Online ISSN: 2187-2988 Print ISSN: 0911-1794
特定非営利活動法人日本小児循環器学会 Japanese Society of Pediatric Cardiology and Cardiac Surgery
Pediatric Cardiology and Cardiac Surgery 38(1): 3-14 (2022)
doi:10.9794/jspccs.38.3

ReviewReview

一般小児科医のための小児循環動態の考え方小児の心疾患を診るこつApproach to Pediatric Hemodynamics for General Pediatricians: Tips for Treating Pediatric Heart Disease

手稲渓仁会病院小児科Department of Pediatric Cardiology, Teine-Keijinkai Hospital ◇ Sapporo, Japan

発行日:2022年2月1日Published: February 1, 2022
HTMLPDFEPUB3

小児診療においては,一般小児科医であっても先天性心疾患(CHD)や小児の循環評価に携わらなければならない場面にしばしば遭遇する.循環の役割は肺で取り込まれた酸素を身体の各臓器に必要なだけ届けることであり,そのための心拍出量を保つことである.心内や大血管の間で短絡がある場合は,心室以降は肺体血管抵抗の違いによって,心房間では両心室のコンプライアンスの違いによって短絡方向・量が規定される.種々のCHD管理を考えるうえでは,肺血流が増多する疾患か減少する疾患かに分類するとシンプルでわかりやすい.一般小児科医が未診断のCHD患者に出会ったときには,最低限,酸素投与を行ってよいか,なるべくしないほうがよいか,動脈管開存が必要な疾患か否かを判断する必要がある.小児の循環動態を評価するためにはもちろん詳細な問診や身体診察が重要であり,また心臓超音波検査は簡便で有益な所見を得られるツールであるが,他のモダリティもあわせて総合的に判断することが求められる.

Congenital heart disease is a common condition in children, and general pediatricians are frequently called in to access the hemodynamics of the disease. The role of circulation is to deliver enough oxygen, taken up by the lungs, to each organ in the body while maintaining cardiac output for that purpose. If there are defects or shunts in the heart or between large blood vessels, the direction and amount of the shunt are defined by the difference in systemic and pulmonary vascular resistance in posttricuspid shunts (ventricular septal defect, patent ductus arteriosus, etc.) and by the difference in compliance between both ventricles in pretricuspid shunts (atrial septal defect). When it comes to managing various congenital heart diseases, it is simple to understand whether the disease is classified by an increase or decrease in pulmonary blood flow. When a general pediatrician encounters a patient with undiagnosed congenital heart disease, the least they should do is determine whether the disease requires patent ductus arteriosus and whether oxygen administration is necessary. Although echocardiography is the simplest and most useful tool for evaluating children’s hemodynamics at bedside, pediatricians should make a comprehensive decision by including other modalities.

Key words: pediatric hemodynamics; congenital heart disease; heart failure; general pediatricians; practitioners

はじめに

最近の国内の報告では,先天性心疾患(CHD)の有病率は出生児あたり1.42%1)であり,小児科医であれば一般診療において時折経験する疾患である.また,生命を維持していくために“適切な循環”は最も重要な要素のひとつであり,基礎疾患として心疾患を有していない小児であっても,循環動態の評価が必要とされる場面が少なからずおとずれる.

筆者が居住している北海道では,それぞれの施設が非常に広範囲の医療圏をカバーしており,今でこそ胎児心臓超音波検査による出生前診断が一般的になったり,遠隔診断のツールが発達したりしてはいるが,特に地方病院では,小児循環器専門医以外の小児科医がCHD児の初期対応を求められたり,基礎心疾患のない小児の心機能評価を要求される場面に遭遇することもある.

そこで本稿では,一般小児科医や小児循環器診療に関わり始めた医療従事者に向けて,診断のついていないCHD患者を最初に診たときや,器質的心疾患をもたない小児における心機能・血行動態の評価を求められたときのために役立つよう,小児における循環動態の考え方や診かたのこつを整理してまとめてみた.小児循環器になじみのない医療者でもとっつきやすいように,“なるべくシンプルに考えやすいように”ということに重きをおいたため,詳細な病態や理論は他の成書を参照していただきたい.

胎児循環から新生児循環

CHDや小児の循環動態を考えるとき,胎児循環と出生後の変化を念頭におくことは重要なことである(Fig. 1).胎盤で酸素化された臍帯静脈の血液は,下大静脈を経て右房に入ると,多くはまず卵円孔を通り,左房から左室,大動脈へと流れ,少しでも酸素含有量の多い血液が冠動脈や頭部など上半身へ供給される.胎児の上半身から還流した血液は,右房より右室を経て肺動脈へ流れる.肺循環の必要性は少なく,肺血管床には右室から拍出される血液のうち10~15%が流れるのみであり,大部分は動脈管を介して下半身へ流れ,そのおよそ半分が臍帯動脈を通って胎盤へ戻っていく2, 3)

Pediatric Cardiology and Cardiac Surgery 38(1): 3-14 (2022)

Fig. 1 A schema of fetal circulation

DA, ductus arteriosus; FO, foramen ovale; LA, left atrium; LV, left ventricle; RA, right atrium; RV, right ventricle; UA, umbilical artery; UV, umbilical vein

出生後は啼泣と同時に肺血流が増加し,肺静脈還流が増加することで左房圧が上昇するにつれ卵円孔は閉鎖傾向となり,動脈管もまもなく閉鎖,血管抵抗の低い胎盤は新生児循環から切り離される.このように胎児期の並列循環から直列循環に移行するため,左室の前負荷は増加し,また血管抵抗の高い体循環を全てまかなうことになる.特に早産児などは,出生後の後負荷の増加に適応できないと早期に心不全を来すことがある4).出生直後は肺血管抵抗も高い状態であるが,時間経過とともに低下し,次第に肺動脈圧・右室圧は低下してくる.

