Online ISSN: 2187-2988 Print ISSN: 0911-1794
特定非営利活動法人日本小児循環器学会 Japanese Society of Pediatric Cardiology and Cardiac Surgery
Pediatric Cardiology and Cardiac Surgery 35(4): 284-289 (2019)
doi:10.9794/jspccs.35.284

症例報告Case Report

新生児期にエンテロウイルスによる急性心筋炎を発症した1例Neonatal Enterovirus Myocarditis: A Case Report

1東京大学医学部附属病院小児科Department of Pediatrics, The University of Tokyo ◇ Tokyo, Japan

2東京大学大学院医学系研究科発達医科学Department of Developmental Medical Sciences, Graduate School of Medicine, The University of Tokyo ◇ Tokyo, Japan

3国立感染研究所National Institute of Infectious Diseases ◇ Tokyo, Japan

受付日:2018年12月29日Received: December 29, 2018
受理日:2019年6月5日Accepted: June 5, 2019
発行日:2019年11月1日Published: November 1, 2019
HTMLPDFEPUB3

新生児心筋炎は致死率が50%以上と高く,エンテロウイルスは代表的な原因ウイルスとして知られている.今回我々はエンテロウイルスによる新生児期の急性心筋炎の症例を経験したので報告する.患者は40週1日,2,637 gで出生した.日齢2に発熱が出現し,日齢7に過剰心音を認め,心エコー検査では左室駆出率の低下を認めトロポニンTも陽性であったことから急性心筋炎の診断でカテコラミンによる治療が開始となった.日齢9に人工呼吸器管理が開始となった.経時的に呼吸状態・循環動態の改善認め日齢30に前医へ転院となった.日齢10の血液検体からエンテロウイルスが検出され原因ウイルスと考えられた.本症例においては移行抗体を認めず重症化に寄与した可能性が考えられた.心筋炎に対しては支持療法で治療の選択肢が限られていることから感染の予防に努めることが必要である.

Neonatal myocarditis is most often caused by enterovirus and has a high mortality of >50%. We report a case of neonatal enterovirus myocarditis. The patient was born at term with a birth weight of 2,637 g. He developed fever on perinatal day 2, and a gallop rhythm was detected by auscultation on day 7. Based on severe left ventricular dysfunction and elevated troponin T, the diagnosis of acute myocarditis was made. Despite inotropic support, his cardiovascular condition deteriorated. He was transferred to a tertiary medical center on day 9 and was further treated with inotropes and mechanical ventilation. On day 30, he was weaned from hemodynamic support and transferred back to the local hospital. Enterovirus was detected in the blood sample taken on day 10 and was thought to be the cause of myocarditis. The test result for neutralizing antibody was negative. Prevention of viral infection during the perinatal period is crucial, given the severity of the disease, requirement of intensive care, and limited treatment options currently available.

Key words: enterovirus; coxsackievirus B; neonatal myocarditis; transplacental antibody; cytokines

はじめに

急性心筋炎は,心筋の炎症に起因する心筋細胞の傷害により急性の心臓収縮能低下や重症不整脈を生じ,心臓ポンプ機能の低下を来す疾患である.臨床像としては無症状に経過する群から劇症型心筋炎の症例まで幅が広い.原因ウイルスが判明するのは約1/4程度にとどまり,コクサッキーウイルスB群(Cox B),コクサッキーウイルスA群(Cox A),インフルエンザウイルスA, B,エコーウイルス,パルボウイルスB19等で代表的なものである1).今回ウイルス同定に至った新生児期の急性心筋炎の一例についてウイルス学的観点,サイトカイン的な観点から考察を加え報告する.

症例

症例

日齢9 男児

家族歴

特記事項なし

現病歴

周産期の母の感染徴候はなく,在胎40週1日2,637 g経膣分娩で仮死なく出生した.日齢2に発熱が出現し,細菌感染が疑われ日齢6まで抗生剤投与が行われた.日齢7に聴診でギャロップリズムを認め,心臓超音波検査で急性心筋炎が疑われ昇圧剤・利尿剤開始となった.日齢8に呼吸状態の悪化を認め,日齢9に集中管理目的に当科入院となった.

