Online ISSN: 2187-2988 Print ISSN: 0911-1794
特定非営利活動法人日本小児循環器学会 Japanese Society of Pediatric Cardiology and Cardiac Surgery
Pediatric Cardiology and Cardiac Surgery 39(4): 209-216 (2023)
doi:10.9794/jspccs.39.209

ReviewReview

右室肺動脈カップリングRight Ventricle–Pulmonary Artery Coupling

東邦大学医療センター大森病院 小児科Department of Pediatrics, Toho University Omori Medical Center ◇ Tokyo, Japan

発行日:2023年12月31日Published: December 31, 2023
HTMLPDFEPUB3

肺動脈性肺高血圧症においては,肺動脈の攣縮やリモデリングに伴う右心室の後負荷上昇による右室機能不全が主要な死亡原因である.肺高血圧治療の主軸は肺血管拡張薬であり,右心室をターゲットにしたものではない.このため,右室機能の評価が肺高血圧の治療効果判定において重要な位置付けと考えられる.右心室は左心室の心筋線維の走行や形態とは異なり,コンプライアンスは高く容量負荷に対して耐えられるが圧負荷に対しては脆弱である.右心室は肺高血圧による圧負荷に対し心筋壁を肥厚させることで代償するが,進行すると代償機構が崩れ血行動態は破綻することになる.これに加え,重症の三尖弁逆流が容量負荷を来し右室の駆出力を低下させ,心拍出量をさらに低下させる悪循環に陥る.このように,右室の収縮能と肺動脈圧の後負荷は互いに関連をしており,この関係性を右室肺動脈カップリングと呼ぶ.本稿では,肺動脈性肺高血圧症における右室肺動脈カップリングについて概説する.

The normal pulmonary vascular bed is a low-pressure, low-resistance, and high-compliance system. In healthy participants, favorable right ventricle (RV)-to-pulmonary artery (PA) coupling matches RV contractility and RV afterload. RV dysfunction is the most significant predictor of poor prognosis in patients with pulmonary arterial hypertension (PAH). The gold standard for evaluating RV–PA coupling is right heart catheterization, which acquires pressure and volume. Pressure–volume loop-derived end-systolic elastance (Ees) and end-systolic arterial elastance (Ea). RV–PA coupling is the Ees/Es ratio, and a decreased Ees/Ea ratio is a powerful factor in RV dysfunction. The tricuspid annular plane systolic excursion (TAPSE) and estimated systolic pulmonary artery pressure (SPAP) combination has been proposed as a significant prognostic factor in PAH, and the TAPSE/SPAP ratio is a noninvasive index of RV–PA coupling. In compensated states, the RV contractile increases when the afterload increases. In contrast, in decompensated states, the RV contractile function no longer increases when the afterload increases, thereby resulting in lower RV–PA coupling ratios. In patients with severe PAH, early and accurate RV–PA coupling evaluation is essential for clinical decision making.

Key words: pulmonary arterial hypertension; RV–PA coupling; TAPSE; elastance; RV dysfunction

右心室の解剖学的特性と肺高血圧

右心室は解剖学的には3つの部位から構成され,流入部(三尖弁),心尖部,流出路(漏斗部)に分かれている.左心室に比して壁厚は薄く,コンプライアンスが高い特徴がある.健常者においては後負荷が低いことで右心室からの拍出が維持されているため,肺高血圧症のような圧負荷には弱く血行動態が破綻しやすい.特に小児の肺高血圧では,運動などによる急激な肺動脈圧の上昇に対し,右心室の代償性機転が働かずに心拍出量の低下を招き失神を来しやすい.これに加え,重症の肺高血圧患者では低拍出量症候群や拡張した肺動脈による冠状動脈の圧排が生じることで,右心室の虚血が生じるため右心機能低下に拍車がかかることになる1).また,右心室は心室中隔を介して左心室と相互作用が働いており,特に重症例では両心室の収縮の時相にズレが生じるdyssynchronyを認め,拡張相でもコンプライアンスを低下させる2).このようなに肺高血圧症では,様々な要因によって右心室は影響を受けており機能低下を来しやすい.