新生児の心筋では筋小胞体が未熟で数も少なく,主に細胞外からのカルシウムが直接筋原線維に供給される.よって,新生児や乳児期早期において,カルシウムチャネル遮断薬は心収縮抑制が強く禁忌とされている.成熟するにつれて,細胞外から細胞内へ流入したカルシウムが,筋小胞体から貯蔵カルシウムを放出させ筋原線維に取り込まれ収縮を担うこととなる.また,出生直後には心室は硬く容量増加への反応が悪い.そのため心拍出量を増やすときは心拍数の増加で対応することになる5)

心機能とは

生命を維持することにおいて,循環の目的とは肺で取り込まれた酸素を体内の各臓器に需要量に見合うだけ届けることである.そのために必要な心拍出量を保つことが循環動態の基本となる.心拍出量は1回拍出量と心拍数の積である.臨床現場で一般的によく使用されている1回拍出量を反映する指標は,左室駆出率(LVEF),左室短縮率(LVFS)などの心臓ポンプ機能である.心臓のポンプ機能は,前負荷,収縮性,後負荷で規定される.重量挙げの選手に例えるなら,どれだけ食事を摂っているかが前負荷,バーベルの重さが後負荷,選手の筋力が収縮性ということになろうか.筋骨隆々の選手でも,充分栄養を摂っていないとうまく働けないし,バーベルが重すぎるとスムーズに挙げることができず見た目の動きは悪く見える.前負荷が大きくなると,Frank Starlingの法則に従い心筋の張力は増し心拍出量は増加する.しかし,前負荷が一定量を超えるとそれ以上は心拍出量は増加しない6)Fig. 2).

Pediatric Cardiology and Cardiac Surgery 38(1): 3-14 (2022)

Fig. 2 Frank-Sterling curve

With normal cardiac function (black line), increasing preload increases cardiac output, although after exceeding a certain preload there is no further increase in cardiac output. If the cardiac function is impaired (red line), cardiac output cannot be increased even at early levels by an increased preload.

では,実際に心機能を評価するにはどのようにすればよいか.情報量が非常に多くベッドサイドでも簡便に施行できるのが心臓超音波検査である.小児科医であれば,循環器専門医でなくても最低限の評価はできるようなスキルを身につけておきたい7).正確な評価のためには,正確なエコー画像を描出することが重要なことは言うまでもない.特に傍胸骨左室短軸像,長軸像,心尖部四腔断面像はきれいに描出できるように日頃からトレーニングしておきたい.最も簡便に算出できる客観的な心臓ポンプ機能の指標は,左室拡張末期径,収縮末期径を計測して求めるLVFSである(正常値:28%以上8)).心臓超音波検査機器によっては,二次元断面における計測値からLVEFも自動的に算出され表示されることが多いが,種々の仮定式から計算されたものであり小児の場合当てはまらない可能性がある.また小児の特性として正常値は体格により異なるので,評価する際は体表面積から求められた正常値に対する%正常比を用いるとよい9).なお,見た目の印象と求められた数値が乖離している場合には,その原因を考えるべきである.数値を診療録に記載すると,その数字だけが一人歩きして誤った情報が記録に残っていくことが往々にしてあるので,必ず得られた値をフィードバックする癖をつけることが重要である.

心機能を規定する要素において,前負荷は拡張末期に心室にかかる張力であり,二次元断面では左室拡張末期径で評価できる.後負荷は心室の収縮期に心筋にかかる張力であり,左室収縮末期壁応力(LVESWS)で評価できる.LVESWSは収縮末期血圧と収縮末期左室径・壁厚から求められ,おおまかなイメージとしては,壁が薄くて血圧が高いと壁応力=後負荷は高値となる.前負荷が増大すると心拍出量は増加し,後負荷が増大すると心拍出量は減少する.また,前述のように見た目の心臓の動きが同じであっても,それに対する後負荷(重量挙げにおけるバーベルの重さ)が違うと心臓固有の収縮性は異なる.Fig. 3に示すstress-velocity関係は,収縮性を評価できるもののひとつである10).グラフの横軸にLVESWS(後負荷の指標),縦軸に左室平均円周短縮速度(LVFSを駆出時間で除し心拍補正して求められる心臓ポンプ機能の指標)をとると,健常者のデータから標準的な直線関係が得られる.例えば,後負荷が大きい状況であるA点はstress-velocity関係の直線より著しくプラス側であるため収縮性がよく,逆に後負荷が小さい状況でもA点と同じだけしか動けていないB点は収縮性が悪いことが理解しやすい.新生児領域では,このstress-velocity関係を用いて急性期循環管理を行う報告がなされ実践もされている4)

Pediatric Cardiology and Cardiac Surgery 38(1): 3-14 (2022)

Fig. 3 The stress-velocity relation

If the horizontal axis represents the left ventricular end-systolic wall stress (LVESWS), which is an index of afterload, and the vertical axis represents the rate-corrected mean velocity of fiber shortening (mVcfc), which is an index of cardiac pump function, there is a linear relationship. It can be determined that the contractility is good on the positive side and the contractility is bad on the negative side of this standard straight line.

