Online ISSN: 2187-2988 Print ISSN: 0911-1794
特定非営利活動法人日本小児循環器学会 Japanese Society of Pediatric Cardiology and Cardiac Surgery
Pediatric Cardiology and Cardiac Surgery 38(1): 63-69 (2022)
doi:10.9794/jspccs.38.63

症例報告Case Report

リードレスペースメーカ植込み術を施行した小児の1例A Pediatric Case of Leadless Pacemaker Implantation

1東京大学医学部附属病院小児科Department of Pediatrics, The University of Tokyo Hospital ◇ Tokyo, Japan

2東京大学医学部附属病院循環器内科Department of Cardiovascular Medicine, The University of Tokyo Hospital ◇ Tokyo, Japan

3東京大学医学部附属病院心臓外科Department of Cardiothoracic Surgery, The University of Tokyo Hospital ◇ Tokyo, Japan

受付日:2021年12月8日Received: December 8, 2021
受理日:2022年2月10日Accepted: February 10, 2022
発行日:2022年2月1日Published: February 1, 2022
HTMLPDFEPUB3

リードレスペースメーカ(LPM)の小児への植込みは稀であり,本邦では未だ報告がない.われわれは複数の条件を勘案し,LPM植込み術を施行した小児例を経験した.症例は拡張型心筋症に対する心臓移植後の12歳女児で,拒絶反応により循環不全を伴う一過性の洞不全症候群を発症し,ペースメーカ(PM)治療の適応と判断した.両側鎖骨下静脈の閉塞,成長過程であること,手技の侵襲性,免疫抑制剤投与下におけるデバイス感染のリスク等のため経静脈的PMや心外膜PMを選択しにくい状況であった.一方で,心臓再移植の可能性と一過性徐脈であることから,LPMの懸念点である電池消耗に伴う追加留置の必要性と,モードがVVIに限られる点は許容されると判断した.体格が小さいことによる血管アクセスの問題も,大腿静脈シースを段階的にサイズアップすることでLPMイントロデューサシースを留置することで解決しえた.心臓が小さいため三尖弁から右室中隔留置部位までの距離が取れず,また高い刺激閾値が問題となったが,右室中位中隔に許容範囲内である部位を確認し,留置しえた.植込み術中・術後に有害事象はなく,心拍数低下時にLPMは正常に作動した.その後,経カテーテル的心筋生検に際し,問題はなかった.適応が限定的であることに留意し,適切な症例を選択すれば,小児例へのLPM植込みは安全かつ有用な治療選択肢になりうる.

In Japan, there has yet to be a report of a leadless pacemaker (LPM) implant in a pediatric patient. We present a case of a pediatric patient who underwent LPM implantation for various reasons. A 12-year-old girl suffered rejection for heart transplantation that was performed for the treatment of dilated cardiomyopathy 2 years after the procedure. The rejection caused sinus node dysfunction syndrome, which necessitated pacemaker (PM) therapy. However, bilateral subclavian vein obstruction, invasiveness, and risk of device infection under immunosuppressive therapy made implanting either intravenous or epicardial PM difficult. The disadvantages of LPM, such as the limited number of reimplantation and the limited setting to ventricular single chamber pacing, were deemed insignificant because of the possibility of heart reimplantation and transient bradycardia attacks. Although vascular access was a concern because of the small body size, the LPM introducer sheath could be safely placed with adequate prior evaluation and gradual dilation of the femoral vein. There were no complications during or after the implantation procedure, and the LPM was able to work with bradycardia. A month later, we performed a catheter biopsy and successfully sampled the myocardium. With careful consideration of our indications, our experience suggested that LPM can be safe and useful in pediatrics.

