Online ISSN: 2187-2988 Print ISSN: 0911-1794
特定非営利活動法人日本小児循環器学会 Japanese Society of Pediatric Cardiology and Cardiac Surgery
Pediatric Cardiology and Cardiac Surgery 36(4): 277-284 (2020)
doi:10.9794/jspccs.36.277

原著Original

心炎を伴ったリウマチ熱6例の臨床経過と予後Clinical Course and Prognosis of Acute Rheumatic Fever with Carditis in Six Patients

1筑波大学附属病院小児科Department of Pediatrics, University of Tsukuba Hospital ◇ Ibaraki, Japan

2筑波大学医学医療系小児科Department of Child Health, Faculty of Medicine, University of Tsukuba ◇ Ibaraki, Japan

3茨城県立こども病院小児循環器科Department of Pediatric Cardiology, Ibaraki Children’s Hospital ◇ Ibaraki, Japan

受付日:2020年5月14日Received: May 14, 2020
受理日:2020年7月20日Accepted: July 20, 2020
発行日:2020年12月1日Published: December 1, 2020
HTMLPDFEPUB3

背景:近年,本邦で急性リウマチ熱(ARF)を経験する機会はまれで,新規発症例の報告は毎年5~10例であるが,診断・治療が遅れると心不全を来すこともある重篤な疾患である.

方法:1994~2018年に我々の施設で診断された心炎を伴うARF 6例の臨床経過と予後について,診療録から後方視的に検討した.

結果:診断時年齢は3~13歳(中央値8.5歳),女児3例であった.初発症状は4例が発熱と関節症状,1例が関節症状,1例が心不全に伴う息切れと易疲労感であった.初診からARFの診断に至るまでの期間は3日~4年10か月(中央値11.5日)で,関節炎として他の診療科で治療された例は診断が遅れる傾向があった.Jones診断基準の大項目で認められたのは心炎,多発関節炎のみであった.弁膜炎としては大動脈弁閉鎖不全(AR)が5例に,僧帽弁閉鎖不全(MR)が3例に認められ,2例は両者を合併した.いずれもプレドニゾロン,アスピリン,抗菌薬で治療され(予防投与含む),1~15年(中央値9年)の経過観察期間でMRは改善したが,ARは残存し,2例は弁置換術が必要となった.ARFの再発は認められなかった.

結論:今回の検討では,初期に関節症状が目立ち,心炎の診断が遅れて重症化する例があった.溶連菌感染に関連した多発関節炎の診療においては,小児循環器科医による心炎のスクリーニングが重要であると考えられた.

Background: In recent years, acute rheumatic fever (ARF) has been considered an extremely rare condition in Japan, with an incidence of 5–10 cases annually. However, it should be recognized as a serious illness because some patients may develop heart failure (HF) if diagnosis and treatment are delayed.

Methods: The clinical course and prognoses of ARF with carditis in six patients (n=3 women) diagnosed in our institutions from 1994 to 2018 were investigated by retrospectively reviewing medical records.

Results: The age at diagnosis was 3–13 (median: 8.5) years. The symptoms at onset were fever and arthralgia/arthritis in four, arthralgia/arthritis alone in one, and shortness of breath and fatigability due to HF in one patient. The duration from the initial presentation to the diagnosis of ARF ranged from 3 days to 4 years and 10 months (median: 11.5 days). None of the patients presented with major symptoms other than carditis and polyarthritis based on the revised Jones Criteria. Similar to valvulitis, aortic valve regurgitation (AR), mitral regurgitation (MR), and both AR and MR were observed in 5, 3, and 2 cases, respectively. The patients were treated with prednisolone and/or aspirin and antibiotics (provided as prophylaxis drugs). During follow-up (range: 1–15 [median: 9] years), MR almost disappeared; however, AR remained. Moreover, aortic valve replacement was required in two cases, and recurrence of ARF was not noted.

