Online ISSN: 2187-2988 Print ISSN: 0911-1794
特定非営利活動法人日本小児循環器学会 Japanese Society of Pediatric Cardiology and Cardiac Surgery
Pediatric Cardiology and Cardiac Surgery 38(4): 207-220 (2022)
doi:10.9794/jspccs.38.207

ReviewReview

成人先天性心疾患に対するペーシング治療Up to Date:最近の知見と応用Current Pacing Therapy for Adults with Congenital Heart Disease

東京女子医科大学循環器小児・成人先天性心疾患科Department of Pediatric and Adult Congenital Cardiology, Tokyo Women’s Medical University ◇ Tokyo, Japan

発行日:2022年12月1日Published: December 1, 2022
HTMLPDFEPUB3

成人先天性心疾患(ACHD)患者数の増加に伴い,ペーシングデバイス器機の植え込み数も増加している.特有の心臓構造を持つ先天性心疾患ではリードや植え込み法の選択も大切である.また,新しい機能,ペーシングデバイスも登場しており,ACHD領域での使用増加も予想される.本稿では,先天性心疾患領域で活用可能な最近の知見について述べる.

As the number of adults with congenital heart disease (ACHD) increases, the number of cardiovascular electronic implantable devices is also increasing. The selection of leads and implantation methods is critical for patients with the unique heart structures of CHD. Additionally, new technology has been developed recently and is being used for adults with CHD. This paper describes recent advances in the field of implantable cardiac electronic devices that can be utilized in adults with CHD.

Key words: adult congenital heart disease; cardiovascular electronic implantable devices

はじめに

成人に達する先天性心疾患(congenital heart disease: CHD)患者数の増加とともに,ペーシング機器植え込み数も増加傾向にある.一方,ペーシングデバイス治療は日々進歩しており,CHD領域においても新しい手技や機器への対応も必要となっている.

本稿では,2021年小児循環器学会総会・学術集会での教育講演での講演内容を基に,①特殊な心血管構造を持つCHDに対する心外膜及び心内膜リードの使い分けと②皮下植え込み型植え込み型除細動器(S-ICD)について最初に述べる.続いて2021年3月にアップデートされた2021年JCS/JHRSガイドラインフォーカスアップデート版不整脈非薬物治療に記載されている内容のうち,CHDへの使用がすでに導入され今後の増加が予想される,③心房抗頻拍ペーシング,④刺激伝導系ペーシング,⑤リードレスペースメーカ,⑥経皮的リード抜去について解説する.

CHDの特徴

CHD患者の主な特徴を以下に挙げる.

  • 1)複雑な解剖学的構造や血管異常(内臓逆位,dextrocardia,心房スイッチ術後,修正大血管転位の冠静脈異常など)
  • 2)成長によるリード伸展(小児期のデバイス植え込み例)
  • 3)心内短絡の存在
  • 4)静脈アクセスが困難(グレン術後,TCPC術後,三尖弁置換術後など)
  • 5)心内低電位,ペーシング閾値高値

上記の特徴を念頭にペーシングリードや機器の植え込み方法を選択する必要がある.

そして,なぜペーシング機器植え込みの手術をする必要があるのか,目的と利益を十分に説明し,一方で合併症や将来起こりうる事項(リード入れ替えなど)についても患者および家族に十分な説明をしたうえで手技を行うことも大切である.

心内膜リードと心外膜リードの使い分け

ペースメーカリードは心内膜リード及び心外膜リードに大別される.Table 1に心内膜及び心外膜リードの違いを示す.簡単に述べると,心内膜(経静脈)リードは,心外膜リードに比し閾値上昇やリード断線などのリードトラブルは少なくリード寿命も長く安定した成績を得ることが多い.しかし,明らかな心内短絡がある症例では全身性血栓症リスクが高く推奨されない1, 2).リードを心内に留置するための静脈アクセスがないと(例えばグレン術後,上大静脈閉塞例など)留置できず,リードが留置できた場合には静脈閉塞がありうる.一方,心外膜リードは,心内短絡や静脈アクセス制限などがあっても留置可能であるが,リード断線や閾値上昇などのリード不全率は心内膜リードより高くリード寿命は短い傾向がある3).稀な合併症として心外膜リードによる心臓絞扼の報告4, 5)や冠動脈圧迫6)があり,幼少期に留置した心外膜リードではリスクが高いため注意深いフォローが必要である.心外膜リードはMRI対応の承認が得られていないため,現時点では心外膜リードを使用例ではMRI撮像は原則できないことになっている.今後は,成人先天性心疾患患者の増加により,体格の大きな心内修復術後症例が増加するため,新規の心内膜リードや心外膜リードから心内膜リードへ変更する症例も増加していくのは確実である7).心外膜リードを選択するか,心内膜リードを選択するかは,体格のみならず,解剖学的特徴,侵襲に耐えられる全身状態か,今後予定または可能性のある手術予定(再手術時に同時にペースメーカ植え込みをするメリット),心内膜リード留置前に心内短絡や静脈狭窄を経カテーテルで介入可能か,MRI撮影の必要性などを考慮し個々の症例で選択することになる.

Table 1 Comparison between epicardial and endocardial leads
Epicardial leadEndocardial lead
InvasivenessStrong (thoracotomy or sternotomy is required)Low
Body sizeNo limitation except lowbirth infantBW ≥10–20 or 15 kg is generally recommended
Presence of intracardiac shuntAcceptableBasically, avoid or should be closed prior to lead placement
Venous accessNo limitationLimited (Glenn/Fontan procedures and SVC stenosis et al.)
Incidence of lead failureHigher than endocardial leadLess than epicardial lead
Cardiac strangulation/coronary artery compressionPossibleNone
Lead-related systemic thrombosisNone, even with intracardiac shuntThere is a possibility. High risk in a patient with intracardiac shunts
Venous occlusionNonePossible
InfectionPossiblePossible
Lead extraction/removalThoracotomy or sternotomy is requiredMost are possible by transcutaneous lead extraction
MRINot approvedApproved if MRI-compatible model
BW, body weight; MRI, magnetic resonance imaging; SVC, superior vena cava

