Online ISSN: 2187-2988 Print ISSN: 0911-1794
特定非営利活動法人日本小児循環器学会 Japanese Society of Pediatric Cardiology and Cardiac Surgery
Pediatric Cardiology and Cardiac Surgery 40(1): 9-16 (2024)
doi:10.9794/jspccs.40.9

ReviewReview

川崎病血管炎と遠隔期血管リモデリングを考えるAre Patients After Kawasaki Disease at Increased Risk for Accelerated Vascular Remodeling?

北里大学医学部小児科学Department of Pediatrics, Kitasato University School of Medicine ◇ Kanagawa, Japan

発行日:2024年2月29日Published: February 29, 2024
HTMLPDFEPUB3

川崎病は小児期に好発する急性全身性血管炎症候群であるが,冠動脈合併症以外の全身性血管炎の長期遠隔期の影響については不明な点が多い.はたして川崎病の既往は,将来的な動脈硬化など血管合併症のリスク因子になるのだろうか? 残念ながらこの問いに答えられる十分なエビデンスは存在しない.しかし筆者は,自身がこれまでに行ってきた血管と炎症に関する研究の経験をもとに,これまでに川崎病血管炎に関連して蓄積された研究成果の意義と研究手法の限界について検討し,次世代の研究者へ少しでも新たな視座を与えられるように願って解説を試みた.

Kawasaki disease is an acute systemic vasculitis syndrome that primarily affects childdren, but the long-term remote effects of systemic vasculitis beyond coronary complications are unknown. Is a history of Kawasaki disease a true risk factor for future vascular complications like atherosclerosis? Unfortunately, there is insufficient evidence to answer this question. However, based on my own experience in blood vessel and inflammation research, I attempted to review the significance of the research results findings to date on Kawasaki disease vasculitis, as well as the limitations of research methods, in the hope of providing new perspectives for the next generation of researchers.

Key words: Kawasaki disease; vasculitis; vascular remodeling; vascular stiffness; atherosclerosis

はじめに

1967年に日本赤十字中央病院(当時)の小児科医であった川崎富作が和文雑誌『アレルギー』に「四肢の特異的落屑を伴う小児の急性熱性皮膚粘膜淋巴腺症候群(自験例50例の臨床的観察)」を投稿してから半世紀以上が経った1).残念ながら2020年に95歳で鬼籍に入られたこの偉大な先達はもとより,その後に続いた多くの先人たちの献身的な努力によって,川崎病の疾患理解,治療方法などは長足の進歩を遂げ,多くの子どもたちが冠動脈合併症に悩むことなく退院していくようになった.新型コロナウイルス(SARS-CoV-2)感染によって川崎病類似症候群(MIS-C)の発症が報告される2)など我々に残された課題は多いが,本稿では特に,川崎病血管炎後の長期的な(動脈硬化性変化を含む)血管リモデリングに焦点を当てて考察する.(川崎病全般に関しての知識は日本川崎病学会による書籍『川崎病の基本』3)や『川崎病学』4)に詳しく網羅されており,急性期治療法,血管後遺症の治療に関してはそれぞれの最新ガイドライン5, 6)を参照されたい.)川崎病後の血管リモデリングに関してはすでに2022年に,川崎病全国調査を継続的に行っておられる自治医科大学のSekiらによる極めて充実した総説7)が発表されており,浅学の筆者にはそれに大幅に付け加える知識はない.本稿は関先生の寛大な御許可を得てこの総説を下敷きとし,それに私見を若干加えることにより次世代の若手医師および研究者への支援となるよう記載することに務めた.本稿で論じる筆者の唯一の臨床的疑問は,『本邦において川崎病罹患児の大部分は冠動脈合併症を起こさずに回復する.このような児の正常に見える全身血管が,遠隔期に動脈硬化を含む血管リモデリングを起こしやすいのか?』という点である.

