Online ISSN: 2187-2988 Print ISSN: 0911-1794
特定非営利活動法人日本小児循環器学会 Japanese Society of Pediatric Cardiology and Cardiac Surgery
Pediatric Cardiology and Cardiac Surgery 37(4): 320-328 (2021)
doi:10.9794/jspccs.37.320

症例報告Case Report

体肺側副血管と肺動脈の塞栓後に開窓作成術を行い中心静脈圧の低下が得られた肺静脈閉塞を合併したFailing Fontanの一例A Case of Failing Fontan with Pulmonary Vein Occlusion Obtained Decrease in the Central Venous Pressure by Fenestration Creation after Embolization of Minor Aortopulmonary Collateral Artery and Pulmonary Artery

1新潟大学医歯学総合病院小児科Department of Pediatrics, Niigata University Graduate School of Medical and Dental Sciences ◇ Niigata, Japan

2新潟大学医歯学総合病院心臓血管外科Department of Thoracic and Cardiovascular Surgery, Niigata University Graduate School of Medical and Dental Sciences ◇ Niigata, Japan

受付日:2021年3月4日Received: March 4, 2021
受理日:2021年7月19日Accepted: July 19, 2021
発行日:2021年12月1日Published: December 1, 2021
HTMLPDFEPUB3

肺静脈閉塞を合併したFontan術後患者に対する有効な治療法はなく予後は不良である.今回我々はFontan術後に右肺静脈閉塞を来し,多量の胸水,浮腫,心房性不整脈が出現した急性心不全の3歳女児例に対して体肺側副血管と右肺動脈の塞栓後に開窓作成術を行った.体肺側副血管の塞栓は3回のセッションに分けて51本のコイルを使用した.右肺動脈塞栓は計5個のAmplatzer Vascular Plug(AVP)と計2本のコイルを用いて,手技時間は3時間程度で合併症なく完全閉塞できた.その後に開窓作成術を行い,中心静脈圧は閉塞術前の20 mmHgから7 mmHgへ低下した.手技に伴う合併症はなく,手技時間も短く施行し得た.しかし術後9日目に心タンポナーデを発症し死亡した.過去に肺静脈閉塞を合併したFontan術後症例に対して体肺側副血管と患側の肺動脈を完全に塞栓した報告はない.本治療は一時的に肺静脈閉塞を伴うFontan患者の循環動態を安定させた.

No effective treatments currently exist for patients who have undergone the Fontan procedure with pulmonary vein occlusion (PVO), and the prognosis is poor. We present a case of a 3-year-old girl with acute heart failure who developed right PVO after undergoing the Fontan procedure, and a large amount of pleural effusion, edema, and atrial arrhythmia was noted. Fenestration was created after embolization of the minor aortopulmonary collateral arteries (mAPCAs) and right pulmonary (RPA) artery. The embolization of mAPCAs was divided into 3 sessions using 51 coils. For RPA embolization, 5 Amplatzer Vascular Plugs and 2 coils were used. The duration of this procedure was approximately 3 h, and complete occlusion of RPA was achieved without complications. Subsequently, fenestration creation was performed, and the central venous pressure decreased from 20 mmHg to 7 mmHg. However, the patient deceased because of cardiac tamponade on day 9 postoperatively. To our knowledge, there have been no reports on the complete embolization of the mAPCAs and PA in patients who have undergone the Fontan procedure with PVO. This treatment temporarily stabilized the hemodynamics in patients who have undergone the Fontan procedure with PVO.

