Online ISSN: 2187-2988 Print ISSN: 0911-1794
特定非営利活動法人日本小児循環器学会 Japanese Society of Pediatric Cardiology and Cardiac Surgery
Pediatric Cardiology and Cardiac Surgery 40(2): 91-102 (2024)
doi:10.9794/jspccs.40.91

ReviewReview

心筋炎Myocarditis

あいち小児保健医療総合センター 小児心臓病センター 循環器科Department of Pediatric Cardiology, Kids’ Heart Center, Aichi Children’s Health and Medical Center ◇ Aichi, Japan

発行日:2024年5月31日Published: May 31, 2024
HTMLPDFEPUB3

「2023年改訂版 心筋炎の診断・治療に関するガイドライン」では,心筋炎はその発症様式や時間経過により,急性心筋炎,慢性活動性心筋炎,慢性心筋炎,慢性炎症性心筋症,心筋炎後心筋症に分類された.心内膜心筋生検が心筋炎診断のgold standardであるが,近年,心臓MRIの重要性が高くなっていることを反映し,急性心筋炎を示唆する症状,徴候,臨床経過に心筋トロポニン値の上昇を伴う場合,心臓MRIでLake Louise Criteriaを満たす画像所見を示せば,心筋生検を施行せずに急性心筋炎と診断する診断アルゴリズムが提言された.しかし慢性活動性心筋炎,慢性炎症性心筋症の確定診断には心内膜心筋生検が必須である.本総説では2023年改訂版ガイドラインに沿って,心筋炎の診断,治療,管理について自験例を織り交ぜて概説する.心筋炎は臨床経過と非侵襲的検査のみでは診断できないため,心筋生検and/or心臓MRIで確定診断する必要がある.拡張型心筋症と臨床診断した症例の中には慢性活動性心筋炎,慢性炎症性心筋症が一定数存在する.これらの症例を適切に診断,治療,管理することは小児期のみならず,成人期に至るまで重症心不全診療の成績向上に寄与するものと期待する.

The JCS 2023 Guidelines on the Diagnosis and Treatment of Myocarditis classifies myocarditis as acute, chronic active, chronic, chronic inflammatory cardiomyopathy, or postmyocarditis cardiomyopathy. Endomyocardial biopsy is the gold standard for the diagnosis of myocarditis, but cardiac magnetic resonance imaging (MRI) has become increasingly important in recent years. In cases with suggestive symptoms, signs, and clinical course accompanied by elevated cardiac troponin levels, cardiac MRI findings that meet the Lake Louise criteria can be used to diagnose acute myocarditis without endomyocardial biopsy. However, endomyocardial biopsy is essential for the definitive diagnosis of chronic active myocarditis and chronic inflammatory cardiomyopathy. In this review, we provided an overview of the diagnosis, treatment, and management of myocarditis in accordance with the 2023 revised guidelines, including our own case studies. The diagnosis of myocarditis cannot be based on clinical course and noninvasive tests alone, and it needs to be confirmed by myocardial biopsy or cardiac MRI. A certain number of cases that were clinically diagnosed as dilated cardiomyopathy were chronic active myocarditis and chronic inflammatory cardiomyopathy. Appropriate diagnosis, treatment, and management of these patients are expected to improve the outcomes of severe heart failure in both childhood and adulthood.

Key words: cardiomyopathy; endomyocardial biopsy; cardiac magnetic resonance imaging; heart failure; guideline

はじめに

2009年に「急性および慢性心筋炎の診断・治療に関するガイドライン(2009年改訂版)」(班長 和泉徹)1)が日本循環器学会を中心に作成され,心筋炎診療の臨床現場において活用されてきた.しかしその後の欧米からのポジションステートメント2)やエキスパートコンセンサス3)では,心筋炎を急性心筋炎と慢性炎症性心筋症に大きく分類する方向にシフトし,慢性心筋炎という用語は世界的にはあまり使用されなくなってきた.また,心臓MRI技術の目覚ましい進歩により,心筋炎診療における心臓MRIの位置付け,重要性が非常に高くなってきている.こうした世界的潮流を踏まえ,本邦の心筋炎ガイドラインも全面改訂に至り,「2023年改訂版 心筋炎の診断・治療に関するガイドライン」(班長 永井利幸)4)とタイトルも変更された.本総説ではこの2023年改訂版ガイドラインに沿う形で,自験例を織り交ぜながら小児心筋炎の診断および治療について概説する.なお,本総説の論旨は日本小児循環器学会 第20回教育セミナーBasic Course(2023年7月8日開催)において発表した.