肺高血圧における右心不全

病初期は右心不全に伴う体鬱血が主体であるが,右室機能の低下が進行すると左心系からの拍出量も減少することになり最終的に死亡する.しかし実際には同程度の肺動脈圧であっても右心不全の進行に関しては様々であり,肺血管拡張薬によって右室機能が改善する症例がある一方で,徐々に悪化を示す症例も経験する.重症例でも肺血管拡張薬による後負荷の減少によって劇的に右室機能が回復することから,右室収縮能の低下は可逆的であることが示唆される.一方で右房圧,右室拡張末期圧の上昇を伴う右心不全を呈する症例では予後不良であり,右室心筋の繊維化などの不可逆的な変化が生じている可能性がある.このように肺高血圧症例においては肺動脈圧のモニタリングだけではなく,右室機能が維持されているかを経時的に評価することが重要になる.

右室肺動脈カップリングとは

心拍出量は心仕事量だけで決定されず,後負荷としての大血管の要素を組み入れて評価する必要がある.心室動脈カップリングとは,心臓と血管系の制御の組み合わせを観察したもので,より少ない心仕事量で十分な心拍出量を得るために自動調整されている.左心室大動脈との関連と同様に,肺動脈性肺高血圧症では右室肺動脈カップリングが重要になる.肺動脈性肺高血圧症においては,肺動脈のリモデリングや攣縮によって圧負荷が右室仕事量を増加させるが,右室壁は肥厚させることで対応し,代償性に収縮性を増加させて拍出量を維持させる.この代償はadaptive remodelingと呼ばれ,右心室は拡大をせずconcentric hypertrophyを示し,右室駆出率は正常に近い状態で保たれる.肺高血圧患者は無症状か極軽度の労作時息切れだけであることが多く,学校検診などの心電図異常を契機に診断されることが多い.この時期は,まだ右室肺動脈カップリングが成立している状態といえる.しかし高い肺動脈圧が持続すると,この後負荷に対し安静時には代償されるが,運動時などには十分な心拍出量を維持することができなくなるため失神を認めることがある.適切な診断がなされれば,より進行した右室機能低下を呈する前に治療が開始できるが,多くの場合には肺高血圧の診断に至らず右心不全が増悪していくことになる.さらに進行すると,右室収縮能は低下しその内腔は拡大していく.その結果1回拍出量は減少し,これを代償するために心拍数を増加することになる.この状態を右室肺動脈アンカップリングと呼び,徐々に血行動態の破綻を来し全身の浮腫と安静時においても息切れを認めるようになる.

肺動脈性肺高血圧患者における右心不全の進行は,後負荷が上昇することだけでは説明することはできない.肺動脈絞扼術を行った動物モデルにおいて,後負荷増加に伴い右室肥大が生じ右室収縮能の上昇が認められるが,右心不全が進行するわけではない.一方でVEGF受容体拮抗薬や低酸素暴露による肺高血圧モデルでは,同程度の後負荷に対して肺動脈絞扼術のモデルよりも,右室繊維化が強く心室の拡大や収縮能の低下が顕著であった3, 4).肺動脈性肺高血圧症における右心不全の進行においては,酸化ストレスやミトコンドリア機能異常など様々な因子が関与することが報告されており,単純な肺動脈圧の上昇に伴うものではなく様々な要因が関与した右室機能の破綻である(Fig. 15)

Pediatric Cardiology and Cardiac Surgery 39(4): 209-216 (2023)

Fig. 1 Multifactorial causes of impaired right ventricular function

RAAS, renin-angiotensin-aldosterone system; RV, right ventricle.

心エコーでみる右室肺動脈カップリング

肺動脈性肺高血圧患者では,より進行した状態に至るまでは臨床症状に欠けるが,心エコーでは右室機能低下の所見が確認されることがある.右室肺動脈カップリングが維持されている場合,肺動脈圧が高い場合であっても右室内腔の拡大は極軽度であり下大静脈の呼吸性変動も認められ,三尖弁輪径は概ね正常である.進行すると徐々に右室肥大による代償性変化で対応することができなくなり,その結果maladaptive remodelingによって右室の内腔は拡大しeccentric hypertrophyを示す.この右心室の拡大によって三尖弁輪も拡大し三尖弁逆流を認めるようになり,さらに右室内腔の拡大が助長されて右室肺動脈アンカップリングの状態になる(Fig. 2a, b, c).また拡張期においても心嚢液貯留が認められる場合には,アンカップリングを示唆する重要な所見の1つである.肺動脈収縮期圧を評価する際に用いられる三尖弁逆流圧較差において,Doppler波形の描出が不十分である場合には過小評価になることが多いことや,右心機能が低下している症例では弁逆流が過小評価されることがあることに留意すべきである.