Conclusion: In this study, arthritis-related symptoms were more likely to be observed during the initial presentation, and the diagnosis of carditis was delayed, resulting in a critical clinical course in some cases. Patients with streptococcal infection-related polyarthritis should be screened for carditis by a pediatric cardiologist.

Key words: acute rheumatic fever; rheumatic heart disease; valvulitis; arthritis; aortic valve replacement

はじめに

A群β溶血性連鎖球菌(Group A Streptococcus, GAS)の早期診断と抗菌薬の普及によって,本邦において小児科医が急性リウマチ熱(Acute Rheumatic Fever, ARF)の診療に関わることはまれとなった.日本小児循環器学会の希少疾患調査における2005年から2016年の集計では,年間登録数は5~10例に留まっている1).世界的にみても,ARFによる死亡は1995年から2015年にかけて半減した2).死亡率の改善は抗生剤内服による再発予防と,弁膜症に対する心不全治療や弁置換術の進歩によるところが大きく,従来からリウマチ熱の心炎に対して施行されているアスピリン(ASA)や副腎皮質ステロイドによる抗炎症療法は,前方視的検討において有効なエビデンスを確認されていない3, 4).重度の弁逆流に至った例では弁置換が必要となるため,早期診断による再発,重症化予防が患者の予後改善のために重要である.

2015年に改訂Jones Criteria 2015が全米心臓病協会(AHA)から呈示された(Table 1).同診断基準では,地域ごとの罹患率によって診断基準が調整された他,CRP・赤血球沈降速度(ESR)の基準値の明確化,心エコーを用いた心臓弁膜症診断が盛り込まれた(Table 2).また,疑診断時に抗菌薬の予防内服を導入すること,繰り返し心エコー検査を実施することの重要性も明記された5)

Table 1 Revised Jones Criteria 2015 AHA Scientific Statement5)
For all patient populations with evidence of preceding GAS infection
Diagnosis: initial ARF2 major manifestations or 1 major plus 2 minor
Diagnosis: recurrent ARF2 major or 1 major and 2 minor or 3 minor
〈Major criteria〉
Low-risk populationsModerate-and high-risk populations
Carditis (clinical and/or subclinical)Carditis (Clinical and/or subclinical)
Arthritis (polyarthritis only)Arthritis (mono- or polyarthritis include polyarthralgia)
ChoreaChorea
Erythema marginatumErythema marginatum
Subcutaneous nodulesSubcutaneous nodules
〈Minor Criteria〉
Low-risk populationsModerate-and high-risk populations
PolyarthralgiaMonoarthralgia
Fever (≧38.5°C)Fever (≧38.0°C)
ESR≧60 mm/1h and/or CRP≧3.0 mg/dLESR≧30 mm/1h and/or CRP≧3.0 mg/dL
Prolonged PR interval (unless carditis is a major criterion)Prolonged PR interval (unless carditis is a major criterion)
Low-risk populations : ARF incidence ≤2 per 100 000 school-aged children or all-age rheumatic heart disease prevalence of ≤1 per 1000 population per year.
Table 2 Doppler and morphological findings on echocardiogram in rheumatic heart disease (RHD)
Doppler Findings (regurgitation, all 4 met)Morphological Findings
MitralMitral (acute)Mitral (chronic)
Seen in at least 2 viewsAnnular dilationLeaflet thickning
Jet length≧2 cm in at least 1 viewChordal elongationChoral thickening and fusion
Peak velocity>3 m/sChordal rapture resulting in flail leaflet with severe mitral regurgitationRestricted leaflet motion
Pansystolic jet in at least 1 envelopeAnterior (or less commonly posterior) leaflet tip prolapseCalcification
Beading/nodularity of leaflet tips
AorticAortic (either acute or chronic)
Seen in at least 2 viewsIrregular or focal leaflet thickening
Jet length≧1 cm in at least 1 viewCoaptation defect
Peek velocity>3 m/sRestricted leaflet motion
Pan diastolic jet in at least 1 envelopeLeaflet prolapse
On occasion, particularly early in the course of acute rheumatic fever, mitral or aortic valve morphology may be normal on echocardiogram while doppler shows regurgitation.