心筋炎の定義,分類

定義

心筋炎は心筋を主座とした炎症性疾患である.感染や免疫系の賦活化などの結果として生じ,心不全や不整脈など多彩な病態,臨床像を呈する症候群である.炎症が心膜まで及ぶ場合,心膜心筋炎と呼ばれる.病理学的には炎症細胞浸潤と炎症細胞に近接する心筋細胞の傷害(変性,壊死)を特徴とし,心筋炎とは元来は病理診断名である.したがって,心内膜心筋生検による病理学的診断が心筋炎診断のgold standardである5, 6)

臨床病型分類(Clinical feature; Table 1)

心筋炎の概念図をFig. 1に示す.発症様式や時間経過により,急性心筋炎,慢性活動性心筋炎,慢性心筋炎,慢性炎症性心筋症,心筋炎後心筋症に分類された.急性心筋炎と慢性活動性心筋炎はいわば現在進行形の心筋炎で,炎症細胞浸潤と心筋細胞傷害をともに有する活動性心筋炎である.慢性心筋炎および慢性炎症性心筋症はその時点において炎症細胞浸潤を認めるものの心筋細胞傷害を伴わない.心筋炎後心筋症は,心筋炎は治癒しているが線維化や瘢痕とともに機能障害が残存するものである.従来のガイドラインで「慢性心筋炎」として扱われた疾患概念は「慢性活動性心筋炎」として再定義されている.

Table 1 Classification of myocarditis
Clinical featureEtiologyHistology
Acute myocarditisInfectiousLymphocytic
ClinicalViralGiant cell
FulminantBacterialEosinophilic
SubclinicalFungalGranulomatous
Rickettsial
Chronic active myocarditisSpirochetal
PersistentProtozoal, parasitic
SubclinicalOther
Chronic myocarditisNoninfectious
Chemicals
Chronic inflammatory cardiomyopathyDrugs (including vaccines)
(including inflammatory dilated cardiomyopathy)Other chemicals
Hypersensitivity reactions
Systemic diseases
Post-myocarditis cardiomyopathyCollagen disease, Kawasaki disease
Sarcoidosis, etc.
Radiation, heatstroke
Unknown etiology
Idiopathic
Modified from Table 7 of Reference 4).
Pediatric Cardiology and Cardiac Surgery 40(2): 91-102 (2024)

Fig. 1 Conceptual diagram of myocarditis

Cited from Figure 2 of Reference 4).

急性心筋炎のうち,発症が明らかで発症後30日未満のものを顕性急性心筋炎,なかでも致死的経過をとるものを劇症型心筋炎と表現する.発症日を特定できない不顕性急性心筋炎は実臨床において急性期に診断に至ることはまずない.

慢性活動性心筋炎(従来の慢性心筋炎)は拡張型心筋症様の病態を呈し,以前から遷延性と不顕性の2つに分類されてきた.遷延性慢性活動性心筋炎は急性心筋炎発症から30日以上持続遷延する心筋炎(炎症細胞浸潤,心筋細胞傷害)で,一方,不顕性慢性活動性心筋炎は急性心筋炎の発症時期を特定できず,慢性的に心筋炎(炎症細胞浸潤,心筋細胞傷害)が持続する状態である.2009年ガイドラインでは「発症から数カ月以上」持続するものが「慢性」と定義されていたが,2023年改訂版では「発症から30日以上」持続するものが「慢性」と再定義された.

慢性炎症性心筋症は心室機能低下を伴い,発症から30日以上の経過で心筋組織での炎症細胞浸潤や線維化を認めるが,その時点で心筋細胞傷害を伴わないものである.拡張型心筋症のうち,持続的な心筋の炎症を伴う一群を炎症性拡張型心筋症と称し予後不良であることが示されたが7),炎症性拡張型心筋症は慢性炎症性心筋症に含まれるとされる.また,2023年改訂版における慢性心筋炎は,急性心筋炎から慢性炎症性心筋症への移行期と捉えられている.

心筋炎後心筋症は心筋炎が消退し活動性炎症所見を認めないにもかかわらず,心室リモデリングにより拡張型心筋症様の病態を呈するものである.

病因分類(Etiology; Table 1)

感染性と非感染性に大別される.感染性の中ではウイルス性が最多であると考えられている8).心内膜心筋生検で心筋炎と診断された42例中,心筋組織または血液検体においてpolymerase chain reaction法でウイルスが検出されたのは14例(33%)との報告がある9).従来,アデノウイルスとエンテロウイルスが多いとされてきたが,最近の研究ではパルボウイルスB19とヒトヘルペスウイルス6の頻度が高いことが示されている5).非感染性ではワクチンを含む薬物等の化学物質,川崎病や膠原病に代表される全身性疾患などが誘因となる.全身性エリテマトーデス患児のうち10.8%で心筋炎や心膜炎を合併していたと報告されている10)

組織分類(Histology; Table 1)

リンパ球性,巨細胞性,好酸球性,肉芽腫性に分類される.多くはリンパ球性心筋炎と考えられ,約70%を占めるとされている11).小児例ではリンパ球性心筋炎の頻度がさらに高く,209例中207例(99%)がリンパ球性心筋炎で,好酸球性心筋炎は2例(1%)のみ,巨細胞性心筋炎はみられなかったとの報告がある12).病理学組織学的に診断しえた自験例20例の内訳は,リンパ球性が19例(95%),好酸球性が1例(5%)であった.

心筋炎の症状・徴候

無症状あるいはごく軽微な症状のみのものから,心原性ショックや致死性不整脈,突然死に至るものまで多彩な臨床像を呈する.感冒様症状が先行し,数日から数週間の経過で心不全や不整脈による症状が出現するが,先行感染が明らかでないことも決してまれではない.腹痛や嘔吐等の消化器症状は,循環不全による症状であることが多く,特に劇症型心筋炎の初期症状として高頻度にみられる.消化器症状は劇症化徴候のひとつであることを認識する必要がある.炎症が心膜まで及ぶと胸痛を呈する.心不全徴候を認めず,症状として胸痛のみを呈する心膜心筋炎をしばしば経験する.