先天性心疾患関連でよくある状況・質問と対応・返答(Q and A)についての返答例を以下に述べる

  • Q1)心内短絡や静脈アクセス困難な症例に対する心内膜リードの植え込みについて
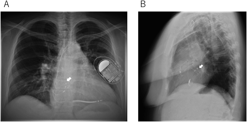
    • 大きな心内短絡(特に右左短絡)がある症例では,全身性の血栓塞栓症リスクが高い2)ことから2014年成人CHDの不整脈治療に関するPACES/HRSのExpert Consensusでは基本的に心内膜リード植え込みを避けるように記載されている1).しかし,患者の状態により開胸しての心外膜リード植え込みがどうしても困難な場合には,十分なリスクと利益を考慮し説明したうえで経静脈的にリードを留置することはある1).TCPC術後などで静脈アクセスが不足している場合には,一般的に心外膜リードを用いたペーシングデバイスの植え込みを選択する(Fig. 1)が,患者の状況による心内膜リードを工夫した植え込みに挑戦することもある(後述Q5参照).治療可能な心房間短絡(心房中隔欠損症)や上大静脈狭窄例では,あらかじめ経カテーテル心房中隔欠損閉鎖術やステント留置術をしたうえで心内膜リードを植え込むことは可能であり全身性血栓塞栓症や上大静脈症候群の予防に有用である(Fig. 2).
  • Q2)三尖弁置換術が予定またはすでに施行されている場合の心室リード選択
    • これから三尖弁置換術や形成術予定の場合は術後に,弁損傷や弁狭窄,癒着により心内膜リードのリード抜去をすることが困難となるため,心外膜リードの留置を推奨する.すでに心内膜心室リードが三尖弁経由で心室に挿入されている場合は,可能な限り手術時に心内膜リードを抜去し,心外膜リードに変更することが推奨される.すでに三尖弁置換術が施行されている場合は,心外膜リードを用いるかもしくは,冠状静脈口と心室枝があれば冠状静脈経由で冠状静脈リードを左室側(主心室)に植え込みすることで経静脈的心室ペーシングが可能になりうるので経静脈アプローチも検討する価値がある.三尖弁閉鎖に対する古典的フォンタン術後も同様に冠静脈経由で左心室にリード留置が可能な場合がある8)
  • Q3)体重何キログラムから心内膜リード植え込みはできるか?
    • 世界的には,経静脈デバイス植え込みを積極的に施行している施設では体重10–20 kg以上(一般的に15 kg位)を目安にしている9–11).体重10 kg以下でも患者の状況や状態により経静脈的にデバイス植込みをしている施設もある12, 13).ただし,デバイス感染やリードトラブル時にリード抜去などの対応が可能か,先天性心疾患の有無や今後の手術予定,房室弁逆流などを考慮して施設毎にリードを選択する必要がある.日本国内は海外に比し小児への心内膜リード留置に保守的な傾向があり,国内の多くの施設では将来の静脈閉塞,小児の経皮的リード抜去可能な施設が少ないなどの理由で比較的体格が大きくなるまでは心外膜リードを第一選択とし,将来体格が大きくなってから(30 kg以上位)経静脈リードへの変更をする施設が多い.
  • Q4)心外膜リード,使用していないリード(Abandoned lead),リードと本体のメーカーが異なる場合のMRI撮像について
    • 心外膜リードはすべてのリードがMRI撮像の承認がとれていない(Evidenceが少ない)ので,(ペースメーカ本体がMRI撮像対応であっても)現時点(2022年3月末)での日本国内では原則MRI撮像は不可というに対応になる.ペースメーカに接続されず心外膜リードのみが心筋に留置されている場合(Abandoned Lead)も原則,MRI撮像は避ける.一方で,海外からAbandoned lead(心内膜リード及び心外膜リードであっても)のMRI撮像では大きな有害事象は起きなかった報告が出てきており14–16),MRI対応が認可されていないリードやデバイス本体でも多くはMRI撮像が安全に可能性という報告もある15, 17).よって,海外ではMRI撮影リスクと患者がMRI撮影で得られる利益を検討し,患者の利益がリスクより高ければ同意のもとで,MRI非対応リード(古い心内膜リードや心外膜リード)やAbandoned lead,及びMRI非対応のリードやデバイス本体でもあってもMRI撮像を優先することも多々あるようなので,将来日本での対応も変化する可能性はある.心内膜リードは,MRI承認がとれているものに関しては,現時点での日本国内(2022年3月末)では同じメーカーのMRI対応デバイス本体とリードの組み合わせでのみMRI撮像は可能である.海外ではリードとデバイス本体が異なってもそれぞれがMRI対応であれば撮像可能となっており,将来国内でもリードとデバイス本体のメーカーが異なってもMRI撮像が許可されるよう変更される可能性は十分にある.
  • Q5)特殊な心内膜リード植え込み例について及び心外膜リード留置が困難もしくはリスクが高い症例における心内膜リードの是非
    • 解剖学的かつ電気的に複雑でリード留置困難が予想される症例に対する3Dマッピングシステムを併用してのリード留置7),完全大血管転位症心房スイッチ術後の経静脈リード植え込み(左心耳と左側心室への心内膜リード留置)と体心室(解剖学的右室)への心外膜リードを組み合わせた心臓再同期療法(Fig. 3),心房スイッチのバッフルリークから体心室腔への心内膜リード留置18),Hemi Fontanの上大静脈端やTCPC術後の肺動脈側から,もしくは肺動脈—心房壁を穿通しての経静脈心房ペーシング9, 19, 20),左室性単心室のSeptation術及び三尖弁置換術後の心内膜リードを用いた両心室ペーシング21),古典的フォンタン術後に対する冠静脈内への植え込み型除細動器(ICD)リード留置を用いた経静脈的ICD植え込み22)などがある.一般的に心外膜リードが第一選択と思われる症例でも,開胸の侵襲リスクや患者の状態により心内膜リードを選択することもある.肺静脈腔や体心室への心内膜リード留置は血栓塞栓症のリスクが高まるため,十分な抗凝固療法と患者へのリスク説明が必要である.
Pediatric Cardiology and Cardiac Surgery 38(4): 207-220 (2022)

Fig. 1 Complete Epicardial ICD implantation in a patient with asplenia, dextrocardia, single ventricle and ventricular tachycardia at Fontan conversion

A: 3D CT image before Fontan conversion. B: Complete Epicardial ICD implantation at same time of Fontan conversion. Ao, aorta; CT, computed tomography; Epi-A lead, epicardial atrial lead; Epi-ICD lead, ICD lead placed in posterior epicardial space; Epi V lead, epicardial ventricular lead; ICD, implantable cardioverter defibrillator; IVC, inferior vena cava; LSVC, left-sided superior vena cava; RSVC, right-side superior vena cava; SV, single ventricle; SV atrium, systemic venous atrium

Pediatric Cardiology and Cardiac Surgery 38(4): 207-220 (2022)

Fig. 2 Adult women repaired tetralogy of Fallot with sustained ventricular tachycardia and residual atrial shunt. She underwent atrial septal defect closure using atrial septal defect occluder before transvenous ICD implantation to prevent lead related systemic thrombosis

A: Chest X-ray (frontal view). B: Chest X-ray (lateral view). White arrow: atrial septal defect occluder. ICD, implantable cardioverter defibrillator

Pediatric Cardiology and Cardiac Surgery 38(4): 207-220 (2022)

Fig. 3 CRT using transvenous ICD combined with epicardial lead on systemic right ventricle in a patient underwent Senning operation for TGA, complete atrioventricular block and systemic ventricle failure