理学所見

身長50 cm,体重2.7 kg,心拍数165 bpm, 血圧59/44 mmHg,経皮的酸素飽和度100%,胸部:呼吸音清,胸骨左縁第2肋間にLevine 2/6の汎収縮期雑音を聴取,腹部:肝脾腫なし,四肢:浮腫なし,末梢冷感なし,橈骨動脈触知良好.

検査所見

日齢9に行った血液検査ではCK 569 U/L,トロポニンI 4813.6 pg/mLと心筋逸脱酵素の上昇ならびにBNP 4131.4 pg/mL, IgM 204 mg/dLを認めた(Table 1).胸部X線写真(Fig. 1)では,心胸郭比67%と心拡大を認めた.12誘導心電図(Fig. 1)では前胸部誘導にST-T変化を認めた.心臓超音波検査では左室拡張末期径26.3 mmと左室拡大を認め,左室駆出分画(LVEF)は33%と著明に低下していた.Moderate MR, moderate TRを認めた.三尖弁輪収縮期移動距離は3 mmと低下しており,三尖弁圧較差(TRPG)59 mmHg程度と高値で肺高血圧症(PH)を認めた.肺動脈狭窄や肺静脈狭窄は認めず,心嚢液は少量貯留していた.

Table 1 Laboratory data
〈CBC〉CK596U/L
WBC6000/µLT-Bil3.7mg/dL
Hb11.2g/dLBUN11.8mg/dL
Plt33.4×104/µLCre0.61mg/dL
〈Biochemical〉Na138mEq/L
TP5.1g/dLK3.8mEq/L
Alb2.6g/dLCl95mEq/L
LD743U/LCRP0.76mg/dL
AST82U/LBNP4231.4pg/mL
ALT14U/Ltroponin I3739.7pg/mL
ALP441U/L
Pediatric Cardiology and Cardiac Surgery 35(4): 284-289 (2019)

Fig. 1 Chest X-ray (A) and Electrocardiography (B) on admission

臨床経過(Fig. 2)

当院来院時,左室拡大,左室収縮能の低下に加えて心筋逸脱酵素の上昇を認め心筋炎と診断した.また,生後早期であることに加えて肺高血圧と右室機能低下を認めたことから新生児遷延性肺高血圧症の合併を考慮した.転院日(日齢9)に気管挿管の上で人工呼吸器管理,一酸化窒素(NO)療法を開始し,ドパミン,ドブタミン,ニトログリセリン,フロセミドを継続した.日齢12に異所性心房頻拍が出現しランジオロール開始し,日齢13にアミオダロンを追加しリズムコントロールを行った.日齢14にミルリノンを開始した.日齢16には心臓超音波検査ではTRPG 31 mmHgまで改善を認め,日齢17にNOは終了した.日齢20に再度異所性心房頻拍が出現しビソプロロール開始となった.日齢25に抜管し,カテコラミンは漸減終了していった.日齢25に抜管し,循環作動薬も漸減していった.退院前の心臓超音波検査ではLVEF 30%,左室拡張末期径22.3 mmと左室拡大や収縮障害は残存していたが,CTR 46%と心拡大は改善していた.日齢30にミルリノン,フロセミド,スピロノラクトン,ビソプロロール継続したまま前医へと転院搬送となった.転院後に不整脈はみられず,退院時にLVEF 59%まで改善していた.日齢54に体重3.8 kgでフロセミド4 mg/day,スピロノラクトン4 mg/day,エナラプリル0.1 mg/day,ビソプロロール0.125 mg/day内服で前医退院となった.