心筋炎の検査所見

心電図

R波減高,異常Q波,ST-T異常,低電位,洞停止,房室ブロック,脚ブロック,心室内伝導障害,心静止,洞性頻脈,心房性または心室性不整脈など,さまざまな心電図異常がみられる.初期の心電図異常が軽微でも,病状の進展により波形は刻々と変化することがあるため注意を要する.症状・徴候から心筋炎が疑われるすべての患者に対して12誘導心電図検査を行うこと,急性心筋炎と診断された患者に対して24時間心電図モニタリングと繰り返し12誘導心電図検査を行うことが推奨される(クラスI).自験例をFig. 2に示す.

Pediatric Cardiology and Cardiac Surgery 40(2): 91-102 (2024)

Fig. 2 Electrocardiographic findings of myocarditis in our cases

A) ST elevation. B) ST depression. C) Ventricular tachycardia. D) Multifocal atrial tachycardia. E) Advanced atrioventricular block. F) Complete atrioventricular block with wide QRS.

予後不良を示唆する心電図所見として,QRS幅の延長(≧120 ms),左脚ブロック,異常Q波,QTc延長(≧440 ms),高度房室ブロック,持続性心室頻拍が報告されている.一方,予後良好を示唆するものとして,異常なし,心膜炎様のST上昇が挙げられる13)

血液検査

A)炎症マーカー

急性心筋炎では白血球数,CRP,赤血球沈降速度などが上昇するが,いずれも非特異的であり,診断的価値は低い.

B)心筋傷害マーカー

心筋傷害を反映して,心筋構成蛋白であるAST,LDH,CK-MB,心筋トロポニン(トロポニンT,トロポニンI)などが上昇する.このうち心筋トロポニンは心筋特異性が高く,心筋傷害を鋭敏に反映する.軽微な心筋傷害を検出でき,発症早期の心筋炎においても上昇するため診断的価値が高い.心筋トロポニンT 0.05 ng/mLをカットオフ値とすると,心筋炎の診断感度83%,特異度80%である14).心筋トロポニンの高値持続や再上昇は心筋傷害の持続や再発(慢性活動性心筋炎)を示唆しており,予後不良を示唆する.逆に心筋トロポニンの早期低下は予後良好を示唆する15)

C)心不全マーカー

心筋炎に特異的ではないが,心室拡張末期圧上昇を示唆するバイオマーカーであるBNPやNT-pro BNPを測定する.低心拍出症候群の結果としての血液ガス分析や乳酸値も重要な指標である.

D)感染症検査,ウイルス分離

コクサッキーウイルスをはじめとしたエンテロウイルス,アデノウイルス,パルボウイルスなど,多くのウイルスが病因となりうる.血液,気道分泌物,尿,便などの検体からのウイルス分離検査を行うが,ウイルスの検出は必ずしも心筋への感染を意味するわけではない.

ウイルス抗体価の測定も原因ウイルスの特定には有用ではないことが多いため,心筋炎の病原体を特定する目的のためにルーチンで行うことは推奨されない(クラスIII).

心エコー図

急性心筋炎の典型的な所見は,炎症部位に一致した浮腫状の壁肥厚,壁運動低下,内腔狭小化,心膜液貯留で,炎症が消退し急性期を過ぎれば回復に至る例が多い.発症初期には機能低下が軽度でも経時的に悪化する場合や,心腔内血栓を生じる例もあり,厳重なモニタリングを要する.左室収縮能は保たれるものの房室伝導障害が病態の主体である例,左室腔拡大や壁菲薄化,収縮低下から拡張型心筋症と判別できない例もある.多くは左室優位に機能低下を来すが,右室優位の心筋炎も時にみられる.自験例をMovie 1に示す.

慢性活動性心筋炎や慢性炎症性心筋症では左室拡大,びまん性の壁運動低下を来すことが多く,拡張型心筋症と同様の所見を呈する.

心臓MRI

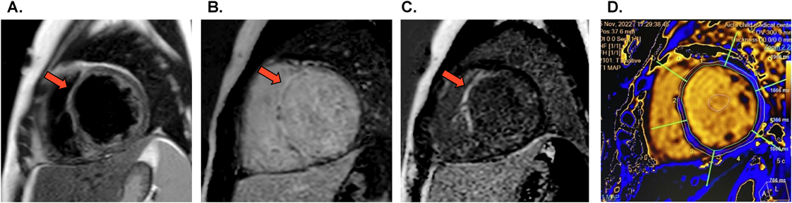
近年の心臓MRI技術の進歩は目覚ましく,心筋炎診療における心臓MRIの位置付け,重要性が非常に高くなってきている.2009年に心臓MRIによる急性心筋炎画像診断基準(Lake Louise Criteria)16)が示され,その後,心筋固有の信号値を示すT1/T2マッピングや細胞外容積分画を用いた心筋傷害評価法のエピデンスが蓄積され,2018年にLake Louise Criteriaが改訂された17).心筋浮腫を示すT2を基準とした画像の判定基準(T2強調像またはT2マッピングで陽性所見),および心筋傷害を示すT1を基準とした画像の判定基準(ガドリニウム遅延造影LGE, T1マッピング,細胞外容積分画のうち1つ以上の陽性所見)をともに満たせば心筋炎と画像診断できる(Table 2).しかし,発症からの時間経過とともに心臓MRIによる心筋炎診断能は低下するため,発症後2~3週間以内に行うことが望ましい.Lake Louise Criteriaはあくまでも「急性」心筋炎の画像診断基準であることに留意する必要があるが,慢性活動性心筋炎においてもLake Louise Criteriaを満たす例がある(Fig. 3).