Key words: leadless pacemaker; pediatrics; heart transplantation; sick sinus syndrome; Micra™

はじめに

徐脈性不整脈に対するペースメーカ(PM)治療の選択肢として,本邦でも2017年よりリードレスペースメーカ(LPM)の保険適応が取得された.LPM(Fig. 1)はバッテリーと刺激電極が一体化したカプセル状の小型デバイスである.経静脈的に専用カテーテルシステムを用いて右室に直接植込まれるPMであり,リードや皮下ポケットが必要ない.従来の経静脈PMと比較して,リードやポケットに関連した感染や血管トラブルを回避できる利点を有し,成人領域では良好な成績を挙げている1–3).一方で,小児例に対するLPM植込みの適応は限定的であり,本邦では未だ報告はなく,使用する際の注意点やその対策については明らかでない点が多い.適応を制限する理由として,心血管が小さいことによるアプローチの困難さ,電池消耗に伴う追加留置の必要性,モードがVVIに限られる点が挙げられる.今回,われわれは適応の仔細な検討の後にLPM植込み術に至った小児例を経験したため,文献的考察をふまえて報告する.

Pediatric Cardiology and Cardiac Surgery 38(1): 63-69 (2022)

Fig. 1 Leadless Pacemaker Micra™

Micra™ has four fixation tines to anchor the device to the myocardium. The distal tip of the device is the cathode electrode, and the proximal black ring is the anode electrode. The image was provided by Medtronic, Inc.

症例

患者

12歳女児

主訴

胸部違和感,呼吸困難感

現病歴

特発性拡張型心筋症のため,9歳時に心臓移植(bicaval anastomosis法)を施行した.移植後1年3か月時に抗体関連拒絶反応によるグラフト不全が生じた.免疫抑制療法・慢性心不全治療を継続しながら,心臓再移植登録を行い待機していた.移植後2年5か月,間欠的な胸部違和感・呼吸困難感を主訴に前医を受診し,心電図検査より洞機能不全症候群(sick sinus syndrome: SSS)による間欠的な徐脈が原因と診断された(Fig. 2).拒絶反応,心不全増悪の可能性を考えステロイドパルス治療とPDEIII阻害薬の持続投与を開始した上で,翌日,精査加療目的に当院へ転院した.

Pediatric Cardiology and Cardiac Surgery 38(1): 63-69 (2022)

Fig. 2 Electrocardiogram (ECG) at diagnosis

(a) Twelve-lead ECG documented the bradyarrhythmia. (b) In addition to P waves of the sinus rhythm of the transplanted heart (arrows), she had P’ waves (triangles). The absence of P waves indicated sinus node dysfunction. The constant PQ intervals of beats 1-5 and 7 of the P waves confirmed atrioventricular conduction. P’P’ interval was constant at 92 msec. P’ was not associated with excitation of the transplanted heart but was suspected to be excitation of autologous rhythm.

内服薬

慢性心不全の治療薬として徐拍化目的に,ビソプロロール0.1 mg/kg/day,カルベジロール0.1 mg/kg/day,イバブラジン0.3 mg/kg/dayの内服中であった.加えて,フロセミド,スピロノラクトン,ヒドロクロロチアジド,トルバプタン,エナラプリル,ピモベンダン,アスピリン,プラバスタチン,タクロリムス,ミコフェノール酸モフェチル,エベロリムス,バルガンシクロビル,アトバコンを内服していた.

入院時現症

身長129 cm,体重20 kg.脈拍数123 bpm,血圧105/70 mmHg,呼吸数15回/分,酸素飽和度100%(酸素2 L/min).胸部聴診上,肺雑音なし,心音整で心雑音ないが奔馬調律を聴取した.肝脾腫なし.四肢末端に冷感あり.浮腫なし.

入院時検査

入院時の心電図検査では洞調律であり,完全右脚ブロックと間欠的な1度房室ブロック(最大PR interval 240 msec)を認めるのみであり,冠動脈病変を示唆するabnormal QやST-T changeは認めなかった.血液検査ではBNP 903.6 pg/mLと上昇を認めていたが,CK-MBや高感度トロポニンIは感度未満であった.ほか,肝機能,腎機能,電解質に異常を認めなかった.胸部X線検査ではCTR 44%と心拡大を認めず,肺鬱血や胸水を示唆する所見は認めなかった.経胸壁心エコー検査では,PDEIII阻害薬投与下でLVEF 45%と低下を認めた.

