Online ISSN: 2187-2988 Print ISSN: 0911-1794
特定非営利活動法人日本小児循環器学会 Japanese Society of Pediatric Cardiology and Cardiac Surgery
Pediatric Cardiology and Cardiac Surgery 36(4): 328-333 (2020)
doi:10.9794/jspccs.36.328

症例報告Case Report

胎児期より先天性バルサルバ洞動脈瘤破裂を合併した左心低形成症候群の一例Case of Hypoplastic Left Heart Syndrome with a Ruptured Sinus of Valsalva Aneurysm in a Fetus

自治医科大学とちぎ子ども医療センター小児科Department of Pediatrics, Jichi Children’s Medical Center ◇ Tochigi, Japan

受付日:2020年4月7日Received: April 7, 2020
受理日:2020年7月6日Accepted: July 6, 2020
発行日:2020年12月1日Published: December 1, 2020
HTMLPDFEPUB3

バルサルバ洞動脈瘤は先天心奇形に合併することもあるが,小児では極めて稀な疾患であり,また胎児期から破裂をきたした報告はない.今回,胎児期よりバルサルバ洞動脈瘤の破裂を合併した左心低形成症候群の一例を経験した.症例は女児.胎児心エコー検査で心室中隔欠損を伴った非典型的な左心低形成症候群(大動脈弁閉鎖,僧帽弁閉鎖,痕跡的左室)と診断され,中等度の三尖弁逆流の合併が疑われた.しかし,出生後の心エコー検査では三尖弁逆流は認めず,大動脈基部から右房に短絡する血流を認め,バルサルバ洞動脈瘤破裂の合併を疑った.精査として末梢動脈からの逆行性大動脈造影を施行し,大動脈無冠尖のバルサルバ洞の下方突出およびそこから右房に短絡する血流を認め,バルサルバ洞動脈瘤破裂と診断した.バルサルバ洞動脈瘤は胎児期でも破裂をきたすことがあり,右房への短絡血流は三尖弁逆流と見誤ることがある.バルサルバ洞動脈瘤破裂の確定診断にあたり,逆行性大動脈造影は有用な選択肢である.

Sinus of valsalva aneurysm (SVA) may be associated with congenital heart disease, and it is an extremely rare condition among children. Moreover, a ruptured SVA has not been observed in a fetus. Herein, we report a case of hypoplastic left heart syndrome (HLHS) with mitral atresia and aortic atresia and a ruptured SVA. HLHS with moderate tricuspid regurgitation was suspected on fetal echocardiography. However, transthoracic echocardiography after birth revealed a continuous flow shunting from the aortic root to the right atrium rather than tricuspid regurgitation. A ruptured SVA was suspected, and countercurrent aortography was performed for further evaluation. Results revealed an SVA of noncoronary cusp with a continuous flow to the right atrium. This finding indicated a ruptured SVA, which can occur even in a fetus. The shunt flow of a ruptured SVA into the right atrium can be misdiagnosed as tricuspid regurgitation on fetal echocardiography. Thus, countercurrent aortography may be a useful modality for diagnosing a ruptured SVA among neonates.

Key words: ruptured sinus of Valsalva aneurysm; hypoplastic left heart syndrome; fetal echocardiography; countercurrent aortography

はじめに

バルサルバ洞動脈瘤は,全先天性心疾患の0.1~3.5%と稀な疾患である1).先天心奇形の合併として大動脈二尖弁と心室中隔欠損症に合併することが多いが,ファロー四徴症や大血管転位症,左心低形成症候群などの複合先天性心疾患に合併することもある1–4)

通常,未破裂のバルサルバ洞動脈瘤は無症状だが,巨大瘤になると心室頻拍,心房細動,完全房室ブロックなどの不整脈や,冠動脈圧迫による心筋虚血の原因となり,さらに瘤の破裂をきたすと急性心不全や突然死を起こしうる2).バルサルバ洞動脈瘤破裂は20歳から40歳で出現することが多く,小児期での瘤破裂は稀である2).これまで,新生児早期から乳児のバルサルバ洞動脈瘤破裂の報告はあるが5, 6),胎児期から破裂を認めた報告はない.

今回,胎児期よりバルサルバ洞動脈瘤の破裂を合併した左心低形成症候群の1例を経験した.