Pediatric Cardiology and Cardiac Surgery 39(4): 209-216 (2023)

Fig. 2 Echocardiographic findings in patients with severe PAH

a) Parasternal short-axis view of the right ventricle and the left ventricle in children with severe pulmonary arterial hypertension. The left ventricle appears enlargement of right ventricle cavity and the interventricular septum curves into the left ventricle. b) Enlargement of right atrium and ventricle in severe pulmonary arterial hypertension from a 4-chamber view. c) A 4-chamber view shows severe tricuspid regurgitation with dilatation of right atrium.

右室肺動脈カップリングの指標

肺動脈性肺高血圧患者では,右心不全の進行による心拍出量の低下から最終的に死亡する.右心機能低下による心不全の状態把握だけであれば,右室収縮能の評価だけで十分であり,それ単独でも予後の推定も可能である.しかし,右室収縮力が不変であっても,後負荷である肺動脈圧に依存して心仕事量が変化するため,後負荷の変化に対して右室からの拍出量を維持できているかを評価することが重要となる.この常に変化する複雑な心室–動脈間の循環動態において十分な心仕事量を効率的に行えているかを観察できる右室肺動脈カップリングはより重要な概念である.肺高血圧患者における治療を右室肺動脈カップリングの観点から考えると,右室収縮能または肺動脈圧を改善させる戦略が考えられる.現在主軸となっている肺血管標的治療薬は,後負荷となる肺動脈拡張を目的としたものであり,今後は右室機能不全に対する治療戦略が望まれる.

1)Ees/Ea

右室収縮能の指標としての収縮末期エラタンス(Ees: end-systolic elastance)と肺動脈エラスタンス(Ea: effective arterial elastance)の比は,肺高血圧における右心機能評価の重要な指標の1つである.この指標を正確に知るためには,心臓カテーテル検査における下大静脈部分閉塞やバルサルバ法などによる前負荷の変化よって収縮末期圧容積関係を描くことで求められる(Fig. 3a).エラスタンスとは弾性のことで,コンプライアンスの逆数であり縮まろうとする力である.心室の弾性は拡張期から収縮期に向けて連続的に増加し,収縮末期に最大値(Ees)を示す.つまりEesとは心室の収縮性の指標である.このEesは駆出率に比較して前負荷や後負荷の影響を受けにくく,負荷非依存性に収縮能を反映することができる.一方,Eaである動脈実効エラスタンスは,血管のコンプライアンスと抵抗の両方を反映した後負荷の指標である.正常の右心室はEes/Ea比は1.0以上を維持できており,最小限のエネルギーで1回拍出量を維持できる場合は1.5から2.0になる(Fig. 3b6).肺高血圧の患者では後負荷の上昇によりEaが増大するため,右心室は壁厚を肥大させEesを上昇させることで代償を試みる.この状態では右室肺動脈カップリングは維持されている.しかし,肺高血圧の進行による後負荷の上昇が持続かつ増悪すると,右心室の収縮力が維持することができず破綻してEes/Ea比は低下し,0.8未満の症例がアンカップリングの状態とされる(Fig. 3c7).実際には0.8を下回る時期においても右心不全症状が臨床的には観察されず,運動時の急激な後負荷の上昇に伴い心拍出量を維持できず失神を認める.右室肺動脈アンカップリングの状態を早期に発見できる点において,この概念は重要といえる.