入院後経過(Fig. 3)

当院転院時は徐脈を認めず,洞性頻拍であった.ステロイドパルス治療とPDEIII阻害薬の持続投与を継続し,β遮断薬2剤,イバブラジンの内服を中止した.入院2日目,心臓カテーテル検査により冠動脈造影,血管内超音波,心筋生検を施行したが,介入可能な冠動脈病変や有意な拒絶反応の所見を認めなかった.よって現状で治療介入可能な拒絶反応の所見はなく,グラフト不全による慢性心不全治療の有益性が高いと判断した.SSS再発のリスクが懸念されたため,徐拍化目的の薬剤を少量より再開し,忍容性を確認しながら漸増する方針とした.入院4日目にビソプロロール0.05 mg/kg/dayを再開したが,SSSによる突発的な徐脈(HR 50 bpm)を1分間認めた.症状を伴わなかったため,綿密なモニタリングの下,ビソプロロールを0.10 mg/kg/dayへ増量し,イバブラジンを0.05 mg/kg/dayより再開した.

Pediatric Cardiology and Cardiac Surgery 38(1): 63-69 (2022)

Fig. 3 Clinical course

Treatment of Rejection included Pulse Methylprednisolone Therapy (PMT) in 1st; PMT, Plasma Exchange (PE), and Intravenous Immunoglobulin in 2nd; and PMT and PE in 3rd. The white triangles mark the date of bradycardia, and the black triangles mark the date when the pacemaker worked for bradycardia. BNP, brain natriuretic peptide; ECMO, extracorporeal membrane oxygenation; LPMI, leadless pacemaker implantation

しかし,入院18日目に心不全の増悪による嘔吐症状と一過性SSSを認めたため,それ以上の薬剤増量は控え,ドブタミンの持続投与を開始した.長期的に安定した静脈路が必要と考えられ,入院29日目,左内頸静脈より体外式長期留置型カテーテル留置術を施行した.入院31日目,SSSによる突発的な徐脈が出現・増加しビソプロロール・イバブラジンを中止したが,入院32日目には心肺蘇生を要し,体外式膜型人工肺(ECMO)による循環補助を開始した.入院34日目に行った抗HLA抗体の検索において抗HLA-DQ抗体の増加を認め,入院35日目に行った心筋生検ではpAMR1(I+)の所見を認めたため,一連の心機能低下の原因は抗体関連拒絶反応と判断した.拒絶反応の治療を行いながらECMO治療を継続したところ,緩徐に心機能は回復し,徐脈の再燃も認めなかった.一過性ではあるがSSSにより循環不全を来していることからPM治療の適応と判断した.本症例では,両鎖骨下静脈が完全に閉塞しており血管アクセスが制限されていたことや侵襲性を考慮し,LPMを選択した.なお,心臓再移植の可能性と一過性徐脈であることから,LPMの懸念点である追加留置の必要性とモードがVVIに限られる点は許容されると判断した.

