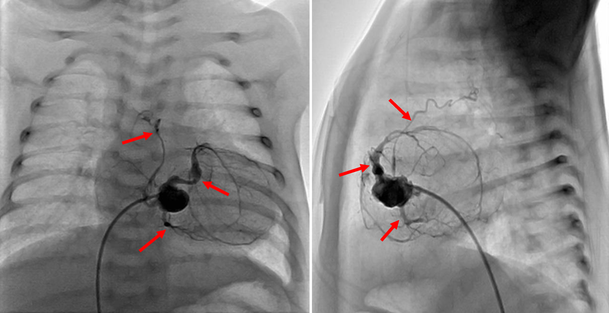
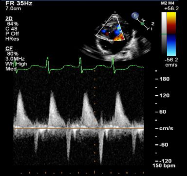
全冠動脈孔閉鎖を伴う純型肺動脈閉鎖症に対するAo-RV シャントの新たな治療戦略:Ao-RV シャントの有用性を類洞交通血流の変化で評価New Aorta-To-Right Ventricle Shunt Strategy for Pulmonary Atresia with Intact Ventricular Septum and Aortocoronary Atresia: Evaluation by Monitoring Sinusoidal Communication Flow
1 JCHO中京病院中京こどもハートセンター小児循環器科Department of Pediatric Cardiology, Chukyo Children Heart Center, Japan Community Health Care Organization Chukyo Hospital ◇ Aichi, Japan
2 JCHO中京病院中京こどもハートセンター心臓血管外科Department of Cardiovascular Surgery, Chukyo Children Heart Center, Japan Community Health Care Organization Chukyo Hospital ◇ Aichi, Japan








