Online ISSN: 2187-2988 Print ISSN: 0911-1794
特定非営利活動法人日本小児循環器学会 Japanese Society of Pediatric Cardiology and Cardiac Surgery
Pediatric Cardiology and Cardiac Surgery 36(2): 166-172 (2020)
doi:10.9794/jspccs.36.166

症例報告Case Report

造影剤腎症を発症し持続血液濾過透析を導入した成人チアノーゼ性先天性心疾患の1例Contrast-Induced Nephropathy Requiring Continuous Hemodiafiltration in an Adult Patient with Cyanotic Congenital Heart Disease

1静岡県立こども病院循環器科Department of Cardiology, Shizuoka Children’s Hospital ◇ Shizuoka, Japan

2山形大学医学部小児科学講座Department of Pediatrics, Yamagata University Faculty of Medicine ◇ Yamagata, Japan

受付日:2019年8月1日Received: August 1, 2019
受理日:2020年1月6日Accepted: January 6, 2020
発行日:2020年6月1日Published: June 1, 2020
HTMLPDFEPUB3

造影剤腎症(contrast-induced nephropathy: CIN)は,脱水,重症心不全,造影剤投与前の腎機能障害や利尿薬投与,貧血などがリスクファクターとされている.CINの腎機能障害は可逆的であり,透析を要する例はまれである.一方,チアノーゼ性先天性心疾患(cyanotic congenital heart diseases: CCHD)ではしばしばチアノーゼ腎症(cyanotic nephropathy: CN)や相対的貧血を合併し,さらに難治性心不全に対して利尿薬投与や水分制限を必要とする機会が多い.しかし,CCHD患者でCINの発症リスクや発症時の重症度が高いか否かは明らかではなく,造影剤使用の危険性に関して十分な検討がなされていないのが現状である.症例は30歳女性であった.純型肺動脈閉鎖症,Blalock–Taussig シャント術後でチアノーゼが残存し,15歳時に腎生検でCNと診断された.呼吸器感染症での入院を契機に,慢性心不全の急性増悪で利尿薬やmilrinoneの投与を要した.心不全改善後に血行動態評価のため心臓カテーテル検査を施行した.検査翌日から乏尿となり,血清クレアチニンが検査前の0.79 mg/dLから最大3.86 mg/dLまで上昇し,胸腹水貯留,代謝性アシドーシスが遷延したため,CINの診断で持続血液濾過透析を8日間施行した.成人CCHD患者,特にCN合併例ではCIN発症リスクのみならず,CIN発症時の重症度がより高くなる可能性があり,造影剤使用の際は適応や使用量を含めてより慎重に検討する必要がある.

Renal dysfunction, severe heart failure, anemia, administration of diuretics, and dehydration are risk factors for contrast-induced nephropathy (CIN). The renal dysfunction is reversible in most cases of CIN, and renal replacement therapy is rarely required. Cyanotic nephropathy (CN) and relative anemia often occur in patients with cyanotic congenital heart diseases (CCHD). Although diuretic administration and fluid restriction for refractory heart failure are recommended, the association between the use of contrast media for patients with CCHD and the risk of developing CIN remains unclear. We report the case of a 30-year-old woman who had undergone a Blalock–Taussig shunt procedure at 3 months of age after being diagnosed with pulmonary atresia with intact ventricular septum, and at 15 years of age presented with proteinuria and was diagnosed with CN based on renal biopsy. During hospitalization for management of exacerbated chronic heart failure, we performed cardiac catheterization for hemodynamic evaluation. After catheterization, she developed oliguria, pleural effusion, ascites, and prolonged metabolic acidosis. Her serum creatinine levels increased from 0.79 mg/dL to 3.86 mg/dL. Based on these findings, we diagnosed the patient with CIN and performed continuous hemodiafiltration for 8 days. Patients with CCHD may be at a high risk of developing CIN and the severity may be higher in cases with CN. In these circumstances, it is necessary to carefully consider the indication and amount of contrast agent required.