A: 3D CT image of all chamber. B: 3D CT image of systemic venous chamber. C: 3D CT image of subpulmonary ventricle and pulmonary artery. D: Chest X-ray (frontal view). E: Chest X-ray (lateral view). A lead, atrial lead; Ao, aorta; Epi lead, epicardial lead; ICD, implantable cardioverter defibrillator; LAA, left atrial appendage; LV, left ventricle; MV, mitral valve; PA, pulmonary artery; RV, right ventricle; SVC, superior vena cava; TGA, transposition of great arteries

皮下植え込み型除細動器(S-ICD)

従来広く使用されてきた心内膜リードを用いた経静脈植え込み型除細動器(TV-ICD)はリード挿入に伴う合併症や,経年劣化に伴うリード不全やデバイス感染時に菌血症・心内膜炎を合併しやすいなどの問題が生じうる.心外膜リードを用いた開胸によるICD植え込み(Epicardial ICD)は,開胸を要するため経静脈ICD以上に侵襲が大きく,TV-ICD以上にリードトラブルが起きやすいという難点がある.経静脈及び開胸(心外膜リードを用いた)ICD及び皮下植え込み型除細動器の比較を示す(Table 2).皮下植え込み型除細動器(S-ICD)は,ICDリードは胸骨脇の皮下,ICD本体は通常左中腋窩—後腋窩線の前鋸筋と広背筋間に植え込み,心臓に接するリード留置は要しない.リードトラブルやデバイス感染自体は起こりうるが,易感染症例でも血行感染は予防でき,感染時のデバイス抜去が比較的容易に行えることや,静脈閉塞や血管構造による静脈アクセス困難(グレン術後やTCPC術後)や心内短絡によるリードに関連した血栓塞栓症の心配がないというメリットがある.デバイスの植え込み部位は,内臓逆位やdextrocardia例では右側腋窩を選択する23).S-ICDデバイスのサイズが大きいことや,ペーシング機能はないため体格の小さな小児やペーシングを必要とすることの多いCHDでは注意が必要である.S-ICD植え込みの適応自体は経静脈ICDに準じるが,ペーシングが不要で心内短絡を認める例(チアノーゼがあるなど),もしくは静脈アクセスのない複雑性CHD(Fontan術後など)の心室細動蘇生例(心臓突然死二次予防)(Fig. 4)や,突然死ハイリスク群に対する心臓突然死一次予防例,心内短絡はなくともペーシングが不要な心蘇生例のCHDの心臓突然死二次予防などは良い適応となる24).一方でファロー四徴症心内修復術後遠隔期などに生じる持続性心室頻拍症例では,右心室流出路心室切開やパッチ形成後などに関連した心室内緩徐伝導を介したリエントリー性機序が多く心室抗頻拍ペーシングが有効である.ファロー四徴症術後では心室抗頻拍ペーシングの有効率が90%以上と高い報告がある24).そのためペーシングの必要性や,心室頻拍性不整脈の種類や機序,静脈アクセス,アブレーションの結果などを考慮し経静脈ICDかS-ICDを選択することが重要である.近年,国内でも小児やCHDに対するS-ICD植え込み報告は増加しており,海外からは多数の症例をまとめた報告もある25, 26).米国の多施設研究では,115例中(器質的心疾患は約30%程度),合併症は1年で14.7%,不適切作動を約15%,適切作動約11%(年4.9%)に認め,92%は初回ショック時の除細動に成功していることからTV-ICDと比較し成績は遜色ないと報告している25).この報告では最少年齢5歳,最小体重20 kgである.より小さな体格の小児例に対するS-ICD植え込み報告もあるがデバイスサイズが大きくリードも短いリードはないことから,現時点では体重下限は約20 kg以上位が一つの目安かもしれない.S-ICDにはペーシング機能がないため,リードレスペーシングや心内膜リードや心外膜リードのペースメーカを併用している報告もある27, 28).一方で,ペースメーカとS-ICD間の干渉により正常にDCショック作動しないことやショック治療後のペーシングが入らないという報告もあり注意が必要である29).また,単極リードや双極ペーシング閾値が高いなどの理由で単極ペーシングを高頻度に使用している症例では,ICDと単極ペーシングの併用は,単極ペーシングのスパイクが大きく心室細動時にアンダーセンスしICD作動が正しく作動しない可能性があるため禁忌となっている(S-ICDでもTV-ICDでも同様).先天性心疾患においてはS-ICD植え込み前の体表面心電波形を用いたスクリーニング検査を高率にパスできない可能性が指摘されている30).成人CHDに体表面心電波形を用いてS-ICDの適合スクリーニング検査を用いて評価した報告では,ファロー四徴症の50%はスクリーニングがスクリーニングをパスできず(約30%は胸骨右縁でのみパス),Fontan術後においては全体の70%がパスできなく,S-ICDスクリーニングの段階でパスできない頻度が高いとの報告がある30).一方で,成人のCHDに対するS-ICDスクリーングはぺースメーカやICD植え込み後を37%含む群においても,83%と高率に適合したという報告もある31).いずれにせよ複雑な心臓構造や活動性の高い若年者やCHDに対するS-ICDの際には胸骨右縁および左縁や体位変換,運動時の波形変化など可能な限りの植え込み前スクリーニングを十分にすることが大切といえる.成長による体格の変化が起こりうる場合には最初に選択した電極極性での心電波形が変化する可能性がある.植え込み後も心電波形が初期の頃と同様に得られているか,T波オーバーセンスが生じやすくなっていないかなど定期的に確認したほうが無難かもしれない.将来的には,リードレスペースメーカとS-ICDの組み合わせた心室ペーシングや抗頻拍ペーシングも可能な静脈や心内にリードを留置しないS-ICDシステムが出現する可能性がある.