症例

日齢0の女児.母体19歳,1経妊0経産.自然妊娠で妊娠成立した.胎児心奇形が疑われ,在胎29週5日に当院を受診した.胎児心エコー検査では,僧帽弁と大動脈弁は閉鎖し,上行大動脈の血流は動脈管を介して逆行性に維持されていた.心室中隔欠損を合併していたが左室は痕跡的であり,心室中隔欠損を合併した非典型的な左心低形成症候群と診断した.右房に吹き込む血流を認め,三尖弁逆流と診断した(Fig. 1, Movie A).右室の収縮は良好であった.在胎37週5日の再検査でも同様の所見で,心拡大や心不全の進行はみられなかった.在胎38週2日に選択的帝王切開で出生し,アプガースコアは1分値7, 5分値8であった.左心低形成症候群に対する全身管理目的でPICUに入院した.

Pediatric Cardiology and Cardiac Surgery 36(4): 328-333 (2020)

Fig. 1 Fetal echocardiography at 29 weeks of gestation reveals hypoplastic left heart syndrome. Color Doppler image suggests moderate tricuspid regurgitation (arrow)

See Movie A. LV, left ventricle; RA, right atrium; RV, right ventricle

入院時現症

体重2,754 g,身長47.5 cm.心拍数120回/分,呼吸数60回/分,血圧50/30 mmHg(上下肢差なし).経皮酸素飽和度80%(室内気)であった.心音は整で胸骨左縁第2肋間にLevineII度の収縮期雑音を聴取した.翼状頚を認めたが,他に顔貌異常,外表奇形は認めなかった.血液検査上特記すべき異常所見はなく,胸部X線では心胸郭比0.53と心拡大はなかったが,軽度の肺うっ血所見を認めた(Fig. 2A).心電図は心拍数126回/分の洞調律で,ST-T変化はなく,右軸偏位,右室肥大を認めた(Fig. 2B).

Pediatric Cardiology and Cardiac Surgery 36(4): 328-333 (2020)

Fig. 2 Chest X-ray and electrocardiogram at birth

A) Chest X-ray at birth shows a mild pulmonary vascular congestion without a cardiomegaly. B) Electrocardiogram at birth reveals a sinus rhythm, a right axis deviation, and a pattern of RV hypertrophy. Significant ST-T segment abnormalities are not shown. LV, left ventricle; RA, right atrium; RV, right ventricle

心エコー所見

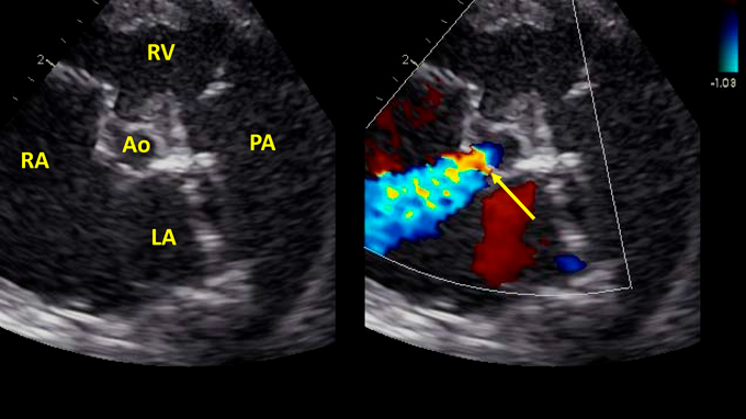
胎児心エコー所見と同様,心室中隔欠損を合併した非典型的左心低形成症候群(僧房弁閉鎖,大動脈弁閉鎖)と診断した(Fig. 3).上行大動脈径は5 mmで,上行大動脈の血流は動脈管を介して逆行性に維持されていた.卵円孔は2 mm大で開存していたが狭小であり,左右短絡の通過血流速度は2.0 m/sであった.しかし,胎児心エコー検査でみられた中等度の三尖弁逆流は認めず,大動脈基部から右房へ短絡する連続性の血流を認めた(Fig. 4, Movie B).右室の収縮能は良好であった.

