Online ISSN: 2187-2988 Print ISSN: 0911-1794
特定非営利活動法人日本小児循環器学会 Japanese Society of Pediatric Cardiology and Cardiac Surgery
Pediatric Cardiology and Cardiac Surgery 38(3): 172-177 (2022)
doi:10.9794/jspccs.38.172

症例報告Case Report

重症筋無力症を合併した好酸球性心筋炎の幼児の一例An Infant Case of Eosinophilic Myocarditis with Myasthenia Gravis

榊原記念病院小児循環器科Department of Pediatric Cardiology, Sakakibara Heart Institute ◇ Tokyo, Japan

受付日:2021年11月15日Received: November 15, 2021
受理日:2022年5月19日Accepted: May 19, 2022
発行日:2022年8月1日Published: August 1, 2022
HTMLPDFEPUB3

好酸球性心筋炎(以下EMC)は,ステロイド治療が著効しより早い段階から導入されることで回復が見込める比較的予後良好とされる心筋疾患である.ステロイド漸減中に重症筋無力症(以下MG)が発症した症例報告はない.症例は3歳女児,先行感染がない急な顔色不良と呼吸苦症状で入院し,心臓超音波で壁運動低下を認めた.初期治療のステロイド終了後,第9病日より好酸球増多と心筋逸脱酵素の再上昇を認めたためEMCを疑い,ステロイド投与を再開した.好酸球数低下に伴い壁運動改善を認め,第81病日に退院した.その後筋力低下による歩行困難,右眼瞼下垂より精査を進めMGと診断され,ステロイド投与に加え免疫抑制剤を内服し軽快した.EMCを疑った場合には早期の段階よりPSLを導入することが重要である.またEMCとMGは共に免疫の賦活化が発症機序であり,両疾患の関連が推察された.このためステロイド漸減中の神経症状には注意が必要と考える.

Eosinophilic myocarditis (EMC) is a myocardial disease with a benign prognosis, for which patients are successfully treated by the early administration of steroids. To date, no studies have reported the occurrence of myasthenia gravis (MG) during tapering of the steroid dose. A 3-year-old girl was admitted to our hospital with pallor and in respiratory distress, which were not associated with an antecedent infection. Echocardiography displayed depression of the wall motion. We suspected EMC because of eosinophilia and increased cardiac enzymes after the initial steroid therapy, so steroid treatment was restarted. The cardiac wall motion improved thereafter, with a decrease in peripheral blood eosinophilic count. After discharge from our hospital, she developed gait difficulty with muscle weakness and right blepharoptosis, and after detailed examination, she was diagnosed with MG. She was treated with immunosuppressants in addition to steroids, and her MG symptoms disappeared. Thus, it is important to administer steroids at the early phase when EMC was suspected. MG related to an immunological mechanism may occur because immunity is involved in the onset of EMC. This case suggests attending to neurological symptoms during tapering of the steroid dose.

Key words: eosinophilic myocarditis; hypereosinophilic syndrome; myasthenia gravis; predonisolone; giant thrombus

緒言

好酸球性心筋炎(以下EMC)は1936年にLofflerにより発見された疾患であり,全ての年代に起こりうるが,若年発症は稀である.好酸球による心筋障害の機序に関しては明らかではないが,ステロイドが著効する.臨床症状は,無症状から心不全症状を認めるまで様々であるが,心不全症状が急速に進行し死に至る劇症型があるため,疑った時点で治療することは重要である.確定診断には心筋生検を行い,心筋間質浮腫を伴う好酸球の浸潤を証明することが望ましいが,小児期に実施している症例は2割に満たず,EMCを疑った時点でステロイド治療を開始する場面が多い.EMCを早期から疑い治療を開始し,軽快後に重症筋無力症(以下MG)を発症した幼児を経験した.幼児期にEMCが発症した症例は稀であり,EMCにMGを合併した症例報告はない.今回,その臨床経過とMG発症機序に関して文献的考察を加えて報告する.

