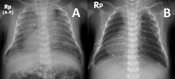
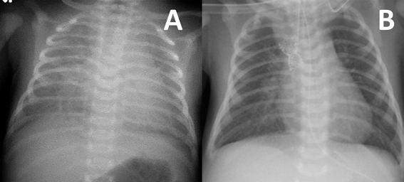
総肺静脈還流異常を合併した垂直静脈狭窄に対するステント留置中のバルーンエントラップメントEntrapment of a Balloon Catheter during Stent Implantation for Vertical Venous Stenosis in Two Neonates with Single Ventricle and Total Anomalous Pulmonary Venous Connection
1 独立行政法人地域医療機能推進機構(JCHO)九州病院小児科Department of Pediatrics, Japan Community Healthcare Organization, Kyushu Hospital ◇ Fukuoka, Japan
2 独立行政法人地域医療機能推進機構(JCHO)九州病院心臓血管外科Department of Cardiovascular Surgery, Japan Community Healthcare Organization, Kyushu Hospital ◇ Fukuoka, Japan