Key words: acute heart failure; failing Fontan; pulmonary vein occlusion; embolization of pulmonary artery; embolization of minor aortopulmonary collateral artery

諸言

Fontan術後に肺静脈が閉塞すると肺血管床の減少や患側の体肺側副血管が発達し中心静脈圧が上昇する.体肺側副血管の増加は体循環血流の減少と前負荷の上昇を引き起こし,血圧や尿量の低下,心房性不整脈や房室弁閉鎖不全増悪の原因となる.さらに心拍出量は低下し,難治性かつ急速な心不全に至る.閉塞の解除が唯一の治療法だが,無脾症候群や単心室血行動態の患者では解除が困難である1, 2).有効な治療法がなく肺静脈閉塞を合併した患者の予後は悪い3)

今回我々はFontan術後に右肺静脈閉塞を認めた症例にカテーテルインターベンションと開窓作成術を併せて行い一時的に循環動態の安定化が得られた症例を経験した.右肺の血流を遮断した後に開窓を作成し一時的であるが中心静脈圧の低下,胸水のコントロール,血圧や尿量の上昇を得ることができた.文献的な報告のない治療法であり経過と転帰を報告する.

本論文は,日本小児循環器学会倫理委員会が策定した医学研究および発表される医学研究論文・演題発表に関する倫理指針を十分に踏まえた上で作成した.

症例

症例

3歳女児

診断

無脾症候群,右胸心,両大血管右室起始,共通房室弁,肺動脈閉鎖,両側上大静脈,右側大動脈弓,右下肺静脈狭窄

現病歴

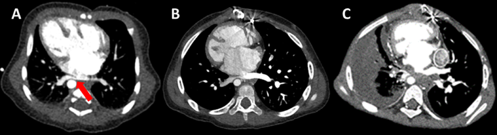
胎児エコーで先天性心疾患が疑われ当院にて管理を行った.在胎40週6日,2,964 gで出生し上記のように診断した.日齢8の造影CTで右下肺静脈が下行大動脈から圧迫され(Fig. 1A),将来的に同部位の閉塞を起こす可能性があった.

Pediatric Cardiology and Cardiac Surgery 37(4): 320-328 (2021)

Fig. 1 Image of contrast-enhanced computed tomography

(A) Image of contrast-enhanced computed tomography on day 8. The right lower pulmonary vein was compressed by the descending aorta and atrium (arrow). (B) Image of contrast-enhanced computed tomography before Fontan procedure. The right lower pulmonary vein stenosis was still present. (C) Image of contrast-enhanced computed tomography 3 month after Fontan procedure. The right lower pulmonary vein was occluded and a large amount of pleural effusion was appeared.

2か月時に右側modified BTシャントと肺動脈形成術を施行し,術後から共通房室弁閉鎖不全が増悪したためエナラプリルを開始した.5か月時に両側両方向性グレン手術と肺動脈形成術を行った.術後も共通房室弁閉鎖不全は残存し,心房拡大による右下肺静脈狭窄の進行が懸念され前負荷軽減目的に左内胸動脈のコイル塞栓術を1歳0か月時に施行した.

その後は共通房室弁閉鎖不全の増悪なく成長発達が得られた.2歳2か月時にFontan手術前評価として心臓カテーテル検査などの精査を行った.心臓カテーテル検査は両側の平均肺動脈圧は8,平均下大静脈圧は5,右室容積は109% of normal, RVEFは59%,PA indexは251であった(Table 1).上大静脈造影で右肺動脈への順行性血流を認め,体肺側副血管の発達は左右差を認めなかった.造影CT検査で右下肺静脈狭窄を(Fig. 1B),心エコー検査では共通房室弁閉鎖不全を認めた(Fig. 2A).

Table 1 Data of cardiac catheter before Fontan procedure
Pressure study (mmHg)
Sitea wave/systolicv wave/diastolicMean
Right SVC111111
Left SVC111211
Central PA10109
Right PA998
Left PA10128
Right PAWP897
Left PAWP985
Rt upper PV9108
Lt upper PV875
IVC875
dAo874363
End Diastolic
RV856
Measurement
RVEDV (mL)30.3 (109% of normal)
RVESV (mL)12.5RVEF (%)59
Rt PA (mm)6.2PA index251
Lt PA (mm)10.7
dAo, descending aorta; IVC, inferior vena cava; PA, pulmonary artery; PAWP, pulmonary artery wedge pressure; PV, pulmonary vein; RV, right ventricle; RVEDV, right ventricular end diastolic volume; RVEF, right ventricular ejection fraction; RVESV, right ventricular end systolic volume; SVC, superior vena cava.
Pediatric Cardiology and Cardiac Surgery 37(4): 320-328 (2021)

Fig. 2 Image of echocardiography

(A) Image of echocardiography before Fontan procedure. Moderate common atrioventricular valve regurgitation was observed. (B) Image of echocardiography after Fontan procedure pulmonary vein stenosis repair and common atrioventricular valve plasty. Common atrioventricular valve regurgitation was improved.

