Online ISSN: 2187-2988 Print ISSN: 0911-1794
特定非営利活動法人日本小児循環器学会 Japanese Society of Pediatric Cardiology and Cardiac Surgery
Pediatric Cardiology and Cardiac Surgery 37(1): 35-41 (2021)
doi:10.9794/jspccs.37.35

症例報告Case Report

心臓カテーテル検査中に想定外の心筋虚血から心停止に陥った心外膜リードによる心絞扼の1例Epicardial Pacemaker Lead-induced Cardiac Strangulation Causing Asystole due to Unexpected Myocardial Ischemia during Catheterization: A Case Report

1福岡市立こども病院 循環器科Department of Cardiology, Fukuoka Children’s Hospital ◇ Fukuoka, Japan

2福岡市立こども病院 心臓血管外科Department of Cardiovascular Surgery, Fukuoka Children’s Hospital ◇ Fukuoka, Japan

3福岡市立こども病院 放射線部Department of Radiology, Fukuoka Children’s Hospital ◇ Fukuoka, Japan

受付日:2020年3月17日Received: March 17, 2020
受理日:2020年9月7日Accepted: September 7, 2020
発行日:2021年4月1日Published: April 1, 2021
HTMLPDFEPUB3

症例は1歳時に先天性完全房室ブロックに対しペースメーカー植込み術が行われた16歳男性で,9歳時より心外膜リードによる心絞扼と思われる肺動脈弁上狭窄がみられた.運動負荷試験では一過性のST変化が見られるのみで胸痛は誘発されず,心筋虚血は否定的と判断された.肺動脈弁上狭窄が進行し,手術適応の評価目的に心臓カテーテル検査を行った.左室造影前に上肢挙上の姿勢でテスト造影を行った直後,患者は突如意識消失を来した.発症時の心電図では心室性期外収縮の頻発後にST変化が出現し,急速に徐脈から心停止に至っていた.上肢挙上や期外収縮の頻発に伴い冠動脈が圧排され心筋虚血を来したと推察し,緊急手術によるリード交換を行った.心絞扼が疑われる症例では心臓CTにより冠動脈圧排の有無を確認し,突発的な心筋虚血の危険性を念頭に速やかなリード交換を検討すべきである.

A 16-year-old male with complete congenital atrioventricular block since 1 year old was treated by epicardial pacemaker lead implantation. At 9 years old, he was diagnosed with supravalvular pulmonary artery stenosis resulting from epicardial pacemaker leads with cardiac strangulation as the possible cause. Transient ST change was seen only in the exercise tolerance test, with no chest pain, indicating that myocardial ischemia was absent. The deterioration status of supravalvular pulmonary artery stenosis was assessed by catheterization. With his arms raised, he was injected with a small amount of contrast media, suddenly, he lost consciousness. Electrocardiography showed ST segment alterations after frequent premature ventricular contractions, followed by junctional bradycardia that rapidly progressed to asystole. Hence, transient ischemia caused by arm raising or frequent premature ventricular contractions and deterioration of the coronary artery compression was suspected. The leads were then removed in an urgent surgery. In conclusion, contrast-enhanced computed tomography should be conducted in patients with cardiac strangulation, and earlier lead exchange should be performed because of the rapid deterioration of myocardial ischemia.

Key words: cardiac strangulation; pacemaker; congenital complete atrioventricular block

緒言

小児期に留置された心外膜リードによる心絞扼は,成長を考慮しリードに撓みを設けて留置されるため,リードが心臓周囲に癒着し,体格増大に伴って冠動脈狭窄,右室流出路・肺動脈幹狭窄,弁逆流等を来す致死的な合併症である.本邦における2013年の注意喚起(日本胸部外科学会,日本心臓外科学会,日本不整脈学会)以降,報告例があいつぎ,近年,その頻度は予想以上に高いとされる(2.3~5.5%1, 2)).我々は,外来での経過観察中は無症状で虚血所見が検出されなかったにもかかわらず,心臓カテーテル検査中に心停止に至った心絞扼症例を経験した.背景には一般的な肺動脈弁上狭窄や慢性冠動脈疾患の介入適応を念頭に管理していたという要因があり,心絞扼の孕む突発的な心筋虚血の危険性を再認識させ,診断後早期の外科介入の重要性を示す症例であった.心絞扼における適切な介入時期について重要な知見を有しているため報告する.