Table 2 Criteria for diagnostic imaging for acute myocarditis using cardiac MRI
Lake Louise Criteria II (2018 revised version) 
(2 of the 2 major items are positive)
Diagnostic targets
Main criteria
T2-based imagingMyocardial edema
(1) Regional high T2 signal intensity
(2) Signal intensity in a local area or the entire myocardium at least double that of skeletal muscle in T2-weighted images
(3) Regional or global increase of native myocardial T2 value
Any 1 of (1)–(3)
T1-based imagingEdema, necrosis, fibrosis,hyperemia/capillary leak
(1) Regional or global increase of native myocardial T1 value
(2) Increased ECV
(3) with high signal intensity in a nonischemic distribution pattern in LGE images
Any 1 of (1)–(3)
Supportive criteria
Pericardial effusion on cine MRI imagesPericardial inflammation
or
Pericardial high signal intensity on LGE images
Systolic left ventricular asynergy (strain) in cine MRI imagesDecreased left ventricularfunction
ECV, extracellular volume; LGE, late gadolinium enhancement; MRI, magnetic resonance imaging. Modified from Table 18 of Reference 4).
Pediatric Cardiology and Cardiac Surgery 40(2): 91-102 (2024)

Fig. 3 Cardiac MRI findings in our case of persistent chronic active myocarditis 4 months after onset of fulminant myocarditis. These findings met the diagnostic criteria for acute myocarditis according to both the 2009 and 2018 Lake Louise Criteria

A) T2-weighted black blood imaging. Arrow indicates regional high T2 signal intensity. B) Early gadolinium enhancement imaging. Arrow indicates positive finding of the enhancement. C) Late gadolinium enhancement imaging. Arrow indicates positive finding of the enhancement. D) T1 mapping showed prolonged native T1 values (mean 1251 ms; reference value 1050+/−50 ms) and extracellular volume fraction increased to 46.6%.

心臓MRIによる予後評価として,生検で確定診断したウイルス性心筋炎において,発症5日以内に施行した心臓MRIでのLGE陽性例は陰性例に比してその後の心臓死,突然死が有意に高いことが報告されている18).また,発症6カ月後の心臓MRIで心筋浮腫消失後もLGEが残存する例,初期よりもLGEの範囲が拡大する例は予後不良との報告もある19).急性心筋炎の診断,病態モニタリング,予後評価を行う目的での心臓MRI撮影は推奨クラスIである.

心筋生検

上述のとおり,心筋炎診断のgold standardは心内膜心筋生検による病理学的診断である.急性心筋炎が疑われる場合,心臓カテーテル検査で冠動脈疾患を除外した上で,血行動態評価,心内膜心筋生検を行うことを当施設では原則としている.慢性活動性心筋炎,慢性炎症性心筋症が疑われる場合,その確定診断には心内膜心筋生検が必須である.拡張型心筋症と臨床診断された小児184例(0~10才)のうち,病理検査(心筋生検,摘出心,剖検)を施行した70例中25例(35.7%)がリンパ球性心筋炎であったとの報告20)や,左室形成術を行った拡張型心筋症成人患者64例(16~71才)中9例(14.0%)で活動性心筋炎と診断でき,21例(32.8%)はボーダーラインの心筋炎であったとの報告21)がある.拡張型心筋症と臨床診断された症例の中には活動性心筋炎,炎症性心筋症が一定数存在することを示しているが,心筋生検をしなければ正確な診断には至らない.入院当初,拡張型心筋症と臨床診断したものの,のちに心内膜心筋生検で急性心筋炎と確定診断した小児例を当施設でも複数例経験している(Movie 1-C).

Pediatric Cardiology and Cardiac Surgery 40(2): 91-102 (2024)

Movie 1-C

生検検体は,大腿静脈または内頚静脈からのアプローチで右室の心室中隔側より採取することが多い.左室からも採取可能であるが,当施設では右室からの採取を基本としている.採取した心筋組織片はヘマトキシリン・エオジン染色を基本として,線維化評価のためのマッソン・トリクローム染色やシリウスレッド染色,さらに免疫染色(CD3, CD68,テネイシンCなど)を行い組織診断する.