Key words: cyanotic congenital heart disease; contrast-induced nephropathy; cyanotic nephropathy; continuous hemodiafiltration

はじめに

近年,先天性心疾患の早期診断,早期手術により,チアノーゼ性先天性心疾患(cyanotic congenital heart diseases: CCHD)の修復例やフォンタン手術到達例は増加している.しかし,小児期には手術方法が未発達,あるいは診断時期が遅かったなどの理由で,未手術もしくは姑息術止まりのCCHDが一定数存在する.これらの患者も治療管理の向上で長期生存が可能になったことで系統的多臓器合併症が問題になってきており,チアノーゼ腎症(cyanotic nephropathy: CN)の合併もその一つである.CNはチアノーゼ性心疾患に伴う腎症の総称で,低酸素血症や多血症による血液過粘稠により腎糸球体内圧が上昇し,毛細血管の拡張や糸球体の腫大を生じることが主な病態であるとされる1).臨床的には蛋白尿や血尿を呈し,腎機能障害へ進行する例もある.

造影剤腎症(contrast-induced nephropathy: CIN)はヨード系造影剤の使用により生じる腎機能障害を指し,造影剤使用後72時間以内に血清クレアチニン(serum creatinine: SCr)が使用前値に比較して0.5 mg/dL以上の上昇もしくは25%以上の上昇をもって定義される2).CINの腎機能障害は可逆的であり,透析を要する重症例は1%未満とまれである3).脱水,重症心不全,造影剤投与前の腎機能障害や利尿薬投与,貧血,造影剤の投与量などがCINのリスクファクターであり,各々が相加的に作用することが知られている4).CCHD患者ではこれらのリスクファクターを複数有することも多いが,CCHDでCINを発症した報告例は非常に少ないため,CINの発症リスクや発症時の重症度が高いかどうかは明らかではなく,造影剤使用の危険性に関して十分な検討がなされていないのが現状である.このたび我々はCNを合併した成人CCHD患者で,透析管理を要する重症CINを発症した1例を経験した.

症例

症例

30歳,女性

診断

純型肺動脈閉鎖症,心房中隔欠損,右側大動脈弓,チアノーゼ腎症,慢性気管支炎,気管支拡張症,脊柱側弯症

手術歴

3か月時に左modified Blalock–Taussig(BT)シャント,9か月時に右original BTシャント,12歳時に右BTシャント狭窄に対しバルーン拡張術,17歳時に大動脈弁輪拡張と大動脈弁逆流の増悪に対しBentall手術(ATS 27 mm+Hemashield 30 mm)が施行された.

主訴

倦怠感,咳嗽,顔面浮腫の増悪

家族歴

特記すべき事項なし

既往歴

9歳時に学校検尿で蛋白尿を指摘された.以降,蛋白尿が持続し15歳時の採血でBUN 17 mg/dL, SCr 0.3 mg/dL,実測クレアチニンクリアランス(creatinine clearance: CCr)66.9 mL/minと軽度の腎機能障害を認めたため,腎生検が施行された.病理組織像では大部分の糸球体で腫大傾向と分節性増殖病変を認め,CNと診断された.dilazep dihydrochloride hydrateとlisinopril hydrateの投与が開始され,蛋白尿の改善を認めた.その他,慢性心不全や心房性不整脈に対してdigoxin, pimobendan, tolvaptan, carvedilol, furosemide, spironolactone, procainamide,血栓予防にaspirin, warfarin potassiumを処方されていた.これまで慢性心不全の急性増悪で複数回の入院歴があり,New York Heart Association心機能分類class 3で日常生活を送っていた.20歳時に造影CT検査を2回施行され,それぞれiopamidolを50 mL(2.3 mL/kg),iohexolを50 mL使用したが,いずれも副作用や検査後の腎機能障害は認めなかった.喫煙歴なし.

現病歴

入院数日前から発熱があり,徐々に咳嗽,動悸,食欲不振,乏尿なども出現したため当科外来を受診した.体重22.9 kg(入院前は23 kg前後)と目立った増減はなく,心エコー検査で心機能は前回までと比べて低下していなかったが,血液検査(Table 1)でBUN 36 mg/dL, SCr 0.90 mg/dL, BNP 66.1 pg/mL(前回までは200~300 pg/mL)と脱水所見を認めた.CRP 8.51 mg/dLと高値であり,呼吸器感染症を疑われ入院した.

