Online ISSN: 2187-2988 Print ISSN: 0911-1794
特定非営利活動法人日本小児循環器学会 Japanese Society of Pediatric Cardiology and Cardiac Surgery
Pediatric Cardiology and Cardiac Surgery 36(1): 65-71 (2020)
doi:10.9794/jspccs.36.65

症例報告Case Report

乳児早期発症し,剖検で確定診断した肺静脈閉塞症の1例An Infantile Case of Pulmonary Veno-Occlusive Disease Confirmed by Autopsy

1あかね会土谷総合病院小児科Department of Pediatrics, Tsuchiya General Hospital ◇ Hiroshima, Japan

2国立研究開発法人国立循環器病研究センター小児循環器科Department of Pediatric Cardiology, National Cerebral and Cardiovascular Center ◇ Osaka, Japan

受付日:2019年5月15日Received: May 15, 2019
受理日:2019年9月13日Accepted: September 13, 2019
発行日:2020年3月1日Published: March 1, 2020
HTMLPDFEPUB3

肺静脈閉塞症(PVOD)は肺静脈の閉塞性病変から肺高血圧を呈する予後不良の疾患である.症例は動脈管開存を合併した1か月男児.肺高血圧クライシスで入院した.肺体血圧比1.3, 平均肺動脈圧43 mmHg, 肺動脈楔入圧6 mmHg, 肺血管抵抗10.3 unit·m2で,エポプロステノール持続静注を含む多剤併用療法を開始した.動脈管は自然閉鎖したが肺高血圧が持続し,特発性肺動脈性肺高血圧と診断した.当初治療への反応は良好であったが,肺血管拡張薬の増量に伴い肺水腫を繰り返した.1歳0か月から急速に右心不全が進行し1歳2か月で永眠した.剖検肺病理で肺小静脈内膜肥厚による肺静脈閉塞および肺胞毛細管の増生を認め,PVODと判明した.一方高度な肺小動脈病変(Heath–Edwards 4度)も認めた.肺血管拡張薬により繰り返す肺水腫をきたす場合はPVODを鑑別に挙げ,肺移植を含めた治療戦略を考えるべきである.

Pulmonary veno-occlusive disease (PVOD) is a rare condition that results in pulmonary hypertension caused by the occlusion of the peripheral pulmonary veins. A 1-month old infant with patent ductus arteriosus presented in critical condition with pulmonary hypertensive crisis. Cardiac catheterization revealed severe pulmonary hypertension (pulmonary to systemic arterial pressure ratio, 1.3; mean pulmonary arterial pressure, 43 mmHg; pulmonary wedge pressure, 6 mmHg; pulmonary vascular resistance, 10.3 units·m2). The patient was started on combination therapy, including continuous intravenous epoprostenol. Although drugs targeting pulmonary arterial hypertension (PAH) were initially able to improve his hemodynamic status, he gradually developed pulmonary edema. Histopathological finding of lung biopsy specimen showed PAH, so he was diagnosed with idiopathic PAH. However, he experienced recurrent pulmonary edema and progressive right heart failure. One year after admission, the patient died from severe heart failure. Histopathological autopsy findings of the lung showed pulmonary venous changes and intimal thickening of the pulmonary veins, and a diagnosis of PVOD was made. Pulmonary arterial changes included cellular and fibrous thickening of the intima, severe medial hypertrophy, and adventitial thickening with plexiform lesions (Heath–Edwards grade 4). A correct diagnosis in this case could not be made by single lung biopsy. Our experience suggests that we should suspect PVOD when patients receiving PAH therapy develop recurrent pulmonary edema, as the only available method of PVOD treatment is early lung transplantation.

Key words: pulmonary veno-occlusive disease; pulmonary arterial hypertension; infantile; PH crisis

緒言

小児に発症する肺静脈閉塞症(pulmonary veno-occlusive disease: PVOD)は,頻度,機序,病態等に関してまだ不明な点が多い1).高度の肺高血圧を呈する2)が,肺動脈性肺高血症(pulmonary arterial hypertension: PAH)との鑑別が困難である場合も少なくない.