ガイドラインでは,重症心不全あるいは心原性ショックを伴う急性心筋炎が疑わる場合(成人例での推奨クラスI),急性心不全,心室不整脈あるいは高度房室ブロックを伴う急性心筋炎が疑われる場合(同クラスI),末梢血好酸球増多症を伴う急性心筋炎が疑われる場合(同クラスIIa),免疫チェックポイント阻害薬による急性心筋炎が疑われる場合(同クラスIIa),慢性活動性心筋炎あるいは慢性炎症性心筋症が疑われる場合(同クラスIIa)に心内膜心筋生検が推奨されている.急性心筋炎における心内膜心筋生検は発症後2~4週以内に行うことが望ましい2, 11, 22)

小児例においても,心筋炎の診断を目的として経カテーテル的に心内膜心筋生検を行うことは推奨クラスIIaである.主要な合併症発生率は約1%とされ,その内訳は死亡(0~0.07%),心穿孔・タンポナーデ(0~6.9%),気胸・空気塞栓(0~0.8%),血栓塞栓症(0~0.32%),弁損傷(0.02~1.1%),重症不整脈・房室ブロック(0~11%)などである23).心内膜心筋生検施行に際しては十分な注意を払う必要があり,心筋生検を施行できる環境が整っていない場合,施行可能な施設への転送を考慮することが望ましいとされている.

診断アルゴリズム

急性心筋炎(Fig. 4)

症状・徴候から心筋炎が疑われ,発症から30日未満の経過で,非侵襲的検査(心電図,血液検査,心エコー図,心臓MRI)で心筋炎を支持する所見を認める場合,虚血性心疾患を除外し,心内膜心筋生検で心筋炎の病理像(炎症細胞浸潤,心筋細胞傷害)が認められれば急性心筋炎と確定診断する.心筋生検施行不可能あるいは採取した標本に心筋炎の病理像がない(サンプリングエラー)場合でも,急性心筋炎を示唆する症状・徴候・臨床経過があり,高感度心筋トロポニン値の上昇,心臓MRIで急性心筋炎画像診断基準(Lake Louise Criteria, T1基準かつT2基準)を満たせば,急性心筋炎と確定診断する.

Pediatric Cardiology and Cardiac Surgery 40(2): 91-102 (2024)

Fig. 4 Diagnostic algorithm for acute myocarditis

BNP, B-type natriuretic peptide; CK-MB, creatine kinase myocardial bound; CT, computed tomography; ECV, extracellular volume; LVEF, left ventricular ejection fraction; MRI, magnetic resonance imaging. Modified from Figure 21 of Reference 4).

慢性活動性心筋炎,慢性炎症性心筋症(Fig. 5)

症状・徴候から心筋炎が疑われ,発症から30日以上の経過で,非侵襲的検査(心電図,血液検査,心エコー図)で心筋炎を支持する所見を認める場合,虚血性心疾患を除外し,心内膜心筋生検で炎症細胞浸潤かつ心筋細胞傷害の所見が認められれば慢性活動性心筋炎と診断する.炎症細胞浸潤を認めるものの,心筋細胞傷害所見がない場合は慢性炎症性心筋症と診断する.慢性活動性心筋炎および慢性炎症性心筋症の診断アルゴリズムに心臓MRIでの評価は登場しない.

Pediatric Cardiology and Cardiac Surgery 40(2): 91-102 (2024)

Fig. 5 Diagnostic algorithm for chronic active myocarditis and chronic inflammatory cardiomyopathy

BNP, B-type natriuretic peptide; HPF, high-power field (×40 objective lens with field number 22). Cited from Figure 22 of Reference 4).

治療・管理

血行動態不安定例への対応

劇症型心筋炎は「血行動態の破綻を急激にきたし,致死的経過をとる急性心筋炎」と定義される.本邦では従来,「体外循環補助を必要とした重症度を有する」心筋炎とする傾向にあるが,欧米ではカテコラミン静注での循環補助を要するものを劇症型心筋炎とみなすことがあり,国際的にもその定義は厳密ではない.血行動態が不安定な状態とは,低心拍出状態(心ポンプ失調)と致死性不整脈の出現である.心室機能低下に対してはカテコラミンやホスホジエステラーゼIII阻害薬を静注投与する.静注強心薬投与後も心原性ショック状態から離脱できない症例では機械的循環補助の適応であり,その導入を躊躇してはならない.成人のみならず,小児や新生児においても機械的補助循環の適応となる(推奨クラスI).小児例における機械的循環補助の多くはveno-arterial extracorporeal membrane oxygenation(VA-ECMO)で,intra-aortic balloon pumping(IABP)や補助循環用ポンプカテーテル(IMPELLA)による補助はあまりされない.発症から30日以上経過後も心機能の改善がない場合は心臓移植,補助人工心臓の適応を考慮する.

心筋炎では様々な不整脈を高頻度に合併する.心筋浮腫,心筋細胞傷害による電気的不安定性,冠微小循環障害による心筋虚血,治癒過程での瘢痕化した心筋組織などが不整脈発生源となる.心室収縮不全を伴わない例でも不整脈は生じうる.完全房室ブロックや心室頻拍などの致死性不整脈に対しては,一時ペーシングやECMO導入など緊急対応を要する.