本稿では著者らが経験したARF 6例の臨床経過と予後について診断契機,症状,治療内容,経過と予後をまとめ,特に弁膜炎の臨床経過,管理と予後について後方視的に検討した.

対象と方法

対象は1994年から2018年に茨城県立こども病院および筑波大学附属病院で診断されたリウマチ性弁膜炎(Rheumatic Heart Disease, RHD)を合併したARFの6例である.診療録から,初診時症状,ARFの診断契機,臨床経過,治療と弁膜症の予後について検討した.ARFの診断は改訂Jones Criteria 2015に基づいて行った.

結果(Table 3)

Table 3 Characteristics, course, prognosis of patients
CaseAgeSexSymptoms at onsetDepartment of first visitDuration from onset to RF diagnosisClues to diagnosisJones Diagnostic CriteriaValve diseaseECGTreatmentFollow-up periodPrognosis
Major CriteriaMinor CriteriaAntibioticsAnti-inflammationAnti-heart failure
13fshort breath fatigabilityPediatrics3dheart murmurcarditisfever ESR, CRPAR moderate MR severeLVH SVPCCTX→AMPCPSL ASADiuretics PDE3-I ACEI8yalive AR mild MR trivial
25ffever arthralgia joint swellingOrthopedics13dheart murmurcarditis poly-arthritisfever poly-arthralgia ESR, CRPAR moderateLVHPCGPSLACEI15yalive AR moderate AVR 13y after onset
38mfever arthralgia joint swellingPediatrics35dmigratory arthritis heart murmurcarditis poly-arthritisfever poly-arthralgia ESR, CRPMR moderatew.n.lAMPCPSLACEI1yalive MR trivial
49ffever arthralgia joint swellingOrthopedics4y10mmigratory arthritis heart murmurcarditis poly-arthritisfever poly-arthralgia ESR, CRPAR severeLVHABPCPSLDiuretics ACEI14yalive AR severe AVR 2y after onset
59mfever arthralgia joint swellingPediatrics3dmigratory arthritis ECG changescarditis poly-arthritisfever poly-arthralgia ESR, CRP PQ prolongationAR trivialadvanced AVBABPCPSL ASA10yalive free from treatment
613marthralgia joint swellingOsteopathic clinic10dfever migratory arthritis heart murmurcarditis poly-arthritisfever poly-arthralgia ESR, CRPAR trivial MR moderateLVHABPC/SBT→PCGASAACEI8yalive AR mild MR trivial
ABPC, ampicillin; ABPC/SBT, ampicillin/sulbactam; ACEI, angiotensin-converting-enzyme inhibitor; AMPC, amoxicillin; AR, aortic regurgitation; ASA, acetylsalicylic acid; AVB, atrioventricular block; AVR, aortic valve replacement; CTX, cefotaxime; ESR, CRP, erythrocyte sedimentation rate ≧60 mm/1h and/or and/or C-reactive protein level ≧3.0 mg/dL; LVH, left ventricular hypertrophy; MR, mitral regurgitation; PCG, benzylpenicillin; PDE3-I, phosphodiesterase 3 inhibitor; PSL, prednisolone; SVPC, supraventricular premature contraction

診断時年齢は3~13歳(中央値8.5歳)で男女ともに3例であった.追跡期間は1~15年(中央値9年)であった.

初診時の主訴,診断の契機

初診時の主訴は4例で発熱および関節炎,1例が関節炎のみ,他の1例(症例5)では関節症状がなく,歩行時のふらつき,易疲労性,息切れで,心不全の関与が疑われた.歩行時のふらつきは舞踏病ではなく心不全による歩行困難であった.整形外科等,小児科以外を初診した症例が含まれ,初診からARFの診断に至るまでの期間は3日~4年10か月(中央値11.5日)であった.5例ではARFを疑われるきっかけが心雑音,弁膜症であった.他の1例は心電図異常であった.初診医療機関が小児科以外であった症例で,診断が遅くなる傾向が認められた.

