Online ISSN: 2187-2988 Print ISSN: 0911-1794
特定非営利活動法人日本小児循環器学会 Japanese Society of Pediatric Cardiology and Cardiac Surgery
Pediatric Cardiology and Cardiac Surgery 42(1): 21-26 (2026)
doi:10.9794/jspccs.42.21

症例報告Case Report

失神を繰り返し,ペースメーカを植え込んだ先天性中枢性低換気症候群の1例Congenital Central Hypoventilation Syndrome with Recurrent Syncope Requiring Pacemaker Implantation: A Case Report

1魚沼基幹病院 小児科Department of Pediatrics, Uonuma Kikan Hospital ◇ Niigata, Japan

2新潟大学医歯学総合病院 小児科Department of Pediatrics, Niigata University Medical & Dental Hospital ◇ Niigata, Japan

3長岡赤十字病院 小児科Department of Pediatrics, Nagaoka Red Cross Hospital ◇ Niigata, Japan

4新潟大学医歯学総合病院 心臓血管外科Department of Cardiovascular Surgery, Niigata University Medical & Dental Hospital ◇ Niigata, Japan

5新潟大学医歯学総合病院 魚沼地域医療教育センターUonuma Institute of Community Medicine, Niigata University Medical and Dental Hospital ◇ Niigata, Japan

受付日:2025年6月13日Received: June 13, 2025
受理日:2025年11月18日Accepted: November 18, 2025
発行日:2026年2月28日Published: February 28, 2026
HTMLPDFEPUB3

先天性中枢性低換気症候群(congenital central hypoventilation syndrome: CCHS)はPHOX2B遺伝子の病的バリアントを原因とし,呼吸中枢の異常で低換気を生じる.自律神経の異常による徐脈性不整脈も合併することがあり,突然死の危険がある.その予防にはペースメーカ植え込み術(pacemaker implantation: PMI)が有効だが,本邦でのPMIの報告はほとんどなく,PMIの適応も定まっていない.症例は5歳女児.遺伝学的検査でPHOX2B遺伝子に20/27 polyalanine repeat expansion mutationを認め,CCHSと診断した.在宅人工呼吸器を導入した.2歳時に呼吸器感染で入院中,食事中に3.6秒,4.2秒のポーズが連続し,一過性意識消失をし,嚥下性失神と診断した.4歳時にも自宅で一過性意識消失をした.CCHSによる反復性の失神と考え,PMIの適応と判断し,5歳時にPMI(VVI)を施行した.以降は失神なく経過している.CCHSの自律神経の異常による徐脈性不整脈は進行性であり,徐脈性不整脈と症状の関連が確認された症例にはPMIを行うべきである.無症候の徐脈性不整脈例や症状と徐脈の関連が確認できない症例のPMI適応には議論の余地がある.適切なPMI適応基準の確立には,本邦のCCHSの徐脈性不整脈の現状把握が必須である.

Congenital central hypoventilation syndrome (CCHS), caused by pathogenic paired-like homeobox 2B (PHOX2B) variants, leads to hypoventilation due to respiratory center dysfunction. Bradyarrhythmia can also complicate CCHS due to autonomic dysfunction, potentially leading to sudden death, and the efficacy of pacemaker implantation (PMI) in preventing these events was previously reported. However, PMI in patients with CCHS has been rarely reported in Japan and the indications for PMI have not been established. Here, we present the case of a 5-year-old girl diagnosed with CCHS based on the identification of a 20/27 polyalanine repeat expansion mutation in PHOX2B. She was initiated on home mechanical ventilation. At 2 years of age, she temporarily lost consciousness associated with consecutive sinus pauses of 3.6 and 4.2 seconds while eating during hospitalization for a respiratory infection; the event was later defined as deglutition syncope. At 4 years of age, she experienced another episode of transient loss of consciousness at home. The recurrent syncope was presumed to be due to CCHS-related autonomic dysfunction, and PMI in VVI mode was performed at 5 years of age. After PMI, she did not experience syncopal episodes. In patients with CCHS, bradyarrhythmia due to autonomic dysfunction can be progressive and PMI should be considered in cases with a clear correlation between bradyarrhythmia and symptoms. However, the PMI indication remains debatable in asymptomatic patients and in those without unclear bradyarrhythmia–symptom correlation. Surveying bradyarrhythmia in Japanese patients with CCHS is crucial for establishing more appropriate PMI criteria.