Table 2 Comparison among transvenous, epicardial and subcutaneous ICD
TV-ICDEpicardial ICDS-ICD
InvasivenessLittleStronger than TV- or S-ICD (thracotomy or sternotomy required)Little. It enables without vein puncture
LeadsTV-ICD lead (and pacemaker lead)Epicardial pacing lead and ICD lead (TV-ICD lead, S-coil lead ICD patch)S-ICD lead only
Site of ICD generatorUsually subclavian pocket. Rarely submammary and axillary pocketAbdominal pocket or subclavian pocketSide of (usually left occasionally right side) chest wall below the armpit
Cardiac pacing/antitachycardia pacingAvailableAvailableNone
Lead-related systemic thrombosisThere is a possibility. High risk in a patient with an intra cardiac shuntNone, even with intracardiac shuntNone, even with intracardiac shunt
Intracardiac shuntBasically avoidAcceptableAcceptable
Venous occlusionPossibleNoneNone
Venous accessLimited (Glenn/Fontan procedures and SVC stenosis et al.)No limitationNo limitation
Cardiac strangulation/coronary artery compressionNonePossibleNone
Lead extraction/removalMost are possible by transcutaneous lead extractionThoracotomy or sternotomy is requiredComparatively easy
MRIApproved if MRI compatible modelNot approvedApproved
ICD, implantable cardioverter defibrillator; MRI, magnetic resonance imaging; S-, subcutaneous; SVC, superior vena cava; TV-, transvenous
Pediatric Cardiology and Cardiac Surgery 38(4): 207-220 (2022)

Fig. 4 S-ICD implantation in a patient with unoperated TOF, MAPCA, syncope due to unstable ventricular tachycardia and deep cyanosis

A: 3D computed tomography (frontal view). asterisk showed large aortic aneurysm from right valsalva sinus. B: 3D computed tomography (left posterior view view). MAPCA from descending aorta connected to left side pulmonary artery. C: Chest X-ray (frontal view). The ICD lead was placed left parasternal. Ao, aorta; DAo, descending aorta; LV, left ventricle; RA, right atrium; PA, pulmonary artery; MAPCA, major aortopulmonary collateral artery; S-ICD, subcutaneous implantable cardioverter defibrillator; TOF, tetralogy of Fallot

心房抗頻拍ペーシング

CHDでは心房頻拍(特に心房内リエントリー性頻拍が多い)や心房細動発生リスクが高く,各々は死亡,血栓,突然死リスク増大など予後に影響すると言われている.

心房抗頻拍ペーシング(AATP)は初期の第一世代以降,プログラムが改良され,現在は次々と変化する頻拍周期に対して追従対応が可能な第二世代のreactive AATPとなっている.2014年発表のreactive AATPの有効性を示した論文(通称MINERVA STUDY)32)以降,reactive AATPのAF停止や抑制効果が幅広く認知されるようになっている33, 34)

CHD領域では第一世代のAATPの頃からCHDの心房頻拍停止に有効との報告があり35–39),2014年のAdult CHDの不整脈治療に関するPACES expert consensus40)や2021年小児のペーシングデバイスに関するPACES expert consensus41)においても心房頻拍のある洞不全症候群や,治療抵抗性の心房内リエントリー性頻拍に対するAATP機能付きデバイス植込みはクラス2A適応と高い推奨度となっている.CHD関連のAATP設定に関しては,過去の論文では一定のAATP設定は明記されていない.多種多様なCHDに対して個別にAATP設定を組むことは至難の業であり,われわれの施設では,AATPを開始する際には,まずあらかじめ設定されているノミナル設定(通称Minerva設定)で開始(AATPの治療開始心房レートのみ個別に変更)し,AATP無効の場合に必要に応じて個別に設定変更している.それでも頻拍停止効果は50%以上に達し,成功率以上にAATP開始後は電気ショック数も減少する.また,フォンタン再手術時の心外膜リードを用いたペースメーカ植込みなど周術期の心房頻拍にもAATPは有効である.そのため,CHD患者でAT/AFハイリスク症例でペーシング治療が必要な場合は,積極的にAATPデバイスを使用している.洞不全症例では心房リードのみでペーシングは可能であるが,AATPは心室波情報もないと使用できないプログラムとなっており,必ず心室リードもセンシングできる部位に留置する必要がある点に注意が必要である.また,1 : 1房室伝導を示す心房頻拍は洞性頻脈との鑑別ができずAATPが作動しないプログラムとなっており,またフォンタン術後などでは高心拍数により容易に血行動態が破綻するので房室伝導が良い症例では十分量のβ遮断薬などを用いて房室伝導を抑制する必要がある.AATP関連の重大な有害事象の発生はほぼなく安全に利用できる.AATP開始時期については,心内膜リードを用いた場合は,リード留置後リードDislodgeの懸念があることから,デバイス植え込み後30日後以降にAATP設定を開始することをメーカー(Medtronic社)は推奨している.一方でフォンタン再手術や人工弁置換術などの開心術と同時に心外膜リードを用いたペーシング機器植え込みする際には,心外膜リードではDislodgeリスクはほぼない.自施設では,複雑なCHDほど周術期早期に心房頻拍性不整脈が発生するため手術時に心外膜リードを用いてペーシングデバイス植込をした症例においては,手術直後および術後急性期からAATPを設定ONにし,心房頻拍持続の抑制や電気的除細動回避に役立てている(Fig. 5).

Pediatric Cardiology and Cardiac Surgery 38(4): 207-220 (2022)

Fig. 5 Successful atrial anti-tachycardia pacing therapy for perioperative atrial tachycardia after Fontan conversion in a patient with single left ventricle

A: Venography in extracardiac conduit. B: Ventriculography. C: Atrial anti-tachycardia pacing (burst pacing) successfully terminated frequent perioperative atrial tachycardia. A, atrial; LV, left ventricle; OC, outlet chamber (rudimentary right ventricle); V, ventricle

刺激伝導系(His束)ペーシング

心室ペーシング(多くは解剖学的右心室)により主心室(多くは解剖学的左心心室)の同期不全を生じ収縮機能不全を来しうるため,刺激伝導系の上部(His束領域)をペーシングすることでより生理的な心室伝導興奮を得ることは理にかなっている.従来は,安定したリードの固定の難しさや安定したペーシング閾値を得ることが困難であったが,近年,Medtronic社が開発したリード及び専用のリードデリバリーシステムを用いることで,留置成功率や長期成績も安定し世界中で広くHis束ペーシングが広まっている42–45).また,心室中隔にリードを深く留置し左脚領域をペーシングする左脚領域ペーシングの報告もあり,His束ペーシングと左脚領域ペーシングを合わせて刺激伝導系ペーシングと呼ばれるようになっている.

CHDにおいてもHis束領域のペーシングは,心室ペーシングが必要な群においても最も理想的な心室ペーシングと示唆される.一般的な適応は,基本的に心室ペーシングが高頻度に必要な房室ブロックや,冠状静脈異常などで経静脈的に冠状静脈リード留置困難な心臓再同期療法(CRT)適応症例への代替が該当する.