1回心拍出量を規定する要素をイメージするためには,圧容積曲線を描くことは血行動態を理解するうえで有用である.Fig. 4Aにおいて,右下隅(①)がQRSの開始時期と一致する拡張末期であり,そこから等容収縮期となる(上方向).大動脈圧を越えたところで大動脈弁が開き(②),拍出が開始され容積が減少する(左方向).その後左室圧が低下して大動脈圧を下回ると大動脈弁が閉鎖し(収縮末期 ③),等容弛緩期となり(下方向),左室圧が左房圧を下回ると僧帽弁が開放し(④),左房からの流入によって容積が増大(右方向),再び左室圧が左房圧を上回り僧帽弁が閉鎖して拡張末期(①)に達し,左回りのループが完成する.ループの横幅が1回拍出量となる.ループ左上(③)から⑤(X軸上の拡張末期容積の点)へ右下方にひかれた直線は,収縮末期圧/1回拍出量で規定される動脈エラスタンス(Ea)で後負荷の指標である.また,下大静脈閉塞などで前負荷を変化させたときにたどるループの左上(③)の軌跡は,右上がりに描かれる直線となることが知られ,これは収縮末期エラスタンス(Ees)という収縮性の指標であるが,原点と③を通る直線で近似することもできる11)Fig. 4Bは,前負荷,後負荷,収縮性のうちいずれか1つだけを動かした場合の圧容積曲線の変化である.(a)は後負荷のみ低下させた場合(血管拡張薬など)で,左室圧は低下し1回拍出量は増加する.(b)は前負荷のみ増加させた場合(補液など)で,左室圧,1回拍出量とも増加する.(c)は収縮性のみ増加させた場合(カテコラミンなど)で,左室圧,1回拍出量とも増加する.このように,圧容積曲線を描きシミュレーションを行うことにより,治療介入の効果を予測することができる7)

Pediatric Cardiology and Cardiac Surgery 38(1): 3-14 (2022)

Fig. 4 The pressure-volume relationship

(A) Left ventricular pressure-volume curve. (B) Changes in the left ventricular pressure-volume relationship by therapeutic intervention (a) If treatment is performed to reduce afterload without changing preload and contractility, the slope of Ea becomes gentle, so the left ventricular systolic pressure (=blood pressure) decreases, but the stroke volume increases. (b) If the preload is increased without changing the contractility and afterload, the left ventricular systolic pressure (=blood pressure) and the stroke volume increase. (c) If the contractility is increased without changing the preload and afterload, the slope of Ees becomes steep, and the left ventricular systolic pressure (=blood pressure) and the stroke volume increase. Ea, effective arterial elastance; Ees, end systolic elastance; LVP, left ventricular pressure; LVV, left ventricular volume; SV, stroke volume

心臓カテーテル検査にて心拍出量を算出するためには,スワンガンツカテーテルを利用した熱希釈法や,心室造影から1回拍出量を求める方法があるが,特にCHDにおいてはFickの原理を利用した血流量の算出法が利用される.体血流量(心係数)(L/min/m2)は{酸素消費量(mL/m2·min)/(大動脈血酸素含有量(mL/dL)−混合静脈血酸素含有量(mL/dL))}×10で求められ,酸素含有量(mL/dL)はヘモグロビンと結合している酸素(ヘモグロビン濃度(g/dL)×酸素飽和度(%)×1.36)と血液中に溶解している溶存酸素(酸素分圧(mmHg)×0.003)の和で算出される5).溶存酸素は高濃度酸素吸入時以外無視できるので,酸素消費量,ヘモグロビン濃度,大動脈血と混合静脈血の酸素飽和度がわかれば体血流量は求められる.混合静脈血は,心内短絡がない場合には体静脈還流血がよく混ざった肺動脈血の酸素飽和度が適している.一般小児科医は心臓カテーテル検査に実際携わる機会は少ないと思われるが,Fickの原理を感覚的に知っておくことは循環評価をするうえで有用であり,“静脈血酸素飽和度は心臓の状況を示す”ということはこの式を見れば理解しやすい.実臨床の場では,例えば心臓超音波検査が容易に行えないような状況(無菌室にいる骨髄移植後患者など)で心機能評価を求められた際に,中心静脈ラインが入っていれば静脈血酸素飽和度(混合静脈血の代用)は測定でき,動脈血酸素飽和度は経皮酸素飽和度が利用できる.酸素消費量はLa Fargeの式12)により年齢,性別,心拍数から推定できるので,ヘモグロビン濃度がわかればおおまかな心拍出量は算出でき,経時的な推移も評価可能である.また,Fickの式から,貧血であれば同じ量の酸素を臓器に届けるためにはより多くの心拍出量を必要とすることも読み取れるので,心不全症状を呈する患者が,貧血になるとより症状が悪化することもわかりやすいのではないだろうか.

小児における心不全

心不全の定義は,「なんらかの心臓機能障害,すなわち,心臓に器質的および/あるいは機能的異常が生じて心ポンプ機能の代償機転が破綻した結果,呼吸困難・倦怠感や浮腫が出現し,それに伴い運動耐容能が低下する臨床症候群」とされ13),一般には“心不全”と“循環不全”は同じようにイメージされる.心臓が何らかの機能不全に陥り心拍出量が少なくなると,最も重要な臓器を守るべく他の臓器が犠牲となる.特に皮膚血流と腎血流が低下するため,四肢の冷感や尿量減少が生じる.消化管血流も減少するので,急性心筋炎など急性心不全を呈する患者の初期症状が,嘔吐,腹痛など消化器症状が多いのはそのためである14).脳循環は自己調節能があり,心不全のようなストレス時でも一定の脳血流を最後まで保とうとする15)

小児における“心不全”には,心臓自体が機能低下を来した心臓機能不全と,心臓は元気だが血行動態が問題である血行動態不全がある.小児の循環不全を診る場合には,常に血行動態の基本を念頭において治療にあたることが必要である.正常な解剖学的構造を有する小児の場合の心不全の考え方は,原因の違いこそあれ成人の心不全に対する考え方と大きな変わりはない.では,心臓内や血管の間で短絡がある場合はどう考えるか?

欠損孔や短絡血管の両側で圧力が異なる場合には,血液は液体であるので圧の高い方から低い方へ流れる.では圧が変わらないような大きな穴や管であった場合はどうであろうか.

