Online ISSN: 2187-2988 Print ISSN: 0911-1794
特定非営利活動法人日本小児循環器学会 Japanese Society of Pediatric Cardiology and Cardiac Surgery
Pediatric Cardiology and Cardiac Surgery 38(3): 158-165 (2022)
doi:10.9794/jspccs.38.158

ReviewReview

動脈管に対するコイル塞栓術のTIPsTips for the Coil Occlusion of Patent Ductus Arteriosus

たかの橋中央病院小児循環器内科Department of Pediatric Cardiology, Takanobashi Central Hospital ◇ Hiroshima, Japan

*1

元広島市民病院循環器小児科Former Department of Pediatric Cardiology, Hiroshima City Hiroshima Citizen’s Hospital, Hiroshima Japan

発行日:2022年8月1日Published: August 1, 2022
HTMLPDFEPUB3

わが国においても2009年以降,Amplatzer™ duct occluder I[Abbott社;Chicago, IL]を始めとする各種デバイスが保険収載となり,コイルを用いた動脈管(patent ductus arteriosus: PDA)閉鎖術の件数は減少した.さらに最近ではFlipper PDA coil(F-coil)[Cook社;Turlock, CA]も製造中止となり,PDA閉鎖栓としてのコイルの役割はますます減少していかざるを得ないだろう.しかし,長い間F-coilを使用して培った経験や知識,すなわちPDAの形態や特性,診断・読影上の注意,コイル塞栓術の適応や手技の留意点,合併症などは,他のデバイスを使用してのPDA閉鎖術,様々な血管系のコイル塞栓術にも有用な情報を提供してくれるだろう.またF-coilの供給が途絶えた後にも,他のコイルを使用して小さな動脈管を閉鎖することも考えられる.そのような時代の中で,今後のカテーテル治療にも役立つと思われる知識・情報について,広島市民病院・循環器小児科時代に得た経験をもとにまとめてみたい.

In Japan, Amplatzer™ duct occluder I (ADO I), Amplatzer™ duct occluder II (ADO II), and Amplatzer Piccolo occluder™ (Piccolo) were included in insurance in 2009, 2019, and 2020 respectively. Since then, the occlusion of patent ductus arteriosus (PDA) using coils has become less common. However, knowledge and information about the anatomy and pathophysiology of PDA are very important for catheter interventions for PDA using other devices. Moreover, experiences of PDA coil occlusion have provided information related to catheter interventions using coils for other vessels. We describe our knowledge and experience and provide tips to improve PDA coil occlusion, focusing on 1) indications for PDA coil occlusion in the device era, 2) anatomy and pathophysiology of PDA, 3) performances of coils when deployed in the PDA, 4) complications of PDA coil occlusion, and 5) procedures useful for the closure of moderate or severe PDA.

Key words: patent ductus arteriosus (PDA); cross-section of the PDA; tips for PDA coil occlusion; complications

はじめに

わが国においても,Amplatzer™ duct occluder I(ADO 1),Amplatzer™ duct occluder II(ADO 2),Amplatzer™ Piccolo® occluder(Piccolo)[以上Abbott社;Chicago, IL]が,それぞれ2009年,2019年,2020年に保険収載となり,コイルを用いた動脈管(patent ductus arteriosus: PDA)閉鎖術の件数は減少した.さらに最近ではFlipper® PDA coil(F-coil)[Cook社;Turlock, CA]も入手困難になり,今からこの術式の話をして時代遅れではないだろうかとの思いがないわけではない.しかし,長い間F-coilを使用して培った経験や知識(PDAの形態や特性,診断・読影上の注意,コイルを留置する際の適応や手技の留意点,合併症)は,他のデバイスを使用してのPDA閉鎖術,様々な血管系のコイル塞栓術にも有用な情報を提供してくれるだろう.またF-coilの供給が途絶えた後にも,他のコイルを使用して小さな動脈管を閉鎖することも考えられる.そのような時代の中で,今後のカテーテル治療にも役立つと思われる知識・情報について,広島市民病院・循環器小児科時代に得た経験をもとにまとめてみたい.

現状でどのようなPDA症例にコイルを使用しているか?

①ADOの認定施設か否かにかかわらず,コイル1個で閉鎖可能と考えられた場合

②デバイスでは大動脈や肺動脈へのディスク突出が危惧された場合:Piccolo導入により解決された点が少なくない.