Pediatric Cardiology and Cardiac Surgery 35(4): 284-289 (2019)

Fig. 2 Clinical Course

The curve with triangles represents the values of CK. The curve with squares represents the values of troponin I.AET: atrial ectopic tachycardia

原因ウイルスの分析

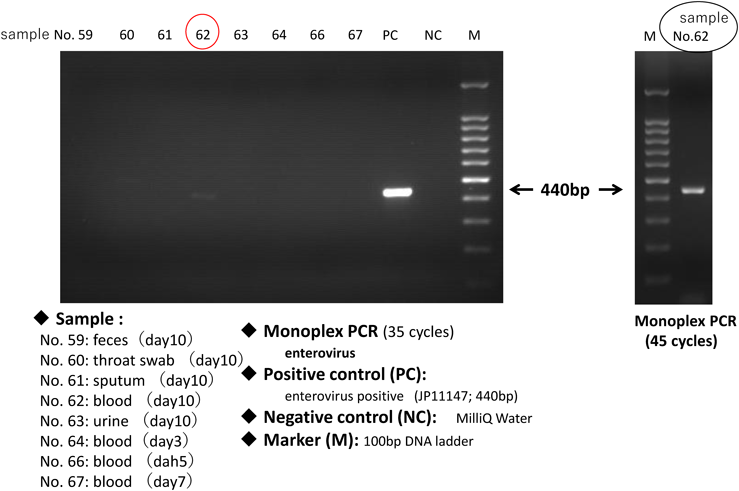
①原因ウイルスの探索(Fig. 3)

急性期の血液,咽頭,便,喀痰,尿検体を用いて乳幼児期に感染する代表的な11種のウイルス(A, B, C群ロタウイルス,アデノウイルス,ノロウイルスI, II群,アストロウイルス,サポウイルス,パレコウイルス,エンテロウイルス,アイチウイルス)をMultiplex(RT-)PCR法にて検索したが,全て陰性であった.次に心筋炎の原因となりうるエンテロウイルスについて,Monoplex RT-PCR法で検索したところ,日齢10血清検体においてエンテロウイルスを検出した.これは通常の35サイクルではFig. 3左の検体62番のレーン(日齢10血清検体)に示されるように増幅産物のバンドが薄かったため,Fig. 3右のように45サイクル反応させることでようやくシークエンス解析を行うことができた.エンテロウイルス5′-Untranslated region(5′-UTR)をターゲットとしている本RT-PCRの増幅産物のシークエンス結果を用いてBLAST検索を行ったところ,相同性が高いものとしてCox B3が上位に挙がり,原因ウイルスであった可能性が高いと考えられた.

Pediatric Cardiology and Cardiac Surgery 35(4): 284-289 (2019)

Fig. 3 Monoplex PCR for Screening Enterovirus

PCR: Polymerase Chain Reaction

②エンテロウイルスの定量

エンテロウイルスが検出された検体を用いてRealtime RT-PCR法を施行した結果,日齢10時点で血清中に存在していたウイルス量は1.3×103 copies/mL of serumと算出された.

③エンテロウイルス血清型の同定

CODEHOP(Consensus-degenerated hybrid oligonucleotide primer)を用いて血清型との関連が強いVP1領域の増幅を試みたが増幅産物は得られなかった.原因としては解析対象の検体中のウイルス量が低かったため(1.3×103 copies/mL)が考えられた.また,5′-UTRの塩基配列に基づき,相同性の高い株をターゲットとしてプライマーを新たにデザインした上で再度増幅を試みるも増幅産物は得られず,血清型の同定には至らなかった.

④中和抗体の有無

日齢10の検体を用いてCox Bに対する中和抗体を検索したが陰性であった.

サイトカイン分析(Table 2)

本症例ではウイルス分析に加えて,急性期のサイトカインプロファイルを分析しそのパターン,経時的な変化を得た(健常新生児を基準としている).IL-2, IL-12, IFN-γなどTh1サイトカインの上昇や,IL-10など抑制性サイトカインの上昇を認めたが,IL-6, IL-8, MCP-1など炎症性サイトカインの著明な上昇は認められなかった.Th1サイトカインについては病勢のピークと思われる日齢9前後にピークを認めた.