Pediatric Cardiology and Cardiac Surgery 39(4): 209-216 (2023)

Fig. 3 The pressure–volume loop analysis for assessment of ventriculo–arterial coupling

a) Normal ratio of ventricular elastance to arterial elastance in healthy subjects. b) The pressure–volume loop analysis for PAH patients with preserved Ees/Ea. c) The pressure–volume loop analysis for patients with impaired Ees/Ea. The stroke volume is decreased with right ventricle maladaptation. d) The pressure–volume loop in response to change in preload. The pressure–volume loop alters with independent effects of preload. e) The pressure–volume loop for patients with inappropriate dose of catecholamine or pulmonary vasodilators. f) The pressure–volume loop for patients with appropriate dose of catecholamine or pulmonary vasodilators. Ea, effective arterial elastance; Ees, end-systolic elastance; PAH, pulmonary arterial hypertension.

2)TAPSE/SPAP比

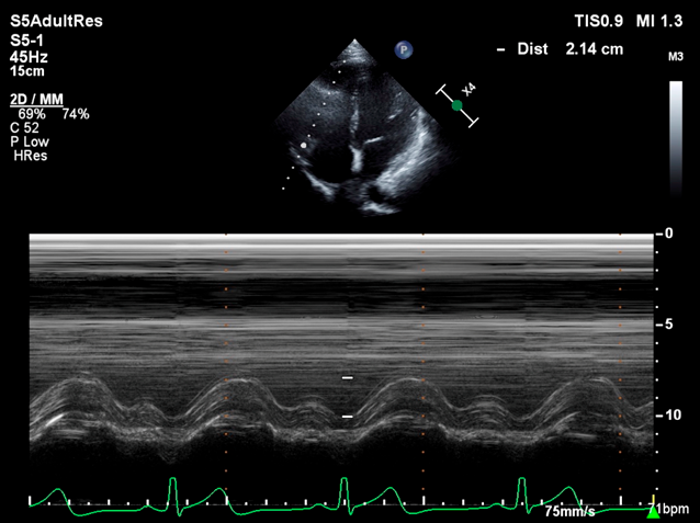
非侵襲的な右室肺動脈カップリングの評価方法としてTAPSE/SPAP比があり,心エコーで評価することができるため簡易的な指標である.TAPSE(tricuspid annular plane systolic excursion)とは三尖弁輪収縮期移動距離であり,右心室の長軸方向の収縮能を評価する方法で,心尖部四腔断面からM-mode法で測定が可能である(Fig. 4).右室収縮機能障害を示唆するCut-off値は,15 mmから17 mmまで様々な報告がある8–10).弁輪のみの動きであるため角度依存性であり右室全体の機能を反映できない点や,前負荷に影響されやすい点など限界がある指標である.しかし簡便な計測方法であり,再現性のよいことから臨床的には有用な指標といえる.後負荷の指標である収縮期肺動脈圧(SPAP: systolic pulmonary artery pressure)の推定には,前述したように三尖弁逆流最大血流速度から簡易ベルヌーイ式から算出され,右房圧加える右室収縮期圧を求める.右房圧は下大静脈の呼吸性変動を用いて推定されるが,実際には一律5 mmHgまたは10 mmHgとして算出されていることも多い11)

Pediatric Cardiology and Cardiac Surgery 39(4): 209-216 (2023)

Fig. 4 Determination of the tricuspid annular plane systolic excursion in preserved right ventricle function with severe pulmonary arterial hypertension using M-mode in apical four-chamber view

TAPSE/SPAP比の肺動脈性肺高血圧症例への有用性は,2018年にTelloらによって報告された12).特発性,遺伝性肺動脈性肺高血圧および慢性血栓塞栓性肺高血圧などの症例を対象とし,Cut-off値0.31 mm/mmHg未満の症例はアンカップリングと評価した.TAPSE/SPAP比は侵襲的評価であるEes/Ea比とも高い相関を示しており,独立した死亡のリスク因子であった.その後,左心不全による肺高血圧症例や大動脈弁および三尖弁置換術後など様々な症例においてその有用性が報告されている13–17).TAPSE/SPAP比は年齢によっても正常域が変化し,健常者での検討では若年者ほど高値を示し,運動時では低下することが示されている18).SPAP値は右心機能の不良の症例では,三尖弁逆流のDopplerでの描出が不十分になるために過小評価となる可能性があり,心臓カテーテルによるSPAPを用いたhybrid TAPSE/SPAP比のほうが正確な評価になる.このhybridアプローチでは,TASPE/PVR(肺血管抵抗値)比による右室肺動脈カップリングの評価方法も報告されている19)