③ADOやPiccoloの認定施設(以下認定施設)ではないが,コイルを用いてのPDA閉鎖経験を有する術者がいる場合,などが考えられる.

広島市民病院はADO,Piccoloを用いたPDA治療の認定施設であるが,コイルの使用も少なくない.倫理委員会を通してPDA閉鎖術にAmplatzer vascular plug II(AVP2:適応外使用)[Abbott社;Chicago, IL]を使用し始めた2015年11月より2021年6月までの約5年半に,広島市民病院においてカテーテル治療を行ったPDA 91例をデバイス別に分類してみると,AVP2(33.0%),ADO 1(23.1%),ADO 2(8.8%),Piccolo(1.1%)で,コイルで閉鎖した症例数が34.1%と最も多く,コイルはなお現役のデバイスとした使用されていた.なお,われわれの経験ではPDA最小径1.7 mm以上で複数個のコイルを使用する可能性が高く,PDA最小径1.6 mm以下の閉鎖術にコイルを使用している.その結果,上記②の理由でコイルを使用した月齢2(体重3.9 kg)の乳児を含めた2例(6.5%)以外は,1個のコイルで閉鎖可能であった.

PDAの特性

1. PDA径は心周期の中で変化する

PDA径は心周期の中で変化し収縮期に最大化するが,収縮期には造影剤がwash outされるためPDA径の計測は難しい.収縮期のPDA径をみるためには,エコーによる観察,バルーンで閉塞した上での大動脈造影などが考えられるが,特に2歳未満の症例では収縮期に拡張期の1.3倍前後にまで拡大する可能性があることを知っておく(Fig. 1).

Pediatric Cardiology and Cardiac Surgery 38(3): 158-165 (2022)

Fig. 1 PDA sizes at the narrowest portion change during cardiac cycles1)

PDA sizes were measured in the ductal view by echocardiography.

2. PDAの評価は側面のみでよいか?

PDAの形態・サイズ測定は,通常側面像か左前斜位で判定される.しかし,CTでPDAの長軸方向に垂直な断面をみると,正円ではなく楕円形で横に長い(Fig. 2).したがって,縦径が同じでも横径によって脱落,遺残短絡,必要なコイルの本数は違ってくる.われわれはコイル閉鎖に限らず,乳児期にPDAのデバイス閉鎖が必要となる場合,CT検査によるPDA断面チェックをルーチンにしている.

Pediatric Cardiology and Cardiac Surgery 38(3): 158-165 (2022)

Fig. 2 Cross section of the PDA at the narrowest portion

2-1) Type C PDA of 1 month old girl showed that the cross section of the PDA is ovale shaped with the longer diameter 7.2 mm and shorter one 3.3 mm. 2-2) Type C PDA of 1 year old girl. The cross section of the PDA is ovale shaped and the longer diameter is 5.4 mm and shorter one 3.6 mm. PDA, patent ductus arteriosus

3. PDAはカテーテル検査時に攣縮する

心エコー検査で経時的にPDA径を観察していると,PDA径が変化する症例,自然閉鎖したと診断した後に再開通する症例に遭遇する2).特に乳児例ではカテーテルやガイドワイヤーで触ることにより,PDAは攣縮し得る.筆者らはカテーテルやガイドワイヤーで触れた後に,PDAが著明に攣縮した2歳児の症例を経験している3).コイルの脱落,遺残短絡,必要なコイルの本数に影響するため,特に乳児例で注意する.カテーテル前の心エコー検査結果との比較,PDAにカテーテルやワイヤーを通過させる前に大動脈造影を行うなどの工夫が必要である.

4. 特殊なPDAに対するカテーテル治療の適否

血管輪の形成にPDAが関係している場合,コイル留置により症状が顕性化また悪化する可能性がある.PDAは切離する必要があり,コイル留置は禁忌である.また例えば左椎骨動脈の近位側で左鎖骨下動脈が左腕頭動脈と離断,PDAを介して左鎖骨下動脈が肺動脈と繋がってる右大動脈弓・左鎖骨下動脈孤立起始では,PDAの存在がsubclavian stealを増悪させる可能性があり,PDA閉鎖が望まれる.肺動脈側からのアプローチが難しい場合,左上腕動脈から動脈管にアプローチする必要がある.上腕動脈を閉鎖させないよう注意を払うとともに,左上腕動脈からのアプローチが可能となる年齢まで待機可能か検討を要する.

