Online ISSN: 2187-2988 Print ISSN: 0911-1794
特定非営利活動法人日本小児循環器学会 Japanese Society of Pediatric Cardiology and Cardiac Surgery
Pediatric Cardiology and Cardiac Surgery 37(4): 312-317 (2021)
doi:10.9794/jspccs.37.312

症例報告Case Report

心原性失神とてんかんの鑑別に植込み型心電図モニタが有用であった1女児例An Adolescent Girl Case in Whom an Insertable Cardiac Monitor was Useful for Discrimination Between Cardiogenic Syncope and Epilepsy

1順天堂大学小児科Department of Pediatrics, Juntendo University Faculty of Medicine ◇ Tokyo, Japan

2順天堂大学循環器内科Department of Cardiology, Juntendo University Faculty of Medicine ◇ Tokyo, Japan

受付日:2021年1月15日Received: January 15, 2021
受理日:2021年7月10日Accepted: July 10, 2021
発行日:2021年12月1日Published: December 1, 2021
HTMLPDFEPUB3

症例は14歳女児で,繰り返す活動時の一過性意識障害(transient loss of consciousness: T-LOC)を主訴に来院した.脳波検査所見は右頭頂部から側頭部に棘徐波を認め,てんかん疑いでlamotrigineを開始したが改善がなく,さらなる精査を行った.心臓電気生理学的検査に異常はなかった.心臓CT検査にてinterarterial(壁内走行を伴わず大動脈と肺動脈の間を走行する)の右冠動脈起始異常を認めたが,運動負荷試験で心筋虚血を示す所見がなかった.脳波所見は非典型的所見であり,てんかん発作には稀な活動時のT-LOCが見られたことから,心原性失神とてんかんの鑑別が困難であり植込み型心臓モニタ(insertable cardiac monitor: ICM)の植込みを実施した.ICM植込み後にT-LOCを認めた際の記録では,不整脈はなく,けいれん発作を疑う筋電図の混入を認めた.この結果と発作時の様子を合わせて焦点性起始両側強直間代性発作(FBTCS)によるT-LOCと診断し,lacosamideの併用により症状は軽快した.鑑別が困難なT-LOCでは,小児であってもICMの活用が有効である.

A 14-year-old girl with recurrent episodes of transient loss of consciousness (T-LOC) during physical activities was presented to our hospital accompanied by her mother. She was started on lamotrigine on suspicion of epilepsy. Further investigations were conducted since there was no improvement. The electrophysiology study was normal, but the cardiac computed tomography (CT) showed an abnormal origin of the right coronary artery, which was interarterial (running between the aorta and pulmonary artery but had no intramural course). The exercise stress test revealed no evidence of myocardial ischemia. Electroencephalography (EEG) findings were atypical, and the T-LOC episodes during physical activity, which are rare in epileptic seizures, made it difficult to differentiate between cardiogenic syncope and epilepsy. Therefore, an insertable cardiac monitor (ICM) was implanted. After implantation, the ICM recordings showed that the T-LOC episodes were not accompanied by any arrhythmias. However, electromyography (EMG) activity was suspicious of a seizure. Based on these results and the clinical findings, we concluded that the T-LOC was due to focal to bilateral tonic-clonic seizures (FBTCS), and concomitant use of lacosamide helped in marked relief of the patient’s symptoms. ICM proves to be effective in children with T-LOC that is difficult to diagnose.

Key words: insertable cardiac monitor; transient loss of consciousness; epilepsy; cardiogenic syncope