Table 1 Laboratory data
Blood testOn admissionBefore catheterizationBefore CHDFAt discharge
WBC/µL4,0103,4806,7403,370
Hbg/dL12.613.914.615.7
Ht46.847.451.856.6
Plat×104/µL15.811.27.211
PT-INR1.391.532.182.74
APTT ratio1.271.321.521.68
TPg/dL7.16.56.76.6
Albg/dL3.73.73.84.5
BUNmg/dL36404930
Creamg/dL0.90.793.860.68
eGFRmL/min/1.73 m260.669.912.382.4
UAmg/dL7.47.38.37.6
Nammol/L135141134139
Kmmol/L5.53.64.54
Clmmol/L10310394102
Camg/dL9.38.78.49.2
Urinalysis
A/Cmg/gCr150ND≧300150
Occult blood(−)ND(3+)(±)
ND, no data; A/C, albumin/creatinine

入院後の経過

sulbactam/ampicillin(SBT/ABPC)の投与と補液(100 mL/kg/day)を開始した.入院翌日には解熱し利尿も良好となり,入院3日目に維持輸液(60 mL/kg/day)に変更し,入院6日目にSBT/ABPCを中止した.しかし入院7日目に顔面の浮腫や尿量減少が出現し,体重24.1 kgと増加を認めた.心エコー検査で著変なく,furosemideの静脈内投与を行い尿量は軽度増加したものの,体重は24 kg前後と変化を認めなかった.入院12日目にBUN 29 mg/dL, SCr 0.66 mg/dLと脱水所見は改善したものの,BNP 376.2 pg/mLと上昇し,倦怠感や腹部膨満,下痢の出現もあり,右心不全の増悪と判断して内服薬のfurosemideとspironolactoneを30 mg/dayから40 mg/dayに増量した.その後,体重23.1 kgまで減少したが下痢は改善せず,BUN 35 mg/dL, SCr 0.81 mg/dLと脱水所見と腎機能の増悪を認め,利尿薬の増量と心不全の増悪による,腎血流減少・腸管浮腫の状態と考えられた.SpO2 80%程度に対してHb 12.5 g/dLと相対的貧血と判断し,入院18日目に赤血球輸血2単位を施行した.その後も倦怠感や下痢は改善せず,入院20日目にmilrinone 0.3 µg/kg/minの投与を開始した.入院22日目からfurosemide 1 mg/kgの静脈内投与に反応した尿量の増加と,倦怠感や下痢の改善を認めた.同日milrinoneを0.15 µg/kg/minに漸減し,入院23日目に中止した.

現在の血行動態を評価し治療方針を検討する目的で,入院24日目に心臓カテーテル検査を施行した.検査開始4時間前から絶食とし,3号液40 mL/hで補液を行った.造影剤はiohexolを使用し,投与部位と投与量はそれぞれ,左室20 mL,上大静脈10 mL,上行大動脈20 mL,右BTシャント15 mL,大動脈弓15 mLの計80 mL(3.4 mL/kg)を使用した.カテーテル検査中・検査後ともに血圧低下や不整脈を認めず全身状態は安定していた.検査後帰室時から飲水を再開し,食事量は検査前と同程度だったため,補液を3号液5 mL/hに減量した.

検査翌日から乏尿となり,検査後30時間でSCr 1.62 mg/dLと上昇を認め,CINと診断した.利尿薬やmilrinoneの投与に反応せず,検査48時間後にはSCr 3.86 mg/dLとさらに上昇し(Table 1),pH 7.198, HCO3 −11.9 mmol/L, BE −14.8 mEq/Lと高度の代謝性アシドーシスを認め,全身の浮腫や胸腹水貯留も出現したため,カテーテル検査3日後に持続血液濾過透析(continuous hemodiafiltration: CHDF)を導入した.

カテーテル検査前日の身体所見

身長130.5 cm,体重23.3 kg,体表面積0.94 m2,BMI 13.7,肥満度 −37.7%,基本的日常生活動作はほぼ自立しているものの,階段昇降は不能で自宅内トイレまでの歩行でも息切れを認めた.心拍数90/分・整,左上肢血圧89/54 mmHg, SpO2 80%(室内気),体温36.0°C,顔面蒼白,顔面と下腿の浮腫著明,胸骨右縁第1肋間にLevine 4度の連続性雑音,胸骨右縁第2肋間に最強点のあるクリック音を聴取,腹部膨満あり.