5. PDAはコイル留置に際して伸展・拡張する

特に乳児期PDAでは予想外に多くのコイルが必要になる可能性があることを知っておく.最小径3.7 mmの動脈管を閉鎖するのに7個のコイルを必要とした症例(月齢9)も経験している.

6. 高齢者のPDA

高齢者の大動脈は動脈硬化により拡大・延長し,側面像でPDAと大動脈弓が重なるように位置することも少なくない.したがって,太い大動脈の中で造影剤はうすまり,大動脈弓と重なってPDA像は不鮮明になる.動脈管内造影による評価もある程度は有効だが,CTの有用性は強調されるべきであろう.

コイルの特性・特徴

Detachable coilの回転方向:a)F-coilの遠位側を例えば2巻分巻いた状態でPDAに固定させ,残りのコイルループを伸ばしたままで(マンドリルを残したままで),スクリューを離脱方向に十分回してマンドリルを引き抜くと,コイルは本来の巻き方を保持しながら縮んでゆく.一方,b)F-coilを同様にPDAに固定させ,スクリューをはずす前に近位側コイルのマンドリルを引き抜き,これをPDAに向かって押し付けると,近位側コイルのループ回転が逆向きになり,遠位側のコイルループ間に嵌まり込む(Fig. 34).結果,コイルはダンゴ状に重なり,肺動脈内に突出する.太いPDAにa)の離脱方法を採用すると,離脱時の反動と血流でコイルが流れてPA側の巻き数が過剰になりやすい.一方,乳児にb)の離脱方法を採用すると,大動脈内にコイルが過剰突出する可能性があるため,ともに注意が必要である.

Pediatric Cardiology and Cardiac Surgery 38(3): 158-165 (2022)

Fig. 3 Performance of Flipper® coil (F-coil) in the PDA glass model

3-1) PDA glass model. 3-2) Two F-coil loops were fixed in the aortic end of PDA. 3-3, 4, 5) When the mandril was pulled back and the coil loops were pushed forward (3-3), the proximal coil loop moved forward and wedged between the 2 loops sitting more distally (3-4). This movement made bulky lump of coil loops which protruded into the pulmonary artery (3-5). Ao, aorta; PA, pulmonary artery; PDA, patent ductus arteriosus

合併症を知る

1. コイル繊維の絡みとunravel

多くのコイルには塞栓力増大のため化学繊維が縫着されている.Gianturco® coil[Cook社;Turlock, CA]やF-coilなどではコイル自体が細いコイルで形成されており,繊維が細いコイルの隙間に絡みつくことがある5).その場合,いったん出したコイルをカテーテル内に再収納しようとしても,繊維が絡んで難しい.無理に引き戻そうとすればunravel(ほどけること)が誘発される.Unravelした場合,伸びきったコイルフィラメントを巻き取るか,unravelしていない末端部分をスネアで把持して回収を試みることになるが,回収困難でフィラメントをできるだけPDA膨大部内に押し込み経過観察とした報告もある6)

2. 大動脈・肺動脈内へのコイル過剰突出と形成

肺動脈側からのアプローチでF-coil(N巻)を留置する場合,PDA内に(N-1巻)収まるようにコイルを出して留置手技を開始するので,大動脈内・肺動脈内に過剰突出することは稀である.しかしカテーテルへの張力が強すぎる場合や,デタッチ後にコイル自体がネジを緩めるように回って抜け出てくるなど,左肺動脈狭窄が合併する可能性は否めない.一方,大動脈側からアプローチする場合には,肺動脈内で1巻出し,残りがPDA内に残るように設定してコイルを留置していくが,コイルをPDA内に押し付ける段階で,大動脈内に突出して血行動態に影響する可能性がある.

このような場合,立ち上がったコイルを右冠動脈造影用カテーテルやピッグテールカテーテルなどで引き延ばして再離脱すると,コイルループは順行性の巻方に戻り,きれいにまとまった形態で留置される(Fig. 4)(「コイルの特性・特徴」(p. 160)の応用).ただし引っ張り過ぎるとコイルがPDAから抜け出てくるので,動脈管内にあるコイルがしっかり固定されていること,コイルループの位置・形状が変化しないことを確認しながら行う必要がある.