Pediatric Cardiology and Cardiac Surgery 36(4): 328-333 (2020)

Fig. 3 Echocardiography after birth reveals hypoplastic left heart syndrome with mitral atresia and aortic atresia

LA, left atrium; LV, left ventricle; RA, right atrium; RV, right ventricle

Pediatric Cardiology and Cardiac Surgery 36(4): 328-333 (2020)

Fig. 4 Short axis view reveals continuous flow shunting from aortic root to RA (arrow). See Movie B

Ao, aorta; LV, left ventricle; RA, right atrium; RV, right ventricle, PA, pulmonary artery

経過

出生後の心エコー所見からバルサルバ洞動脈瘤破裂が疑われ,胎児期に三尖弁逆流と判断していた血流は,この短絡血流であると考えられた.診断確定のためのさらなる精査として,心臓カテーテル検査は児への侵襲度が高いこと,造影CT検査や心臓MRI検査は体格が小さく詳細な評価が困難であることから,児への侵襲が比較的少ない末梢逆行性大動脈造影を施行した.末梢逆行性大動脈造影は右橈骨動脈から行い,大動脈弁無冠尖のバルサルバ洞が下方へ突出し,そこから右房内に流入する血流を認め,バルサルバ洞動脈瘤破裂と診断した(Fig. 5, Movie C).診断確定後,手術侵襲や予後も含めて家族に説明したところ,積極的な治療を希望しなかった.そのため,外科手術は行わず緩和的医療を行う方針とした.出生後より開始していたアルプロスタジルの投与は継続としたが,狭小な卵円孔に対してのバルーン心房中隔裂開術は施行しなかった.むしろ,狭小な卵円孔により急激な肺血流の増加が抑えられ,比較的安定した状態を維持することが可能であった.しかし,徐々に心不全と低酸素血症が進行し,日齢64に永眠した.ご家族の希望がなく,病理解剖は施行しなかった.

Pediatric Cardiology and Cardiac Surgery 36(4): 328-333 (2020)

Fig. 5 Countercurrent angiography shows sinus of Valsalva aneurysm of noncoronary cusp with continuous flow to RA (arrow)

See Movie C. LV, left ventricle; RA, right atrium; RCCA, right common carotid artery; RSCA, right subclavian artery; RV, right ventricle

翼状頚と心疾患からターナー症候群を疑い,染色体検査を施行したが正常核型(46, XX)であった.Marfan症候群やEhlers-Danlos症候群などの結合組織病の可能性も考慮し遺伝子検査を施行したが,既知の遺伝子変異はみられなかった.

考察

本症例では,バルサルバ洞動脈瘤は胎児期にも破裂し,短絡血流と三尖弁逆流の鑑別が困難な場合があること,逆行性大動脈造影がバルサルバ洞動脈瘤破裂の診断に有用な可能性があることが示された.

本症例の胎児心エコーでは,左心低形成症候群に中等度の三尖弁逆流を合併していると判断していたが,出生後の心エコー所見では有意な三尖弁逆流は認めず,右房に流入する血流はバルサルバ洞動脈瘤破裂によるものであった.バルサルバ洞動脈瘤破裂において,右房に流入する短絡血流を三尖弁逆流と見誤る可能性が報告されており7),本症例においても同様のことが起きていたと思われる.三尖弁逆流は収縮期のみにみられるが,バルサルバ洞動脈瘤破裂による短絡血流は収縮期・拡張期ともにみられる連続性血流であるため鑑別は容易に思える.しかし,本症例の出生後の心エコーと逆行性大動脈造影の所見をよく観察すると,バルサルバ洞動脈瘤破裂による短絡血流は,心周期によって方向が変化していることがわかる(Movie B, C).収縮期には三尖弁から右房後壁に向かう血流方向であるが,拡張期には三尖弁口を横切り下大静脈に向かう血流方向となっており,四腔像では収縮期のみに短絡血流が出現することになる.したがって,観察方向の限られる胎児心エコー検査では,三尖弁逆流とバルサルバ洞動脈瘤破裂を鑑別する際のピットフォールになると考える.また,この短絡血流の方向が心周期によって変化する点は,身体所見にも影響を及ぼしていた可能性がある.通常,バルサルバ洞動脈瘤破裂では連続性雑音が聴取されるが,本症例では収縮期雑音を聴取していた.おそらく三尖弁逆流と見誤ったのと同様に,短絡血流の方向が心周期で変化するため,連続性雑音ではなく収縮期雑音として聴取したと思われる.