〈溶連菌感染〉

溶連菌の感染が証明できたのは6例中5例であった.迅速抗原検査で診断されたものが2例(症例3, 4),血清学的検査でASO/ASKの上昇を指摘されたものが2例(症例5, 6)あり,残りの1例(症例1)は迅速抗原検査,ASO, ASK,咽頭培養検査すべてで陽性所見が認められた.症例2は溶連菌感染が証明できなかったが,心炎と移動性多関節炎の既往があり,Jones診断基準の大項目2つと小項目2つ,さらに感染性心内膜炎の否定をもって臨床的にARFと診断した.

〈大項目〉
①心炎

6例中5例でRFと診断されたときすでに弁膜炎が進行していた.大動脈弁閉鎖不全(aortic regurgitation, AR)が5例,そのうち2例は僧帽弁閉鎖不全(mitral regurgitation, MR)を合併し,MR単独が1例であった.心電図異常は2例に認められ,高度房室ブロック,上室期外収縮が各1例であった.

②関節炎

経過中に6例中5例で関節炎が出現した.鎮痛薬投与に反応し,1週間程度で関節痛と腫脹は消退するが,他の部位に新たに出現するという移動性関節炎であった.ARFの治療開始後1か月以上関節所見が持続した症例はなかった.

③皮膚症状

輪状紅斑,皮下結節いずれも認められなかった.症例2で単純性紅斑が認められた.

④精神症状・舞踏病

いずれも認められなかった.

〈小項目〉
①発熱

全例で経過中に改訂Jones Criteria 2015の基準を満たす38.5度以上の発熱が認められた.

②多発関節痛

症例1以外全例で関節痛が認められた.表には記載があるが,いずれも移動性多発関節炎を大症状としてとっているため,多発関節痛は診断基準としてカウントしていない.

③ESR,CRP

全例診断基準を満たす炎症マーカーの上昇が認められた.

④心電図異常(PQの延長)

症例5はPQ延長から高度房室ブロックに至ったが,治療後速やかに改善した.

治療

ステロイド:6例中5例でプレドニゾロン(PSL)が投与された.診断時心不全症状が明らかであった3例(症例1, 2, 4)と最近の症例3では最大量(2 mg/kg/day,最大60 mg/day)を投与された.

アスピリン(ASA):治療開始時に関節症状が認められた2例と,心不全症状が強かった症例1の計3例でASAが投与された.症例3は先行のPSL投与で関節症状が消失したためASAは投与されなかった.

経過と予後

全例抗菌薬の予防内服を導入した.抗炎症療法漸減中の症状の再燃も,経過観察期間中のリウマチ熱の再発もなかった.死亡例もなかった.

〈関節症状〉

抗炎症療法開始時に関節炎が存在した症例は,全例で治療後速やかに軽快し,治療開始後72時間以上経過しても関節症状が残存した症例はなかった.MRI所見やMMP-3値から関節破壊が示唆された例もなかった.

〈弁膜炎〉

診断時すでに弁膜症を呈していた5例では長期的に弁所見が残存した.ARは長期に残存することが多く,予後に影響した.MRは初期には重度でも長期には全例治療不要な状態にまで改善した.高度房室ブロックを伴い,ステロイドによる治療が先行して実施されていた症例5においては,経過中に軽度のARが出現したが完全に消失し,弁の形態異常も指摘されなかった.残る4例はすべて何らかの弁所見が残存した.心不全が認められた3例中2例(症例2, 4)は大動脈弁置換が必要となった(Fig. 1).残る1例(症例1)も急性期治療終了時には中等度以上のMR, ARが残存していたが,長期的に弁所見が改善し(Fig. 2),抗心不全薬からの離脱可能な状態まで改善した.症例6は治療開始時心不全兆候が認められず,PSLの投与を行わなかったが,長期的にARは軽度増悪傾向を示した.