CHDや小児におけるHis束ペーシングの適応基準はまだないが,CHDや小児領域でもHis束や左脚領域ペーシングの報告も増えつつあり,短期成績として安定したペーシング閾値,QRS幅の縮小,NYHAや症状の改善などの報告がある46–49)

CHDにおけるHis束ペーシングの注意点として①房室結節—His束伝導の解剖学的位置が通常と異なる(修正大血管転位での前方結節,房室中隔欠損症における後方偏位,修正大血管転位や内臓錯位症候群における2つの房室結節の存在など),②心室パッチなどがありリードを留置できない可能性,③外科手術に関連した房室伝導障害ではHis束下部での伝導ブロック(AHブロックではなくHBまたはHVブロック)の可能性があり,術後症例ではHis束上部でのペーシングでは安定した心室ペーシングが得られない可能性がある(Fig. 6).現時点でのCHDへのHis束ペーシングの適応は①房室伝導障害や心房静止や②永続性心房細動の徐脈で心房ペーシングが不可能かつ高頻度に心室ペーシングが必要な症例になるが,長期成績に不明な点も多いため,自施設では最初に刺激伝導系(His束)ペーシング適応例においてはまずはHis領域へのリード留置に挑戦するが,ペーシング閾値が高い,リード固定が困難,房室ブロック部位がHis束下部の場合などには無理せず通常の中隔ペーシングに変更することで安定したペーシングを確保する対応としている.また,成長によるリード伸展に対するリード抜去及びリード入れ替えが将来必要になる先天性房室ブロックなどの小児では,心機能低下がなければリード固定やリード抜去に伴う房室結節領域の損傷を防ぐため小児はあえてHis束ペーシングを避けるようにしている.His束領域を直接ペーシングする選択的His束ペーシングとHis束近傍の心筋を捕捉する非選択的His束ペーシングがあるが,非選択的His束ペーシングであっても長期的な心機能や心室収縮様式への影響に大きな差はないと言われるので,必ずしも選択的His束にこだわらなくてもよい.解剖学的右心室が主心室である症例に対する解剖学的左室側の左脚ペーシングは報告があるが47, 48),より生理的となるはずの右脚領域ペーシングについては現時点では未知である.

Pediatric Cardiology and Cardiac Surgery 38(4): 207-220 (2022)

Fig. 6 Para-Hisian pacing in a patient post ventricular septal defect closure with atrioventricular block improved left ejection

A: Fluoroscopic image of right anterior oblique position during procedure. Epicardial ventricular pacing (endocardial leads were placed on the epicardial side) showed pacing failure due to high pacing threshold. His bundle electrogram of own beat detected by His catheter showed HV block. 4.1Fr lumenless lead was screwed to the right ventricular side below HV block site (asterisk). B: Chest X-ray after transvenous pacemaker implantation. Old epicardial leads and device still remained. C: Electrocardiogram before para-Hisian pacing. D: Electrocardiogram after para-Hisian pacing showed narrowing QRS duration. Low left ejection fraction on echocardiography due to chronic right ventricular anterior free wall pacing improved from 42% to 54% after para-Hisian pacing. Epi-A lead, epicardial atrial leal; Epi-V lead, epicardial ventricular lead

低心機能のCHDで冠状静脈口が左房側にCut Backされている房室中隔欠損症術後,冠静脈異常のため冠静脈リード留置が困難な修正大血管転位,心房スイッチ術後でsystemic right ventricle側の冠状静脈へのリード留置が困難な例では刺激伝導系ペーシングが心室ペーシング心機能増悪の予防だけでなくCRTの代替になる可能性もあり今後考慮されるペーシング療法の選択肢となりえる43)

リードレスペースメーカ

リードレスペースメーカは,従来のペースメーカリードがなく本体とペーシング部が一体化されており内服薬のカプセル剤並みに小型化された画期的なペースメーカである(Fig. 7).通常のペースメーカと異なり①皮下ポケット関連の合併症(ポケット感染や血種,皮膚の糜爛や圧迫壊死など)や②リード関連合併症(断線,被膜損傷,静脈血栓や静脈閉塞,三尖弁閉鎖不全)がないメリットがある.従来は,国内ではVVI機能のみが認可されており,静脈閉塞や静脈アクセスの温存を考える有症候性徐脈性心房細動,高齢者のフレイルや寝たきりなどで心房リードを留置するリスクが高くリードレスVVIペーシングの方が通常のペースメーカ植え込みを行うよりもメリットがある場合や,デバイス感染に対するシステム抜去後の再植込み時などに適応とされていた.先天性心疾患領域では,上大静脈閉塞のある房室ブロック症例や,S-ICDとリードレスペーシングの併用例などの報告がある28, 50).2021年から日本国内でも,心房収縮のセンシングが可能でVDDペーシング機能が使える機種が認可され保険償還されるようになった.通常のDDDペースメーカと異なり心房の電気信号をセンシングするのではなく,加速度センサーからの信号で4つの心音,等容性収縮と僧帽弁・三尖弁閉鎖(A1),大動脈弁・肺動脈弁閉鎖(A2),等容性弛緩(A3),心房収縮(A4)を感知できる(Fig. 7).心房収縮期(心臓エコーでの房室弁流入波の心房波に相当)するA4を感知し,一定の時間間隔で心室ペーシンングを追従するVDDペーシングであり房室ブロック患者において80%以上の高い房室同期が得られると報告されている51, 52)先天性心疾患領域では,房室ブロックなど心室ペーシングが必要な状態では房室同期が血行動態に重要な役割を担うためVVIペーシングよりもVDDペーシングの出現によりCHD領域でもリードレスペースメーカの使用は今後,国内でも増えると予想される.ただし,複雑な構造や高度の房室弁逆流などを併発した先天性心疾患においても房室同期が可能かどうかについては未知な面もある.長期的に最も危惧される問題として,感染時や電池消耗後のデバイス抜去が困難なことがあげられる.植え込み後早期のデバイス抜去の報告はある53)が,植え込み後遠隔期における抜去に関しては,現在使用可能なデバイス(Medtronic社)はスクリューインではなくいかりのようなフックで心筋に固定されており,専用の抜去システムはなく基本的にデバイス抜去は想定されていない.本体は通常のペーシング閾値であれば約10年で電池消耗となるため若いCHD患者では心腔内にさらにデバイスを追加するとなるとデバイスは小さいが心腔内に複数留置することになり心房—心室—大血管への血流阻害や血栓形成を来す危険がある.現時点では,植え込み後遠隔期にデバイス抜去が困難なことは,比較的年齢の若いCHD患者におけるリードペースメーカの使用を躊躇する要因の一つといえる.デバイス感染に関しては,ポケットやリード関連の感染を抑制できるので従来のペースメーカに比し感染率は低いと予想されるが,デバイス感染自体の報告はある.通常は鼠径静脈経由で27Frのシース経由で右心室にデバイス留置を行う.体格に関しては,小児に対するリードレスペースメーカでは年齢が12~14歳,体重が30~51 kgの比較的体格の良い症例への鼠径静脈アプローチでの植え込み報告がある54)

Pediatric Cardiology and Cardiac Surgery 38(4): 207-220 (2022)

Fig. 7 Leadless pacemaker (Micra VDD, Medtronic) and accelerometer signal in relation to body surface electrocardiogram and A1, A2, A3, and A4 events: Provided by Medtronic Japan Co., Ltd

