Online ISSN: 2187-2988 Print ISSN: 0911-1794
特定非営利活動法人日本小児循環器学会 Japanese Society of Pediatric Cardiology and Cardiac Surgery
Pediatric Cardiology and Cardiac Surgery 39(3): 161-168 (2023)
doi:10.9794/jspccs.39.161

ReviewReview

小児重症心不全に対する補助循環・補助人工心臓治療先天性心疾患も含めてCirculatory Support for Severe Heart Failure in Children

東京大学病院心臓外科Department of Cardiac Surgery, The University of Tokyo Hospital ◇ Tokyo, Japan

発行日:2023年12月1日Published: December 1, 2023
HTMLPDFEPUB3

小児の重症心不全に対する補助循環としては大きく分けて1)体外式膜型人工肺(ECMO),2)体外型補助人工心臓,3)植込み型補助人工心臓がある.このうち,ECMOは一般的には1か月程度の補助が限界であるが,補助人工心臓ではより長期の補助が可能である.小児用体外型補助人工心臓EXCOR® Pediatricは体重3 kg程度の新生児から使用可能であり,主に心臓移植までのブリッジとして使用される.体格の比較的大きな小児では植込み型補助人工心臓が適応になることもあり,退院しての通学なども可能である.また,日本においては,先天性心疾患に対する心臓移植はまだ非常に少なく2022年までで10例未満にすぎず,待機患者の割合も全体の4%程度であるが,米国では,心臓移植の10%程度が先天性心疾患であり,特に5歳以下においては半分程度を占めている.今後先天性心疾患に対する補助人工心臓・移植の需要は増えてくると思われ,これらに対する治療戦略も重要になってくると思われる.

The three major types of assisted circulation for severe heart failure in children are as follows: (1) extracorporeal membrane oxygenation (ECMO), (2) extracorporeal ventricular assist device, and (3) implantable ventricular assist device. Of these, ECMO is generally limited to approximately 1 month of assistance, whereas the ventricular assist device can be used for a longer term. The EXCOR® Pediatric external ventricular assist device can be used in neonates weighing as little as 3 kg and is primarily used as a bridge to heart transplantation. In some cases, an implantable artificial heart is indicated for relatively large children, so they can be discharged from the hospital and go back to school. In Japan, very few heart transplants have been conducted for congenital heart disease, with less than 10 cases by 2022, and approximately 4% of the patients are on the waiting list. In the future, the demand for artificial hearts and transplants for congenital heart disease is expected to increase, requiring treatment strategies for these diseases.

Key words: congenital heart disease; ventricular assist device; ECMO

ECMO(体外式膜型補助循環)

小児急性心不全の病態

小児急性心不全の病態には大きく分けて3種類ある.

  1. 1)劇症型心筋炎に伴う急性心不全
  2. 2)拡張型心筋症などの急性増悪に伴う急性心不全
  3. 3)先天性心疾患術後の急性心不全

これらの病態はそれぞれ,ECMOの適応,タイミング,離脱の方法などが異なるため,それぞれに分けて述べる.

1)劇症型心筋炎に伴う急性心不全
【疫学・診断】

急性心筋炎のうち,血行動態の急激な破綻を来し,致死的経過をとるものが一般的に劇症型心筋炎と呼ばれている.原因としては,多くのウイルスが知られており,コクサッキーB群のウイルスが検出される頻度が高い.その他,エコー,コクサッキーA群,インフルエンザB群,単純ヘルペス,パルボウィルス,サイトメガロウイルスやアデノウイルスなども報告されている1)

初発症状は発熱,嘔吐などの非特異的なものが多く,診断が困難なことも多い.進行例の主要症状としては,1)完全房室ブロック,心室性頻拍,上室性頻拍などの刺激伝導系の障害,あるいは,2)心筋収縮不全,またはこの両方を認める.また,CK-MBやcardiac troponinなどの心筋逸脱酵素も高値となる.最も有用な画像診断は心エコーであり,左室壁運動低下,心嚢液貯留,心筋壁肥厚などが認められる.左室壁運動低下を示す疾患の鑑別として重要なのが拡張型心筋症などの心筋症であるが,劇症型心筋炎の場合は基本的に急性の経過をたどることから,拡張型心筋症などに比べて心筋の厚さが保たれており,また,心拡大もそれほど著明でないことも多い2).しかしながら,心エコーのみでの鑑別は難しいこともあり,最終的には心筋生検などによる判断が必要となることもある.