Pediatric Cardiology and Cardiac Surgery 36(4): 277-284 (2020)

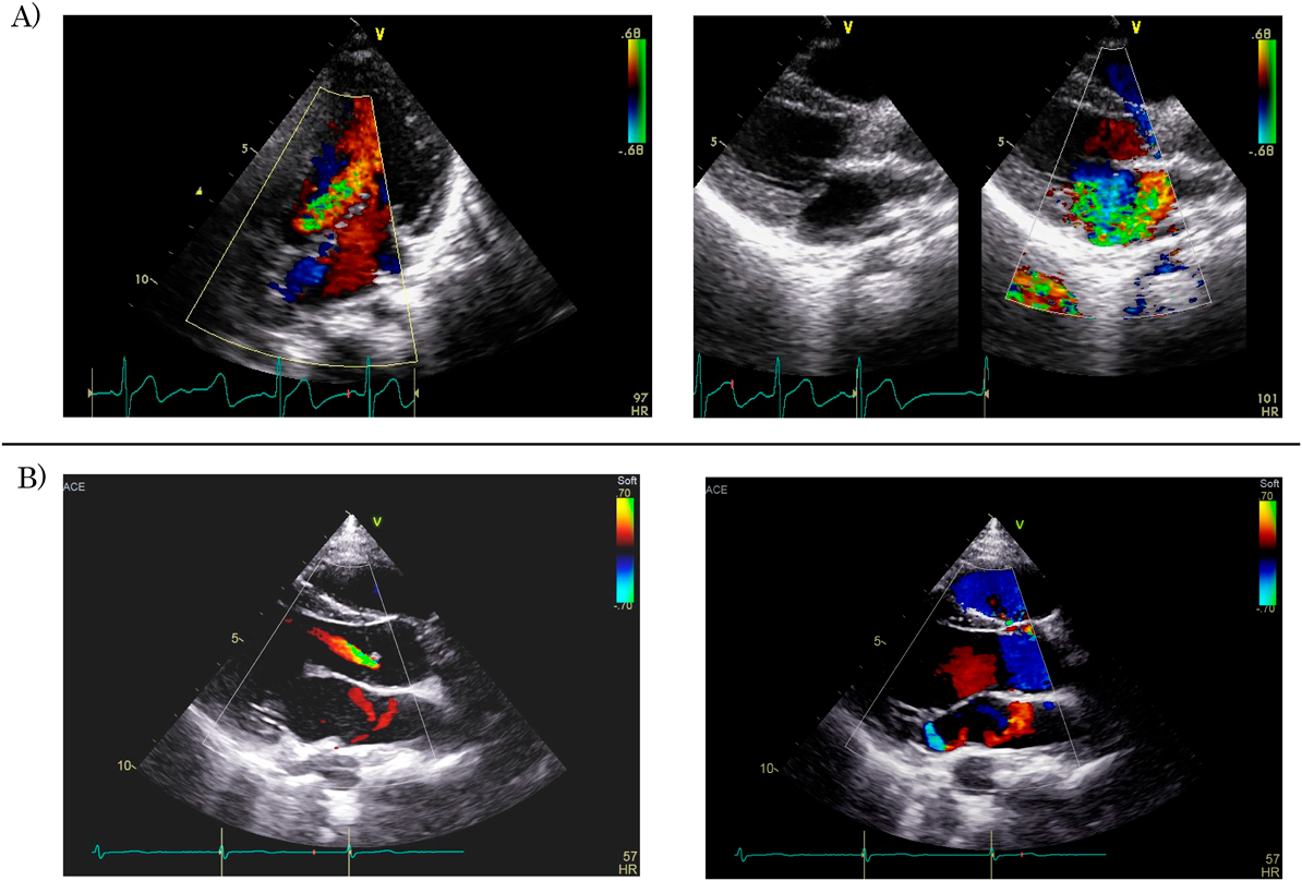
Fig. 1 Color Doppler echocardiograms of case 2