Key words: congenital central hypoventilation syndrome; pacemaker implantation; bradyarrhythmia; syncope

はじめに

先天性中枢性低換気症候群(congenital central hypoventilation syndrome: CCHS)はPHOX2B遺伝子の病的バリアントを原因とし,延髄の呼吸中枢の異常により低換気を生じる疾患である1)PHOX2B遺伝子は自律神経の分化・誘導にも関与している.このため自律神経の異常による徐脈性不整脈も合併し2),洞停止や房室ブロックによる突然死を起こす可能性がある.その予防にはペースメーカ植え込み術(pacemaker implantation: PMI)が有用と海外から報告されているが,本邦でPMIを施行した報告例はほとんどなく,PMIの適応も定まっていない.今回,我々は,人工呼吸器管理中に洞停止による失神を繰り返し,PMIを施行したCCHSの1例を経験したので報告する.

症例

症例

5歳6カ月,女児

現病歴

在胎39週4日,3,135 g,Apgar score 1分値4点,5分値4点で出生し,重症新生児仮死のためNICU入室した.出生直後より無呼吸が頻発し,CO2貯留時の呼吸反応が乏しく,CCHSが疑われた.出生後から人工呼吸器管理を行われ,日齢16に遺伝学的検査が施行され,PHOX2B遺伝子に20/27ポリアラニン伸長変異(polyalanine repeat expansion mutation: PARM)を認め,CCHSと確定診断された.日齢55に気管切開術を施行された.出生後より徐脈性不整脈を認めたが,生後2カ月時のホルター心電図では最低心拍数は77拍/分,平均心拍数は130拍/分,最大心拍数は164拍/分で,洞停止や完全房室ブロックは認めず,無治療で経過観察された.広域型Hirschsprung病のため,日齢30に回腸人工肛門造設術,2歳4カ月時にMartin手術・回腸人工肛門再造設術,2歳6カ月時に回腸人工肛門閉鎖術を施行された.2歳9カ月時に退院し,在宅人工呼吸器管理となった.

2歳10カ月時,呼吸器感染症のため当院に入院した.入院中,座位で食事中に意識を消失したが,5秒程度で回復した.モニター上3.6秒,4.2秒の洞停止を認め,嚥下性失神と判断された(Fig. 1).人工呼吸器(従圧式補助/調節換気)装着中で正常に作動しており,SpO2低下はなかった.ポーズの直前までは正常洞調律であった.

Pediatric Cardiology and Cardiac Surgery 42(1): 21-26 (2026)

Fig. 1 A monitored electrocardiogram during syncope

Two consecutive pauses were recorded (3.6 and 4.2 seconds).

4歳9カ月時には昼食終了5分後,座位でいた際に眼球を上転させ,意識消失した.約3秒で意識は回復した.その際,日中は人工鼻で生活していた.

無症状時(4歳9カ月)の12誘導心電図は洞調律で心拍数131拍/分,PR間隔は正常で,QT延長はなかった(Fig. 2).また,5歳2カ月に施行した心臓超音波検査では左室拡張末期径32.4 mm(正常期待値の96.4%),左室駆出率68.7%,左室短軸像で収縮末期に左室は円形であった.5歳2カ月時のホルター心電図では入眠中の最低心拍数は69拍/分,最大心拍数は150拍/分以上,完全房室ブロックはなかった.しかし,覚醒時に3秒程度の洞停止が1日2回あり,覚醒時に心拍数が突発的に低下していた(Fig. 3).

Pediatric Cardiology and Cardiac Surgery 42(1): 21-26 (2026)

Fig. 2 Electrocardiogram in asymptomatic state

This showed a normal sinus rhythm with a heart rate of 131 beats per minute. A PR interval was 0.143 sec, and QT intervals corrected by using Bazett’s and Fredericia’s formula were 470 and 417, respectively.