診断に至る以前に突然死にいたるケースもあることから,正確な死亡率は不明であるが,ECMOによる補助循環を要した症例の死亡率は20~30%との報告がある3, 4).また,ECMOによる補助循環が2週間を超えても心機能の回復が認められない場合はVAD装着への移行,また心臓移植の可能性を考慮する必要がある.ドイツにおけるprospective studyではECMOを要した劇症型心筋炎28人において,22人生存(79%),移植に至ったのが9人(32%)であったと報告されている4)

【適応】

劇症型心筋炎でECMOが考慮されるとき,すでにカテコラミンなどが投与されている場合が多い.どの程度の循環不全でECMOを使用するかに関しては定まったコンセンサスは存在しないが,心停止に至る前にECMOを開始することが生命予後,ならびに神経学的予後の向上に寄与することに異論はないと思われる4).高用量のカテコラミン(Epinephrine 0.1γ以上など)を使用しても血圧が保たれない場合,あるいは血圧が保たれていてもアシドーシスの進行,lactateの上昇あるいは心室性の不整脈,房室ブロックの出現などが認められた場合は躊躇せずにECMOを開始することが望ましいと考えられる.

【手術】

乳児,小児の場合体重15~20 kg以下では主に頚部(総頚動脈・内頚静脈)からのカニュレーションを行う.この場合,心臓マッサージを行いながら手術を行える利点がある.施行前には短時間でもエコーを行い,動静脈の場所を確認しておくのが望ましい.我々の施設では,基本的には動脈,静脈ともに通常の人工心肺と同様にタバコ縫合でカニュレーションを行い,遠位側の動静脈は結紮していない.体重20 kg以上では大腿動静脈を利用できることもあるが,特に大腿動脈は成人と比して細く,下肢虚血のリスクが高いため,遠位送血を考慮すべきである.

【ECMOからの離脱】

劇症型心筋炎に対するECMOにおいて,離脱可能な場合は1週間以内に離脱できることが多い3, 5).脈圧の上昇,LVEFの改善が認められれば,離脱を考慮する.カテコラミンを使用しながら徐々にECMOの流量を下げ,血液ガスでアシドーシスの悪化やラクテートの上昇などがないことを確認しながら離脱をすすめる.場合によってはフルヘパリン化して,ECMOを停止した後10分程度待機してから血液ガスに問題がないことを確認し,カニューレを抜去してもよい.

2週間以上経っても心機能が回復しない場合,あるいは回復してもECMOからの離脱が困難と考えられる場合は,VADへの移行や心臓移植について考慮する必要がある.

2)拡張型心筋症などの心筋症の急性増悪に伴う急性心不全
【疫学・適応】

拡張型心筋症などの心筋症の急性増悪の場合,ECMOによる数週間の補助で回復する可能性は低いため,移植へのブリッジとして補助人工心臓(Ventricular assist device, VAD)を直接装着することが望ましい.しかしながら,病状の進行が極めて早い場合,致死的不整脈が頻発する場合,あるいは心筋症の診断がなされていない急性発症の場合などは,緊急のVAD装着が困難であり,ECMOを装着せざるをえないことがある.

【手術】

カニュレーション部位としては頚部送脱血または胸骨正中切開による上行大動脈送血,右房脱血のいずれも考慮される.前者の利点としては,心臓マッサージを行いながら行えること,慣れていれば比較的短時間で行えること,また,胸骨切開などに伴う出血が少ないこと,などがあげられる.後者の利点としては,送脱血が安定すること,左房ベントあるいは左室ベントなどによって左心系の減圧を同時に行うことができること,などがある.左心系の減圧によって肺鬱血を予防することができるので,VADへの移行が考慮される場合は,胸骨正中切開のほうがよい場合もある.いずれにしても,患者の状況,VADへの移行などを見据えた方針決定が重要である.

【ECMOからの離脱】

拡張型心筋症の急性増悪の場合,その原因が不整脈である場合は離脱可能なこともあるが,基本的には心機能の回復は望めないことが多く,VADへの移行から心臓移植を待機することになる.