A) Color Doppler echocardiogram of case 2 on admission, showing moderate aortic regurgitation (AR) on the 5-chamber view. Left ventricular end-diastolic dimension (LVEDD) and ejection fraction (LVEF) were 34.6 mm (110.2%n) and 67.1%, respectively. B) Color Doppler echocardiogram of case 2 recorded 13 years after the onset of rheumatic fever, showing AR was increased. LVEDD, LVEF, pressure half time (PHT) and vena contracta (VC) were 45.7 mm (103%n), 66%, 544.4msec and 0.46 mm, respectively. This patient underwent aortic valve replacement.

Pediatric Cardiology and Cardiac Surgery 36(4): 277-284 (2020)

Fig. 2 Color Doppler echocardiograms of case 1

A) Color Doppler echocardiograms of case 1 on admission, showing severe aortic regurgitation (AR) on the 5-chamber view (left panel) and severe mitral regurgitation (MR) on the left ventricular long axis view (right panel). Left ventricular end-diastolic dimension (LVEDD) and ejection fraction (LVEF) were 44.2 mm (148%N) and 78.5%, respectively. B) Color Doppler echocardiograms of case 1 recorded 7 years after the onset of rheumatic fever, showing that AR was apparently reduced (left panel), and only trivial MR remained (right panel). LVEDD and LVEF were 43.1 mm (108%N) and 77.2%, respectively.

考察

ARFの診断

今回の6例においては,major criteriaとしては,心炎と多関節炎以外は認められなかった.特に初期症状はほとんどが関節炎であり,ARFの診断にいたった理由は全例が心炎の合併であった.初診時に小児科以外を受診した症例は十分な聴診が行われないことがあり,弁膜炎のスクリーニングもされないため,このことがARFの診断の遅れに関係していたと推察される.ARFの診断が遅れた症例は,初期には溶連菌感染後反応性関節炎(post-streptococcal reactive arthritis, PSRA)や若年性特発性多関節炎(juvenile idiopathic arthritis, JIA)の診断で治療を受けており,心雑音の出現で初めてARFを疑われた.多関節炎におけるARFの鑑別の必要性が改めて示唆された.

本報告例にみられた関節炎・関節痛はいずれもNSAIDs,アスピリンに反応して改善した.NSAIDsによく反応し,1週間程度で移動して関節破壊を呈さない『移動性』多発関節炎は本疾患に特徴的と言える所見で,ARFの早期診断の糸口となり,PSRAやJIAとの鑑別にも有用と報告されている6).近年,PRSAとARFの鑑別について,関節炎部位,血清学的なCRPやESRの上昇の程度,NSAIDsへの反応と関節痛罹患期間,罹患関節の移動などである程度可能と報告されている6, 7).PSRAでは通常二次的な心炎は合併しないが,ARFの除外診断が不十分であると心炎の診断が遅れることが懸念されている8).PSRAの診断はARFの除外によってなされるべきであり,ARF診断不確実例でも疑われた場合は1年以上の抗菌薬予防内服,心エコーの反復検査が推奨されている5).本報告において弁置換を必要とした症例2,4は,いずれも聴診がなされないまま関節炎として治療されていたため診断までに日数を要し,弁逆流が進行した状態で診断された.RHDは感染したGASのM蛋白と心筋,弁膜内皮細胞との分子相同性を契機にした,抗連鎖球菌/心筋モノクローナル抗体の産生や交差反応性T細胞の浸潤で始まり,経時的に弁の病理学的変化が進行する9).ARF患者はその後の溶連菌感染でも容易に弁の所見が進行することが知られており4, 5),診断が遅れると,弁の機能異常は進行する.そのため,早期診断,完全除菌,再感染予防が必要である.特に症例4は他院で関節炎とGASを同定されたもののPSRAと診断され,退院後経過観察を受けていなかった.4年10か月後に心不全を呈して当院で精査を受けた際に,既往の関節炎が移動性関節炎であったこと,心雑音があったことからARFと診断された.経過中に再感染や心炎増悪を繰り返していた可能性が考えられた症例であった.逆に,発症後3日で診断された症例1は診断時にはAR, MRともに重度であったが,長期予後は良好であった.

