Online ISSN: 2187-2988 Print ISSN: 0911-1794
特定非営利活動法人日本小児循環器学会 Japanese Society of Pediatric Cardiology and Cardiac Surgery
Pediatric Cardiology and Cardiac Surgery 42(1): 27-31 (2026)
doi:10.9794/jspccs.42.27

症例報告Case Report

右バルサルバ洞瘤に対する手術例Surgical Repair of the Right Sinus of Valsalva Aneurysm Using an Artificial Vascular Graft Patch

1群馬県立小児医療センター 心臓血管外科Department of Cardiovascular Surgery, Gunma Children’s Medical Center ◇ Gunma, Japan

2群馬県立小児医療センター 循環器科Department of Pediatric Cardiology, Gunma Children’s Medical Center ◇ Gunma, Japan

受付日:2025年9月30日Received: September 30, 2025
受理日:2025年12月12日Accepted: December 12, 2025
発行日:2026年2月28日Published: February 28, 2026
HTMLPDFEPUB3

バルサルバ洞瘤は稀な疾患であり,無症状で偶発的に発見されることが多い.大きさによって破裂のリスクがあるため早期の外科的介入が推奨されている.本症例は,大動脈縮窄症術後,心室中隔欠損症自然閉鎖後の経過観察中に右バルサルバ洞の拡大を認めた.無症状であったものの,瘤径拡大が進行したため手術適応と判断した.大動脈二尖弁を有していたが,大動脈弁狭窄や大動脈弁閉鎖不全は軽度であったため,大動脈弁を温存した右バルサルバ洞修復術を施行した.手術では,瘤壁の全切除により心室中隔欠損が再開通するリスクがあったため,瘤壁の一部を温存し,その内側にトリミングした人工血管パッチを縫着しバルサルバ洞の修復を行った.術後は合併症なく経過し,術後10日目に退院となった.バルサルバ洞瘤に対しては,大動脈基部や弁の性状および形態,本症例のような基礎心疾患の病態に基づいて術式の選択をすることが重要である.

Sinus of Valsalva aneurysm is a rare cardiovascular anomaly that is often asymptomatic and incidentally detected. Early surgical intervention is recommended due to the risk of rupture. In this case, enlargement of the right sinus of Valsalva was identified during postoperative follow-up for aortic coarctation and ventricular septal defect spontaneous closure. The patient was asymptomatic; however, the aneurysm enlarged, requiring surgical intervention. The patient had a bicuspid aortic valve, but the right sinus of Valsalva repair was performed with native aortic valve preservation since aortic stenosis and aortic regurgitation were mild. Considering the risk of reopening a previously closed ventricular septal defect, aneurysmal wall complete resection was avoided. Instead, part of the aneurysmal wall was preserved, and a customized artificial vascular graft (Gelweave, 24 mm) patch was sutured to the inner surface. The postoperative course was uneventful, and the patient was discharged on postoperative day 10. This case demonstrates the feasibility and effectiveness of surgical repair using an artificial vascular graft patch for unruptured, asymptomatic, and enlarging sinus of Valsalva aneurysms. Surgical strategies should be considered according to the anatomical structures, functional status of the aortic root and valves, and pathophysiology of the underlying heart disease in treating the sinus of Valsalva aneurysms.

Key words: right sinus of Valsalva aneurysm; unruptured; cardiac surgery; congenital

はじめに

バルサルバ洞瘤は稀な疾患であり,開心術症例における有病率は1%未満と報告されている1).そのうち約70%は右バルサルバ洞から発生すると言われている2).また,肺動脈弁下や大動脈弁下に存在する心室中隔欠損症は右冠尖の逸脱を伴いやすく,これが後天的なバルサルバ洞瘤形成の原因の一つと考えられている3).多くは無症状であり,偶発的に発見されるか,破裂時に診断されることが一般的である4).未破裂であっても,早期の外科的修復が推奨されており,大動脈基部や弁の形態および性状によって術式は様々である1, 2, 5–7).今回我々は,心室中隔欠損自然閉鎖後に拡大傾向を示した未破裂の右バルサルバ洞瘤に対し,人工血管を用いた修復術を施行し,良好な結果を得たので報告する.

症例

症例

19歳,男性

既往歴

大動脈縮窄症術後,心室中隔欠損症自然閉鎖後,大動脈二尖弁,軽度大動脈弁狭窄,右冠尖逸脱

内服薬

カンデサルタンシレキセチル4 mg

現病歴

在胎38週3日,体重2,470 g,Apgar score 9点(1分値)/9点(5分値)で出生し,日齢1に頻呼吸を指摘され前医小児科に入院となった.日齢10に心臓超音波検査で大動脈縮窄症,心室中隔欠損症,右冠尖逸脱と診断され当院へ搬送となった.当院搬送後の心臓超音波検査で,大動脈縮窄症,傍膜様部から大動脈弁下に開口する径3.5 mmの心室中隔欠損症とそれに伴う右冠尖逸脱と診断した.