Pediatric Cardiology and Cardiac Surgery 42(1): 21-26 (2026)

Fig. 3 Image of Holter electrocardiogram

Histogram of heart rate. The minimum and maximum heart rates were 69 and 143 beats per minute, respectively. Frequent sudden drops in heart rate were observed while awake (upper panel). An electrocardiogram demonstrates a sudden drop in heart rate (lower panel).

以上2回の意識消失エピソードはCCHSの自律神経の異常に伴う一過性徐脈による失神と考え,PMI適応と判断し,5歳2カ月時にPMI(VVI, Medtronic Azure XT SR MRI W2SR01)を施行された(Fig. 4).最低心拍数は60拍/分に設定し,以後,失神なく経過している.5歳6カ月(PMI施行後4カ月)時点でのペーシング頻度は1%未満で推移している(Fig. 5).

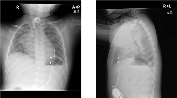
Pediatric Cardiology and Cardiac Surgery 42(1): 21-26 (2026)

Fig. 4 Chest X-ray after pacemaker implantation

Pediatric Cardiology and Cardiac Surgery 42(1): 21-26 (2026)

Fig. 5 Electrocardiogram after pacemaker implantation

“P” indicates pacing rhythm.

考察

CCHSは呼吸中枢と自律神経系が障害され,適切な呼吸管理を行わなければ乳幼児期早期から突然死や重度の中枢神経障害を来しうる稀な先天性疾患である.また様々な循環器系の異常を伴い,失神や突然死を来しうる.CCHSの原因遺伝子であるPHOX2B遺伝子がコードしているpaired mesoderm homeobox protein 2B(PHOX2B)は神経堤由来の前駆細胞に発現している転写因子である.PHOX2Bは自律神経の分化やノルアドレナリン作動性細胞におけるドーパミンβ-水酸化酵素遺伝子の転写調節にも関与しており,CCHSでは交感神経の形成が障害される3, 4).そのため自律神経の異常に伴う洞停止や房室ブロック等の徐脈性不整脈が起こる.CCHSの徐脈性不整脈は進行性であることが示唆され5),突然死のリスクとなる.ホルター心電図を経時的に施行した研究では,初回受診時のホルター心電図での最大RR間隔と,その後に記録された最大RR間隔(平均2年後)を比較し,前者が1.8±0.9秒であったのに対し,後者では2.7±1.4秒と報告している6).またCCHSでは化学受容刺激に対する心血管系の反応が加齢に伴い低下する可能性が示唆され,持続的な低酸素血症や高CO2血症は徐脈性不整脈の増悪因子となり得る5).よって徐脈性不整脈の予防として人工呼吸を含めた呼吸管理は重要だが,それだけでは十分な予防は難しい.さらにCCHSでは血圧の応答不良が報告され,失神に関与する可能性がある.本症例では血圧応答の評価はされていないが,CCHSの患者群と対照群にヘッドアップチルト試験を行った研究では,対照群には認める血圧低下後の心拍増加が患者群では認められず,さらに立位負荷後の血圧上昇も対照群に比べ疾患群が低く,心拍と血圧の応答が共に乏しいことが示唆された7)

CCHSでは,呼吸管理の進歩により低換気・呼吸停止が突然死の主因となる症例は大きく減少したものの,自律神経系障害による長時間の洞停止は突然死の重要な残存リスクである.

本症例は人工呼吸器(従圧式補助/調節換気)装着下でのエピソードであり,CCHSの自律神経の異常による一過性徐脈のため失神を繰り返したと判断し,PMIを施行した.既存のガイドラインでCCHSのPMIの適応を決定するのは困難である.日本循環器学会のガイドラインでは反射性失神の場合,症状時に3秒以上,無症状時に6秒以上の心停止が確認されている40歳以上の患者で,かつほかの治療が無効の場合はクラスIIbとされている.一方,洞不全症候群の場合,有症状であればクラスIとされ,さらに,複雑先天性心疾患に伴う洞徐脈で安静時心拍数40拍/分以下,もしくは3秒以上の心停止がある症例はクラスIIaとされている8).一方,Pediatric and Congenital Electrophysiology Society(PACES)のガイドラインでは,小児期でも他の内科的治療が無効であり,自然発生の徐脈または心停止が記録された反復する神経調節性失神に対しては,PMIが考慮されており,本症例に合致した9).しかしCCHSは進行性疾患であることを加味してPMIの適応を考えなければならない.