カテーテル検査前の検査所見

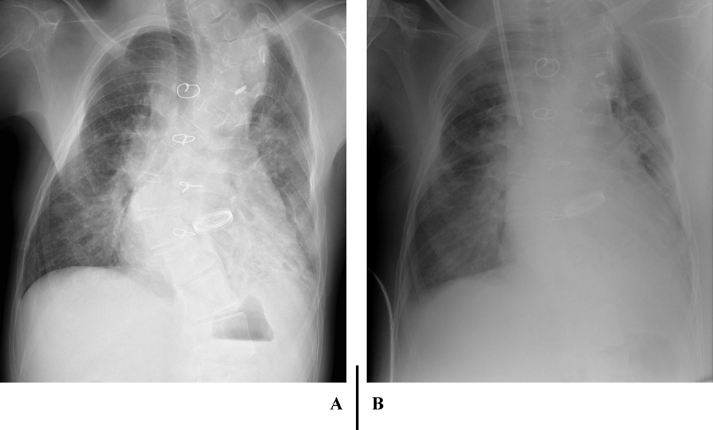
心臓カテーテル検査前日の血液検査(Table 1)で,BUN 40 mg/dL, SCr 0.79 mg/dL, SCrから推定した糸球体濾過量(eGFRcreat) 69.9 mL/min/1.73 m2と,軽度の腎機能低下を認めた.随時尿で150 mg/gCrの微量アルブミン尿を認め,潜血は陰性だった.同日の胸部X線(Fig. 1A)では,心胸郭比63.3%と定期外来受診時と同程度の心拡大および肺うっ血所見であった.入院22日目の心エコー検査では,下大静脈径14.9 mmと拡大し,呼吸性変動は乏しかった(Fig. 2A).両心房の拡大を認め(Fig. 2B),心房間交通は8.9 mmと狭小で右左短絡であった(Fig. 2C).右BTシャント血流は明瞭に描出できたが(Fig. 2D),左BTシャント血流は描出できなかった.

Pediatric Cardiology and Cardiac Surgery 36(2): 166-172 (2020)

Fig. 1 Plain radiograph of the chest shows exacerbation of cardiomegaly (CTR 63→65%), lung congestion, and bilateral pleural effusion, before cardiac catheterization (A) and after initiation of continuous hemodiafiltration (B)

Pediatric Cardiology and Cardiac Surgery 36(2): 166-172 (2020)

Fig. 2 Two-dimensional transthoracic echocardiography showing dilated inferior vena cava (A), interatrial right-to-left shunt of atrial septal defect using pulsed mode (B), dilated both atria (C), Blalock–Taussig shunt flow using continuous mode (D)

カテーテル検査所見

体血流量2.7 L/min/m2と保たれており,肺体血流量比1.6と肺血流増多を認めた.肺動脈平均圧40 mmHgと高値であったが,肺血管抵抗2.8 units·m2と上昇しておらず,高肺血流性肺高血圧と考えられた.左室拡張末期圧16 mmHg,右房平均圧13 mmHg,左房平均圧13 mmHgと上昇しており,左室拡張障害の影響が疑われた.造影では,左室駆出率55%と収縮能は保たれていた.

CHDF導入からの経過(Fig. 3)

Pediatric Cardiology and Cardiac Surgery 36(2): 166-172 (2020)