心室以降の短絡(心室中隔欠損(VSD)や動脈管開存(PDA))であれば,体血管抵抗と肺血管抵抗の差異によって短絡の量や方向が規定される3).出生直後には肺血管抵抗は高いため大きな欠損孔でもあまり短絡は生じないが,時間経過とともに肺血管抵抗が低下し左右短絡が増加してくる.例えば大きなVSDの場合,肺血管抵抗が体血管抵抗の1/2となれば,オームの法則(圧差=血流量×血管抵抗)に従い,低下した肺血管抵抗に見合うだけ肺血流が増加し肺体血流比は2.0となる.その場合,通常は必要な体血流量を維持しようとするため,肺血管床が許容できれば,体血流が肺血流の1/2に減少するのではなく肺血流が体血流の2倍となる.よってVSD患者で次第に高肺血流となってきたときは,まず呼吸症状が出現するのである.肺血管抵抗が上昇する要因としては低酸素血症や二酸化炭素貯留などがあり,低下させる方法として代表的なものは酸素投与である.体血管抵抗が上昇する要因としては,啼泣,寒冷などがあり,低下させる方法としては鎮静や保温などがあげられる(Table 1).

Table 1 Factors that fluctuate vascular resistance
IncreaseDecrease
Pulmonary vascular resistanceHypoxia, Hypercapnia, AcidosisOxygen, Pulmonary vasodilator (PGI2, ERA, PDE5-I, et al.) Nitric Oxide
Systemic vascular resistanceCrying, Coldness, Peripheral vasoconstrictor (phenylephrine, et al.)Sedation, Anaesthesia, Warming, Peripheral vasodilator (ACE-I, ARB, et al.)
ACE-I, angiotensin converting enzyme inhibitor; ARB, angiotensin receptor blocker; ERA, endothelin receptor antagonist; PDE5-I, phosphodiesterase 5 inhibitor; PGI2, prostacyclin

一方,心室以前の短絡(心房中隔欠損(ASD)など)の場合は,右室と左室のコンプライアンスの違いによって短絡の方向と量が規定される3).生後早期には,右室は壁も厚くコンプライアンスも低下しているため左右短絡は多くないが,時間経過とともに,通常右室のコンプライアンスが改善し左右短絡が増加する.

血行動態と心負荷の程度を考える場合は,図示してみると理解しやすい3)Fig. 5).例えばVSDのない完全大血管転位(TGA)I型の場合,酸素化された血液を体循環へ送るためには心房間交通が重要であり,そこでのミキシングをよくするために動脈管を開存させる必要があることが理解できる.

Pediatric Cardiology and Cardiac Surgery 38(1): 3-14 (2022)

Fig. 5 Hemodynamic schema in congenital heart disease

(A) Normal heart: A single arrow represents normal blood flow (unit of normal cardiac output). Red arrows represent arterial blood and blue arrows represent venous blood. (B) VSD (Ventricular septal defect): Double arrows represent that there is more blood flow than normal. Because of the difference between pulmonary and systemic vascular resistance, a left to right shunt usually occurs between the ventricles, which causes a large amount of blood flow to the pulmonary arteries, the pulmonary veins, the left atrium, and the left ventricle, leading to enlargement of these vessels and chambers. (C) ASD (Atrial septal defect): On the other hand, in the case of ASD, because of the difference in compliance between the right and the left ventricle, a left to right shunt usually occurs between the atrium, which causes a large amount of blood to flow to the right atrium, the right ventricle, the pulmonary arteries, and the pulmonary veins, leading to enlargement of these compartments. (D) TGA (I) (Complete transposition of the great arteries without ventricular septal defect): Patients with TGA (I) cannot survive without mixing of blood between the left and right heart systems because oxygenated blood cannot be sent to the systemic circulation. In order to supply oxygenated blood to the systemic circulation, mixing of blood through the foramen ovale is most important. If there is only a small amount of shunt from the left to the right atrium, the oxygen concentration in the systemic circulation will be low. To increase left-to-right shunt in the atrium, it is necessary to keep the ductus arteriosus open. In the ductus arteriosus, blood usually flows from the aorta to the pulmonary artery according to the difference in vascular resistance, so that the amount of return from the pulmonary veins to the left atrium also increases, and the shunt from the left atrium to the right atrium also increases, resulting in more oxygenated blood that can flow to the systemic circulation. Ao, aorta; IVC, inferior vena cava; LA, left atrium; LV, left ventricle; PA, pulmonary artery; PV, pulmonary vein; RA, right atrium; RV, right ventricle; SVC, superior vena cava

CHD患者に出会ったときに一般小児科医が求められること—生まれてきた新生児がCHDだったら—

例えば分娩に立ち会い,そこで胎児期には異常を指摘されていなかった新生児がCHDで,しかも複雑な診断名がつきそうな疾患の場合頭の中が混乱しがちになるが,そのようなときはできるだけシンプルに考えたい.小児循環器専門医がいない場面(しかも,小児循環器専門医にコンタクトをとるまで時間的・空間的な距離がある場合)で,まず判断しなければならないことは,酸素を使用すべきか使用しないほうがよいか,動脈管を開存させる必要があるか否かである.

一般に出生した児の酸素飽和度が上昇しないときの多くは肺や呼吸の問題であり,たいてい酸素投与で対応できる.しかし,なかにはCHDのため低酸素血症を来している場合があるので,新生児に酸素投与を要する状況ではCHDの鑑別が必須であり,疾患においては原則酸素投与を避けたほうがよい場合が多々あるので注意が必要である.チアノーゼがなかなか改善しない新生児におけるCHDの鑑別方法の1つとして,100%酸素を10分間投与し右上肢の経皮酸素飽和度が95%未満であればチアノーゼ性CHDと推定しうる酸素負荷テスト16)もあるが,95%以上に上昇しても必ずしもCHDが否定できるわけではなく,高肺血流型CHDの場合には症状の悪化につながりうるため,漫然と酸素投与を続けることは避け,すみやかに心臓超音波検査などでCHDか否かの鑑別を試みるべきである.CHD患者において酸素を投与する目的は,動脈血の酸素含有量を上昇させたいときか肺血管抵抗を低下させたいときであるが,積極的に酸素投与を行って良い疾患は,重度の肺動脈狭窄を伴う疾患(ファロー四徴症(TOF)など)や虚血による心不全(Bland–White–Garland症候群など)などである.一般的に禁忌とされているのは動脈管依存性心疾患であり,また酸素投与を避けるべき疾患は,高肺血流や肺鬱血が問題となっている状態(肺動脈狭窄のない単心室,総肺静脈還流異常など)で,つまり多くのCHDがなるべく酸素投与を行わないほうがよいことになる17).ただし,いかなる疾患でも蘇生を要する状態やそれに近い重篤な低酸素血症では,必要なだけの酸素投与が求められる.

