PH)と診断された.僧帽弁形成術も念頭に置き,High flow nasal cannula,利尿剤,ジギタリス製剤による治療を開始したところ,徐々にMSR,PH,呼吸循環動態は安定し,内服薬のみで退院が可能となった.成人では左室拡大に伴うtetheringのためにMR,MSRを呈する病態が報告されているが,本症例では元来存在した先天的僧帽弁異形成に加え,生理的・病的PHによる右室圧上昇に伴う左室の変形,乳頭筋の外側偏位,僧帽弁前後径の短縮によって僧帽弁のtetheringが増悪した結果,重度のMSRを呈していたと考えた.乳児期早期の僧帽弁手術適応を適切に診断するために,先天性僧帽弁異形成における器質的問題と機能的問題を鑑別する必要があると考えた.

Mitral stenosis and regurgitation (MSR) induced by congenital mitral valve dysplasia generally necessitates surgical repair or valve replacement. Here we report the case of a female infant diagnosed with congenital MSR that improved with pharmacotherapy alone and without a mitral valve surgery. The patient was a 22-day-old girl diagnosed with severe MSR accompanied with over-systemic pulmonary hypertension (PH). She was treated with respiratory support using a high-flow nasal cannula; diuretics and digitalis were also administered. Unexpectedly, the patient’s MSR and PH alleviated, and surgery was avoided. Tethering of the mitral valve induced by left ventricular dilation is known to result in secondary mitral regurgitation in adult ischemic heart disease. We speculated that the underlying mechanisms of MSR in this case: were due to elevation of the right ventricular pressure caused by physiological and pathological PH, which is a result of papillary muscle displacement and tethering of the mitral valve. We consider this the reason for the appearance of MSR on admission. Differentiating functional MSR from organic MSR is crucial while making decisions regarding surgery.

Key words: congenital mitral valve dysplasia; mitral stenosis; mitral regurgitation; tethering; pulmonary hypertension

はじめに

新生児期・乳児期早期に発症する僧帽弁狭窄兼閉鎖不全(MSR)は,多くが先天性心内奇形に合併し,孤発性先天性僧帽弁狭窄兼閉鎖不全は全先天性心疾患の約0.4%と稀である1).単独の先天性僧帽弁逆流兼閉鎖不全は,先天的な僧帽弁の異形成に起因することが多く,外科的修復術なしでは重篤な予後をたどる2, 3)

僧帽弁は,弁輪,弁尖,腱索,乳頭筋によって構成される.先天性僧帽弁異形成は,弁尖の異常や交連癒合の他,腱索短縮や腱索断裂,パラシュート僧帽弁,ハンモック弁などに代表される乳頭筋異常など弁下組織の異常も合併していることが多い4).そのため,弁形成術は複雑な手技が必要とされ,弁置換術も人工弁と弁輪サイズの問題から,新生児期・乳児期早期の僧帽弁修復術はいまだ十分な治療成績が得られていない5–7)

今回,我々は,内科的加療のみで軽快した重症の僧帽弁狭窄兼閉鎖不全の一乳児例を経験した.通常,外科的治療が必要とされる新生児・乳児期早期の僧帽弁狭窄兼閉鎖不全の改善症例から,僧帽弁異形成の器質的要素以外の機能的な僧帽弁狭窄(MS),閉鎖不全(MR)の増悪要素が存在していたと考え,増悪・軽快した機序を考察する.

症例

症例

日齢22,女児

周産期歴

妊娠経過には異常を認めず,胎児期には異常は指摘されていなかった.在胎37週0日,体重3,022 gで出生した.Apgar scoreは1分値7点,5分値8点であった.新生児黄疸のため光線療法を施行したが,全身状態は良好で日齢13に自宅退院した.

現病歴

日齢22に感冒症状および哺乳不良を認めたため,近医小児科を受診した.その際に,心雑音を指摘され,総合病院に紹介となり,心臓超音波検査で重度の僧帽弁狭窄,閉鎖不全を認めたため,同日に当院に転院となった.