他の所見として,本症例では大動脈弁閉鎖にもかかわらず,大動脈径が比較的太めであったことが特異な点として挙げられる.大動脈弁閉鎖以外も含む全ての型の典型的左心低形成症候群における平均上行大動脈径は3.3±1.7 mmで,40–55%の症例では上行大動脈径が2 mm以下であったと報告されている8).この報告と比較すると,本症例は上行大動脈径が5 mmと比較的太めであった.上行大動脈径の拡大が,バルサルバ洞動脈瘤破裂に伴う通過血流の増加によるものか,血管壁の脆弱性が基礎にあって拡大したものかは不明であるが,胎児心エコーで大動脈弁閉鎖症例であるにもかかわらず上行大動脈径が拡大していることが判断できれば,バルサルバ洞動脈瘤破裂を疑う所見となった可能性がある.

本症例では,逆行性大動脈造影がバルサルバ洞動脈瘤破裂の診断に有用であった.

バルサルバ洞動脈瘤破裂の診断には,カラードップラーを用いた経胸壁心エコーが有用である9).しかし,経胸壁心エコーではバルサルバ洞動脈瘤破裂の血流を弁膜症と見誤る可能性もあり,詳細な評価には経食道心エコーがより優れている7).また,侵襲性はあるものの心臓カテーテル/大動脈造影検査は空間および時間分解能ともに優れており,症例によってはカテーテル治療にそのまま移行することも可能である.さらに近年では造影CT,心臓MRI検査の有用性も報告されており,特にMRIは形態評価のみならずバルサルバ洞動脈瘤破裂単独であれば短絡量を求めることも可能なため,治療方針の検討にも有用とされる10, 11).しかし,経胸壁心エコー以外の検査は体格の小さい新生児・乳児においては施行の困難さや検査精度の限界を伴い,左心低形成症候群など血行動態が不安定な病態では検査施行の危険性も高い.

一方,逆行性大動脈造影は橈骨動脈や上腕動脈から造影剤を急速注入して逆行性に大動脈を造影し大動脈弓近傍を観察する検査法で,造影CT検査などの発達に伴い施行する機会は減少している.また適応も新生児から乳児期早期に限られるが,大動脈弓の形態を比較的低侵襲,短時間で簡便に,かつ大動脈造影と遜色のない空間および時間分解能で評価することが可能である12).鎌田らは末梢動脈からの逆行性大動脈造影検査で大動脈弓の形態だけでなく,一部の症例では冠動脈評価の可能性についても報告している13).本症例では逆行性大動脈造影により,冠動脈だけでなくバルサルバ洞動脈瘤の形態および破裂部から右房に短絡する血流の状態まで鮮明に評価することが可能であった.本症例は大動脈弁閉鎖で上行大動脈の血流は逆行性であったため,逆行性大動脈造影がより有用であったと思われる.また,大動脈弁狭窄の症例であっても順行性血流の程度によっては大動脈基部の評価は可能と思われ,左心低形成症候群のような重症心疾患を合併し,全身状態が不安定な新生児のバルサルバ洞動脈瘤破裂症例においては,逆行性大動脈造影は他の検査より有用性が高い可能性がある.

これまで,未破裂の巨大バルサルバ洞動脈瘤を認めた胎児の報告例はあるが9),胎児期からバルサルバ洞動脈瘤破裂をきたした報告はない.しかし,本症例からは胎児期でもバルサルバ洞動脈瘤の破裂が起こりうることが示唆された.

バルサルバ洞動脈瘤破裂は20歳から40歳で起こることが多いとされ,小児では稀な病態である.バルサルバ洞動脈瘤は大動脈弁右冠尖または無冠尖に多く,右冠尖のバルサルバ洞動脈瘤破裂は右室に,無冠尖の場合は右房に短絡血流を認めることが多い2).本症例は無冠尖のバルサルバ洞動脈瘤破裂で右房に血流が短絡しており,比較的典型的な型と思われる.バルサルバ洞動脈瘤の病因としては,大動脈線維輪と中膜組織の結合部にある弾性版の脆弱性が指摘されており,Marfan症候群やEhlers-Danlos症候群などの結合組織病に合併することがある1).本症例では大動脈弁閉鎖を伴う左心低形成症候群としては上行大動脈が拡大していたが,結合組織病に関連する既知の遺伝子異常はみられなかった.先にも述べたように,上行大動脈の拡大はバルサルバ洞動脈瘤破裂によって上行大動脈の通過血流が増加したことでも起こりうるため,上行大動脈の拡大が原因として起こったものか,結果として起こったものかは不明である.また,先天性心疾患に伴うものに関しても,未破裂のバルサルバ洞動脈瘤を合併した左心低形成症候群の報告例はあるが4),先天性心疾患の合併としては大動脈二尖弁と心室中隔欠損の頻度が高く1, 2),結果的に本症例がバルサルバ洞動脈瘤破裂を合併した機序は不明である.

