Online ISSN: 2187-2988 Print ISSN: 0911-1794
特定非営利活動法人日本小児循環器学会 Japanese Society of Pediatric Cardiology and Cardiac Surgery
Pediatric Cardiology and Cardiac Surgery 38(3): 189-195 (2022)
doi:10.9794/jspccs.38.189

症例報告Case Report

多孔性筋性部心室中隔欠損症における心臓MRI二次元位相差コントラスト法を用いた心室中隔en face画像の有用性僧帽弁狭窄を合併した幼児例の考察En Face Imaging of the Ventricular Septum by Cardiac Two-Dimensional Phase-Contrast Magnetic Resonance Imaging for Evaluating Multiple Ventricular Septal Defects: A Case Report of a 1-Year-Old Patient with Mitral Stenosis

1あかね会土谷総合病院 小児科Department of Pediatrics, Tsuchiya General Hospital ◇ Hiroshima, Japan

2あかね会土谷総合病院 放射線科Department of Radiology, Tsuchiya General Hospital ◇ Hiroshima, Japan

3あかね会土谷総合病院 心臓血管外科Department of Cardiovascular Surgery, Tsuchiya General Hospital ◇ Hiroshima, Japan

受付日:2022年1月13日Received: January 13, 2022
受理日:2022年7月10日Accepted: July 10, 2022
発行日:2022年8月1日Published: August 1, 2022
HTMLPDFEPUB3

心室中隔欠損症(VSD)のうち,筋性部の肉柱部中隔に存在するものは多孔性であることが多く,心臓超音波検査による形態や短絡量の評価は困難なことがある.一方,心臓MRI位相差コントラスト法(Phase Contrast:PC法)は,任意の断面において直行する血流を撮像できる.今回,perimembranous VSD(pmVSD)と多孔性のmuscular VSD(mVSD)に僧帽弁上狭窄輪(supra mitral ring: SMR)を合併した1歳の症例にPC法を用いてVSD en face画像を撮像し,複数あるVSDの位置を描出し,欠損孔毎の短絡量を計測した.肺体血流比(Qp/Qs)2.05,短絡血流の内訳は,pmVSD 76.4%,mVSDのうち右室流出路(RVOT)近傍の最も大きな欠損孔は13.4%であった.SMRの解除,pmVSDの閉鎖に加え,RVOTからアプローチし,mVSDの最大孔とその近傍の孔を閉鎖した.術後,遺残短絡は少量で,PC法でQp/Qsは1.05であった.mVSDに対するPC法を用いたen face画像は孔の位置の同定や短絡量の推定に有用で,術前評価の一助となりうる.

Echocardiographic evaluation of the morphology and blood flow of multiple muscular ventricular septal defects (VSDs) can be difficult. Cardiac phase-contrast magnetic resonance imaging (PC-MRI) visualizes blood flow at any cross-section. We used phase-contrast imaging to visualize multiple muscular VSDs (mVSDs) and perimembranous VSD (pmVSDs) using en face imaging in a 1-year-old boy complicated with mitral stenosis (MS). Multiple VSDs were identified, and blood flow through each defect was evaluated. The pulmonary-to-systemic flow ratio (Qp/Qs) was 2.05. The breakdown of shunt flow was 76.4% for the pmVSD and 13.4% for the largest mVSD near the right ventricular outflow tract (RVOT). During surgery, we released the MS and closed the pmVSD. Then, we approached the RVOT and closed the largest mVSD and the nearby minor defect. A slight residual shunt was found postoperatively, and the Qp/Qs was 1.05. En face imaging with cardiac PC-MRI for multiple VSDs helps identify the foramen’s location and estimate the shunt volume, thus assisting in preoperative evaluation.