血行動態安定例への対応

血行動態安定例は心筋炎罹患後5年間の心臓死および心臓移植率0%で,不安定例(同14.7%)と比較し予後良好である24).しかし,明らかな心不全症状がなくても48時間以上の入院経過観察が望ましい(推奨クラスIIa).LVEF低下例(50%未満)ではACE阻害薬やβ遮断薬などの心保護薬を導入することが推奨され(クラスIIa),その後LVEFの改善がみられる例でも少なくとも6カ月間は継続する.LVEFが改善しない例では慢性活動性心筋炎や慢性炎症性心筋症へ移行している可能性があるため,心筋トロポニンなどの心筋傷害マーカーを再検し,心筋生検の適応を検討する.

LVEFが保たれている例(50%以上)への心保護薬導入は,重症化や左室機能低下の予防に寄与するかどうか定かでない(推奨クラスIIb).症状や検査所見の改善が得られても,発症から6カ月間は激しい運動を避けることを考慮してもよい(推奨クラスIIb).症状軽快後も,慢性期に心筋炎が再発したり,拡張型心筋症様にリモデリングしたりする例も報告されており,定期フォローを行うことが推奨される(クラスIIa).

免疫抑制療法

ステロイド

組織学的病型のうち最多であるリンパ球性心筋炎に対するステロイド投与の是非については,いまだ十分なエビデンスがない.少なくとも,急性リンパ球心筋炎に対してルーチンでステロイド投与することは推奨されない(クラスIII).小児心筋炎急性期治療に関する本邦の調査(2006~2011年,221例)においてステロイド投与の頻度は27.6%であったが,劇症型心筋炎症例に対するステロイド投与の有無で生存率に有意差はみられなかった(53.9% vs 39.5%)ものの,非劇症型急性心筋炎ではステロイド投与群の生存率は非投与群よりも有意に低かった(77.1% vs 95.5%, p=0.003)25).やはり小児においても,全例にルーチンで投与することは避けるべきであろう.しかし,ステロイド投与が奏効する例が一定数存在することも確かであり,急性リンパ球性心筋炎対するステロイド投与は決して禁忌ではない.

当施設では血行動態が不安定な急性心筋炎(劇症型心筋炎)において,房室ブロックや心室頻拍など伝導障害が病態の主体である場合,あるいはECMO導入後3~5日経過しても回復の兆しがない場合にステロイドパルス療法を行っている.ステロイドパルス療法により急速に房室伝導障害が改善した自験例をFig. 6に示す.完全房室ブロック(A)が初回メチルプレドニゾロン30 mg/kg投与の8時間後には2 : 1房室伝導となり,24時間後(2回目投与直前)には1 : 1房室伝導(B)に回復した.さらに24時間後(3回目投与直前)には延長していたQRS幅が正常化(C)していた.

Pediatric Cardiology and Cardiac Surgery 40(2): 91-102 (2024)

Fig. 6 Electrocardiogram changes before and after steroid pulse therapy in our case

A) Presented with complete atrioventricular block before steroid pulse therapy. B) Twenty-four hours after the first 30 mg/kg dose of methylprednisolone (just before the second dose), 1 : 1 atrioventricular conduction was restored. C) After another 24 hours (just before the third dose), the wide QRS returned to narrow.

好酸球性心筋炎および巨細胞性心筋炎はステロイド投与のよい適応とされ,推奨度は高い(クラスIまたはIIa).

免疫抑制剤

慢性活動性心筋炎や慢性炎症性心筋症に対する免疫抑制療法(ステロイド,免疫抑制剤)の効果についても明確なエビデンスは確立していないが,ステロイド(プレドニゾロン)と免疫抑制剤(アザチオプリン,シクロスポリン)の併用療法が血行動態の改善や病理組織学的な改善に有効であるとの報告がある26, 27).当施設では比較的状態が安定した慢性活動性心筋炎(左室機能低下,BNP高値,心筋トロポニン値上昇)に対して,まずはプレドニゾロンを1カ月間(2→1.5→1→0.5→0.25 mg/kg/day)投与し,心内膜心筋生検を再検する.炎症の消退が確認できれば標準的慢性心不全治療のみを継続するが,炎症が遷延する場合はプレドニゾロン(1 mg/kg/dayを1カ月間+0.33 mg/kg/dayを5カ月間)とアザチオプリン(2 mg/kg/dayを6カ月間)による免疫抑制療法を標準的慢性心不全治療と併用して行っている.

免疫グロブリン

大量免疫ブロブリン療法は受動免疫によるウイルス除去や細胞性免疫の過剰活性化抑制,細胞傷害性T細胞による心筋細胞傷害の軽減,サイトカイン産生抑制などを期待して行うが,その有効性は確立していない.小児心筋炎急性期治療に関する本邦の調査(2006~2011年,221例)では免疫グロブリンの投与頻度は64.3%で,ステロイド(27.6%)投与より高頻度であった.非劇症型急性心筋炎症例では免疫グロブリン投与の有無で生存率に有意差はみられなかった(90.0% vs 92.7%)が,劇症型心筋炎では免疫グロブリン投与群の生存率は非投与群よりも有意に高かった(59.6% vs 15.0%, p<0.005)25).ガイドラインでは成人例(血行動態安定例,不安定例)に対する免疫グロブリン療法は推奨クラスIIbであるが,小児例に対しては推奨クラスIIaである.当施設では心筋炎と臨床診断した全例に対して大量免疫ブロブリン療法(1 g/kg/dayを2日間)を行うことを基本としている.