川崎病血管炎の病理学的変化

川崎病は小児に好発する急性の全身性血管炎症候群である.侵襲される血管のサイズによるChapell Hill分類において川崎病はmedium-small arteryを炎症の場とするmedium vessel vasculitisとされている(Fig. 18).しかし剖検観察によれば,川崎病血管炎は大動脈や腸骨動脈などの大型弾性型血管から直径数100 µmの小型筋型動脈に至るまでの幅広い分布を示すとされる(Table 19–14).その血管炎の特徴には,①冠動脈をはじめとする中型筋型動脈に起こる ②一峰性の急性経過をとり,急性炎症像と陳旧期病変が混在することはない ③浸潤する細胞の主体は単球/マクロファージでありフィブリノイド壊死を見ることは極めてまれである,などの点があげられる.しかも興味深いことに,汎血管炎はいずれも実質臓器外動脈に限局し,実質臓器内の動脈に血管炎は生じない.冠動脈の場合,川崎病発症後6~8病日に内膜と動脈周囲の炎症細胞浸潤として始まり,第10病日ころ汎動脈炎に至り動脈全周の炎症となり動脈構築が著しく破壊され,その結果としての構造的脆弱性により動脈の遠心性の拡張が始まる.フィブリノイド壊死は観察されず免疫複合体の沈着も証明されない.高度の炎症細胞浸潤は第25病日ころまで継続した後に徐々に鎮静化して瘢痕治癒する(Fig. 215).しかしこれらの病理所見のうちの多くは前世紀,つまり大量ガンマグロブリン療法が普及する以前の限定された剖検症例から得られたものである点に注意が必要である.川崎病は現在では極めて予後が良好な疾患であり,これからの時代に急性期における全身血管炎の剖検所見を解析することは極めて困難と言わざるを得ない.

Pediatric Cardiology and Cardiac Surgery 40(1): 9-16 (2024)

Fig. 1 血管炎のChapel Hill分類

川崎病血管炎は中規模の血管が炎症の場となる“Medium vessel Vasculitis”に分類されている.(文献8より改変引用)

Table 1 川崎病血管炎の全身組織分布
Naoe10)Amano11, 12)Hamashima13)Landing14)
Aorta100%82%41%
Carotid a75%23%
Subclavian a71%67%
Celiac a79%63%
Iliac a100%93%
Pulmonary a59%71%50%32%
Coronary a95%100%95%100%
Renal a73%80%64%55%
Mesenteric a79%86%27%
Hepatic a76%44%23%
Intercostal a58%60%
Splenic a11%50%50%
GI tract10%18%
Paratrachea36%
Pancreas / peripancreas31%36%
Adrenal / periadrenal32%
Spermatic cord41%
Testis15%67%18%
Vagina9%
Uterus5%
Skeletal muscle27%
Meninges1%36%5%
文献9より改変引用.
Pediatric Cardiology and Cardiac Surgery 40(1): 9-16 (2024)

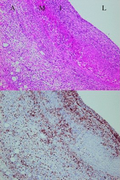
Fig. 2 川崎病急性期血管炎の病理組織.管腔側と外膜側の両方から炎症細胞が血管壁に侵入し汎血管炎に至る

発症後10日目,上段:HE染色,下段:anti-leukocyte common antigenによる免疫染色像.L: 血管腔,I: 内膜,M: 中膜,A: 外膜.(文献15より引用)

では一般的な「動脈硬化」はどのような病理変化を示すのか.成人における動脈硬化はRossの血管内皮障害仮説によって説明されている16).高血圧や高血糖などによって傷ついた血管内皮細胞のバリア機能が破綻し,障害部位に集まった単球/マクロファージが様々なサイトカインを分泌し,酸化LDLが蓄積した泡沫細胞が血管内膜に集簇することで粥腫(プラーク)が形成される.これが破れて破綻したときに血栓が形成され冠動脈閉塞を起こすことによって心筋虚血を発症するというものである(Fig. 3).この著名な総説の発表以降,血管の慢性炎症を引き起こす糖尿病・高血圧・高脂血症・肥満・喫煙といったいわゆる『生活習慣病』との全世界的な闘いの20年が始まったと言ってよい.しかし,これらの成人の粥状動脈硬化はあくまで長年にわたる血管の慢性炎症を背景としたものであって,川崎病のように一過性・急性・劇的に血管炎症を起こす病態とは明確に分けて考えるべきであろう.川崎病遠隔期に認められる動脈硬化は,おもに石灰化を伴った硝子化繊維組織を主体とする後炎症性動脈硬化である.高橋らは2001年に,川崎病冠動脈瘤の既往のある6例が遠隔期に突然死した剖検所見を報告している17).6例は15歳から39歳の川崎病罹患後遠隔期であり,冠動脈瘤を形成した血管内膜にはコレステロール結晶を含んだマクロファージの集簇などが観察されたものの,冠動脈瘤を形成していない部分については血管内腔の狭窄は認められず,マクロファージの集簇なども血管壁深部にごくわずか認められるのみであったと報告している.川崎病遠隔期の病理所見を解析したきわめて貴重な報告ではあるものの,残念ながら冠動脈以外の全身血管への言及はない.本論文からいえるのは,少なくとも若年成人までの期間においては,明らかな血管構造破壊を伴う瘤形成部分以外においては,いわゆる粥状動脈硬化が多発しているとは考えにくいのではないかということである.では血管構造異常を伴わない部分,見た目はほぼ正常といえる全身血管の異常を評価するにはどうしたらよいだろうか?