循環が安定したため入院43日目ECMOを離脱し,入院54日目,LPM植込み術を施行した.右大腿静脈シースを段階的にサイズアップし,最終的にイントロデューサシースを問題なく留置した.右心室を造影し解剖を確認するとともに心腔内超音波カテーテルも併用し,LPMを中隔に挿入した.心臓が小さいため三尖弁から右室中隔留置部位までの距離が取れず操作に難渋した.また,複数箇所でLPMの展開を試みるも拒絶反応のためか刺激閾値が良好な部位が乏しかった.最終的に右室中位中隔に留置し,fixation tineが3本固定されていることを確認した.インピーダンス410 Ω, R波高3.3 mV,閾値2.0 V/1.0 msecと比較的高めの閾値であったが許容範囲内と判断し,同部位での留置として手技を終了した(Fig. 4).術後のエコー検査で心嚢水の出現や三尖弁逆流の増悪は認めず,穿刺部位についても血腫や血栓形成,動静脈瘻の出現はなかった.植込み後,LPMの位置の変化や閾値の上昇はなく経過した.植込み後1か月時(入院82, 85日目)にSSSによる短時間の徐脈を生じたものの,back up pacingが作動し,症状を認めなかった.ペーシングはその2日の間欠的な作動のみ(1か月間のペーシング率0.1%未満)に留まったが,循環の維持に重要な役割を果たした.同エピソードも拒絶反応の再燃と考えられたため,経カテーテル的に右室中隔より心筋生検を施行したが,LPMへの影響はなく,有害事象なく検体を採取しえた(Fig. 5).その後も,拒絶反応及び慢性心不全の治療を継続している.

Pediatric Cardiology and Cardiac Surgery 38(1): 63-69 (2022)

Fig. 4 Post implantation test

(a) Chest X-ray demonstrated final position of leadless pacemaker. (b) Limb lead electrocardiogram showed waveforms with LPM pacing. QRS was wide (170 msec).

Pediatric Cardiology and Cardiac Surgery 38(1): 63-69 (2022)

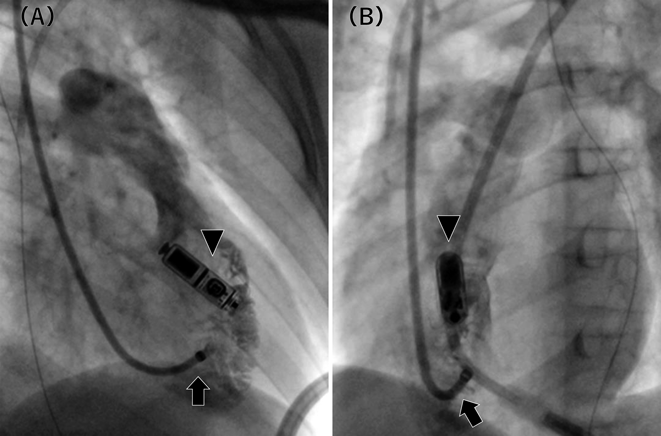
Fig. 5 Fluoroscopic images in right anterior oblique view (A) and left anterior oblique view (B)

The right ventricle was contrasted through the long sheath (arrow). The tip of the long sheath was sufficiently distant from the LPM (triangle). The biopsy forceps could enter the right ventricle through the long sheath, allowing myocardial biopsy from the right ventricular septum without interfering with the LPM.

考察

本症例は,心臓移植後に循環不全を伴うSSSを発症し,PM治療の適応と判断され,LPM植込み術が施行された.本邦で小児例へLPM植込み術を施行した初回症例である.

本症例は12誘導心電図検査(Fig. 2)よりSSSと診断した.本症例のように心臓移植後に,心室への電気的伝導を伴うP波と心室への電気的伝導を伴わないP’波を認める所見はpseudo AV blockという名称で報告されている4–6).機序として,電気生理学的検査により,前者はドナー心臓の心房電位であり,後者はドナー心臓から電気的に隔離されたレシピエントの心房電位と報告されている6).しかし,本症例はレシピエントの右心房を除去するbicaval anastomosis法で移植されており,同方法ではpseudo AV blockの報告を認めていない.そのため,本症例のP’波の成因として洞結節を含む右心房組織が残存した可能性や上大静脈などの異所性調律の可能性を鑑別に挙げたが,正確な機序は不明であった.それでも,心室収縮を伴うP波はドナー心臓の心房電位であると考えられ,P’波は心室の収縮を伴わずP波により周期が変わらないことからドナー心臓とは電気的伝導のないレシピエント組織の由来であると推測され,pseudo AV blockと同様の病態であると推測した.また,SSSの原因・増悪因子は複数考えられた.Bicaval anastomosis法は従来の方法に比して頻度が少ないが,心臓移植後の合併症としてSSSを発症しうる7).拒絶反応・心不全の病勢や治療経過とSSSの出現・改善が一致していることから,両者はSSSの主因と考えられる.加えて,β遮断薬・イバブラジンの薬剤性の修飾が否定できなかった.一過性ではあるが有症候性洞不全により循環不全を生じたこと,その原因である拒絶反応のコントロールが容易でない状況,洞不全の増悪因子であるβ blockerやイバブラジンの使用が慢性心不全治療のために必要不可欠であることから,恒久的なPM治療のクラス1適応と判断した.