Pediatric Cardiology and Cardiac Surgery 38(3): 158-165 (2022)

Fig. 4 Coil protrusion in the descending aorta

4-1) According to the mechanism explained in the Fig. 2), the coil loops made bulky lump and protruded in the descending aorta narrow. 4-2) The proximal part of the coil was caught and pulled back by a pigtail catheter until the twist of the coil loops was resolved and finally detached. 4-3) The direction of coil loops aligned with the PDA and the protrusion in the aorta became much better. The coil was pushed into the PDA by inflating the balloon of Berman® catheter (*)[Telefix; Morrisville, NC]. 4-4) PDA was totally occluded with one more coil. DAo, descending aorta; PDA, patent ductus arteriosus

3. 赤血球破砕症候群

複数個のコイル留置が必要なPDAに有意な遺残短絡を残した場合,しばしば溶血性貧血が進行する.体内のハプトグロビンが消費されて後に発症するため,入院中のみならず退院後に赤色尿を主訴に再診する症例も経験する.われわれの経験した2症例では,肺体血流比1.4前後の遺残短絡を残した場合に症候性になっている7).軽度の遺残短絡ではLDHがやや上昇しても有意な貧血の進行はみられず,ハプトグロビンを投与しながら経過観察すると,血液検査は正常化する.貧血が進行し輸血が必要な程度になると,コイルの追加留置を考えているが,残存肺体血流比1.2~1.3以上では注意深い観察が必要と考えている.

4. コイルの脱落・遊走と対処

PDA径計測の不備,不適切なコイル選択・留置手技,PDA側の問題(攣縮や間歇性動脈管2))により,コイルの脱落・遊走が発生する.大動脈側への脱落,肺動脈側への脱落でやや違いはあるが,ほとんどの症例で脱落・遊走したコイルは回収できる.

スネアによるコイルの回収:コイルの回収には適切なサイズのスネアを使用すること,適切な部位を把持することが重要である.われわれはコイルの回収には,もっぱらAmplatz™ gooseneck snare(Medtronic; Mineapolis, MN)を使用している.スネアサイズに関して,大は小を兼ねない.大きなスネアループを絞っていくと,ループは楕円形になり.シャフトに対して垂直に出ていたループ角は小さくなりコイルの把持は難しくなる.管腔とほぼ同じサイズのループを有するスネアが扱いやすい(Fig. 5).

Pediatric Cardiology and Cardiac Surgery 38(3): 158-165 (2022)

Fig. 5 How to use an Amplatzer™ gooseneck snare

5-1) The coil loop should be caught by pushing the snare delivery catheter forward, not by pulling the snare loop backward, when the snare loop is sitting proximal to the coil. 5-2) The coil loop should be caught by pulling the snare loop back not by pushing the delivery catheter forward, when the snare loop is distal to the coil. 5-3) When the snare loop is fully opened, the loop makes 90-degee angle (a) with the delivery catheter. 5-4) However, when the snare loop is partially opened, the snare loop becomes smaller, oval-shaped and the the angle (b) between the snare loop and the delivery catheter becomes bigger. These changes make it difficult to catch a coil. 5-5) The snare wire should be snugged with forceps at the proximal edge of the hub not to accidentally detach when a migrated coil is retrieved.

コイルを把持する位置としては,スクリュー部がベストであるが,難しい場合にはコイルを一塊として捕まえる.右冠動脈造影カテーテルでコイルを引っかける,バルーンカテーテルをコイル遊走部より末梢側に位置させた上で,適切なサイズにバルーンを膨らませて引いてくるなどの操作で,コイルの位置や向きを変えることも考える.

スネアループを適切な位置まで持っていくことができたなら,スネアを締めてコイルの把持を試みる.コイルの手前にスネアがあれば,ループの位置を固定してスネアシースを進めて捕まえる.一方,スネアがコイルの遠位にある場合には,シースを固定した上でループを引いてキャッチする.コイルを一塊として回収する場合には,できるだけ7 Fr以上のロングシースを使用したい.またコイルをシース内に引き込む際には,スネアワイヤーをコッヘルで固定しておくと,掴んだコイルがはずれにくい(Fig. 5).