Pediatric Cardiology and Cardiac Surgery 40(1): 9-16 (2024)

Fig. 3 Rossによる動脈硬化病変の形成に関わる“血管内皮細胞障害仮説”

高血圧や高血糖などによって傷ついた血管内皮細胞のバリア機能が破綻し,障害部位に集まった単球/マクロファージが様々なサイトカインを分泌し,酸化LDLが蓄積した泡沫細胞が血管内膜に集簇することで粥腫(プラーク)が形成される.(文献16より改変引用)

血管機能の評価方法

「動脈硬化」という名前のとおり,大血管に動脈硬化性変化をきたすと血管が『硬く』なり,それが冠動脈の動脈硬化性病変および心筋梗塞の発症と関連していることはすでによく知られている18, 19).剖検から得られる病理組織像以外に,非侵襲的に血管の『硬さ』を評価する方法がいくつか知られている.しかし,Sekiらの総説7)でも述べられているようにこれらの方法論はおもに成人領域で確立されたものであり,それを川崎病罹患後の小児あるいは若年成人にそのまま当てはめてよいかは慎重に吟味する必要がある.

%FMD

血管内皮に血流増加によるずり応力が働くと,血管内皮はその強さに応じて血管平滑筋を弛緩させる物質を産生して血管を拡張させる.Rossの仮説においても動脈硬化病変形成のきっかけは血管内皮細胞障害であり,動脈硬化性変化の初期段階を鋭敏に反映するとされている20).具体的には前腕を5分間加圧した後の反応性充血による上腕動脈拡張の程度を超音波を用いて計測し,血管内皮機能障害のある患者ではこの拡張の程度が低下するとされている(正常値7%以上,4%未満は異常).川崎病罹患後の患者で%flow mediated vasodilatation(%FMD)を測定した報告は多くあり,そのメタアナリシスによれば21–23),冠動脈合併症をもつ患者では正常コントロールに比べて%FMDが有意に低下したとの報告が多い.しかし多くの調査は小児あるいは若年成人患者で行われており,その測定原理からもともとの血管系が細い場合には誤差が大きくなること,食事・安静・室温・情動などによる変動が大きく再現性に乏しいことなどを考慮すべきである.個別の論文を詳細に検討すると,例えば平均27歳の川崎病既往患者での%FMDを検討したNiboshiらの研究24)では,%FMDは川崎病群で10.4±2.6%,正常対象群で14.4±3.2%と報告されているが,上述のような正常値の範囲を考えると,この2群の測定値が本当に血管内皮機能異常を反映しているか,しかもそれが動脈硬化進展を予測しているかどうかは疑問と言わざるを得ない.

%NMD

同じ血管機能評価としても,血管内皮細胞ではなく,血管平滑筋の拡張作用を評価する方法もある.ニトログリセリン誘発性内皮非依存性血管拡張反応(nitroglycerin-mediated vasodilation: %NMD)は%FMDと組み合わせることにより,血管機能障害が血管内皮細胞にとどまっているのか平滑筋細胞にまで及んでいるのかを評価することができる.具体的には%FMDでの駆血ではなく,ニトログリセリン舌下投与に対する血管拡張を%FMDと同じように計測するものである.川崎病罹患後の患者でも評価が報告されているが,冠動脈合併症を持つ患者と正常コントロールとの間で違いが出たという報告はない.技術的な限界を除いてデータが信頼できるとすれば,この%FMDと%HMDの結果の乖離は,川崎病遠隔期血管障害の病態を反映しているのかもしれない25–27)

RH-PAT

非侵襲的血管内皮機能検査として前腕駆血・解放後に生じる反応性充血時の血流増加反応を上肢指尖容積変化で測定するreactive hyperemia peripheral artery tonometry(RH-PAT)検査がある.RH-PAT検査は左右の指各1本に指尖細動脈血管床の容積変化を検出する専用プローブを装着し,5分間の上腕駆血後の再灌流刺激に反応し指先へ流入する血液容積経時変化から動脈の拡張機能を測定する検査である.原理的には%FMDと同様であるが,測定するのが血管径(1次情報)と容積脈波(3次情報)である点が異なるが,環境からの影響や日内変動・日差変動を認めるのは%FMDと同様である.残念ながら川崎病患者においてこのRH-PATが正常コントロールと比較して特に低下しているとする十分な報告はない28–30)