今回我々は生後1か月で肺高血圧クライシスを発症し,肺血管拡張薬の多剤併用療法に当初は反応したが,薬剤の増量に伴い肺水腫を頻回に繰り返した症例を経験した.臨床経過からはPVODが疑われたが,当初の肺生検ではIPAH(idiopathic pulmonary arterial hypertension)の診断であった.剖検所見でPVODと確定診断したものの,重症PAHに見られる顕著な肺動脈病変も認めた.診断と治療に極めて難渋し,特徴的な病理所見を呈した症例であり,文献的考察を加え報告する.

症例

症例

1か月男児

主訴

失神

家族歴

肺高血圧の家族歴なし

既往歴

新生児一過性多呼吸で入院あり

現病歴

胎児期に異常の指摘なし.在胎37週4日,出生体重3,526 g,既往帝王切開のため予定帝王切開で出生した.出生後に新生児一過性多呼吸で入院し,数日で呼吸状態は軽快したが,心臓超音波検査で卵円孔開存(patent foramen ovale: PFO),動脈管開存(patent ductus arteriosus: PDA),心嚢水および胸水貯留を認めた.乳び胸の可能性を考え,MCTミルクと利尿剤内服を開始した.治療開始後に胸水は消失し心嚢水も減少したため,普通ミルクへ変更したが,その後も再燃なく,日齢46に退院となった.新生児マス・スクリーニングは正常,G-bandも正常核型(46, XY)であった.退院後に心臓超音波検査でPFOとPDAに加え肺高血圧を認めた.外来経過中哺乳は良好であり,+33 g/dayで体重増加していた.啼泣時にチアノーゼを認めたが,安静時の呼吸は平静で努力様呼吸はなかった.利尿剤(フロセミド1.0 mg/kg/day,スピロノラクトン1.0 mg/kg/day)の内服を行っていた.小短絡のPFOとPDAでは説明がつかない肺高血圧だったため心臓カテーテル検査を予定していたが,日齢57に啼泣時に眼球上転し顔面蒼白となったため,救急搬送入院となった.

入院時現症

身長54 cm,体重3,944 g,心拍数188拍/分,呼吸数60回/分,血圧54/27 mmHg,体温36.4度,経皮的酸素飽和度は室内気で83%であった.心音はII音の亢進を聴取し,呼吸音は清,腹部は平坦,軟で,右季肋下に肝臓を2横指触知した.

入院時検査所見

胸部X線で心胸郭比50%であり,肺うっ血および胸水貯留は認めなかった.心電図は右軸偏位,右房負荷,右室肥大を認めた.心臓超音波検査では,右房,右室および肺動脈は拡大し,心室中隔は平坦化していた.径2.2 mmのPFOと径3.0 mmのPDAを認め,PFOは左右短絡のみで,PDAは両方向性であったが左右短絡優位であった.心尖部に心嚢水も少量貯留していた.血液検査はNT-pro BNP 1271 pg/mLと上昇しており,静脈血ガスでpH 7.225, pCO2 64.7 mmHgと呼吸性アシドーシスだった.

入院後経過(Fig. 1)

