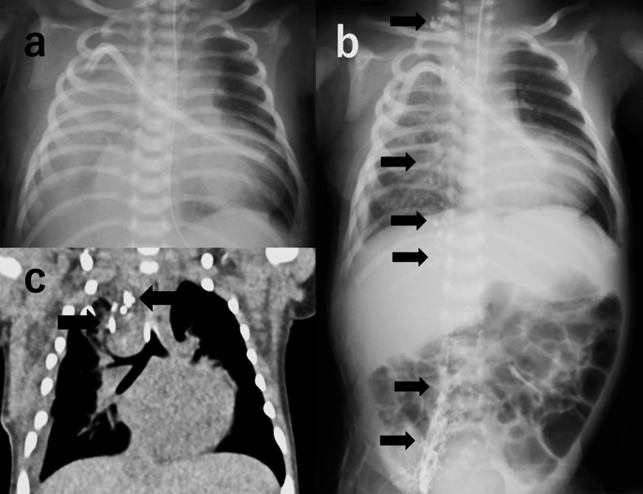
先天性心疾患術後難治性乳び胸に対してリピオドールリンパ管造影が有効であった新生児の一例Successful Intranodal Lymphangiography for Refractory Chylothorax in a Neonate with Congenital Heart Disease
1 富山大学附属病院小児科Department of Pediatrics, Toyama University Hospital ◇ Toyama, Japan
2 帝京大学医学部附属病院放射線科Department of Radiology, Teikyo University Hospital ◇ Tokyo, Japan
3 富山大学附属病院第1外科Department of 1st Surgery, Toyama University Hospital ◇ Toyama, Japan