PWV

脈波伝播速度(pulse-wave velocity)は心臓拍動によって生じる大動脈の波動が末梢に伝播する速度であり,血管が硬ければ硬いほど伝播速度が速くなるという原理を用いている.通常は上腕と足首に血圧計を巻くことで測定することが多い(brachial-ankle PWV: baPWV).簡便かつ短時間で測定できるが,血圧や心拍数の変動に影響を受けることに注意が必要である.川崎病患者と正常コントロールとの間でbaPWVに有意な差があったとする報告が散見されるが31–35),そもそも成人においてPWVの上昇単独で心血管イベントの増加と関連しているというprospectiveないしretrospective cohort研究はなく,この検査のみで血管のダメージや心合併症の可能性を言及するにはデータが不足していると言わざるを得ない.このなかで一つ興味深い報告としては,上述したNiboshiらの報告24)の中で,川崎病罹患者の中で血管の硬さに差が出たのが,女性患者ではなく男性患者のみであったという点である.これは,川崎病血管炎の性差に関するものとして病態理解への示唆を与えるものかもしれない.

CAVI

Stiffness parameter βは,局所の動脈壁固有の硬化度を表す指標である.測定時血圧で補正することにより血圧の影響を受けにくい動脈弾性能の指標として考案された36).頸動脈の口径変化と血圧から,In(Ps/Pd)/[(Ds−Dd)/Dd](Ps=収縮期血圧,Pd=拡張期血圧,Ds=頸動脈収縮末期径,Dd=頸動脈拡張末期径)で算出される.cardio-ankle vascular index(CAVI)はStiffness parameter βの概念を,長さのある動脈に適用したもので,大動脈起始部から下肢足首までの動脈全体の弾性能を表す指標である.CAVIの特徴は測定時の血圧による影響が少ないことであり,加齢とともに高値となり,脳梗塞・心血管疾患・慢性腎臓病を有する患者で高く,高血圧・糖尿病・メタボリックシンドローム,喫煙などで高まることが明らかとなっている37).四肢にマンシェットをまくことと心音を測定することだけで非侵襲的に短時間で測定可能であり,なおかつ血圧に依存しない点では小児や若年成人でもよい適応と思われるが,比較的新しい指標であるため20歳以下での正常値が確立されていない.Nakagawaらの報告によれば,冠動脈病変のない川崎病既往患者と正常コントロールの間ではCAVIの結果に有意な差はなかったとされており38),Sekiらも同様の結果が得られたと述べている7).CAVIはPWVと比較してより中枢部の血管の硬度を評価しているため,PWVとCAVIの結果の相違は,川崎病が大血管での病理変化が弱いことを反映しているのかもしれない.

川崎病の既往は遠隔期の動脈硬化につながるか

川崎病の既往が将来の動脈硬化発症のリスク因子となりうるかという疑問は,川崎病の診療にたずさわる医師の多くが抱くものであろうし,患者家族の関心が高いのも当然と思われる.この疑問に対する臨床研究はこれまで数多く報告されており,まずその一つを例として取り上げてみる.トロント小児病院のMcCrindleらは2007年に,川崎病既往のある若年者52例と正常対象群60例を比較した症例対照研究を報告している39).平均年齢は川崎病群14.9歳,対照群15.5歳であり,性別・家族歴・喫煙・血圧・運動習慣・血液検査での糖代謝・脂質代謝などに有意な差は認められなかった.そして,上述のように%FMDおよびNMDにおいて両群間に有意な差はなく,また川崎病群の中において,冠動脈病変あり群,退縮群,正常群の3群間で比較しても,有意な差はなかったと報告している.しかし,読者はこの,10代半ばの若者を対象とした少数例だけの症例対象研究をみて,『将来的な動脈硬化のリスクは低い』と考えるだろうか.さすがにMcCrindleらの結論は,“For patients who have had KD, the degree of coronary artery involvement does not appear to be significantly associated with systemic endothelial function, even after adjustment for atherosclerosis risk factors.”と血管内皮機能のことしか述べず抑制的で,川崎病罹患後の動脈硬化性変化は血管内皮機能だけでは決まらないことを踏まえているように思われる.