A: Illustration of leadless pacemaker placed on the right ventricular septum. B: Four segments of accelerometer signal corresponded to isovolumic contraction and mitral/tricuspid valve closure (A1), aortic/ pulmonic valve closure (A2), passive ventricular filling (A3), and atrial contraction (A4). C: P wave and A4 signal following P wave during own heat beat with atrioventricular block. D: AV sequential pacing during VDD mode. ECG, electrocardiogram

下大静脈閉塞—欠損例においては内頸静脈—上大静脈経由でのデバイス留置も想定されるが,小児例(体重20 kg及び27 kg)において内頸静脈経由での植え込みの報告はあるので内経静脈経由のデバイス留置も不可能ではないといえることと,体重が20 kg台の小さな小児でもアプローチ法を変えることで留置自体は可能であるといえる55, 56).リードレスなのでリード関連の血栓症や静脈閉塞の心配はないが,未手術や姑息術のみ施行歴のあるチアノーゼ性心疾患など有意な心内短絡のある症例に対するリードレスペースメーカの血栓リスクや,長期経過で心腔内にデバイスを追加留置した例などCHDでは多々遭遇しうる状況においての報告は未だなく,今後の動向をみていく必要がある.

経皮的リード抜去

CHD領域でもデバイス感染,リード不全,静脈閉塞などに対して経皮的リード抜去やシステム全抜去を施行することは増えてきている.現在,日本国内では主に2010年よりエキシマレーザーシース,2011年よりリードロッキングデバイス,2015年よりメカニカルシース・スネア,2018年よりRotationダイレーターシースセットが保険承認され使用可能なリード抜去システムである.経皮的リード抜去に関しては,2018年のEuropean Heart Rhythm Association(EHRA)のCHDの不整脈に関するガイドラインよりCHD領域での記載が初めて掲載されるようになった8).CHDに対するリード抜去の適応は,①ポケット感染や全身性感染を伴うデバイス感染,②静脈閉塞,③リード関連で生じる致死的不整脈や植え込みデバイスへの干渉,悪性腫瘍治療への干渉などが強い推奨とされている8).CHD領域でのリード抜去の報告では,非感染例の割合は8~48%と報告により差があるが,近年非感染例の割合が高くなってきている57–59).CHD領域においても90%以上でリードの完全抜去に成功しているが,レーザーシステムの使用や併用例が48~52%,Femoral approachを要することが8~16%程度に報告され,複雑なリード抜去手技になる傾向がある.リード抜去関連の死亡例はないが主要な合併症頻度は4.4から17%程度で生じ,特にリード抜去後の肺動脈弁下房室弁(三尖弁)逆流の増悪は頻度が高く(3~16%程度)注意が必要である.経静脈システムにおいての感染例ではポケット感染以上であれば(表層の皮膚感染でなければ)リードを含めたシステムの完全抜去が基本となる60–62).リード不全などの非感染例に対しても,CHD群は比較的若い年齢が多く,長期的な視点からリード追加と旧リードの遺残による静脈閉塞や感染リスクの懸念からリード抜去を早期に考慮する傾向にある(Fig. 8).心外膜リードを用いたデバイス感染でも,ポケット感染以上であれば基本的にはシステムの全抜去が望ましいが,リード全抜去に伴う再開胸リスクを考慮し全抜去をするかどうかを判断することになる.ポケット感染ではポケット周囲のリード除去とデバイス除去でリード遠位部位(心臓—胸腔内)は残存させて抗生剤治療をすることもオプションとしてありうる62).しかし,リード遠位側の感染(縦郭炎や菌血症,膿瘍形成)などを認めれば致死的となるため速やかに開胸しての全てのシステム抜去を考慮する必要がある61)

Pediatric Cardiology and Cardiac Surgery 38(4): 207-220 (2022)

Fig. 8 Conversion from pacemaker to ICD by transcutaneous lead extraction in a patient with (IDD) corrected TGA post Mustard combined with Rastelli operation and atrioventricular block had unstable ventricular tachycardia with syncope. The patient underwent transvenous pacemaker implantation for complete atrioventricular block showed syncope due to unstable ventricular tachycardia, therefore we performed V pacemaker lead extraction and ICD lead exchange and upgraded device pacemaker to ICD

A: 3D CT image. B: Chest X-ray before by transcutaneous lead extraction. C: Chest X-ray after lead extraction and upgrading system from pacemaker to ICD. A, atrial; Ao, aorta; ICD, implantable cardioverter defibrillator; IVC, inferior vena cava; LV, left ventricle; PA, pulmonary artery; PV, pulmonary venous chamber; RV, right ventricle; SV, systemic venous chamber; SVC, superior vena cava; V, ventricular

おわりに

従来,特殊な心血管構造や病態をもつ複雑なCHDでは血管アクセスの制限や心内シャントの存在によりペーシング治療の選択肢は限定されていた.しかし,近年のペーシング治療の進歩は,CHD領域においても応用可能なことも多い.特殊な心血管構造や病態をもつ複雑なCHDでは,その特徴をより深く把握する必要があるが,治療の選択肢が広まることはCHD患者や医療従事者双方に歓迎されるべきことといえる.

利益相反

利益相反に関する事項はありません.

付記

本稿の内容は,2021年第57回日本小児循環器学会総会・学術集会の教育セミナーの講演内容をもとに作成した.

引用文献References

1) Khairy P, Van Hare G, Balaji S, et al: PACES/HRS Expert Consensus Statement on the Recognition and Management of Arrhythmias in Adult Congenital Heart Disease: Developed in partnership between the Pediatric and Congenital Electrophysiology Society (PACES) and the Heart Rhythm Society (HRS). Endorsed by the governing bodies of PACES, HRS, the American College of Cardiology (ACC), the American Heart Association (AHA), the European Heart Rhythm Association (EHRA), the Canadian Heart Rhythm Society (CHRS), and the International Society for Adult Congenital Heart Disease (ISACHD). Heart Rhythm 2014; 11: e102–e165

2) Khairy P, Landzberg MJ, Gatzoulis MA, et al: Epicardial Versus ENdocardial pacing and Thromboembolic events Investigators: Transvenous pacing leads and systemic thromboemboli in patients with intracardiac shunts: A multicenter study. Circulation 2006; 113: 2391–2397

3) McLeod CJ, Attenhofer Jost CH, Warnes CA, et al: Epicardial versus endocardial permanent pacing in adults with congenital heart disease. J Interv Card Electrophysiol 2010; 28: 235–243

4) Takeuchi D, Tomizawa Y: Cardiac strangulation from epicardial pacemaker leads: Diagnosis, treatment, and prevention. Gen Thorac Cardiovasc Surg 2015; 63: 22–29

5) Carreras EM, Duncan WJ, Djurdjev O, et al: Cardiac strangulation following epicardial pacemaker implantation: A rare pediatric complication. J Thorac Cardiovasc Surg 2015; 149: 522–527

6) Mah DY, Prakash A, Porras D, et al: Coronary artery compression from epicardial leads: More common than we think. Heart Rhythm 2018; 15: 1439–1447