今回,診断基準に合致する心電図異常は症例5のみで認められた.弁膜炎の所見とPR延長に明らかな関連は見いだされなかった.近年,ARFの経過中にはPR延長だけでなく,期外収縮や脚ブロックなども認められるとする報告が増加している10, 11).今回の経験でも,重度のAR, MRを認めた症例1では急性期に上室期外収縮が認められ,治療とともに消失した.心炎の症状としての期外収縮が示唆された経過であった.症例5はPQ延長から進行して,高度房室ブロックに至り,治療開始後速やかに洞調律に復調している.高度房室や完全房室ブロックを呈する症例はまれで,いずれもARFの改善とともに正常洞調律に復調し,PR間隔も正常に戻ると報告されており,合致する経過であった10–13).一方でAdams-Stokes発作を起こし,ペースメーカーの埋め込みが必要となった症例の報告もあり,注意が必要である13).刺激伝導系の障害が心炎とどのように結びつくのか病理学的にはこれまで十分に検討されていなかったが,2016年に池田らが心臓突然死を起こした12歳男児において病理組織学的に房室結節にARFに特徴的なAschoff小体の集簇があったことを報告し,房室ブロックが心炎と関連していることを証明した14)

弁膜炎の治療

現在RHDの治療は,GASの再発予防と抗心不全療法,進行した弁膜症への手術療法が中心となっており,近年の研究においても弁膜炎の進行の抑制に関する抗炎症療法の有効性は報告されていない3, 4, 15).しかしながら,病態生理学的にはRHDの進行にTNF-αなどの炎症性サイトカインの上昇が関連し,弁膜炎の重症度と相関することが指摘されている16).このことは発症早期の弁膜炎に対しては抗炎症療法が奏功する可能性を示唆していると考えられており,本報告でも,治療開始が早かった症例1は初期には弁所見が高度であったが長期的には予後良好であったのに対し,心不全兆候がなくPSLの投与を行わなかった症例6のARは長期的には悪化傾向を示したことは,早期の抗炎症療法が弁膜症の予後にかかわりうることを示していると考えられた.

現在まで,抗炎症療法がRHDに対して有効であるというエビデンスが得られない理由として,心雑音を呈さない潜在性心炎は2015年の改定まで心炎として認められていなかったこと,先進国においてはARF自体がまれとなり,十分な解析が困難であることが考えられる.2015年の改定により,心エコーがリウマチ熱の心炎の基準として明確に取り入れられたことで,RHDの早期診断の機会が増え,今後抗炎症療法の有効性が示される可能性がある.

結語

現在世界的に,ARFの死亡率は減少傾向を示し,1995年にARF1万人あたり9.2人であったものが2015年には4.8人までほぼ半減した2).一方で,流行地域の罹患率はいまだ1%を超え,特に発症後の長期の予防内服や,弁膜症,心不全への治療が追いつかないため,何らかの心症状を残したRHDの患者数は64万人から120万人に倍増しているという問題がある2).ARFの初期症状は関節炎,心炎が多く5),心雑音や心不全症状に気づかずに小児科以外での診療が行なわれることも少なくない.我々小児科医にとっては『忘れられつつある重大疾患』であるARFをあらためて記銘し,心エコースクリーニングや予防内服・観察期間の提言を行っていくことが重要である.

利益相反

日本小児循環器学会の定める利益相反に関する開示事項はない.

著者の役割

石踊巧は筆頭著者として論文を執筆した.

堀米仁志は両医療機関で患者診療を行った.論文執筆の指導を行った.

矢野悠介は筑波大学附属病院で患者診療を行った.