Key words: multiple ventricular septal defects; supramitral ring; cardiovascular magnetic resonance; en face imaging; two-dimensional phase-contrast imaging

緒言

乳児期に指摘された筋性部中隔の心室中隔欠損症(ventricular septal defect: VSD)は約10%が多孔性1)で,特に肉柱部中隔(trabecular septum)に存在するものは自然閉鎖が期待できる.しかし,手術が必要な場合,欠損孔の数,部位,大きさによってアプローチや閉鎖方法が異なる.肉柱に覆われた複数の欠損孔を術中に右室側から確認することは難しい.心臓超音波検査による術前評価には限界がある.一方,先天性心疾患の形態および機能評価において,心臓MRI(Cardiac Magnetic Resonance Imaging: CMR)は,心臓超音波検査や心臓カテーテル検査と並んで,重要な診断方法である.主な疾患の撮像方法は,アメリカ心臓磁気共鳴学会のガイドラインに示されているが,多孔性VSDの評価に関する具体的な記載はない2).心房中隔欠損症(atrial septal defect: ASD)はCMRにより欠損部位やサイズだけでなく,位相差コントラスト法(Phase Contrast:PC法)により孔の短絡血流を直接測定できることが報告されている3).今回,多孔性VSDの評価に,同様の方法を用いて,欠損部位や欠損孔毎の短絡量を評価し,術前評価として有用であった症例を経験した.

本論文の投稿に際し,患者個人を特定しうる情報に関しては十分匿名化を行い,土谷総合病院倫理審査委員会の承認を得た(土谷総合病院倫理委員会番号:E211206-1).また,論文投稿について保護者に説明し,同意を得ている.

症例

症例

1歳4か月,男児

診断

多孔性VSD(傍膜様部欠損型:perimembranous VSD(pmVSD),筋性部欠損型:muscular VSD(mVSD)),僧帽弁上狭窄輪:supra mitral ring(SMR),パラシュート様僧帽弁(parachute-like asymmetric mitral valve)

主訴

体重増加不良

現病歴

在胎38週6日,体重3,302 gで出生.生後4か月より体重増加不良を認め,生後7か月頃より呼吸器感染症に罹患するたびに喘鳴が出現し,乳児喘息と診断されていた.1歳4か月で心雑音を指摘され,当科紹介入院となった.

入院時現症

体重7.3 kg(−3.3SD),身長72.7 cm(−2.2SD),血圧78/39 mmHg,心拍数90回/分,SpO2 100%(室内気),心音整,II音亢進,胸骨左縁第3肋間収縮期雑音Levine II/VI,腹部・四肢に特記すべき所見なし.

血液検査

NT-proBNP 715 pg/mL

胸部X線

心胸郭比61%,肺血管陰影の増強を認めた.

心電図

II誘導P波増高(0.25 mV),V1-V2誘導で完全右脚ブロックを認めた.

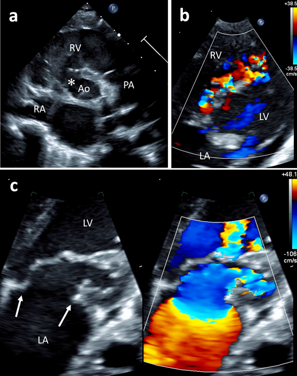
心臓超音波検査(Fig. 1,Movie)

傍膜様部中隔に9×8 mmの欠損孔(pmVSD)を認めた.カラードップラで筋性部肉柱部中隔に中隔縁柱(Trabecula septomarginalis: TSM)より右室流出路(Right ventricular outflow tract: RVOT)側と調節帯(moderator band: MB)前壁付着部の心尖方向に少なくとも3か所のmVSDの短絡血流を認めた.平坦化した心室中隔において,mVSDにおける左右短絡の血流はいずれも中隔に垂直方向であった.また2Dエコーでは僧帽弁前尖と後尖の弁輪部に膜様組織が覆い,カラードップラで同部位より乱流を認めた.左室流入速度による平均圧較差は7 mmHgであった.3Dエコーでも僧帽弁輪に付着する半月様組織が,A1とP1の開放を制限していたため,SMR(intramitral variant)と診断した.左室乳頭筋サイズは左右差があり,大きな前外側乳頭筋に腱索が収束するパラシュート僧帽弁であった.左室拡張末期径(LVDd)31.3 mm(115.9% of Normal),LVEF 73.9%,心房間交通は認めなかった.