入院時現症

身長50.4 cm,体重3,456 gと発育は良好であった.意識清明,HR 156 bpm,RR 79 bpm,BP 76/46 mmHg,SpO2 92%(室内気)と軽度の低下を認めた.頻呼吸・陥没呼吸が著明であった.胸骨左縁第3肋間にLevine II/VIの収縮期雑音およびLevine II/VIの拡張期雑音を聴取した.肝臓は2 cm触知した.四肢は冷感が著明であり,Capillary refilling time>2秒と末梢循環不全の状態であった.

入院時検査

胸部レントゲンは心胸郭比69%と著明な心拡大および肺うっ血を認めた.12誘導心電図は正常洞調律,右軸偏位および右室肥大の所見を呈していた(Fig. 1).血液検査では,BNPが2544.8 pg/mLと著明な上昇を認めた(Table 1).RSウイルス検査は前医で陰性であった.

Pediatric Cardiology and Cardiac Surgery 34(4): 215-221 (2018)

Fig. 1 Chest X-ray (A) and 12-lead electrocardiogram (B) on admission

Table 1 Blood examination
WBC10.5×103/µLBUN11 mg/dLpH7.405
RBC399×104/µLCr0.27 mg/dLpCO248.7 mmHg
Hb13.2 g/dLNA136 mEq/LBE29.8 mmol/L
PLT38.0×104/µLK5.2 mEq/LHCO329.8 mmol/L
AST22 IU/LCl99 mEq/LLactate1.7 mmol/L
ALT9 IU/LCRP<0.05 mg/dL
LDH270 IU/LBNP2544.8 pg/mL
TP5.1 g/dL
ALB3.1 g/dL

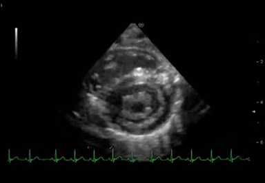
心臓波超音波検査を施行したところ,左室は右室に圧排され狭小化(左室拡張末期径=17.2 mm)しており,高い右室圧が示唆された.moderate-severe MRを認め,MSに関しては,左室流入血流はE peak velocity 2.26 m/secと加速し,mean PGは8.4 mmHgと高値であった.重症MSRを認め,三尖弁逆流圧格差(TRPG)は69 mmHgと高値で,oversystemic PHの状態であった(Fig. 2, Movie 1).

Pediatric Cardiology and Cardiac Surgery 34(4): 215-221 (2018)

Fig. 2 Echocardiographic evaluation on admission

A) Left ventricular (LV) short-axis view. B) Moderate to severe mitral regurgitation (MR). C) Transmitral E peak velocity is measured as 2.26 m/s. D) Tricuspid regurgitation pressure gradient (TRPG) is 69 mmHg. E) Mitral valve leaflet is thickened and chordae tendineae are shortened.

Pediatric Cardiology and Cardiac Surgery 34(4): 215-221 (2018)

Movie 1

僧帽弁を観察したところ,僧帽弁尖は前尖,後尖ともに肥厚し,エコー輝度の上昇を認めた.また腱索が短く,そのためにtetheringが生じ,coaptationが不良であった(coaptation height: 2.7 mm, coaptation depth: 6.6 mm)(Table 2, Movie 2).動脈管は閉鎖しており,血行動態に影響はなかった.

Table 2 Measurement of left ventricular performance and mitral valve tethering during treatment
Age (days)225167
LVDd (mm)17.219.321.0
LVDs (mm)7.410.511.5
TRGrademoderatetrivial
TRPG (mmHg)69
MRGradeseveremoderatemild
Vena contracta (mm)3.52.21.6
MSGradeseveremoderatemild
E-wave peak velocity (m/s)2.261.771.50
Mean PG (mmHg)8.46.7
Mitral valve
Horizontal dimensions (mm)11.016.013.0
Vertical dimension (mm)4.49.010.0
Distance between papillary muscle (mm)16.617.714.8
Coaptation depth (mm)6.62.22.1
Coaptation height (mm)2.73.35.5
LVDd, left ventricular end-diastolic dimension; LVDs, left ventricular end-systolic dimension; PG, pressure gradient; TRPG, tricuspid regurgitation pressure gradient. The anteroposterior or vertical dimension and side-to-side or horizontal dimensions are mesured in the short-axis view of their maximal opening at the level of the leaflet tips. Measurement of papillary muscle distance, defined as the distance between the tips of the papillary muscles at the end of systole, was measured on the left ventricular short axis view. Measurement of mitral valve coaptation depth, defined as the distance between the valvular annulus plane and leaflet coaptation was assessed from the apical four chamber view. The coaptation height was defined as the length between the free edge of the leaflet and the anterior and posterior lobes to left atrial surface level at end-systole.
Pediatric Cardiology and Cardiac Surgery 34(4): 215-221 (2018)