3)先天性心疾患術後の急性心不全
【疫学・適応】

小児領域において,ECMOが最も使用されるのは先天性心疾患術後であり,米国胸部外科医学会(Society of Thoracic Surgeons)のデータベースでは2000年から2010年までに行われた先天性心疾患手術96,596件のうち,2,287人(2.4%)に術後に機械的補助循環が行われ,そのほとんど(95%以上)がECMOによる補助循環であったとしている6)

先天性心疾患術後のECMO装着には,1)人工心肺からの離脱困難例に対するもの,2)術後急性循環不全または心停止に対するもの,3)体肺動脈シャント(例:BTシャントなど)の急性閉塞に伴う酸素飽和度低下に対するもの,などがある.このうち,急性心不全に対するECMOは1)および2)である.先天性心疾患術後のECMOの退院時生存率は概ね50%前後であり6, 7),術式としては左心低形成症候群に対するNorwood手術が最も多い6).予後不良因子としては,長期のECMO補助,単心室循環,低体重,腎不全などが挙げられている8, 9)

【手術】

先天性心疾患術後の場合はほとんどの場合,上行大動脈送血,右房(心房)脱血のセントラルカニュレーションでECMOが施行される.Norwood手術後の場合などは,手術時に腕頭動脈に縫合したシャントを送血路として使用することもある.

先天性心疾患術後のECMOの特殊性として,単心室循環への対応がある.単心室循環に対するECMOでは,肺血流はシャントによって供給されることが多いが,ほとんどの場合,シャントを開存させたままECMOを行うため,通常より多いECMO流量(150~200 mL/kg/min)が必要となる8).また,両方向性グレン手術,フォンタン手術後のECMOでは静脈からの脱血に工夫を要することも多い10)

【ECMOからの離脱】

先天性心疾患術後の場合は,ECMOとなった原因によって離脱の方法が異なる.心機能の回復が認められた場合は,他の急性心不全と同様に離脱を試みることが可能であるが,修復になんらかの問題がある場合は,それらを改善させる必要がある.また,単心室におけるシャント循環の場合にはECMOの流量を減らしながら,シャントの流量をクリップなどによって適切に調整しながら離脱を行う必要がある.通常,ECMOを離脱した後も開胸にしておき,閉胸前にもう一度シャント流量を調整できるようにしておくことが多い.

ECMO中の管理,合併症

1)出血・血栓

ECMOを施行する際,最も難渋するのが出血である.特に心臓術後のECMOでは出血のために輸血を続けていくと臓器の浮腫,多臓器不全へと繋がっていく.このため,ACT180~200秒でコントロールすることが推奨されているが,場合によってはACTを150秒程度まで下げて出血のコントロールを優先させることもある.また,回路内や人工肺における血栓の観察も重要であり,回路内の浮遊する血栓あるいは回路内圧が上昇,ガス交換が低下するような人工肺内での血栓が認められれば,回路の交換が必要となる.

2)腎不全

ECMOが必要となる循環不全の状況では,同時に腎不全を来すことも多い.成人の場合は,ECMOと別回路でCHDFを回すことが推奨されているが,小児の場合は,血管確保が難しいため,ECMOの回路にCHDFを組み込まざるを得ない場合もある.この際は,空気の引き込みが起こらないように厳重な注意を払って回路の組み立てを行う必要がある.新生児,乳児の場合は腹膜透析の併用も考慮する.

3)肺うっ血

劇症型心筋炎や拡張型心筋症などでECMOを使用したとき,高度の左心不全および後負荷の上昇のため,左室から血液が駆出できず,左室拡張期圧,左房圧の上昇にともない肺うっ血を来し,場合によっては肺出血を起こすこともある.このような場合には直ちに左房ベントまたは左室ベントによる左心の減圧が必要となる.カテーテル的なASD作成による減圧の報告などもあるが,遺残ASDが問題となることがある.

ECMO使用中はカテコラミンを減量するのが一般的だが,完全にオフにしてしまうと左室からの駆出がなくなり,大動脈弁が閉鎖してしまうような場合は左室の駆出を保つためにある程度のカテコラミンを使用することが推奨される.もちろん,これでも左室拡張期圧の上昇によって肺うっ血が起こる場合は左室の減圧が必要となる.