Pediatric Cardiology and Cardiac Surgery 38(3): 189-195 (2022)

Fig. 1 Echocardiogram shows multiple VSDs and supra-mitral ring

(a) Parasternal short axis view shows perimembranous VSD(asterisk). (b) Four chamber view shows multiple muscular VSDs. (c) Four chamber view of the supra-mitral ring (intra-mitral variant). Ao, aorta; LA, left atrium; LV, left ventricle; PA, pulmonary artery; RA, right atrium; RV, right ventricle; VSD, ventricular septal defect

心臓カテーテル検査

チオペンタールナトリウムおよびミダゾラムを用いた鎮静下に自然気道,室内気で行った.肺体血流比(Qp/Qs)2.11,肺動脈圧47/14(32)mmHg,肺血管抵抗2.44 unit·m2,平均肺動脈楔入圧17 mmHg,左室拡張末期圧11 mmHg,右室/左室収縮期圧比0.63.

心臓MRI(Figs. 2, 3, 4)

Philips社製Ingenia 1.5T,コイルはFlex-M coilを使用し,チオペンタールナトリウムを用いた鎮静下に自然気道で以下の条件で撮像した.(全撮像時間37分,心臓MRI撮像・解析歴5年の小児循環器医が断面設定および解析を施行.)

Pediatric Cardiology and Cardiac Surgery 38(3): 189-195 (2022)

Fig. 2 Determination of the optimal ventricular septal defect (VSD) en face imaging

First, the positional information of the VSD en face image was obtained using a 3D image analysis system (three slices from the right ventricular side). The positional information obtained was input into the imaging system, en face images were taken, and blood flow was measured by phase-contrast cine CMR using the slice that best depicted the blood flow of the VSD. Ao, aorta; 4CV, 4 chamber view; LV, left ventricle; PA, pulmonary artery; RA, right atrium; RV, right ventricle; SAX, short axis view; WHCMRA, whole heart coronary magnetic resonance angiography

Pediatric Cardiology and Cardiac Surgery 38(3): 189-195 (2022)

Fig. 3 Ventricular septal defect (VSD) en face imaging in the cardiac magnetic resonance

En face velocity-encoded cardiovascular magnetic resonance detected VSDs. Phase-contrast images visualize the VSD flow en face and account VSD flow directly. ① perimembranous(1.20 L/min), ②~④. muscular VSDs(② 0.21 L/min, ③ 0.15 L/min, ④ not measurable). Ao, aorta; PA, pulmonary artery; RA, right atrium; SVC, superior vena cava

Pediatric Cardiology and Cardiac Surgery 38(3): 189-195 (2022)

Fig. 4 Flow curve of ventricular septal defect (VSD) en face imaging

① perimembranous VSD, ② largest muscular VSD, ③ second largest muscular VSD. The results of the left to right shunt flow measurements were ① 9.82 mL, ② 1.70 mL and ③ 1.23 mL respectively.

(1)three-dimensional whole heart magnetic resonance angiography:心電図・横隔膜同期下で,Balanced steady-state free precession(SSFP)法を用いて,拡張期相の大動脈弓部から心臓全体を撮像した.repetition time(TR)4.0 ms, echo time(TE)1.98 ms, Field of view(FOV)280 mm, matrix size 224×224, slice resolution 1.25×1.25,撮影スライス厚1.7 mm,フリップ角80°,バンド幅865.1 Hz/pixel, number of excitations(NEX)1, sensitivity encoding(SENSE)factor 2,脂肪抑制法はspectral inversion recovery(SPIR)とした.partial fourierは使用していない.