Movie 2

治療経過

上記の検査より先天性僧帽弁異形成に伴う重症の先天性僧帽弁狭窄兼逆流症と診断した.準緊急的に弁形成術もしくは弁置換術が必要と考えたが,日齢22,体重3,456 gと月齢も体格も小さいため,外科的手術のリスクが非常に高いと考え,内科的コントロールを先行した上で,手術待機とした.

肺うっ血による呼吸不全に対してHigh flow nasal cannulaによる呼吸管理を行い,同時に利尿剤(フロセミド,スピロノラクトン)を開始した.High flow nasal cannula(7.0 L/min, FiO2 0.21)を装着したところ,頻呼吸は改善傾向となり,呼吸状態の改善に伴って哺乳が回復し始めた.治療1週間後より心収縮の補助目的にジゴキシンを追加した.その後,後負荷軽減目的にACE阻害剤を併用したが,腎機能低下および低Na血症,高K血症を認めたため,ACE阻害剤は中止した.

High flow nasal cannula,利尿剤,ジゴキシンによる内科的管理を継続したところ,呼吸状態は安定し,活気および哺乳力等の全身状態も改善となった.胸部レントゲンでは,肺うっ血の改善を認め,入院1か月後にHigh flow nasal cannulaを中止することができ,以降は,室内気で管理した.

心臓超音波検査では,治療開始2週間で三尖弁逆流が軽減した.入院時TRPG=69 mmHgとoversystemic PHの状態あったが,徐々にTRPGが低下し,PHの改善が見られた.右室圧の低下に伴って左室は円形となり左室拡張末期径は,17.2 mmから21.0 mmに改善が得られた.左室扁平度は,入院時0.36,治療開始~退院時0.68,退院後フォロー時1.07と改善した8)

その後,MS・MRが改善し,入院1か月で,MRはmoderate,1か月半でmildまで改善した.MSに関してはtransmitral flowはE peak velocityが2.26 m/secから1.50 m/secまで低下し,Pressure half timeの延長も改善した.僧帽弁尖の肥厚や輝度上昇は変化がなかったが,coaptation depthは6.6 mmから2.1 mmまで改善し,coaptation heightも2.7 mmから5.5 mmまで改善した(Table 2, Fig. 3).

Pediatric Cardiology and Cardiac Surgery 34(4): 215-221 (2018)

Fig. 3 Mitral valve measurement in Table 2

準緊急的に手術待機としていたが,利尿剤およびジゴキシンの内服のみでMS・MRおよびPHの改善が得られ,呼吸・循環動態が安定したため,入院から約2か月で自宅退院が可能となった(Fig. 4, Movie 3).

Pediatric Cardiology and Cardiac Surgery 34(4): 215-221 (2018)

Fig. 4 Clinical course of the patient

Pediatric Cardiology and Cardiac Surgery 34(4): 215-221 (2018)

Movie 3

遠隔期評価

1歳6か月で状態把握のための精査目的に入院した.身長78.8 cm,体重9,120 gと発育に問題なく,独歩可能で発語もあり発達にも異常は認めなかった.胸部レントゲンでは心胸郭比は45%と正常で12誘導心電図でも正常洞調律で負荷所見は認めなかった.

心臓超音波検査では,左室流入血流はE peak velocity 1.2 m/secまで改善し,Pressure half timeの延長もなかった.僧帽弁の弁口面積は1.49 cm2と充分な開口でありMSの所見は認めなかった.