ではこのMcCrindleらのものを含む多くの報告を踏まえたmeta-analysisを見てみよう.筆者が探した限りで最新のmeta-analysisは,Zengらによる2021年のものであり40),彼らが各種のデータベースから抽出した20の臨床研究の一覧をTable 2に提示する.(表中に評価項目として挙げられているcIMT(carotid intima media thickness:頸動脈内膜中膜複合体厚)やhs-CRP(high sensitive CRP:高感度CRP)などの詳細や測定方法,川崎病遠隔期の意義などについては本稿では割愛するが詳細はSekiらの総説7)を参照されたい.)ここで筆者が述べたいのは,meta-analysisのもととなっている各論文の限界である.

Table 2 川崎病と動脈硬化の関連に関するmeta-analysisの引用文献一覧
Author, yearCountryAge (years)n, Male (%)Follow-up yearsOutcomes
KDControlKDControl
Borzutzky, 200841)Chlie10.6±2.010.4±1.811, 6411, 648.1±3.6bcd
Chen, 201742)Australia14.3 (11.4–19.5)*13.2 (10.7–18.8)*60, 5860, 4511.46±5.60ad
Cheung, 200843)China13.4±0.614.6±0.651, 7832, 816.6±3.1d
Cho, 201433)Korea7.61±1.697.65±0.7868, 5930, 535.05±2.43cd
Dalla Pozza, 200744)Germany12.1±4.712.0±3.120, 6028, 364.1±3.6ad
Dietz, 201545)Netherlands12.0±3.312.3±3.4161, 6282, 548.0 (6.1–10.9)*a
Ghelani, 200946)India8.4±2.38.6±2.620, 6520, 652.1±1.7b
Gopalan, 201847)India13.85±2.7514.07±2.9227, 7427, 706.97±1.18a
Gupta-Malhotra, 200948)America20.9±6.021.3±7.528, 6827, 5916±6acd
Ishikawa, 201349)Japan6.5±1.77.9±2.824, 5822, 593.3 (2.0–10.9)*ad
Laurito, 201450)Italy10.0±3.710.2±2.449, 5130, 536.3±4.8abd
Lee, 200951)Korea12.6±2.014.5±0.725, NM55, NMNMa
Liu, 200952)China7.2 (3.0–11.0)*8.4 (3.2–14.0)41, 6122, 59NMbd
McCrindle, 200739)Canada15.5±2.314.9±2.452, 6760, 50NMd
Mitra, 200553)India7.6 (1.3–16)*7.9 (1.3–16)*20, 7513, 692.6 (0.41–6)*d
Niboshi, 200824)Japan27.2±4.225.5±3.935, 4636, 5324.1±4.5bcd
Noto, 200954)Japan20.5±9.319.6±7.235, 8035, 8018.6±8.4abd
Oguri, 201455)Japan8.2±2.88.3±3.575, 6550, 46NMa
Parihar, 201756)India11.5±3.711.46±3.320, 6020, 604.48±1.88ab
Selamet, 201328)America16.73±4.2117.57±4.33203, 6050, 5811.6 (1.2–26)*a
Outcomes: a: cIMT, b: FMD, c: hs-CRP, d: lipid profile, *median (range), NM: not mentioned.(文献40より改変引用)
  1. 大部分の症例が10代を対象としており,40代以降の動脈硬化好発年齢を対象とした研究はない
  2. いずれの研究も症例数は数十例のレベルであり,川崎病罹患者の中で,冠動脈瘤形成群・瘤退縮群・瘤形成なし群を詳細に分けて十分な症例数で比較検討したものはない
  3. 評価方法は,動脈硬化のリスク因子となる脂質代謝や糖代謝に関する血清マーカー,慢性炎症の血清マーカー,血管内皮機能検査,頸動脈内の壁肥厚などの形態的評価などであり,いずれも成人動脈硬化のリスク因子ではあるものの,小児期発症の川崎病が与える血管の障害に関する特異的な評価であるものはない

これらの点に注意を喚起したうえで,このmeta-analysisの結論に対する評価は読者に委ねることにする.