症例

症例

3歳女児

基礎疾患

特記すべき事項なし

既往症

特記すべき事項なし

家族歴

特記すべき事項なし

現病歴

先行感染はなかった.入院5日前より食欲低下,2日前より活気低下と顔色不良,入院前日より歩行時の息切れを認めるようになり近医を受診した.診察上頻脈があり,急性心筋炎も疑われたため当院に紹介された.

来院時身体所見

身長96.3 cm,体重15.36 kg,体温36.4°C,呼吸数36/分,心拍数156/分,血圧94/56 mmHg,心音はgallop rhythm,呼吸音は清,肝臓は右肋骨弓下に2 cm触知した.神経学的所見には異常を認めなかった.

来院時検査所見

胸部レントゲン(Fig. 1A)でCTR 68%,肺うっ血を認めたが胸水はなかった.血液検査(Table 1)でWBC 11,600/µL(Neut 30.5%, Eosin 2.5%, Lymph 62%),好酸球数290/µL, AST 118 U/L, ALT 138 U/L, CK 1,618 U/L, CK-MB 190.4 U/L, CRP 0.26 mg/dL, Troponin T 0.398 ng/mLと心筋逸脱酵素が上昇していた.12誘導心電図(Fig. 1B)ではHR 150/分,V1からV6誘導で陰性Tであった.またlongRPのため心房性不整脈による頻拍誘発性心筋症を鑑別するためATP(1.5 mg–2.5 mg–2.5 mg)を投与したが反応はなかった.急性心筋炎と判断し入院とした.

Pediatric Cardiology and Cardiac Surgery 38(3): 172-177 (2022)

Fig. 1 Chest X-ray and twelve-lead ECG on admission

(A) Chest X-ray on admission shows a pulmonary vascular congestion with a cardiomegaly. (B) Twelve-lead ECG on admission reveals tachycardia and long RP. Negative T waves are shown on V1 to V6.

Table 1 Laboratory blood data on admission
WBC11,600 /µLTP6.2 g/dLNT-proBNP5,393 pg/mL
Neut.30.5 %Alb3.7 g/dLTROPT0.398 ng/mL
Eosin.2.5 %AST118 U/LCRP0.26 mg/dL
Lymph.62.0 %ALT138 U/LIgG1,344 mg/dL
LDH607 U/LIgA110 mg/dL
RBC419×104 /µLALP364 U/LIgM95 mg/dL
Hb11.1 g/dLγGT11 U/LTSH2.92 µIU/mL
Ht34.3 %CK1,618 U/LFT41.20 ng/mL
Plt39.1×104 /µLCK-MB190.4 U/LFT32.6 pg/mL
UN8.6 mg/dL
Cr0.27 mg/dLAPTT36.9 sec
Na139 mEq/LPT14.0 sec
pH7.395K4.1 mEq/LPT-INR1.26
pCO232.6 mmHgCl110 mEq/LFib142 mg/dL
HCO320.4 mmol/LCa9.3 mEq/L
BE−3.8 mmol/LIP3.8 mEq/L
Lac1.5 mmol/LMg2.1 mEq/L

入院後経過(Fig. 2)