3)右室肺動脈カップリングのその他の指標

TAPSE/SPAP比以外の評価法おいて,様々な右室収縮能の簡易的な指標が用いられている(Table 1).RVEF(右室駆出率right ventricular ejection fraction)/SPAP比は,3DエコーによるEFの測定を行った指標である20).RVEFの正常値は50%前後であり,正常下限は40%とされている.しかし右心室の解剖学的な特徴から,左心室と同じように評価することが難しいことが多い.RV FAC(右室内腔面積変化率right ventricular area change)/平均肺動脈圧比は,比較的簡便に評価しやすい方法である21).RV FACは心尖部四腔象における右室収縮末期面積と右室拡張末期面積を用い,(拡張末期面積−収縮末期面積)/拡張末期面積×100で算出され35%以下が右室収縮能低下とされている.三尖弁輪におけるs′(収縮期最大移動速度)/RVESA index(右室収縮期末期面積係数)も有用な指標として報告されている22).s′は組織Dopplerによって測定され,四腔断面像における自由壁側の三尖弁輪収縮期最大移動速度であり,10 cm/s以下の場合に右室収縮能低下と判断される.そのほかにも,スペックルトラッキング法を用いた右室長軸方向の平均値であるglobal longitudinal strainや自由壁のstrainの測定値を肺動脈収縮期圧で割った値を用いた指標も報告されている23).これらのいずれの指標においても予後予測に有用であり,右室肺動脈カップリングが右心不全の進行において重要な位置付けであることがわかる.

Table 1 Estimated parameters of right ventricular-
pulmonary artery coupling
ParametersUncoupling
TAPSE/SPAP<0.31
RVEF/SPAP>1.58
s’/RVESAi<10 cm/s
Global RV longitudinal strain/SPAP<0.36
RV free wall strain/SPAP<0.66
EF, ejection fraction; RV, right ventricle; RVESAi, right ventricular end-systolic area index; SPAP, systolic pulmonary artery pressure; TAPSE, tricuspid annular plane systolic excursion.

小児の肺動脈性肺高血圧症における右室肺動脈カップリング

小児の特発性および遺伝性肺動脈性肺高血圧症患者においては,肺血管攣縮による肺動脈圧の急激な上昇から失神を認めることが多いが,右心室の不可逆な機能不全を呈することは稀である24).診断時にNYHA機能分類IV度であった症例でも,積極的な肺血管拡張薬治療によって後負荷が減少すると右心機能の改善を認めることは比較的多く経験される.一方で,鎮静下で行われる心臓カテーテル検査時には低い肺動脈圧であるにもかかわらず,覚醒時に急激な上昇を認める症例も多く,小児における後負荷の評価は必ずしも容易ではない.また成人症例に比して,高い肺動脈圧であるにもかかわらず低い右房圧であることが多く,右室機能は比較的維持されることがわかる25).このような血行動態の特徴から,重症度のリスク分類において成人の分類とは異なり右房圧は除外されている26).このように小児では後負荷に上昇に対し右室肺動脈カップリングが維持されやすく,TAPSE/SPAP比などの指標におけるCut-off値は成人とは異なる可能性があり今後は小児例での検討が必要である.一方で,活動性が高い小児の肺高血圧患者で右室肺動脈アンカップリングの状態である場合では,啼泣や運動などにより成人よりも急激な悪化から血行動態の破綻を来すリスクがある.そのため小児の重症例では,より積極的な肺血管拡張薬や心不全治療の介入が必要である.先天性心疾患における右室肺動脈カップリング評価ではファロー四徴症の報告があるが,肺高血圧を伴う先天性心疾患における評価はほとんどない27, 28).特に予後が不良とされる術後遠隔期に肺高血圧を示す症例や小さな欠損孔を伴う肺高血圧症例における右室肺動脈カップリング評価は予後予測において重要であると考えられる.