LPMはPM治療の選択肢として成人領域では良好な成績を挙げている1–3)が,小児領域の報告はまだ多くない.最も多くの小児例を扱った検討でも9例に留まっており8),本邦での報告はない.一方で,最少年齢・最小体重である4歳・体重16 kgを含め10歳未満・20 kg以下の複数の児にLPM植込み術の報告があり9–11),低体重・低年齢への安全性・有用性が示されつつある.本症例では,①両側鎖骨下静脈が完全閉塞し,左内頸静脈から体外式長期留置型中心静脈カテーテルが留置されており,経静脈リードのための血管アプローチが制限されていたこと,②心外膜リード留置のための開胸の侵襲性,③免疫抑制剤使用下におけるリードやポケット感染の懸念12, 13)を勘案し,従来の経静脈・心外膜PMは不適でLPMの適応であると判断した.心臓再移植を行わないと長期生存が難しいと予想され,本症例で問題にはなりづらいと予想されたが,経静脈リードによる血管の閉塞や癒着,成長によるリードトラブルの懸念を避けられる点もLPMの利点であった.LPM植込み術を施行した小児例の既報でも,血管アクセスの制限・侵襲性・感染リスクを中心に同様の理由でLPMが選択されている8–11, 14–17).小児で多く用いられる心外膜リードを避けた理由として,繰り返しの心臓手術により心外膜リードの有効な留置が困難であったこと,腹部手術直後で腹部へのジェネレーター留置がハイリスクであったこと,なども報告されている11, 14, 18).従来は心外膜リードや経静脈リードを用いたPMが植込まれていたと考えられる症例に,美容面やスポーツのためLPMが選択された報告も複数ある8, 15–17).小児例でも,限定的な適応にはなるが,従来の経静脈PMや心外膜PMよりLPMを優先すべき症例がいることを認識する必要がある.