まとめ

川崎病の発見からすでに50年以上が経過し,罹患者がおそらく世界でもっとも多いと思われる本邦において,冠動脈病変のない川崎病既往者の間で,中年期以降に動脈硬化性変化による心血管イベントが有意に増加しているという報告はない.本稿で述べてきたとおり,現在までに得られているエビデンスから,「少なくとも遠隔期症例に禁煙などの生活指導は必須である」とガイドライン6)にまで記載するのはやや踏み込みすぎではないか.冠動脈病変を明らかに形成し終生にわたる内服治療の継続が必要な症例が,全身性の動脈硬化発症に注意を払うのは多くの臨床家や家族も納得するであろうが,まったく冠動脈病変を残さなかった症例に対してまで生活への介入を行うほどの権限が我々にあるとは思えない.精一杯できることとしては,川崎病罹患の児がフォローを外れるときに,「川崎病の既往について頭の片隅に残しておき,将来的に医学が進歩した際に自分のこととして受け止められるようにしておく」ようにアドバイスするくらいではなかろうか.

しかし我々の仕事がなくなったわけではない.これまでの多くの研究者が採用した「成人動脈硬化研究領域で行われる検査を,川崎病患者でもやってみました」という手法ではなく,川崎病の病態特異的に血管リモデリングを評価する新たな方法論を探索することは,本邦の医療者・研究者の重要なテーマであろう.そのヒントの一つとして,本文中にも述べた血管合併症に関する「性差」の問題があるだろう.川崎病急性期の治療反応性に性差があることはよく知られている5)が,その機序に関しては不明のままである.成人領域で動脈硬化性疾患が女性に有意に少ないことがすでにフラミンガム研究でも知られており57),その機序はエストロゲンの抗動脈硬化作用であるとされている58).しかし今回,女性ホルモンに暴露される前の小児期においても川崎病罹患後の血管反応性に性差が見られたこと24)は極めて興味深い結果と思われる.

筆者が最初に提示した『川崎病罹患児の正常に見える全身血管が,遠隔期に動脈硬化を含む血管リモデリングを起こしやすいのか?』という疑問にもどる.理論的には,川崎病罹患者を全例データベースに登録し長期間観察を続けるような大規模臨床試験を行えば結論は得られるだろうが,それは本邦の今後の医療経済的に不可能であろう.しかし「潤沢な資金や充実した研究体制がなくとも世界にインパクトを与える仕事はできる」ということこそが,川崎富作先生が我々に残してくれた最大のメッセージであるに違いない1).若い日本の研究者たちの活躍を祈る.

利益相反

日本小児循環器学会が定める指針に則り本総説に関して開示すべき利益相反はない.

引用文献References

1) Kawasaki T: Acute febrile mucocutaneous syndrome with lymphoid involvement with specific desquamation of the fingers and toes in children. Arerugi 1967; 16: 178–222, in Japanese

2) Mardi P, Esmaeili M, Iravani P, et al: Characteristics of children with Kawasaki disease-like sin COVID-19 pandemic: A systematic review. Front Pediatr 2021; 9: 625377

3) 日本川崎病学会:川崎病の基本,協和企画,2015

4) 日本川崎病学会:川崎病学 改訂第2版 診断と治療社,2021

5) 日本小児循環器学会:川崎病急性期治療のガイドライン 2020年改訂版

6) 日本循環器学会/日本心臓血管外科学会:川崎病心臓血管後遺症の診断と治療に関するガイドライン 2020年改訂版

7) Seki M, Minami T: Kawasaki disease: Pathology, risks, and management. Vasc Health Risk Manag 2022; 18: 407–416

8) Jennette JC, Falk RJ, Bacon PA, et al: 2012 revised international Chapel Hill Consensus Conference Nomenclature of Vasculitides. Arthritis Rheum 2013; 65: 1–11

9) Takahashi K, Oharaseki T, Yokouchi Y, et al: Kawasaki disease as a systemic vasculitis in childhood. Ann Vasc Dis 2010; 3: 173–181

10) Naoe S: Pathology of Kawasaki disease, excluding cardiac changes. J Soc Kinki Area Kawasaki Dis Res 1987; 9: 1–3 (in Japanese)

11) Amano S, Hazawa F, Hamashima Y, et al: Pathology of Kawasaki disease. II. Distribution and incidence of the vascular lesions. Jpn Circ J 1979; 43: 741–748

12) Amano S, Hazawa F, Kubagawa H, et al: General pathology of Kawasaki disease on the morphological alterations corresponding to the clinical manifestations. Acta Pathol Jpn 1980; 30: 681–694

13) Hamashima Y: Kawasaki disease. Trans Soc Pathol Jpn 1977; 66: 59–92 (in Japanase)