過去の報告は限られているが,CCHSのPMI適応は,症状と心電図で確認される徐脈性不整脈を主な指標にして症例ごとに決定されている.本症例のように,症状と徐脈性不整脈との関連が確認されれば,PACESのガイドラインにも合致し,PMIの適応レベルは高いと言える.Gronliらは,PHOX2B変異が確認されたCCHS患者39人から501日分のホルター心電図記録を解析し,最長R–R間隔・QTc間隔の遺伝型依存性を評価した6).最長RR間隔はPARMリピート数が多いほど延長する傾向がみられ,最長R–R間隔が3秒以上であった症例の頻度も遺伝子型によって有意差がみられた(20/27型で83%,20/25型で0%).ペースメーカを必要とした例も20/27型で高率であった(67%).またペースメーカ未植込みで3秒以上のR–R間隔を示した3例中2例で突然死が発生した.QTc間隔には遺伝子型との有意な関連はみられなかった.これらの結果から,無症状の場合でも遺伝子型による層別化を行い,ホルター心電図で3秒以上の洞停止が確認される症例では,ペースメーカ植込み適応を積極的に検討すべきと結論づけている6)

症状と徐脈性不整脈との関連が確認できない症例には植え込み型ループレコーダー(implantable loop recorder: ILR)を積極的に検討すべきである.近年,ILRで症状と徐脈性不整脈との関連を明らかにした症例が報告されている10, 11).このうちの1例では,反復する失神を認めていたが,複数回のホルター心電図で徐脈性不整脈が確認できず,ILRを植え込んだ.その数カ月後に失神した時に洞停止が検知され,PMIを施行された.CCHSの徐脈性不整脈のエピソードは頻度が低いことがある.本症例では施行していないが,徐脈性不整脈による症状を疑ったがHolter ECGでは徐脈性不整脈が確認できない症例では,ILR植え込みの有用性が期待される.

既報では,ペースメーカモードの選択について触れている報告は1例のみで,VVIRであった.本症例では洞停止が問題であったが,自律神経の異常により房室伝導も抑制される可能性があったためVVIを選択した.また平均心拍数の低下はないこと,ポーズの頻度は低く,心室ペーシングは短時間と考えられたこと,心機能は良好なこと,短期間でのペーシング頻度の増加は予想されないことからDDDではなくVVIを選択した.

さらにCCHSのPMI適応基準をより適切なものとするために本邦でのCCHSの徐脈性不整脈の把握が必須である.CCHS患者へのPMIの報告例は海外からがほとんどである2, 6, 10, 11).米国の単施設からの2つの報告では,2~3割のCCHS症例にPMIが施行されている2, 6).施行時の平均年齢はともに10歳であり,多くの例が小児期に施行されている.PMI後に失神や突然死は報告されておらず,PMIは突然死を防ぐための予防に有効と推察される2, 6).本邦ではCCHS患者会におけるアンケート調査報告があるが徐脈性不整脈の把握は十分とはいえない.そのなかでPMI施行例は61人中1人(1.6%)のみで12),その年齢や遺伝型も不明である.CCHSの罹患率は少なくとも約15万出生児当たり1人と推定される13)PHOX2B遺伝子が本疾患の原因遺伝子であることが報告された2003年以降14),新生時期に診断され,適切な呼吸管理が可能となり,成人例の増加が推察される.国により医療事情も異なるため,本邦においてCCHSの徐脈性不整脈の現状をPMIも含めて把握すべきである.

