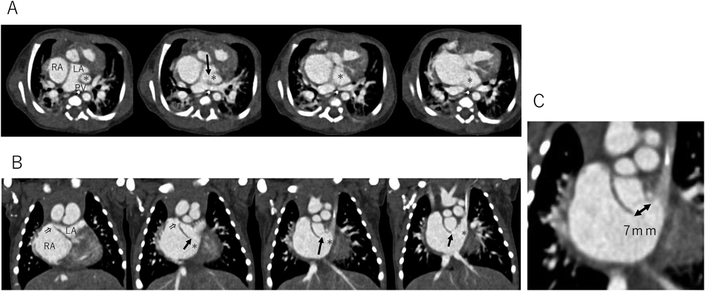
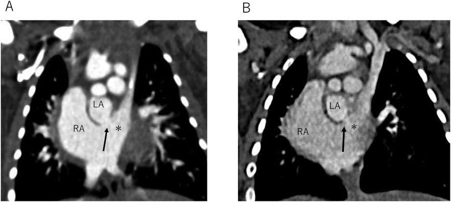
致命的となりうるunroofed coronary sinusの自然閉鎖を認めた僧帽弁閉鎖合併単心室例Spontaneous Closure of a Potentially Fatal Unroofed Coronary Sinus in a Case of Mitral Valve Atresia with a Single Ventricle
1 金沢医科大学 小児科Department of Pediatrics, Kanazawa Medical University ◇ Ishikawa, Japan
2 金沢医科大学 小児心臓血管外科Department of Pediatric Cardiovascular Surgery, Kanazawa Medical University ◇ Ishikawa, Japan