(2)位相差コントラスト法(PC法):心電図同期,自由呼吸下で撮像した.TR4.9 ms, TE 3.0 ms, FOV 300 mm, matrix size 208×208, slice resolution 1.44×1.44,撮影スライス厚5.0 mm,フリップ角12°,バンド幅724.0 Hz/pixel, NEX 3, SENSE factor 2, heart phases 30, phase percentage 80%, partial fourierは使用していない.Velocity encoding(VENC)および時間分解能は,上行大動脈と主肺動脈では200 cm/s, 10.5 msecに設定した.

(3)解析結果:短軸像における容量解析では,左室拡張末期容積41.5 mL(index 111.0/m2),左室収縮末期容積19.3 mL,右室拡張末期容積32.5 mL(index 86.9 mL/m2),右室収縮末期容積18.5 mLであった.PC法による大血管の血流測定では,上行大動脈血流量(Qaao)1.31 L/min,主肺動脈血流量(Qmpa)2.69 L/minであり,Qp/Qs 2.05,左右短絡量1.38 L/minと算出した.

(4)心室中隔en face画像におけるPC法:本症例は撮像と並行して,画像解析システム(富士フィルム社SYNAPSE VINCENT)を用いて3D画像で右室側から心室中隔に直行したVSDの血流が最も観察される断面(心室中隔のen face画像)を設定した(Fig. 2).得られた位置情報をMRI撮像装置のコンソールに入力し,設定した断面に水平なen face画像を3スライス撮像した.VENCおよび時間分解能は100 cm/s, 10.5 msecに設定した.そのうちVSDの描出が最も良好な断面を使用して,短絡血流の部位とそれぞれの血流量をPC法で直接測定,短絡量を算出した.mVSDは3つ確認でき,そのうち主な2つはTSM体部よりRVOT側に近接して認めた.短絡量はpmVSD 1.20 L/min, mVSDはFig. 3における②が0.21 L/min,③が0.15 L/minと算出した.Fig. 3における④の血流量は少量であったため測定できなかった(Fig. 4).

以上の結果から,pmVSDのパッチ閉鎖とSMRの切除および僧帽弁狭窄の解除に加えて,RVOTアプローチにより短絡量が比較的多いと予想されたmVSDの主な2つの閉鎖を行い,心尖部に認めたmVSDは放置する方針とした.

手術所見(Fig. 5)

まず僧帽弁狭窄の解除を右房,心房中隔切開で行った.次に三尖弁経由では,TSMの前方にmVSDを1つ認めたが全貌は把握できなかった.肺動脈弁下のRVOTに長軸切開を加え,先に同定したmVSD全体(6×3 mm)が観察でき,直接縫合した.その後,右房・三尖弁経由でpmVSD(13×11 mm)をパッチ閉鎖した.最後に,RVOTから再度欠損孔を探索したところ,先に閉鎖したmVSDの5 mm心尖部側に1 mm大の欠損孔を認め,直接縫合し,その他の欠損孔は確認できず,手術を終了した.

Pediatric Cardiology and Cardiac Surgery 38(3): 189-195 (2022)

Fig. 5 Intraoperative trans right ventricular outflow tract view of muscular VSDs

VSD(②) corresponds to the largest muscular VSD detected by the VSD en face phase-contrast imaging (② in Fig. 3), which was 6×3 mm. A minor defect (③ 1 mm) was found 5 mm towards the cardiac apex from ②. PA, pulmonary artery; RV, right ventricle; RVOT, right ventricular outflow tract; TSM, trabecula septomarginalis; VSD, ventricular septal defect

術後経過

術後5日目,エコーにおける僧帽弁流入血流は層流となり,平均圧較差は3 mmHgと改善,逆流も認めなかった.筋性部心尖部に微量の遺残短絡を3か所認めた.術後11日目に撮像したCMRではQp/Qs 1.05であった.術後2か月,遺残短絡はすべて自然に閉鎖した.