結語

バルサルバ洞動脈瘤は小児科領域では稀な疾患であるが,胎児期にも破裂をきたしうる.動脈瘤破裂による右房への短絡血流は三尖弁逆流と見誤ることがあり,注意が必要である.診断に有用な検査としては経胸壁心エコー,造影CT, MRIの他,新生児,乳児で大動脈弁閉鎖を伴う左心低形成症候群においては,末梢動脈からの逆行性大動脈造影が有用なことがあり,比較的低侵襲でもあることから,考慮すべき検査の一つと考える.

利益相反

本論文について開示すべき利益相反(COI)はありません.

著者の役割

古賀玲奈は,筆頭著者として論文を執筆した.佐藤智幸は,論文の責任指導者として論文の構想・修正および重要な知的内容に関わる批判的校閲に関与した.松原大輔,鈴木峻,岡健介,関満,片岡功一,山形崇倫は,重要な知的内容に関わる批判的校閲に関与した.

付記

この論文の電子版にて動画を配信している.

引用文献References

1) Weinreich M, Yu P-J, Trost B: Sinus of Valsalva aneurysms: Review of the literature and an update on management. Clin Cardiol 2015; 38: 185–189

2) Feldman DF, Roman MJ: Aneurysms of the sinus of Valsalva. Cardiology 2006; 106: 73–81

3) Moustafa S, Mookadam F, Cooper L, et al: Sinus of Valsalva aneurysm-47 years of a single center experience and systematic overview of published reports. Am J Cardiol 2007; 99: 1159–1164

4) Thankavel PP, Lemler MS, Ramaciotti C: Unruptured sinus of Valsalva aneurysm in a neonate with hypoplastic left heart syndrome: Echocardiographic diagnosis and features. Echocardiorogy 2014; 3: e85–e87

5) Breviere GM, Vaksmann G, Francart C: Rupture of sinus of Valsalva aneurysm in a neonate. Eur J Pediatr 1990; 149: 603–604

6) David J, Tammy L, Shahryar M: Sinus of Valsalva aneurysm rupture in an infant. Cardiol Young 2018; 28: 338–340

7) Hoda M, Verma A, Alapati S, et al: Diagnostic paradox: Ruptured aneurysm of sinus of Valsalva simulating tricuspid valve endocarditis. Echocardiography 2017; 34: 465–467

8) Ghanayem NS, Hoffman GM, Mussatto KA, et al: Home surveillance program prevents interstage mortality after the Norwood procedure. J Thorac Cardiovasc Surg 2003; 126: 1367–1377

9) Lubaua I, Priedite I, Anderson D: Giant sinus of Valsalva aneurysm in a foeus. Cardiol Young 2013; 23: 267–268

10) Hoey ET, Gulati GS, Singh S, et al: The role of multi-modality imaging for sinus of Valsalva aneurysms. Int J Cardiovasc Imaging 2012; 7: 1725–1738

11) Hoevelborn T, Doering J, Lindemann S, et al: Images in cardiovascular medicine. Newly discovered heart murmur: non-coronary sinus of Valsalva aneurysm with rupture into the right atrium and right ventricle. Circulation 2009; 119: e15–e16

12) Ueda K, Saito A, Nakano H: Aortography by countercurrent injection via the radial artery in infants with congenital heart disease. Pediatr Cardiol 1982; 2: 231–236

13) 鎌田政博,安原伸吾,佐藤恭子,ほか:末梢動脈からの逆行性大動脈造影検査—大動脈縮窄・離断以外の所見について—.日小児循環器会誌1995; 11: 484–492

This page was created on 2020-12-08T10:47:08.911+09:00
This page was last modified on 2020-12-21T19:56:49.000+09:00


このサイトは(株)国際文献社によって運用されています。