日齢13にsubclavian flap法による大動脈修復術を施行した.術後5カ月における心臓超音波検査で,心室間の短絡血流は認めず心室中隔欠損は自然閉鎖したと判断したが,右冠尖逸脱による閉鎖は将来的なバルサルバ洞拡大のリスク因子であるため,年1回の心臓超音波検査による慎重な経過観察を継続した.術後6年の時点で右バルサルバ洞は最大径33 mmに拡大を認め,術後14年の時点では最大径40 mmの明らかな瘤形成を認めた.その後も緩徐な拡大傾向が続き,術後19年の時点で右バルサルバ洞瘤径は45 mmに達したため,無症状ではあったが破裂のリスクを考慮し手術適応と判断した.

入院時現症

身長170.0 cm,体重51.9 kg,体温36.7°C,脈拍60回/分,血圧117/59 mmHg,SpO2 97%(room air),胸骨右縁第2肋間を最強点とするLevine II度の収縮期駆出性雑音を聴取.

胸部単純X線写真

CTR 45%,肺血管陰影増強なし.

12誘導心電図

洞調律,心拍数79回/分.

血液検査所見

白血球数8.0×103/µL,赤血球数4.76×106/µL,ヘモグロビン値14.3 g/dL,ヘマトクリット42.1%,血小板数258×103/µL,総蛋白7.5 g/dL,アルブミン4.9 g/dL,AST 26 U/L,ALT 42 U/L,総ビリルビン0.57 mg/dL,尿素窒素7.1 mg/dL,クレアチニン0.80 mg/dL,CRP 0.02 mg/dL,BNP 5.7 pg/mL.

術前経胸壁心臓超音波検査

左室駆出率81.2%,左室拡張末期径/収縮末期径41.8/23.9 mm,大動脈弁輪径25.6 mm,大動脈二尖弁,軽度の大動脈弁狭窄(最大圧較差35 mmHg),軽度の大動脈弁閉鎖不全,バルサルバ洞径42.9 mm,心室中隔欠損短絡なし.

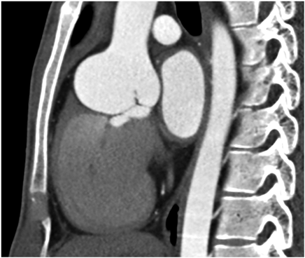
胸部造影CT検査

バルサルバ洞径47.9 mm,上行大動脈19.7 mm(Fig. 1).

Pediatric Cardiology and Cardiac Surgery 42(1): 27-31 (2026)

Fig. 1 胸部造影CT検査

右バルサルバ洞が前方に拡大し,バルサルバ洞の最大径は47.9 mmであった.

心臓カテーテル検査

大動脈弁輪径20 mm,バルサルバ洞径49.1 mm,左室–上行大動脈圧較差20 mmHg.心室中隔欠損短絡なし.

手術

胸骨正中切開を行い,上行大動脈送血,上下大静脈脱血で体外循環を確立した.右上肺静脈から左室ベントを挿入した後,大動脈を遮断し順行性に心筋保護液を注入し心停止とした.2回目以降の心筋保護液注入は選択的に行った.右心房を切開し,経三尖弁的に右室流出路方向を観察し心室中隔欠損が開口していないことを確認した.大動脈をSinotubular junction直上で切開し内腔を確認したところ,大動脈弁は二尖弁で交連は癒合しており,右バルサルバ洞は拡大していた.無冠尖,左冠尖のバルサルバ洞の拡大はなく,大動脈弁の変性はなかった.大動脈弁越しに薄く脆弱な心室中隔欠損閉鎖部位を確認した.右冠動脈ボタンを作成した後,右バルサルバ洞内を観察すると,瘤壁は,基部に近づくにつれ,右室心筋が透見できるほど肉眼的に菲薄であった.心室中隔側に接する基部約1/2を温存し,縫合ラインにすることとし,残りの瘤壁を切除した.24 mmの人工血管(Gelweave Straight graft,テルモ社)をトリミングしパッチを形成した.パッチを右バルサルバ洞瘤壁の内側の大動脈弁輪に縫着し右バルサルバ洞の形成を行った(Fig. 2, 3a, 3b).パッチ上縁の中央を半円状に切り取り,右冠動脈の移植を行った後,大動脈を吻合し再建した.人工心肺は容易に離脱可能であった.閉胸し手術を終了した.

Pediatric Cardiology and Cardiac Surgery 42(1): 27-31 (2026)

Fig. 2 手術所見

温存した右バルサルバ洞瘤壁(矢印)の内側の大動脈弁輪にトリミングした人工血管パッチを縫着し,右バルサルバ洞を形成した.