僧帽弁前尖の逸脱を認め,MRはmild-moderate残存していたものの,心臓カテーテル検査を施行し,平均肺動脈圧は16 mmHgと肺高血圧は認めず,肺動脈楔入圧は7 mmHgと正常であった.心拍出は熱希釈法でCardiac index=5.12 L/min/m2と正常心拍出であった.そのため,現在も手術適応とは判断せず,内科管理で経過をみている.

考察

孤発性の先天性僧帽弁狭窄兼閉鎖不全は,通常,先天的な僧帽弁異形成に起因する.そのため,通常,外科的弁形成術・弁置換術を要し,これまでに自然寛解した報告例はない.本症例も同様に弁形成術が必要と判断して手術待機としていたが,予想に反して内科的管理のみでMSRの改善が得られた.

本例のMSRの改善からは,先天的な弁の形成異常に加え,何らかの可逆的な病態が存在していたことが推察される.つまり,弁異形成によるMSRだけでなく,二次的・機能的なMSRが併発しており,その機能的MSRの増悪・軽快によって,病態が変化していたのではないかと考えた.

二次的・機能的MRは,成人の弁膜症領域では一般に知られており,虚血性心疾患などによる左室拡大に伴うMRが代表的である9).これは,左室拡大に伴って乳頭筋が外側へ偏位することで生じる.僧帽弁尖接合が心尖方向に偏位し,そのために僧帽弁尖が牽引され,弁尖の可動性を低下させてその閉鎖を妨げるという機序である10).つまり,機能的MRはtetheringが主因と考えられている(Fig. 5A).一方,その虚血性MRに対して弁輪縫縮術を施行すると,僧帽弁の前尖と後尖間の距離が短縮され,弁輪サイズが減少し,後尖の拡張期tetheringとの複合効果で,有意なMS(二次的・機能的MS)が出現することも知られている11, 12)

Pediatric Cardiology and Cardiac Surgery 34(4): 215-221 (2018)

Fig. 5 A) Mitral regurgitation caused by tethering of the mitral valve induced by left ventricular dilation. Reprinted and modified with permission from Ref. 6. B) Proposed mechanism of deteriorating mitral stenosis and regurgitation in this patient

この二次的・機能的MSRの機序に類似した病態が本症例にも存在したと考えた.つまり,生来存在していた先天性僧帽弁異形成に起因する先天性MSRは軽度であり,その上に二次的・機能的MSRが重なることで,MSRが重症化したと推察した.過去に同様の報告はないが,二次的・機能的tetheringによるMRが生じる要因として,生理的および呼吸器感染などに伴う病的な肺高血圧のために右室圧が上昇し,左室が圧排されることで,左室の形態的な変化があったと考えられる.右室圧の上昇,右室容積増大に伴い,心臓全体の拡大と左室の圧排が生じ,1)僧帽弁乳頭筋の外側への偏位,2)乳頭筋間距離の延長が生じて僧帽弁のtetheringが増悪することでMRが重症化した可能性がある.さらに右室圧の上昇に伴う左室の圧排・変形により,3)僧帽弁前後径の短縮が起こり,tetheringとの複合効果でMSが重症化したのではないかと考えた.これはTable 2に示した僧帽弁各計測にも表されているが,高血圧・右室圧上昇に伴う僧帽弁前後径短縮はVertical dimension方向の短縮に影響を与えているものと考えられ,その肺高血圧・右室圧上昇によって左室圧排と乳頭筋外側偏位は,僧帽弁のTetheringを増悪させて,Vertical dimensionおよびHorizontal dimensionをともに小さくしていたと考えられる.この二次的なMSRの増悪によりさらに肺高血圧は進行し,さらにMSRが増悪する,という悪循環である(Fig. 5B).本例において,MSRを増悪させるような高度の肺高血圧の原因は不明な点が多いが,呼吸器感染に加え,生理的肺高血圧の要因があったものと考える.