小児用体外設置型補助人工心臓:Berlin Heart EXCOR Pediatric

機器の概要

EXCOR® Pediatricは,ドイツのベルリンハート社が製造販売する小児用,空気圧駆動/拍動型の体外設置型補助人工心臓(VAD)であり,体表0.7 m2以下の小児に用いることができる現在唯一のVADである.2022年1月現在で世界で2,000例以上の植え込みの実績がある.EXCOR® Pediatricはポンプ(Fig. 1),カニューラ,およびIkus駆動/制御装置から構成される(Fig. 2).脱血用カニューラを左室心尖部,または心房に装着し,送血用カニューラを上行大動脈,または肺動脈へ装着することにより,左心または右心の補助,および両心補助を行う.Ikusは本体1台で両心補助を行うことができることが特徴である.ポンプはドライビングチューブによりIkus駆動/制御装置に接続される.Ikusの空気圧駆動によりポンプを拍動させ,拍出量を制御することにより心機能を補助する.

Pediatric Cardiology and Cardiac Surgery 39(3): 161-168 (2023)

Fig. 1 EXCORポンプ

Pediatric Cardiology and Cardiac Surgery 39(3): 161-168 (2023)

Fig. 2 EXCOR駆動システム

ポンプの内部は,多層軟質ポリウレタン膜で空気室と血液室に分かれている.空気圧による拍動が膜を動かすため,空気室と血液室はそれぞれ充満状態と排出状態になる.血液室とポリウレタン製のカニューラはどちらも透明であるため,血栓性沈着物の検出および空気室と血液室の充満や排出の状態のモニタリングが可能である.また血液ポンプの接続分岐点の流入・流出部に弁が装備されているため,確実に血液の逆流が防止できる.駆動/制御装置により,拍動数,最高駆動圧(陽圧),最低吸気圧(陰圧),および相対的なPercent systoleのモニタリングや調整を行うことができる.

ポンプのサイズは血液室最大容積に応じて,1回拍出量10 mL, 15 mL, 25 mL, 30 mL, 50 mL, 60 mLの5種類がある.このなかから被験者にあわせてサイズを選択する.小さな体格の小児に使用する10 mL, 15 mL, 25 mL, 30 mLポンプはそれぞれ,概ね体重3~9 kg, 7~14 kg, 10~25 kg, 20~30 kgを適応としている(Fig. 3).

Pediatric Cardiology and Cardiac Surgery 39(3): 161-168 (2023)

Fig. 3 患者の体重に対するEXCORポンプ選択の目安

装着手術

1)人工心肺の確立

胸骨正中切開にて行う.補助人工心臓装着術では術後の出血を抑えることが重要であり,止血を丁寧に行う.心尖部を起こす必要があるため,皮膚切開は剣状突起よりやや尾側まで伸ばす.

血行動態が比較的安定している場合は,この時点で心尖部の位置を確認し,心尖部カニューレおよび送血カニューレの皮膚貫通部の位置を決定する.可能であればヘパリン注入前に皮下トンネルを作成するのが望ましいが,人工心肺開始後でも構わない.皮下トンネルは腹直筋の背側(後鞘の前面)を剥離し,トンネルが腹腔内に出ないように注意する.また,皮膚切開をあまり大きくし過ぎるとカニューレの固定が悪くなり感染を起こしやすくなるので,注意する.

上行大動脈送血,上下大静脈脱血にて人工心肺を開始する.術前に卵円孔開存がわかっている場合は必ず閉鎖する.また,術中に判明する場合もあるので,経食道エコーで注意深く観察すること重要である.

上行大動脈の近位部に送血カニューレを縫合するため,人工心肺の送血の位置は,なるべく上行大動脈の遠位部に置く.

左心ベントはなくても手術可能だが,特に乳児の場合,心臓の脱転操作などによって容易に肺うっ血から肺出血を来すことがあるため,我々は右上肺静脈から左房ベントを挿入している.

2)心尖部カニューレの装着

左室を脱転し,背側にガーゼを置いて心尖部を持ち上げる.左前下行枝を確認して,心尖部側壁の切開予定部をマーキングするが,この時,左室をある程度張らせた状態でマーキングを行う必要がある.心尖部カニューレ挿入部は小児の場合,左前下行枝から約2 cm程度となる.まず,心尖部カニューレよりやや小さい程度を目安に,中隔から遠位の部位から円柱状に切除を行う.血栓の有無を確認し,必要があれば除去する.心尖部カニューレが挿入できることを確認する.

心尖部に4-0または5-0モノフィラメント糸にプレジェットをつけ,8-10針でマットレス縫合をFig. 4のごとく置く.心外膜側から刺入し,左室内腔に至り,筋層から刺入して心外膜側へ刺出する.