次に判断を求められることは,動脈管開存を維持させる必要があるか否かである.動脈管を開存させておく必要がある心疾患としては,心臓からの出口が1つしかない,または1つに近い疾患(肺動脈閉鎖,大動脈縮窄/離断など)や,動静脈血のミキシングが重要なTGA I型などがあげられる.それらに対して,動脈管を閉鎖させないための治療としてプロスタグランジンE1(PGE1)製剤を投与することが必要となる(Table 2).通常はアルプロスタジル(lipo-PGE1)を静脈内持続投与する(初期量5 ng/kg/min).lipo-PGE1は,目標部位に選択的に取り込まれ少量で効果を発揮し副作用を低減化できるdrug delivery system製剤である.一方閉鎖しかかった動脈管を急速に開きたい状況では,リポ化していないアルプロスタジル アルファデクス(PGE1CD)のほうが素早い効果出現が期待できる.ただし効果消失も早いので,開存が安定して得られたらlipo-PGE1に変更することも1つの方法である.いずれも副作用として発熱,浮腫,下痢,骨膜肥厚などがあり,特に無呼吸を来すことが多いので注意が必要である17).なお,動脈管血流が増加し,むしろ高肺血流に傾いた場合にはPGE1製剤の漸減が検討されることもあるが,用量の微調整は難しく,特にすぐに手術ができないような施設・状況であれば,無理に減量することは避けたほうがよい.

Table 2 Products to maintain patency of ductus arteriosus
DoseCharacteristics
alprostadil (lipo-PGE1)initial dose 5 ng/kg/minIt can be administered from the peripheral venous line.
Its effect is lasting.
alprostadil alfadex (PGE1CD)initial dose 50 ng/kg/min
*can be increased to 100–150 ng/kg/min
Its effect appears quickly.
Side effects common to both drugs
apnea, fever, edema, diarrhea, convulsion, inhibition of platelet aggregation, periosteal thickening

診断や病態がはっきりせずPGE1製剤を使用すべきか否か判断に迷った際には,もし動脈管に依存するCHDだった場合には閉鎖してしまうことにより生命に危険の及ぶ重篤な状況になる可能性があり,依存しない疾患であっても生直後の短時間投与では病態を大きく悪化させることは考えにくいため,患者を手術できる高次施設に安全に引き継ぐまでは使用するほうが無難である.また,新生児一過性多呼吸や遷延性新生児肺高血圧を合併したような状態では,必要最小限の酸素投与を行いながら動脈管開存を図るためPGE1製剤を使用するような場面も時にはあるが,酸素投与が動脈管閉鎖を惹起することで生命に危険を招く可能性もあり,酸素の使用にはより注意が必要である.

CHD患者に対する内科的管理

治療介入を要するCHDの多くは外科的修復が治療の目標となる.そこに引き継ぐまでの循環管理について(例えば,体重が小さい,感染合併などの理由ですぐに手術を行えないような場合),数ある複雑な診断の疾患について考える際には,肺血流が増える疾患か減る疾患かに分類してみると理解しやすい.

多量の短絡を来しうるような大きな欠損孔がある場合(単心室循環を含む),体血流と肺血流の割合は,それぞれの大血管径にもともと明らかな違いがある場合はその差に規定されるが,同程度なら心室レベル以降の短絡の場合は前述のように血管抵抗の差によって方向と流量が規定される.生直後には肺血管抵抗は体血管抵抗と同程度に高いが,経時的に低下するため肺動脈には次第に多くの血液が流れる.肺血流が増える疾患は心不全症状を来しやすく,陥没呼吸・頻呼吸が現れたり,血流が増加した肺動脈により併走する気管支が圧迫され喘鳴がみられたりする.体循環も減少すると末梢冷感,発汗過多,不機嫌などの症状も出現する.哺乳量も減少し体重増加不良が顕著となる.肺血流増加性CHDに対する対策としては,まず水分管理があげられる.利尿剤投与や,症状が強いときには水分制限が必要な場合もある.新生児や乳児早期で経口哺乳が確立している児は自律哺乳に任せると管理しやすく,哺乳量や哺乳時間が症状進行のバロメータになる.一方,経管栄養で管理する場合には,過度な水分負荷に注意して摂取量を設定する必要がある.さらに,少しでも肺血流を減少・体血流を増加させるための管理として,体血管抵抗を低下させるために末梢血管拡張薬を投与したり,肺血管抵抗を上昇させるために窒素ガスを用いた低酸素換気療法を行ったりすることもある.また,ベッドサイドで簡便に行える管理として,手足の保温や,適度な鎮静で安静を保つことなどがある.酸素投与は,肺血管抵抗をさらに低下させ肺血流増加をもたらすため,通常症状が増悪する.

肺血流が減少する疾患(TOFなど)は心不全症状は出現しづらく,多くはチアノーゼが問題となる.水分はしっかり補ったほうがよい場合が多く,時に急速補液が必要なこともある.肺血流を少しでも増やすためには,体血管抵抗を上昇させる目的で血管収縮薬(フェニレフリンなど)を投与したり,あえて四肢を冷やし気味に管理したりすることもある.

体肺血流のバランスは常に一定ではなく,体肺血管抵抗の変動によりダイナミックに変わりうる.例えば,高肺血流状態のVSDの児が,激しい啼泣を契機に急に末梢循環が減少し蒼白となったり(ホワイトスペル),肺血流が減少している児で哺乳後に血流が腸管にシフトすることにより酸素飽和度が低下したりすることをしばしば経験する.