14) Landing BH, Larson E: Pathological features of Kawasaki disease (mucocutaneous lymph node syndrome). Am J Cardiovasc Pathol 1987; 1: 215–229

15) Takahashi K, Oharaseki T, Yokouchi Y, et al: Kawasaki disease: Basic and pathological findings. Clin Exp Nephrol 2013; 17: 690–693

16) Ross R: Atherosclerosis: A inflammatory disease. N Engl J Med 1999; 340: 115–126

17) Takahashi K, Oharaseki T, Naoe S: Pathological study of postcoronary arteritis in adolescents and young adults: With reference to the relationship between sequelae of Kawasaki disease and atherosclerosis. Pediatr Cardiol 2001; 22: 138–142

18) Hirai T, Sasayama S, Kawasaki T, et al: Stiffness of systemic arteries in patients with myocardial infarction: A noninvasive method to predict severity of coronary atherosclerosis. Circulation 1989; 80: 78–86

19) Duprez DA, Cohn JN: Arterial stiffness as a risk factor for coronary atherosclerosis. Curr Atheroscler Rep 2007; 9: 139–144

20) 日本動脈硬化学会:動脈硬化性疾患予防ガイドライン2022年版

21) Zeng YY, Chen F, Zhang Y, et al: Are patients recovering from Kawasaki disease at increased risk for accelerated atherosclerosis?: A meta-analysis. World J Pediatr 2021; 17: 476–483

22) Zhang H, Xu MG, Xie LJ, et al: Meta-analysis of risk factors associated with atherosclerosis in patients with Kawasaki disease. World J Pediatr 2016; 12: 308–313

23) Dietz SM, Tacke CE, Hutten BA, et al: Peripheral endothelial (Dys) function, arterial stiffness and carotid intima-media thickness in patients after Kawasaki Disease: A systematic review and meta-analyses. PLoS One 2015; 10: e0130913

24) Niboshi A, Hamaoka K, Sakata K, et al: Endothelial dysfunction in adult patients with a history of Kawasaki disease. Eur J Pediatr 2008; 167: 189–196

25) Dhillon R, Clarkson P, Donald AE, et al: Endothelial dysfunction late after Kawasaki disease. Circulation 1996; 94: 2103–2106

26) Deng YB, Xiang HJ, Chang Q, et al: Evaluation by high-resolution ultrasonography of endothelial function in brachial artery after Kawasaki disease and the effects of intravenous administration of vitamin C. Circ J 2002; 66: 908–912

27) Silva AA, Maeno Y, Hashmi A, et al: Cardiovascular risk factors after Kawasaki disease: A case-control study. J Pediatr 2001; 138: 400–405

28) Selamet Tierney ES, Gal D, Gauvreau K, et al: Vascular health in Kawasaki disease. J Am Coll Cardiol 2013; 62: 1114–1121

29) Tobayama H, Takahashi K, Fukunaga H, et al: Analysis of arterial function in adults with a history of Kawasaki disease. J Cardiol 2013; 61: 330–335

30) Pinto FF, Laranjo S, Parames F, et al: Long-term evaluation of endothelial function in Kawasaki disease patients. Cardiol Young 2013; 23: 517–522

31) Ooyanagi R, Fuse S, Tomita H, et al: Pulse wave velocity and ankle brachial index in patients with Kawasaki disease. Pediatr Int 2004; 46: 398–402

32) Cheung YF, Yung TC, Tam SC, et al: Novel and traditional cardiovascular risk factors in children after Kawasaki disease: Implications for premature atherosclerosis. J Am Coll Cardiol 2004; 43: 120–124

33) Cho HJ, Yang SI, Kim KH, et al: Cardiovascular risk factors of early atherosclerosis in school-aged children after Kawasaki disease. Korean J Pediatr 2014; 57: 217–221

34) Cheung YF, Ho MH, Ip WK, et al: Modulating effects of mannose binding lectin genotype on arterial stiffness in children after Kawasaki disease. Pediatr Res 2004; 56: 591–596

35) Cheung YF, Wong SJ, Ho MH: Relationship between carotid intima-media thickness and arterial stiffness in children after Kawasaki disease. Arch Dis Child 2007; 92: 43–47

36) Saiki A, Sato Y, Watanabe R, et al: The role of a novel arterial stiffness parameter, Cardio-Ankle Vascular Index (CAVI), as asurrogate marker for cardiovascular diseases. J Atheroscler Thromb 2016; 23: 155–168