Fig. 3 Clinical course of the patient

CHDF, continuous hemodiafiltration; SCr, serum creatinine

CHDF導入時の胸部X線(Fig. 1B)では,心胸郭比67.7%と心拡大および肺うっ血の増強と両側胸水を認めた.CHDF開始直後に血圧低下,嘔気が出現したため,CHDFを一時中断した.しかし,その後も症状の改善がないためいったん回路を離脱した.CHDF離脱後の心エコーでは,下大静脈の虚脱と左心室の過収縮を認め,脱血による血管内容量の不足を疑い,補液の増量とmilrinoneの減量を行った.プライミングを生理食塩液から赤血球液に変更し,抗凝固薬をnafamostat mesilateからheparin sodiumに変更した上でCHDFを再導入したところ,症状の再燃を認めなかったため除水を開始した.その後も血圧は安定していたため,補液を減量しmilrinoneを再増量した.徐々に呼吸困難が出現し,両側肺野で湿性ラ音を聴取したため,肺うっ血の増強を疑い除水速度を上げて対応した.また,血管透過性の亢進や低アルブミン血症の影響を考慮し,prednisolone 2 mg/kg/dayと25% albuminの投与を行った.CHDF導入2日目には顔面の浮腫や呼吸困難は改善し,血液ガスでpH 7.334, HCO3 −19.4 mmol/L, BE −5.8 mEq/Lと代謝性アシドーシスの改善を認めた.脱水傾向で除水速度を下げたが,その後徐々に血圧が上昇し,収縮期血圧200 mmHgと高血圧を認めた.除水速度を上げmilrinoneを増量したが改善しないため,nicardipine hydrochlorideの投与を開始したところ,血圧は正常域に改善した.CHDF導入4日目にはSCr 0.97 mg/dLまで低下したものの,尿量は増加傾向なく胸水の再貯留を認めたため,輸液を減量し,除水速度を上げて対応した.CHDF導入6日目から利尿薬の投与に反応を認めるようになったため,導入7日目にCHDFを一時中止した.その後もSCrの上昇や代謝性アシドーシスの再燃なく,自尿で3,100 mL/dayと十分量保たれていたため,導入8日目にCHDFを離脱した.離脱後も腎機能の増悪や乏尿の再燃はなく,CHDFの再導入を必要としなかった.退院時の腎機能および尿所見は入院前と同程度に改善していた(Table 1).

考察

CINの正確な発症機序は現在でも不明であるが,①造影剤の投与により腎血管の収縮から腎血流量が低下し,腎虚血や低酸素が起こり,②造影剤による尿細管への直接的な障害や,③一酸化窒素低下・エンドセリン増加などの血管作動性物質の変動も認められ,これらの複合的な要因でCINを発症すると考えられている5).一方,CINの腎機能障害は可逆的であり,典型的にはSCrはCIN発症から3~5日後にピークに達し,7~14日後に前値に戻り寛解する症例が多く,透析を要する例は1%未満とまれである3).しかし,透析を要する重症CINの発症は高い死亡率や入院期間の長期化と関連しており,その発症予測は重要である.CINには,脱水,重症心不全,造影剤投与前の腎機能障害や利尿薬投与,貧血,造影剤の投与量など多くのリスクファクターがあり,これらが各々相加的に作用することが知られている4)

本症例では,これまで浮腫の増悪による入院が多く,外来管理中からBUN 25~35 mg/dLと高めで経過し,心臓カテーテル検査時点で著しい脱水傾向はないと判断した.急性増悪を繰り返す難治性心不全に対して,カテーテル検査前日までループ利尿薬やmilrinoneの投与を必要としていた.カテーテル検査前日のHb 13.9 g/dLはチアノーゼのない患者では正常値であるが,CCHD患者における至適ヘモグロビン濃度を示した報告6)から,実際は22.0 g/dL程度が必要と算出され,相対的に貧血状態と判断した.

本症例は上記に加えてCNを合併していた.CNでは蛋白尿や血尿を呈し,腎機能障害へ進行する例もあるが,本症例では蛋白尿は改善しており,eGFRcreatで評価した腎機能はCINのリスクとされる腎機能障害(eGFR<60 mL/min/1.73 m2)には該当しなかった.しかし,eGFRcreatは同じ年齢・性別内の平均的な体格を前提にして計算されているため,極端な体格では信頼性が低い.CCHD患者では,幼少期から持続するチアノーゼや心不全により運動耐容能が低く,同年代と比較して小柄で筋肉量が少ない傾向がある7).そのため,eGFRcreatで算出した腎機能は過大評価となる可能性が高く,腎機能障害の合併を認識しづらく,CINのリスク評価に際して誤った解釈をしてしまう危険性があり注意が必要である.シスタチンC(cystatin C: cysC)は,年齢・性別・筋肉量の影響は少なく,cysCによるeGFR(eGFRcys)とeGFRcreatを平均化したeGFRはより正確性が高いため,CCHD患者の腎機能評価にSCrよりcysCを推奨する報告もある8).本症例でカテーテル検査から1年後にSCrとcysCを同時に測定したところ,SCr 0.80 mg/dL, eGFRcreat 68.3 mL/min/1.73 m2とカテーテル検査時とほぼ同程度の数値であったが,cysC 1.53 mg/L, eGFRcys 47.5 mL/min/1.73 m2とeGFRcreatと乖離しており,平均化したeGFRは57.9 mL/min/1.73 m2であり,カテーテル検査時の腎機能はCINのリスク群である可能性がある.