Table 2 Cytokine profiles
Day4Day7Day8Day9
IL-215.238.845.8
IL-1233.451.239.7
IFN-γ34.2280286226
IL-1017.7356.3282.9854.25
IL-632.253.368.966.6
IL-822.212.120.917.9
MCP-1386291275108
The value written in bold indicates it is ten times larger than the mean of the control18). The value written in italic indicates it is larger than 1SD of the control.

考察

今回我々は新生児期発症の急性心筋炎の一例を経験し,ウイルスの遺伝子解析の結果からはエンテロウイルスが同定されコクサッキーウイルスBの可能性が高いと考えられた.

新生児期の心筋炎は小児循環器学会学術委員会による1998年1月~2002年6月までの全国258施設を対象に行った調査によれば致死率は50%と高く重篤になりやすいため,早期診断・早期治療が必要である.原因ウイルスについては1990年1月~2000年12月までのNICU,新生児病棟258施設からの新生児心筋炎の文献報告をまとめた調査によればその60~70%がウイルス性であり,エンテロウイルス,アデノウイルスなどが多かったとされている2)

コクサッキーウイルスはピコルナウイルス科エンテロウイス属に属する1本鎖RNAウイルスであり,マウスに対する病原性からAとBおよびエコーウイルスに分類されてきた.コクサッキーウイルスAは手足口病やヘルパンギーナの原因と知られており,コクサッキーウイルスBは感染しても無症状のこともあるが,ときに心筋炎,無菌性髄膜炎,脳炎,膵炎などを引き起こすことがある3).特に新生児のコクサッキーウイルスBの感染は重篤になりやすく,心筋炎や髄膜脳炎を発症したという報告も散見される4).感染経路についても通常は糞口感染が主体であるといわれているが,新生児においては①垂直感染(胎盤を介した胎内感染や産道感染)②水平感染が考えられており感染経路に違いがみられる5).垂直感染の場合,母は無症状であることもあるが60~70%には出生の1週間前に発熱がみられている.また,感染した児が生後2日以内に発症した場合には母からの垂直感染の可能性が高い6).本症例では母体に感染兆候はみられなかったものの,日齢2に発熱がみられたことから垂直感染の可能性が高いと思われる.

原因ウイルスの検出・同定の方法としては一般的に①直接検出する方法(ウイルス分離,ウイルス抗原や核酸の検出)②間接的に検出する方法(抗体価)が知られている.心筋炎の症例に関しては心筋炎の確定診断ならびにウイルス抗原の検出として心内膜生検が重要と考えられるが,全身状態不良な新生児を治療する現場では困難なことが多く,咽頭ぬぐい・尿・血液・糞便からのウイルス分離や抗原検出が根拠となることが多い7).本症例においては病勢のピークと思われる日齢10の血清検体のRT-PCRでエンテロウイルスを検出し,BLAST検索の結果からはコクサッキーウイルスBの可能性が高いと考えられた.血清型の同定のためRT-PCRで得られた検体を用いてVP1領域の増幅を2つの方法で試みたが目的の増幅産物は得られなかった.原因としては検体量が少なく含まれていたウイルス含有量の低さが考えられた.患者の検体量の不足に加えて臍帯血や母体血などの採取できておらず直接的に垂直感染の証明ができていないことも問題としてあげられ,今回の症例のようにウイルスの母子感染が疑われるような場合には母体・患者ともに必要な検体を十分量保存しておくことが重要であると考えられる.