Pediatric Cardiology and Cardiac Surgery 42(1): 27-31 (2026)

Fig. 3 手術時の模式図

(3a)術前.(3b)術後.右バルサルバ洞瘤壁のうち心室中隔欠損側の約1/2を温存した.

術後経過

術後1日で抜管し,術後2日に経口摂取を再開した.術後5日に一般病棟へ転棟し,術後10日に退院となった.

右バルサルバ洞瘤壁の病理所見

大動脈壁の三層構造は保たれていたものの,中膜の菲薄化を認めた.マルファン症候群に典型的な嚢胞性中膜壊死の所見は認められなかった.弾性繊維の密度が低く不均等であった.

術後経胸壁心臓超音波検査

左室駆出率84.2%,左室拡張末期径/収縮末期径41.4/22.4 mm,大動脈弁輪径22.6 mm,大動脈二尖弁,軽度の大動脈弁狭窄(最大圧較差26.8 mmHg),軽度の大動脈弁閉鎖不全,バルサルバ洞径33.1 mm,心室中隔欠損短絡なし.

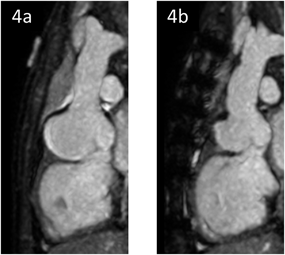
術前・術後MRI検査

術後6カ月のMRI検査では,バルサルバ洞径は術前の48.2 mmから36.9 mmに縮小し,再建した右バルサルバ洞の形態は良好に保たれていた(Fig. 4a, 4b).

Pediatric Cardiology and Cardiac Surgery 42(1): 27-31 (2026)

Fig. 4 MRI検査

(4a)術前.(4b)術後6カ月.バルサルバ洞径は48.2 mmから36.9 mmに縮小していた.再建した右バルサルバ洞の形態は良好に保たれていた.

考察

バルサルバ洞瘤は比較的稀な疾患であり,全先天性心疾患の0.1~3.5%と報告されている4).多くは偶発的に発見され,心室中隔欠損症や大動脈弁閉鎖不全症を伴うことも少なくない4).特に心室中隔欠損が大動脈弁下に存在する場合,逸脱した大動脈弁周囲組織が心室中隔欠損を閉鎖することで短絡が消失することがあるが,二次的にバルサルバ洞瘤を形成する原因になると考えられている8)

本症例は,14歳時に最大径40 mmの右バルサルバ洞瘤を認め,5年後には約45 mmと拡大傾向を示したため,無症状ではあったものの手術適応と判断した.自己弁温存大動脈基部置換術(David手術やYacoub手術)の妥当性についても検討したが,術前の検査では,大動脈弁輪径および上行大動脈径は正常範囲内であり,右バルサルバ洞以外のバルサルバ洞に拡大は認めず,大動脈二尖弁ではあったものの,大動脈弁狭窄は軽度で,有意な圧較差も認められなかった.また,本症例は出生時に傍膜様部から大動脈弁下に開口する径3.5 mmの心室中隔欠損症とそれに伴う右冠尖逸脱を認めていた.術前の心臓超音波検査や心臓カテーテル検査および術中所見においても,心室中隔欠損の残存交通は認めなかったものの,基部置換術を行い拡大した右バルサルバ洞の瘤壁を全て切除する場合,瘤壁を外側から大動脈基部まで剥離することになるが,正常圧の薄い右室心筋が露出し,また,心室中隔欠損が再開通する可能性もあるため,基部置換人工血管を縫着するのは複雑な手技が必要と判断した.そのため,右バルサルバ洞瘤壁のうち,心室中隔欠損閉鎖部と連続する部分を温存し,大動脈弁輪に人工血管をトリミングしたパッチを縫着することで,心室中隔欠損の再開通を防ぎつつ,バルサルバ洞を再建することが可能であった.本術式を選択することで,心室中隔欠損再開通のリスクは抑えつつ,将来的な瘤拡大や瘤破裂を防ぐことが可能であると考えられた.ほかの代替術式として,右バルサルバ洞壁を全切除した後に経右心房的に心室中隔欠損部をパッチで補強したうえで,バルサルバ洞を再建する方法も考えられた.しかし,パッチで補強する範囲が広範になる可能性があることや刺激伝導系損傷のリスクを考慮し,バルサルバ洞瘤壁を一部温存する本術式を選択した.我々の検索した限りでは,心室中隔欠損自然閉鎖後に生じたバルサルバ洞瘤に対する修復術において,心室中隔欠損再開通リスクを考慮してバルサルバ洞瘤壁の一部温存を検討した報告は認めなかった.また,人工血管(Gelweave Straight graft,テルモ社)は大動脈手術で広く使用されている素材であり,長期的な強度と形態保持能力に優れているため,再拡大予防の観点から最適であると判断してこれを使用した.

