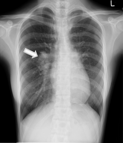
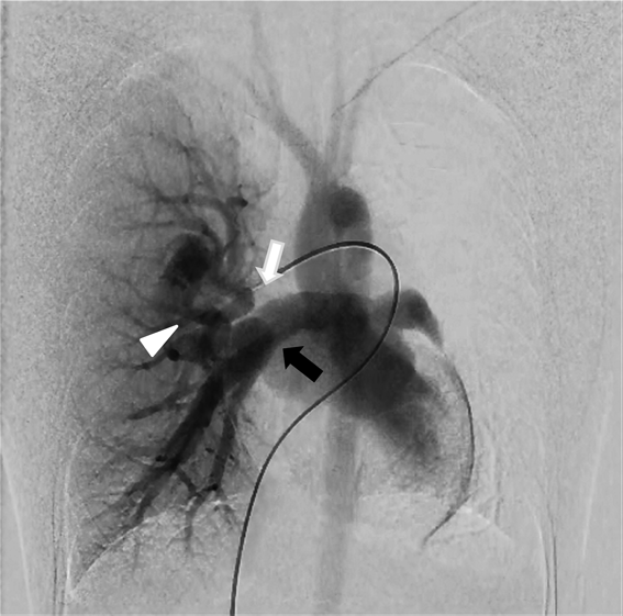
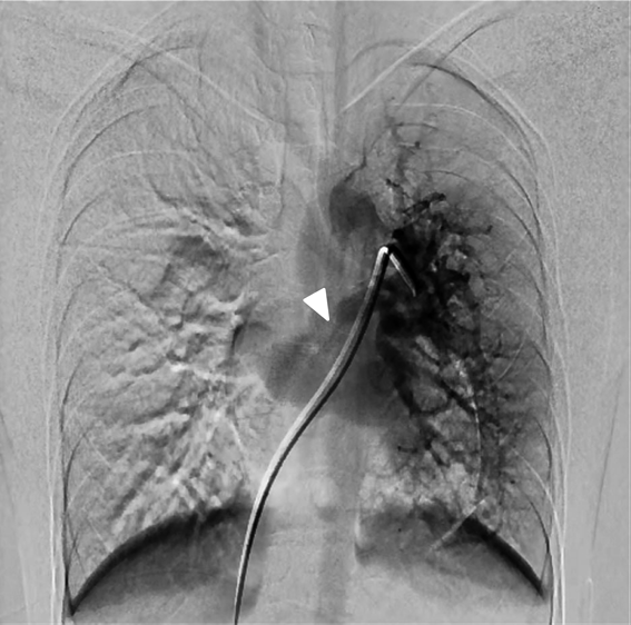
先天性片側肺静脈狭窄に対側のAnomalous Unilateral Single Pulmonary Veinを合併した1例A Case of Congenital Unilateral Pulmonary Vein Stenosis with Contralateral Anomalous Unilateral Single Pulmonary Vein
1 千葉県こども病院循環器科Division of Cardiology, Chiba Children’s Hospital ◇ Chiba, Japan
2 船橋市立医療センター小児科Division of Pediatrics, Funabashi Municipal Medical Center ◇ Chiba, Japan