はじめに

植込み型心臓モニタ(insertable cardiac monitor: ICM)(Fig. 1)は本邦で平成21年10月より,短期間に一過性意識障害(transient loss of consciousness: T-LOC)を繰り返し,心臓超音波検査や心臓電気生理学的検査等で原因が特定できない症例に対して保険適用となった,皮下植込み型の心電計である.約3年間の電池寿命を有し,意識消失出現時の心電図所見をとらえることにより,意識消失の原因の診断に有用な手段である.徐脈や頻脈時の自動記録のほか,症状の出現時に患者自身あるいはバイスタンダーがイベントボタンを押すことにより,数分前に遡って心電図を記録することができる.T-LOCは失神(脳全体の一過性低灌流)と非失神(てんかん,代謝性疾患,中毒など)に分類されるが,共通して前駆症状に眼前暗黒感や冷汗動悸を認めることがあり,非典型的な症例においては鑑別に苦慮することがある.今回,活動時のT-LOCを認め,非特異的脳波所見と右冠動脈起始異常が存在するため,てんかんと心原性失神の鑑別が困難であったが,ICMの植込みにより,てんかんの確定診断と治療が奏功した小児例を経験したので報告する.

Pediatric Cardiology and Cardiac Surgery 37(4): 312-317 (2021)

Fig. 1 Insertable cardiac monitor: ICM

Reveal LINQ® (Japan Medtronic Co., Ltd.)

症例

症例

14歳女児

主訴

意識消失

既往歴

正常発達,成育歴,家族関係に特記事項なし

家族歴

心疾患,突然死,てんかんなし

現病歴

20XX年12月に初回のT-LOCを認めた.20XX+1年4月に2回目のT-LOCがあり,前医を受診した.駆け足の階段昇降時,食事中,歩行時などに発作があり,動悸,眼前暗黒感を伴わず,意識回復は速やかであった.食事中の発作では間代性の四肢の運動を伴ったとの情報があったが,同伴の保護者はいずれの発作も目撃しておらず,発作型がはっきりしなかった.血液一般検査,安静時心電図,ホルター心電図,起立試験,Head-up tilt試験,頭部MRIは異常なかった.発作間歇期の脳波検査では右頭頂部から側頭部を中心に3 Hzの棘徐波複合が数回出現した.過呼吸賦活では病的な脳波変化を伴わなかった.T-LOCを説明しうる所見でなく,原因特定に至らなかった.そこで,試験的に抗てんかん薬(lamotrigine: LTG)を開始したがその後も3回の発作は抑制されず,T-LOCの精査目的に当院に紹介受診となり,精査の目的で入院となった.

入院時現症

身体所見

身長154.5 cm(+0.2 SD),体重51.8 kg(+0.6 SD),体温36.5°C,心拍数76/min,血圧116/70 mmHg

ADL

独歩で入室,病状を自ら説明できる

顔面

顔色良好,眼瞼結膜貧血なし

胸部

心音整,心雑音なし,呼吸音清,喘鳴なし

腹部

平坦軟,圧痛なし,肝脾腫なし

神経学的所見

異常なし

血算,一般生化学検査

異常なし

安静時心電図検査

正常洞調律,QT延長なく,PVC等の不整脈なし

エルゴノメータ負荷心電図検査

異常なし

胸部単純X線

CTR 41.2%,心拡大なし,肺野の透過性低下なし

心臓超音波検査

LVDd/Ds 42.2 mm/25.8 mm, IVSD/LVPWD 8.2 mm/8.1 mm, LVFS 38.8%,LVEF 69.6%,D-shapeや右心室の拡大なし.左室/右室流出路狭窄なく,構造異常なし

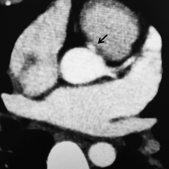
造影心臓CT(Fig. 2)

Michaelらの国際分類でinterarterial1)(壁内走行を伴わず大動脈と肺動脈の間を走行する)の右冠動脈の起始部異常を認めた.

Pediatric Cardiology and Cardiac Surgery 37(4): 312-317 (2021)

Fig. 2 Cardiac CT imaging

Cardiac CT confirmed that the right coronary artery originated from the anterior 1 o'clock direction of the aortic valve and ran between it and the pulmonary artery. The arrow indicates the right coronary artery.

心臓カテーテル検査

造影心臓CTにて冠動脈奇形等の可能性も考えられたため,左室造影および冠動脈の造影検査を施行した.左室内の狭窄所見なく,心壁の運動は良好であり左冠動脈起始部は正常だが右冠動脈の起始異常を認めた.