また,本症例は大動脈二尖弁を合併しているため,将来的に大動脈弁狭窄症の進行により,大動脈弁置換術が必要となる可能性が残る.このため,術後も心臓超音波検査による定期的な大動脈弁機能の評価と慎重な経過観察が必要である.

本症例は,乳児期に右冠尖逸脱を伴う心室中隔欠損が自然閉鎖したと判断されて以降,長期経過観察中にバルサルバ洞瘤の拡大を認めていた.このような症例においては,心室中隔欠損の閉鎖機転を正確に評価し,弁尖逸脱による閉鎖が考えられる場合は定期的な画像検査を行うことが重要である.

また,未破裂であっても,将来的な破裂のリスクがあるため,可及的早期の外科的介入が推奨されている4).術式に関しては,マルファン症候群などの結合組織変性を伴う患者に対してDavid手術やBentall手術といった大動脈基部置換術が選択されることがある1, 6).Nakagiriらは,マルファン症候群のバルサルバ洞瘤症例において,肉眼的には拡大していないバルサルバ洞壁の中膜においても弾性線維の欠損を認めたと報告している9).このような変性疾患を有する患者に対しては,バルサルバ洞の修復だけではなく,大動脈基部全体を置換するほうが予後改善に寄与する可能性がある.一方で,変性疾患の合併がなく,大動脈弁の性状や機能が正常の場合は,単独のバルサルバ洞修復術が選択され,良好な成績が報告されている5).大動脈基部や大動脈弁の形態および性状などによって最適な術式を決定する必要がある.

結語

心室中隔欠損症自然閉鎖後に拡大傾向を認めた未破裂の右バルサルバ洞瘤に対し,心室中隔欠損再開通のリスクを考慮して瘤壁を一部温存し,その内側に人工血管を用いて修復術を行い良好な結果を得た.バルサルバ洞瘤に対しては,大動脈基部や弁の形態および性状,本症例のような基礎心疾患の病態に応じて適切な術式選択をすることが重要である.

利益相反

本論文において,開示すべき利益相反はない.

著者の役割

畑岡努:原稿の起草,知的内容の考察

佐々木祐登,松井謙太,稲田雅弘,松永慶廉,浅見雄司,中島公子,池田健太郎,下山伸哉,岡村達:重要な知的内容に関わる批判的な推敲,出版原稿の最終承認

付記

患者個人を特定しうる情報に関しては十分匿名化を行った.また,論文作成にあたり,本人および両親から口頭で同意を得た.

引用文献References

1) Pólos M, Șulea CM, Benke K, et al: Giant unruptured sinus of Valsalva aneurysm successfully managed with valve-sparing procedure: A case report. J Cardiothorac Surg 2020; 15: 6

2) Fukui S, Mitsuno M, Yamamura M, et al: Successful repair of unruptured aneurysm of the right sinus of Valsalva. Ann Thorac Surg 2008; 86: 640–643

3) Chaganti YS, Husain SM, Iyer VR, et al: Sinus of Valsalva aneurysm: A single institutional experience with 216 patients over 30 years. J Card Surg 2022; 37: 4448–4455

4) Feldman DN, Roman MJ: Aneurysms of the sinuses of Valsalva. Cardiology 2006; 106: 73–81

5) El-Ashry A, Estrera AL: Patch repair of an isolated right sinus of Valsalva aneurysm. Ann Thorac Surg 2016; 101: e199–e201

6) Lu S, Sun X, Wang C, et al: Surgical correction of giant extracardiac unruptured aneurysm of the right coronary sinus of Valsalva: Case report and review of the literature. Gen Thorac Cardiovasc Surg 2013; 6: 143–146

7) Darabian S, Ahmadi SH, Abbasi K, et al: Giant unruptured noncoronary sinus of Valsalva aneurysm. J Card Surg 2009; 24: 351–353

8) Tomita H, Arakaki Y, Ono Y, et al: Severity indices of right coronary cusp prolapse and aortic regurgitation complicating ventricular septal defect in the outlet septum: Which defect should be closed? Circ J 2004; 68: 139–143

9) Nakagiri K, Kadowaki T, Morimoto N, et al: Aortic root reimplantation for isolated sinus of Valsalva aneurysm in the patient with Marfan’s syndrome. Ann Thorac Surg 2012; 93: e49–e51

This page was created on 2026-02-13T16:43:32.737+09:00
This page was last modified on 2026-03-06T10:17:56.000+09:00


このサイトは(株)国際文献社によって運用されています。