失神の原因は肺高血圧クライシスと考えた.呼吸不全に対し人工呼吸管理とし,ドパミン,ドブタミン,オルプリノンを開始した.しかし入院当日の夜間に肺高血圧クライシスが再燃したため,筋弛緩薬も併用し深鎮静とした.入院2日目に肺高血圧の状況を把握するため,心臓カテーテル検査を行った.FiO2 0.8の条件で肺体血圧比1.3,平均肺動脈圧43 mmHg,肺動脈楔入圧6 mmHg,肺血管抵抗10.3 unit·m2であった(Table 1).同日よりエポプロステノール2.0 ng/kg/minで持続投与を始め,一酸化窒素ガス(nitoric oxide: NO)吸入も併用した.その後エポプロステノールを2週間で10.9 ng/kg/minまで漸増した.エポプロステノールの増量に合わせてNOは漸減中止した.入院1週間でPDAは自然閉鎖したが,肺高血圧は持続していたため,特発性肺動脈性肺高血圧(idiopathic PAH: IPAH)と初期診断した.入院2週間経過した頃よりエポプロステノールの増量に伴い肺水腫が目立ち始めた(Fig. 2A).肺水腫の増悪があるたびに,水分制限および利尿剤の増量,エポプロステノールの減量を行った.

Pediatric Cardiology and Cardiac Surgery 36(1): 65-71 (2020)

Fig. 1 Clinical course of the patient

PH: pulmonary hypertension, CT: computed tomography, cathe: cardiac catheterization, O2: oxygen, NO: nitric oxide

Table 1 Hemodynamic assessment of the patient
The days after admissionDay2 (cathe 1)Day79 (cathe 2)Day233(cathe 3)
systolic PAP (mmHg)604235
diastolic PAP (mmHg)301414
mean PAP (mmHg)432624
PCWP (mmHg)684.5
RAP (mmHg)462
CI (L/min/m2)3.05.910.3
PVRI (unit·m2)10.32.92.1
Pp/Ps1.300.750.40
PAP: pulmonary artery pressure, PAWP: pulmonary arterial wedge pressure, RAP: right atrial pressure, CI: cardiac index, PVRI: pulmonary vascular resistance index, Pp/Ps: pulmonary to systemic arterial pressure ratio
Pediatric Cardiology and Cardiac Surgery 36(1): 65-71 (2020)

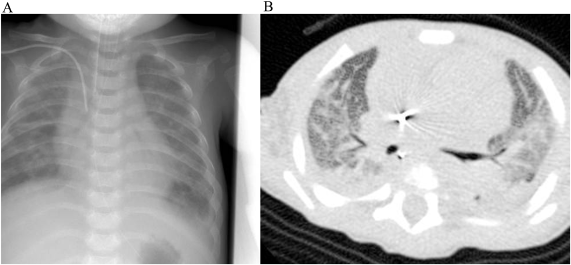
Fig. 2 Chest X-ray and CT scan of the thorax

Chest X-ray shows diffuse alveolar opacities (A). CT scan of the thorax shows diffuse ground-glass opacities, interlober septal thickening and atelectasis (B).

入院1か月(生後2か月)よりシルデナフィル1.0 mg/kg/dayの内服を追加し,入院1か月半でタダラフィル1.0 mg/kg/day,アンブリセンタン0.1 mg/kg/day併用に変更したが,浮腫が目立つようになり中止した.入院2か月半(生後4か月)の心臓カテーテル検査では,FiO2 0.4の条件下で肺体血圧比0.75,平均肺動脈圧26 mmHg,肺血管抵抗2.9 unit·m2へ改善していた(Table 1).酸素負荷試験(FiO2 1.0)では肺体血圧比0.58となり酸素負荷に反応を示し,徐々に改善傾向にあると考えていた.