右室肺動脈カップリングに基づいた肺高血圧患者管理

肺動脈性肺高血圧患者の右室肺動脈カップリングに基づいた循環管理を行うことは,特に重症例の治療において非常に重要な点といえる.Eesを上昇させEaを低下させることで右室肺動脈カップリングを最適化できるが,左心系と異なり肺循環が関わる右心不全は単純な循環管理では改善が得られないばかりか悪化を招くことがある.肺高血圧患者では高い後負荷のため,過度の利尿剤使用によって前負荷が減少すると1回拍出量低下することとなる(Fig. 3d).カテコラミンを増量することで右室収縮性を増加,つまりEesを上昇させても,右室に圧排された左室が十分な拍出ができずに頻脈になり,さらに血管抵抗が上昇することで悪循環に陥る.また肺血管拡張薬の急激な増量によって右室後負荷の減少,つまりEaの低下を試みると,体血管抵抗も低下することによって体血圧も低下してしまうリスクがある(Fig. 3e).肺動脈性肺高血圧症においてEes/Ea比を適正な値にするためには,過度のカテコラミンは避け,肺血管拡張薬を慎重に増量し,ある程度の前負荷によって中心静脈圧を下げすぎないように管理することが重要である(Fig. 3f).

最後に

右室肺動脈カップリングは,肺動脈性肺高血圧症だけでなく様々な心血管系疾患における後負荷に対する右室機能の評価に用いられ,予後予測に重要な指標と考えられる.侵襲的な評価に比して,外来診療でも簡便に推定ができる心エコーを用いた手法は日常診療において有用性が高いが,血行動態の推定評価法であるため心臓カテーテル検査に代わるものではない.小児においては右室機能が急激に悪化する一方で,治療が奏功すれば可逆性が高いため適切な治療戦略を立てるうえで右室肺動脈カップリングに注目した評価を行うことが推奨される.

利益相反

本稿に関する利益相反はありません.

引用文献References

1) Galiè N, Saia F, Palazzini M, et al: Left main coronary artery compression in patients with pulmonary arterial hypertension and angina. J Am Coll Cardiol 2017; 69: 2808–2817

2) Marcus JT, Gan CT, Zwanenburg J, et al: Interventricular mechanical asynchrony in pulmonary arterial hypertension: Left-to-right delay in peak shortening is related to right ventricular overload and left ventricular underfilling. J Am Coll Cardiol 2008; 51: 750–757

3) Gaynor SL, Maniar HS, Bloch JB, et al: Right atrial and ventricular adaptation to chronic right ventricular pressure overload. Circulation 2005; 112 Suppl: I212–I218

4) Bogaard HJ, Natarajan R, Henderson SC, et al: Chronic pulmonary artery pressure elevation is insufficient to explain right heart failure. Circulation 2009; 120: 1951–1960

5) Prisco SZ, Thenappan T, Prins KW: Treatment targets for right ventricular dysfunction in pulmonary arterial hypertension. JACC Basic Transl Sci 2020; 5: 1244–1260

6) Lahm T, Douglas IS, Archer SL, et al: American Thoracic Society Assembly on Pulmonary Circulation: Assessment of right ventricular function in the research setting: Knowledge gaps and pathways forward: An official American Thoracic Society Research Statement. Am J Respir Crit Care Med 2018; 198: e15–e43

7) Tello K, Dalmer A, Axmann J, et al: Reserve of right ventricular-arterial coupling in the setting of chronic overload. Circ Heart Fail 2019; 12: e005512

8) Rudski LG, Lai WW, Afilalo J, et al: Guidelines for the echocardiographic assessment of the right heart in adults: A report from the American Society of Echocardiography endorsed by the European Association of Echocardiography, a registered branch of the European Society of Cardiology, and the Canadian Society of Echocardiography. J Am Soc Echocardiogr 2010; 23: 685–713, quiz, 786–788

9) Germing A, Gotzmann M, Rausse R, et al: Normal values for longitudinal function of the right ventricle in healthy women >70 years of age. Eur J Echocardiogr 2010; 11: 725–728

10) Koestenberger M, Ravekes W, Everett AD, et al: Right ventricular function in infants, children and adolescents: Reference values of the tricuspid annular plane systolic excursion (TAPSE) in 640 healthy patients and calculation of z score values. J Am Soc Echocardiogr 2009; 22: 715–719