また,造影剤投与量の増加はCINの発症リスクを高めるため,使用量は必要最小限とすることが推奨されている.最大造影剤投与量の推定式として,一般的には5 mL/kg/SCr(mg/dL)が提唱されており9),これに基づくと本症例で使用した造影剤80 mL(2.7 mL/kg/SCr)は最大投与量の範囲内だった.しかし,SCrは筋肉量に影響されるため,本症例のように小柄で筋肉量の少ない成人CCHD患者では,最大造影剤投与量を過大評価する可能性があり,eGFRcysのように筋肉量の影響が少ないバイオマーカーを用いて算出する必要性が考えられる.

重症CINの発症リスクに関する報告は少ないが,経皮的冠動脈形成術後の重症CINについて検討した複数の報告10–12)では,重症CIN発症のリスクファクターとして,高齢,女性,糖尿病,カテーテル検査の緊急度,うっ血性心不全,造影検査前の腎機能障害,大動脈内バルーンパンピングの既往などを挙げており,腎機能障害の重症度が高く,循環動態が不安定な症例ほど透析導入率が高かった.また報告内ではリスクファクターをスコア化し,その合計スコアから重症CINの発症予測率を推算している.本症例でリスクスコアを計算したところ,Brownらの報告10)ではリスクスコア6点で,重症CIN(新規の透析導入や,SCrの2.0 mg/dLまたは50%以上の上昇)の発症予測率は1%未満だった.また,Tsaiらの報告11)では透析導入リスクスコア1点で透析開始リスクは0.05%,Mehranらの報告12)ではリスクスコア7点で透析リスクは0.12%といずれも低かった.これらリスク因子の算定結果から,代替検査(心臓MRI検査など)の選択や造影剤の投与量・投与部位の制限など,特段の配慮は不要と判断しルーティンでカテーテル検査を行った.しかし,結果として透析を要する重症CINを発症しており,これまで報告されてきたリスクファクター以外の原因が関与している可能性が考えられる.

前述の報告と本症例で大きく異なる点として,本症例がCCHD患者でありCNを合併していたことが挙げられる.成人CCHD患者は,長期間の慢性的な低酸素状態という病態下にあり,これが造影剤による腎組織の低酸素を修飾し,さらにCNによる糸球体肥大や尿細管障害も加わることで,CINの重症度がより高くなった可能性が考えられる.CCHD患者では,血栓塞栓症や出血のリスクなどから腎生検が行われる機会は少ないが,16歳以上の60%に蛋白尿あるいは血尿が認められたとの報告もあり13),未診断のCN症例も相当数存在すると推測される.CCHD患者に対する造影剤の使用は,CNの合併も念頭におき,適応を慎重に検討する必要がある.

eGFR 60 mL/min/1.73 m2未満の腎機能障害では,動脈造影検査の前後での生理食塩液輸液が推奨されている2).本症例では,前述のようにeGFRcreatで算出した以上に腎機能が低下していた可能性があり,検査前後の輸液によりCINの発症を予防できた可能性がある.しかし,CCHD患者では利尿薬の投与を要する心不全を合併していることが多く,長時間の輸液負荷による心不全の増悪が懸念されるため,輸液量の調整が必要である.カテーテル検査時のループ利尿薬の使用はCINの独立したリスクファクターであるが,尿量と等量の輸液を行う特殊な装置を用いて,尿量を300 mL/時以上確保するように生理食塩液による輸液と経静脈的なfurosemide投与の併用療法(Renal Guard療法)を行うことで,体液過多や体液減少を起こさずにCINの発症を有意に抑えられることが報告されており14).CCHD患者における有用なCINの予防法となり得る.