小児において循環動態をどのように評価するか

心疾患に限られることではないが,まずは詳細な問診が重要となる.新生児・乳児では自ら症状を訴えないし,幼児も正確に表現できないことが多い.哺乳の仕方はどうか,体重増加は得られているか,普段の呼吸の様子はどうか・喘鳴は聞かれるか,動くと息切れしないか,など注意して聞き取りをする18)

身体診察を行う際は,問診から考え得る疾患や状態を予想し,そのうえで視診・触診・聴診を行う.得られた所見を想起した鑑別診断や状況と照らし合わせるフィードバックが重要であり,乖離がある場合は,予想した診断が異なるか得られた所見が正しくない可能性がある.このことは,小児循環器に限らず医療者としての全ての診察に共通のことである.

視診においては,体型,呼吸の様子,皮膚色(貧血やチアノーゼの有無,蒼白かどうか)などを確認する.触診においては,できるだけ上下肢脈を触知する.皮膚冷感の有無や湿潤かどうかも重要である.毛細血管再充満時間は末梢循環の評価に有用である.腹部触診では肝腫大の有無を確認するが,児を泣かせない工夫が必要である.視診や触診の評価においては,小児二次救命処置におけるPAT(Pediatric Assessment Triangle)評価や一次評価が有用である19).聴診では,心音は整か不整か,II音の分裂や亢進がないか,過剰心音がないかを確認し,次いで心雑音の有無・あれば最強点と性質を確認する.必ずしも心雑音を聴取しないCHDや循環不全の病態も存在する.あわせて肺音も,清明か,喘鳴やラ音を聴取するか,左右差がないかなど確認しておく.

ベッドサイドで簡単に測定できる指標として血圧と経皮酸素飽和度がある.血圧は年齢により正常値が異なる.正確に測定するためには適切なサイズのマンシェットの選択が重要で,カフの幅が上腕周囲長の40%を超え,長さが上腕の長さの80%以上覆うものを使用する20).また,経皮酸素飽和度も有益な情報であるが,末梢循環不全が存在するときは正確な値が得られない.脈波が検知されていることの確認が重要である.検査機器のピットフォールを理解することは,正確な検査結果を得るうえでとても大切なことである19)

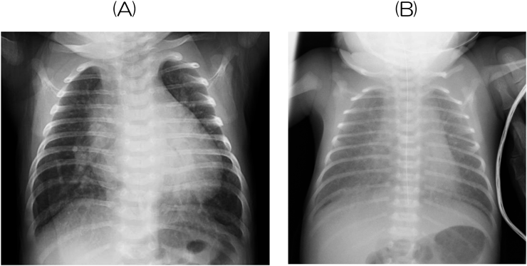
胸部レントゲンでは,心胸郭比や肺血管陰影を評価する(Fig. 6).心陰影のみならず,気管分岐角(左房拡大で開大)などにも注目する.新生児・乳児ではしばしば吸気不充分な撮像条件となり,正確な評価が難しくなる.心電図は一般的に行われており非常に多くの情報を得ることができる.正常値が年齢により異なることに留意する18).心臓超音波検査はベッドサイドで簡便に施行でき,最も診断能力が高いツールで,解剖学的診断から心機能・血行動態評価まで様々な情報が得られる.しかし,症例によっては適切な画像の描出が困難であるなど弱点もある.また,基本的には非侵襲的な検査であるが,新生児では圧迫による呼吸障害や長時間の検査に伴う低体温などに留意しないと,時に侵襲的検査になってしまう.あくまでモダリティの1つであり,理学所見や他の検査所見と総合的に評価し判断することが重要である.

Pediatric Cardiology and Cardiac Surgery 38(1): 3-14 (2022)

Fig. 6 Typical findings on chest radiography

(A) Increased pulmonary blood flow; A 1-month-old boy with ventricular septal defect. It shows cardiomegaly (the cardiothoracic ratio 64%), and left mainstem bronchus elevation, suggesting left atrial enlargement. The enlarged pulmonary arteries extend into the lateral lung field, and the external diameter of the pulmonary artery is wider than the internal diameter of the trachea. (B) Pulmonary venous congestion; A 3-day-old girl with total anomalous pulmonary venous return. It shows the hazy and indistinct margin of the pulmonary vasculature. The margin of the cardiac border is also unclear, and there is no cardiomegaly.

一般小児科医が心機能・循環評価を求められる場面

先天性心疾患を有さない生来健康といわれている児においても,突然心不全症状を来したり,心機能低下を起こすような疾患に罹患したりする可能性はある.また,他の疾患で管理されている児が,心機能・循環動態評価が必要になる場合もある.以下に代表的な病態や疾患をあげる.

1) 急性心筋炎

正常な小児が突然心不全症状を来す代表的な疾患が急性心筋炎である.頻度はさほど多くはないが(国内のサーベイランスで0.3人/10万人・年)21),罹患した場合劇症化する可能性も高く,早期の診断と精査や集中治療が可能な高次施設への紹介が求められる疾患である.しかし初期症状は様々で,いわゆる風邪や胃腸炎症状とも類似しておりしばしば早期診断は難しい14).全身状態が不良な児を診た場合には,急性心筋炎の可能性も鑑別診断の1つとして念頭におきながら診療にあたることが重要と考える.

2) 川崎病

一般小児科医が最も心臓超音波検査を行って評価する機会が多い疾患であろう.川崎病急性期の治療においては,心臓超音波検査による冠動脈の評価は必須である.プローブはなるべく周波数の高いものを使用し,エコーゲインを最低限に抑えて冠動脈径を計測するとよい.普段から冠動脈の基本的な走行を理解し,それぞれどの断面が最も観察しやすいかを知っておく必要がある22).冠動脈病変以外にも心筋炎,心膜炎,弁逆流の合併などが知られており,心ポンプ機能や弁逆流の評価,心嚢液の有無などにも留意したい.また,なかにはうっ血性心不全や胸水貯留を認める例,伝導障害を認める例もあるため,胸部レントゲンや心電図検査も必要で,特に発症早期には必ず施行し,経過中に比較できるようにしておくことが重要である.