考察

本症例は,多孔性VSDによる心不全症状があり,心内修復術の適応と判断し,SMRおよびパラシュート様僧帽弁を認め,僧帽弁狭窄解除を併せて行う方針とした.肉柱部中隔のmVSDは,多孔性が多く,右室側では開口部が複数に分かれていることや,肉柱に覆われていることがあり,同定が困難である.また,心尖部および前方のmVSDは,手術操作できる空間が狭く,経三尖弁アプローチでは観察が難しいため,閉鎖が困難なことも多い.手術方法として右室切開によるアプロ—チ,パッチ閉鎖法,Sandwitch法,心内膜化法などが報告されているが,合併症のリスクも指摘されている4)

今回の多孔性VSDにおいて,VSDのみであれば,pmVSDの閉鎖のみで心不全症状は改善する可能性があった.しかし,本症例はSMRを合併しており,僧帽弁狭窄の解除が不十分であった場合を想定し,可能な限りVSDによる左右短絡は閉鎖しておくべきと判断した.

経胸壁心臓超音波検査の評価により,複数あるmVSDのうち,主たる孔の閉鎖に限定すれば,RVOTアプローチで可能と考えた.しかし,筋性部前方から心尖部にかけて複数認める短絡は,どこまで積極的に閉鎖する必要があるか,不明確であったため,PC法を多孔性VSDの評価に利用することにした.PC法は,傾斜磁場において生じる位相のずれが,静止している原子核と血流により移動している原子核で異なることを利用し,対象とする領域の血流を定量的に評価する方法である5).現在用いられているPC法は,主に二次元でデータ収集を行う二次元(2D)PC法であり,対象となる血管の血流方向に直行する断面を設定し,その血管断面において通過する血流量を定量化している.二次孔欠損型のASDではCMRのPC法 を用いてen face(中隔を正面からみた)画像を撮像し,欠損孔を通過する血流量や孔のサイズ,形状,位置などの情報を得ている3).本症例ではこれをVSDの評価に応用したところ,複数の欠損孔のうち血流量の比較的多い孔の位置の把握とそれらの短絡量を推定することができ,術前に手術アプローチと閉鎖すべき孔の検討に有用であった.CMRから短絡量が多く閉鎖すべきと判断したmVSD(Fig. 3の②,③)は術中に同定でき閉鎖した.一方,術中に確認できなかった小欠損が遺残短絡として残存したが,最終的に自然閉鎖し,短絡は完全に消失した.これは,en face画像でわずかな短絡孔として一部信号を拾えていたが,介入の必要はないと術前に判断していたものと考えられた.

先天性心疾患のCMRによる左右短絡量の評価は,一般的に大動脈や肺動脈などの血管の通過血流量をPC法で計測することにより,Qp/Qsを算出する.ASDにおいてThomsonらは適切なen face画像を撮像し,孔を通過する血流を直接計測することで,正確な短絡血流量が得られると報告した3).しかし,短絡血流と撮像した心房中隔断面であるen face画像が直行していなければ,正確に測定することはできない.心室中隔は通常,右室側に凸な球面であるため,複数あるVSDの短絡血流を一面で捉えることは難しい.肉柱に覆われている右室側中隔のmVSD開口部は,短絡血流の向きが中隔面に垂直ではなく,欠損孔毎に異なる方向に吹くことがある.本症例は右室圧の上昇により,心室中隔が平坦であり,超音波検査で確認できたmVSDの主な左右短絡は,平坦な中隔に直行するjetとして描出できていたため,en face画像でのPC法による血流評価が施行可能であった.

今回,心臓カテーテル検査のFick法とCMR PC法によるQaaoおよびQmpaの計測で求めたQp/Qsはそれぞれ2.11, 2.05とほぼ一致した.通常PC法による血流量測定は,上行大動脈,主肺動脈以外に上大静脈,下大静脈,左右肺動脈などを対象血管として,整合性の確認を行うが,本症例は心室中隔en face画像の撮像に時間を確保する目的で省略した.