Pediatric Cardiology and Cardiac Surgery 39(3): 161-168 (2023)

Fig. 4 心尖部へのカニューレの装着

心尖部カニューレは斜めに切られており,長い側が側壁側にくるようにくるように挿入する(開口部が中隔側を向くようにする).

心尖部カニューレの縫合が終了したら,心尖部に力がかからないように注意しながら皮下トンネルからカニューレを引き出す.

3)送血カニューレの装着

送血カニューレの吻合は次回の移植手術のことを考え,できるだけ基部近くにする.また,胸骨からの圧迫および右室の圧迫を防ぐため,上行大動脈のやや右側につけるのが望ましい.送血カニューレは皮下トンネルから先に通しておいて,その後上行大動脈との縫合を行う.

送血カニューレはそのままでは上行大動脈に縫合するのは難しく,多くの施設で人工血管を間置している.我々の施設ではNguyenの方法15)と同様に,6 mmの送血カニューレの場合は,送血カニューレの先端に8 mmまたは10 mmのPTFEグラフトをかぶせ,2号絹糸で外側から結紮固定を行い,4-0モノフィラメント糸で4針固定を行う.

上行大動脈にサイドクランプをかけ,切開し,5-0または6-0モノフィラメント糸でグラフトと上行大動脈を縫合する.

9 mmの送血カニューレの場合は,12 mmのグラフトを5-0モノフィラメントで縫合し,これを同様に上行大動脈に縫合する.

4)ポンプとの接続,人工心肺からの離脱

送血,脱血側を十分に脱気し,ポンプとの接続を行う.EXCORの場合,エア抜きのトロカーがついているので,メンブレンを一心拍ずつステップで行いながら,注意深くエアを抜き,徐々に回数を増やしてく.

人工心肺からの離脱を行う際にはメンブレンをよく観察し,ポンプが完全に充填,排出を行っていることを確認し,装置の設定,患者のボリュームの調整などを行っていく.CVPの上昇や,充填不良などの右心不全の徴候にも注意する.我々の施設では離脱時はルーチンに一酸化窒素を使用し,ICUで徐々に減量している.

5)三尖弁への介入

どの程度の三尖弁逆流が治療の対象となるかについて,コンセンサスはないが,我々の施設では,心筋生検に伴って,中等度の三尖弁逆流を呈していた症例に対して,EXCOR装着時に,同時に三尖弁形成を行った経験がある.LVAD装着後は,左心は補助されるが,右心の機能低下は中長期的に問題となるため,中等度以上の三尖弁逆流があり,形成が可能であれば,形成を行うほうが望ましいと考えている.

術後管理

1)抗凝固・抗血栓療法

術後ヘパリンの開始が早すぎると,再出血を来すことがある.特に,上行大動脈のグラフト吻合部は通常の心臓手術に比べて圧が高くなるため,止血には注意が必要である.

止血が確認されていれば,ヘパリンの持続投与を100 u/kg/dayから開始し,徐々に200 u/kg/dayまで増量し,aPTTの目標は50秒以上とする.ただし,我々はヘパリンの過投与による出血傾向の増悪を防ぐために,aPTTが目標値まで達しない場合もヘパリンの最大量は400 u/kg/dayまでとしている.経口,または経管栄養が開始できれば,ワーファリンを開始し,INR 3前後を目標とする.また,アスピリン1 mg/kg/day,ジピリダモール4 mg/kg/dayを開始する.

ポンプ血栓のチェックは4時間ごとに行う.

血栓の好発部位はポリウレタンの弁の付着部,カニューラとポンプの接続部などの血液の流れの変化する箇所である.白色の小さな安定した血栓の場合はポンプ交換の必要はないが,赤色の血栓,あるいは浮遊血栓の場合は交換を考慮する.Fig. 5はポンプの送血側にできた赤色血栓である.

Pediatric Cardiology and Cardiac Surgery 39(3): 161-168 (2023)

Fig. 5 ポンプへの血栓の付着

2)右心不全

本邦での経験からはBiVADが必要となることは稀であるが,術後の右心不全には十分な注意を払う必要がある.ポンプの充填不良がある場合は,ボリューム不足だけではなく,右心不全も考え,一酸化窒素の投与,カテコラミンの使用によって右心を補助することも考慮する.