3) 感染性心内膜炎(IE)

IEは,心内膜や血管内膜に疣贅を形成し菌血症,血管塞栓などの臨床症状を呈する敗血症性疾患である.手術手技や歯科治療後一過性の菌血症が起こったときに,血流異常や人工物留置などにより心内膜が損傷された部位に菌が定着・増殖し,疣贅が形成されてIEが発症するとされる.小児のIE患者の多くがCHDを有しており,ASDや修復術後6か月以上経過したVSD・PDAを除いたほとんどのCHDはIEに罹患しやすいとされている.一方で小児のIEにおいては,中心静脈カテーテル留置後を含むCHDを有しない症例が10%前後存在するともいわれており11),またIEに罹患しやすいとされる二尖大動脈弁や軽度の僧帽弁閉鎖不全などは診断されていない場合もあるため,いわゆる不明熱の患者では心疾患を指摘されていなくともIEを念頭におく必要がある.その診断のためには,口腔内衛生管理の確認を含む詳細な問診,新たな心雑音や有痛性紅斑・出血斑など細かな身体所見の確認が必要である.心臓超音波検査は診断,治療方針決定・効果判定など非常に重要な役割を果たすが,必ずしも異常所見を検出できるわけではなく,疑わしい症例においては繰り返し血液培養を提出し,臨床症状とあわせて総合的に判断することが重要である23)

4) 敗血症

敗血症の定義は,“感染に対する制御不能な宿主反応に起因した生命を驚かす臓器障害”であるが,なかでも心臓は敗血症において障害を受けやすい臓器の1つであり,sepsis-induced myocardial dysfunctionといわれる.そのメカニズムには様々な要因が関係しているが,TNF-αやIL-1βなどの炎症性サイトカインが病態形成に大きく影響し,直接的に心機能を抑制する.そのほかにもβ受容体のダウンレギュレーションや,ミトコンドリア機能障害,細胞内カルシウム濃度の調節障害も心機能障害に寄与しているといわれている24).最近の研究では拡張障害が注目されており,左室拡張障害を伴った症例が予後不良であることも明らかになった25)

敗血症ショックに対する治療として急速大量輸液療法が行われるが,拡張障害が強い症例では,左室拡張末期圧を上昇させ肺水腫を来す可能性があるので注意が必要である.心機能障害に対し,心筋保護や抗炎症作用を念頭においた治療戦略も検討されている.

5) その他の疾患

悪性腫瘍に対する化学療法薬の中で,使用頻度も高く臨床的に問題になることが多いのがアドリアマイシンなどアントラサイクリン系の薬剤である.アントラサイクリン系薬剤による心毒性のメカニズムは,酸化ストレスやミトコンドリア内での鉄蓄積など様々な機序が報告されている26).問題となるのは慢性期における心筋症で,それは用量依存性でしばしば不可逆的であり,発症すると予後不良である.薬剤ごとに累積投与量上限が定められてはいるが,それ以下でも心筋障害を来すことがあり,また早期にアンジオテンシン変換酵素阻害薬やβ受容体遮断薬などを投与することで心機能回復が期待できることから27),定期的に心臓超音波検査を行うことや,心筋トロポニンや脳性ナトリウム利尿ペプチド(BNP)などをフォローすることが重要である.

種々の神経筋疾患では,神経や骨格筋のみならず心筋に病変を来す可能性も念頭におく必要がある.筋ジストロフィーにおいて,特にDuchenne型筋ジストロフィー(DMD)は心筋障害の頻度も高く程度も重篤である.DMDの場合,心筋障害を来し心不全が発症してもなかなか血中BNPは上昇しづらいので注意が必要である28).筋緊張性ジストロフィーでは伝導障害が高頻度にみられる.ミトコンドリア病は,全身のあらゆる臓器,特にエネルギー需要の大きい臓器に障害を起こすことが特徴で,なかでも心合併症として心筋症がよく知られているが,心筋症が唯一の症状であることもあり診断が困難なときもある29)

膠原病においては,様々な疾患で心症状として心膜炎,心筋炎,弁膜症などを起こしうる.肺高血圧にも注意が必要で,急激に右心不全症状で発症することもあるため30),日頃から念頭において,定期的に心臓超音波検査や血中BNPなどでフォローする必要がある.

内分泌疾患の中でBasedow病は思春期に発症することが多い疾患であり,その症状として洞性頻脈がよく知られているが,病初期に僧帽弁閉鎖不全がみられることも報告されており,発症初期には心機能スクリーニングが必要である31)

代謝疾患においても種々の心病変が知られている.Hurler症候群などムコ多糖症では,僧帽弁や大動脈弁の肥厚から逆流や狭窄が問題となることが多い.糖脂質代謝異常であるFabry病では肥大型心筋症様の表現型をとることが多いが,弁膜症や伝導障害が問題となることもある.糖原病では,II型(Pompe病)で肥大型心筋症の所見がみられることがよく知られている.なかには肺高血圧を来すこともあり,肝型のIa型で肺高血圧症を来した症例を筆者は経験した32)

その他にも様々な分野の疾患において心合併症をおこしうることが知られており,主治医には,それを念頭においた管理と必要なときに最低限のスクリーニングを行えることが求められる.

まとめ

循環は生命を維持していくうえで最も重要な身体のメカニズムであり,小児の診療を行う際にも,多かれ少なかれその評価を求められる場面はおとずれる.また,CHDは決して稀な疾患ではなく,小児科診療に携わる医療従事者であれば少なからずかかわる機会がある.一方で,“先天性心疾患”や“小児循環器”に対しては,よくわからない略語が多い,疾患が多く病態が複雑,など苦手と感じる人も多いようである.しかし,循環の基本を念頭におき,数あるCHDは肺血流増多/減少群と分類し,時に図示して考えることで病態が見えやすくなるのではないかと思う.また,循環器診療は行った治療介入の結果がすぐに返ってくることも多く,効果を劇的に感じやすい分野でもある.