予後

急性心筋炎

急性心筋炎の多くが自然に軽快するが,心原性ショックが急性心筋炎全体の8.6%にみられ,院内死亡率は2.7%である24).LVEF低下(50%未満),持続性心室性不整脈,低心拍出症候群の例では心臓死および心臓移植は発症から30日時点で10.4%,5年時点で14.7%である24).劇症型心筋炎例では短期でも,遠隔期でも非劇症型に比して心臓死,心臓移植の発生率が有意に高い.循環補助装置を要する劇症型心筋炎の死亡率は20~50%ほどで,多くは30日以内である.劇症型心筋炎例の10~15%は強心薬や循環補助装置から離脱できず,補助人工心臓や心臓移植が必要となる.

組織学的病型によっても予後は異なる.巨細胞性心筋炎の生命予後は著しく不良で,次いでリンパ球性心筋炎,好酸球性心筋炎の順である.好酸球性心筋炎はリンパ球性心筋炎に比して生命予後は良好であるが,診断後1年でのLVEFはリンパ球性心筋炎のそれよりも低いとの報告もある28).急性期を脱した後の炎症遷延の有無が病型により異なる可能性があり,心筋生検による組織診断の重要性を示している.

慢性活動性心筋炎,慢性炎症性心筋症

心筋生検で炎症細胞浸潤が確認された慢性活動性心筋炎,慢性炎症性心筋症は,炎症細胞浸潤を認めない拡張型心筋症よりも予後不良である.予後不良因子として,炎症細胞浸潤数,ウイルスゲノム陽性,HLA-DR陽性,心電図でのQRS幅延長,心臓MRIでのLGE陽性などが挙げられる.急性心筋炎から慢性活動性心筋炎あるいは慢性炎症性心筋症へ移行する症例は報告されているが,その頻度は不明である.慢性活動性心筋炎・慢性炎症性心筋症では遠隔期死亡が少なからず観察されており29),その実態を把握する必要がある.

結語

  • 心筋炎の診断,管理について2023年改訂版ガイドラインに沿い,自験例を織り交ぜて概説した.
  • 心筋炎は臨床経過と非侵襲的検査(心電図,血液検査,心エコー図)のみでは診断できないため,心筋生検and/or心臓MRIで確定診断する必要がある.
  • 急性心筋炎から慢性期への遷延例や拡張型心筋症と臨床診断した症例の中には慢性活動性心筋炎,慢性炎症性心筋症が一定数存在すると考えられる.これらの症例を適切に診断,治療,管理することは小児期のみならず,成人期に至るまで重症心不全診療の成績向上に寄与するものと期待する.

利益相反

本総説に関して開示すべき利益相反はない.

付記

この論文の電子版にて動画を配信している.

引用文献References

1) 和泉 徹,磯部光章,河合祥雄,ほか:急性および慢性心筋炎の診断・治療に関するガイドライン(2009年改訂版).循環器病の診断と治療に関するガイドライン(2008年度合同研究班報告).

2) Caforio AL, Pankuweit S, Arbustini E, et al: European Society of Cardiology Working Group on Myocardial and Pericardial Diseases: Current state of knowledge on aetiology, diagnosis, management, and therapy of myocarditis: A position statement of the European Society of Cardiology Working Group on Myocardial and Pericardial Diseases. Eur Heart J 2013; 34: 2636–2648

3) Ammirati E, Frigerio M, Adler ED, et al: Management of acute myocarditis and chronic inflammatory cardiomyopathy: An expert consensus document. Circ Heart Fail 2020; 13: e007405

4) 永井利幸,猪又孝元,河野隆志,ほか:2023年改訂版 心筋炎の診断・治療に関するガイドライン.

5) Kindermann I, Barth C, Mahfoud F, et al: Update on myocarditis. J Am Coll Cardiol 2012; 59: 779–792

6) Piccirillo F, Watanabe M, Di Sciascio G: Diagnosis, treatment and predictors of prognosis of myocarditis: A narrative review. Cardiovasc Pathol 2021; 54: 107362

7) Ohta-Ogo K, Sugano Y, Ogata S, et al: Myocardial T-Lymphocytes as a prognostic risk-stratifying marker of dilated cardiomyopathy: Results of the multicenter registry to investigate inflammatory cell infiltration in dilated cardiomyopathy in tissues of endomyocardial biopsy (INDICATE Study). Circ J 2022; 86: 1092–1101

8) Law YM, Lal AK, Chen S, et al: American Heart Association Pediatric Heart Failure and Transplantation Committee of the Council on Lifelong Congenital Heart Disease and Heart Health in the Young and Stroke Council: Diagnosis and management of myocarditis in children: A scientific statement from the American Heart Association. Circulation 2021; 144: e123–e135

9) Callegari A, Quandt D, Schmitz A, et al: Findings and outcome of transcatheter right ventricular endomyocardial biopsy and hemodynamic assessment in children with suspected myocarditis or cardiomyopathy. Int J Environ Res Public Health 2022; 19: 10406