7) Takeuchi D, Toyohara K, Yagishita D, et al: Acute and long-term outcomes of transvenous cardiac pacing device implantation in patients with congenital heart disease. Circ Rep 2019; 1: 445–455

8) Hernandez-Madrid A, Paul T, Abrams D, et al: ESC Scientific Document Group: Arrhythmias in congenital heart disease: A position paper of the European Heart Rhythm Association (EHRA), Association for European Paediatric and Congenital Cardiology (AEPC), and the European Society of Cardiology (ESC) Working Group on Grown-up Congenital heart disease, endorsed by HRS, PACES, APHRS, and SOLAECE. Europace 2018; 20: 1719–1753

9) Chubb H, O’Neill M, Rosenthal E: Pacing and defibrillators in complex congenital heart disease. Arrhythm Electrophysiol Rev 2016; 5: 57–64

10) Silka MJ, Bar-Cohen Y: Pacemakers and implantable cardioverter-defibrillators in pediatric patients. Heart Rhythm 2006; 3: 1360–1366

11) Takeuchi D, Tomizawa Y: Pacing device therapy in infants and children: A review. Journal of Artificial Organs: The Official Journal of the Japanese Society for Artificial Organs 2013; 16: 23–33

12) Stojanov PL, Savic DV, Zivkovic MB, et al: Permanent endovenous pediatric pacing: Absence of lead failure—20 years follow-up study. Pacing Clin Electrophysiol 2008; 31: 1100–1107

13) Kammeraad JA, Rosenthal E, Fau-Bostock J, et al: Endocardial pacemaker implantation in infants weighing ≤10 kilograms. Pacing Clin Electrophysiol 2004; 27: 1466–1474

14) Padmanabhan D, Kella DK, Mehta R, et al: Safety of magnetic resonance imaging in patients with legacy pacemakers and defibrillators and abandoned leads. Heart Rhythm 2018; 15: 228–233

15) Gupta SK, Ya’qoub L, Wimmer AP, et al: Safety and clinical impact of MRI in patients with non-MRI-conditional cardiac devices. Radiol Cardiothorac Imaging 2020; 2: e200086

16) Schaller RD, Brunker T, Riley MP, et al: Magnetic resonance imaging in patients with cardiac implantable electronic devices with abandoned leads. JAMA Cardiol 2021; 6: 549–556

17) Bireley M, Kovach JR, Morton C, et al: Cardiac Magnetic Resonance Imaging (MRI) in children is safe with most pacemaker systems, including those with epicardial leads. Pediatr Cardiol 2020; 41: 801–808

18) Chakrabarti S, Morgan GJ, Kenny D, et al: Initial experience of pacing with a lumenless lead system in patients with congenital heart disease. Pacing Clin Electrophysiol 2009; 32: 1428–1433

19) Arif S, Clift PF, De Giovanni JV: Permanent trans-venous pacing in an extra-cardiac Fontan circulation. EP Europace 2015; 18: 304–307

20) Moore JP, Shannon KM: Transpulmonary atrial pacing: An approach to transvenous pacemaker implantation after extracardiac conduit Fontan surgery. J Cardiovasc Electrophysiol 2014; 25: 1028–1031

21) Takeuchi D, Yagishita D, Toyohara K, et al: Transvenous biventricular pacing in double-inlet left ventricle following ventricular septation and atrioventricular valve replacement. Europace 2017; 19: 1987

22) Toyohara K, Yagishita D, Kudo Y, et al: Transvenous shock-only implantable cardioverter defibrillator after an atrio-pulmonary Fontan surgery. Pacing Clin Electrophysiol 2021; 44: 181–184

23) Al-Ghamdi B: Right-sided subcutaneous implantable cardioverter defibrillator system implantation in a patient with complex congenital heart disease and dextrocardia: A case report and literature review. Case Rep Cardiol 2019; 2019: 3907190

24) Henmi R, Ejima K, Yagishita D, et al: Long-term efficacy of implantable cardioverter defibrillator in repaired tetralogy of Fallot: Role of anti-tachycardia pacing. Circulation J 2017; 81: 165–171

25) von Alvensleben JC, Dechert B, Bradley DJ, et al: Subcutaneous implantable cardioverter-defibrillators in pediatrics and congenital heart disease: A Pediatric and Congenital Electrophysiology Society multicenter review. JACC Clin Electrophysiol 2020; 6: 1752–1761

26) Cortez D, Erickson K, Hiremath G, et al: Pediatric SubQ-ICD implantation, a single center review of the inter-muscular technique. Indian Pacing Electrophysiol J 2021; 21: 25–28

27) Steinberg C, Chakrabarti S, Krahn AD, et al: Nothing inside the heart: Combining epicardial pacing with the S-ICD. HeartRhythm Case Rep 2015; 1: 419–423

28) Mondesert B, Nair K, McLeod CJ, et al: Technological advances in arrhythmia management applied to adults with congenital heart disease. Can J Cardiol 2019; 35: 1708–1722

29) Abbott N, Bender A, Henrikson C, et al: Adverse device-device interaction between pacemaker and subcutaneous implantable cardiac defibrillator. Pacing Clin Electrophysiol 2021; 44: 1944–1948

30) Wang L, Javadekar N, Rajagopalan A, et al: Eligibility for subcutaneous implantable cardioverter-defibrillator in congenital heart disease. Heart Rhythm 2020; 17 5 Pt B: 860–869

31) Zormpas C, Silber-Peest AS, Eiringhaus J, et al: Eligibility for subcutaneous implantable cardioverter-defibrillator in adults with congenital heart disease. ESC Heart Fail 2021; 8: 1502–1508

32) Boriani G, Tukkie R, Manolis AS, et al: MINERVA Investigators: Atrial antitachycardia pacing and managed ventricular pacing in bradycardia patients with paroxysmal or persistent atrial tachyarrhythmias: The MINERVA randomized multicentre international trial. Eur Heart J 2014; 35: 2352–2362

33) Boriani G, Tukkie R, Biffi M, et al: MINERVA Investigators: Atrial antitachycardia pacing and atrial remodeling: A substudy of the international, randomized MINERVA trial. Heart Rhythm 2017; 14: 1476–1484

34) Crossley GH, Padeletti L, Zweibel S, et al: Reactive atrial-based antitachycardia pacing therapy reduces atrial tachyarrhythmias. Pacing Clin Electrophysiol 2019; 42: 970–979

35) Gillette PC, Zeigler VL, Case CL, et al: Atrial antitachycardia pacing in children and young adults. Am Heart J 1991; 122: 844–849

36) Kramer CC, Maldonado JR, Olson MD, et al: Safety and efficacy of atrial antitachycardia pacing in congenital heart disease. Heart Rhythm 2018; 15: 543–547