本稿が,今まで“小児循環器はとっつきにくい”と思っていた一般小児科医や小児科初学者,小児医療従事者にとって,多少身近に感じるようになるきっかけのひとつになれば幸いである.

利益相反

本論文について,開示すべき利益相反はない.

引用文献References

1) 坂本喜三郎,山岸敬幸,犬塚 亮,ほか:小児期発生心疾患実態調査2019 集計結果報告書.JSPCCS NEWS LETTER 2020; 3: 15

2) 稲村 昇:胎児循環生理.日小児循環器会誌2016; 32: 451–461

3) Park MK, Salamat M: Pediatric Cardiology for Practitioners, 7th Edition. Philadelphia, Elsevier, 2021

4) 豊島勝昭:Stress-Velocity関係を基にした早産児の急性期循環管理.小児科診療2007; 4: 609–615

5) 中澤 誠:先天性心疾患—血行動態と心機能の基礎知識—.東京,MEDICAL VIEW, 2016

6) 斎木宏文:循環生理をわかって評価と治療—循環不全の管理—.日小児循環器会誌2020; 36: 192–201

7) 増谷 聡:エコーで診る心機能(一般小児科医~小児循環器医の基本).日小児科会誌2018; 122: 601–609

8) 里見元義:心臓超音波診断アトラス—小児・胎児編— 改訂版.東京,ベクトルコア,2008

9) 青墳裕之,村上智明,石川司朗,ほか:小児心臓血管サイズの正常回帰式について—既報論文の集積と書く回帰式の比較—.日小児循環器会誌2003; 19: 421–430

10) Colan SD, Borow KM, Neumann A: Left ventricular end-systolic wall stress-velocity of fiber shortening relation: A load-independent index of myocardial contractility. J Am Coll Cardiol 1984; 4: 715–724

11) 日本小児循環器学会:小児・成育循環器学.東京,診断と治療社,2018

12) LaFarge CG, Miettinen OS: The estimation of oxygen consumption. Cardiovasc Res 1970; 4: 23–30

13) 日本循環器学会,ほか:急性・慢性心不全診療ガイドライン(2017年改訂版).https://www.j-circ.or.jp/cms/wp-content/uploads/2017/06/JCS2017_tsutsui_h.pdf(2022年4月18日閲覧)

14) JCS Joint Working Group: Guidelines for diagnosis and treatment of myocarditis (JCS 2009)—Digest version—. Circ J 2011; 75: 734–743

15) 外須美夫:呼吸・循環のダイナミズム.東京,真興交易(株)医書出版部,2001

16) 田中靖彦:主要疾患に対するファーストタッチ—心臓構造異常—.小児科診療2017; 80: 53–59

17) 中澤 誠:先天性心疾患.東京,MEDICAL VIEW, 2014

18) 日本循環器学会,ほか:先天性心疾患並びに小児期心疾患の診断検査と薬物療法ガイドライン(2018年改訂版).https://www.j-circ.or.jp/cms/wp-content/uploads/2020/02/JCS2018_Yasukochi.pdf(2022年4月18日閲覧)

19) American Heart Association: 小児二次救命処置.AHAガイドライン2020準拠.東京,シナジー,2021

20) 日本高血圧学会高血圧治療ガイドライン作成委員会:高血圧治療ガイドライン2019.東京,(株)ライフサイエンス出版,2019

21) Matsuura H, Ichida F, Saji T, et al: Clinical features of acute and fulminant myocarditis in children: 2nd nationwide survey by Japanese Society of Pediatric Cardiology and Cardiac Surgery. Circ J 2016; 80: 2362–2368

22) 日本川崎病学会:川崎病学.東京,診断と治療社,2018

23) 日本循環器学会,ほか:感染性心内膜炎の予防と治療に関するガイドライン(2017年改訂版)https://www.j-circ.or.jp/cms/wp-content/uploads/2020/02/JCS2017_nakatani_h.pdf(2022年4月18日閲覧)

24) 鈴木武志:敗血症性ショックの病態と初期蘇生Up to date. ICUとCCU 2020; 44: 77–84

25) Walley KR: Sepsis-induced myocardial dysfunction. Curr Opin Crit Care 2018; 24: 292–299

26) 赤澤 宏:アントラサイクリン系抗がん剤による心筋障害の分子メカニズムとOnco-Cardiology. 心臓2017; 49: 805–811

27) Cardinale D, Colombo A, Bacchiani G, et al: Early detection of anthracycline cardiotoxicity and improvement with heart failure therapy. Circulation 2015; 131: 1981–1988

28) 三角郁夫,大嶋俊範,西田泰斗,ほか:Duchenne型筋ジストロフィーにおける左室心筋障害の検討.心臓2010; 42: 1424–1428

29) 武田充人:ミトコンドリア心筋症.日小児循環器会誌2017; 33: 287–296

30) Okura Y, Takezaki S, Yamazaki Y, et al: Rapid progression to pulmonary arterial hypertension crisis associated with mixed connective tissue disease in an 11-year-old girl. Eur J Pediatr 2013; 172: 1263–1265

31) 日本小児内分泌学会薬事委員会,ほか:小児期発症バセドウ病診療のガイドライン2016. http://jspe.umin.jp/medical/files/gravesdisease_guideline2016.pdf(2022年4月18日閲覧)

32) Ueno M, Murakami T, Takeda A, et al: Efficacy of oral sildenafil in beraprost-treated patient with severe pulmonary hypertension secondary to type I glycogen storage disease. Circ J 2009; 73: 1965–1968

This page was created on 2022-03-31T16:45:55.865+09:00
This page was last modified on 2022-05-25T19:42:30.000+09:00


このサイトは(株)国際文献社によって運用されています。