ところが,入院3か月時(生後5か月)に急激な肺水腫を来たし,酸素化係数(PaO2/FiO2: P/F ratio)140へ低下,胸部CTで両肺野に粒状影とびまん性のすりガラス様陰影,小葉間隔壁の肥厚を認めた(Fig. 2B).水分制限,肺血管拡張薬の減量,利尿剤増量による除水を行い呼吸状態は改善した.繰り返す肺水腫からPVODを強く疑い,右側開胸で肺生検を行ったところ,肺小動脈は中等度の中膜肥厚と内膜の線維性肥厚を伴う血管が散見されHeath–Edwards分類3度であった(Fig. 3A).肺小静脈は一部の血管で内膜および中膜が肥厚していたが大部分の血管は正常であった(Fig. 3B).IPAHと判断される病理像であり,肺生検結果はPVODを疑う臨床経過と乖離していた.内科的管理のみでは救命困難に至ると予想されたため,入院5か月(生後7か月)に肺移植実施施設へ移植登録を相談したが,体格が小さく,肺移植に適合しないと判断された.入院6か月(生後8か月)にもP/F ratio 130まで低下する重度の肺水腫を起こし増悪寛解を繰り返した.長期間の人工呼吸管理となったため,入院7か月に気管切開を行い,一時的に換気条件は改善した.入院8か月の心臓カテーテル検査では,FiO2 0.4の条件下で肺体血圧比0.40,平均肺動脈圧24 mmHg,肺血管抵抗2.1unit·m2と肺動脈圧の改善を認めた(Table 1).肺水腫の頻度も減少し,循環動態は比較的安定して経過した.この頃遺伝子検査を行ったが,BMPR-2(bone morphologenic protein receptor-2),ALK-1(activin like kinase-1),ENG(endoglin)いずれも変異は検出されなかった.入院11か月(1歳0か月)頃より心臓超音波検査で右心房・右心室の拡大が徐々に進行して肺高血圧が悪化し,また血液検査上もNT-pro BNPが3,000台まで増悪した.入院12か月に全身麻酔下でブロビアックカテーテルを留置したが,術後に重度の肺高血圧クライシスを起こし,NO吸入を再開した.右心系拡大はさらに増悪し,NT-pro BNPも12,000台まで悪化した.肺水腫の増悪が懸念されたが,他に改善の可能性のある治療がないことからエポプロステノールを慎重に24.3 ng/kg/minまで漸増した.しかし次第に完全鎮静下でも肺高血圧クライシスを起こすようになり,右心不全の急速な増悪を認め,1歳2か月(入院13か月)で永眠した.

Pediatric Cardiology and Cardiac Surgery 36(1): 65-71 (2020)

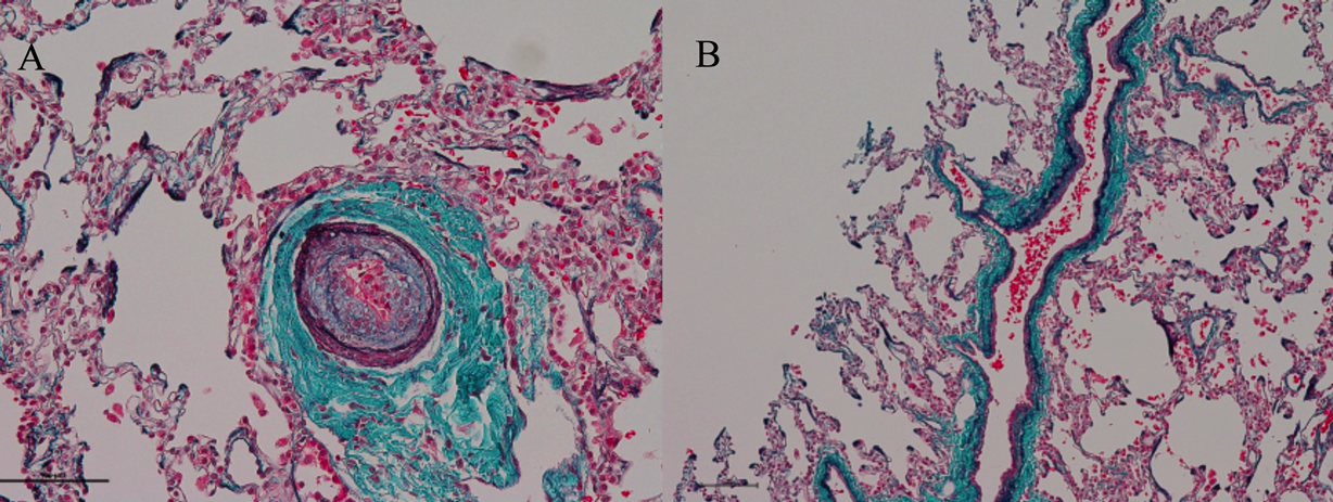
Fig. 3 Pathological biopsy findings of the lung

Cellular and fibrous thickening of intima, moderate medial hypertrophy. Elastica Masson staining (scale bar=100 µm) (A). Mild intimal thickening of pulmonary small vein. Elastica Masson staining (scale bar=100 µm) (B).

