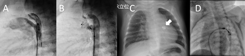
新生児・乳児早期の症候性動脈管開存症に対するカテーテル治療の有効性と安全性Transcatheter Closure in Symptomatic Neonates and Young Infants with Patent Ductus Arteriosus
1 独立行政法人地域医療機能推進機構 九州病院小児科Department of Pediatrics, Kyushu Hospital, Community Healthcare Organization ◇ Fukuoka, Japan
2 独立行政法人地域医療機能推進機構 九州病院心臓血管外科Cardiovascular Surgery, Kyushu Hospital, Community Healthcare Organization ◇ Fukuoka, Japan
3 大分県立病院小児科Department of Pediatrics, Oita Prefectural Hospital ◇ Oita, Japan
4 産業医科大学病院小児科Department of Pediatrics, Occupational and Environmental Health University Hospital ◇ Fukuoka, Japan
5 独立行政法人国立病院機構 小倉病院小児科Department of Pediatrics, Kokura Medical Center ◇ Fukuoka, Japan