結語

成人CCHD患者では,CNや相対的貧血などの系統的多臓器合併症を有することが多く,さらに難治性心不全に対する利尿薬投与や脱水などからCINの発症リスクは高いと考えられる.さらに,CN合併例ではCIN発症時の重症度がより高くなる可能性があり,造影剤を使用する際は適応や使用量を含めてより慎重に検討する必要がある.

利益相反

本論文について開示すべき利益相反(COI)はない.

著者の貢献度

鈴木康太は筆頭著者として論文作成を行った.

小田切徹州は論文内容に関する直接的な指導を行った.

藤井隆は論文の重要な知的内容に関わる批判的校閲に関与した.

高橋辰徳は論文の重要な知的内容に関わる批判的校閲に関与した.

安孫子雅之は論文の重要な知的内容に関わる批判的校閲に関与した.

三井哲夫は論文の重要な知的内容に関わる批判的校閲に関与した.

引用文献References

1) Perloff JK, Latta H, Barsotti P: Pathogenesis of the glomerular abnormality in cyanotic congenital heart disease. Am J Cardiol 2000; 86: 1198–1204

2) 日本腎臓学会,日本医学放射線学会,日本循環器学会(編):腎障害患者におけるヨード造影剤使用に関するガイドライン2018. 東京,東京医学社,2018

3) Mehran R, Nikolsky E: Contrast induced nephropathy: Definition, epidemiology, and patients at risk. Kidney Int Suppl 2006; 100: 11–15

4) Toprak O: Conflicting and new risk factors for contrast induced nephropathy. J Urol 2007; 178: 2277–2283

5) Gleeson TG, Bulugahapitiya S: Contrast-induced nephropaty. AJR Am J Roentgenol 2004; 183: 1673–1689

6) Broberg CS, Jayaweera AR, Diller GP, et al: Seeking optimal relation between oxygen saturation and hemoglobin concentration in adults with cyanosis from congenital heart disease. Am J Cardiol 2011; 107: 595–599

7) Brida M, Dimopoulos K, Kempny A, et al: Body mass index in adult congenital heart disease. Heart 2017; 103: 1250–1257

8) Lui GK, Saidi A, Bhatt AB, et al: American Heart Association Adult Congenital Heart Disease Committee of the Council on Clinical Cardiology and Council on Cardiovascular Disease in the Young; Council on Cardiovascular Radiology and Intervention; and Council on Quality of Care and Outcomes Research: Diagnosis and management of noncardiac complications in adults with congenital heart disease: A scientific statement from the American Heart Association. Circulation 2017; 136: e348–392

9) Cigarroa RG, Lange RA, Williams RH, et al: Dosing of contrast material to prevent contrast nephropathy in patients with renal disease. Am J Med 1989; 86: 649–652

10) Brown JR, DeVries JT, Piper WD, et al: Northern New England Cardiovascular Disease Study Group. Serious renal dysfunction after percutaneous coronary interventions can be predicted. Am Heart J 2008; 155: 260–266

11) Tsai TT, Patel UD, Chang TI, et al: Validated contemporary risk model of acute kidney injury in patients undergoing percutaneous coronary interventions: Insights from the National Cardiovascular Data Registry Cath-PCI Registry. J Am Heart Assoc 2014; 3: e001380

12) Mehran R, Aymong ED, Nikolsky E, et al: A simple risk score for prediction of contrast-induced nephropathy after percutaneous coronary intervention. J Am Coll Cardiol 2004; 44: 1393–1399

13) 篠原徳子,中澤 誠:チアノーゼ型心疾患.腎と透析増刊号2003; 55: 308-310

14) Putzu A, Boscolo Berto M, Belletti A, et al: Prevention of contrast-induced acute kidney injury by furosemide with Mathed Hydration in patients undergoing interventional procedures: A systematic review and meta-analysis of randomized trials. JACC Cardiovasc Interv 2017; 10: 355–363

This page was created on 2020-06-05T14:59:52.51+09:00
This page was last modified on 2020-06-18T11:35:35.000+09:00


このサイトは(株)国際文献社によって運用されています。