11) Beigel R, Cercek B, Luo H, et al: Noninvasive evaluation of right atrial pressure. J Am Soc Echocardiogr 2013; 26: 1033–1042

12) Tello K, Wan J, Dalmer A, et al: Validation of the tricuspid annular plane systolic excursion/systolic pulmonary artery pressure ratio for the assessment of right ventricular-arterial coupling in severe pulmonary hypertension. Circ Cardiovasc Imaging 2019; 12: e009047

13) Karam N, Stolz L, Orban M, et al: Impact of right ventricular dysfunction on outcomes after transcatheter edge-to-edge repair for secondary mitral regurgitation. JACC Cardiovasc Imaging 2021; 14: 768–778

14) Fortuni F, Butcher SC, Dietz MF, et al: Right ventricular pulmonary arterial coupling in secondary tricuspid regurgitation. Am J Cardiol 2021; 148: 138–145

15) Tello K, Axmann J, Ghofrani HA, et al: Relevance of the TAPSE/PASP ratio in pulmonary arterial hypertension. Int J Cardiol 2018; 266: 229–235

16) Brener MI, Lurz P, Hausleiter J, et al: Right ventricular-pulmonary arterial coupling and afterload reserve in patients undergoing transcatheter tricuspid valve repair. J Am Coll Cardiol 2022; 79: 448–461

17) Eleid MF, Padang R, Pislaru SV, et al: Effect of transcatheter aortic valve replacement on right ventricular-pulmonary artery coupling. JACC Cardiovasc Interv 2019; 12: 2145–2154

18) Forton K, Motoji Y, Caravita S, et al: Exercise stress echocardiography of the pulmonary circulation and rightventricular-arterial coupling in healthy adolescents. Eur Heart J Cardiovasc Imaging 2021; 22: 688–694

19) Prins KW, Archer SL, Pritzker M, et al: Interleukin-6 is independently associated with right ventricular function in pulmonary arterial hypertension. J Heart Lung Transplant 2018; 37: 376–384

20) van de Veerdonk MC, Kind T, Marcus JT, et al: Progressive right ventricular dysfunction in patients with pulmonary arterial hypertension responding to therapy. J Am Coll Cardiol 2011; 58: 2511–2519

21) Siddiqui I, Rajagopal S, Brucker A, et al: Clinical and echo-cardiographic predictors of outcomes in patients with pulmonary hypertension. Am J Cardiol 2018; 122: 872–878

22) Boulate D, Amsallem M, Kuznetsova T, et al: Echocardiographic evaluations of right ventriculo-arterial coupling in experimental and clinical pulmonary hypertension. Physiol Rep 2019; 7: e14322

23) Iacoviello M, Monitillo F, Citarelli G, et al: Right ventriculo-arterial coupling assessed by two-dimensional strain: A new parameter of right ventricular function independently associated with prognosis in chronic heart failure patients. Int J Cardiol 2017; 241: 318–321

24) Takatsuki S, Yanai S, Ikehara S, et al: Clinical effects of syncope on disease severity and adverse outcomes in children with idiopathic and heritable pulmonary arterial hypertension. Pediatr Cardiol 2019; 1: 209–214

25) Takatsuki S, Shimokawahara H, Shimizu Y, et al: Clinical differences between children and adults with idiopathic and heritable pulmonary arterial hypertension. Cardiol Young 2023; 33: 1909–1912

26) Rosenzweig EB, Abman SH, Adatia I, et al: Paediatric pulmonary arterial hypertension: Updates on definition, classification, diagnostics and management. Eur Respir J 2019; 53: 1801916

27) Sandeep B, Huang X, Li Y, et al: Evaluation of right ventricle pulmonary artery coupling on right ventricularfunction in post operative tetralogy of Fallot patients underwent for pulmonaryvalve replacement. J Cardiothorac Surg 2020; 15: 241

28) Latus H, Binder W, Kerst G, et al: Right ventricular-pulmonary arterial coupling in patients after repair of tetralogy of Fallot. J Thorac Cardiovasc Surg 2013; 146: 1366–1372

This page was created on 2024-02-29T17:19:52.84+09:00
This page was last modified on 2024-04-02T20:40:32.000+09:00


このサイトは(株)国際文献社によって運用されています。