右下肺静脈狭窄と共通房室弁閉鎖不全を認めるが,Fontan手術時に両者に介入することでFontan循環が成立すると判断した.開窓は導管から心房へのシャントにより心房心室容積が拡大し共通房室弁閉鎖不全の増悪や右下肺静脈が圧排されると考え施行しない方針とした.2歳7か月でコイル塞栓術を行い,2歳8か月時にFontan手術(Extracardiac TCPC 16 mm,開窓なし)+共通房室弁形成術(Kay/Reedによる弁輪縫縮)+右肺静脈狭窄解除術(Sutureless technique)を施行した.

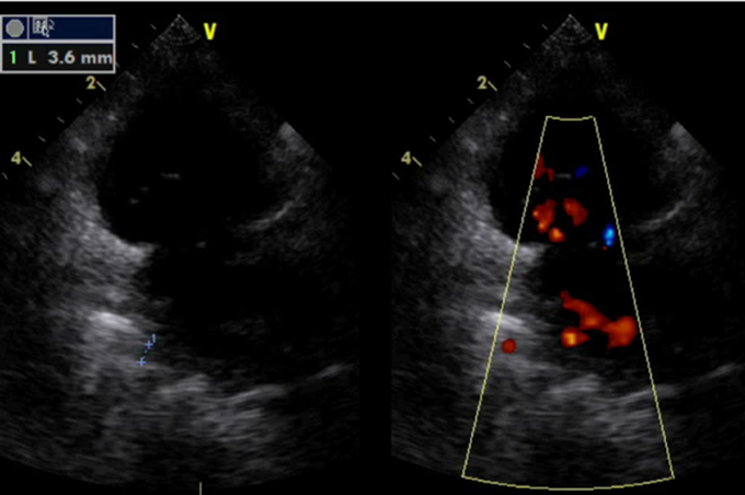
術後経過は良好で術後26日の心臓超音波検査では右下肺静脈の径は3.6 mm(Fig. 3)で,房室弁閉鎖不全は改善した(Fig. 2B).術後28日の胸部レントゲンで右肺うっ血なくCTR 41%であった.術後35日に退院した.

Pediatric Cardiology and Cardiac Surgery 37(4): 320-328 (2021)

Fig. 3 Image of echocardiography after Fontan procedure pulmonary vein stenosis repair and common atrioventricular valve plasty

The rt lower pulmonary vein diameter was 3.6 mm and no blood flow acceleration was observed.

術後2か月まで肺うっ血を認めなかったが,術後3か月で発熱,多呼吸,咳嗽や頻脈が出現した.胸部レントゲンで右肺うっ血と胸水を認め,造影CTで右肺静脈閉塞と肺炎所見を認めた(Fig. 1C).心臓血管外科と協議し,右肺静脈は心膜外で狭小化を認め,かつ末梢側まで細く修復は困難との結論に達した.抗菌薬に反応なく胸水が増加したため右胸腔ドレナージを行った.胸の培養検査や細胞診で異常所見なし.利尿剤の増量を行い徐々に胸水は減少し退院した(2歳11か月).

退院後は緩徐に利尿剤を減量したが3歳3か月時に胸水再貯留,多呼吸,乏尿や全身浮腫が出現し入院した.右側優位の両側胸水,CTR 50%と心拡大,房室弁閉鎖不全の増悪と心房頻拍(心拍数150 bpm)を認めた.心不全の急性増悪と考え入院した.