なお,肺動脈側に流出した場合,コイルは肺動脈内で回収する.特にカテーテルが三尖弁腱索間隙を通過している状態で,右室内・右房内にコイルを引き込むと,コイルが三尖弁腱索に絡んでしまう.再収納が困難な場合,開胸手術が必要になる4)

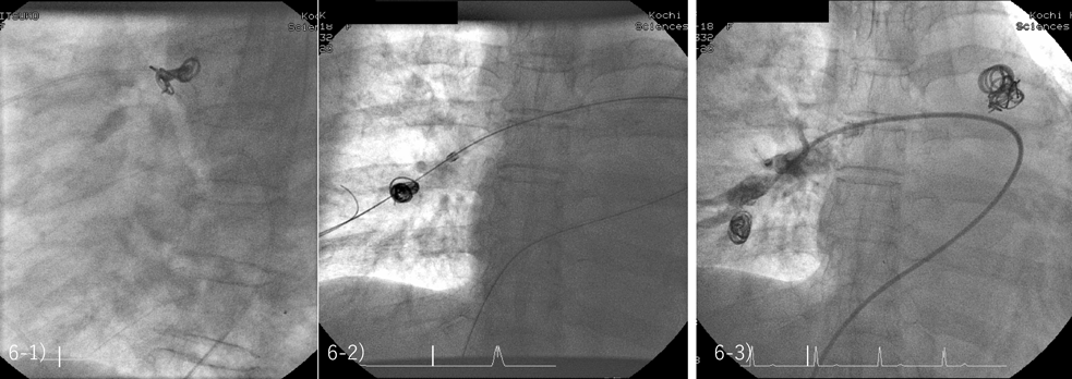
複数のコイルが絡まって肺動脈末梢に脱落・遊走した場合,太いデリバリーシースを肺動脈内に進め,肺動脈内でコイルの回収を目指す.しかし,コイルがデリバリーシース内に入ってこない場合,当然被ばく量は多くなり,万一,コイルが三尖弁に引っかかれば開胸手術が必要になる.苦肉の策ではあるが,私の経験を述べてみたい(Fig. 6).他院に出張でPDAの2症例を閉じに行った際の脱落例(67歳女性)である.F-coilを3個留置した後に振り返るとコイルは塊状になり右肺動脈内に脱落していた.さらに1例のPDAを閉鎖しなければならなかったこと,物品も限られ脱落したコイルの回収にてこずる可能性,確率は低いもののデリバリーシース内に収納できず三尖弁に引っかかれば,開胸手術が必要になる可能性などを考える必要があった.迷った末,精神的ストレスを軽減するためにも,幸いにも用意してあった0.052’ Gianturco coil[Cook社;Turlock, CA]1個とF-coil 3個,0.035’ platinum pushable coil[Boston Scientific社;Marlborough, MA]1個の計5個を用いて,まずPDAを閉鎖した.その上で遊走したコイルを一塊としてより末梢の肺動脈内に押し込んで手技を終了した.もちろんカテーテル検査前にはコイルが脱落する可能性,回収が困難な場合にはそのまま放置する場合もありうるが,生活にはほとんど影響がないことを説明していた.ベストとは言えないが,90点を目指して30点になってしまうこともある.実質影響の少ない70点で抑えるか90点を目指すのか,周囲の状況,自分の力量,患者の年齢や生活状況などを,術者は常に天秤にかけて決定する必要がある.

Pediatric Cardiology and Cardiac Surgery 38(3): 158-165 (2022)

Fig. 6 Push the migrated coils more peripherally to decrease the adverse effects of occluding the normal peripheral pulmonary artery

6-1) Three Flipper® PDA coils were deployed in the PDA of 67 years old woman. 6-2) However, they migrated into the right pulmonary artery. 6-3) As we didn’t have enough time and the delivery sheath suitable for retrieving 3 coils together, we pushed them more distantly after we occluded the PDA successfully with 5 coils including 0.052’ Gianturco® coil with 8 mm in diameter. The patient condition got much better after the procedure. PDA, patent ductus arteriosus

特殊なコイルの留置方法

1. 複数コイル同時留置型

同時に複数のカテーテルをPDAに通し,複数のコイルを絡めた上で離脱する方法で,最小径4 mm前後以上のPDAで行うことが多かった.例えば2本のF-coilを同時留置する場合,肺動脈側から2本,大動脈側から2本のカテーテルを挿入して閉鎖することも考えられる(Fig. 7).しかし,2本のコイルの位置調整がやりやすい,コイルがずれにくいという理由で,われわれはほとんどの場合に両側(大動脈・肺動脈側1本ずつ)からのアプローチを採用している.最初のコイル2本を留置した後は,順次大動脈側からF-coilまたはGianturco coilなどのpushable coilを追加していけばよい.コイル追加のためのガイドワイヤーやカテーテルで,既に留置したコイルを押し出さないように注意する.