症例

症例

16歳男性

診断

先天性完全房室ブロック

主訴

特記症状なし

現病歴

母体抗SS-A/SS-B抗体陽性であり,生後2か月時に徐脈を指摘され先天性完全房室ブロックと診断された.1歳で心外膜リード恒久ペースメーカー植込み術を行われ,心外膜リード(Medtronic 4968)は心前面に撓みを設け留置された(Fig. 1-1, 1-2).挿入翌日の胸部X線正面像ではリードの位置が変化していたが,経過観察された(Fig. 1-3).VVI 65 bpm,学校生活管理区分Dで管理され,患児は無症状であった.9歳時に心エコーにて最大流速2.4 m/秒の肺動脈弁上狭窄を指摘され,リードによる圧迫が疑われた.なお,運動負荷心電図で有意なST変化や胸痛はなく,心筋虚血は否定的と判断された.肺動脈弁上狭窄が最大血流速度3.6 m/秒まで進行したため,心臓カテーテル検査を計画された.

Pediatric Cardiology and Cardiac Surgery 37(1): 35-41 (2021)

Fig. 1 Chest X-rays on the postoperative day 0 and day 1 of the pacemaker implantation

1-1: Frontal view (LAO 0°, CRA 0°) of the chest X-ray on the postoperative day 0 of the pacemaker implantation. 1-2: Lateral view (LAO 90°, CRA 0°) of the chest X-ray on the postoperative day 0 of the pacemaker implantation. 1-3: The chest X-ray on the postoperative day 1 showed the epicardial lead had deviated largely from the position implanted in the operation.

入院時現症

体重50 kg,身長161 cm,血圧113/72 mmHg,心拍数65回/分,SpO2 99%(室内気),心音整,胸骨左縁第2肋間収縮期駆出性雑音Levine 3/6,腹部・四肢に特記すべき所見なし.

血液検査

BNP<5.8 pg/mL, CK 155 IU/L,その他特記事項なし.

胸部X線

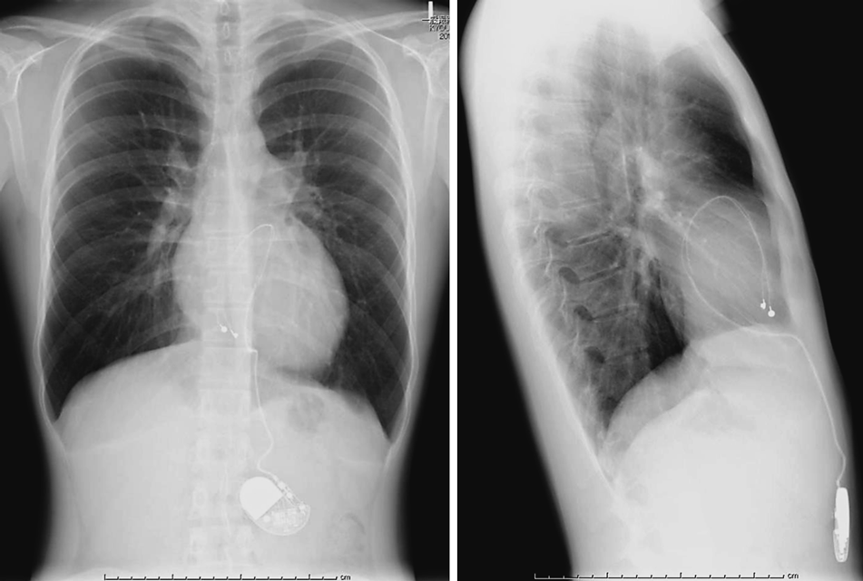
心胸郭比46%,うっ血なし,正面像で心外膜リードは心陰影の内側に偏位し,側面像で右室心尖部の電極から心背側に向かってループを形成していた(Fig. 2).

Pediatric Cardiology and Cardiac Surgery 37(1): 35-41 (2021)

Fig. 2 The chest X-ray on admission

Left: Frontal view (LAO 0°, CRA 0°), Right: Lateral view (LAO 90°, CRA 0°) The epicardial lead encircled the cardiac silhouette.