入院後経過

ドブタミン,オルプリノンとフロセミド持続静注を開始した.胸腔ドレナージ下でオクトレオチド持続注射,プレドニゾロンや脂肪制限を行った.心房頻拍はプロプラノロールとデクスメデトミジンを開始した.治療に反応せず,循環動態を把握するため心臓カテーテル検査を施行した(Table 2).

Table 2 Data of cardiac catheter data after rt pulmonary vein occlusion
Pressure study (mmHg)
Sitea wave/systolicv wave/diastolicmean
Right SVC222021
Left SVC212219
IVC202119
Conduit202219
Central PA212219
Right PA252122
Left PA212318
Right PAWP433637
Left PAWP191816
dAo834765
End Diastolic
RV784
dAo, descending aorta; IVC, inferior vena cava; PA, pulmonary artery; PAWP, pulmonary artery wedge pressure; RV, right ventricle; SVC, superior vena cava.

平均中心静脈圧は20 mmHg,左右の平均肺動脈楔入圧は16と37 mmHgで,心係数は1.82 L/min/m2,肺体血流比は2.88であった.下大静脈造影は造影剤が左肺動脈にのみ還流した(Fig. 4A).右鎖骨下動脈や下行大動脈造影は右側へ向かう多量の体肺側副血管を認め(Figs. 4B, C, D),右肺動脈に還流した血液は全て左肺動脈へ逆行した.

Pediatric Cardiology and Cardiac Surgery 37(4): 320-328 (2021)

Fig. 4 Cine angiograms of the case

An inferior vena cava angiogram demonstrates that only the left pulmonary artery was imaged, and no contrast agent flowed into the right pulmonary artery (A). An aortogram shows the large intercostal arteries and inferior phrenic artery (B and C). A right subclavian artery angiogram demonstrates many aortopulmonary collateral arteries (D).

治療方針の検討と術式の決定

Fontan手術前から右肺静脈狭窄を認めたが,術前の上大静脈造影では右肺動脈への順行性血流を認め,平均肺動脈楔入圧は右が左より2 mmHg高いが体肺側副血管の発達は両者で差を認めなかった.右肺静脈閉塞後から心房頻拍と難治性胸水が初めて出現し,弁形成術で改善した房室弁閉鎖不全が再増悪した.心臓カテーテル検査で右側の体肺側副血管の著明な増生を認め,CTRはFontan術直後の41%から50%まで増大した.右肺静脈閉塞により右側の体肺側副血管が急速に増加し心房心室の容量負荷を起こし,この病態を惹起したと考えた.しかし右肺静脈閉塞の外科的修復は困難なため他の方法を検討した.

Fontan経路内に流入する体配側副血管の血流を遮断することで,心臓への容量負荷を減少できると考えた.片肺であり可能な限り中心静脈圧を下げることが必要で,右側体肺側副血管と右肺動脈を塞栓して右肺血流を遮断した上で開窓を作成する方針とした.

右肺血流の遮断方法として右肺動脈近位部の結紮または右肺切除術を検討した.しかし右肺動脈結紮は開窓の術野から大動脈を挟んで対側にあり結紮が難しく,かつ無数に増生した体肺側副血管からの止血処理が困難でリスクが高いと考えた.

次に経皮的な体肺側副血管と肺動脈の塞栓を検討した.側副血管は無数に増生し蛇行が強く,手技に難渋することが予想され複数回のセッションが必要かつ完全閉塞は困難と考えた.肺動脈塞栓は塞栓後のデバイスが気管支など周囲の構造物を圧迫する可能性,塞栓後に体肺側副血管の血液が停滞して出血を起こす可能性や血栓形成の可能性が考えられた.

両者を比較し,経皮的手技は手技に伴うリスクはあるが総合的には低侵襲に体肺側副血管の遮断が可能と考えられたため経皮的塞栓を選択した.

開窓の作成方法を検討した.経皮的作成術は手術に比して侵襲は小さい4)が,心房の左側を導管が走行しており穿刺用Needleを垂直に向けられる部位がなく手技に難渋すると予想した.外科手術は全身状態が悪いため周術期のリスクが大きいが,開窓を確実に作成できると考え外科的な作成を選択した.