心臓電気生理学的検査(EPS)

プログラム刺激による頻発発作の誘発はなく,洞結節の回復時間および房室伝導機能は正常範囲内であった.イソプロテレノール負荷による不整脈の誘発も認められなかった.

運動負荷99 mTc-TF心筋血流シンチグラフィー

虚血所見なし

以上から,各種検査でも右冠動脈の起始異常はあるが,運動負荷による心筋虚血や不整脈誘発所見がなく,T-LOCの原因としては確定的ではなかった.また,若年女性という点で,心因性意識消失の鑑別も重要であったが,既往に発達障害はなく,本人と同居ご家族へは外来診療にて繰り返し詳細な問診を実施し,急激な環境の変化もなく,急性ストレス障害のような状況はないと判断した.発作時にヒステリー様の情動的な誘因を疑わせるエピソードもなかったことから,心因性の意識消失の可能性を否定した.

一方で導入した抗てんかん薬で発作の抑制に至らず,歩行中や座位の状態での作業中に数十秒程度のT-LOCが4回出現するなど確定診断と治療において苦慮した.

また,冠動脈の起始異常によるT-LOCの可能性も完全には否定しえず,歩行中の発作による転倒で頭部打撲もあり,治療方針の決定を急ぐ必要もあったため,ICMによる観察の方針とした.前述のカテーテル室での造影および心臓電気生理学的検査の終了時に,ICM(Reveal LINQ®,日本メドトロニック株式会社)植込みとし,翌日退院とした(Fig. 3).

Pediatric Cardiology and Cardiac Surgery 37(4): 312-317 (2021)

Fig. 3 Chest X-ray and wound condition after ICM implantation

A chest X-ray after ICM implantation is shown (upper figure). The dashed round frame indicates the ICM device implanted subcutaneously. The skin condition (lower figure) about 1 month after ICM implantation was good, and the proceedings have passed without any complaints such as discomfort.

ICM植込み37日後に30秒程度の意識消失発作がありバイスタンダーによりイベントボタンが押された.ICMには徐脈や頻脈いずれのイベント記録もなかったが,けいれん発作の一部と思われる筋電図の混入を認めた(Fig. 4)ことから,心原性失神は否定的であり,てんかん原性の意識消失を強く疑い,抗てんかん薬治療の強化と調整を進める方針とした.LTGに加えてLCM(lacosamide)の併用を開始した.LCMの併用後,繰り返していた意識消失発作は軽快し,2年間経過するがICM植込みに伴う創部異常も起こらず管理状況は良好である(Fig. 5).

Pediatric Cardiology and Cardiac Surgery 37(4): 312-317 (2021)

Fig. 4 ICM recorded ECG waveform during a loss of consciousness attack

No arrhythmia that could cause loss of consciousness was observed, while electromyography (EMG) waveform contamination was recorded. (Inside the dashed square frame)

Pediatric Cardiology and Cardiac Surgery 37(4): 312-317 (2021)

Fig. 5 Clinical course

The clinical course is shown in the figure. Loss of consciousness attacks (marked with a downward triangle in the figure) were repeatedly observed, but abnormal electroencephalogram (EEG) that could explain the epileptic seizure was not captured by re-examination of the EEG (circled in the figure). Administration of LTG was ineffective, and ICM implantation was performed after close examination for cardiogenic syncope differentiation. A loss of consciousness attack was captured 37 days after ICM implantation. Based on the ICM findings which showed the attack was not depend on cardiac event, we treated with additional antiepileptic drug LCM, and the attack disappeared thereafter. EEG, electroencephalogram; ICM, insertable cardiac monitor; LTG, lamotrigine; T-LOC, transient loss of consciousness