嶋侑里子は筑波大学附属病院で患者診療を行った.

野崎良寛は論文執筆の指導を行った.

石川伸行は筑波大学附属病院で患者診療を行った.

林立申は症例のデータ処理を行った.

高橋実穂は筑波大学付属病院で患者診療を行った.

村上卓は両医療機関で患者診療を行った.

塩野淳子は茨城県立こども病院で患者診療を行った.

高田英俊は論文執筆の指導を行った.

引用文献References

1) 日本小児循環器学会:希少疾患サーベイランス http://jspccs.jp/member/report/database/index.php?download=rare_disease_surveillance_h27.pdf(2020/7/14閲覧)

2) Watkins DA, Johnson CO, Colquhoun SM, et al: Global, regional, and national burden of rheumatic heart disease, 1990-2015. N Engl J Med 2017; 377: 713–722

3) Cilliers A, Adler AJ, Saloojee H: Anti-inflammatory treatment for carditis in acute rheumatic fever. Cochrane Database Syst Rev 2015; 5: CD003176

4) WHO: Rheumatic Fever and Rheumatic Heart Disease: Report of a WHO expert consultation, Geneva, 29 October-1 November 2001. https://apps.who.int/iris/bitstream/handle/10665/42898/WHO_TRS_923.pdf?sequence=1&isAllowed=y(2020/7/14閲覧)

5) Gewitz MH, Baltimore RS, Tani LY, et al: Revision of the Jones Criteria for the diagnosis of acute rheumatic fever in the era of Doppler Echocardiography a scientific statement from the American Heart Association. Circulation 2015; 131: 1806–1818

6) Barash J, Mashiach E, Navon-Elkan P, et al: Differentiation of post-streptococcal reactive arthritis from acute rheumatic fever. J Pediatr 2008; 153: 696–699

7) Sato S, Uejima Y, Suganuma E, et al: A retrospective study: Acute rheumatic fever and post-streptococcal reactive arthritis in Japan. Allergol Int 2017; 66: 617–620

8) Ayoub EM, Majeed HA: Poststreptococcal reactive arthritis. Curr Opin Rheumatol 2002; 14: 562–565

9) Roberts S, Kosanke S, Terrence Dunn S, et al: Pathogenic mechanisms in rheumatic carditis: Focus on valvular endothelium. J Infect Dis 2001; 183: 507–511

10) Balli S, Oflaz MB, Kibar AE, et al: Rhythm and conduction analysis of patients with acute rheumatic fever. Pediatr Cardiol 2013; 34: 383–389

11) Karacan M, Işıkay S, Olgun H, et al: Asymptomatic rhythm and conduction abnormalities in children with acute rheumatic fever: 24-hour electrocardiography study. Cardiol Young 2010; 20: 620–630

12) Zalzstein E, Maor R, Zucker N, et al: Advanced atrioventricular conduction block in acute rheumatic fever. Cardiol Young 2003; 13: 506–508

13) Carano N, Bo I, Tchana B, et al: Adams-Stokes attack as the first symptom of acute rheumatic fever: Report of an adolescent case and review of the literature. Ital J Pediatr 2012; 38: 61

14) 池田麻衣子,小沢広明,永田佳敬,ほか:病理組織診断でリウマチ熱による伝導路障害が死因であると疑われた1例.Ped Cardiol Card Surg 2016; 32: 423–428

15) Mehta A, Saxena A, Juneja R, et al: Characteristics and outcomes of Indian children enrolled in a rheumatic heart disease registry. Int J Cardiol 2016; 222: 1136–1140

16) Toor D, Vohra H: Immune responsiveness during disease progression from acute rheumatic fever to chronic rheumatic heart disease. Microbes Infect 2012; 14: 1111–1117

This page was created on 2020-12-03T11:48:48.241+09:00
This page was last modified on 2020-12-22T09:22:56.000+09:00


このサイトは(株)国際文献社によって運用されています。