剖検肺病理では,肺門リンパ節腫大およびリンパ管拡張を伴う中等度の肺小静脈内膜肥厚による肺静脈閉塞病変を散在性に認め,PVODと確定診断した(Fig. 4A).肺水腫,肺胞内出血が高度な部分では肺動脈周囲や気管支周囲,小葉間隔壁周囲に,斑状あるいは部分的に肺胞毛細管が数層におよんで増生し(Fig. 4B),一部で肺小動脈や細血管,気道周囲に微小血管が浸潤しており(Fig. 4C),肺毛細血管腫症(pulmonary capillary hemangiomatosis: PCH)を示唆する所見を認めた.肺小動脈はHeath–Edwards分類4度で,線維性内膜肥厚による肺動脈内腔の完全閉塞を認め,叢状病変も散見される,高度に進行した病変を認めた(Fig. 4D).肺胞内は含気が著しく減少し,出血,フィブリン,蛋白質様の析出物,肺胞マクロファージなどで充満しており,一部硝子膜を形成していた.含気のある正常な肺胞組織はほとんど認めなかった.小葉間隔壁および肺胞隔壁の肥厚を認め肺胞毛細管は拡張蛇行していた.小葉・肺胞の低形成は認めなかった.

Pediatric Cardiology and Cardiac Surgery 36(1): 65-71 (2020)

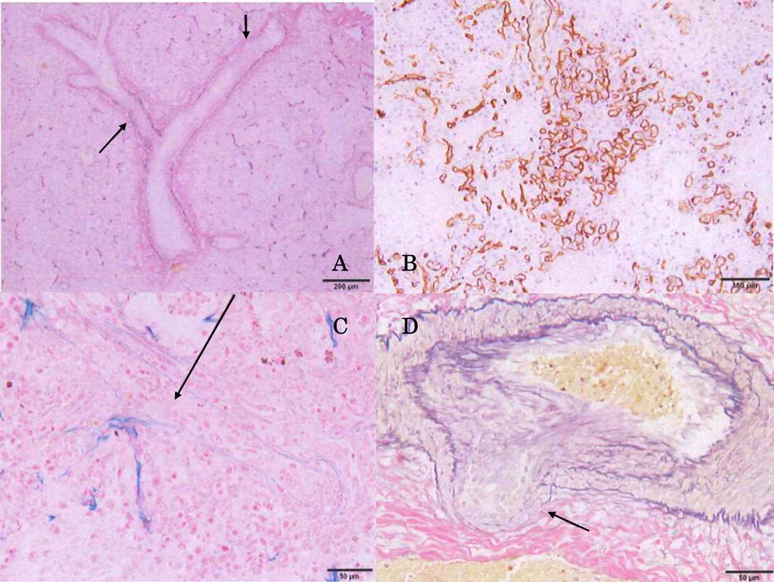
Fig. 4 Pathological autopsy findings of the lung

Moderate intimal thickening of pulmonary small vein (arrows). Elastica van Gieson staining (scale bar=200 µm) (A). Proliferating capillary vessels. Immunostaining with CD34 (scale bar=100 µm) (B). Capillaries invading the walls of small vessels. Victoria blue staining (scale bar=50 µm) (C). Plexiform lesion, complex vascular formation originating from remodeled pulmonary artery (arrow). Elastica van Gieson staining (scale bar=50 µm) (D).