また,周術期だけでなく,術後長期にわたって,次第に右心不全が顕在化することもあり,定期的なエコーや胸部X線などを行って心機能の評価を行う必要がある.VADを装着すると体重がキャッチアップしてきてVADの拍出回数などを増やしてアウトプットを増加させていく必要があるが,右心不全のために体重の増加不良が起こることがあり,必要に応じて利尿剤の増量などを行う.

3)感染

欧米での報告でもカニューレ周囲の感染は3分の2程度の症例で認められ11),我々の施設では15例中5例にカニューレ周囲の感染を認めている.特に,長期にわたって装着している場合,患者の活動度が上がるに伴ってカニューレの動きに伴ってカニューレ周囲の皮膚との間に肉芽の形成が認められ,これに感染することが多い.局所の消毒などでコントロールできることもあるが,周囲の皮膚に感染が及ぶ場合などは,抗生物質の投与を検討する必要がある.

4)臨床成績

Hetzerらは23年にわたるEXCOR Pediatric122例の成績を報告している12).平均年齢は8.6歳(生後3日~17歳)で,35人が1歳未満であった.疾患の内訳は,心筋症(56名),劇症型心筋炎(17名),先天性心疾患(18名),心臓手術後(28名),心臓移植後心不全(3名)などである.平均装着期間は63.6日(1~841日)で,56名(45.9%)が心臓移植に到達し,46名(35.2%)が装着中に死亡している.主要な合併症としては,カニューラ周囲の感染(67%),術後早期の肺炎(23%),脳梗塞(22%),脳出血(37%)があった.

米国においては2007年から2009年にかけて体表面積<0.7 m2(コホート1)と0.7k~1.5 m2(コホート2)を設けた単群前向き臨床試験が行われ(各24例),2011年12月にFDAの承認を受けた.両群ともに拡張型心筋症がもっとも多く,ついで先天性心疾患であった.年齢・体格の中央値は,コホート1で11.7か月・9.2 kg,コホート2で111.2か月・30.7 kgであった.補助形式はコホート1でLVAD/BiVAD 71%/29%,コホート2でLVAD/BiVAD 58%/42%であった.装着1年後の転帰はコホート1で心臓移植88%,離脱生存4%,補助中死亡8%,コホート2では,心臓移植88%,離脱生存4%,補助中死亡8%であった13).これにより,心臓移植を前提とした待機デバイスとして,EXCORのECMOに対する優位性が示された.

FDAの承認以降,米国におけるEXCORの装着数は増加した.それに伴って,臨床試験のコホートよりも術前状態の悪い患者が増えたため,成績の悪化も危惧されたが,承認後から2015年4月までの成績をまとめたJaquissらの報告14)では,承認後,EXCORを装着された患者は臨床試験の患者よりも体格の小さい傾向にあり(10.7 kg vs 14.8 kg,p=0.02),有意差はないものの装着期間も長い傾向にあった(55日vs 38日,p=0.06).出血や神経学的合併症の発生率に差はなかった.心臓移植または離脱への到達率は承認後で76.9%,臨床試験で89.6%と,承認後の方が若干低い傾向にあったが,患者の体格,リスクなどの背景を考慮すると十分に満足できる成績であったとしている.

ConwayらはEXCORを装着症例のうち体重10 kg未満の患者について分析を行った15).患者総数は97人で年齢の中央値は6.2か月,体重の中央値は6.2 kg,サポート期間の中央値は26日であった.このうち死亡は37例(38.1%)であり,同時期に行われた10 kg以上の患者に比べ有意に悪い成績であった.この原因としては,先天性心疾患の割合が多いことなど考えられた.

先天性心疾患に対する補助人工心臓(VAD)

2022年現在,日本における心臓移植待機患者のうち,先天性心疾患患者は約4%である(日本心臓移植研究会・心臓移植レジストリ).一方,米国では現在,約10%が先天性心疾患であり(United Network for Organ Sharing(UNOS)registry data),日本でも今後先天性心疾患に対する移植待機数が増加する可能性は高い.

Bryantらの報告によると16),2006年から2015年に米国で移植を受けた患者21865人のうち,先天性心疾患患者は1,871人(8.6%)であった.そのうち,1,348人(72%)が18歳未満で,VAD装着中は143人(7.6%)であった.移植時,VAD装着患者はVAD非装着患者と比較して,1年生存率(84%対87%)と5年生存率(72%対75%)は同等であり(p=0.694),また,非先天性心疾患患者と比べても生存率は同等であった.このため,VADのサポートは,管理が比較的困難な先天性心疾患患者コホートにおける移植後の予後を改善する可能性があるとしている.