心電図

心拍数65回/分(ペースメーカー調律),完全左脚ブロック,QRS幅0.20秒,QTc 0.47, ST-T変化なし(Fig. 3-1).

Pediatric Cardiology and Cardiac Surgery 37(1): 35-41 (2021)

Fig. 3 Electrocardiographies on admission and catheterization

3-1: A 12-lead electrocardiography at admission showed the pacemaker rhythm, a complete left bundle branch block; long QT and ST change were not indicated. 3-2: A limb-lead electrocardiography performed at the beginning of the catheterization. 3-3: Frequent premature ventricular contractions were induced when the catheter was inserted into the left ventricle and the patient raised his upper limbs. 3-4: About 5 minutes later, discordant ST-segment elevation in lead aVR, and concordant ST-segment depressions in leads II, III and aVF were observed, as shown. 3-5: The rapid decrease in heart rate led to asystole in only 30 seconds, although regular pacemaker spikes (inverted triangle) were observed.

運動負荷心電図(Bruceプロトコール)

負荷開始後より接合部調律で心拍上昇,最大負荷stage5(17.1 METS),最高心拍数134回/分,負荷終了後約1分30秒でペースメーカー調律主体となりII, III, aVF誘導で0.2 mVの上行型ST低下及びaVR誘導で0.3 mVの水平型ST上昇あり,同ST変化は回復後期(4~5分)に改善,心室性期外収縮1拍,検査中に胸痛の訴えなし.

心臓超音波検査

左室拡張末期径44 mm,左室壁運動異常なし,僧帽弁輪及び肺動脈弁上において壁外より高輝度構造物による圧排あり,推定右室収縮期圧60 mmHg,肺動脈弁上流速3.5 m/秒,僧帽弁輪流入速度1.5 m/秒.

入院後経過

心外膜リードによる心絞扼を疑い,一般的な血行動態評価・造影に加え冠動脈造影を予定した.室内気で覚醒下に検査を開始した.血行動態評価では,中心静脈圧は平均12 mmHgと高く,右室圧83/18 mmHg,左室圧106/16 mmHgと右室収縮期圧及び両心室拡張末期圧が上昇し,心係数1.9 L/min/m2であった.左室造影に移行するため,5 Frピッグテールカテーテルを左室に挿入し,両上肢を挙上した.この際,心室性期外収縮が散発したが,カテーテル位置の調整でも完全には消失せず,造影準備をしつつ様子を見た.テスト造影を行ったところ,突然患児が気分不良を訴え,直後に意識消失を来した.肢誘導心電図モニターで,接合部調律の高度徐脈から心停止に至った.即座にカテーテルを左室より抜去し,心臓マッサージを開始した.約2分間の心臓マッサージ後の心電図モニターでは,ペースメーカースパイクは確認されるものの心室筋の応答はなく,30~40回/分の接合部調律による自己脈を示した.この時点で患児の意識は回復し,大腿動脈圧は79/47 mmHgであった.約5分間の経静脈的一時右室ペーシングの後,ペースメーカー調律へ復帰し,循環も維持された.直後のペースメーカーチェックでは閾値を含めカテーテル検査前と変化はなかった.なお,意識消失直前の心電図では,左室へのカテーテル挿入後,両上肢を挙上する約5分間に心室性期外収縮が頻発し(Fig. 3-3),その後II, III, aVF誘導の0.4 mVのST低下,aVR誘導の0.3 mVのST上昇が出現(Fig. 3-4),約30秒の間に急速に増悪し,ペーシング不全,徐脈から心停止に至っていた(Fig. 3-5).

直後に撮像した心臓CTでは,心外膜リードは腹壁から心背側の左房室間溝を上行し,左冠動脈前下行枝及び回旋枝分岐直後の部位と接していた(Fig. 4-1, 4-2, 4-3).上肢挙上や心室性期外収縮によって冠血流が変化し今回のイベントに至ったものと考え,緊急リード抜去術を行う方針とした.