倫理的配慮

片側の肺動脈閉塞や低形成で片肺のFontan循環で生存している報告が見られた5).それを参考に小児科と心臓外科で本症例においても患側肺をFontan循環から外すことで生存の可能性が高まるか,そしてその治療は倫理的に妥当かを検討した.片肺Fontanのほうが循環は安定するかもしれないが,一般的な治療法でなく,かつ侵襲が大きいため家族の同意が得られた場合に治療を行う方針とした.上記を説明したところ,上記方針に同意されたため治療を行った.

治療手技と経過

①体肺側副血管塞栓とその後の経過

Long sheathを目的血管の手前まで進め,マイクロカテーテルとガイドワイヤーを用いて血管遠位部を目指したが,側副血管は強く蛇行しており到達に難渋した.右側の鎖骨下動脈,肋間動脈と下横隔動脈の塞栓を中心に,3回のセッションにわたり51本のコイルで塞栓した.しかし塞栓後の造影で依然として多量の側副血管が残存していた.

その後はオクトレオチドとデクスメデトミジンを中止したが胸水と心房頻拍の再燃なく経過し尿量増加が得られた.しかし右肺静脈閉塞が存在する限り体肺側副血管が再増生し,最終的には体肺側副血管へのアプローチが困難となり有効な塞栓が得られなくなると考えた.Fontan route内への体肺側副血管を確実に防ぐために右肺動脈の塞栓を行う方針とした.

②右肺動脈塞栓とその後の経過

造影CTで右肺動脈の血管径と距離を計測,気管や食道など周辺組織との位置関係を確認した.デバイスが近接組織へ影響を与えない遠位側から右側上大静脈までの範囲を閉鎖する方針とした.血管径の小さい上葉枝にAVP4を,上葉枝と下葉枝合流部までは留置幅が短いためコイルを,下葉枝は太くて留置幅が大きいためAVP2を用いることとした(Fig. 5).

Pediatric Cardiology and Cardiac Surgery 37(4): 320-328 (2021)

Fig. 5 Image of three-dimensional computed tomography before embolization of the right pulmonary artery

We decided to use AVP4 for the right upper pulmonary artery (PA), AVP2 for the right lower PA, and a coil between them. We needed to select an AVP2 size that did not extend to the right superior vena cava. AVP 4, Amplatzer Vascular Plug 4; AVP 2, Amplatzer Vascular Plug 2; SVC, superior vena cava.

全身麻酔と呼吸器管理下で開始した.塞栓前の平均中心静脈圧は21 mmHgであった(Table 2).

右大腿静脈に6 Fr 40 cm Angle付きシース,左大腿静脈にParent Plus 45を挿入した.

最初にAngle付きシースから下葉枝遠位部に8 mmのAVP2を留置した.(Fig. 6①)

Pediatric Cardiology and Cardiac Surgery 37(4): 320-328 (2021)

Fig. 6 Embolization of the right pulmonary artery

① An 8-mm AVP2 was placed for the right lower pulmonary artery (PA). ② A 5-mm AVP4 and 4-mm AVP4 were placed for the right upper PA. Additionally, we retained a multipurpose-type catheter in proximity to them. ③ We placed a 12-mm AVP2 in the right lower PA and retained it there without detachment from the catheter. ④ A 6-mm 40-cm coil and 5-mm 30-cm coil were placed between the right upper PA and lower PA using a multipurpose-type catheter. ⑤ We confirmed that a 12-mm AVP2 was placed to cover the coils and they did not escape to the right pulmonary artery and detached a 12-mm AVP2. ⑥ A right pulmonary artery angiogram demonstrated that the right pulmonary artery was not imaged at all and no superior vena cava stenosis was noted using a 12-mm AVP2. ⑦ A right subclavian artery angiogram demonstrated many aortopulmonary collateral arteries retained in the thorax because of right PA embolization.