考察

PVODは稀少疾患であり,発症は100万人あたり0.1~0.2人程度とされている3).IPAHと臨床診断された症例のうち5~10%はPVODであったという報告もあり,両者の正確な鑑別診断は病理学的な評価を行わなければ困難である4).PVODは末梢肺静脈が障害される内腔閉塞性病変である2, 4).PAHとは異なり病変の首座は肺静脈であり,組織学的に診断される.PCHはさらに稀で,多層性に増殖した毛細血管が肺動脈や気管支壁などの正常構造を破壊し浸潤するように増殖する5).PVODでは毛細管に蛇行があっても基本的に一層とされているが,実際には多層化してPCH様の増生を示すことがある5).PCHはPVODと共通の変化が多く,近年同じ疾患スペクトラムである可能性が指摘されている5)

PVODの予後は極めて不良であり,症状発現から2年以内にほぼ全例死亡する.PVODに関連する遺伝子異常としてEIF2AK4(eukaryotic translation initiation factor 2-alpha kinase 4)が同定されている6)EIF2AK4は真核細胞性翻訳開始因子2α(EIF2α)をリン酸化するキナーゼ蛋白の一つであるGCN2をコードしている.GCN2はEIF2αのリン酸化カスケードを経由して多くのタンパク合成の抑制に関与している7)EIF2AK4の変異によりGCN2の活性が低下することで,酸化ストレスに対する脆弱性が増し,組織での炎症が増強すると推測されている2).本症例ではEIF2AK4の遺伝子変異の検索は行っていないが,今後検討している.

PVOD, PCHいずれも肺移植のみが唯一の救命手段である.肺血管拡張薬により肺水腫が惹起されるため,多くの場合肺血管拡張薬は無効ないし,病状を増悪させうる.しかし限定的にだが,肺水腫に注意しながら慎重にエポプロステノールを増量することにより,移植待機となった症例が報告されている8).本症例も当初はエポプロステノールをはじめとする肺血管拡張薬が有効であるような印象であり,初期の正確な診断を難しくしていた.

本症例は剖検肺病理で,線維性内膜肥厚による肺小動脈内腔の完全閉塞を認め,叢状病変も散見するなど肺動脈側に不可逆かつ重度の病変を呈しており,組織学的にはPAHと診断される.叢状病変は通常PAHで観察され,PVOD/PCHではほとんど出現しない.しかし肺小静脈内膜肥厚による肺静脈閉塞,リンパ管拡張,肺胞毛細管の数層におよぶ増生も認めており,肺胞よりさらに肺静脈側にある高度な通過障害が病変の主体でもあった.本症例はPAHがあり二次的に肺静脈病変を合併し治療抵抗性になったのか,もしくはPVODがあり二次的に肺動脈側の病変が顕著になったか,不明である.しかし入院当初より肺血管拡張薬の増量で肺水腫を繰り返しており,まずPVODがあり二次的に肺動脈側に顕著な病変を生じたと考える方が病態を一元的に説明できる.PAHとPVOD/PCHは血行動態および臨床経過が大きく似通っており,臨床的にそして組織学的に厳密に一つの診断に当てはめることが難しい場合がある.またPAHと関連のある遺伝子異常(BMPR2)がPVOD症例でも報告されており9),PAH, PVOD/PCHは病変首座の違いはあるがいずれも同一の疾患群である可能性が考えられている.最新のNice臨床分類で,PVOD/PCHは1群PAHの中に含まれており,PAHとPVOD/PCHが別の疾患概念ではなく,同一概念の肺血管疾患とすることが提唱されている10)