一方で,LPMのリスクやデメリットに対する理解が適応の検討に必要不可欠である.LPMの一般的な問題点として,電池消耗時には交換ではなく追加留置となり,留置部位・個数に限界があること,本邦で使用可能なLPMは設定がVVIに限られることが挙げられる.結果的に予後の長く,DDDの設定が至適な疾患が多い小児例ではLPMが適応になることは少ない.本症例では,拒絶反応や心不全が良好にコントロールされれば一過性徐脈のリスクが低下し,ペーシングが不要になりえること,一方で心不全の状態が改善しない場合は心臓再移植以外に長期生存が難しいと考えられることから,複数回の追加留置の可能性は低いと考えられた.設定がVVIに限られる点に関しては,下記の通り考察した.本症例の徐脈が間欠的かつ短時間であり,心不全・拒絶反応の治療により可逆的に改善した経緯から,PM治療の主目的は長期的なペーシングではなく短期的な循環の維持であると考えた.そのため,VVIの懸念点である房室非同期や左右心室の非同期,高率ペーシングによる心不全増悪のリスクは,前段落のLPMを選択する理由を覆すものではないと判断した.また,LPMの合併症の頻度は多くないものの,心嚢水・心タンポナーデ,穿刺部の血腫・血栓・動静脈瘻などのリスクは従来の経静脈PMを上回る可能性がある1).加えて,小児特有の問題点として体格・心血管が小さいことが挙げられ,心血管合併症のリスクが上昇するものと考えられる.本邦で使用されているLPM(Micra™)の容積は1 mLと心腔内容積と比較して大きくないため,心容積が小さいことに起因した心内操作の難化や植込み後の心機能への影響は大きくないと思われるが,心嚢水・心タンポナーデの出現には十分注意する必要がある.血管アクセスについては,外径27 Fr(9.0 mm)のイントロデューサシースがLPMのデリバリーに必要であり,小児における血管合併症の懸念は強い.大腿静脈の径が不足している場合,cut down法により直接イントロデューサシースを留置する等の特殊な対応を検討する必要がある11, 14, 15, 19).本症例の血管アクセスについては,事前にエコー・CTで血管径を評価しており,右大腿静脈7.7 mm×8.2 mm,下大静脈9.9 mm×11 mmであった.大腿静脈は少なくとも1.2倍程度まで拡張することが知られており20),本症例の右大腿静脈へのイントロデューサシース挿入は十分に可能と考えられた.実際に,血管径が本症例よりも小さい5.1 mm径の大腿静脈へイントロデューサシースの留置が行われた報告もある9).本症例では,事前に十分な補液で血管内ボリュームを確保し,挿入していた6 Frのシースから12 Fr, 16 Fr, 23 Frと段階的にダイレーションを行うことで有害事象なく27 Frシースが確保でき,術後も穿刺部位の合併症は認めなかった.安全なイントロデューサシース確保のために事前の評価及び慎重なダイレーションが肝要と考えられた.以上のように,LPMにおける注意点,小児例ではそのリスク・デメリットがより顕著になりうることを考慮し,症例ごとに慎重に検討することが,適切なLPM植込み術の適応判断及び安全な植込みにつながると考えられる.

本症例は小児例の中でも心臓移植後という特徴を持ち,LPM植込み術後にも繰り返し心筋生検を行う必要がある点は特異的であった.LPM植込み術後1か月にカテーテルによる心筋生検を施行したが,右室造影により中隔構造やLPMの位置を把握することで,LPMに干渉することなく生検可能であった.術後,心嚢水やLPMの閾値上昇等の有害事象は認めなかった.小児の小さい心臓ではLPM植込み後の心筋生検の困難も危惧されたが,安全に心筋生検が可能であることが示された.

結語

心臓移植待機中という特殊な状況であったが,本邦で初めて,小児例に対してリードレスペースメーカ植込み術を施行した.適応が限定的であることに留意し,適切な症例を選択すれば,小児例に対するリードレスペースメーカ植込み術は安全かつ有用になりうる.

謝辞Acknowledgments

初期診療にあたっていただいた内海雅史先生をはじめとした信州大学小児医学教室の先生方に深謝いたします.

利益相反

本論文について,開示すべき利益相反(COI)はない.

著者の役割

佐藤 要:論文の構想,カテーテルの実施,データ収集,分析,解釈に関与し,論文を執筆した.

小島敏弥:論文の構想,カテーテルの実施,論文内容に関しての必要な修正を行った.

大森紹玄,小川陽介,田中 優,白神一博,益田 瞳,浦田 晋,松井彦郎,柴田深雪,平田康隆,小野 稔,加藤元博:論文内容に関して妥当性の検討及び批判的推敲を行った.

犬塚 亮:論文の構想,論文内容に関する妥当性の検討及び批判的推敲,最終的な投稿の決定を行った.