Parent Plusから上葉枝をAVP4 5 mm 2個と4 mm 1個で塞栓した.その近位部にMultipurpose typeカテーテルを配置した(Fig. 6②).

下葉枝に12 mmのAVP2を留置しdetachせずに(Fig. 6③)配置していたMultipurpose typeカテーテルから6 mm 40 cmコイルと5 mm 30 cmコイルを用いて上葉枝の細い枝と下葉枝の合流部を塞栓した(Fig. 6④).保持していた12 mmのAVP2が,この2つのコイルの近位部への流入を防止する形態になっていることを確認した.

Multipurpose typeカテーテル抜去し2つのコイルと12 mm AVP2がずれないことを確認しAVP2をdetachし手技を終了した(Fig. 6⑤).

右肺動脈造影では右肺動脈の順行性血流はなく左へ流入し(Fig. 6⑥),右鎖骨下動脈造影では体肺側副血管内に造影剤が停滞し左肺動脈への逆行を認めなった(Fig. 6⑦).塞栓後の平均中心静脈は16 mmHgであった(Table 3).

Table 3 Data of cardiac catheter before and after rt pulmonary artery embolization under ventilator management
Sitea wave/systolicv wave/diastolicmean
Pressure study (mmHg)
Under general anesthesia and ventilator management
Respirator mode: SIMV PIP/PEEP 20/5 RR 25/min FiO2 0.60
Before rt PA Embolization
Conduit222121
End Diastolic
RV855
After rt PA Embolization
Conduit161516
End Diastolic
RV862
PA, pulmonary artery; RV, right ventricle.

手技時間は3時間2分,透視時間46.8分,照射線量は正面が233 mGy,側面が117 mGyであった.

塞栓後は人工呼吸器と循環補助管理を継続し安定した全身状態で開窓作成術まで待機した.

③開窓作成術

右肺動脈塞栓から3日後に開窓作成術を行った.心外導管の内側に6 mmの開窓を作成し左側心房の体面を切開して吻合を行った.手術時間は4時間26分で,安定した血行動態でICUに帰室した.

④開窓作成後の経過(Fig. 7)

術後2日目に抜管,4日目にドブタミンを終了し一般病棟に転棟した.左上大静脈に留置したCVカテーテルでの測定で中心静脈圧は術後3日目から10 mmHg以下で推移していた.術後6日目に胸腔ドレーンを抜去,胸水の再貯留は認めずデクスメデトミジン投与下で心房性不整脈は出現せず経過した.

Pediatric Cardiology and Cardiac Surgery 37(4): 320-328 (2021)

Fig. 7 Clinical course and changes in the CVP, SpO2 and sBP after fenestration creation

CVP, central venous pressure; POD, post operate day; sBP, systolic blood pressure; SpO2, saturation of percutaneous oxygen.

術後8日目から発熱と洞性頻脈が出現した.心エコー検査では収縮良好で心嚢液はなく,血液検査でAPTTは45.9 secと延長はなかった.炎症反応上昇を認め術後感染を疑い抗菌薬を開始した.術後9日目も頻脈が持続し,心エコー検査の再検で心臓前面の液体貯留を認めた.CTにて心臓前面に血腫が存在し心タンポナーデと診断した(Fig. 8).血液検査でAPTT 135.0 secと著明に延長していた(Fig. 9).

Pediatric Cardiology and Cardiac Surgery 37(4): 320-328 (2021)

Fig. 8 Image of computed tomography on postoperative day 9

The hemorrhage (arrow) emerged and compressed the heart.

Pediatric Cardiology and Cardiac Surgery 37(4): 320-328 (2021)

Fig. 9 Changes in the APTT, PT and AT-III after Fenestration creation

APTT, activated partial thromboplastin time; AT-Ⅲ, antithrombin Ⅲ; POD, post operative day; PT, prothrombin time.

緊急ドレナージのため手術室に移動したが徐々に血圧が低下し,麻酔導入前から徐脈が出現し心停止に至った.開胸して蘇生を行ったが反応せず死亡を確認した.術中所見から出血源は特定できず,病理解剖は家族の希望がなく施行しなかったため出血部位や原因の特定に至らなかった.