Pediatric Cardiology and Cardiac Surgery 37(1): 35-41 (2021)

Fig. 4 3-dimentional computed tomography images

4-1: Volume-rendered image showed the epicardial lead ran just above the bifurcation of the LAD and the LCX. 4-2: Slab MIP image showed the LAD was located besides the epicardial lead. 4-3: Slab MIP image showed the LCX was located besides the epicardial lead and the pulmonary artery trunk strangulated by the epicardial lead. Ao, aorta; LAD, left anterior descending coronary artery; LCX, left circumflex coronary artery; LV, left ventricle; MIP, maximum intensity projection; PA, pulmonary artery; RV, right ventricle.

術中所見としては,心外膜リードは房室間溝に沿って食い込み,左冠動脈前下行枝近位部(segment 6)及び左回旋枝近位部(segment 11)や肺動脈幹を圧迫していた.リード硬化及び冠動脈との癒着は強く,人工心肺使用・心停止下に剥離を行い,冠動脈圧排及び肺動脈弁上狭窄の十分な解除が得られた.新たに心外膜リードを右房・右室に縫着し,ペースメーカー設定をDDDへ変更した.

考察

小児期に留置された心外膜リードが成長に伴って引き起こす心絞扼は2020年5月までに25例が報告されている.無症状のまま診断され,早期のリード交換手術により絞扼が解除された8例は全例生存しているのに対し,16例の有症状例においては6例が死亡している(Table 1).6例中突然死は4例あり,うち3例は症状出現後急速にショックに陥っていた2, 4, 6).我々の経験した症例でも検査時の心停止を初発症状とした.無症状であっても心絞扼は突然死リスクであると認識し,症状出現前に治療介入を行うことが重要である.

Table 1 Characteristics of previously reported death cases
CaseAge at diagnosis of CSAge at PMIBradycardia required PMISymptomSite of CSTreatmentRef.
110 monthsNewborn (No detail)Congenital heart blockEdema CAG→VFLAD, LCXLead removal3)
26 years8 monthsSurgical AV blockChest pain Syncope Abdominal discomfortPosterior aspect of left apexNone4)
37 yearsNo detailCongenital heart blockChest pain after aggressive physical exertion collapseLCXNone1)
413 years1 monthComplete heart blockSudden deathLADNone2)
520 yearsInfantSurgical AV blockSyncopeLAD, LCXPCI5)
629 years14 daysCongenital complete heart blockShort of breath Chest pain MalaiseLCA, RCANone6)
AV block, atrioventricular block; CAG, coronary angiography; CS, cardiac strangulation; LAD, left anterior descending coronary artery; LCX, left circumflex coronary artery; PCI, percutaneous coronary intervention; PMI, pacemaker implantation; RCA, right coronary artery; VF, ventricular fibrillation

本症例は,運動負荷心電図検査では心筋虚血が疑われなかったが,心臓カテーテル検査中に虚血を誘因とする重大イベントを生じた.文献上は,労作時胸痛を訴え運動負荷心電図検査で有意なST変化を認めた例がある7).一方,運動負荷試験で異常なしとされ2か月後に急性心筋梗塞を発症した例5)及び運動耐用能に問題なしとされていたにもかかわらず労作後胸痛を訴え突然死した例1)も報告されている.慢性冠動脈疾患診断ガイドライン8)では,運動負荷心電図は冠動脈狭窄の検出感度は70%前後であり,冠危険因子に基づいた判定の重要性が述べられている.さらに,左脚ブロック例におけるST下降は冠動脈疾患の判定基準にならないとされ8),イベント予測が困難な可能性が高い.本症例の運動負荷心電図でのST変化は,上行型で負荷終了後数分の間に改善したため,非特異的と判断していた.しかし,イベント発生時に酷似した心電図変化であり,結果的には冠虚血との関連を否定できない.また,冠動脈造影は運動負荷心電図と相補的に用いられるが,本例のような重大イベント発生を考慮すると,診断はより低侵襲の心臓CTが望ましい.Mahらは,心絞扼における心臓CTの感度を100%と報告している2)

Carrerasらは,胸部X線正面像・側面像で心絞扼を疑う所見として,心房・心室リードが後方にループし,心陰影を囲い込む所見をclassic patternと名付け報告した(感度57%)1).既報例にもペースメーカー留置術後早期にリード変位を生じた例があり10),術後急性期の胸部X線正面像・側面像を慎重に評価する必要がある.本症例の胸部X線は初回手術退院時からclassic patternに合致する所見を呈しており,遅くとも肺動脈弁上狭窄を指摘された9歳時ないし11歳でのジェネレーター交換時には心臓CTを行い,リード交換を行うべきであった.