引用文献References

1) Reynolds D, Duray GZ, Omar R, et al: Micra Transcatheter Pacing Study Group: A leadless intracardiac transcatheter pacing system. N Engl J Med 2016; 374: 533–541

2) Duray GZ, Ritter P, El-Chami M, et al: Micra Transcatheter Pacing Study Group: Long-term performance of a transcatheter pacing system: 12-month results from the Micra Transcatheter Pacing Study. Heart Rhythm 2017; 14: 702–709

3) Soejima K, Asano T, Ishikawa T, et al: Micra Transcatheter Pacing Study Group: Performance of Leadless pacemaker in Japanese patients vs rest of the world: Results from a global clinical trial. Circ J 2017; 81: CJ-17

4) Cataldo R, Olsen S, Freedman RA: Atrioventricular block occurring late after heart transplantation: Presentation of three cases and literature review. Pacing Clin Electrophysiol 1996; 19: 325–330

5) Holt ND, McComb JM: Cardiac transplantation and pacemakers: When and what to implant. Card Electrophysiol Rev 2002; 6: 140–151

6) 杉山裕章,今井 靖,藤生克仁,ほか:同所性心臓移植後に偽性完全房室ブロックによる徐脈を呈した1例.心電図2010; 30: 402–409

7) Rothman SA, Jeevanandam V, Combs WG, et al: Eliminating bradyarrhythmias after orthotopic heart transplantation. Circulation 1996; 94 Suppl: II278–II282

8) Breatnach CR, Dunne L, Al-Alawi K, et al: Leadless Micra pacemaker use in the pediatric population: device implantation and short-term outcomes. Pediatr Cardiol 2020; 41: 683–686

9) Mahendran AK, Bussey S, Chang PM: Leadless pacemaker implantation in a four-year-old, 16-kg child. JICRM 2020; 11: 4257–4261

10) Cortez D: Innovative implantation of a leadless pacemaker in a 19 kg paediatric patient via the right internal jugular vein. EP Eur 2019; 21: 1542–1542

11) Gallotti RG, Biniwale R, Shannon K, et al: Leadless pacemaker placement in an 18-kilogram child: Procedural approach and technical considerations. HRCR 2019; 5: 555–558

12) Döring M, Richter S, Hindricks G: The diagnosis and treatment of pacemaker-associated infection. Dtsch Arztebl Int 2018; 115: 445–452

13) Polyzos KA, Konstantelias AA, Falagas ME: Risk factors for cardiac implantable electronic device infection: A systematic review and meta-analysis. Ep Europace 2015; 17: 767–777

14) Surti AK, Ambrose M, Cortez D: First description of a successful leadless pacemaker implantation via the left internal jugular vein (in a 20 kg patient). J Electrocardiol 2020; 60: 1–2

15) Hackett G, Aziz F, Samii S, et al: Delivery of a leadless transcatheter pacing system as first-line therapy in a 28-kg pediatric patient through proximal right internal jugular surgical cutdown. JICRM 2021; 12: 4482–4486

16) Tejman-Yarden S, Nof E, Beinart R, et al: Leadless pacemaker implantation in a pediatric patient with prolonged sinus pauses. Pediatr Cardiol 2018; 39: 844–847

17) Jędrzejczyk-Patej E, Woźniak A, Litwin L, et al: Successful implantation of leadless pacemakers in children: A case series. Eur Heart J Case Rep 2020; 4: 1–6

18) McCanta AC, Morchi GS, Tuozo F, et al: Implantation of a leadless pacemaker in a pediatric patient with congenital heart disease. HRCR 2018; 4: 506–509

19) Siddeek H, Jimenez E, Ambrose M, et al: Pediatric Micra leadless pacemaker implantation via the internal jugular and femoral vein: A single-center, US experience. Future Cardiol 2021; 17: 1116–1122

20) Fronek A, Criqui MH, Denenberg J, et al: Common femoral vein dimensions and hemodynamics including Valsalva response as a function of sex, age, and ethnicity in a population study. J Vasc Surg Cases 2001; 33: 1050–1056

This page was created on 2022-04-07T11:25:14.031+09:00
This page was last modified on 2022-05-25T19:52:34.000+09:00


このサイトは(株)国際文献社によって運用されています。