考察

治療過程における検討事項,治療手技や術後管理につき考察する.

患児は出生直後から右下肺静脈の閉塞リスクを有しており,術前評価で右下肺静脈狭窄と両側房室弁閉鎖不全が併存したためFontan手術時に両者へ介入した.肺静脈閉塞を合併した症例のFontan手術は一般的なFontanと比べて予後が悪いため6),肺静脈狭窄解除術を併せて行った.しかし術前にMRIや肺血流シンチを撮像し,肺静脈狭窄が循環に与える影響を定量的に評価し狭窄解除術の必要性を検討してもよかったと考える.

開窓を作成しなかった理由は導管から心房へのシャントにより心房心室容積が拡大し共通房室弁閉鎖不全の増悪や右下肺静脈が圧排される懸念を考慮したためである7).中心静脈圧の低下は得られるが心房拡大による房室弁閉鎖不全の増悪と右下肺静脈閉塞を招くと考えた.しかし開窓を作成した場合は,肺静脈狭窄が進行した場合のカテーテルインターベンションの経路になりうる.肺静脈狭窄解除術は高率に肺静脈閉塞を合併するため,肺静脈へのアプローチとして開窓を作成する方針も議論すべきであった.

術後は右下肺静脈解除後のフォローとして1か月ごとに胸部レントゲンを撮像したが不十分であった.心エコー検査が必須であり8),狭窄の進行速度は個々の症例で異なるが,術後3か月で閉鎖した経過からは毎月心エコー検査を行うべきであった.

体肺側副血管の塞栓はアプローチが困難な血管が多く手技時間を要した.3回のセッション後も側副血管は無数に残存しておりコイルでの塞栓には限界があった.他のデバイスの報告として鎖骨下動脈にカバードステントの使用した報告が存在する9).8歳男児のFontan手術後に左の鎖骨下動脈と腋下静脈の間の2つの瘻孔をカバードステントで閉鎖している.血管内部から全周性に覆うことで細かな側副血管を短時間で閉鎖できるデバイスと考えられる.

患側の肺動脈血流を完全に遮断した報告は検索した限りは存在しない.Fontan手術前に右下および左下の肺静脈が閉塞した2例に対し右下または左下肺動脈をコイルとAVPで塞栓した報告がある10).2例共に短期予後の報告であるが塞栓後にFontan手術に到達している.我々と異なり肺動脈を末梢側から強固に塞栓したことが出血の抑止につながった可能性があり適切な塞栓範囲に関しては今後も症例の蓄積が必要である.

術後に心タンポナーデを発症した経過を踏まえ,低侵襲に経皮的開窓作成ができたかどうかを後方視的に検討した.Fontanルート内で心房と接する部位は導管と右肺動脈のみであるが第一候補の穿通部位は心房の左尾側(4時方向)に接する導管と考えた.これはこの部位のほうが心房と接しかつ導管に穿刺針を垂直に向けられる可能性が高いためである.大腿静脈アプローチで8 FrのTransseptal Catheter Introducer Sheathを留置しBrockenbrough針で穿通を試みる.垂直に穿刺針を向けられない場合は対側の大腿静脈からのスネアでシース先端を把持して角度の調整を行う.穿通に成功したら造影で確認し段階的にバルーン拡張を行い,最後はステントを留置する.この部位で穿刺ができない場合,第二候補として近位側の右肺動脈前尾側を穿通する.右内頚静脈アプローチで6 F シースからRFワイヤーまたは穿刺針での穿通を試みる.穿通に成功した場合は,ワイヤーをガイドにしてカテーテルと6 Fシースの順に心房へ通しカバードステントを留置する.上記の2つの方法が後方視的に検討した方法である.当時は導管が心房の左側を通過しており穿通部位に垂直に向けられる部位がルート内にないと考え断念したが,今後は十分な計画のもとで実行したい手技である.