10) Chang JC, Xiao R, Mercer-Rosa L, et al: Child-onset systemic lupus erythematosus is associated with a higher incidence of myopericardial manifestations compared to adult-onset disease. Lupus 2018; 27: 2146–2154

11) Ammirati E, Buono A, Moroni F, et al: State-of-the-art of endomyocardial biopsy on acute myocarditis and chronic inflammatory cardiomyopathy. Curr Cardiol Rep 2022; 24: 597–609

12) Seidel F, Opgen-Rhein B, Rentzsch A, et al: MYKKE consortium: Clinical characteristics and outcome of biopsy-proven myocarditis in children: Results of the German prospective multicentre registry “MYKKE”. Int J Cardiol 2022; 357: 95–104

13) Buttà C, Zappia L, Laterra G, et al: Diagnostic and prognostic role of electrocardiogram in acute myocarditis: A comprehensive review. Ann Noninvasive Electrocardiol 2020; 25: e12726

14) Ukena C, Kindermann M, Mahfoud F, et al: Diagnostic and prognostic validity of different biomarkers in patients with suspected myocarditis. Clin Res Cardiol 2014; 103: 743–751

15) Ammirati E, Veronese G, Bottiroli M, et al: Update on acute myocarditis. Trends Cardiovasc Med 2021; 31: 370–379

16) Friedrich MG, Sechtem U, Schulz-Menger J, et al: International Consensus Group on Cardiovascular Magnetic Resonance in Myocarditis: Cardiovascular magnetic resonance in myocarditis: A JACC White Paper. J Am Coll Cardiol 2009; 53: 1475–1487

17) Ferreira VM, Schulz-Menger J, Holmvang G, et al: Cardiovascular magnetic resonance in nonischemic myocardial inflammation: Expert recommendations. J Am Coll Cardiol 2018; 72: 3158–3176

18) Grun S, Schumm J, Greulich S, et al: Long-term follow-up of biopsy-proven viral myocarditis: Predictors of mortality and incomplete recovery. J Am Coll Cardiol 2012; 59: 1604–1615

19) Aquaro GD, Ghebru Habtemicael Y, Camastra G, et al: “Cardiac Magnetic Resonance” Working Group of the Italian Society of Cardiology: Prognostic value of repeating cardiac magnetic resonance in patients with acute myocarditis. J Am Coll Cardiol 2019; 74: 2439–2448

20) Daubeney PE, Nugent AW, Chondros P, et al: National Australian Childhood Cardiomyopathy Study: Clinical features and outcomes of childhood dilated cardiomyopathy: Results from a national population-based study. Circulation 2006; 114: 2671–2678

21) Tsukada B, Terasaki F, Shimomura H, et al: High prevalence of chronic myocarditis in dilated cardiomyopathy referred for left ventriculoplasty: Expression of tenascin C as a possible marker for inflammation. Hum Pathol 2009; 40: 1015–1022

22) Cooper LT, Baughman KL, Feldman AM, et al: American Heart Association; American College of Cardiology; European Society of Cardiology: The role of endomyocardial biopsy in the management of cardiovascular disease: A scientific statement from the American Heart Association, the American College of Cardiology, and the European Society of Cardiology. Circulation 2007; 116: 2216–2233

23) Seferović PM, Tsutsui H, McNamara DM, et al: Heart Failure Association of the ESC, Heart Failure Society of America and Japanese Heart Failure Society Position statement on endomyocardial biopsy. Eur J Heart Fail 2021; 23: 854–871

24) Ammirati E, Cipriani M, Moro C, et al: Registro Lombardo delle Miocarditi: Clinical presentation and outcome in a contemporary cohort of patients with acute myocarditis: Multicenter lombardy registry. Circulation 2018; 138: 1088–1099

25) Matsuura H, Ichida F, Saji T, et al: Clinical features of acute and fulminant myocarditis in children: 2nd Nationwide Survey by Japanese Society of Pediatric Cardiology and Cardiac Surgery. Circ J 2016; 80: 2362–2368

26) Frustaci A, Russo MA, Chimenti C: Randomized study on the efficacy of immunosuppressive therapy in patients with virus-negative inflammatory cardiomyopathy: The TIMIC study. Eur Heart J 2009; 30: 1995–2002

27) Camargo PR, Snitcowsky R, da Luz PL, et al: Favorable effects of immunosuppressive therapy in children with dilated cardiomyopathy and active myocarditis. Pediatr Cardiol 1995; 16: 61–68

28) Kondo T, Okumura T, Shibata N, et al: Differences in prognosis and cardiac function according to required percutaneous mechanical circulatory support and histological findings in patients with fulminant myocarditis: Insights from the CHANGE PUMP 2 study. J Am Heart Assoc 2022; 11: e023719

29) Kodama M, Oda H, Okabe M, et al: Early and long-term mortality of the clinical subtypes of myocarditis. Jpn Circ J 2001; 65: 961–964

This page was created on 2024-07-10T14:42:00.879+09:00
This page was last modified on 2024-09-09T11:39:53.000+09:00


このサイトは(株)国際文献社によって運用されています。