37) Rhodes LA, Walsh EP, Gamble WJ, et al: Benefits and potential risks of atrial antitachycardia pacing after repair of congenital heart disease. Pacing Clin Electrophysiol 1995; 18: 1005–1016

38) Stephenson EA, Casavant D, Tuzi J, et al: ATTEST Investigators: Efficacy of atrial antitachycardia pacing using the Medtronic AT500 pacemaker in patients with congenital heart disease. Am J Cardiol 2003; 92: 871–876

39) Kramer CC, Maldonado JR, Olson MD, et al: Atrial antitachycardia pacing in complex congenital heart disease: A case series. J Innov Card Rhythm Manag 2018; 9: 3079–3083

40) Khairy P, Van Hare GF, Balaji S, et al: PACES/HRS Expert Consensus Statement on the Recognition and Management of Arrhythmias in Adult Congenital Heart Disease: Developed in partnership between the Pediatric and Congenital Electrophysiology Society (PACES) and the Heart Rhythm Society (HRS). Endorsed by the governing bodies of PACES, HRS, the American College of Cardiology (ACC), the American Heart Association (AHA), the European Heart Rhythm Association (EHRA), the Canadian Heart Rhythm Society (CHRS), and the International Society for Adult Congenital Heart Disease (ISACHD). Heart Rhythm 2014; 11: e102–e165

41) Shah MJ, Silka MJ, Silva JNA, et al: Writing Committee Members: 2021 PACES Expert Consensus Statement on the Indications and Management of Cardiovascular Implantable Electronic Devices in Pediatric Patients. Heart Rhythm 2021; 18: 1888–1924

42) Zanon F, Ellenbogen KA, Dandamudi G, et al: Permanent His-bundle pacing: A systematic literature review and meta-analysis. Europace 2018; 20: 1819–1826

43) Vijayaraman P, Chung MK, Dandamudi G, et al: ACC’s Electrophysiology Council: His bundle pacing. J Am Coll Cardiol 2018; 72: 927–947

44) Abdelrahman M, Subzposh FA, Beer D, et al: Clinical outcomes of His bundle pacing compared to right ventricular pacing. J Am Coll Cardiol 2018; 71: 2319–2330

45) Vijayaraman P, Naperkowski A, Subzposh FA, et al: Permanent His-bundle pacing: Long-term lead performance and clinical outcomes. Heart Rhythm 2018; 15: 696–702

46) Lyon S, Dandamudi G, Kean AC: Permanent His-bundle pacing in pediatrics and congenital heart disease. J Innov Card Rhythm Manag 2020; 11: 4005–4012

47) Moore JP, Gallotti R, Shannon KM, et al: Permanent conduction system pacing for congenitally corrected transposition of the great arteries: A Pediatric and Congenital Electrophysiology Society (PACES)/International Society for Adult Congenital Heart Disease (ISACHD) Collaborative Study. Heart Rhythm 2020; 17: 991–997

48) Cano O, Dandamudi G, Schaller RD, et al: Safety and feasibility of conduction system pacing in patients with congenital heart disease. J Cardiovasc Electrophysiol 2021; 32: 2692–2703

49) Kean AC, Kay WA, Patel JK, et al: Permanent nonselective His bundle pacing in an adult with L-transposition of the great arteries and complete AV block. Pacing Clin Electrophysiol 2017; 40: 1313–1317

50) Russell MR, Galloti R, Moore JP: Initial experience with transcatheter pacemaker implantation for adults with congenital heart disease. J Cardiovasc Electrophysiol 2019; 30: 1362–1366

51) Chinitz L, Ritter P, Khelae SK, et al: Accelerometer-based atrioventricular synchronous pacing with a ventricular leadless pacemaker: Results from the Micra atrioventricular feasibility studies. Heart Rhythm 2018; 15: 1363–1371

52) Steinwender C, Khelae SK, Garweg C, et al: Atrioventricular synchronous pacing using a leadless ventricular pacemaker: Results from the MARVEL 2 study. JACC Clin Electrophysiol 2020; 6: 94–106

53) Afzal MR, Daoud EG, Cunnane R, et al: Techniques for successful early retrieval of the Micra transcatheter pacing system: A worldwide experience. Heart Rhythm 2018; 15: 841–846

54) Breatnach CA-O, Dunne L, Al-Alawi K, et al: Leadless Micra pacemaker use in the pediatric population: Device implantation and short-term outcomes. Pediatr Cardiol 2020; 41: 683–686

55) Surti AK, Ambrose M, Cortez D: First description of a successful leadless pacemaker implantation via the left internal jugular vein (in a 20 kg patient). J Electrocardiol 2020; 60: 1–2

56) Hackett G, Aziz F, Samii S, et al: Delivery of a leadless transcatheter pacing system as first-line therapy in a 28-kg pediatric patient through proximal right internal jugular surgical cutdown. J Innov Card Rhythm Manag 2021; 12: 4482–4486

57) Pham TDN, Cecchin F, O’Leary E, et al: Lead extraction at a Pediatric/Congenital Heart Disease Center: The importance of patient age at implant. JACC Clin Electrophysiol 2022; 8: 343–353

58) Fender EA, Killu AM, Cannon BC, et al: Lead extraction outcomes in patients with congenital heart disease. Europace 2017; 19: 441–446

59) Gourraud JB, Chaix MA, Shohoudi A, et al: Transvenous lead extraction in adults with congenital heart disease: Insights from a 20-year single-center experience. Circ Arrhythm Electrophysiol 2018; 11: e005409

60) Kurita T, Nogami T, Kimura M, et al: JCS/JHRS 2021 Guideline Focused Update on Non-Pharmacotherapy of Cardiac Arrhythmias. https://www.j-circ.or.jp/cms/wp-content/uploads/2021/03/JCS2021_Kurita_Nogami.pdf

61) Blomstrom-Lundqvist C, Traykov V, Erba PA, et al: European Heart Rhythm Association (EHRA) international consensus document on how to prevent, diagnose, and treat cardiac implantable electronic device infections-endorsed by the Heart Rhythm Society (HRS), the Asia Pacific Heart Rhythm Society (APHRS), the Latin American Heart Rhythm Society (LAHRS), International Society for Cardiovascular Infectious Diseases (ISCVID), and the European Society of Clinical Microbiology and Infectious Diseases (ESCMID) in collaboration with the European Association for Cardio-Thoracic Surgery (EACTS). Eur Heart J 2020; 41: 2012–2032

62) Kusumoto FM, Schoenfeld MH, Wilkoff BL, et al: 2017 HRS expert consensus statement on cardiovascular implantable electronic device lead management and extraction. Heart Rhythm 2017; 14: e503–e551

This page was created on 2022-12-26T14:41:31.487+09:00
This page was last modified on 2023-02-21T17:37:24.000+09:00


このサイトは(株)国際文献社によって運用されています。