次に母からの移行抗体について考察する.エンテロウイルスに対しては主に液性免疫による免疫応答がなされるが,胎児・新生児においては免疫機能が未成熟であるため抗体産生が起こっておらず母からの移行抗体に大きく依存している8).母からの免疫の移行は①母乳に含まれるIgA,②経胎盤的に輸送されるIgGの2つで達成される.エンテロウイルス感染についても過去の研究で母乳中の抗体が発症予防に寄与しているとの報告がある.エンテロウイルスははじめに腸管内で増殖するため,母乳中に含まれるIgAは直接的に消化管内でウイルスを中和し血液中への進展を阻害するといわれている.一方,経胎盤的に輸送されるIgGは胎児期から生後1年程度まで存在し受動免疫として働き,周産期のエンテロウイルス感染の重症化においても中和抗体がないことがリスクとして知られている10, 11).本症例においても,BLAST検索の結果から原因と考えられたコクサッキーウイルスBに対する中和抗体を日齢10の血清を用いて検査したところ陰性であり,母からの中和抗体がなかったことにより発症・重症化に寄与した可能性が考えられた.近年では先進国で特に衛生環境の改善から様々なウイルスへの暴露の機会も減少したことで,特定のウイルスに対する中和抗体の保有率の減少も報告されている12).本邦における研究としては1994~1995年の小児(0~9歳)と妊婦を対象にコクサッキーウイルスB1, 3, 4, 5, 6型(以下CB1, CB3, CB4, CB5, CB6)に対する中和抗体の陽性率を調べた藤本らによる研究があり,これによれば妊婦はCB1(44%),CB3(56%),CB4(82%),CB5(55%),CB6(6%)で小児はCB1(9%),CB3(34%),CB4(47%),CB5(10%),CB6(1%)と妊婦の抗体保有率の低さが指摘され,移行抗体の欠如ならびに周産期の妊婦への感染のリスクから新生児期の重症感染が懸念される結果であった13).エンテロウイルスに対する抗体保有率を調査した研究は多くなく,本邦における追試を待ちたい.

新生児期の重症なエンテロウイルス感染や小児の急性期心筋炎に対してこれまでしばしば免疫グロブリンが用いられているがその有効性については定まったものはなく14, 15),本症例でも免疫グロブリンは用いず心不全治療がその治療の主体であった.非ポリオエンテロウイルスに対するワクチンや治療はFDAに認可されているものはなく,徹底した手洗い,汚染された物の洗浄,食器の共有を避けるといった感染制御が水平感染を予防する上で有効である.特に重症化しやすい新生児期においてはこれらの実践が求められる16)

最後に,本症例では新生児期の急性心筋炎の急性期のサイトカインの推移を得ることに成功した.IL-2, IL-12, IFNγなどのTh1サイトカイン,IL-10(抑制性サイトカイン)の上昇を認め,病勢にほぼ一致した動態をとり病勢のピークと思われる日齢9前後にサイトカインの上昇もピークに達し,細菌感染で上昇するIL-6, IL-8などの炎症性サイトカインの上昇は軽度であった.Th1サイトカインはウイルス感染で主に上昇するサイトカインであり,サイトカインプロファイルも診断に矛盾しないパターンをとっていた.また,モデルマウスの研究でもTh1サイトカインが自己免疫学的な機序で心筋炎の発症に寄与している可能性が推定されており,本症例においてもそれを支持する結果が得られた17).モデルマウスを除いての心筋炎のサイトカイン推移を調べた研究は少なく今後のデータの蓄積が望まれる.

研究の限界

本症例では血液のウイルスPCRでウイルス同定に至ったが,血清型の同定は検体量不足によりできなかった.また,本症例ではウイルス感染を示唆するIgMの上昇を認めたが,特異的IgG抗体価のペア血清での上昇は確認できなかった.

今回新生児心筋炎の急性期のサイトカインプロフィールを得ることができたが,慢性期のプロフィールについては検討していない.慢性期の病型の病態把握のためにも今後慢性期のプロフィールの解析も行うことが望ましいと思われる.

結語

今回,新生児期にエンテロウイスの垂直感染が原因と考えられる急性心筋炎の症例を経験した.母からの移行抗体の検出がなかったことが今回重症化に寄与した可能性が考えられた.新生児期の心筋炎は重症化しやすく,早期に診断して心不全管理や不整脈治療などを含む集中治療のセッティングでの加療が必要である.また治療については心不全治療をのぞいて有効性の定まった治療はないことからも特に周産期の感染予防が重要であると思われる.