Pediatric Cardiology and Cardiac Surgery 38(3): 158-165 (2022)

Fig. 7 Simultaneous deployment of the two Flipper® coils (F-coil)

7-1) Both F-coils were deployed from pulmonary side. 7-2) Both F-coils were deployed from aortic side. 7-3) Two delivery catheters were sitting across the PDA with one catheter from the pulmonary side and another from the aortic side. We usually deploy the larger coil first from the pulmonary side (4 coil loops in the PDA) and the smaller coil from the aortic side. When the two coils were confirmed sitting well, both coils can be detached. DAo, descending aorta; PA, pulmonary artery; PDA, patent ductus arteriosus

2. @ method

初回のカテーテル治療では,コイルを1個のみ留置(single coil strategy),6か月以降に追加のコイル留置を行う術式を採用していた時期の工夫で,PDA最小径3.5~4 mm前後,中等度以上の短絡量を有する症例が対象であった.肺動脈側からアプローチし,8 mm/5巻のコイルを4巻出してPDA膨大部にまで引き戻し,短絡血流によりコイルを逆向きにPDA内に流入させる.その状態でコイルのスクリュー側をPA内に引き込みデタッチすれば,PDA内に@マークのような形態で留置できる5).PDA壁からの反発力は増大,コイルの留置形態も複雑になり,脱落を防ぐとともに,塞栓力も増加する(Fig. 8).ただし,この方法でコイルを1個留置しただけでは遺残短絡が大きく,赤血球破砕症候群の発生率が高くなる.Single coil strategyではなく,コイルの追加が必要である.

Pediatric Cardiology and Cardiac Surgery 38(3): 158-165 (2022)

Fig. 8 @ method

8-1) The delivery catheter was advanced into the dAo from PDA side. 8-2, 3) Four coil loops were pulled back till they came at the PDA ampulla, which were moved into the PDA by the shunting flow across the PDA. At this moment, the coil loop 1 located more proximally than coil loop 2. 8-4, 5) When the most proximal coil loop and the screw were pulled back into the PA and detached, the coil looked like @ sign. DAo, descending aorta; PA, pulmonary artery; PDA, patent ductus arteriosus

まとめ

1)F-coilは依然としてPDA塞栓術の現役デバイスと言えるが,供給量の問題もあり今後小さなPDAまでADO,Piccoloなどのデバイスを用いて閉鎖するのか,代替えのコイルを使用するか,学会としても考えていく必要がある.

2)コイルによるPDA塞栓術を,安全に行うにはPDA・コイルの特性,合併症につき精通しておく.

3)コイルの脱落,化学繊維のコイルへの絡みなど,発生しうる合併症の対処法についてあらかじめシミュレーションし,解決のためのデバイスを準備,適切な患者説明を術前に行っておくことが重要である.

結語

われわれの経験・知識をもとに,F-coilによる動脈管閉鎖手技前に確認すべき情報,手技上の注意点,合併症,およびその対処法などについて概説した.

利益相反

本稿について開示すべき利益相反はない.

引用文献References

1) 森藤祐次,鎌田政博,中川直美,ほか:当院におけるPDAカテーテル治療ストラテジー—Amplatzer Vascular Plug II(AVPII)使用開始後からのまとめ—.第30回日本先天性心疾患インターベンション学会(JCIC)

2) Mullins CE: Patent ductus arteriosus, in Garson AJ, Bricker JT, McNamara DG (eds): The Science and Practice of Pediatric Cardiology. Philadelphia, Lea & Febiger, 1990, pp1382–1420

3) 鎌田政博:動脈管開存—乳児期早期例,低出生体重児に対するカテーテル治療の問題点—.日小児循環器会誌2010; 26: 180–182

4) 鎌田政博:着脱式コイルによる動脈管塞栓術—治療成績・合併症とその対策—.日小児循環器会誌1998; 14: 21–31

5) 鎌田政博:HEART’S Selection 動脈管開存のカテーテル閉鎖術.心臓2007; 39: 1037–1041

6) 川口直樹,坂田 優,小林 優,ほか:コイル回収時にアンラベリングを生じた動脈管開存症の1例.第32回JPIC学会・学術集会プログラム抄録集2022: 83

7) 鎌田政博,木口久子,木村健秀:心疾患に伴う赤血球破砕症候群(心臓性溶血性貧血).小児科2004; 45: 211–216

This page was created on 2022-09-27T10:15:50.842+09:00
This page was last modified on 2022-11-08T18:12:54.000+09:00


このサイトは(株)国際文献社によって運用されています。