来院時の経胸壁心臓超音波(Fig. 3)で,両心収縮機能低下と軽度心嚢液貯留を認め,特に心尖部の心収縮性低下が著しかった.急性心筋炎を疑いガンマグロブリン(以下IVIG)(2 g/kg)単回投与とプレドニゾロン(以下PSL)(2 mg/kg/日)投与を開始し,心不全治療としてフロセミド(1 mg/kg/日),スピロノラクトン(1 mg/kg/日),ミルリノン0.4γを投与した.第7病日より後負荷の軽減と心筋線維化の予防のためエナラプリルマレイン酸を0.05 mg/kg/日より開始し,0.2 mg/kg/日まで漸増した.ミルリノンは第27病日で投与終了とした.血液検査で心筋逸脱酵素が低下したためPSLを漸減し,第7病日に中止した.その後末梢血中の好酸球分画が第9病日:5%(WBC 10,600, 530/µL),第11病日:13%(WBC 10,600, 1,380/µL)と上昇し,CK, CK-MB, AST, Troponin値も上昇した.EMCを強く疑い,第11病日よりPSL(2 mg/kg/日)投与を再開した.同日の経胸壁心臓超音波(Fig. 4)で右室心尖部に巨大血栓を認めたため,ヘパリン静脈内持続投与に加え,ワルファリン(0.1 mg/kg/日)の内服も開始した.第13病日には血栓は消失し,胸部CTで肺動脈内にも血栓はなかったため,第16病日にヘパリン持続投与を中止し,アスピリンの内服を追加した.第20病日よりPSLを内服に切り替え,第34病日より漸減開始した.好酸球数,CK, CK-MB, AST, Troponin Tの推移を確認しながらPSLを6 mg/日(0.4 mg/kg/日)まで減量した.減量後に心機能の悪化や筋逸脱酵素の上昇はなく経過したため第81病日に退院した.退院後3日より左眼の焦点が合わず,退院後7日に近医眼科を受診し,左眼外斜視と診断された.他の外眼筋麻痺はなかった.退院後9日より歩行困難となり,退院後11日に近医を再診した.左外斜視に加え,右上眼瞼下垂を認め,MGが疑われたため退院後17日に入院した.左眼球斜視,右上眼瞼の軽度下垂,動揺性歩行とGowers徴候を認めた.エドロホニウム試験で眼瞼下垂が改善し,反復刺激試験でWaningが再現性を持って確認され,全身型MGと診断された.胸部CT,非造影MRIでは胸腺腫はなく,骨盤~下肢骨格筋MRIでも筋炎を疑う所見はなかった.自己抗体に関しては抗アセチルコリン(AChR)抗体,抗Musk抗体,抗横紋筋抗体は陰性,筋炎特異的自己抗体としてJo-1,ARS,MDA5,Mi-2,TIF-γ,ミトコンドリアM2抗体も全て陰性であった.PSL(2 mg/kg/日)の隔日投与,IVIG(400 mg/kg/日)の5日間投与に加え,タクロリムスを開始し,症状が改善したため退院した.その後も近医にて加療中でMGの治療経過中に心筋炎の再燃はなかった.

Pediatric Cardiology and Cardiac Surgery 38(3): 172-177 (2022)

Fig. 2 Clinical course

Pediatric Cardiology and Cardiac Surgery 38(3): 172-177 (2022)