米国においては,まだ先天性心疾患患者におけるVAD装着患者の割合は少ないが,日本における現状では,ほとんどの患者が移植到達する前になんらかの補助人工心臓を装着しており,これは先天性心疾患についても変わらないものと思われる.しかしながら,先天性心疾患に対する補助人工心臓の装着には拡張型心筋症などの正常解剖心と異なった困難な点が多くある.

先天性心疾患の場合,主に問題となるのは1)体心室右室(修正大血管転位,あるいは心房スイッチ手術後の完全大血管転位),ならびに2)単心室(フォンタン手術後など)である.いずれの場合も,解剖学的な位置関係だけでなく,さまざまな残存病変(残存シャント,側副血行路,フェネストレーション,左室肺動脈導管狭窄,房室弁逆流など)を有することがあり,どの病変を治療すべきか,どの病変は放置すべきかなどの決定が難しい.また,これらに伴って,VADの適切な導入時期の決定も困難なことが多い.

体心室右室に対するVAD

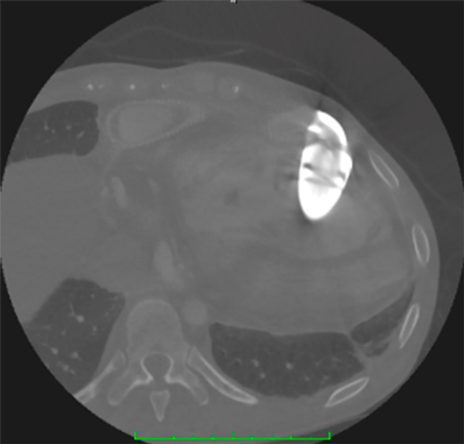
心房スイッチ術後の完全大血管転位,生理学的修復術後の修正大血管転位などでは体心室が右室となる.通常の左室心尖部と異なり,右室は前面にあるため,脱血管の挿入には注意が必要である.我々の経験では心房スイッチ術後の完全大血管転位の患者にJarvik2000を装着した症例で,脱血管が心室中隔に向かってしまった例がある(Fig. 6).本症例では,最終的にEVAHEART2のtipless cannulaを用いてコンバートを行い17),移植へ到達した.また,右室は左室に比べて疎な肉柱が発達しているため,脱血管の閉塞を防ぐために十分に肉柱の切除を行うことが重要となる.修正大血管転位の患者に対してVADを装着したものとしては,HVADを装着した症例18, 19),Jarvik2000を装着した症例20)などが報告されている.

Pediatric Cardiology and Cardiac Surgery 39(3): 161-168 (2023)

Fig. 6 心房スイッチ手術後の完全大血管転位の患者の右室に対してJarvik2000が挿入されているが,中隔方向へ向かっており,脱血不良を来している.

単心室に対するVAD

近年,心不全を有するフォンタン患者の数は増加している.それとともに,フォンタン循環の患者に対するVAD装着の報告も増加しており21),Villaらによると,2020年までに報告された34例のうち,23例が移植まで到達している.34例中最も多いのはEXCORであるが(10例),2020年にはHeartMate3による植え込み例が報告されており22),比較的体格の大きな患者に対しては植込み型VADによるフォンタン循環の補助も現実的となっている.日本においては,移植への待機期間が成人では5年以上となっており,先天性心疾患に対するVADも植込み型によるVADを考慮すべき症例が今後増加すると考えられる.

利益相反

本稿について,開示すべき利益相反はありません.

引用文献References

1) 佐治 勉:小児期急性・劇症心筋炎の診断と治療の指針.日小児循環器会誌2006; 22: 80–89

2) Ammirati E, Veronese G, Cipriani M, et al: Acute and fulminant myocarditis: A pragmatic clinical approach to diagnosis and treatment. Curr Cardiol Rep 2018; 114: 20

3) Schubert S, Opgen-Rhein B, Boehne M, et al: MYKKE consortium: Severe heart failure and the need for mechanical circulatory support and heart transplantation in pediatric patients with myocarditis: Results from the prospective multicenter registry “MYKKE.” Pediatr Transplant 2019; 23: 1–10