謝辞Acknowledgments

本症例のサイトカイン分析を行っていただきました東京大学医学部付属病院小児・新生児集中治療部高橋尚人先生に深謝いたします.本研究の一部は,AMEDの課題番号JP 18fk0108004j0303の支援を受けた.

利益相反

本論文について,開示すべき利益相反(COI)はない.

引用文献References

1) 佐地 勉,小川 潔,中川雅生,ほか:小児期急性・劇症心筋炎の診断と治療の指針.日小児循環器会誌2006; 22: 514–524

2) 佐地 勉:新生児の急性心筋炎—診断と治療—.周産期医学2005; 35: 1096–1100

3) Jaïdane H, Halouani A, Jmii H, et al: Coxsackievirus B4 vertical transmission in a murine model. Virol J 2017; 14: 16

4) Javett SN, Heymann S, Mundel B, et al: Myocarditis in the newborn infant: A study of an outbreak associated with Coxsackie group B virus infection in a maternity home in Johannesburg. J Pediatr 1956; 48: 1–22

5) Bryant PA, Tingay D, Dargaville PA, et al: Neonatal coxsackie B virus infection: A treatable disease? Eur J Pediatr 2004; 163: 223–228

6) Modlin JF: Coxsackieviruses, echoviruses, and newer enteroviruses, in Principles and Practice of Infectious Diseases. 6th ed., London, Churchill Livingstone, 2005, pp2148 –2161

7) 西海直子,村井竜太郎,安部治郎,ほか:コクサッキーB5による新生児心筋炎の1例.小児科臨床2012; 65: 1045–1049

8) Juhela S, Hyöty H, Lönnrot M, et al: Enterovirus infections and enterovirus specific T-cell responses in infancy. J Med Virol 1998; 54: 226–232

9) Sadeharju K, Knip M, Virtanen SM, et al: Finnish TRIGR Study Group: Maternal antibodies in breast milk protect the child from enterovirus infections. Pediatr 2007; 119: 941–946

10) Abzug MJ: Presentation, diagnosis, and management of enterovirus infections in neonates. Paediatr Drugs 2004; 6: 1–10

11) Englund J, Glezen WP, Piedra PA: Maternal immunization against viral disease. Vaccine 1998; 16: 1456–1463

12) Rolf M, Zinkernagel MD: Maternal antibodies, childhood infections, and autoimmune diseases. N Engl J Med 2001; 345: 1331–1335

13) 藤本嗣人,近平雅嗣,西尾治:コクサッキーB群ウイルスに対する小児および妊婦の抗体保有調査.臨床とウイルス2003; 31: 72

14) Abzgu MJ, Keyserling HL, Lee ML, et al: Neonatal enterovirus infection: Virology, serology, and effects of intravenous immune globulin. Clin Infect Dis 1995; 20: 1201–1206

15) McNamara DM, Rosenblum WD, Janosko KM, et al: Intravenous immune globulin in the therapy of myocarditis and acute cardiomyopathy. Ciruculation 1997; 95: 2476–2478

16) Wikswo ME, Khetsuriani N, Fowlkes AL, et al: Increased activity of Coxsackievirus B1 strains associated with severe disease among young infants in the United States, 2007‒2008. Clin Infect Dis 2009; 49: e44–e51

17) Rose NR: Critical cytokine pathways to cardiac inflammation. J Interferon Cytokine Res 2011; 31: 705–710

18) Suzuki Y, Takahashi N, Yada Y, et al: Hemophagocytic lymphohistiocytosis in a newborn infant born to a mother with Sjögren syndrome antibodies. J Perinatol 2013; 33: 569–571

This page was created on 2019-11-21T17:04:27.794+09:00
This page was last modified on 2019-12-17T13:29:36.000+09:00


このサイトは(株)国際文献社によって運用されています。