本例のMSRの改善を考察するに,High flow nasal cannulaによる呼吸管理で肺高血圧が改善され,さらに利尿剤・ジギタリス製剤により肺うっ血・心機能が改善されたこと,経時的に生理的肺高血圧が軽減したことによって,右室圧が低下し,左室の変形が改善することで,僧帽弁乳頭筋偏位の改善が得られ,僧帽弁のtetheringが改善したと考えられる.この機序で二次的に増悪していたMSRが改善し,元来あった先天的な僧帽弁異形成に起因する軽度のMSRのみが残存したものと思われる.

結語

外科的弁形成術を施行せずに内科的な管理のみで軽快した重症僧帽弁狭窄兼閉鎖不全の1乳児例を経験した.1歳6か月現在は,軽度から中等度の僧帽弁閉鎖不全のみで手術は施行せずに内科管理で経過をみている.

肺高血圧・右室圧上昇に伴う乳頭筋の外側偏位は僧帽弁のtetheringを増悪させ,僧帽弁輪径(特に前後径)短縮に起因する僧帽弁狭窄兼逆流を増悪させる可能性がある.新生児期・乳児期早期の僧帽弁形成術の予後は未だ良好とは言えず,手術適応を正確に判断するためにも二次的・機能的な僧帽弁狭窄兼逆流の程度を正確に見極めることは非常に重要である.

利益相反

本論文について開示すべき利益相反(COI)はない.

付記

この論文の電子版にて動画を配信している.

引用文献References

1) 石井陽一郎,池田健太郎,小林 徹,ほか:僧帽弁形成術後に再逆流が生じ,弁置換術を施行した先天性僧帽弁閉鎖不全症の1例.日小児循環器会誌2008; 25: 678–690

2) Selamet Tierney ES, Graham DA, McElhinney DB, et al: Echocardiographic predictors of mitral stenosis-related death or intervention in infants. Am Heart J 2008; 156: 384–390

3) 三宅俊治,篠原 徹,池岡 恵,ほか:小児期僧帽弁逸脱症の臨床像および中期予後.日小児循環器会誌2008; 24: 26–30

4) Baird CW, Marx GR, Borisuk M, et al: Review of congenital mitral valve stenosis: Analysis, repair techniques and outcomes. Cardiovasc Eng Technol 2015; 6: 167–173

5) Myers PO, Baird CW, Del Nido PJ, et al: Neonatal mitral valve repair in biventricular repair, single ventricle palliation, and secondary left ventricular recruitment: Indications, techniques, and mid-term outcomes. Front Surg 2015; 2: 59

6) Stellin G, Padalino M, Milanesi O, et al: Repair of congenital mitral valve dysplasia in infants and children: Is it always possible? Eur J Cardiothorac Surg 2000; 18: 74–82

7) Vida VL, Carrozzini M, Padalino M, et al: Surgical treatment of congenital mitral valve dysplasia. J Card Surg 2016; 31: 352–356

8) 片山博視,高尾篤良,里見元義,ほか:完全大血管転換症における肺動脈絞拒術後の心エコー図による左室圧評価の再検討—左室扁平化度計測の時相を中心に—.日小児循環器会誌1992; 7: 516–520

9) Otsuji Y, Gilon D, Jiang L, et al: Restricted diastolic opening of the mitral leaflets in patients with left ventricular dysfunction: Evidence for increased valve tethering. J Am Coll Cardiol 1998; 32: 398–404

10) 廣岡芳樹,瀬尾由広,大門雅夫,ほか:成人心臓弁膜症の心エコー図診断.Jpn J Med Ultrasonics 2014; 41: 415–454

11) Kubota K, Otsuji Y, Ueno T, et al: Functional mitral stenosis after surgical annuloplasty for ischemic mitral regurgitation: importance of subvalvular tethering in the mechanism and dynamic deterioration during exertion. J Thorac Cardiovasc Surg 2010; 140: 617–623

12) Baumgartner H, Hung J, Bermejo J, et al: American Society of Echocardiography; European Association of Echocardiography. Echocardiographic assessment of valve stenosis: EAE/ASE recommendations for clinical practice. J Am Soc Echocardiogr 2009; 22: 1–23, quiz, 101–102

This page was created on 2018-12-06T16:31:34.281+09:00
This page was last modified on 2018-12-21T18:39:50.000+09:00


このサイトは(株)国際文献社によって運用されています。