本症例の心停止は左室へのカテーテル挿入,上肢挙上,頻回心室性期外収縮に続いて突発的に生じた.これら物理的要因のうち,上肢挙上は同姿位でのCT撮像時に症状がないこと及びLAD, LCXとも高度狭窄には至っていないことから要因とは考えにくい.期外収縮頻発後,数分でST変化が生じ心停止に至っており,左室拡張末期容積増大に伴う冠動脈圧排の増強及び心筋虚血が閾値上昇を来したものと推察する.発症時心電図におけるaVR誘導でのST上昇は,左脚ブロックを示す心電図において左主幹部灌流域の虚血や3枝病変を示唆すると報告されており9),広範囲の虚血から急速な経過を辿ったことを裏付けるものであった.

結語

ペースメーカー心外膜リードによる心絞扼から心臓カテーテル検査中に心停止に至った1例を経験した.無症状で運動負荷心電図に異常を認めなくとも,心絞扼は致命的な経過を辿りうる.心絞扼が疑われる際には,心臓CTにより冠動脈圧排の有無を評価し,突発的な心筋虚血の危険性を念頭に速やかなリード交換を検討すべきである.

利益相反

本稿に関連し開示すべき利益相反(COI)はない.

著者の役割

白水優光は筆頭著者として論文作成を行った.石川友一は論文内容に関する直接的な指導を行った.倉岡彩子,兒玉祥彦,中村真,牛ノ濱大也,佐川浩一は論文内容に関して校正・考察の妥当性を検討し,必要な修正を行った.橋本丈二,安東勇介,中野秀俊は論文の知的内容に関わる批判的校閲に関与した.

引用文献References

1) Carreras EM, Duncan WJ, Djurdjev O, et al: Cardiac strangulation following epicardial pacemaker implantation: A rare pediatric complication. J Thorac Cardiovasc Surg 2015; 149: 522–527

2) Mah DY, Prakash A, Porras D, et al: Coronary artery compression from epicardial leads: More common than we think. Heart Rhythm 2018; 15: 1439–1447

3) Watanabe H, Hayashi J, Sugawara M, et al: Cardiac strangulation in a neonatal case: A rare complication of permanent epicardial pacemaker leads. Thorac Cardiovasc Surg 2000; 48: 103–105

4) Eyskens B, Mertens L, Moerman P, et al: Cardiac strangulation, a rare complication of epicardial pacemaker leads during growth. Heart 1997; 77: 288–289

5) Cohen SB, Bartz PJ, Earing MG, et al: Myocardial infarction due to a retained epicardial pacing wire. Ann Thorac Surg 2012; 94: 1724–1726

6) Janik M, Hejna P, Straka L, et al: Strangulation of the heart presenting as sudden cardiac death: A deadly but forgotten complication of epicardial pacing device. Leg Med (Tokyo) 2018; 32: 107–112

7) Salerno JC, Johnston TA, Chun TU, et al: Coronary compression by an epicardial pacing lead within the pericardium. J Cardiovasc Electrophysiol 2007; 18: 786

8) 山岸正和,玉木長良,赤阪隆史,ほか:慢性冠動脈疾患診断ガイドライン(2018年改訂版). pp 12–15. https://www.j-circ.or.jp/old/guideline/pdf/JCS2018_yamagishi_tamaki.pdf(2020年7月8日閲覧)

9) Meyers HP, Limkakeng AT Jr., Jaffa EJ, et al: Validation of the modified Sgarbossa criteria for acute coronary occlusion in the setting of left bundle branch block: A retrospective case-control study. Am Heart J 2015; 170: 1225–1264

10) Miyagi C, Ochiai Y, Ando Y, et al: A case of cardiac strangulation following epicardial pacemaker implantation. Gen Thorac Cardiovasc Surg 2020; 68: 1499–1502

This page was created on 2021-04-01T10:46:19.906+09:00
This page was last modified on 2021-04-15T08:46:54.000+09:00


このサイトは(株)国際文献社によって運用されています。