37) Hirata Y, Sata M: CAVI, a new parameter that detects arterial stiffness change after smoking. Circ J 2011; 75: 548–549

38) Nakagawa R, Kuwata S, Kurishima C, et al: Arterial stiffness in patients after Kawasaki disease without coronary artery involvement: Assessment by performing brachial ankle pulse wave velocity and cardio-ankle vascular index. J Cardiol 2015; 66: 130–134

39) McCrindle BW, McIntyre S, Kim C, et al: Are patients after Kawasaki disease at increased risk for accelerated atherosclerosis? J Pediatr 2007; 151: 244–248

40) Zeng YY, Cheng F, et al: Are patients recovering from Kawasaki disease at increased risk for accelerated atherosclerosis?: A meta-analysis. World J Pediatr 2021; 17: 476–483

41) Borzutzky A, Gutiérrez M, Talesnik E, et al: High sensitivity c-reactive protein and endothelial function in Chilean patients with history of Kawasaki disease. Clin Rheumatol 2008; 27: 845–850

42) Chen KY, Zannino D, Curtis N, et al: Increased aortic intima-media thickness following Kawasaki disease. Atherosclerosis 2017; 260: 75–80

43) Cheung YF, Karmin O, Woo CWH, et al: Oxidative stress in children late after Kawasaki disease: Relationship with carotid atherosclerosis and stiffness. BMC Pediatr 2008; 8: 20

44) Dalla Pozza R, Bechtold S, Urschel S, et al: Subclinical atherosclerosis, but normal autonomic function after Kawasaki disease. J Pediatr 2007; 151: 239–243

45) Dietz S, Tacke C, Gort J, et al: Carotid intimamedia thickness in patients with a history of Kawasaki disease. Circ J 2015; 79: 2682–2687

46) Ghelani SJ, Singh S, Manojkumar R: Endothelial dysfunction in a cohort of North Indian children with Kawasaki disease without overt coronary artery involvement. J Cardiol 2009; 53: 226–231

47) Gopalan K, Singh S, Vignesh P, et al: Carotid intima-media thickness and lipid profile in children with Kawasaki disease: A single-center follow-up study after a mean duration of 6.9 years. J Clin Rheumatol 2018; 24: 385–389

48) Gupta-Malhotra M, Gruber D, Abraham SS, et al: Atherosclerosis in survivors of Kawasaki disease. J Pediatr 2009; 155: 572–577

49) Ishikawa T, Iwashima S: Endothelial dysfunction in children within 5 years after onset of Kawasaki disease. J Pediatr 2013; 163: 1117–1121

50) Laurito M, Stazi A, Delogu AB, et al: Endothelial and platelet function in children with previous Kawasaki disease. Angiology 2014; 65: 716–722

51) Lee SJ, Ahn HM, You JH, et al: Carotid intima-media thickness and pulse wave velocity after recovery from Kawasaki disease. Korean Circ J 2009; 39: 264–269

52) Liu XQ, Huang GY, Liang XV, et al: Endothelial progenitor cells and arterial functions in the late convalescence period of Kawasaki disease. Acta Paediatr 2009; 98: 1355–1359

53) Mitra A, Singh S, Devidayal, et al: Serum lipids in North Indian children treated for Kawasaki disease. Int Heart J 2005; 46: 811–817

54) Noto N, Okada T, Karasawa K, et al: Age-related acceleration of endothelial dysfunction and subclinical atherosclerosis in subjects with coronary artery lesions after Kawasaki disease. Pediatr Cardiol 2009; 30: 262–268

55) Oguri M, Nakamura T, Tamanuki K, et al: Subclinical arterial stiffness in young children after Kawasaki disease. Cardiol Young 2014; 24: 87–94

56) Parihar M, Singh S, Vignesh P, et al: Mid-term risk for subclinical atherosclerosis and chronic myocarditis in children with Kawasaki disease and transient coronary abnormalities. Pediatr Cardiol 2017; 38: 1123–1132

57) Kannel WB, Hjortland MS, McNamara PM, et al: Menopause and risk of cardiovascular disease: The Framingham study. Ann Intern Med 1976; 85: 447–452

58) Mendelsohn ME, Karas RH: The protective effects of estrogen on the cardiovascular system. N Engl J Med 1999; 340: 1801–1811

This page was created on 2024-04-18T13:49:53.27+09:00
This page was last modified on 2024-05-27T17:25:04.000+09:00


このサイトは(株)国際文献社によって運用されています。