PVODは成人よりも小児における報告が少ないが,世界初の小児PVODは1967年にWeisserらによって報告されている11).生後3か月以内にPVOD/PCHを発症した過去の報告をTable 2にまとめた.発症時の心臓超音波検査や心臓カテーテル検査から,9例中6例で肺血圧が体血圧を馮河する重症肺高血圧であった.多くは呼吸不全および高度の肺高血圧で発症し,発症後数週間以内に死亡している.近年,抗PAH薬の進歩により成人例と同様に治療効果が得られ,2016年以降の2例はcombination治療を行うことで12か月生存しているが,依然として予後は厳しく,全例発症から2年以内に死亡している.Wagenvoortらは臨床経過および剖検結果より,肺病変は胎生期に発症し進行したのではないかと推察している12).Oviedoらは低酸素への暴露が結果として肺血管病変を形成すると主張し,血管新生を抑制する治療が有効であると推察している16).PVOD/PCHの責任遺伝子変異のEIF2AK4は,McGovernらが報告した症例のうち1例で検索がなされていたが,陰性であった17)

Table 2 The patients with PVOD/PCH developed within the third months of life (*)
AuthorYearHistological diagnosisAge at onsetSexPAH targeted therapyHospitalizationOutcome
Wagenvoort12)1971PVOD1 weekMnone3 weeksdied
Voordes13)1977PVOD2 weeksMnone1 weekdied
Moragas14)1983PVOD1 weekFnone1 weekdied
Cagle15)1984PVOD3 monthsnone(sudden death)died
Oviedo16)2003PCHOn birth (stillborn)Mnone(stillborn)died
Oviedo16)2003PCH1 weekMNO7 weeksdied
McGovern17)2016PCH6 weeksFNO, Sildenafil Bosentan Epoprostenol12 months (hospitalized on and off)died
McGovern17)2016PCHOn birthMNO, Sildenafil Bosentan Adenosine3 monthsdied
Our case2019PVOD1 monthMNO, Sildenafil Tadalafil Epoprostenol12 monthsdied
PVOD: pulmonary veno-occlusive disease, PCH: pulmonary capillary haemangiomatosis, M: male, F: female, PAH: pulmonary arterial hypertension, NO: nitric oxide (*exception of PVO associated with total anomalous pulmonary venous connection.)

PVOD/PCHの診断には肺生検が重要である.臨床経過および心臓カテーテル検査の結果が似通ったPAHとPVOD/PCHを鑑別する唯一の手段が組織所見であり,その結果で治療方針が大きく変わる18).しかし肺区域により病理像がまだらである可能性があり,部分的に組織採取する肺生検が正しい診断に結びつかない場合がある.今回の症例のように肺動脈病変が目立ってしまうと,PAHと診断せざるをえない場合もある.このためPVOD/PCHが疑われる症例では,臨床経過によって複数回組織評価を行わなければ診断できない場合があると考えられるが,重症肺高血圧の児にとっては肺高血圧クライシスの危険性があり,複数回の肺生検は通常躊躇される.このため,本邦でも肺生検を行ってなお,PVOD/PCHの診断に至らなかった症例も存在するのではないかと推測される.

PVODでは肺血管拡張薬の効果はあくまで限定的であり,救命のためには肺移植を選択せざるをえない.長期間の生存も期待できないため治療抵抗性のPAHで肺血管拡張薬の増量により肺水腫を繰り返す場合はPVODを鑑別に挙げ,肺生検を行い,PVOD/PCHが疑わしい場合は早期の肺移植登録を考慮すべきである.また肺生検でPAHと診断されても,臨床経過と合わない場合,本疾患を念頭に置くべきである.

結語

PVOD/PCHは小児においても稀な疾患だが重症肺高血圧を呈し,臨床症状や検査所見がPAHと似通っているため,しばしば鑑別が困難である.しかしその予後は極めて不良であり,早期の肺移植のみが唯一の救命手段となる.肺血管拡張薬で繰り返す肺水腫を起こす場合はPVODを想起するべきであり,肺生検の結果がPVOD/PCHと診断できない場合も,本疾患の可能性を捨てず肺移植登録を含めた治療方針を検討するべきである.

謝辞Acknowledgments

肺生検の病理診断をしていただきました東北大学心臓血管外科の正木直樹先生ならびに剖検肺の病理診断をしていただきました国立循環器病研究センター病理部の植田初江先生に深謝いたします.