考察

T-LOCは大きく失神(脳全体の一過性低灌流)と非失神(てんかん,代謝性疾患,中毒など)に分類される(Table 12).失神に関しては,心原性,反射性,起立性に分けられ,共通して前駆症状に眼前暗黒感や冷汗,動悸を認めることがある.けいれん発作やそれに伴う眼球偏位は稀である.これらの鑑別のためには心電図,ホルター心電図,心臓超音波の他にHead-up tilt testや起立試験等が挙げられるが,これらの検査を行っても診断が確定しない症例に対して,ICMが有用な場合がある.一方で非失神の原因疾患として最も多いのはてんかん性疾患である.前駆症状としては身体感覚の異常,ミオクローヌス様の運動,大声を挙げるなど,失神とは異なる症状を認める.けいれん発作は数秒から数分あり,眼球偏位は焦点とは反対側に向くことが多い.検査は頭部MRIや脳波検査などが挙げられる.

Table 1 Identification of transient loss of consciousness attack (T-LOC)
T-LOC
Syncope (transient hypoperfusion throughout the brain)Non-syncope (neurogenic)
CardiogenicReflectiveOrthostaticEpilepsy
ProdromeFeeling of darkness, Cold sweat, Palpitation, etc.Abnormal bodily sensation, Myoclonus-like exercise, Loud, etc.
ConvulsionUncommonUncommonUncommonA few seconds~a few minutes
Eye deviationUncommonUncommonUncommonOften faces the other side of the focus
Tongue biteTongue tipTongue tipTongue tipOften on the side of the tongue
Blood pressureLowLowLowHigh
ExaminationsEcho-cardiography
ECG
Holter ECG
Head-up tilt testSchellong testBrain MRI
CT
EEG
ICM is effectiveICM is maybe effective?

ここで,成人対象の文献を引用して,失神と非失神の鑑別にICMが有用であるかを考察する.2009年に発表された欧州心臓病学会のポジションペーパーでは,従来の精査を行っても原因が確定しなかったT-LOC患者を対象とした9つの研究でプールされたデータの解析を報告している.対象となる506名の患者のうち,発作時心電図が得られたのは176例(35%)だった.そのうち56%は心停止または稀に徐脈・11%が頻脈性不整脈,33%は不整脈が記録されていなかった3).つまり,あらゆる検査を施行しても原因不明の失神患者の約2/3は,ICMにより不整脈の確定診断が可能であったと解釈される.しかしながら,Brignoleら3)が用いたプールデータは症例報告や小規模なシリーズに限られていたため,Maggiら4)は系統的評価を行っている.失神か非失神かを診断するためにICMが有用かを評価目的にT-LOCを認めた58人の患者にICMを植込み,33人の患者(57%)の発作イベントが記録され,うち15人(26%)の患者に不整脈が認められ心原性失神の診断に至り,残り18人の患者で,発作時に不整脈が記録されなかったことから心原性失神は除外し非失神と診断された.以上からICMが失神と非失神かの診断に有用であったと報告している.後に発表された2017 ACC/AHA/HRS Guideline for the Evaluation and Management of Patients With Syncope5)において,ICMの推奨とエビデンスレベルはIIa(Level B-Randomized)となっている.本ガイドラインにも引用されたKrahnら6)の報告では,60人の原因不明の失神患者を対象とした前向き研究で,EPSを含む従来の検査での診断率は19%であったのに対して,ICMでは55%であったと報告している.比較的侵襲を伴うEPSよりも,小型化により植込み自体が簡便となったICMのほうが診断率は高いという結果であった.

不整脈を検出するために植込まれたICMに強直間代けいれんを疑う筋電図を記録され,てんかんの診断に至った成人症例7)は過去にも報告がある.本症例でもイベントに合わせた短時間の筋電図の混入がみられ,ICMが近傍筋の強直運動もしくはミオクローヌスを記録したものと考えられた.その発作が間代性のけいれんを伴ったかは不明だが,意識消失を伴うことから,大脳の興奮は大脳両側に波及していたことは間違いがない.強直発作では,先行する短いミオクロニー発作を伴う場合があり,ミオクローヌスによる強く急な体幹筋の収縮が記録された可能性も考えられる.前方への転倒することが多く,外傷の原因となる場合があり,本症例の経過と矛盾しない.発作の型や筋電図の混入の仕方は症例により多様であるが,てんかんの可能性を再考するきっかけとなった.発作起始については,先行する症状を認めず右半球に限局した棘徐波がみられることから,急速に波及する右半球からの焦点起始両側強直間代発作(FBTCS)と推測される.Hoら8)は難治性てんかんを持つ14例の患者にICMを植込み,脳波との同時記録を試みた.6例で強直間代性けいれんに一致する筋電位変化が記録されたと報告しており,ICMは強直間代性けいれんを伴うてんかんの一部で診断に有用であると報告している.