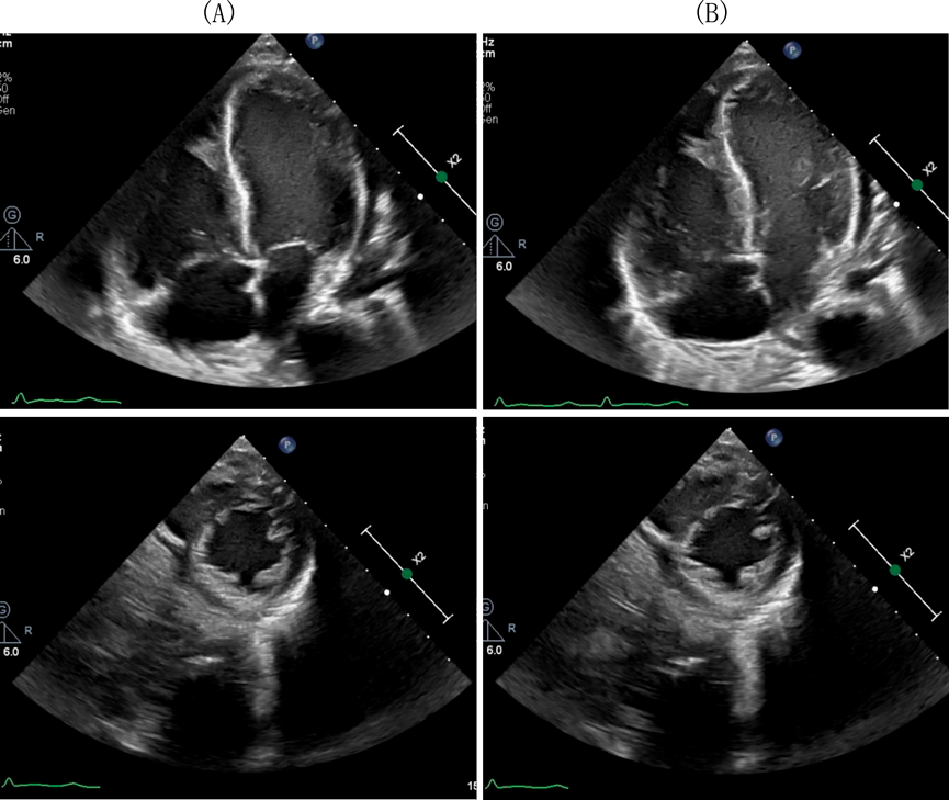
Fig. 3 Echocardiography on admission

(A) Diastolic phase. (B) Systolic phase.

Pediatric Cardiology and Cardiac Surgery 38(3): 172-177 (2022)

Fig. 4 Thrombus attached to the apex of right ventricle

考察

EMCは好酸球増多性心疾患の一型で,好酸球顆粒中の様々な細胞毒性蛋白により生じ,そのなかでもMajor basic protein(MBP),Eosinophil cationic protein(ECP)が最も重要な蛋白と考えられている.その蛋白によりフリーラジカルが発生し,細胞のアポトーシスや壊死を引き起こす.特に心内膜側の心筋壊死や線維化を来すと考えられている1, 2).本疾患は全年代に起きる可能性があるが,乳幼児期での発症は極めて稀である3).2009年の「急性および慢性心筋炎の診断・治療に関するガイドライン」において,①末梢血中の好酸球数の増加(500/mm2以上),②胸痛・呼吸困難・動悸などの心症状,③心筋逸脱酵素,心筋トロポニンの心筋構成蛋白の上昇,④心電図変化,⑤心臓超音波検査における一過性の左室壁肥厚,あるいは壁運動異常の5項目を満たす場合にはEMCを強く疑うとされている.本症例は経過中に全ての項目を満たしたためEMCを強く疑った.確定診断には心筋生検が必要だが,心筋生検は1)侵襲度が高いこと,2)手技を正確に行える術者が少ないこと,3)血液検査や画像診断が発達していることより,その適応が見直されている.また25%以上のサンプルエラーや,心筋生検で診断可能な疾患が全体の心筋疾患の20%であることから,心筋生検は診断法のセカンドラインに位置づけられ,近年,心筋疾患の診断に心臓MRI検査が広く導入されている4).本症例では心筋生検,心臓MRI検査は実施していないが,PSLの投与で心機能が速やかに改善した点,好酸球数の低下に伴い心筋の逸脱酵素値が低下した点からEMCと臨床的に診断した.EMCの重症度は様々で,好酸球数が増加している期間と関連しているとの報告が散見されているが,しばしば急性壊死性好酸球性心筋炎のような劇症型を呈し急速に死に至る例もある.このためEMCを強く疑った場合には,より早い段階でステロイド治療を開始することが重要である5)