開窓作成を予定通り肺動脈塞栓から3日後に施行した.その根拠としては右肺動脈塞栓後の平均静脈圧は16 mmHg(呼吸器管理下かつ造影剤投与後)と中心静脈圧は高く,Failing Fontanと考えたからである.しかし後方視的には呼吸器から離脱し中心静脈圧と右肺の画像評価などを行った後に開窓作成時期を検討してもよかったと考える.

凝固の管理に関しては術後8日まで凝固系の大きな変動なく経過したが,9日目にAPTTの延長とPT低下を認めた.ヘパリンの持続投与を行っておりこれが出血に関与したか不明だが術前から出血を懸念していたため早期のヘパリン中止を検討すべきであった.それとは反対に,塞栓したデバイスより遠位の血管内で血栓形成が進む可能性も考えられる.CTで血栓は確認できなかったが,起こりうる合併症の一つと考えるべきである.

結語

右肺静脈閉塞を伴うFontan術後症例に対し,右肺血流遮断とFenestration作成を行った症例を報告した.体肺側副血管や肺動脈の塞栓方法,術前後の管理など改善すべき点は多いが,一時的な中心静脈圧の低下と循環動態の安定が得られたため姑息的治療の一つになりうる.

利益相反

本論文について開示すべき利益相反はありません.

著者の役割

馬場恵史:論文の構想と作成,データ収集及び解釈,論文原稿作成,知的内容の考察

阿部忠朗:論文の構想,データ収集及び解釈,知的内容に関する批評的な推敲

塚田正範:論文編集

小澤淳一:論文編集

杉本 愛:論文編集

沼野藤人:論文の構想,知的内容に関する批評的な推敲,出版原稿の最終承認

白石修一:データ解釈,知的内容に関する批評的な推敲

齋藤昭彦:出版原稿の校正,最終承認

引用文献References

1) Kotani Y, Zhu J, Grosse-Wortmann L, et al: Anatomical risk factors, surgical treatment, and clinical outcomes of left-sided pulmonary vein obstruction in single-ventricle patients. J Thorac Cardiovasc Surg 2015; 149: 1332–1338

2) 稲村 昇,萱谷 太,北 知子,ほか:無脾・多脾症候群における見過ごされてきたFontanリスクファクター肺静脈の圧迫狭窄に関する検討.日小児循環器会誌2012; 25: 800-807

3) Latson LA, Prieto LR: Congenital and acquired pulmonary vein stenosis. Circulation 2007; 115: 103–108

4) Rupp S, Schieke C, Kerst G, et al: Creation of a transcatheter fenestration in children with failure of fontan circulation: focus on extracardiac conduit connection. Catheter Cardiovasc Interv 2015; 86: 1189–1194

5) Zachary CH, Jacobs ML, Apostolopoulou S, et al: One-lung fontan operation: Hemodynamics and surgical outcome. Ann Thorac Surg 1998; 65: 171–175

6) Fujii Y, Sano S, Asou T, et al: Outcomes of one-lung Fontan operation: A retrospective multicenter study in Japan. Ann Thorac Surg 2012; 94: 1275–1280, discussion, 1280

7) Gewillig M, Brown SC: The Fontan circulation after 45 years: Update in physiology. Heart 2016 15; 102: 1081–1086

8) Hickey EJ, Caldarone CA: Surgical management of post-repair pulmonary vein stenosis. Semin Thorac Cardiovasc Surg Pediatr Card Surg Annu 2011; 14: 101–108

9) Gavri S, Hirsch R, Di Sessa TG, et al: Transcatheter closure of a peripheral arteriovenous fistula: A unique use of a covered stent in a child with complex congenital heart disease. Congenit Heart Dis 2009; 4: 115–119

10) Bondanza S, Derchi M, Marasini M: Selective pulmonary artery embolization in two patients with single ventricle and acquired pulmonary vein occlusion. Catheter Cardiovasc Interv 2012; 80: 101–106

This page was created on 2022-02-04T13:58:32.106+09:00
This page was last modified on 2022-03-08T13:42:17.000+09:00


このサイトは(株)国際文献社によって運用されています。