結語

今回,失神を繰り返し,PMIを施行したCCHSの1例を経験した.CCHSの徐脈性不整脈は進行性で突然死の危険性が高く,基礎疾患を伴わない神経調節性失神や反射性失神よりも積極的にPMIを考慮すべきである.本邦では,CCHSに対するPMI施行例が少ない.適切なPMI適応基準の確立には,本邦のCCHSの徐脈性不整脈の現状把握が必須である.

利益相反

本論文について開示すべき利益相反(COI)はありません.

著者の役割

金子知広は筆頭著者として論文を執筆した.馬場恵史は症例の診断,治療に関与し,論文内容に関する直接的な指導を行った.小澤淳一は論文内容に関する直接的な指導を行った.橋尻明日実,渡邉マヤ,白石修一は症例の診断,治療に関与し,論文校正に貢献し,出版原稿の最終承認を行った.鈴木博は症例の診断,治療に関与し,論文を立案し,論文内容に関する直接的な指導を行い,出版原稿の最終承認を行った.

引用文献References

1) Weese-Mayer DE, Berry-Kravis EM, Ceccherini I, et al: ATS Congenital Central Hypoventilation Syndrome Subcommittee: An official ATS clinical policy statement: Congenital central hypoventilation syndrome: Genetic basis, diagnosis, and management. Am J Respir Crit Care Med 2010; 181: 626–644

2) Laifman E, Keens TG, Bar-Cohen Y, et al: Life-threatening cardiac arrhythmias in congenital central hypoventilation syndrome. Eur J Pediatr 2020; 179: 821–825

3) Yang C, Kim HS, Seo H, et al: Paired-like homeodomain proteins, Phox2a and Phox2b, are responsible for noradrenergic cell-specific transcription of the dopamine beta-hydroxylase gene. J Neurochem 1998; 71: 1813–1826

4) Pattyn A, Morin X, Cremer H, et al: The homeobox gene Phox2b is essential for the development of autonomic neural crest derivatives. Nature 1999; 399: 366–370

5) Carroll MS, Patwari PP, Kenny AS, et al: Residual chemosensitivity to ventilatory challenges in genotyped congenital central hypoventilation syndrome. J Appl Physiol (1985) 2014; 116: 439–450

6) Gronli JO, Santucci BA, Leurgans SE, et al: Congenital central hypoventilation syndrome: PHOX2B genotype determines risk for sudden death. Pediatr Pulmonol 2008; 43: 77–86

7) Trang H, Girard A, Laude D, et al: Short-term blood pressure and heart rate variability in congenital central hypoventilation syndrome (Ondine’s curse). Clin Sci (Lond) 2005; 108: 225–230

8) 日本循環器学会編:2024年JCS/JHRSガイドライン フォーカスアップデート版 不整脈非薬物治療.2024, p17

9) Shah MJ, Silka MJ, Silva JNA, et al: 2021 PACES Expert consensus statement on the indications and management of cardiovascular implantable electronic devices in pediatric patients. JACC Clin Electrophysiol 2021; 7: 1437–1472

10) Mitacchione G, Bontempi L, Curnis A: Clinical approach to cardiac pauses in congenital central hypoventilation syndrome. Pediatr Pulmonol 2019; 54: E4–E6

11) Lee MJ, Park JS, Kim K, et al: Congenital central hypoventilation syndrome in Korea: 20 years of clinical observation and evaluation of the ventilation strategy in a single center. Eur J Pediatr 2024; 183: 3479–3487

12) 佐々木綾子,安孫子優:厚生労働科学研究費補助金(難治性疾患政策研究事業)分担研究報告書 先天性中枢性低換気症候群患者の現況—患者会におけるアンケート調査結果,2022

13) Shimokaze T, Sasaki A, Meguro T, et al: Genotype-phenotype relationship in Japanese patients with congenital central hypoventilation syndrome. J Hum Genet 2015; 60: 473–477

14) Sasaki A, Kanai M, Kijima K, et al: Molecular analysis of congenital central hypoventilation syndrome. Hum Genet 2003; 114: 22–26

This page was created on 2026-02-13T12:17:03.154+09:00
This page was last modified on 2026-03-06T09:55:57.000+09:00


このサイトは(株)国際文献社によって運用されています。