右冠動脈起始異常も検査から発見されたが,本症例のような近位血管に狭窄や虚血の所見がない場合の予後は一般に良好であり,治療介入は不要とされている1)

以上より,原因不明のT-LOCに対してICMを用いることで,心原性失神の否定をしうるという観点と,稀ではあるが発作時筋電図混入からてんかんの診断へ至る可能性があり,診断に難渋する症例ではICM植込みが有効と考えられる.

結語

今回,診断に難渋したT-LOCの症例に対してICM植込みを行い,心原性失神の除外に有効であった小児例を経験した.心原性失神の除外が可能となったことにより,抗てんかん薬治療を積極的に進めることが可能となり,症状改善へ繋がった.意識消失による受傷がある場合は,治療方針の決定に急を要することもあり,鑑別が困難なT-LOCでは,ICMが有効である.

謝辞Acknowledgments

英文校正を快く引き受けていただいたPADIACHY Praben先生に感謝申し上げます.

利益相反

本論文に関連して,開示すべき利益相反状態はありません.

著者の役割

福永英生と関田学は,患者の診察,検査とICM植込みに関与した.池野 充,細野 優,若月寿子,松井こと子,原田真菜,古川岳史は検査入院に当たって鑑別精査を担当した.高橋 健,稀代雅彦,清水俊明はカンファレンスを通じて症例の治療方針の意思決定をサポートした.福永英生は論文執筆のcorresponding authorとして関与し,すべての共著者が最終原稿を読んで承認した.

引用文献References

1) Michael C, Richard L, Nishant S, et al: Anomalous aortic origin of a coronary artery from the inappropriate sinus of valsalva. J Am Coll Cardiol 2017; 69: 1592–1608

2) 伊藤 朗,高櫻龍也,新井大輔:【神経内科診療のギモン】神経救急・意識障害—失神の意識障害とてんかんの意識障害の鑑別診断の仕方を教えてください—. Mod Phys 2015; 35: 469–471

3) Brignole M, Panos V, Ellen H, et al: Indications for the use of diagnostic implantable and external ECG loop recorders. Europace 2009; 11: 671–687

4) Maggi R, Martina R, Alice C, et al: Additional diagnostic value of implantable loop recorder in patients with initial diagnosis of real or apparent transient loss of consciousness of uncertain origin. Europace 2014; 16: 1226–1230

5) Shen WK, Sheldon RS, Benditt DG, et al: 2017 ACC/AHA/HRS Guideline for the evaluation and management of patients with syncope a report of the American College of Cardiology/American Heart Association Task Force on Clinical Practice Guidelines and the Heart Rhythm Society. J Am Coll Cardiol 2017; 70: e39–e110

6) Krahn AD, Klein GJ, Yee R, et al: Randomized assessment of syncope trial: Conventional diagnostic testing versus a prolonged monitoring strategy. Circulation 2001; 104: 46–51

7) Tetsuo B, Minoru S, Eitaro S, et al: A case of loss of consciousness due to epilepsy diagnosed using an lmplantable loop recorder. J Arrhythm 2011; 27: 76–79

8) Ho RT, Wicks T, Wyeth D, et al: Generalized tonic-clonic seizures detected by implantable loop recorder devices: Diagnosing more than cardiac arrhythmias. Heart Rhythm 2006; 3: 857–861

This page was created on 2022-02-04T08:42:07.382+09:00
This page was last modified on 2022-03-08T09:22:45.000+09:00


このサイトは(株)国際文献社によって運用されています。