4) Teele SA, Allan CK, Laussen PC, et al: Management and outcomes in pediatric patients presenting with acute fulminant myocarditis. J Pediatr 2011; 158: 638–643.e1

5) Veronese G, Ammirati E, Cipriani M, et al: Fulminant myocarditis: Characteristics, treatment, and outcomes. Anatol J Cardiol 2018; 19: 279–286

6) Mascio CE, Austin EH 3rd, Jacobs JP, et al: Perioperative mechanical circulatory support in children: An analysis of the society of thoracic surgeons congenital heart surgery database. J Thorac Cardiovasc Surg 2014; 147: 658–665, discussion, 664–665

7) Sasaki T, Asou T, Takeda Y, et al: Extracorporeal life support after cardiac surgery in children: Outcomes from a single institution. Artif Organs 2014; 38: 34–40

8) Lorusso R, Raffa GM, Kowalewski M, et al: Structured review of post-cardiotomy extracorporeal membrane oxygenation: Part 2—pediatric patients. J Heart Lung Transplant 2019; 38: 1144–1161

9) Wehman B, Stafford KA, Bittle GJ, et al: Modern outcomes of mechanical circulatory support as a bridge to pediatric heart transplantation. Ann Thorac Surg 2016; 101: 2321–2327

10) Allan CK, Thiagarajan RR, del Nido PJ, et al: Indication for initiation of mechanical circulatory support impacts survival of infants with shunted single-ventricle circulation supported with extracorporeal membrane oxygenation. J Thorac Cardiovasc Surg 2007; 133: 660–667

11) Nguyen K: A technique for implanting outflow cannulas for Berlin Heart EXCOR ventricular assist device in small pediatric patients. J Thorac Cardiovasc Surg 2011; 142: 223–224

12) Hetzer R, Kaufmann F, Maria E, et al: Paediatric mechanical circulatory support with Berlin Heart EXCOR: Development and outcome of a 23-year experience. Eur J Cardiothorac Surg 2016; 50: 203–210

13) Fraser CD Jr., Jaquiss RDB, Rosenthal DN, et al: Berlin Heart Study Investigators: Prospective trial of a pediatric ventricular assist device. N Engl J Med 2012; 367: 532–541

14) Jaquiss RDB, Humpl T, Canter CE, et al: Postapproval outcomes: The Berlin Heart EXCOR Pediatric in North America. ASAIO J 2017; 63: 193–197

15) Conway J, Louis JS, Morales DLS, et al: Delineating survival outcomes in children <10 kg bridged to transplant or recovery with the berlin heart EXCOR ventricular assist device. JACC Heart Fail 2015; 3: 70–77

16) Bryant R 3rd, Rizwan R, Villa CR, et al: Transplant outcomes for congenital heart disease patients bridged with a ventricular assist device. Ann Thorac Surg 2018; 106: 588–594

17) Furukawa S, Kinoshita O, Ando M, et al: EVAHEART 2 with double cuff tipless inflow cannula is suitable for long-term support atrial switch operation in transposition of great arteries. J Artif Organs 2023; 26: 2–5

18) Huang J, Slaughter MS: HeartWare ventricular assist device placement in a patient with congenitally corrected transposition of the great arteries. J Thorac Cardiovasc Surg 2013; 145: e23–e25

19) Stepanenko A, Potapov EV, Hetzer R: Mechanical circulatory support in a patient with congenitally corrected transposition of the great arteries. J Thorac Cardiovasc Surg 2013; 146: 243

20) Toyama H, Takei Y, Saito K, et al: Ventricular assist device implantation in a patient with severe systemic right ventricular failure and pulmonary hypertension secondary to congenitally corrected transposition of great arteries. J Cardiothorac Vasc Anesth 2018; 32: 436–440

21) Villa CR, Alsaied T, Morales DLS: Ventricular assist device therapy and Fontan: A story of supply and demand. Semin Thorac Cardiovasc Surg Pediatr Card Surg Annu 2020; 23: 62–68

22) O’Connor MJ, Lorts A, Davies RR, et al: Early experience with the HeartMate 3 continuous-flow ventricular assist device in pediatric patients and patients with congenital heart disease: A multicenter registry analysis. J Heart Lung Transplant 2020; 39: 573–579

This page was created on 2023-12-08T11:35:14.977+09:00
This page was last modified on 2023-12-25T10:28:56.000+09:00


このサイトは(株)国際文献社によって運用されています。