本症例の入院時に,既に心機能が低下していたが,血液検査では好酸球数は増加していなかった.EMCの症例において,約90%は心筋障害に先行して末梢血中の好酸球数が増加するが,約10%は心筋障害が先行して経過の中で好酸球数が増加する.末梢血中の好酸球数の増加に先行して心筋障害が認められる理由として,小野らは何かしらの原因で引き起こされた心筋・心外膜炎に対して反応性に好酸球の心筋内浸潤が起こり,血液中の好酸球数が増加すると考察している6).このためEMCを起こす原因がほかにあると考えられるが,経過中に原因を同定することはできなかった.EMCに対してPSLは著効したが,PSL漸減中にMGを発症した.MG後に心筋炎を合併することはあるが,心筋炎が先行した報告はない7, 8).Ishidaらは1996年にMGを合併した好酸球増多症候群(以下HES)の症例報告をしている.9歳女児で眼瞼下垂が先行し,徐々に嚥下障害と構音障害を認め体重減少と重度な眼瞼下垂で入院しMGと診断,入院後のレントゲンで心拡大が判明し精査の後にHESと診断している.MGの原因である抗AChR受容体抗体により異常なT細胞が増殖し,それらのT細胞がHES発症に関与する可能性があると考察している9).しかし本症例はMGより心筋炎が3か月先行して発症しているため,MGを引き起こす自己抗体により心筋炎を発症したとは考えにくい.またMGを発症した時の好酸球数は144/µLと上昇していなかったためHESの可能性は低いと考える.本症例では好酸球を上昇させ,かつMGを発症させる免疫反応を惹起するほかの原因があったと推察した.

ステロイドは免疫反応を抑制するため,ステロイドが著効する心筋炎の治療経過の中で,ステロイドを漸減する際には神経症状に十分注意を払う必要がある.

結語

EMCと診断した症例にMGを合併した臨床経過を報告した.EMCは急激な心機能低下から死亡する場合があるため,疑った場合には早期の段階からステロイドを導入することが大切である.EMCの発症に関連する原因が,MG発症の免疫反応も惹起する可能性があり,免疫反応を抑制するステロイドを漸減する際には神経症状に十分注意する必要がある.

利益相反

今回の論文に関連して開示すべき利益相反状態はありません.

著者の役割

担当医,論文著者:石井宏樹

診療代表者:矢崎諭

診療協力者:竹平健,三森宏昭,藤田早紀,松村雄,小林匠,斎藤美香,吉敷香菜子,上田知実,浜道裕二,嘉川忠博

引用文献References

1) Petr K, Tomas P, Martin M, et al: Current diagnostic and therapeutic aspects of eosinophilic myocarditis. BioMed Res Int 2015; 2016: 1–6

2) 武井理子,中西敏夫,高尾篤良,ほか:心筋障害を伴った好酸球性増多症の1例.日小児循環器会誌1995; 11: 557–561

3) 渕野都紀子,岩間芳生,西浦卓也,ほか:好酸球増多症に伴う心筋炎の1例.心臓2008; 40: 265–270

4) Omid K, Mustafa T: The state of the heart biopsy: A Clinical Review. CJC Open 2021; 3: 524–531

5) Pierre-Emmanuel S, Bernard K, Jean-Bernard S, et al: Eosinophilic endomyocardial fibrosis in a 4-year-old patient. Circ Cardiovasc Imaging 2019; 12: 1–3

6) 小野直光,清水雄三,笠井篤信,ほか:良好な経過をたどった好酸球性心疾患の2例.J Cardiol 1991; 21: 171–181

7) Shivamurthy P, Parker MW: Cardiac manifestations of myasthenia gravis: A systematic review. IJC Metab Endocr 2014; 5: 3–6

8) Shigeaki S, Kimiaki U, Hiroaki Y, et al: Autoimmune targets of heart and skeletal muscles in myasthenia gravis. Arch Neurol 2009; 66: 1334–1338

9) Yasushi I, Masatoshi H, Aki H, et al: Hypereosinophilic syndrome with generalized myasthenia gravis. J Pediatr 1996; 128: 369–372

This page was created on 2022-09-27T16:38:16.786+09:00
This page was last modified on 2022-11-11T09:20:17.000+09:00


このサイトは(株)国際文献社によって運用されています。