CMRの容量解析における左右の心室それぞれの1回心拍出量は22.2 mL, 14.0 mLであったが,左室拍出量は2.71 L/minでQmpaと一致した.右室拍出量は1.71 L/minとQaao以上となったが,三尖弁逆流の影響と考えられ,QmpaおよびQaaoの整合性は得られたと判断した.また,QmpaからQaaoを差し引いた血流量は1.38 L/minであったが,CMR en face画像における欠損孔を直接測定した3つの左右短絡量の合計は1.56 L/minと概ね一致しており,直接測定できなかった欠損孔における短絡量は微量である可能性が高いと判断した.

今回の心室中隔のen face画像における2D-PC法においてVSDを通過する血流のベクトルは,完全に中隔に垂直とは証明できていないため,各孔の短絡血流量はあくまで参考値として捉えるべきと言わざるを得ない.ただし,カテーテル検査や容量解析結果とは大きく乖離していないため.術前評価として欠損孔の位置と短絡量の内訳を把握することに限れば十分利用できる情報であった.今後,心室中隔のen face画像による血流量測定は症例毎の適応を慎重に吟味する必要があるが,複数の欠損孔それぞれの血流量の測定が困難であった場合,主な欠損孔だけでも測定できれば,QmpaとQaaoの血流量差から左右短絡量の合計を算出することにより,測定できなかった欠損孔で生じている短絡量を推定することは可能である.外科的アプローチが困難な欠損孔の短絡量が比較的少ないと判断できた場合,放置するという選択も考慮されるが,主な欠損孔の閉鎖により右室圧や肺血管抵抗が変化し,放置したVSDの血流量が術前より増加する可能性があり,判断には注意が必要である.また,病態の進行により肺高血圧が悪化し,両心室の圧較差が減少すると短絡血流量が少なくなり,en face画像で短絡血流を同定することが困難となる可能性があることも撮影方法の限界として認識しておく必要がある.

mVSD欠損孔の解剖学的な位置の評価に限れば,過去にCMRのen face画像の有用性は報告されているが6),各孔の血流量をPC法で評価した報告はない.本症例は術中に確認できた欠損孔の位置とen face画像は合致しており,実際の欠損孔の大きさの序列もPC法で推定した血流量と矛盾しないものであった.近年では3D超音波検査によるen face画像の有用性が報告されており7),今後複数のモダリティを併用しながら総合的な評価を行い,術中所見との相違がないか,症例を重ねて検討していく必要がある.また,MRI装置の進化,高速撮像法の確立により四次元でのデータ収集を行う4D flow MRIが注目されており,撮像時間の長さ,空間分解能の限界といった欠点が解決できれば,より正確な評価が可能となるかもしれない.

結語

肉柱部の多孔性mVSDにおける手術アプローチや方法を決定するうえで,CMRのen face画像による欠損部位の同定および欠損孔毎の短絡量評価が有用な症例を経験した.

利益相反

本論文について,開示すべき利益相反(COI)はない.

著者の役割

浦山耕太郎は筆頭著者として論文を作成した.真田和哉は論文作成においてデータの分析および解釈や重要な知的内容に関わる校閲に関与し,本稿の作成に貢献した.田原昌博は論文作成において主著者を指導し,データの分析および解釈や重要な知的内容に関わる校閲に関与し,論文の責任指導者として本稿の作成に貢献した.森田理沙,野中春輝,山田和紀,佐藤友保は医学的内容からの推敲に関与した.

付記

この論文の電子版にて動画を配信している.

This page was created on 2022-09-29T08:57:59.066+09:00
This page was last modified on 2022-11-08T16:41:45.000+09:00


このサイトは(株)国際文献社によって運用されています。