利益相反

本論文について,開示すべき利益相反(COI)はない.

著者の貢献度

杉野充伸は,筆頭著者として論文を作成した.森田理沙,浦山耕太郎,岩朝徹,田原昌博は医学的内容からの推敲に関与した.

引用文献References

1) Worner C, Cutz E, Yoo SJ, et al: Pulmonary venoocclusive disease in childhood. Chest 2014; 146: 167–174

2) Montani D, Lau EM, Dorfmüller P, et al: Pulmonary veno-occlusive disease. Eur Respir J 2016; 47: 1518–1534

3) Mandel J, Mark EJ, Hales CA: Pulmonary veno-occlusive disease. Am J Respir Crit Care Med 2000; 162: 1964–1973

4) Montani D, Price LC, Dorfmuller P, et al: Pulmonary veno-occlusive disease. Eur Respir J 2009; 33: 189–200

5) Lantuéjoul S, Sheppard MN, Corrin B, et al: Pulmonary veno-occlusive disease and pulmonary capillary hemangiomatosis: A clinicopathologic study of 35 cases. Am J Surg Pathol 2006; 30: 850–857

6) Eyries M, Montani D, Girerd B, et al: EIF2AK mutations cause pulmonary veno-occlusive disease, a recessive form of pulmonary hypertension. Nat Genet 2014; 46: 65–69

7) 森崎裕子:V. 肺高血圧症のトピックス3. 肺高血圧の原因遺伝子.血栓と循環2015; 23: 207–211

8) Montani D, Jaïs X, Price LC, et al: Cautious epoprostenol therapy is a safe bridge to lung transplantation in pulmonary veno-occlusive disease. Eur Respir J 2009; 34: 1348–1356

9) Montani D, Achouh L, Dorfmüller P, et al: Pulmonary veno-occlusive disease: Clinical, functional, radiologic, and hemodynamic characteristics and outcome of 24 cases confirmed by histology. Medicine (Baltimore) 2008; 87: 220–233

10) Simonneau G, Montani D, Celermajer DS, et al: Haemodynamic definitions and updated clinical classification of pulmonary hypertension. Eur Respir J 2019; 53: 1801913

11) Weisser K, Wyler F, Gloor F: Pulmonary veno-occlusive disease. Arch Dis Child 1967; 42: 322–327

12) Wagenvoort CA, Losekoot G, Mulder E: Pulmonary veno-occlusive disease of presumably intrauterine origin. Thorax 1971; 26: 429–434

13) Voordes CG, Kuipers JR, Elema JD: Familial pulmonary veno-occlusive disease: A case report. Thorax 1977; 32: 763–766

14) Moragas A, Huguet P, Torán N, et al: Morphogenesis of pulmonary veno-occlusive disease in a newborn: Image analysis study. Pathol Res Pract 1983; 176: 176–184

15) Cagle P, Langston C: Pulmonary veno-occlusive disease as a cause of sudden infant death. Arch Pathol Lab Med 1984; 108: 338–340

16) Oviedo A, Abramson LP, Worthington R, et al: Congenital pulmonary capillary hemangiomatosis: Report of two cases and review of the literature. Pediatr Pulmonol 2003; 36: 253–256

17) McGovern E, McNally P, O’Sullivan M, et al: Infantile pulmonary capillary haemangiomatosis: A lethal form of pulmonary hypertension. Cardiol Young 2016; 26: 663–668

18) 大郷恵子,植田初江,大郷 剛:肺動脈性肺高血圧および肺静脈閉塞症/肺毛細血管腫症の病理—最新の知見から—.日本呼吸器学会雑誌2014; 3: 471–477

This page was created on 2020-03-25T15:52:20.67+09:00
This page was last modified on 2020-04-23T14:17:10.000+09:00


このサイトは(株)国際文献社によって運用されています。